Combined Subciliary/Transantral Approach for Reconstruction of Orbital Floor Fracture
Abstract
:1. Introduction
2. Materials and Methods
3. Results
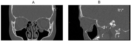
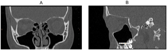
Case Presentation of TF Reconstruction
Case 9
Case 10
4. Discussion
5. Conclusions
Author Contributions
Funding
Institutional Review Board Statement
Informed Consent Statement
Data Availability Statement
Acknowledgments
Conflicts of Interest
References
- Prasad, C.; Arulmozhi, M.; Balaji, J.; Nisha, M.P.N. White-Eyed Blowout Fracture. Ann. Maxillofac. Surg. 2020, 10, 217–219. [Google Scholar] [PubMed]
- Wei, L.A.; Durairaj, V.D. Pediatric orbital floor fractures. J. Am. Assoc. Pediatric Ophthalmol. Strabismus 2011, 15, 173–180. [Google Scholar] [CrossRef] [PubMed]
- Burnstine, M.A. Clinical recommendations for repair of isolated orbital floor fractures: An evidence-based analysis. Ophthalmology 2002, 109, 1207–1213. [Google Scholar] [CrossRef]
- Felding, U.N.A. Blowout fractures—Clinic, imaging and applied anatomy of the orbit. Dan. Med. J. 2018, 65, B5459. [Google Scholar] [PubMed]
- Simon, G.J.; Syed, H.M.; McCann, J.D.; Goldberg, R.A. Early versus late repair of orbital blowout fractures. Ophthalmic Surg. Lasers Imaging 2009, 40, 141–148. [Google Scholar] [CrossRef] [PubMed] [Green Version]
- Brucoli, M.; Arcuri, F.; Cavenaghi, R.; Benech, A. Analysis of complications after surgical repair of orbital fractures. J. Craniofacial Surg. 2011, 22, 1387–1390. [Google Scholar] [CrossRef] [PubMed] [Green Version]
- Koenen, L.; Waseem, M. Orbital Floor Fracture; StatPearls: Treasure Island, FL, USA, 2021. [Google Scholar]
- Gerbino, G.; Roccia, F.; Bianchi, F.A.; Zavattero, E. Surgical management of orbital trapdoor fracture in a pediatric population. J. Oral Maxillofac. Surg. 2010, 68, 1310–1316. [Google Scholar] [CrossRef] [PubMed]
- Chung, S.Y.; Langer, P.D. Pediatric orbital blowout fractures. Curr. Opin. Ophthalmol. 2017, 28, 470–476. [Google Scholar] [CrossRef] [PubMed]
- Foulds, J.S.; Laverick, S.; MacEwen, C.J. ‘White-eyed’ blowout fracture: A case series of five children. Arch. Dis. Child. 2013, 98, 445–446. [Google Scholar] [CrossRef] [PubMed]
- Saggese, N.P.; Mohammadi, E.; Cardo, V.A. The ‘White-eyed’ Orbital Blowout Fracture: An Easily Overlooked Injury in Maxillofacial Trauma. Cureus 2019, 11, e4412. [Google Scholar] [CrossRef] [PubMed] [Green Version]
- Kwon, J.H.; Kim, J.G.; Moon, J.H.; Cho, J.H. Clinical analysis of surgical approaches for orbital floor fractures. Arch. Facial Plast. Surg. 2008, 10, 21–24. [Google Scholar] [CrossRef] [PubMed] [Green Version]
- Chen, C.T.; Chen, Y.R. Update on orbital reconstruction. Curr. Opin. Otolaryngol. Head Neck Surg. 2010, 18, 311–316. [Google Scholar] [CrossRef] [PubMed]
- Polligkeit, J.; Grimm, M.; Peters, J.P.; Cetindis, M.; Krimmel, M.; Reinert, S. Assessment of indications and clinical outcome for the endoscopy-assisted combined subciliary/transantral approach in treatment of complex orbital floor fractures. J. Cranio-Maxillofac. Surg. 2013, 41, 797–802. [Google Scholar] [CrossRef] [PubMed]
- Anehosur, V.; Harish, K. Endoscopic Assisted Combined Transantral and Subciliary Approach in Treatment of Orbital Floor Fracture: A Case Report. J. Maxillofac. Oral Surg. 2018, 17, 193–196. [Google Scholar] [CrossRef] [PubMed]
- Persons, B.L.; Wong, G.B. Transantral endoscopic orbital floor repair using resorbable plate. J. Craniofacial Surg. 2002, 13, 483–489. [Google Scholar] [CrossRef] [PubMed]
- Duzgun, S.; Kayahan Sirkeci, B. Comparison of post-operative outcomes of graft materials used in reconstruction of blow-out fractures. Turk. J. Trauma Emerg. Surg. 2020, 26, 538–544. [Google Scholar]
- Chai, G.; Zhang, D.; Hua, W.; Yin, J.; Jin, Y.; Chen, M. Theoretical model of pediatric orbital trapdoor fractures and provisional personalized 3D printing-assisted surgical solution. Bioact. Mater. 2021, 6, 559–567. [Google Scholar] [CrossRef] [PubMed]
- Salgarelli, A.C.; Bellini, P.; Landini, B.; Multinu, A.; Consolo, U. A comparative study of different approaches in the treatment of orbital trauma: An experience based on 274 cases. Oral Maxillofac. Surg. 2010, 14, 23–27. [Google Scholar] [CrossRef]






| Case Number | Age (Years) | Gender | Preoperative Symptom | Fracture Type | ML (mm) | AP (mm) | Interval (Days) | Operation Time (min) | Follow Up Duration (Months) | Postoperative Symptom |
|---|---|---|---|---|---|---|---|---|---|---|
| 1 | 18 | F | Diplopia on up- and down-gaze | BOF | 16 | 15 | 4 | 276 | 6 | None |
| 2 | 24 | M | Diplopia on down-gaze | BOF | 20 | 18 | 9 | 170 | 12 | None |
| 3 | 54 | F | Diplopia on up-gaze | BOF | 15 | 24 | 6 | 165 | 4 | None |
| 4 | 31 | M | Diplopia on up-gaze | BOF | 21 | 21 | 10 | 177 | 12 | None |
| 5 | 63 | M | Diplopia on up-gaze | BOF | 19 | 23 | 8 | 140 | 6 | None |
| 6 | 25 | F | Diplopia on up-gaze | BOF | 14 | 15 | 15 | 215 | 10 | None |
| 7 | 21 | M | Diplopia on up-gaze | BOF | 12 | 17 | 11 | 182 | 12 | None |
| 8 | 18 | M | Diplopia on up-gaze | BOF | 11 | 20 | 13 | 149 | 3 | None |
| 9 | 13 | F | Diplopia on up-gaze, nausea, pain on upgaze | TF | 7 | 6 | 0 | 164 | 5 | None |
| 10 | 8 | M | Diplopia on up-gaze vomitting, pain on upgaze | TF | 7 | 9 | 1 | 194 | 6 | None |
| 11 | 14 | M | Diplopia on up-gaze, vomitting, pain on upgaze | TF | 7 | 4 | 0 | 149 | 2 | None |
| 12 | 28 | M | Diplopia on up-gaze | BOF | 18 | 27 | 10 | 148 | 1 | None |
| 13 | 19 | F | Diplopia on up-gaze | BOF | 19 | 15 | 10 | 128 | 3 | None |
| 14 | 36 | F | Diplopia on down-gaze | BOF | 11 | 20 | 9 | 116 | 2 | None |
| 15 | 86 | M | Diplopia on up- and down-gaze | BOF | 14 | 21 | 18 | 148 | 11 | None |
| 16 | 39 | M | Diplopia on up- and down-gaze | BOF | 12 | 17 | 10 | 164 | 3 | None |
| 17 | 41 | F | Diplopia on up- and down-gaze | BOF | 14 | 16 | 1 | 123 | 3 | Diplopia on up-gaze |
| 18 | 36 | M | Diplopia on up-gaze | BOF | 15 | 24 | 13 | 116 | 2 | None |
| 19 | 22 | M | Diplopia on up-gaze | BOF | 14 | 8 | 11 | 122 | 1 | None |
| 20 | 25 | F | Diplopia on down-gaze | BOF | 13 | 15 | 9 | 114 | 1 | None |
| 21 | 69 | M | Diplopia on up-gaze | BOF | 15 | 31 | 16 | 139 | 2 | None |
| median | 25 | 14 | 17 | 10 | 149 | 3 |
Publisher’s Note: MDPI stays neutral with regard to jurisdictional claims in published maps and institutional affiliations. |
© 2021 by the authors. Licensee MDPI, Basel, Switzerland. This article is an open access article distributed under the terms and conditions of the Creative Commons Attribution (CC BY) license (https://creativecommons.org/licenses/by/4.0/).
Share and Cite
Narita, N.; Ito, Y.; Kato, Y.; Kimura, Y.; Imoto, Y.; Ogi, K.; Okamoto, M.; Takabayashi, T.; Fujieda, S. Combined Subciliary/Transantral Approach for Reconstruction of Orbital Floor Fracture. J. Otorhinolaryngol. Hear. Balance Med. 2021, 2, 7. https://doi.org/10.3390/ohbm2030007
Narita N, Ito Y, Kato Y, Kimura Y, Imoto Y, Ogi K, Okamoto M, Takabayashi T, Fujieda S. Combined Subciliary/Transantral Approach for Reconstruction of Orbital Floor Fracture. Journal of Otorhinolaryngology, Hearing and Balance Medicine. 2021; 2(3):7. https://doi.org/10.3390/ohbm2030007
Chicago/Turabian StyleNarita, Norihiko, Yumi Ito, Yukinori Kato, Yukihiro Kimura, Yoshimasa Imoto, Kazuhiro Ogi, Masayuki Okamoto, Tetsuji Takabayashi, and Shigeharu Fujieda. 2021. "Combined Subciliary/Transantral Approach for Reconstruction of Orbital Floor Fracture" Journal of Otorhinolaryngology, Hearing and Balance Medicine 2, no. 3: 7. https://doi.org/10.3390/ohbm2030007
APA StyleNarita, N., Ito, Y., Kato, Y., Kimura, Y., Imoto, Y., Ogi, K., Okamoto, M., Takabayashi, T., & Fujieda, S. (2021). Combined Subciliary/Transantral Approach for Reconstruction of Orbital Floor Fracture. Journal of Otorhinolaryngology, Hearing and Balance Medicine, 2(3), 7. https://doi.org/10.3390/ohbm2030007
