Immunoblotting Identification of Diagnostic Antigens of Paragonimus westermani Type 1 for the Detection of Human Pulmonary Paragonimiasis in North East India
Abstract
1. Introduction
2. Materials and Methods
2.1. Biological Samples
2.2. Preparation of Adult Worm Somatic Antigens and Immunoblotting
2.3. Preparation of Excretory–Secretory Antigenic Proteins
2.4. Immunoblot Analysis Using Human Serum
3. Results
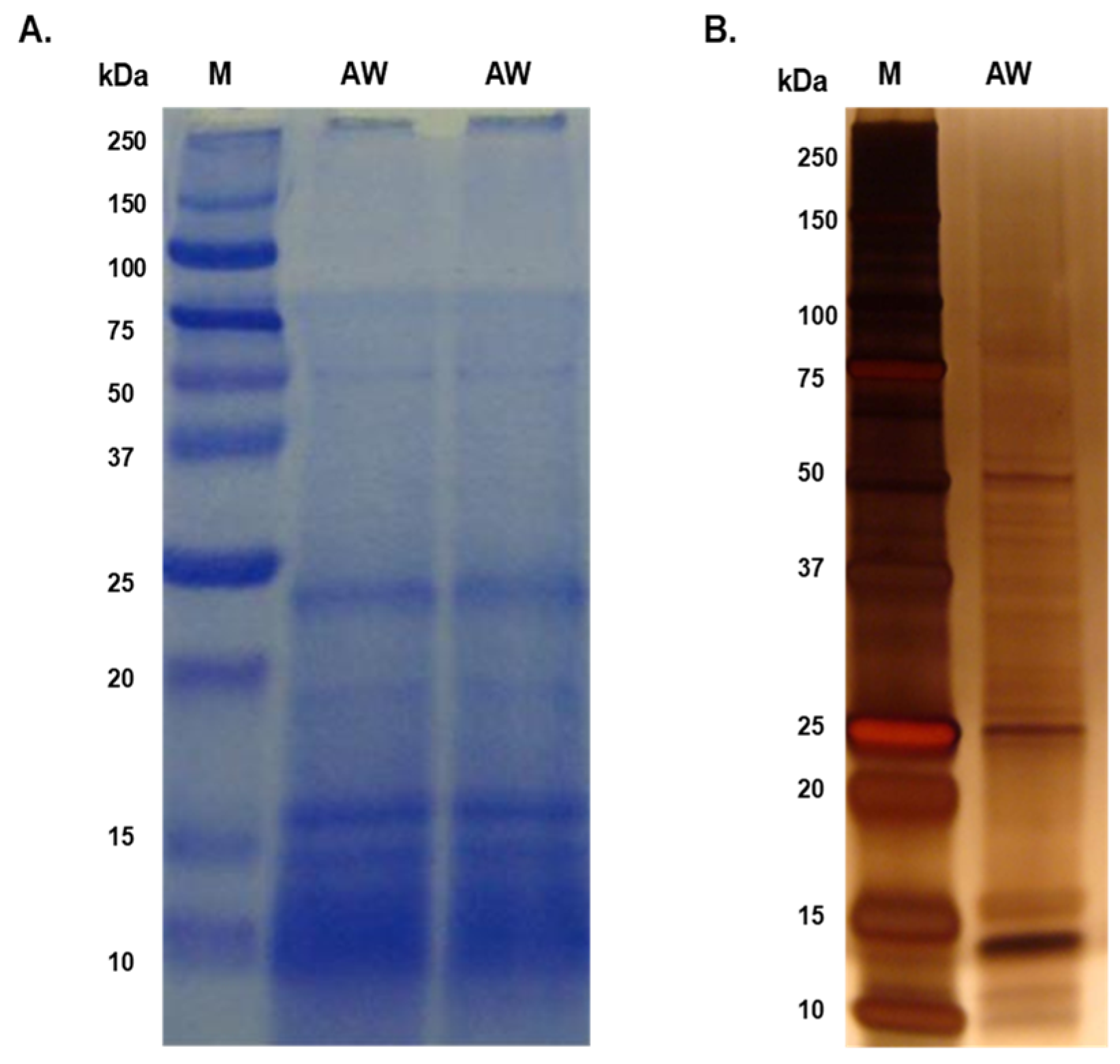
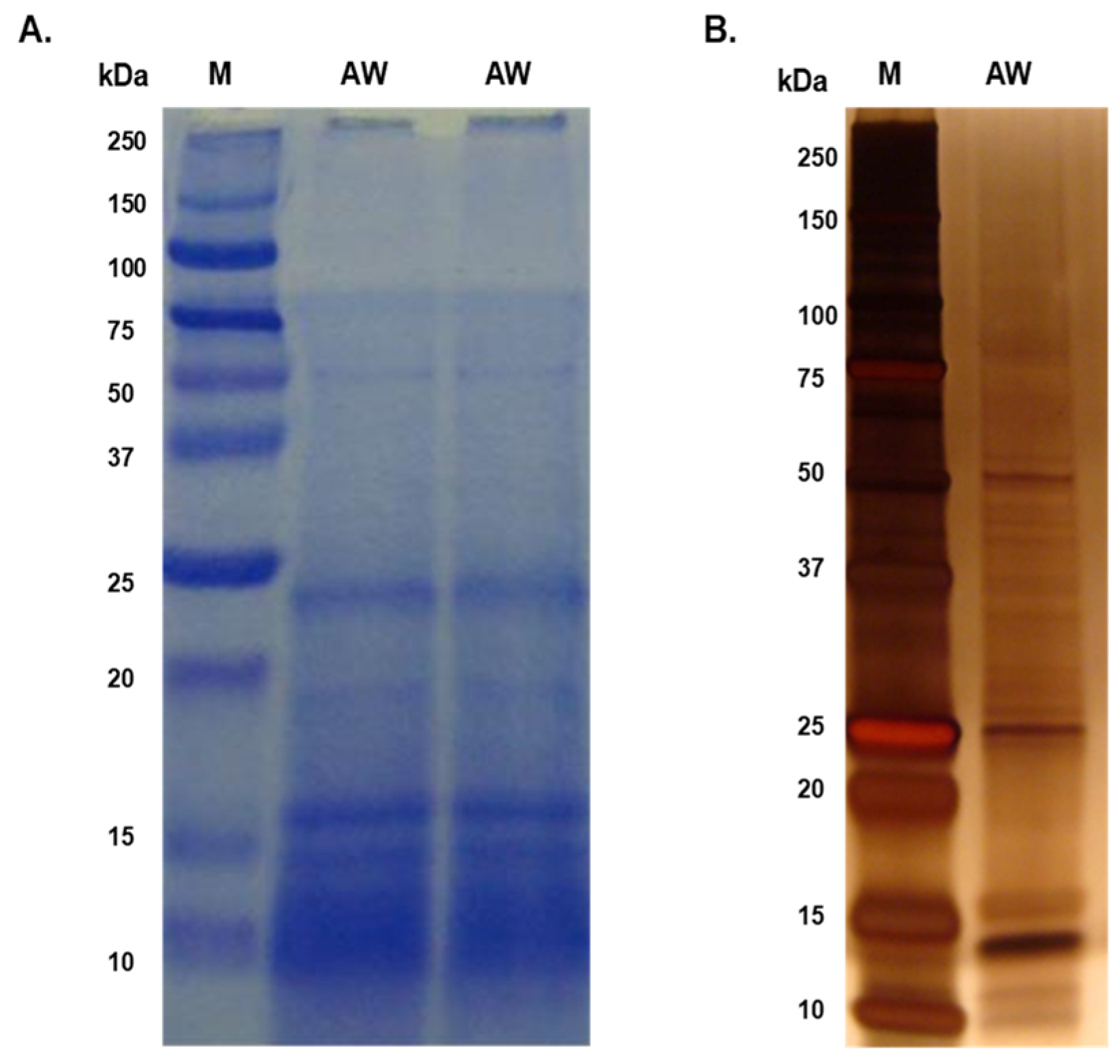
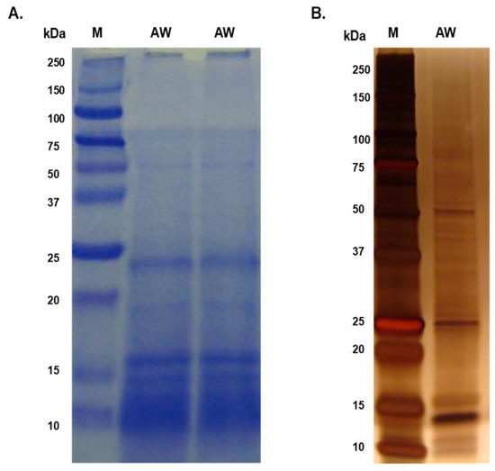
3.1. Protein Profiling of Different Antigenic Extracts
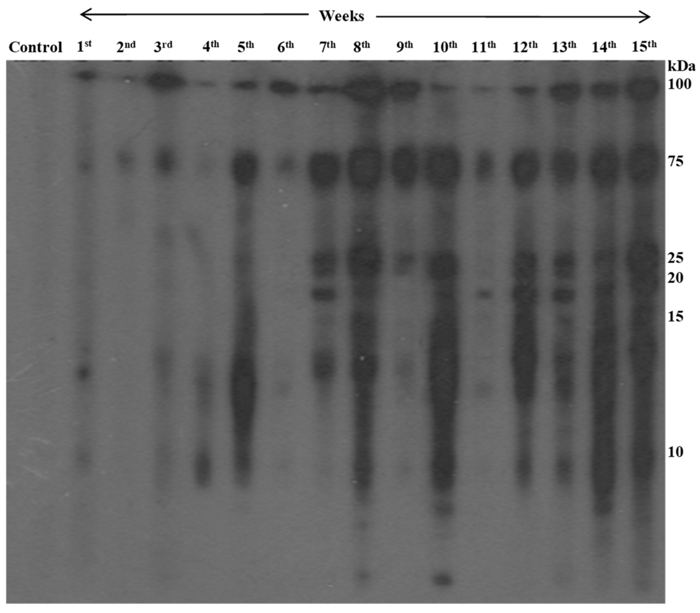
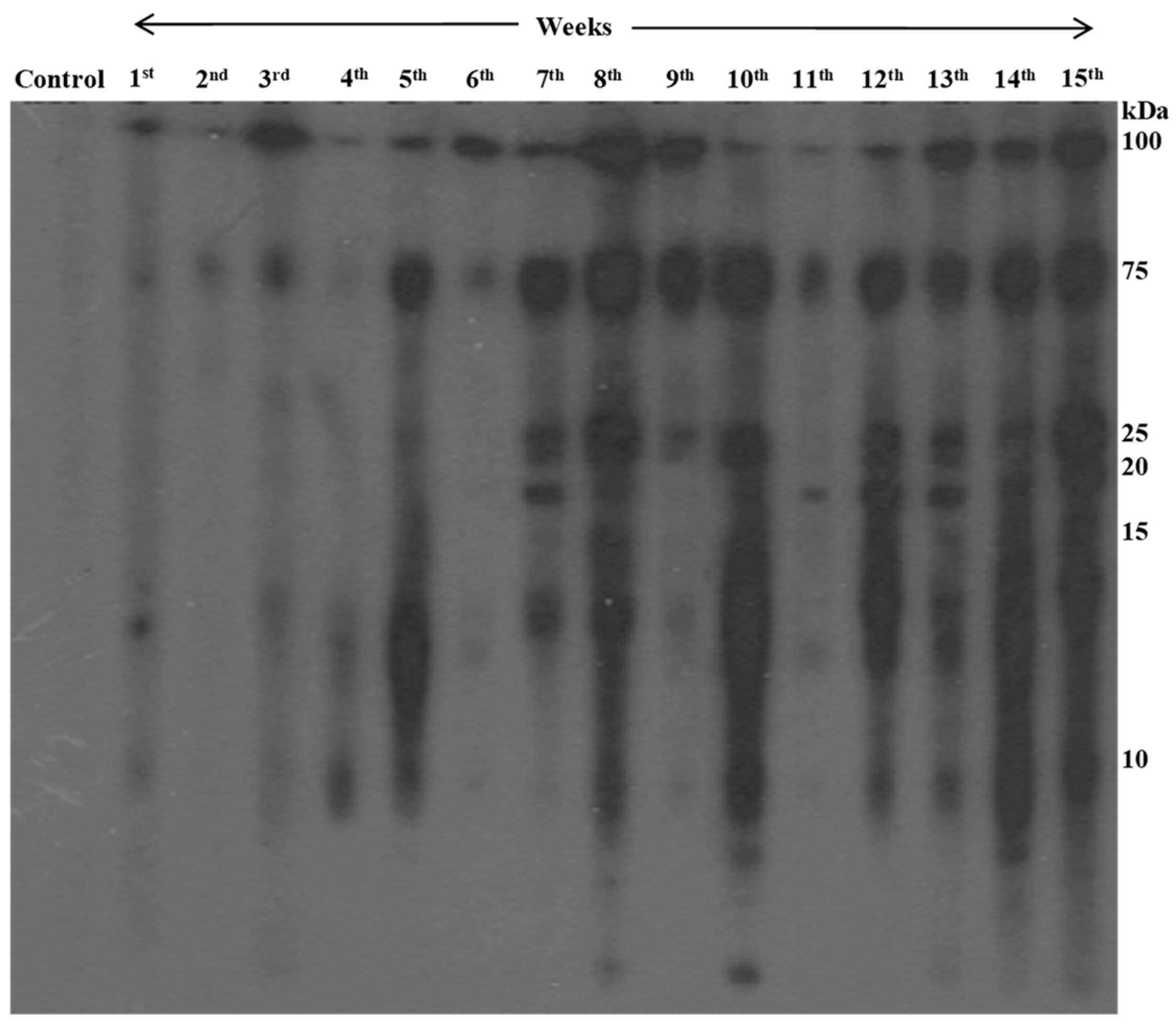
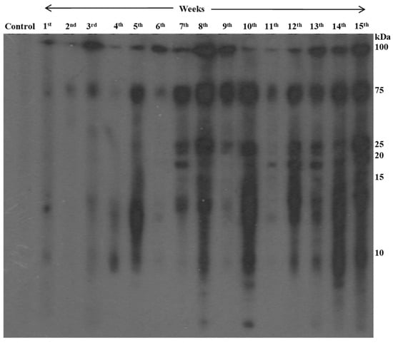
3.2. Serum Antibody Responses in Experimental Rats
3.3. Immunoreactivity of Human Sera with Antigenic Extracts
3.4. 2D Immunoblot Analysis of ES Antigens
4. Discussion
5. Conclusions
Author Contributions
Funding
Institutional Review Board Statement
Informed Consent Statement
Data Availability Statement
Acknowledgments
Conflicts of Interest
References
- Yoshida, A.; Doanh, P.N.; Maruyama, H. Paragonimus and paragonimiasis in Asia: An update. Acta Trop. 2019, 199, 105074. [Google Scholar] [CrossRef] [PubMed]
- Rabone, M.; Wiethase, J.; Clark, P.F.; Rollinson, D.; Cumberlidge, N.; Emery, A.M. Endemicity of Paragonimus and paragonimiasis in Sub-Saharan Africa: A systematic review and mapping reveals stability of transmission in endemic foci for a multi-host parasite system. PLoS Negl. Trop. Dis. 2021, 15, e0009120. [Google Scholar] [CrossRef] [PubMed]
- Cumberlidge, N.; Rollinson, D.; Vercruysse, J.; Tchuem Tchuente, L.A.; Webster, B.; Clark, P.F. Paragonimus and paragonimiasis in West and Central Africa: Unresolved questions. Parasitology 2018, 145, 1748–1757. [Google Scholar] [CrossRef] [PubMed]
- Furst, T.; Keiser, J.; Utzinger, J. Global burden of human food-borne trematodiasis: A systematic review and meta-analysis. Lancet Infect. Dis. 2012, 12, 210–221. [Google Scholar] [CrossRef]
- World Health Organization. Control of Foodborne Trematode Infections: Report of a WHO Study Group; World Health Organization Technical Report Series; World Health Organization: Geneva, Switzerland, 1995; Volume 849, pp. 1–157. [Google Scholar]
- Betson, M.; Alonte, A.J.; Ancog, R.C.; Aquino, A.M.; Belizario, V.Y.; Bordado, A.M.; Clark, J.; Corales, M.; Dacuma, M.G.; Divina, B.P.; et al. Chapter Two—Zoonotic transmission of intestinal helminths in southeast Asia: Implications for control and elimination. In Advances in Parasitology; Rollinson, D., Stothard, R., Eds.; Academic Press: Cambridge, MA, USA, 2020; pp. 47–131. [Google Scholar]
- Zhou, X.J.; Yang, Q.; Tan, Q.H.; Zhang, L.Y.; Shi, L.B.; Zou, J.X. Paragonimus and its hosts in China: An update. Acta Trop. 2021, 223, 106094. [Google Scholar] [CrossRef] [PubMed]
- Singh, T.S.; Sugiyama, H.; Rangsiruji, A. Paragonimus & paragonimiasis in India. Indian J. Med. Res. 2012, 136, 192–204. [Google Scholar]
- Castilla, E.A.; Jessen, R.; Sheck, D.N.; Procop, G.W. Cavitary mass lesion and recurrent pneumothoraces due to Paragonimus kellicotti infection: North American paragonimiasis. Am. J. Surg. Pathol. 2003, 27, 1157–1160. [Google Scholar] [CrossRef]
- Blair, D. Paragonimiasis. Adv. Exp. Med. Biol. 2019, 1154, 105–138. [Google Scholar]
- Lane, M.A.; Barsanti, M.C.; Santos, C.A.; Yeung, M.; Lubner, S.J.; Weil, G.J. Human paragonimiasis in North America following ingestion of raw crayfish. Clin. Infect. Dis. 2009, 49, e55–e61. [Google Scholar] [CrossRef]
- Sharma, D.C. Paragonimiasis causing diagnostic confusion with tuberculosis. Lancet Infect. Dis. 2005, 5, 538. [Google Scholar] [CrossRef]
- Jeon, K.; Koh, W.J.; Kim, H.; Kwon, O.J.; Kim, T.S.; Lee, K.S.; Han, J. Clinical features of recently diagnosed pulmonary paragonimiasis in Korea. Chest 2005, 128, 1423–1430. [Google Scholar] [CrossRef] [PubMed]
- Singh, Y.I.; Singh, N.B.; Devi, S.S.; Singh, Y.M.; Razaque, M. Pulmonary paragonimiasis in Manipur. Indian J. Chest Dis. Allied Sci. 1982, 24, 304–306. [Google Scholar]
- Singh, T.S.; Sugiyama, H.; Lepcha, C.; Khanna, S.K. Massive pleural effusion due to paragonimiasis: Biochemical, cytological, and parasitological findings. Indian J. Pathol. Microbiol. 2014, 57, 492. [Google Scholar] [CrossRef] [PubMed]
- Singh, T.S.; Sugiyama, H.; Umehara, A.; Hiese, S.; Khalo, K. Paragonimusheterotremus infection in Nagaland: A new focus of Paragonimiasis in India. Indian J. Med. Microbiol. 2009, 27, 123–127. [Google Scholar] [CrossRef] [PubMed]
- Roy, J.S.; Das, P.P.; Borah, A.K.; Das, J.K. Paragonimiasis in a Child from Assam, India. J. Clin. Diagn. Res. 2016, 10, DD06–DD07. [Google Scholar] [CrossRef] [PubMed]
- Singh, T.S.; Hiromu, S.; Devi, K.R.; Singh, W.A. First case of Paragonimus westermani infection in a female patient in India. Indian J. Med. Microbiol. 2015, 33, 156–159. [Google Scholar] [CrossRef]
- Rekha, D.K.; Narain, K.; Mahanta, J.; Nirmolia, T.; Blair, D.; Saikia, S.P.; Agatsuma, T. Presence of three distinct genotypes within the Paragonimus westermani complex in northeastern India. Parasitology 2013, 140, 76–86. [Google Scholar]
- Dreyfuss, G.; Rondelaud, D. Biodiversity of flukes. Parasite 2008, 15, 282–285. [Google Scholar] [CrossRef][Green Version]
- Yeshi, K.; Ruscher, R.; Loukas, A.; Wangchuk, P. Immunomodulatory and biological properties of helminth-derived small molecules: Potential applications in diagnostics and therapeutics. Front. Parasitol. 2022, 1, 984152. [Google Scholar] [CrossRef]
- McNulty, S.N.; Fischer, P.U.; Townsend, R.R.; Curtis, K.C.; Weil, G.J.; Mitreva, M. Systems biology studies of adult paragonimus lung flukes facilitate the identification of immunodominant parasite antigens. PLoS Negl. Trop. Dis. 2014, 8, e3242. [Google Scholar] [CrossRef]
- Maleewong, W.; Pariyanonda, S.; Wongkham, C.; Intapan, P.; Daenseegaew, W.; Morakote, N. Comparison of adult somatic and excretory-secretory antigens in enzyme-linked immunosorbent assay for serodiagnosis of human infection with Paragonimus heterotremus. Trans. R. Soc. Trop. Med. Hyg. 1990, 84, 840–841. [Google Scholar] [CrossRef] [PubMed]
- Pothong, K.; Komalamisra, C.; Kalambaheti, T.; Watthanakulpanich, D.; Yoshino, T.P.; Dekumyoy, P. ELISA based on a recombinant Paragonimus heterotremus protein for serodiagnosis of human paragonimiasis in Thailand. Parasites Vectors 2018, 11, 322. [Google Scholar] [CrossRef] [PubMed]
- Qiu, X.G.; Nakamura-Uchiyama, F.; Nawa, Y.; Itoh, M. A tool for mass-screening of paragonimiasis: An enzyme-linked immunosorbent assay with urine samples. Trop. Med. Health 2016, 44, 19. [Google Scholar] [CrossRef] [PubMed]
- Devi, K.R.; Narain, K.; Agatsuma, T.; Blair, D.; Nagataki, M.; Wickramasinghe, S.; Mahanta, J. Morphological and molecular characterization of Paragonimus westermani in northeastern India. Acta Trop. 2010, 116, 31–38. [Google Scholar] [CrossRef]
- Narain, K.; Rekha, D.K.; Mahanta, J. A rodent model for pulmonary paragonimiasis. Parasitol. Res. 2003, 91, 517–519. [Google Scholar] [CrossRef]
- Narain, K.; Devi, K.R.; Mahanta, J. Development of enzyme-linked immunosorbent assay for serodiagnosis of human paragonimiasis. Indian J. Med. Res. 2005, 121, 739. [Google Scholar]
- Bradford, M.M. A rapid and sensitive method for the quantitation of microgram quantities of protein utilizing the principle of protein-dye binding. Anal. Biochem. 1976, 72, 248–254. [Google Scholar] [CrossRef]
- Laemmli, U.K. Cleavage of structural proteins during the assembly of the head of bacteriophage T4. Nature 1970, 227, 680–685. [Google Scholar] [CrossRef]
- De Kostha, Y.S.; Pathirana, S.L.; Handunnetti, S.M.; Gunawardena, S. Characterization of antigens of Enterobius vermicularis (pinworm) eggs. Sci. Rep. 2022, 12, 14414. [Google Scholar] [CrossRef]
- Morassutti, A.L.; Levert, K.; Pinto, P.M.; da Silva, A.J.; Wilkins, P.; Graeff-Teixeira, C. Characterization of Angiostrongylus cantonensis excretory–secretory proteins as potential diagnostic targets. Exp. Parasitol. 2012, 130, 26–31. [Google Scholar] [CrossRef]
- Deka, A.; Reza, M.A.; Hoque KM, F.; Deka, K.; Saha, S.; Doley, R. Comparative analysis of Naja kaouthia venom from North-East India and Bangladesh and its cross reactivity with Indian polyvalent antivenoms. Toxicon 2019, 164, 31–43. [Google Scholar] [CrossRef] [PubMed]
- Lee, E.G.; Na, B.K.; Bae, Y.A.; Kim, S.H.; Je, E.Y.; Ju, J.W.; Kong, Y. Identification of immunodominant excretory–secretory cysteine proteases of adult Paragonimus westermani by proteome analysis. Proteomics 2006, 6, 1290–1300. [Google Scholar] [CrossRef] [PubMed]
- Fischer, P.U.; Curtis, K.C.; Folk, S.M.; Wilkins, P.P.; Marcos, L.A.; Weil, G.J. Serological diagnosis of North American Paragonimiasis by Western blot using Paragonimus kellicotti adult worm antigen. Am. J. Trop. Med. Hyg. 2013, 88, 1035. [Google Scholar] [CrossRef] [PubMed]
- Kang, S.Y.; Cho, S.Y.; Kong, Y.; Gan, X.X.; Hong, S.J. Recombinant Paragonimus westermani yolk ferritin is a useful serodiagnostic antigen. J. Infect. Dis. 2012, 185, 1373–1375. [Google Scholar]
- Dagenais, M.; Tritten, L. Hidden in plain sight: How helminths manage to thrive in host blood. Front. Parasitol. 2023, 2, 1128299. [Google Scholar] [CrossRef]
- Lou, Y.S.; Fujino, T.; Morita, K.; Ishii, Y. A comparative ultrastructural and histochemical study of the metacercarial cyst walls of four species of Paragonimus (Troglotrematidae: Trematoda). Parasitol. Res. 1992, 78, 457–462. [Google Scholar] [CrossRef] [PubMed]
- Zhao, Q.P.; Moon, S.U.; Na, B.K.; Kim, S.H.; Cho, S.H.; Lee, H.W.; Kim, T.S. Paragonimus westermani: Biochemical and immunological characterizations of paramyosin. Exp. Parasitol. 2007, 115, 9–18. [Google Scholar] [CrossRef] [PubMed]
- Odermatt, P.; Veasna, D.; Zhang, W.; Vannavong, N.; Phrommala, S.; Habe, S.; Strobel, M. Rapid identification of paragonimiasis foci by lay informants in Lao People’s Democratic Republic. PLoS Negl. Trop. Dis. 2009, 3, e521. [Google Scholar] [CrossRef]
- Kim, K.E.; Jung, S.S.; Park, H.S.; Lee, J.E.; Chung, C.; Lee, S.I.; Park, D. The first case report of Paragonimus westermani infection diagnosed by transbronchial lung cryobiopsy. Int. J. Infect. Dis. 2023, 128, 184–186. [Google Scholar] [CrossRef]
- Poudyal, B.S.; Paudel, B.; Bista, B.; Shrestha, G.S.; Pudasaini, P. Clinical, Laboratory and Radiological Features of Paragonimiasis Misdiagnosed as Pulmonary Tuberculosis. Iran. J. Parasitol. 2022, 17, 410. [Google Scholar] [CrossRef]
- Hwang, K.E.; Song, H.Y.; Jung, J.W.; Oh, S.J.; Yoon, K.H.; Park, D.S.; Kim, H.R. Pleural fluid characteristics of pleuropulmonary paragonimiasis masquerading as pleural tuberculosis. Korean J. Intern. Med. 2015, 30, 56. [Google Scholar] [CrossRef] [PubMed]
- Sharifi, Y.; Sadjjadi, S.M.; Jafari, S.H.; NikoupourDeilami, H.; Mardani, P.; Solgi, R. Application and evaluation of native antigen B from Echinococcus granulosus sensu stricto and E. canadensis alone or mixture for serodiagnosis of human G1-G3 and G6/G7 genotypes cystic echinococcosis sera, using ELISA and Western blotting. Parasitol. Res. 2023, 122, 2227–2236. [Google Scholar] [CrossRef] [PubMed]
- del Carmen Medina-Rojas, R.; Zuñiga-Sanchez, H.A.; Castillo-Coaquira, I.E.; Sucari-Turpo, W.G.; Hoces-La-Rosa, Z.P.; Sarayasi-Alencastre, Y. Western Blot for the diagnosis of the acute and chronic phase of animal and human fasciolosis, using different antigens of Fasciola hepatica. J. Surv. Fish. Sci. 2023, 10, 1362–1373. [Google Scholar]
- Suescún-Carrero, S.H.; Tadger, P.; Sandoval Cuellar, C.; Armadans-Gil, L.; Ramirez Lopez, L.X. Rapid diagnostic tests and ELISA for diagnosing chronic Chagas disease: Systematic revision and meta-analysis. PLoS Negl. Trop. Dis. 2022, 16, e0010860. [Google Scholar] [CrossRef] [PubMed]
- Meftahi, G.H.; Bahari, Z.; Zarei Mahmoudabadi, A.; Iman, M.; Jangravi, Z. Applications of western blot technique: From bench to bedside. Biochem. Mol. Biol. Educ. 2021, 49, 509–517. [Google Scholar] [CrossRef] [PubMed]
- Kim, J.G.; Ahn, C.S.; Kang, I.; Shin, J.W.; Jeong, H.B.; Nawa, Y.; Kong, Y. Cerebral paragonimiasis: Clinicoradiological features and serodiagnosis using recombinant yolk ferritin. PLoS Negl. Trop. Dis. 2022, 16, e0010240. [Google Scholar] [CrossRef] [PubMed]
- Rosa, B.A.; Choi, Y.J.; McNulty, S.N.; Jung, H.; Martin, J.; Agatsuma, T.; Mitreva, M. Comparative genomics and transcriptomics of 4 Paragonimus species provide insights into lung fluke parasitism and pathogenesis. GigaScience 2020, 9, giaa073. [Google Scholar] [CrossRef]
- Biswal, D.K.; Chatterjee, A.; Bhattacharya, A.; Tandon, V. The mitochondrial genome of Paragonimus westermani (Kerbert, 1878), the Indian isolate of the lung fluke representative of the family Paragonimidae (Trematoda). PeerJ 2014, 2, e484. [Google Scholar] [CrossRef]
- Doanh, N.P.; Tu, A.L.; Bui, T.D.; Loan, T.H.; Nonaka, N.; Horii, Y.; Nawa, Y. Molecular and morphological variation of Paragonimus westermani in Vietnam with records of new second intermediate crab hosts and a new locality in a northern province. Parasitology 2016, 143, 1639–1646. [Google Scholar] [CrossRef]
- Persichetti, M.F.; Solano-Gallego, L.; Vullo, A.; Masucci, M.; Marty, P.; Delaunay, P.; Pennisi, M.G. Diagnostic performance of ELISA, IFAT and Western blot for the detection of anti-Leishmania infantum antibodies in cats using a Bayesian analysis without a gold standard. Parasites Vectors 2017, 10, 119. [Google Scholar] [CrossRef]
- Gómez-Morales, M.A.; Ludovisi, A.; Amati, M.; Blaga, R.; Zivojinovic, M.; Ribicich, M.; Pozio, E. A distinctive Western blot pattern to recognize Trichinella infections in humans and pigs. Int. J. Parasitol. 2012, 42, 1017–1023. [Google Scholar] [CrossRef] [PubMed]
- Shiguekawa KY, M.; Mineo, J.R.; de Moura, L.P.; Costa-Cruz, J.M. ELISA and western blotting tests in the detection of IgG antibodies to Taenia solium metacestodes in serum samples in human neurocysticercosis. Trop. Med. Int. Health 2000, 5, 443–449. [Google Scholar] [CrossRef] [PubMed]
- Di Maggio, L.S.; Curtis, K.C.; Erdmann-Gilmore, P.; Sprung, R.S.; Townsend, R.R.; Weil, G.J.; Fischer, P.U. Comparative proteomics of adult Paragonimus kellicotti excretion/secretion products released in vitro or present in the lung cyst nodule. PLoS Negl. Trop. Dis. 2022, 16, e0010679. [Google Scholar] [CrossRef]
- Di Maggio, L.S.; Fischer, K.; Yates, D.; Curtis, K.C.; Rosa, B.A.; Martin, J.; Fischer, P.U. The proteome of extracellular vesicles of the lung fluke Paragonimus kellicotti produced in vitro and in the lung cyst. Sci. Rep. 2023, 13, 13726. [Google Scholar] [CrossRef]
- Becerro-Recio, D.; González-Miguel, J.; Ucero, A.; Sotillo, J.; Martínez-Moreno, Á.; Pérez-Arévalo, J.; Siles-Lucas, M. Recognition pattern of the Fasciola hepatica excretome/secretome during the course of an experimental infection in sheep by 2D Immunoproteomics. Pathogens 2021, 10, 725. [Google Scholar] [CrossRef] [PubMed]
- Grzelak, S.; Stachyra, A.; Stefaniak, J.; Mrówka, K.; Moskwa, B.; Bień-Kalinowska, J. Immunoproteomic analysis of Trichinella spiralis and Trichinella britovi excretory-secretory muscle larvae proteins recognized by sera from humans infected with Trichinella. PLoS ONE 2020, 15, e0241918. [Google Scholar] [CrossRef] [PubMed]
- Ahn, C.S.; Na, B.K.; Chung, D.L.; Kim, J.G.; Kim, J.T.; Kong, Y. Expression characteristics and specific antibody reactivity of diverse cathepsin F members of Paragonimus westermani. Parasitol. Int. 2015, 64, 37–42. [Google Scholar] [CrossRef]
- Pedroza-Gómez, Y.J.; Cossio-Bayugar, R.; Aguilar-Díaz, H.; Scarcella, S.; Reynaud, E.; Sanchez-Carbente, M.D.R.; Miranda-Miranda, E. Transcriptome-Based Identification of a Functional Fasciola Hepatica Carboxylesterase B. Pathogens 2021, 10, 1454. [Google Scholar] [CrossRef]
- Hokke, C.H.; van Diepen, A. Helminth glycomics–glycan repertoires and host-parasite interactions. Mol. Biochem. Parasitol. 2017, 215, 47–57. [Google Scholar] [CrossRef]
- Smit, C.H.; van Diepen, A.; Nguyen, D.L.; Wuhrer, M.; Hoffmann, K.F.; Deelder, A.M.; Hokke, C.H. Glycomic Analysis of Life Stages of the Human Parasite Schistosoma Mansoni Reveals Developmental Expression Profiles of Functional and Antigenic Glycan Motifs. Mol. Cell. Proteom. 2015, 14, 1750–1769. [Google Scholar] [CrossRef]
- Meevissen, M.H.; Wuhrer, M.; Doenhoff, M.J.; Schramm, G.; Haas, H.; Deelder, A.M.; Hokke, C.H. Structural characterization of glycans on omega-1, a major Schistosoma mansoni egg glycoprotein that drives Th2 responses. J. Proteome Res. 2010, 9, 2630–2642. [Google Scholar] [CrossRef] [PubMed]
- Silva-Moraes, V.; Shollenberger, L.M.; Castro-Borges, W.; Rabello, A.L.T.; Harn, D.A.; Medeiros, L.C.S.; Jeremias, W.D.J.; Siqueira, L.M.V.; Pereira, C.S.S.; Pedrosa, M.L.C.; et al. Serological proteomic screening and evaluation of a recombinant egg antigen for the diagnosis of low-intensity Schistosoma mansoni infections in endemic area in Brazil. PLoS Negl. Trop. Dis. 2019, 13, e0006974. [Google Scholar] [CrossRef] [PubMed]
- de Noya, B.A.; Colmenares, C.; Lanz, H.; Caracciolo, M.A.; Losada, S.; Noya, O. Schistosoma mansoni: Immunodiagnosis is improved by sodium metaperiodate which reduces cross-reactivity due to glycosylated epitopes of soluble egg antigen. Exp. Parasitol. 2000, 95, 106–112. [Google Scholar] [CrossRef] [PubMed]







| Experimental Groups | Immunoreactivity |
|---|---|
| Control groups | No immunoreactivity |
| 1st week | Faintly reactive, detected at 100, 75, and 14 kDa |
| 3rd week (corresponding with development of lung cysts) | Detected at 100 and 75 kDa |
| 7th week (sexually mature adult worms) | Detected at 100, 75, 25, 20, and 14 kDa |
| 8th week onward (up to 15th week) | More intense pattern, detected at 100, 75, 25, 20, 15, and 10 kDa |
| Sample ID | Protein Name | Species | Accession No. | Theoretical Mass/pI | Score | Coverage (%) | Peptides Matched | E-Value |
|---|---|---|---|---|---|---|---|---|
| Spot 1 | Globin family profile domain-containing protein | P. westermani | A0A5J4NY79 | 16,259/5.23 | 68 | 50 | 7 | 0.0077 |
| Spot 2 | 5′-Nucleotidase C-terminal domain-containing protein | P. westermani | A0A8T0D4N5 | 50,306/5.93 | 66 | 28 | 12 | 0.013 |
| Spot 4 | Carboxylesterase type B domain-containing protein | P. westermani | A0A8T0DIE9 | 37,545/5.35 | 58 | 19 | 9 | 0.079 |
| Spot 9 | Cathepsin F | P. westermani | A0A5J4N7R7 | 35,237/5.64 | 59 | 36 | 11 | 0.069 |
| Spot 12 | Nucleosome assembly protein 1-like 1 | P. skrjabini miyazakii | A0A8S9YXX6 | 38,362/5.56 | 55 | 33 | 10 | 0.15 |
| Spot 13 | Ras and EF-hand domain-containing protein | P. westermani | A0A8T0DUJ8 | 25,151/6.74 | 60 | 42 | 9 | 0.044 |
| Spot 16 | SET domain-containing protein | P. skrjabini miyazakii | A0A8S9Z7N9 | 44,115/8.92 | 43 | 18 | 7 | 2.3 |
Disclaimer/Publisher’s Note: The statements, opinions and data contained in all publications are solely those of the individual author(s) and contributor(s) and not of MDPI and/or the editor(s). MDPI and/or the editor(s) disclaim responsibility for any injury to people or property resulting from any ideas, methods, instructions or products referred to in the content. |
© 2023 by the authors. Licensee MDPI, Basel, Switzerland. This article is an open access article distributed under the terms and conditions of the Creative Commons Attribution (CC BY) license (https://creativecommons.org/licenses/by/4.0/).
Share and Cite
Devi, K.R.; Deka, A.; Mukherjee, D.; Kaur, H.; Narain, K. Immunoblotting Identification of Diagnostic Antigens of Paragonimus westermani Type 1 for the Detection of Human Pulmonary Paragonimiasis in North East India. Trop. Med. Infect. Dis. 2024, 9, 6. https://doi.org/10.3390/tropicalmed9010006
Devi KR, Deka A, Mukherjee D, Kaur H, Narain K. Immunoblotting Identification of Diagnostic Antigens of Paragonimus westermani Type 1 for the Detection of Human Pulmonary Paragonimiasis in North East India. Tropical Medicine and Infectious Disease. 2024; 9(1):6. https://doi.org/10.3390/tropicalmed9010006
Chicago/Turabian StyleDevi, Kangjam Rekha, Archana Deka, Debdutta Mukherjee, Harpreet Kaur, and Kanwar Narain. 2024. "Immunoblotting Identification of Diagnostic Antigens of Paragonimus westermani Type 1 for the Detection of Human Pulmonary Paragonimiasis in North East India" Tropical Medicine and Infectious Disease 9, no. 1: 6. https://doi.org/10.3390/tropicalmed9010006
APA StyleDevi, K. R., Deka, A., Mukherjee, D., Kaur, H., & Narain, K. (2024). Immunoblotting Identification of Diagnostic Antigens of Paragonimus westermani Type 1 for the Detection of Human Pulmonary Paragonimiasis in North East India. Tropical Medicine and Infectious Disease, 9(1), 6. https://doi.org/10.3390/tropicalmed9010006

