Examination of Bcl-2 and Bax Protein Levels for Determining the Apoptotic Changes in Placentas with Gestational Diabetes and Preeclampsia †
Abstract
:1. Introduction
2. Experimental Procedure
2.1. Samples
2.2. Immunohistochemistry
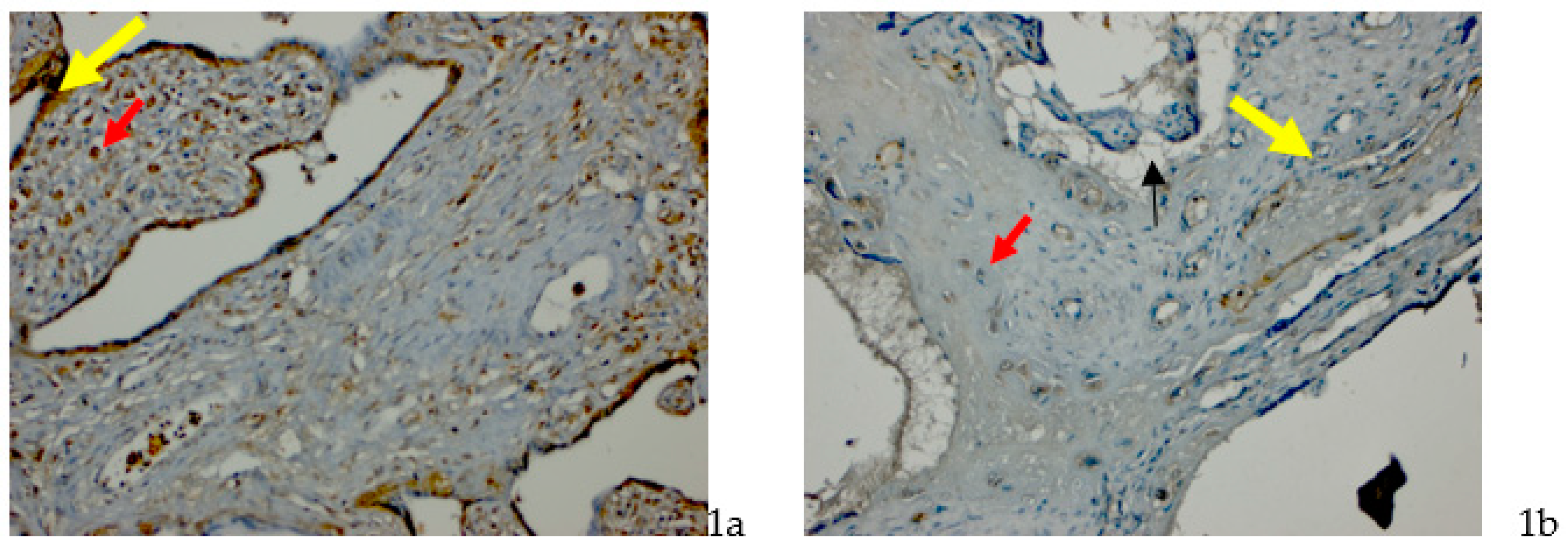
3. Results
4. Discussion
Author Contributions
Conflicts of Interest
References
- Sgarbossa, F.; Barbisan, L.F.; Brasil, M.A.; Costa, E.; Calderon, I.M.; Gonçalves, C.R.; Bevilacqua, E.; Rudge, M.V. Changes in apoptosis and Bcl-2 expression in human hyperglycemic, term placental trophoblast. Diabetes Res. Clin. Pract. 2006, 73, 143–149. [Google Scholar] [CrossRef] [PubMed]
- Daher, S.; Guimarães, A.J.; Mattar, R.; Ishigai, M.M.; Barreiro, E.G.; Bevilacqua, E. Bcl-2 and Bax expressions in pre-term, term and post-term placentas. Am. J. Reprod. Immunol. 2008, 60, 172–178. [Google Scholar] [CrossRef] [PubMed]
- De Falco, M.; De Luca, L.; Acanfora, F.; Cavallotti, I.; Cottone, G.; Laforgia, V.; De Luca, B.; Baldi, A.; De Luca, A. Alteration of the Bcl-2:BAX ratio in the placenta as pregnancy proceeds. Histochem. J. 2001, 33, 421–425. [Google Scholar] [CrossRef] [PubMed]
- Magee, T.; Ross, M.G.; Wedekind, L.; Desai, M.; Kjos, S.; Belkacemi, L. Gestational diabetes mellitus alters apoptotic and inflammatory gene expression of trophobasts from human term placenta. J. Diabetes Complicat. 2014, 28, 448–459. [Google Scholar] [CrossRef] [PubMed]
- Kos, M.; Matkovich, E. Bcl-2 and Bax immunoreactivity in placentas from pregnancies complicated with intrauterine growth restriction and hypertension. Period. Biol. 2014, 116, 167–172. [Google Scholar]
- Cobellis, L.; De Falco, M.; Torella, M.; Trabucco, E.; Caprio1, F.; Federico, E.; Manente, F.; Coppola, G.; Laforgia, V.; Cassandro, R.; et al. Modulation of Bax Expression in Physiological and Pathological Human Placentas Throughout Pregnancy. In Vivo 2007, 21, 777–784. [Google Scholar] [PubMed]
- Crocker, I.P.; Cooper, S.; Ong, S.C.; Baker, P.N. Differences in apoptotic susceptibility of cytotrophoblasts and syncytiotrophoblasts in normal pregnancy to those complicated with preeclampsia and intrauterine growth restriction. Am. J. Pathol. 2003, 162, 637–643. [Google Scholar] [CrossRef]
- Ratts, V.S.; Tao, X.J.; Webster, C.B.; Swanson, P.E.; Smith, S.D.; Brownbill, P.; Krajewski, S.; Reed, J.C.; Tilly, J.L.; Nelson, D.M. Expression of Bcl-2, Bax and Bak in the trophoblast layer of the term human placenta: A unique model of apoptosis within a syncytium. Placenta 2000, 21, 361–366. [Google Scholar] [CrossRef] [PubMed]


Publisher’s Note: MDPI stays neutral with regard to jurisdictional claims in published maps and institutional affiliations. |
© 2018 by the authors. Licensee MDPI, Basel, Switzerland. This article is an open access article distributed under the terms and conditions of the Creative Commons Attribution (CC BY) license (https://creativecommons.org/licenses/by/4.0/).
Share and Cite
Gokalp-Ozkorkmaz, E.; Asir, F.; Basaran, S.O.; Agacayak, E.; Sahin, F.; Kaya, S.; Erdogan, G.; Deveci, E. Examination of Bcl-2 and Bax Protein Levels for Determining the Apoptotic Changes in Placentas with Gestational Diabetes and Preeclampsia. Proceedings 2018, 2, 1548. https://doi.org/10.3390/proceedings2251548
Gokalp-Ozkorkmaz E, Asir F, Basaran SO, Agacayak E, Sahin F, Kaya S, Erdogan G, Deveci E. Examination of Bcl-2 and Bax Protein Levels for Determining the Apoptotic Changes in Placentas with Gestational Diabetes and Preeclampsia. Proceedings. 2018; 2(25):1548. https://doi.org/10.3390/proceedings2251548
Chicago/Turabian StyleGokalp-Ozkorkmaz, Ebru, Firat Asir, Sureyya Ozdemir Basaran, Elif Agacayak, Firat Sahin, Seval Kaya, Gamze Erdogan, and Engin Deveci. 2018. "Examination of Bcl-2 and Bax Protein Levels for Determining the Apoptotic Changes in Placentas with Gestational Diabetes and Preeclampsia" Proceedings 2, no. 25: 1548. https://doi.org/10.3390/proceedings2251548
APA StyleGokalp-Ozkorkmaz, E., Asir, F., Basaran, S. O., Agacayak, E., Sahin, F., Kaya, S., Erdogan, G., & Deveci, E. (2018). Examination of Bcl-2 and Bax Protein Levels for Determining the Apoptotic Changes in Placentas with Gestational Diabetes and Preeclampsia. Proceedings, 2(25), 1548. https://doi.org/10.3390/proceedings2251548

