Antiplasmodial Properties of Aqueous and Ethanolic Extracts of Ten Herbal Traditional Recipes Used in Thailand against Plasmodium falciparum
Abstract
1. Introduction
2. Materials and Methods
2.1. Herbal Material and Traditional Recipe
2.2. Preparation of Crude Extract
2.3. Phytochemical Analysis
2.4. In Vitro Culture of Plasmodium Parasites
2.5. Cell Culture and Maintenance
2.6. Detection of Parasite Lactate Dehydrogenase (pLDH) Activity
2.7. Cytotoxicity Assessment by 3-[4,5-Dimethylthiazol-2-yl]-2,5 diphenyl Tetrazolium Bromide (MTT) Assay
2.8. Hemolysis Measurement
2.9. Measurement of Intracellular Oxidant in pRBCs
2.10. In Vivo Antimalarial Activity Model
2.11. Acute Toxicity Test
2.12. The Liquid Chromatography-Quadrupole Time-of-Flight Mass Spectrometry (LC-QTOF-MS) Analysis
2.13. Statistical Analysis
3. Results
3.1. Percentage Yield of Crude Plant Material
3.2. Phytochemical Profile
3.3. In Vitro Antiplasmodial Activity
3.4. In Vitro Cytotoxicity on HepG2 and Vero Cells
3.5. Interpretation of Selectivity Index (SI)
3.6. Hemolysis Results
3.7. Estimation of Intracellular Reactive Oxygen Species Production
3.8. Selection of Crude Extract as a Candidate in a Mouse Model
3.9. Chemical Profiling of Aqueous Extract of Triphala
3.10. Effects of Aqueous Extract of Triphala on 4-Day Suppressive Test
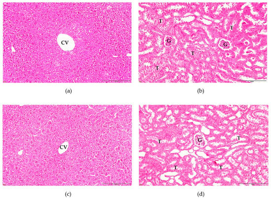
3.11. Acute Toxicity Test
4. Discussion
5. Conclusions
Author Contributions
Funding
Institutional Review Board Statement
Informed Consent Statement
Data Availability Statement
Acknowledgments
Conflicts of Interest
References
- World Malaria Report. Available online: https://www.who.int/teams/global-malaria-programme/reports/world-malaria-report-2021 (accessed on 15 July 2022).
- Weatherall, D.J.; Miller, L.H.; Baruch, D.I.; Marsh, K.; Doumbo, O.K.; Casals-Pascual, C.; Roberts, D.J. Malaria and the red cell. Hematology 2002, 2002, 35–57. [Google Scholar] [CrossRef] [PubMed]
- Lee, W.-C.; Russell, B.; Rénia, L. Sticking for a cause: The falciparum malaria parasites cytoadherence paradigm. Front. Immunol. 2019, 10, 1444. [Google Scholar] [CrossRef] [PubMed]
- WHO. Report on Antimalarial Drug Efficacy, Resistance and Response: 10 Years of Surveillance; WHO: Geneva, Switzerland, 2020; p. 78.
- Thriemer, K.; Hong, N.V.; Rosanas-Urgell, A.; Phuc, B.Q.; Ha, D.M.; Pockele, E.; Guetens, P.; Van, N.V.; Duong, T.T.; Amambua-Ngwa, A.; et al. Delayed parasite clearance after treatment with dihydroartemisinin-piperaquine in Plasmodium falciparum malaria patients in central Vietnam. Antimicrob Agents Chemother 2014, 58, 7049–7055. [Google Scholar] [CrossRef]
- Junsongduang, A.; Kasemwan, W.; Lumjoomjung, S.; Sabprachai, W.; Tanming, W.; Balslev, H. Ethnomedicinal knowledge of traditional healers in Roi Et, Thailand. Plants 2020, 9, 1177. [Google Scholar] [CrossRef]
- Noronha, M.; Pawar, V.; Prajapati, A.; Subramanian, R.B. A literature review on traditional herbal medicines for malaria. S. Afr. J. Bot. 2020, 128, 292–303. [Google Scholar] [CrossRef]
- Peltzer, K.; Pengpid, S. The use of herbal medicines among chronic disease patients in Thailand: A cross-sectional survey. J. Multidiscip. Healthc. 2019, 12, 573–582. [Google Scholar] [CrossRef] [PubMed]
- Parasuraman, S.; Thing, G.S.; Dhanaraj, S.A. Polyherbal formulation: Concept of ayurveda. Pharmacogn. Rev. 2014, 8, 73–80. [Google Scholar] [CrossRef]
- Rudrapal, M.; Celik, I.; Khan, J.; Ansari, M.A.; Alomary, M.N.; Alatawi, F.A.; Yadav, R.; Sharma, T.; Tallei, T.E.; Pasala, P.K.; et al. Identification of bioactive molecules from Triphala (Ayurvedic herbal formulation) as potential inhibitors of SARS-CoV-2 main protease (Mpro) through computational investigations. J. King Saud Univ. Sci. 2022, 34, 101826. [Google Scholar] [CrossRef]
- Peterson, C.T.; Denniston, K.; Chopra, D. Therapeutic uses of Triphala in Ayurvedic medicine. J. Altern. Complement. Med. 2017, 23, 607–614. [Google Scholar] [CrossRef]
- Tappayuthpijarn, P.; Sattaponpan, C.; Sakpakdeecharoen, I.; Ittharat, A. Cholinesterase inhibitory and antioxidant activities of Thai traditional remedies potentially used for Alzheimer’s disease. Eur. J. East Asian Stud. 2012, 17, 18–25. [Google Scholar] [CrossRef]
- Pattanacharoenchai, N.; Itharat, A. Anti-allergic activity of Trikatuk Tripha and Trisarn remedies. TMJ 2017, 17, 548–556. [Google Scholar]
- Suksaeree, J.; Monton, C. Evaluation of the interaction of phenolic compounds contained in the Trisamo recipe using simplex lattice design. J. Sci. Technol. 2021, 11, 100–113. [Google Scholar]
- Wetchakul, P.; Goon, J.A.; Adekoya, A.E.; Olatunji, O.J.; Ruangchuay, S.; Jaisamut, P.; Issuriya, A.; Kunworarath, N.; Limsuwan, S.; Chusri, S. Traditional tonifying polyherbal infusion, Jatu-Phala-Tiga, exerts antioxidant activities and extends lifespan of Caenorhabditis elegans. BMC Complement. Altern. Med. 2019, 19, 209. [Google Scholar] [CrossRef] [PubMed]
- Makchuchit, S.; Rattarom, R.; Itharat, A. The anti-allergic and anti-inflammatory effects of Benjakul extract (a Thai traditional medicine), its constituent plants and its some pure constituents using in vitro experiments. Biomed. Pharmacother. 2017, 89, 1018–1026. [Google Scholar] [CrossRef] [PubMed]
- Loetthammasak, P. Formulas of Thai Traditional Medicine; Pimdee: Samut Sakhon, Thailand, 2014. [Google Scholar]
- Sinsupan, N. Thai traditional medicine theory Part 3 Thai Pharmacy. J. Acad. Serv. Cent. 2002, 10. [Google Scholar]
- Chaniad, P.; Phuwajaroanpong, A.; Techarang, T.; Horata, N.; Chukaew, A.; Punsawad, C. Evaluation of the antimalarial activity and toxicity of Mahanil-Tang-Thong formulation and its plant ingredients. BMC Complement. Med. Ther. 2022, 22, 51. [Google Scholar] [CrossRef]
- Ngbolua, K.-T.-N. Phytochemical screening of some medicinal plants traditionally used by African women in Kinshasa city (DR Congo) for their intimate hygiene and evaluation of the pH of derived recipes. J. Mod. Drug Discov. Drug Deliv. Res. 2014, 1, 1–7. [Google Scholar]
- Malar, G.; Chinnachamy, C. Phytochemical screening, total flavonoid, total terpenoid and anti-inflammatory activity of aqueous stem extract of Salacia oblonga. J. Chem. Pharm. 2017, 10, 550. [Google Scholar]
- Trager, W.; Jensen, J.B. Human malaria parasites in continuous culture. 1976. J. Parasitol. 2005, 91, 484–486. [Google Scholar] [CrossRef]
- Makler, M.T.; Hinrichs, D.J. Measurement of the lactate dehydrogenase activity of Plasmodium falciparum as an assessment of parasitemia. Am. J. Trop. Med. Hyg. 1993, 48, 205–210. [Google Scholar] [CrossRef]
- Peters, W. The chemotherapy of rodent malaria, XXII. The value of drug-resistant strains of P. berghei in screening for blood schizontocidal activity. Ann. Trop. Med. Parasitol. 1975, 69, 155–171. [Google Scholar] [CrossRef] [PubMed]
- Phuwajaroanpong, A.; Chaniad, P.; Horata, N.; Muangchanburee, S.; Kaewdana, K.; Punsawad, C. In vitro and in vivo antimalarial activities and toxicological assessment of Pogostemon Cablin (Blanco) Benth. J. Evid.-Based Integr. Med. 2020, 25, 2515690X20978387. [Google Scholar] [CrossRef] [PubMed]
- Lusakibanza, M.; Mesia, G.; Tona, G.; Karemere, S.; Lukuka, A.; Tits, M.; Angenot, L.; Frédérich, M. In vitro and in vivo antimalarial and cytotoxic activity of five plants used in congolese traditional medicine. J. Ethnopharmacol. 2010, 129, 398–402. [Google Scholar] [CrossRef] [PubMed]
- Odira, H.O.; Mitema, S.O.; Mapenay, I.M.; Moriasi, G.A. Anti-inflammatory, analgesic, and cytotoxic effects of the phytexponent: A polyherbal formulation. J. Evid.-Based Integr. Med. 2022, 27, 2515690X221082986. [Google Scholar] [CrossRef]
- Ngemenya, M.N.; Djeukem, G.G.R.; Nyongbela, K.D.; Bate, P.N.N.; Babiaka, S.B.; Monya, E.; Kanso, R.K. Microbial, phytochemical, toxicity analyses and antibacterial activity against multidrug resistant bacteria of some traditional remedies sold in Buea Southwest Cameroon. BMC Complement. Altern. Med. 2019, 19, 150. [Google Scholar] [CrossRef]
- Indrayanto, G.; Putra, G.S.; Suhud, F. Chapter six-validation of in-vitro bioassay methods: Application in herbal drug research. In Profiles of Drug Substances, Excipients and Related Methodology; Al-Majed, A.A., Ed.; Academic Press: Cambridge, MA, USA, 2021; Volume 46, pp. 273–307. [Google Scholar]
- Arya, A.; Kojom Foko, L.P.; Chaudhry, S.; Sharma, A.; Singh, V. Artemisinin-based combination therapy (ACT) and drug resistance molecular markers: A systematic review of clinical studies from two malaria endemic regions-India and sub-Saharan Africa. Int. J. Parasitol. Drugs Drug Resist. 2021, 15, 43–56. [Google Scholar] [CrossRef]
- Sarkar, B.; Chakraborty, S.; Pal, C. Phytomedicine Against Infectious Diseases; John Wiley & Sons, Inc.: Hoboken, NJ, USA, 2021; pp. 161–172. [Google Scholar]
- Chemat, F.; Abert Vian, M.; Ravi, H.K.; Khadhraoui, B.; Hilali, S.; Perino, S.; Tixier, A.-S.F. Review of alternative solvents for green extraction of food and natural products: Panorama, principles, applications and prospects. Molecules 2019, 24, 3007. [Google Scholar] [CrossRef]
- Moore, R.K.; Smaglick, J.; Leitch, E.A.-R.M.; Mann, D. The effect of polarity of extractives on the durability of wood. In Proceedings of the 18th ISWFPC (International Symposium on Wood, Fiber, and Pulping), Vienna, Austria, 7–11 September 2015. [Google Scholar]
- Abubakar, A.R.; Haque, M. Preparation of medicinal plants: Basic extraction and fractionation procedures for experimental purposes. J. Pharm. Bioallied Sci. 2020, 12, 1–10. [Google Scholar] [CrossRef]
- Mojarrab, M.; Naderi, R.; Heshmati Afshar, F. Screening of different extracts from artemisia species for their potential antimalarial activity. Iran. J. Pharm. Res. 2015, 14, 603–608. [Google Scholar]
- Thiengsusuk, A.; Chaijaroenkul, W.; Na-Bangchang, K. Antimalarial activities of medicinal plants and herbal formulations used in Thai traditional medicine. Parasitol. Res. 2013, 112, 1475–1481. [Google Scholar] [CrossRef]
- Pinmai, K.; Hiriote, W.; Soonthornchareonnon, N.; Jongsakul, K.; Sireeratawong, S.; Tor-Udom, S. In vitro and in vivo antiplasmodial activity and cytotoxicity of water extracts of Phyllanthus emblica, Terminalia chebula, and Terminalia bellerica. J. Med. Assoc. Thai. 2010, 93 (Suppl. 7), S120–S126. [Google Scholar] [PubMed]
- Aye, M.M.; Aung, H.T.; Sein, M.M.; Armijos, C. A review on the phytochemistry, medicinal properties and pharmacological activities of 15 selected myanmar medicinal plants. Molecules 2019, 24, 293. [Google Scholar] [CrossRef] [PubMed]
- Agidew, M.G. Phytochemical analysis of some selected traditional medicinal plants in Ethiopia. Bull. Natl. Res. Cent. 2022, 46, 87. [Google Scholar] [CrossRef]
- Rudrapal, M.; Chetia, D.D. Plant flavonoids as potential source of future antimalarial leads. Syst. Rev. Pharm. 2016, 8, 13–18. [Google Scholar] [CrossRef]
- Yang, W.; Chen, X.; Li, Y.; Guo, S.; Wang, Z.; Yu, X. Advances in pharmacological activities of Terpenoids. Nat. Prod. Commun. 2020, 15, 1934578X20903555. [Google Scholar] [CrossRef]
- Jahangeer, M.; Fatima, R.; Ashiq, M.; Basharat, A.; Qamar, S.A.; Bilal, M.; Iqbal, H.M.N. Therapeutic and biomedical potentialities of terpenoids—A review. J. Pure Appl. Microbiol. 2021, 15, 471–483. [Google Scholar] [CrossRef]
- Murugan, K.; Panneerselvam, C.; Subramaniam, J.; Paulpandi, M.; Rajaganesh, R.; Vasanthakumaran, M.; Madhavan, J.; Shafi, S.S.; Roni, M.; Portilla-Pulido, J.S.; et al. Synthesis of new series of quinoline derivatives with insecticidal effects on larval vectors of malaria and dengue diseases. Sci. Rep. 2022, 12, 4765. [Google Scholar] [CrossRef]
- Uzor, P.F. Alkaloids from plants with antimalarial activity: A review of recent studies. Evid.-Based Complement. Altern. Med. 2020, 2020, 8749083. [Google Scholar] [CrossRef]
- Maugeri, A.; Lombardo, G.E.; Cirmi, S.; Süntar, I.; Barreca, D.; Laganà, G.; Navarra, M. Pharmacology and toxicology of tannins. Arch. Toxicol. 2022, 96, 1257–1277. [Google Scholar] [CrossRef]
- Lutgen, P. Tannins in Artemisia: The hidden treasure of prophylaxis. Pharm. Pharmacol. Int. 2018, 6, 176–181. [Google Scholar] [CrossRef][Green Version]
- Mikhail, N.; Adewuyi, A.; Abdulsalam, T.; Ashafa, T. Antimalarial activity and biochemical effects of saponin-rich extract of Dianthus basuticus Burtt Davy in Plasmodium berghei-infected mice. Adv. Tradit. Med. 2021, 22, 519–529. [Google Scholar]
- Hu, X.L.; Gao, C.; Xu, Z.; Liu, M.L.; Feng, L.S.; Zhang, G.D. Recent development of coumarin derivatives as potential antiplasmodial and antimalarial agents. Curr. Top. Med. Chem. 2018, 18, 114–123. [Google Scholar] [CrossRef] [PubMed]
- Shaikh, J.; Patil, M. A review on phytotoxins and qualitative tests for their detection. Pharmacogn. Phytochem. 2020, 9, 1502–1507. [Google Scholar]
- Sung, J.H. Multi-organ-on-a-chip for pharmacokinetics and toxicokinetic study of drugs. Expert Opin. Drug Metab. Toxicol. 2021, 17, 969–986. [Google Scholar] [CrossRef] [PubMed]
- Mahavorasirikul, W.; Viyanant, V.; Chaijaroenkul, W.; Itharat, A.; Na-Bangchang, K. Cytotoxic activity of Thai medicinal plants against human cholangiocarcinoma, laryngeal and hepatocarcinoma cells in vitro. BMC Complement. Altern. Med. 2010, 10, 55. [Google Scholar] [CrossRef]
- Ruangnoo, S.; Itharat, A.; Sakpakdeejaroen, I.; Rattarom, R.; Tappayutpijam, P.; Pawa, K.K. In vitro cytotoxic activity of Benjakul herbal preparation and its active compounds against human lung, cervical and liver cancer cells. J. Med. Assoc. Thai. 2012, 95 (Suppl. 1), S127–S134. [Google Scholar] [PubMed]
- Saraswati, S.; Kanaujia, P.; Sunder, S. OP-03 α-Santalol demonstrates antitumor and antiantiangiogenic activities in models of hepatocellular carcinoma in vitro and in vivo. Dig. Liver Dis. 2013, 45, S249–S250. [Google Scholar] [CrossRef]
- Hwang, B.Y.; Su, B.-N.; Chai, H.; Mi, Q.; Kardono, L.B.S.; Afriastini, J.J.; Riswan, S.; Santarsiero, B.D.; Mesecar, A.D.; Wild, R.; et al. Silvestrol and episilvestrol, potential anticancer rocaglate derivatives from Aglaia silvestris. J. Org. Chem. 2004, 69, 3350–3358. [Google Scholar] [CrossRef]
- Chen, X.; Winstead, A.; Yu, H.; Peng, J. Taccalonolides: A novel class of microtubule-stabilizing anticancer agents. Cancers 2021, 13, 920. [Google Scholar] [CrossRef]
- Gopalakrishnan, A.M.; Kumar, N. Antimalarial action of artesunate involves DNA damage mediated by reactive oxygen species. Antimicrob. Agents Chemother. 2015, 59, 317–325. [Google Scholar] [CrossRef]
- Yang, S.; Lian, G. ROS and diseases: Role in metabolism and energy supply. Mol. Cell. Biochem. 2020, 467, 1–12. [Google Scholar] [CrossRef]
- Cock, I.E. The medicinal properties and phytochemistry of plants of the genus Terminalia (Combretaceae). Inflammopharmacology 2015, 23, 203–229. [Google Scholar] [CrossRef] [PubMed]
- Peña-Morán, O.A.; Villarreal, M.L.; Álvarez-Berber, L.; Meneses-Acosta, A.; Rodríguez-López, V. Cytotoxicity, post-treatment recovery, and selectivity analysis of naturally occurring podophyllotoxins from Bursera fagaroides var. fagaroides on breast cancer cell lines. Molecules 2016, 21, 1013. [Google Scholar] [CrossRef] [PubMed]
- Basir, R.; Rahiman, S.F.; Hasballah, K.; Chong, W.; Talib, H.; Yam, M.; Jabbarzare, M.; Tie, T.; Othman, F.; Moklas, M.; et al. Plasmodium berghei ANKA infection in ICR mice as a model of cerebral malaria. Iran. J. Parasitol. 2012, 7, 62–74. [Google Scholar]
- Khasanah, U.; WidyaWaruyanti, A.; Hafid, A.F.; Tanjung, M. Antiplasmodial activity of isolated polyphenols from Alectryon serratus leaves against 3D7 Plasmodium falciparum. Pharmacogn. Res. 2017, 9, S57–S60. [Google Scholar]
- Soh, P.N.; Witkowski, B.; Olagnier, D.; Nicolau, M.L.; Garcia-Alvarez, M.C.; Berry, A.; Benoit-Vical, F. In vitro and in vivo properties of ellagic acid in malaria treatment. Antimicrob. Agents Chemother. 2009, 53, 1100–1106. [Google Scholar] [CrossRef] [PubMed]
- Belapurkar, P.; Goyal, P.; Tiwari-Barua, P. Immunomodulatory effects of triphala and its individual constituents: A review. Indian J. Pharm. Sci. 2014, 76, 467–475. [Google Scholar]
- Baliga, M.S.; Meera, S.; Mathai, B.; Rai, M.P.; Pawar, V.; Palatty, P.L. Scientific validation of the ethnomedicinal properties of the Ayurvedic drug Triphala: A review. Chin. J. Integr. Med. 2012, 18, 946–954. [Google Scholar] [CrossRef]
- Lazic, S.E.; Semenova, E.; Williams, D.P. Determining organ weight toxicity with Bayesian causal models: Improving on the analysis of relative organ weights. Sci. Rep. 2020, 10, 6625. [Google Scholar] [CrossRef]








| Recipe | Plant Ingredients | Common Name | Plant Part | Family | Voucher Number |
|---|---|---|---|---|---|
| Triphala | Terminalia bellirica (Gaertn.) Roxb. | Beleric myrobalan | fruits | Combretaceae | SMD074002003 |
| Terminalia chebula | Chebulic myrobalan | fruits | Combretaceae | SMD070006007 | |
| Phyllanthus emblica | Indian gooseberry | fruits | Phyllanthaceae | SMD209003007 | |
| Trikatuk | Zingiber officinale | Ginger | rhizome | Zingiberaceae | SMD288015005 |
| Piper nigrum | Black Pepper | fruits | Piperaceae | SMD209001014 | |
| Piper chaba Hunter | Javanese long pepper | fruits | Piperaceae | SMD209002003 | |
| Trisamo | Terminalia bellirica (Gaertn.) Roxb. | Beleric myrobalan | fruits | Combretaceae | SMD074002003 |
| Terminalia chebula | Chebulic myrobalan | fruits | Combretaceae | SMD070006007 | |
| Terminalia arjuna (Roxb. ex DC.) | Arjun | fruits | Combretaceae | SMD070006002 | |
| Jatu-phala-tiga | Terminalia bellirica (Gaertn.) Roxb. | Beleric myrobalan | fruits | Combretaceae | SMD074002003 |
| Terminalia chebula | Chebulic myrobalan | fruits | Combretaceae | SMD070006007 | |
| Phyllanthus emblica | Indian gooseberry | fruits | Phyllanthaceae | SMD209003007 | |
| Terminalia arjuna (Roxb. ex DC.) | Arjun | fruits | Combretaceae | SMD070006002 | |
| Benjalotiga | Dracaena loureiroi Gagnep. | Dragon blood | wood | Asparagaceae | SMD096001007 |
| Santalum album L. | Sandalwood | wood | Santalaceae | SMD210023002 | |
| Aglaia silvestris | Kalament | wood | Meliaceae | SMD169052002 | |
| Tacca chantrieri | Bat flower | wood | Dioscoreaceae | SMD095012002 | |
| Cyathea podophylla | Tree fern | wood | Cyatheaceae | SMD116013001 | |
| Gaysorn-tang-ha | Jasminum sambac Ait | Arabian jasmine | flowers | Oleaceae | SMD187007002 |
| Mimusops elengi L. | Spanish cherry | flowers | Sapotaceae | SMD249006002 | |
| Mesua ferrea L. | Ceylon ironwood | flowers | Calophyllaceae | SMD122007001 | |
| Nelumbo nucifera | Sacred lotus | flowers | Nelumbonaceae | SMD181001001 | |
| Mammea siamensis | Negkassar | flowers | Calophyllaceae | SMD122006002 | |
| Benjathian | Nigella sativa L. | Black cumin | seed | Ranunculaceae | SMD228005001 |
| Lepidium sativum L. | Garden cress | seed | Brassicaceae | SMD079003001 | |
| Cuminum cyminum L. | Spice cumin | seed | Apiaceae | SMD017002001 | |
| Foeniculum vulgare Miller subsp. var. vulgare | Common fennel | seed | Apiaceae | SMD017002002 | |
| Anethum graveolens L. | Dill | seed | Apiaceae | SMD276001001 | |
| Benjagot | Angelica dahurica Hoffm. Benth. & Hook.f. ex Franch. & Sav | Dahurian angelica | rhizome | Apiaceae | SMD276002003 |
| Atractylodes lancea (Thunb.) DC. | Cang zhu | rhizome | Asteraceae | SMD072010001 | |
| Ligusticum sinense Oliv. | Chuang xiong | rhizome | Apiaceae | SMD017003002 | |
| Angelica sinensis (Oliv.) Diels | Dong quai | rhizome | Umbelliferae | SMD017003003 | |
| Artemisia vulgaris L | Common mugwort | rhizome | Asteraceae | SMD029002004 | |
| Benjakul | Piper chaba Hunter | Javanese long pepper | fruits | Piperaceae | SMD209002003 |
| Piper sarmentosum Roxb. | Wildbetal leafbush | roots | Piperaceae | SMD213011002 | |
| Piper interruptum Opiz. | Parsley panax | stem | Piperaceae | SMD213009001 | |
| Plumbago indica L. | Indian leadwort | roots | Plumbaginaceae | SMD212004002 | |
| Zingiber officinale Roscoe. | Ginger | rhizome | Zingiberaceae | SMD288015005 | |
| Chan-tang-ha | Dracaena loureiroi Gagnep. | Dragon blood | wood | Asparagaceae | SMD096001007 |
| Tarenna hoaensis Pitard | Kalamet | wood | Rubiaceae | SMD240002003 | |
| Santalum album L. | Sandalwood | wood | Santalaceae | SMD210023002 | |
| Myristica fragrans Houtt. | Nutmeg | wood | Myristicaceae | SMD177001003 | |
| Aglaia silvestris | Kalament | wood | Meliaceae | SMD169052002 |
| Recipe | Yield (%) (w/w) | |
|---|---|---|
| Aqueous | Ethanolic | |
| Triphala | 38.58 | 20.12 |
| Trikatuk | 15.33 | 7.40 |
| Trisamo | 39.62 | 22.07 |
| Jatu-phala-tiga | 40.12 | 21.92 |
| Benjalotiga | 3.90 | 5.45 |
| Gaysorn-tang-ha | 19.22 | 6.15 |
| Benjatian | 16.50 | 2.07 |
| Benjagot | 37.47 | 6.45 |
| Benjakul | 7.33 | 4.35 |
| Chan-tang-ha | 3.97 | 7.52 |
| Recipe | Secondary Metabolites (Aqueous/Ethanolic Extracts) | |||||||
|---|---|---|---|---|---|---|---|---|
| FL | TN | AL | TA | AN | CG | SA | CM | |
| Triphala | +/− | +/+ | +/+ | +++/+++ | −/− | −/− | +/− | −/− |
| Trikatuk | +/− | +/+ | +/+ | +++/− | −/− | −/− | +/− | −/+ |
| Trisamo | +/− | +/+ | −/− | +++/+++ | −/− | −/− | ++/+ | −/− |
| Jatu-phala-tiga | +/− | +/+ | +/+ | ++/++ | −/− | −/− | −/− | −/− |
| Benjalotiga | +/+ | +/+ | +/+ | +/− | −/− | −/− | +/− | +/+ |
| Gaysorn-tang-ha | +/+ | +/+ | +/+ | ++/+ | −/− | −/− | +/− | −/− |
| Benjatian | −/+ | +/+ | +/+ | +/+ | −/− | −/− | +/− | +/+ |
| Benjagot | −/− | −/+ | −/− | +/+ | −/− | −/− | +/− | −/− |
| Benjakul | −/− | +/+ | −/− | +/− | −/− | −/− | +/− | −/− |
| Chan-tang-ha | +/+ | +/+ | +/+ | +/− | −/− | −/− | +/− | +/− |
| Recipe Name | IC50 (µg/mL) | HepG2 CC50 (µg/mL) | Vero CC50 (µg/mL) | |||
|---|---|---|---|---|---|---|
| Aqueous | Ethanolic | Aqueous | Ethanolic | Aqueous | Ethanolic | |
| Triphala | 5.7 ± 0.2 | 4.4 ± 1.3 | 358.1 ± 9.7 64.5 | 224.1 ± 5.5 51.1 | >800 >139.6 | 773.2 ± 7.2 176.1 |
| Trikatuk | >100 | 4.4 ± 1.4 | 624.9 ± 1.9 <6.3 | 26.5 ± 3.9 6.1 | >800 ND | 52.8 ± 3.1 12.1 |
| Trisamo | 6.1 ± 0.7 | 7.7 ± 1.1 | 332.7 ± 12.2 54.5 | 245.7 ± 12.0 31.9 | >800 >131.2 | >800 >103.8 |
| Jatu-phala-tiga | 5.0 ± 0.3 | 7.4 ± 1.3 | 313.2 ± 1.5 63.3 | 203.1 ± 6.4 27.5 | 443.6 ± 11.1 89.6 | >800 >108.4 |
| Benjalotiga | >100 | 6.1 ± 1.6 | 231.1 ± 4.3 <3.2 | 20.1 ± 3.0 3.3 | 15.3 ± 2.5 <0.2 | 20.5 ± 4.7 3.4 |
| Gaysorn-tang-ha | >100 | 2.8 ± 0.3 | >800 ND | 60.3 ± 4.8 21.5 | >800 ND | 34.5 ± 4.7 12.3 |
| Benjatian | >100 | 15.5 ± 2.0 | 276.4 ± 9.0 <2.8 | 71.1 ± 5.4 4.6 | >800 ND | 390.1 ± 7.2 25.1 |
| Benjagot | >100 | 6.8 ± 0.9 | >800 ND | 30.0 ± 2.0 4.4 | >800 ND | 255.3 ± 8.9 37.5 |
| Benjakul | >100 | 8.5 ± 1.1 | >800 ND | 10.9 ± 0.6 1.3 | >800 ND | 35.8 ± 2.6 4.2 |
| Chan-tang-ha | >100 | 7.2 ± 0.8 | 228.6 ± 4.8 <2.3 | 65.5 ± 2.1 9.1 | <12.5 ND | >800 >111.1 |
| Artesunate | 3.9 ± 0.1 ng/mL | ND | ND | ND | ND | |
| Doxorubicin | ND | 0.9 ± 0.3 | 1.5 ± 0.0 | |||
| No. | M/Z | RT (min) | Compounds | Formula | Molecular Weight |
|---|---|---|---|---|---|
| Negative mode | |||||
| 1 | 283.2640 | 1.444 | (+)-Isostearic acid | C18 H36 O2 | 284.2712 |
| 2 | 255.2327 | 1.532 | Isopalmitic acid | C16 H32 O2 | 256.2400 |
| 3 | 181.0723 | 1.783 | D-Sorbitol | C6 H14 O6 | 182.0795 |
| 4 | 209.0306 | 1.932 | Galactaric acid | C6 H10 O8 | 210.0378 |
| 5 | 361.0415 | 2.045 | 2-O-Galloylgalactaric acid | C13 H14 O12 | 362.0488 |
| 6 | 331.0673 | 2.709 | 4-Glucogallic acid | C13 H16 O10 | 332.0746 |
| 7 | 355.0311 | 2.785 | (+)-Chebulic acid | C14 H12 O11 | 356.0384 |
| 8 | 191.0202 | 2.935 | Glucaric acid lactone | C6 H8 O7 | 192.0272 |
| 9 | 169.0146 | 3.398 | Gallic acid | C7 H6 O5 | 170.0219 |
| 10 | 243.0513 | 3.536 | 1-O-Galloylglycerol | C10 H12 O7 | 244.0586 |
| 11 | 343.0308 | 3.749 | 5-O-Galloyl-1,4-galactarolactone | C13 H12 O11 | 344.0380 |
| 12 | 325.0565 | 3.887 | Fertaric acid | C14 H14 O9 | 326.0638 |
| 13 | 191.0349 | 4.288 | 5,7-Dihydroxy-4-Methylcoumarin | C10 H8 O4 | 192.0422 |
| 14 | 265.0353 | 4.438 | 2-O-p-Coumaroyltartronic acid | C12 H10 O7 | 266.0427 |
| 15 | 133.0145 | 4.451 | Malic acid | C4 H6 O5 | 134.0218 |
| 16 | 669.0942 | 4.551 | Myricetin 3,7-diglucuronide | C27 H26 O20 | 670.1013 |
| 17 | 299.0409 | 4.764 | Mumefural | C12 H12 O9 | 300.0482 |
| 18 | 213.0401 | 5.014 | 2-(1h-1,2,4-triazol-5-yl)-1h-isoindole-1,3(2h)-dione | C10 H6 N4 O2 | 214.0474 |
| 19 | 469.0046 | 5.165 | Sanguisorbic acid dilactone | C21 H10 O13 | 470.0119 |
| 20 | 181.0145 | 5.340 | 2-Hydroxyisophthalic acid | C8 H6 O5 | 182.0217 |
| 21 | 313.0564 | 5.641 | Salicyl phenolic glucuronide | C13 H14 O9 | 314.0637 |
| 22 | 317.0663 | 6.242 | Dihydroisorhamnetin | C16 H14 O7 | 318.0736 |
| 23 | 495.0412 | 6.492 | 3,5-Di-O-galloyl-1,4-galactarolactone | C20 H16 O15 | 496.0484 |
| 24 | 359.0983 | 6.493 | 6′-Methoxypolygoacetophenoside | C15 H20 O10 | 360.1055 |
| 25 | 541.0259 | 6.994 | Punicacortein D | C48 H28 O30 | 1084.066 |
| 26 | 1083.0578 | 7.019 | Punicalagin | C48 H28 O30 | 1084.065 |
| 27 | 347.0773 | 7.244 | alpha-(1,2-Dihydroxyethyl)-1,2,3,4-tetrahydro-7-hydroxy-9-methoxy-3,4-dioxocyclopenta[c] [1]benzopyran-6-acetaldehyde | C17 H16 O8 | 348.0845 |
| 28 | 483.0782 | 7.370 | 1,2′-Di-O-galloylhamamelofuranose | C20 H20 O14 | 484.0853 |
| 29 | 220.0615 | 7.845 | Methyl dioxindole-3-acetate | C11 H11 N O4 | 221.0688 |
| 30 | 321.0251 | 7.996 | Digallate | C14 H10 O9 | 322.0324 |
| 31 | 1083.1160 | 8.147 | Putranjivain A | C46 H36 O31 | 1084.1230 |
| 32 | 467.1190 | 8.472 | Leucodelphinidin 3-O-alpha-L-rhamnopyranoside | C21 H24 O12 | 468.1262 |
| 33 | 635.0888 | 9.099 | 3-O-Galloylhamamelitannin | C27 H24 O18 | 636.0959 |
| 34 | 651.0835 | 9.449 | Amlaic acid | C27 H24 O19 | 652.0908 |
| 35 | 477.0671 | 9.474 | Quercetin 3′-O-glucuronide | C21 H18 O13 | 478.0744 |
| 36 | 461.1660 | 9.825 | Verbasoside | C20 H30 O12 | 462.1732 |
| 37 | 633.0744 | 10.001 | Pterocaryanin B | C27 H22 O18 | 634.0813 |
| 38 | 785.0833 | 11.078 | Sanguiin H1 | C34 H26 O22 | 786.0905 |
| 39 | 515.1916 | 11.128 | Spicatin | C27 H32 O10 | 516.1988 |
| 40 | 935.0783 | 11.729 | 1-O-Galloylpedunculagin | C41 H28 O26 | 936.0853 |
| 41 | 371.0979 | 11.854 | Dihydroferulic acid 4-O-glucuronide | C16 H20 O10 | 372.1052 |
| 42 | 247.0250 | 12.218 | 7-Deshydroxypyrogallin-4-Carboxylic Acid | C12 H8 O6 | 248.0323 |
| 43 | 447.093 | 12.431 | 1,2,6,8-Tetrahydroxy-3-methylanthraquinone 2-O-b-D-glucoside | C21 H20 O11 | 448.1002 |
| 44 | 600.9889 | 12.807 | Diellagilactone | C28 H10 O16 | 601.9960 |
| 45 | 465.1034 | 13.257 | (-)-Epicatechin 7-O-glucuronide | C21 H22 O12 | 466.1105 |
| 46 | 197.0457 | 13.320 | 3,4-O-Dimethylgallic acid | C9 H10 O5 | 198.0530 |
| 47 | 473.0355 | 13.371 | m-Trigallic acid | C21 H14 O13 | 474.0428 |
| 48 | 119.0501 | 13.558 | Lentialexin | C8 H8 O | 120.0575 |
| 49 | 953.0896 | 13.709 | Isoterchebin | C41 H30 O27 | 954.0966 |
| 50 | 787.0995 | 14.711 | 1,2′,3,5-Tetra-O-galloylhamamelofuranose | C34 H28 O22 | 788.1065 |
| 51 | 431.0979 | 14.936 | Isovitexin | C21 H20 O10 | 432.1051 |
| 52 | 300.9993 | 15.212 | Ellagic acid | C14 H6 O8 | 302.0065 |
| 53 | 421.0776 | 15.826 | Isomangiferin | C19 H18 O11 | 422.0847 |
| 54 | 463.0878 | 15.939 | Quercetin 3-galactoside | C21 H20 O12 | 464.0951 |
| 55 | 491.0826 | 15.989 | Isorhamnetin 4′-O-glucuronide | C22 H20 O13 | 492.0898 |
| 56 | 357.1186 | 16.465 | Phlorisobutyrophenone 2-glucoside | C16 H22 O9 | 358.1259 |
| 57 | 303.0509 | 16.515 | (±)-Taxifolin | C15 H12 O7 | 304.0582 |
| 58 | 955.1046 | 16.666 | Chebulinic acid | C41 H32 O27 | 956.1117 |
| 59 | 331.0819 | 16.866 | 2′,3,5-Trihydroxy-5′,7-dimethoxyflavanone | C17 H16 O7 | 332.0891 |
| 60 | 355.1027 | 17.116 | 1-O-2′-Hydroxy-4′-methoxycinnamoyl-b-D-glucose | C16 H20 O9 | 356.1101 |
| 61 | 261.0406 | 17.417 | 2-Acetyl-5,8-dihydroxy-3-methoxy-1,4-naphthoquinone | C13 H10 O6 | 262.0478 |
| 62 | 435.0931 | 17.492 | Taxifolin 3-arabinoside | C20 H20 O11 | 436.1003 |
| 63 | 207.0661 | 18.682 | Sinapyl aldehyde | C11 H12 O4 | 208.0734 |
| 64 | 259.0246 | 19.008 | Urolithin D | C13 H8 O6 | 260.0320 |
| 65 | 461.0723 | 20.524 | 3-Methylellagic acid 8-rhamnoside | C21 H18 O12 | 462.0796 |
| 66 | 217.0503 | 21.301 | Piperic acid | C12 H10 O4 | 218.0576 |
| 67 | 431.0975 | 22.178 | Kaempferol 4′-rhamnoside | C21 H20 O10 | 432.1048 |
| 68 | 571.1813 | 23.531 | Amorphigenin O-glucoside | C29 H32 O12 | 572.1886 |
| 69 | 573.0874 | 23.881 | Mangiferin 6′-gallate | C26 H22 O15 | 574.0948 |
| 70 | 303.0508 | 23.982 | Pratenol B | C15 H12 O7 | 304.0580 |
| 71 | 673.2130 | 24.333 | Premithramycin A2′ | C33 H38 O15 | 674.2201 |
| 72 | 461.1088 | 25.961 | Rhamnetin 3-rhamnoside | C22 H22 O11 | 462.1160 |
| 73 | 285.0404 | 27.490 | Luteolin | C15 H10 O6 | 286.0478 |
| 74 | 301.0356 | 27.841 | Hieracin | C15 H10 O7 | 302.0428 |
| 75 | 723.1920 | 27.916 | Kaempferol 3-(3′’-p-coumaroylrhamnoside)-7-rhamnoside | C36 H36 O16 | 724.1991 |
| 76 | 367.1181 | 28.166 | Glicoricone | C21 H20 O6 | 368.1254 |
| 77 | 567.1135 | 28.767 | Chrysophanol 8-(6-galloylglucoside) | C28 H24 O13 | 568.1207 |
| 78 | 329.0301 | 28.943 | 2,8-Di-O-methylellagic acid | C16 H10 O8 | 330.0374 |
| 79 | 287.2225 | 35.182 | 9,10-dihydroxy-hexadecanoic acid | C16 H32 O4 | 288.2297 |
| 80 | 503.3374 | 35.257 | (3beta,19alpha)-3,19,23,24-Tetrahydroxy-12-oleanen-28-oic acid | C30 H48 O6 | 504.3446 |
| 81 | 273.0403 | 35.445 | 1,3,6-Trihydroxy-5-methoxyxanthone | C14 H10 O6 | 274.0475 |
| 82 | 343.0459 | 36.585 | Aflatoxin GM1 | C17 H12 O8 | 344.0531 |
| 83 | 401.1601 | 39.115 | 6-Hydroxy-9,9-dimethyl-5-(3-methyl-1-oxobutyl)-1-propyl-3H,9H-[1,2]-dioxolo [3′,4′:4,5]furo [2,3-f][1]benzopyran-3-one | C22 H26 O7 | 402.1674 |
| Positive mode | |||||
| 1 | 260.113 | 1.930 | Osmaronin | C11 H17 N O6 | 259.1059 |
| 2 | 401.012 | 2.044 | 2-O-Galloylgalactaric acid | C13 H14 O12 | 362.0488 |
| 3 | 357.0454 | 2.232 | (+)-Chebulic acid | C14 H12 O11 | 356.0381 |
| 4 | 182.0813 | 2.382 | L-Tyrosine | C9 H11 N O3 | 181.0739 |
| 5 | 136.0757 | 2.407 | 2-Phenylacetamide | C8 H9 N O | 135.0685 |
| 6 | 355.0639 | 2.607 | 4-Glucogallic acid | C13 H16 O10 | 332.0749 |
| 7 | 180.1022 | 2.745 | Phenacetine | C10 H13 N O2 | 179.0949 |
| 8 | 298.0922 | 2.883 | Hexahydro-6,7-dihydroxy-5-(hydroxymethyl)-3-(2-hydroxyphenyl)-2H-pyrano [2,3-d]oxazol-2-one | C13 H15 N O7 | 297.085 |
| 9 | 367.0275 | 2.908 | 5-O-Galloyl-1,4-galactarolactone | C13 H12 O11 | 344.0381 |
| 10 | 339.1055 | 2.983 | Hydroxytyrosol 1-O-glucoside | C14 H20 O8 | 316.1164 |
| 11 | 328.1392 | 3.083 | N-(1-Deoxy-1-fructosyl)phenylalanine | C15 H21 N O7 | 327.1319 |
| 12 | 171.029 | 3.158 | Gallic acid | C7 H6 O5 | 170.0217 |
| 13 | 260.0918 | 3.534 | Skimmianine | C14 H13 N O4 | 259.0846 |
| 14 | 267.0478 | 3.610 | 1-O-Galloylglycerol | C10 H12 O7 | 244.0586 |
| 15 | 315.1053 | 3.710 | Pantoyllactone glucoside | C12 H20 O8 | 292.116 |
| 16 | 335.0373 | 3.735 | Cis-Caffeoyl tartaric acid | C13 H12 O9 | 312.0484 |
| 17 | 381.1175 | 3.885 | 202-791 | C17 H18 N4 O5 | 358.1282 |
| 18 | 349.0532 | 4.010 | Fertaric acid | C14 H14 O9 | 326.0638 |
| 19 | 327.0709 | 4.035 | Sinapoyltartronate | C14 H14 O9 | 326.0637 |
| 20 | 433.1467 | 4.411 | Butyl 3-O-caffeoylquinate | C20 H26 O9 | 410.1575 |
| 21 | 267.0839 | 4.887 | threo-Syringoylglycerol | C11 H16 O6 | 244.0947 |
| 22 | 383.1311 | 5.138 | 2′-Methoxy-3-(2,4-dihydroxyphenyl)-1,2-propanediol 4′-glucoside | C16 H24 O9 | 360.142 |
| 23 | 471.0193 | 5.251 | Sanguisorbic acid dilactone | C21 H10 O13 | 470.0119 |
| 24 | 235.0579 | 5.338 | 3-Hydroxy-4-methoxyphenyllactic acid | C10 H12 O5 | 212.0686 |
| 25 | 533.1263 | 5.539 | Coenzyme F420-0 | C19 H22 N3 O12 P | 515.0924 |
| 26 | 507.0747 | 5.614 | 1,2′-Di-O-galloylhamamelofuranose | C20 H20 O14 | 484.0853 |
| 27 | 307.152 | 5.940 | Dihydroartemisinin | C15 H24 O5 | 284.1627 |
| 28 | 427.121 | 6.216 | Oleoside 11-methyl ester | C17 H24 O11 | 404.1318 |
| 29 | 294.0949 | 6.341 | Deidaclin | C12 H17 N O6 | 271.1055 |
| 30 | 383.0944 | 6.541 | 6′-Methoxypolygoacetophenoside | C15 H20 O10 | 360.1051 |
| 31 | 367.1499 | 6.616 | N-(1-Deoxy-1-fructosyl)tryptophan | C17 H22 N2 O7 | 366.1426 |
| 32 | 210.1128 | 6.842 | Propoxur | C11 H15 N O3 | 209.1055 |
| 33 | 371.0735 | 7.218 | alpha-(1,2-Dihydroxyethyl)-1,2,3,4-tetrahydro-7-hydroxy-9-methoxy-3,4-dioxocyclopenta[c] [1]benzopyran-6-acetaldehyde | C17 H16 O8 | 348.0843 |
| 34 | 223.1805 | 7.356 | Noruron | C13 H22 N2 O | 222.1732 |
| 35 | 323.1602 | 7.543 | Zanthodioline | C16 H19 N O5 | 305.1264 |
| 36 | 369.1158 | 7.719 | Aucubin | C15 H22 O9 | 346.1266 |
| 37 | 403.1365 | 8.120 | Methyl helianthenoate A glucoside | C19 H24 O8 | 380.1472 |
| 38 | 373.1258 | 8.296 | 1,5-Dibutyl methyl hydroxycitrate | C15 H26 O8 | 334.1627 |
| 39 | 293.0995 | 8.496 | Idebenone Metabolite (Benzenebutanoic acid, 2,5-dihydroxy-3,4-dimethoxy-6-methyl-) | C13 H18 O6 | 270.1105 |
| 40 | 217.0974 | 8.746 | L-1,2,3,4-Tetrahydro-beta-carboline-3-carboxylic acid | C12 H12 N2 O2 | 216.09 |
| 41 | 417.1521 | 9.298 | Gibberellin A43 | C20 H26 O8 | 394.1627 |
| 42 | 216.0636 | 9.398 | 4-Hydroxy-5-phenyltetrahydro-1,3-oxazin-2-one | C10 H11 N O3 | 193.0744 |
| 43 | 231.1129 | 9.473 | 4-(N-Maleimido)phenyltrimethylammonium | C13 H15 N2 O2 | 231.1135 |
| 44 | 244.097 | 9.699 | N-Desmethyltolmetin | C14 H13 N O3 | 243.0897 |
| 45 | 279.1202 | 9.849 | 2-[4-(3-Hydroxypropyl)-2-methoxyphenoxy]-1,3-propanediol | C13 H20 O5 | 256.1312 |
| 46 | 439.1578 | 9.849 | Phenylethyl primeveroside | C19 H28 O10 | 416.1684 |
| 47 | 657.07 | 10.112 | Pterocaryanin B | C27 H22 O18 | 634.0807 |
| 48 | 469.1324 | 10.124 | Lucuminic acid | C19 H26 O12 | 446.143 |
| 49 | 373.1258 | 10.626 | Fluprostenol Lactone Diol | C18 H19 F3 O5 | 372.1184 |
| 50 | 415.1361 | 10.826 | Vermiculine | C20 H24 O8 | 392.1469 |
| 51 | 539.1891 | 11.152 | Spicatin | C27 H32 O10 | 516.1997 |
| 52 | 337.0897 | 11.302 | 2-O-Acetylarbutin | C14 H18 O8 | 314.1004 |
| 53 | 659.0858 | 11.515 | 3-O-Galloylhamamelitannin | C27 H24 O18 | 636.0965 |
| 54 | 185.1074 | 11.753 | Harmalan | C12 H12 N2 | 184.1002 |
| 55 | 271.0216 | 12.329 | 7-Deshydroxypyrogallin-4-Carboxylic Acid | C12 H8 O6 | 248.0323 |
| 56 | 277.0345 | 12.355 | GW 9662 | C13H9ClN2O3 | 276.0273 |
| 57 | 449.1074 | 12.455 | Aureusidin 6-O-glucoside | C21 H20 O11 | 448.1002 |
| 58 | 153.0547 | 12.931 | 1-(2-Furanyl)-1,3-butanedione | C8 H8 O3 | 152.0475 |
| 59 | 785.0829 | 13.758 | Granatin A | C34 H24 O22 | 784.0755 |
| 60 | 371.1104 | 14.309 | Machaerol C | C18 H20 O7 | 348.1211 |
| 61 | 465.1364 | 14.559 | 1-O-E-Cinnamoyl-(6-arabinosylglucose) | C20 H26 O11 | 442.1472 |
| 62 | 443.1679 | 14.911 | Citreoviridinol A1 | C22 H28 O8 | 420.1786 |
| 63 | 303.0139 | 15.311 | Ellagic acid | C14 H6 O8 | 302.0065 |
| 64 | 401.1571 | 15.336 | Gibberellin A102 | C20 H26 O7 | 378.1678 |
| 65 | 291.1567 | 15.888 | Bisacurone epoxide | C15 H24 O4 | 268.1677 |
| 66 | 537.1729 | 16.063 | Icariside II | C27 H30 O10 | 514.1837 |
| 67 | 355.173 | 16.414 | (2E,4E,7R)-2,7-Dimethyl-2,4-octadiene-1,8-diol 8-O-b-D-glucopyranoside | C16 H28 O7 | 332.1836 |
| 68 | 335.1101 | 16.501 | 3-Hydroxychavicol 1-glucoside | C15 H20 O7 | 312.1208 |
| 69 | 355.1728 | 16.915 | (4R,6S)-p-Menth-1-ene-4,6-diol 4-glucoside | C16 H28 O7 | 332.1834 |
| 70 | 333.0947 | 17.128 | 1-Pentadecanecarboxylic acid | C15 H18 O7 | 310.1054 |
| 71 | 545.1988 | 17.466 | Isolariciresinol 4′-O-beta-D-glucoside | C26 H34 O11 | 522.2096 |
| 72 | 445.1831 | 18.105 | Valtratum | C22 H30 O8 | 422.1939 |
| 73 | 397.1262 | 18.481 | Rubone | C20 H22 O7 | 374.1368 |
| 74 | 401.1207 | 18.844 | Hydroxyvernolide | C19 H22 O8 | 378.1315 |
| 75 | 395.1464 | 19.771 | Hydroxymyricanone | C21 H24 O6 | 372.1569 |
| 76 | 463.0868 | 20.573 | 5,7,8,2′-Tetrahydroxyflavone 7-glucuronide | C21 H18 O12 | 462.0795 |
| 77 | 487.1939 | 20.648 | Estriol-17-glucuronide | C24 H32 O9 | 464.2046 |
| 78 | 413.157 | 22.603 | Rosmic acid | C21 H26 O7 | 390.1678 |
| 79 | 689.3873 | 22.891 | Cyclopassifloside VI | C36 H58 O11 | 666.3978 |
| 80 | 383.1466 | 23.317 | Lariciresinol | C20 H24 O6 | 360.1573 |
| 81 | 395.1465 | 27.877 | Deguelin(-) | C23 H22 O6 | 394.1392 |
| 82 | 425.1936 | 28.943 | Virolongin B | C23 H30 O6 | 402.2044 |
| 83 | 331.0445 | 29.093 | 2,8-Di-O-methylellagic acid | C16 H10 O8 | 330.0372 |
| 84 | 395.1821 | 30.797 | 16-phenyl-tetranor-PGE2 | C22 H28 O5 | 372.1928 |
| 85 | 425.1938 | 31.950 | Cortisone acetate | C23 H30 O6 | 402.2045 |
| 86 | 527.3348 | 35.282 | Myrianthic acid | C30 H48 O6 | 504.3454 |
| 87 | 312.1595 | 36.810 | 1-Methoxy-4-[5-(4-methoxyphenoxy)-3-penten-1-ynyl]benzene | C19 H18 O3 | 294.1256 |
| 88 | 274.2746 | 38.715 | C16 Sphinganine | C16 H35 N O2 | 273.2673 |
| 89 | 230.2482 | 38.941 | Xestoaminol C | C14 H31 N O | 229.2409 |
| Group | Dose (mg/kg) | % Parasitemia | % Suppression |
|---|---|---|---|
| PBS | - | 18.93 ± 0.81 | - |
| Chloroquine | 25 | 0 | 100 a |
| Triphala (TPLA) | 200 | 10.84 ± 0.30 | 42.72 ± 1.60 a, b, e |
| 400 | 10.58 ± 0.20 | 44.13 ± 1.07 a, b, e | |
| 600 | 4.64 ± 0.95 | 75.47 ± 5.00 a, b, c, d |
| Group | Body Weight (g) | % Increase in Body Weight | |
|---|---|---|---|
| Day 0 | Day 14 | ||
| PBS | 37.71 ± 0.56 | 41.68 ± 0.87 | 10.54 ± 1.51 |
| Triphala | 37.15 ± 0.72 | 41.04 ± 0.97 | 10.48 ± 1.44 |
| Group | Relative Organ Weight | |
|---|---|---|
| Liver | Kidney | |
| PBS | 6.96 ± 0.73 | 1.89 ± 0.12 |
| Triphala | 5.84 ± 0.15 | 1.86 ± 0.12 |
| Group | BUN (mg/dL) | CREA (mg/dL) | AST (U/L) | ALT (U/L) | ALP (U/L) |
|---|---|---|---|---|---|
| PBS | 24.60 ± 0.40 | 0.16 ± 0.00 | 119.80 ± 11.37 | 32.00 ± 1.97 | 124.40 ± 15.79 |
| Triphala | 23.20 ± 0.49 | 0.17 ± 0.01 | 97.00 ± 20.52 | 33.60 ± 1.47 | 101.00 ± 6.23 |
Publisher’s Note: MDPI stays neutral with regard to jurisdictional claims in published maps and institutional affiliations. |
© 2022 by the authors. Licensee MDPI, Basel, Switzerland. This article is an open access article distributed under the terms and conditions of the Creative Commons Attribution (CC BY) license (https://creativecommons.org/licenses/by/4.0/).
Share and Cite
Phuwajaroanpong, A.; Chaniad, P.; Plirat, W.; Phoopha, S.; Septama, A.W.; Chukaew, A.; Punsawad, C. Antiplasmodial Properties of Aqueous and Ethanolic Extracts of Ten Herbal Traditional Recipes Used in Thailand against Plasmodium falciparum. Trop. Med. Infect. Dis. 2022, 7, 417. https://doi.org/10.3390/tropicalmed7120417
Phuwajaroanpong A, Chaniad P, Plirat W, Phoopha S, Septama AW, Chukaew A, Punsawad C. Antiplasmodial Properties of Aqueous and Ethanolic Extracts of Ten Herbal Traditional Recipes Used in Thailand against Plasmodium falciparum. Tropical Medicine and Infectious Disease. 2022; 7(12):417. https://doi.org/10.3390/tropicalmed7120417
Chicago/Turabian StylePhuwajaroanpong, Arisara, Prapaporn Chaniad, Walaiporn Plirat, Sathianpong Phoopha, Abdi Wira Septama, Arnon Chukaew, and Chuchard Punsawad. 2022. "Antiplasmodial Properties of Aqueous and Ethanolic Extracts of Ten Herbal Traditional Recipes Used in Thailand against Plasmodium falciparum" Tropical Medicine and Infectious Disease 7, no. 12: 417. https://doi.org/10.3390/tropicalmed7120417
APA StylePhuwajaroanpong, A., Chaniad, P., Plirat, W., Phoopha, S., Septama, A. W., Chukaew, A., & Punsawad, C. (2022). Antiplasmodial Properties of Aqueous and Ethanolic Extracts of Ten Herbal Traditional Recipes Used in Thailand against Plasmodium falciparum. Tropical Medicine and Infectious Disease, 7(12), 417. https://doi.org/10.3390/tropicalmed7120417

