Heterozygous Men1(+/T) Knockout Mice Do Not Develop Bronchopulmonary Neuroendocrine Hyperplasia or Neoplasia but Bronchial Adenocarcinoma
Abstract
Highlights
- Heterozygous Men1(+/T) knockout mice do not develop bronchopulmonary neuroendocrine hyperplasia or neoplasia.
- Ten percent of Men1(+/T) knockout mice develop bronchial adenocarcinoma, a condition not previously linked to human MEN1-syndrome.
- The first main finding elucidates a weakness of this animal model, which has been described as well comparable to the human MEN1 syndrome in earlier studies.
- The occurrence of bronchial adenocarcinoma in these mice warrants further investigation into its potential association with human MEN1 syndrome.
Abstract
1. Introduction
2. Materials and Methods
2.1. Mouse Model
2.2. Treatment
2.3. Tissue Staining
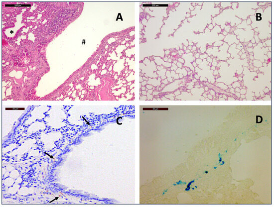
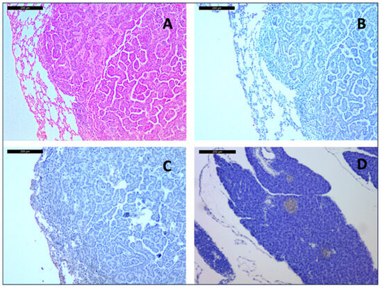
3. Results
3.1. Macroscopic Examination
3.2. Histopathological Examination
3.3. Immunostaining
4. Discussion
Author Contributions
Funding
Institutional Review Board Statement
Informed Consent Statement
Data Availability Statement
Conflicts of Interest
Abbreviations
| MEN1 | multiple endocrine neoplasia type 1 |
| NEN | neuroendocrine neoplasia |
| H&E | hematoxillin and eosin |
| CgA | chromogranin A |
| ARRIVE | Animal Research: Reporting of In Vivo Experiments |
| SSA | somatostatin analogues |
| SSTR | somatostatin receptor |
| PBS | phosphate buffered saline |
| HRS | horseradish peroxidase |
References
- Chandrasekharappa, S.C.; Guru, S.C.; Manickam, P.; Olufemi, S.E.; Collins, F.S.; Emmert-Buck, M.R.; Debelenko, L.V.; Zhuang, Z.; Lubensky, I.A.; Liotta, L.A.; et al. Positional cloning of the gene for multiple endocrine neoplasia-type 1. Science 1997, 276, 404–407. [Google Scholar] [CrossRef]
- Bartsch, D.K.; Albers, M.B.; Lopez, C.L.; Apitzsch, J.C.; Walthers, E.M.; Fink, L.; Fendrich, V.; Slater, E.P.; Waldmann, J.; Anlauf, M. Bronchopulmonary Neuroendocrine Neoplasms and Their Precursor Lesions in Multiple Endocrine Neoplasia Type 1. Neuroendocrinology 2016, 103, 240–247. [Google Scholar] [CrossRef]
- Goudet, P.; Murat, A.; Binquet, C.; Cardot-Bauters, C.; Costa, A.; Ruszniewski, P.; Niccoli, P.; Ménégaux, F.; Chabrier, G.; Borson-Chazot, F.; et al. Risk factors and causes of death in MEN1 disease. A GTE (Groupe d’Etude des Tumeurs Endocrines) cohort study among 758 patients. World J. Surg. 2010, 34, 249–255. [Google Scholar] [CrossRef] [PubMed]
- Thakker, R.V. Multiple endocrine neoplasia type 1 (MEN1) and type 4 (MEN4). Mol. Cell. Endocrinol. 2014, 386, 2–15. [Google Scholar] [CrossRef] [PubMed]
- Thakker, R.V.; Newey, P.J.; Walls, G.V.; Bilezikian, J.; Dralle, H.; Ebeling, P.R.; Melmed, S.; Sakurai, A.; Tonelli, F.; Brandi, M.L. Endocrine Society. Clinical practice guidelines for multiple endocrine neoplasia type 1 (MEN1). J. Clin. Endocrinol. Metab. 2012, 97, 2990–3011. [Google Scholar] [CrossRef]
- Anlauf, M.; Perren, A.; Meyer, C.L.; Schmid, S.; Saremaslani, P.; Kruse, M.L.; Weihe, E.; Komminoth, P.; Heitz, P.U.; Klöppel, G. Precursor lesions in patients with multiple endocrine neoplasia type 1-associated duodenal gastrinomas. Gastroenterology 2005, 128, 1187–1198. [Google Scholar] [CrossRef]
- Anlauf, M.; Schlenger, R.; Perren, A.; Bauersfeld, J.; Koch, C.A.; Dralle, H.; Raffel, A.; Knoefel, W.T.; Weihe, E.; Ruszniewski, P.; et al. Microadenomatosis of the endocrine pancreas in patients with and without the multiple endocrine neoplasia type 1 syndrome. Am. J. Surg. Pathol. 2006, 30, 560–574. [Google Scholar] [CrossRef]
- Lopez, C.L.; Joos, B.; Bartsch, D.K.; Manoharan, J.; Albers, M.; Slater, E.P.; Bollmann, C.; Roth, S.; Bayer, A.; Fendrich, V. Chemoprevention with Somatuline© Delays the Progression of Pancreatic Neuroendocrine Neoplasms in a Mouse Model of Multiple Endocrine Neoplasia Type 1 (MEN1). World J. Surg. 2019, 43, 831–838. [Google Scholar] [CrossRef]
- Faggiano, A.; Modica, R.; Lo Calzo, F.; Camera, L.; Napolitano, V.; Altieri, B.; de Cicco, F.; Bottiglieri, F.; Sesti, F.; Badalamenti, G.; et al. Lanreotide Therapy vs Active Surveillance in MEN1-Related Pancreatic Neuroendocrine Tumors < 2 Centimeters. J. Clin. Endocrinol. Metab. 2020, 105, 78–84. [Google Scholar] [CrossRef]
- Strosberg, J.; Kvols, L. Antiproliferative effect of somatostatin analogs in gastroenteropancreatic neuroendocrine tumors. World J. Gastroenterol. 2010, 16, 2963–2970. [Google Scholar] [CrossRef]
- Stumpf, C.; Kaemmerer, D.; Neubauer, E.; Sänger, J.; Schulz, S.; Lupp, A. Somatostatin and CXCR4 expression patterns in adenocarcinoma and squamous cell carcinoma of the lung relative to small cell lung cancer. J. Cancer Res. Clin. Oncol. 2018, 144, 1921–1932. [Google Scholar] [CrossRef] [PubMed]
- Bertolino, P.; Tong, W.-M.; Galendo, D.; Wang, Z.-Q.; Zhang, C.-X. Heterozygous Men1 mutant mice develop a range of endocrine tumors mimicking multiple endocrine neoplasia type 1. Mol. Endocrinol. Baltim. Md. 2003, 17, 1880–1892. [Google Scholar] [CrossRef]
- Agarwal, S.K. Exploring the tumors of multiple endocrine neoplasia type 1 in mouse models for basic and preclinical studies. Int. J. Endocr. Oncol. 2014, 1, 153–161. [Google Scholar] [CrossRef] [PubMed]
- Manoharan, J.; Fendrich, V.; Di Fazio, P.; Bollmann, C.; Roth, S.; Joos, B.; Mintziras, I.; Albers, M.B.; Ramaswamy, A.; Bertolino, P.; et al. Chemoprevention with Enalapril and Aspirin in Men1(+/T) Knockout Mouse Model. Neuroendocrinology 2018, 107, 257–266. [Google Scholar] [CrossRef] [PubMed]
- Crabtree, J.S.; Scacheri, P.C.; Ward, J.M.; Garrett-Beal, L.; Emmert-Buck, M.R.; Edgemon, K.A.; Lorang, D.; Libutti, S.K.; Chandrasekharappa, S.C.; Marx, S.J.; et al. A mouse model of multiple endocrine neoplasia, type 1 develops multiple endocrine tumors. Proc. Natl. Acad. Sci. USA 2001, 98, 1118–1123. [Google Scholar] [CrossRef]
- Bertolino, P.; Radovanovic, I.; Casse, H.; Aguzzi, A.; Wang, Z.-Q.; Zhang, C.-X. Genetic ablation of the tumor suppressor menin causes lethality at mid-gestation with defects in multiple organs. Mech. Dev. 2003, 120, 549–560. [Google Scholar] [CrossRef]
- Manoharan, J.; Bollmann, C.; Kann, P.H.; Di Fazio, P.; Bartsch, D.K.; Albers, M.B. Gender Differences in Multiple Endocrine Neoplasia Type 1: Implications for Screening? Visc. Med. 2020, 36, 3–9. [Google Scholar] [CrossRef]
- Moser, A.R.; Shoemaker, A.R.; Connelly, C.S.; Clipson, L.; Gould, K.A.; Luongo, C.; Dove, W.F.; Siggers, P.H.; Gardner, R.L. Homozygosity for the Min allele of Apc results in disruption of mouse development prior to gastrulation. Dev. Dyn. Off. Publ. Am. Assoc. Anat. 1995, 203, 422–433. [Google Scholar] [CrossRef]
- Cichowski, K.; Shih, T.S.; Jacks, T. Nf1 gene targeting: Toward models and mechanisms. Semin. Cancer Biol. 1996, 7, 291–298. [Google Scholar] [CrossRef]
- Ludwig, T.; Chapman, D.L.; Papaioannou, V.E.; Efstratiadis, A. Targeted mutations of breast cancer susceptibility gene homologs in mice: Lethal phenotypes of Brca1, Brca2, Brca1/Brca2, Brca1/p53, and Brca2/p53 nullizygous embryos. Genes Dev. 1997, 11, 1226–1241. [Google Scholar] [CrossRef]
- Fiebiger, W.C.C.; Scheithauer, W.; Traub, T.; Kurtaran, A.; Gedlicka, C.; Kornek, G.V.; Raderer, M. Absence of Therapeutic Efficacy of the Somatostatin Analogue Lanreotide in Advanced Primary Hepatic Cholangiocellular Cancer and Adenocarcinoma of the Gallbladder Despite In Vivo Somatostatin Receptor Expression. Scand. J. Gastroenterol. 2002, 37, 222–225. [Google Scholar] [CrossRef] [PubMed]
- Raderer, M.; Hamilton, G.; Kurtaran, A.; Valencak, J.; Haberl, I.; Hoffmann, O.; Kornek, G.V.; Vorbeck, F.; Hejna, M.H.; Virgolini, I.; et al. Treatment of advanced pancreatic cancer with the long-acting somatostatin analogue lanreotide: In vitro and in vivo results. Br. J. Cancer 1999, 79, 535–537. [Google Scholar] [CrossRef] [PubMed][Green Version]
- Celinski, S.A.; Fisher, W.E.; Amaya, F.; Wu, Y.Q.; Yao, Q.; Youker, K.A.; Li, M. Somatostatin receptor gene transfer inhibits established pancreatic cancer xenografts. J. Surg. Res. 2003, 115, 41–47. [Google Scholar] [CrossRef] [PubMed]


Disclaimer/Publisher’s Note: The statements, opinions and data contained in all publications are solely those of the individual author(s) and contributor(s) and not of MDPI and/or the editor(s). MDPI and/or the editor(s) disclaim responsibility for any injury to people or property resulting from any ideas, methods, instructions or products referred to in the content. |
© 2025 by the authors. Published by MDPI on behalf of the Polish Respiratory Society. Licensee MDPI, Basel, Switzerland. This article is an open access article distributed under the terms and conditions of the Creative Commons Attribution (CC BY) license (https://creativecommons.org/licenses/by/4.0/).
Share and Cite
Albers, M.B.; Fink, L.; Manoharan, J.; Lopez, C.L.; Bollmann, C.; Bartsch, D.K. Heterozygous Men1(+/T) Knockout Mice Do Not Develop Bronchopulmonary Neuroendocrine Hyperplasia or Neoplasia but Bronchial Adenocarcinoma. Adv. Respir. Med. 2025, 93, 7. https://doi.org/10.3390/arm93020007
Albers MB, Fink L, Manoharan J, Lopez CL, Bollmann C, Bartsch DK. Heterozygous Men1(+/T) Knockout Mice Do Not Develop Bronchopulmonary Neuroendocrine Hyperplasia or Neoplasia but Bronchial Adenocarcinoma. Advances in Respiratory Medicine. 2025; 93(2):7. https://doi.org/10.3390/arm93020007
Chicago/Turabian StyleAlbers, Max B., Ludger Fink, Jerena Manoharan, Caroline L. Lopez, Carmen Bollmann, and Detlef K. Bartsch. 2025. "Heterozygous Men1(+/T) Knockout Mice Do Not Develop Bronchopulmonary Neuroendocrine Hyperplasia or Neoplasia but Bronchial Adenocarcinoma" Advances in Respiratory Medicine 93, no. 2: 7. https://doi.org/10.3390/arm93020007
APA StyleAlbers, M. B., Fink, L., Manoharan, J., Lopez, C. L., Bollmann, C., & Bartsch, D. K. (2025). Heterozygous Men1(+/T) Knockout Mice Do Not Develop Bronchopulmonary Neuroendocrine Hyperplasia or Neoplasia but Bronchial Adenocarcinoma. Advances in Respiratory Medicine, 93(2), 7. https://doi.org/10.3390/arm93020007

