Autochthonous West Nile Virus Infection Outbreak in Humans (Asti, Piedmont, Italy, August–October 2018) and Long-Term Sequelae Follow-Up
Abstract
:1. Introduction
2. Materials and Methods
2.1. Cohort and Samples
2.2. Viral and Immunological Measures
2.3. Statistical Analysis
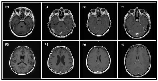
3. Results
4. Discussion
Author Contributions
Funding
Institutional Review Board Statement
Informed Consent Statement
Data Availability Statement
Conflicts of Interest
References
- Chancey, C.; Grinev, A.; Volkova, E.; Rios, M. The Global Ecology and Epidemiology of West Nile Virus. BioMed. Res. Int. 2015, 2015, 376230. [Google Scholar] [CrossRef] [PubMed]
- Petersen, L.R.; Brault, A.C.; Nasci, R.S. West Nile Virus: Review of the Literature. JAMA 2013, 310, 308–315. [Google Scholar] [CrossRef] [PubMed]
- West Nile Virus Infection. In Annual Epidemiological Report for 2018; ECDC: Stockholm, Sweden, 2019; Available online: https://www.ecdc.europa.eu/sites/default/files/documents/west-nile-fever-annual-epidemiological-report-2018.pdf (accessed on 27 June 2022).
- Moirano, G.; Richiardi, L.; Calzolari, M.; Merletti, F.; Maule, M. Recent rapid changes in the spatio-temporal distribution of West Nile Neuro-invasive Disease in Italy. Zoonoses Public Health 2019, 67, 54–61. [Google Scholar] [CrossRef] [PubMed]
- Young, J.J.; Haussig, J.M.; Aberle, S.W.; Pervanidou, D.; Riccardo, F.; Sekulić, N.; Bakonyi, T.; Gossner, C.M. Epidemiology of human West Nile virus infections in the European Union and European Union enlargement countries, 2010 to 2018. Eurosurveillance 2021, 26, 2001095. [Google Scholar] [CrossRef] [PubMed]
- Pupella, S.; Pisani, G.; Cristiano, K.; Catalano, L.; Grazzini, G. West Nile virus in the transfusion setting with a special focus on the Italian preventive measures adopted in 2008–2012 and their impact on blood safety. Blood Transfus. 2013, 11, 563–574. [Google Scholar] [PubMed]
- Riccò, M.; Peruzzi, S.; Balzarini, F. Epidemiology of West Nile Virus Infections in Humans, Italy, 2012–2020: A Summary of Available Evidences. Trop. Med. Infect. Dis. 2021, 6, 61. [Google Scholar] [CrossRef] [PubMed]
- Piano Nazionale Integrato di Prevenzione, Sorveglianza e Risposta ai Virus West Nile e Usutu—2019. Available online: https://www.seremi.it/sites/default/files/Circolare%20WN%20USUTU%202019%2005%2004%20%202019.pdf (accessed on 27 June 2022).
- Epicentro Report West-Nile Virus. Available online: https://www.epicentro.iss.it/westnile/2018 (accessed on 25 July 2022).
- ECDC. Epidemiological Update: West Nile Virus Transmission Season in Europe. 2018. Available online: https://www.ecdc.europa.eu/en/news-events/epidemiological-update-west-nile-virus-transmission-season-europe-2018 (accessed on 25 July 2022).
- Malattie Emergenti Trasmesse da Vettori–Dengue, Chikungunya, Zika, West Nile e Altre Arbovirosi. Available online: https://www.seremi.it/sites/default/files/Report%20Arbovirosi%20in%20Piemonte%202018_0.pdf (accessed on 29 June 2022).
- Moirano, G.; Gasparrini, A.; Acquaotta, F.; Fratianni, S.; Merletti, F.; Maule, M.; Richiardi, L. West Nile Virus infection in Northern Italy: Case-crossover study on the short-term effect of climatic parameters. Environ. Res. 2018, 167, 544–549. [Google Scholar] [CrossRef] [PubMed]
- Arpa Climate Report. Available online: https://www.arpa.piemonte.it/rischinaturali/tematismi/clima/rapporti-di-analisi/annuale_pdf/anno_2018.pdf (accessed on 27 June 2022).
- Yeung, M.W.; Shing, E.; Nelder, M.; Sander, B. Epidemiologic and clinical parameters of West Nile virus infections in humans: A scoping review. BMC Infect. Dis. 2017, 17, 609. [Google Scholar] [CrossRef] [PubMed]
- Natarajan, N.; Varman, M. West Nile Virus Cerebellitis in a Healthy 10-Year-Old Child. Pediatr. Infect. Dis. J. 2007, 26, 767. [Google Scholar] [CrossRef] [PubMed]
- Rousseau, A.; Haigh, O.; Ksiaa, I.; Khairallah, M.; Labetoulle, M. Ocular Manifestations of West Nile Virus. Vaccines 2020, 8, 641. [Google Scholar] [CrossRef] [PubMed]
- Debiasi, R.L.; Tyler, K.L. West Nile virus meningoencephalitis. Nature clinical practice. Neurology 2006, 2, 264–275. [Google Scholar] [CrossRef] [PubMed]
- Patel, H.; Sander, B.; Nelder, M.P. Long-term sequelae of West Nile virus-related illness: A systematic review. Lancet Infect. Dis. 2015, 15, 951–959. [Google Scholar] [CrossRef]

| Patient 1 | Patient 2 | Patient 3 | Patient 4 | Patient 5 | Patient 6 | Patient 7 | Patient 8 | Patient 9 | |
|---|---|---|---|---|---|---|---|---|---|
| Age | 44 | 45 | 79 | 78 | 63 | 76 | 49 | 70 | 29 | 
| Sex | F | M | F | M | F | F | M | M | M | 
| Month of Admission | August | August | August | September | September | September | September | September | October | 
| Comorbidities | G6PDH deficit | CLL | NIDDM, hypertension, NHL | NHL | Hypertension | COPD | Hypertension | NIDDM | None | 
| Clinical features | Fever, chills, headache, abdominal pain, vomiting | Fever, headache, malaise vomiting, diarrhoea, arthralgia, visual deficit | Fever, sleepiness, dyspnea | Fever, dizziness | Dysarthria, dysmetria, dizziness | Fever, paresthesia, ideomotor slowdown, photophobia, intention tremor | Fever, chills, vomiting, impaired consciuosness | Fever, chills, vomiting, impaired consciousness | Fever, dizziness, ear pain | 
| Neurological involvement | No | Yes, Meningitis and Optic Neuritis | Yes, Meningitis | Yes, Meningitis | Yes, Cerebellitis | Yes, Meningo-encephalitis with peripheral neuropathy | Yes, Meningitis | Yes, Meningitis | Yes, Meningitis | 
| CSF abnormalities | LP not performed | Yes | Yes | Yes | Yes | Yes | Yes | Yes | Yes | 
| Laboratory abnormalities | Pancytopenia | Anaemia, increased CRP | Lymphocytosis, increased CRP | Anaemia, increased CRP and LDH | Low albumin and vitamine B12 | Leucocytosis, increased CRP | Leucocytosis, hyperglycemia, increades CRP and LDH | Leucocytosis, increased CRP | Leucocytosis, prolonged aPTT | 
| CT | NA | NA | Abnormality is not appreciated | Abnormality is not appreciated | Abnormality is not appreciated | Ischaemic sequelae in the bilateral middle cerebral artery territories | NA | Ischaemic sequelae in the left temporal lobe | NA | 
| MR | NA | Negative | Meningeal inflammation | Meningeal inflammation | Negative | Meningeal inflammation | Meningeal inflammation | Gliosis | Meningeal inflammation | 
| EEG | NA | Negative | Negative | Negative | Abnormal diffuse slow activity | Encephalitis pattern | Slow activity in posterior lobes | Abnormal diffuse slow activity | Epileptiform pattern on right hemisphere | 
| EMG | NA | NA | NA | NA | NA | Peripheral Neuropathy | NA | NA | NA | 
| Treatment | Symptomatic | Symptomatic | Acyclovir, antibiotic, symptomatic | Acyclovir, antibiotic, symptomatic | Acyclovir, antibiotic, IVIG, symptomatic | Acyclovir antibiotic, symptomatic | Acyclovir, antibiotic, symptomatic | Acyclovir, antibiotic, symptomatic | Acyclovir, antibiotic, anticonvulsivant, symptomatic | 
| Length of stay (days) | 4 | 8 | 15 | 14 | 8 | 13 | 12 | 27 | 14 | 
| Outcomes | Self-hospital discharge | Discharged | Discharged | Discharged | Transferred to long-term stay ward | Discharged | Discharged | Transferred to long-term care ward | Discharged | 
| Neurological sequelae | No | No | No | Dysmetria | No | No | Cognitive and motor impairment, dysphagia | Epileptic disorders, difficulty ambulating | |
| Clinical follow-up | No | No | No | No | FKT | No | No | FKT | ID + FKT | 
| Diagnostic follow-up | No | No | No | CT (negative) | MR (unchanged) | No | No | CT (unchanged) | MR and EEG (post inflammatory damage) | 
| End of Clinical or Diagnostic follow-up | NA | NA | NA | April 2019 | December 2018 | NA | NA | January 2021 | February 2020 | 
| Patient 1 | Patient 2 | Patient 3 | Patient 4 | Patient 5 | Patient 6 | Patient 7 | Patient 8 | Patient 9 | |
|---|---|---|---|---|---|---|---|---|---|
| Macroscopic characteristics | NA | Clear, transparent | Clear, cloudy | Clear, transparent | Clear, transparent | Clear, transparent | Clear, transparent | Clear, transparent | Clear, transparent | 
| RBC count [cells/mm3] | NA | ||||||||
| WBC count [cells/mm3] | NA | 159 | 99 | 113 | 6 | 198 | 57 | 60 | 35 | 
| WBC subpopulation | NA | Mononuclear cells | Mononuclear cells | Mononuclear cells | Mononuclear cells | PMN cells, mononuclear cells | Mononuclear cells | Mononuclear cells | Mononuclear cells | 
| Proteins [mg/dL] | NA | 86 | 79 | 81 | 96 | 97 | 35 | 83 | 65 | 
| Glucose [mg/dL] | NA | 59 | 83 | 53 | 59 | 58 | 170 | 110 | 50 | 
| CSF/serum glucose ratio | NA | 0.6 | 0.6 | 0.4 | 0.4 | 0.4 | 0.4 | 0.6 | 0.4 | 
| Patient 1 | Patient 2 | Patient 3 | Patient 4 | Patient 5 | Patient 6 | Patient 7 | Patient 8 | Patient 9 | |
|---|---|---|---|---|---|---|---|---|---|
| WNV IgM (serum) | + | + | + | − | + | + | + | + | − | 
| WNV IgG (serum) | − | − | − | − | + | − | − | − | − | 
| WNV IgM/IgG (CSF) | NA | NA | NA | NA | NA | NA | NA | NA | NA | 
| WNV RNA (serum) | + | − | NA | + | − | + | − | − | − | 
| WNV RNA (CSF) | NA | − | − | − | − | − | NA | − | − | 
| WNV RNA (urine) | NA | NA | NA | + | − | + | + | + | + | 
| CSF culture | NA | NA | − | − | − | − | − | − | − | 
| Film-array (CSF) | − | NA | − | − | − | − | − | − | − | 
| Superinfection/co-infections (Y/N) | N | N | Y | Y | Y | N | N | N | Y | 
| Superinfection/co-infections (Type) | N | N | BSI (S. hominis) | BSI (S. epidermidis) | Sinus infection | N | N | N | Otitis | 
| Publisher’s Note: MDPI stays neutral with regard to jurisdictional claims in published maps and institutional affiliations. | 
© 2022 by the authors. Licensee MDPI, Basel, Switzerland. This article is an open access article distributed under the terms and conditions of the Creative Commons Attribution (CC BY) license (https://creativecommons.org/licenses/by/4.0/).
Share and Cite
Lupia, T.; Libanore, V.; Corcione, S.; Fornari, V.; Rizzello, B.; Bosio, R.; Stroffolini, G.; Bigliano, P.; Fontana, S.; Patti, F.; et al. Autochthonous West Nile Virus Infection Outbreak in Humans (Asti, Piedmont, Italy, August–October 2018) and Long-Term Sequelae Follow-Up. Trop. Med. Infect. Dis. 2022, 7, 185. https://doi.org/10.3390/tropicalmed7080185
Lupia T, Libanore V, Corcione S, Fornari V, Rizzello B, Bosio R, Stroffolini G, Bigliano P, Fontana S, Patti F, et al. Autochthonous West Nile Virus Infection Outbreak in Humans (Asti, Piedmont, Italy, August–October 2018) and Long-Term Sequelae Follow-Up. Tropical Medicine and Infectious Disease. 2022; 7(8):185. https://doi.org/10.3390/tropicalmed7080185
Chicago/Turabian StyleLupia, Tommaso, Valentina Libanore, Silvia Corcione, Valentina Fornari, Barbara Rizzello, Roberta Bosio, Giacomo Stroffolini, Paolo Bigliano, Silvia Fontana, Francesca Patti, and et al. 2022. "Autochthonous West Nile Virus Infection Outbreak in Humans (Asti, Piedmont, Italy, August–October 2018) and Long-Term Sequelae Follow-Up" Tropical Medicine and Infectious Disease 7, no. 8: 185. https://doi.org/10.3390/tropicalmed7080185
APA StyleLupia, T., Libanore, V., Corcione, S., Fornari, V., Rizzello, B., Bosio, R., Stroffolini, G., Bigliano, P., Fontana, S., Patti, F., Brusa, M. T., Degioanni, M., Concialdi, E., Navazio, A. S., Penna, M., & De Rosa, F. G. (2022). Autochthonous West Nile Virus Infection Outbreak in Humans (Asti, Piedmont, Italy, August–October 2018) and Long-Term Sequelae Follow-Up. Tropical Medicine and Infectious Disease, 7(8), 185. https://doi.org/10.3390/tropicalmed7080185
 
         
                                                


 
       