Evaluation of the Metallurgical Quality of Nodular Cast Iron in the Production Conditions of a Foundry
Abstract
1. Introduction
2. Materials and Methods
2.1. Influence of Charge Materials on the Metallurgical Quality of the Starting Cast Iron
- ▪
- Tliq—temperature at which the first solid particles are formed: the solidification process begins. Shown as a horizontal plateau due to the precipitation of primary austenite in hypoeutectic cast iron and as the minimum temperature for eutectic alloys
- ▪
- Temin—the minimum temperature reached during the solidification of the eutectic. At this point, the latent heat of crystallization is equal to the heat given off during cooling. According to the literature data from the sources of the manufacturer of the device for thermal derivation analysis ITACA, below 1135 °C, nucleation is considered low and there is then a high risk of primary carbides appearing in the casting. Between 1135 °C and 1145 °C, nucleation is not considered optimal and the risk of the appearance of primary carbides in the casting has to be assessed according to the wall thickness of the casting. Above 1145 °C, nucleation is very good and there is no risk of primary carbide formation.
- ▪
- VPS—the rate of transition of cast iron from semi-solid to solid. Parameter strongly related to the formation of shrinkage cavities. Primary cast iron optimal values depend on the carbon content (data from the sources of the manufacturer of the device for thermal derivation analysis ITACA):
- -
- for high CEL cast iron it must be <16
- -
- for cast iron with average CEL it must be <20
- -
- for low CEL cast iron it must be <23Need to pay attention to the amount of inoculant and pre-conditioner used, as too much may deteriorate rather than improve the indicator.In final cast iron, the optimal values of the index depend on the type of cast iron:
- -
- for gray cast iron optimal values: <16, <20, <23 (depending on the C content)If the indices are above the threshold values, the tendency to create shrinkage cavities increases. In this case, the inoculation should be increased.
- -
- for ductile iron, the optimal values are between 35 and 55.
- ▪
- Rec = Temax − Temin. Relationship with the amount of formed graphite. The optimal recalescence value for gray iron ranges from 4 to 9 ° C; for ductile iron it ranges from 2 to 5 °C.
2.2. The Influence of Amount of Mg Used during Spheroidization on the Metallurgical Quality
2.3. The Influence of Final Inoculation on the Metallurgical Quality of Nodular Cast Iron
3. Results and Discussion
3.1. Influence of Charge Materials on the Metallurgical Quality of the Base Cast Iron
3.2. The Influence of Amount of Mg Used during Spheroidization on the Metallurgical Quality
3.3. The Influence of Final Inoculation on the Metallurgical Quality of Nodular Cast Iron
4. Summary
- As the amount of pig iron in the charge increases, the value of Temin increases. It proves the improvement of the graphite nucleation capacity in cast iron.
- With an increase in the amount of steel scrap in the charge, the Temin value decreases. Increasing the share of steel scrap causes a reduction in the graphitization potential of the metal bath, due to the reduction of the content of elements favoring nucleation.
- Increasing the amount of pig iron in the charge increases the VPS parameter and increases the tendency to form shrinkage cavities. For gray cast iron, the VPS parameter is not a good predictor of shrinkage defects because, as is known from foundry practice, pig iron is added to reduce shrinkage defects in castings.
- Increasing the amount of additional ingredients (anthracite + FeSi + SiC) with the increasing share of steel in the charge reduces the tendency to create shrinkage cavities. The charge with low nucleation tendency positively reacts to the refreshing process by providing new graphitization nuclei contained in anthracite, ferrosilicon or silicon carbide.
- Recalescence is related to the amount of graphite being formed. Values consistent with the required values were obtained for melts, where the share of pig iron ranged from 22 to 40%. Increasing the amount of pig iron causes a strong increase in recalescence, which may cause deformation of the mold as a result of graphite expansion.
- Reducing the initial sulfur content in the base cast iron reduces the length of the wire during spheroidization and, thus, the amount of magnesium necessary to obtain spherical graphite and the same level of residual Mg in the final cast iron. For the initial sulfur content of 0.044%, it was enough to use 1.35% Mg. While, for sulfur at the level of 0.087%, it was necessary to increase the amount of Mg by about 50%.
- Increasing the amount of Mg causes deterioration of the metallurgical quality through the degradation of graphitization nuclei. This is confirmed by a significant decrease in Temin values with an increase in the amount of Mg used during spheroidization. The need to increase the length of spheroidization wire resulted from the increasing sulfur. Increasing the amount of Mg from 1.35 to 2.04% resulted in an unfavorable decrease in Temin by 12°, which creates serious problems with the subsequent restoration of the cast iron quality to the required one.
- Increasing the amount of Mg consumed increases the VPS parameter. The use of Mg over 1.65% resulted in exceeding the recommended limits. It is clearly visible that the lowest defect tendency was obtained for Mg at the level of 1.35%. Increasing its level to 2.04% during spheroidization caused almost a three times higher risk of obtaining defective castings.
- The highest tensile strength was achieved for Ba-inoculated cast iron and the lowest for Bi. The spread of the tensile strength Rm between the highest and the lowest values was 35 MPa, the yield strength Rp 0.2 was 15 MPa, while there was a large difference between the elongation A. The difference between the highest (Ce) and the lowest (Ba) values was 5.9%.
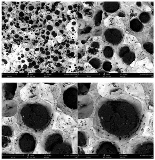
- Based on the results of the microstructure of the samples, depending on the type of inoculant (Table 10), we can see that cast iron inoculated with Bi had the highest nodularity, while the cast iron inoculated with Ce had the lowest degree. The largest share of ferrite in the structure was recorded for cast iron inoculated with Ce, and the smallest for Ba. This proves the high ferritic effect of cerium. Cast iron inoculated with Ce and Bi was characterized by the largest number of graphite particles per sqm, which proves a large number of graphitization nuclei. The tests carried out using a scanning microscope showed that the obtained carbon precipitates had: a regular shape similar to a sphere, a variable density of precipitates in individual melts and a different size.
Author Contributions
Funding
Data Availability Statement
Conflicts of Interest
References
- Karsey, S.I. Żeliwo Sferoidalne; QIT, Fer et Titane Inc.: Warszawa, Poland, 2000. [Google Scholar]
- Riposan, I.; Chisamera, M.; Stanc, S. The Role of Compounds in Graphite Formation in Cast Iron—A Review. Mater. Sci. Forum 2018, 925, 3–11. [Google Scholar] [CrossRef]
- Stefanescu, D.M.; Alonso, G.; Larranaga, P.; De la Fuente, E.; Suarez, R. Reexamination of crystal growth theory of graphite in iron-carbon alloys. Acta Mater. 2017, 139, 109–121. [Google Scholar] [CrossRef]
- Stefanescu, D.M.; Alonso, G.; Suarez, R. Recent Developments in Understanding Nucleation and Crystallization of Spheroidal Graphite in Iron-Carbon-Silicon Alloys. Metals 2020, 10, 221. [Google Scholar] [CrossRef]
- Fraś, E.; Podrzucki, C. Żeliwo Modyfikowane; AGH: Kraków, Poland, 1978. [Google Scholar]
- Sobczak, J. Poradnik odlewnika, T.1, Odlewnictwo Współczesne; Wydawnictwo Stowarzyszenia Technicznego Odlewników Polskich: Kraków, Poland, 2013. [Google Scholar]
- Janerka, K.; Kondracki, M.; Jezierki, J.; Szajnar, J.; Stawarz, M. Carburizer Effect on Cast Iron Solidification. J. Mater. Eng. Perform. 2014, 23, 2174–2181. [Google Scholar] [CrossRef]
- Nowak, J. Wpływ Namiarów Wsadowych na Strukturę i Wybrane Właściwości Żeliwa Sferoidalnego Wytapianego Przy Zadanej Temperaturze Przegrzania; Rozprawa doktorska; AGH: Kraków, Poland, 2019. [Google Scholar]
- Janerka, K.; Jezierski, J.; Bartocha, D.; Szajnar, J. Analysis of the ductile iron production on the steel scrap base. Int. J. Cast Met. Res. 2014, 27, 230–234. [Google Scholar] [CrossRef]
- Janerka, K.; Kostrzewski, Ł.; Stawarz, M.; Jezierski, J. The importance of SiC in the process of melting ductile iron with a variable content of charge materials. Materials 2020, 13, 1231. [Google Scholar] [CrossRef] [PubMed]
- Riposan, I.; Anca, D.; Stan, I.; Chisamera, M.; Stan, S. Graphite Nodularity Evaluation in High-Si Ductile Cast Irons. Materials 2022, 15, 7685. [Google Scholar] [CrossRef] [PubMed]
- Anca, D.; Stan, I.; Chisamera, M.; Riposan, I.; Stan, S. Experimental Study Regarding the Possibility of Blocking the Diffusion of Sulfur at Casting-Mold Interface in Ductile Iron Castings. Coatings 2021, 11, 673. [Google Scholar] [CrossRef]
- Stefanescu, D.M.; Suarez, R.; Kim, S.B. 90 years of thermal analysis as a control tool in the melting of cast iron. China Foundry 2020, 17, 69–84. [Google Scholar] [CrossRef]
- Stefanescu, D.M. Thermal Analysis—Theory and Applications in Metalcasting. Int. J. Met. 2015, 9, 7–22. [Google Scholar] [CrossRef]
- Chisamera, M.; Riposan, I.; Stan, S.; Stefan, E.; Costache, G. Thermal analysis control of in-mould and ladle inoculated grey cast irons. China Foundry 2015, 6, 145–151. [Google Scholar]
- Erturka, S.O.; Kumruoglub, L.C.; Ozel, A. Determination of Feederless Casting Limits by Thermal Analysis in Cast Iron. Acta Phys. Pol. A 2017, 131, 370–373. [Google Scholar] [CrossRef]
- Cojocaru, A.M.; Riposan, I.; Stan, S. Solidification influence in the control of inoculation effects in ductile cast irons by thermal analysis. J. Therm. Anal. Calorim. 2019, 138, 2131–2143. [Google Scholar] [CrossRef]
- Petrus, Ł.; Bulanowski, A.; Kołakowski, J.; Sobieraj, J.; Paruch, T.; Urbanowicz, M.; Brzeżański, M.; Burdzy, D.; Janerka, K. Importance of TDA thermal analysis in an automated metallurgical process. J. Cast. Mater. Eng. 2021, 5, 89–93. [Google Scholar] [CrossRef]
- Petrus, Ł.; Bulanowski, A.; Kołakowski, J.; Brzeżański, M.; Urbanowicz, M.; Sobieraj, J.; Matuszkiewicz, G.; Szwalbe, L.; Janerka, K. The influence of selected metling parameters on the psychical and chemical properties of cast iron. Arch. Foundry Eng. 2020, 20, 105–110. [Google Scholar]
- Dwulat, R.; Janerka, K.; Grzesiak, K. The Influence of Final Inoculation on the Metallurgical Quality of Nodular Cast Iron. Arch. Foundry Eng. 2021, 21, 5–14. [Google Scholar]
- Zonato, A.; Agio, M.; Mazzocco, C. Reduction in the variability of the iron castings production process by the use of the thermal analysis software “ITACA”. Proservice Technol. E-J. 2013, 1, 1–12. [Google Scholar]
- Available online: https://proservicetech.it/products/x/ (accessed on 21 December 2022).
















| Material | C [%] | Si [%] | Mn [%] | P [%] | S [%] | Other Elements [%] |
|---|---|---|---|---|---|---|
| Pig iron | 4.51 | 0.85 | 0.07 | 0.045 | 0.013 | rest |
| Steel Scrap | 0.27 | 0.30 | 0.50 | 0.050 | 0.032 | rest |
| Scrap/Returns | 3.55 | 2.62 | 0.30 | 0.055 | 0.003 | rest |
| Anthracite | 77.00 | - | - | - | 0.250 | rest |
| FeSi | 0.20 | 75.00 | - | 0.030 | 0.020 | rest |
| SiC | 27.00 | 63.00 | - | - | rest | |
| Coke | 95.00 | - | - | - | 1.500 | rest |
| Number of Melt | Pig Iron [kg] | Steel Scrap [kg] | Scrap/Returns [kg] | Anthracite [kg] | FeSi [kg] | Coke [kg] | CaCO3 [kg] | SiC [kg] |
|---|---|---|---|---|---|---|---|---|
| 1 | 240 | 490 | 370 | 38 | 25.4 | 144.0 | 33 | 36 |
| 2 | 385 | 330 | 385 | 33 | 24.2 | 143.0 | 33 | 30 |
| 3 | 440 | 275 | 385 | 22 | 22.0 | 137.5 | 33 | 30 |
| 4 | 495 | 275 | 330 | 22 | 17.6 | 154.0 | 33 | 21 |
| 5 | 550 | 275 | 275 | 22 | 18.7 | 159.5 | 33 | 0 |
| 6 | 605 | 110 | 385 | 0 | 11.6 | 159.5 | 33 | 20 |
| Number of Melt | CEL [%] | C [%] | Si [%] | Mn [%] | P [%] | S [%] | Ni [%] | Cr [%] |
|---|---|---|---|---|---|---|---|---|
| 1 | 4.34 | 3.65 | 2.08 | 0.29 | 0.066 | 0.068 | 0.044 | 0.065 |
| 2 | 4.41 | 3.72 | 2.11 | 0.24 | 0.055 | 0.053 | 0.060 | 0.077 |
| 3 | 4.46 | 3.75 | 2.19 | 0.21 | 0.052 | 0.044 | 0.050 | 0.070 |
| 4 | 4.45 | 3.77 | 2.09 | 0.20 | 0.046 | 0.067 | 0.048 | 0.063 |
| 5 | 4.50 | 3.81 | 2.12 | 0.20 | 0.049 | 0.054 | 0.050 | 0.062 |
| 6 | 4.63 | 3.89 | 2.28 | 0.19 | 0.044 | 0.059 | 0.050 | 0.060 |
| No. of Melt | Tliq [°C] | Temin [°C] | VPS [–] | Rec [°C] |
|---|---|---|---|---|
| 1 | 1131 | 1131 | 27 | 6 |
| 2 | 1138 | 1133 | 28 | 7 |
| 3 | 1134 | 1134 | 31 | 8 |
| 4 | 1148 | 1135 | 33 | 10 |
| 5 | 1135 | 1136 | 35 | 12 |
| 6 | 1142 | 1137 | 40 | 14 |
| Content | Zr | Ce | Ba | Bi |
|---|---|---|---|---|
| Si [%] | 75 | 73 | 67 | 73 |
| Ca [%] | 2.3 | 1 | 1.5 | 1 |
| Al [%] | 1.2 | 1 | 1.15 | 1 |
| Zr [%] | 1.5 | - | - | - |
| Fe [%] | rest | rest | rest | rest |
| Ce [%] | - | 1.75 | - | 1.75 |
| Ba [%] | - | - | 2.5 | - |
| Bi [%] | - | - | - | 1.1 |
| Pig Iron [kg] | Steel Scrap [kg] | Scrap/ Returns [kg] | Anthracite [kg] | FeSi [kg] | Coke [kg] | CaCO3 [kg] | SiC [kg] |
|---|---|---|---|---|---|---|---|
| 240 | 490 | 370 | 38 | 25.4 | 144 | 33 | 36 |
| CEL [%] | C [%] | Si [%] | Mn [%] | P [%] | S [%] | Ni [%] | Cr [%] | Mo [%] | Cu [%] | Al. [%] | Mg [%] | Fe [%] |
|---|---|---|---|---|---|---|---|---|---|---|---|---|
| 4.31 | 3.65 | 2.08 | 0.29 | 0.066 | 0.068 | 0.044 | 0.065 | 0.008 | 0.087 | 0.004 | 0.000 | 93.66 |
| CEL [%] | C [%] | Si [%] | Mn [%] | P [%] | S [%] | Ni [%] | Cr [%] | Mo [%] | Cu [%] | Al. [%] | Mg [%] | Fe [%] |
|---|---|---|---|---|---|---|---|---|---|---|---|---|
| 4.47 | 3.56 | 2.67 | 0.31 | 0.067 | 0.005 | 0.044 | 0.067 | 0.008 | 0.087 | 0.01 | 0.048 | 93.1 |
| Inoc. | Tliq [°C] | Temin [°C] | Tsol [°C] | VPS [–] | Rec [°C] | Cup |
|---|---|---|---|---|---|---|
| Zr | 1138 | 1125 | 1084 | 88 | 9.9 | No Inoc |
| Zr | 1144 | 1144 | 1101 | 44 | 7.8 | Inoc |
| Ce | 1138 | 1125 | 1084 | 88 | 9.9 | No Inoc |
| Ce | 1149 | 1149 | 1103 | 30 | 5.6 | Inoc |
| Ba | 1138 | 1125 | 1084 | 88 | 9.9 | No Inoc |
| Ba | 1144 | 1144 | 1098 | 52 | 7.4 | Inoc |
| Bi | 1138 | 1125 | 1084 | 88 | 9.9 | No Inoc |
| Bi | 1152 | 1151 | 1100 | 36 | 3.8 | Inoc |
| Inoculant | Rm [MPa] | Rp 0.2 [MPa] | A [%] |
|---|---|---|---|
| Zr | 557 | 374 | 9.7 |
| Ce | 550 | 364 | 17.2 |
| Ba | 570 | 366 | 9.3 |
| Bi | 535 | 359 | 12.2 |
| Inoc. | Amount Graphite/Sqm | Shape | Graphite Fraction [%] | Nodularity [%] | Ferrite [%] |
|---|---|---|---|---|---|
| Zr | 500 | IV-VI | 14.9 | 93.4 | 74.2 |
| Ce | 713 | IV-VI | 14.5 | 91.4 | 88.9 |
| Ba | 402 | IV-VI | 12.3 | 95.9 | 70.6 |
| Bi | 750 | IV-VI | 15.1 | 97.3 | 87.5 |
Disclaimer/Publisher’s Note: The statements, opinions and data contained in all publications are solely those of the individual author(s) and contributor(s) and not of MDPI and/or the editor(s). MDPI and/or the editor(s) disclaim responsibility for any injury to people or property resulting from any ideas, methods, instructions or products referred to in the content. |
© 2023 by the authors. Licensee MDPI, Basel, Switzerland. This article is an open access article distributed under the terms and conditions of the Creative Commons Attribution (CC BY) license (https://creativecommons.org/licenses/by/4.0/).
Share and Cite
Dwulat, R.; Janerka, K. Evaluation of the Metallurgical Quality of Nodular Cast Iron in the Production Conditions of a Foundry. J. Manuf. Mater. Process. 2023, 7, 18. https://doi.org/10.3390/jmmp7010018
Dwulat R, Janerka K. Evaluation of the Metallurgical Quality of Nodular Cast Iron in the Production Conditions of a Foundry. Journal of Manufacturing and Materials Processing. 2023; 7(1):18. https://doi.org/10.3390/jmmp7010018
Chicago/Turabian StyleDwulat, Rafał, and Krzysztof Janerka. 2023. "Evaluation of the Metallurgical Quality of Nodular Cast Iron in the Production Conditions of a Foundry" Journal of Manufacturing and Materials Processing 7, no. 1: 18. https://doi.org/10.3390/jmmp7010018
APA StyleDwulat, R., & Janerka, K. (2023). Evaluation of the Metallurgical Quality of Nodular Cast Iron in the Production Conditions of a Foundry. Journal of Manufacturing and Materials Processing, 7(1), 18. https://doi.org/10.3390/jmmp7010018

