Immunization with EmCRT-Induced Protective Immunity against Echinococcus multilocularis Infection in BALB/c Mice
Abstract
1. Introduction
2. Materials and Methods
2.1. Parasite and Animals
2.2. Cloning of Emcrt
2.3. Calcium-Binding Staining
2.4. Expression and Localization of Native EmCRT in E. multilocularis Metacestode Larvae
2.5. Immunization and Challenge Infection
2.6. ELISA Measurement of the Antibody Response
2.7. Cytokine Analysis
2.8. Statistical Analysis
3. Results
3.1. Cloning and Expression of EmCRT
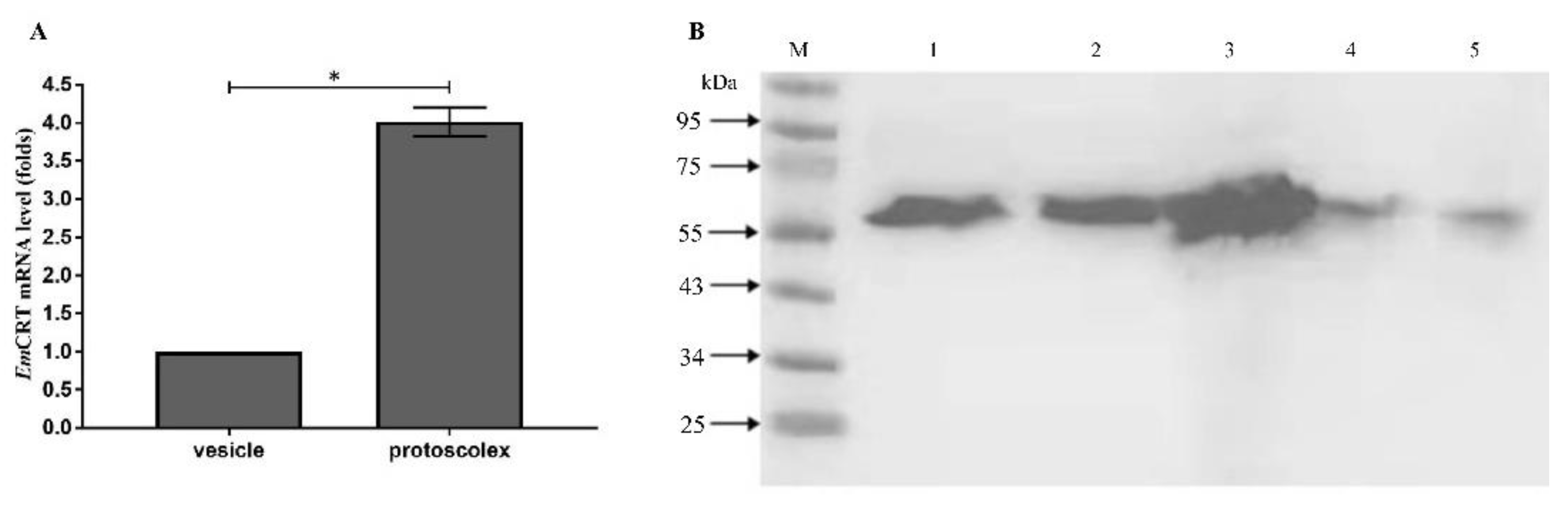
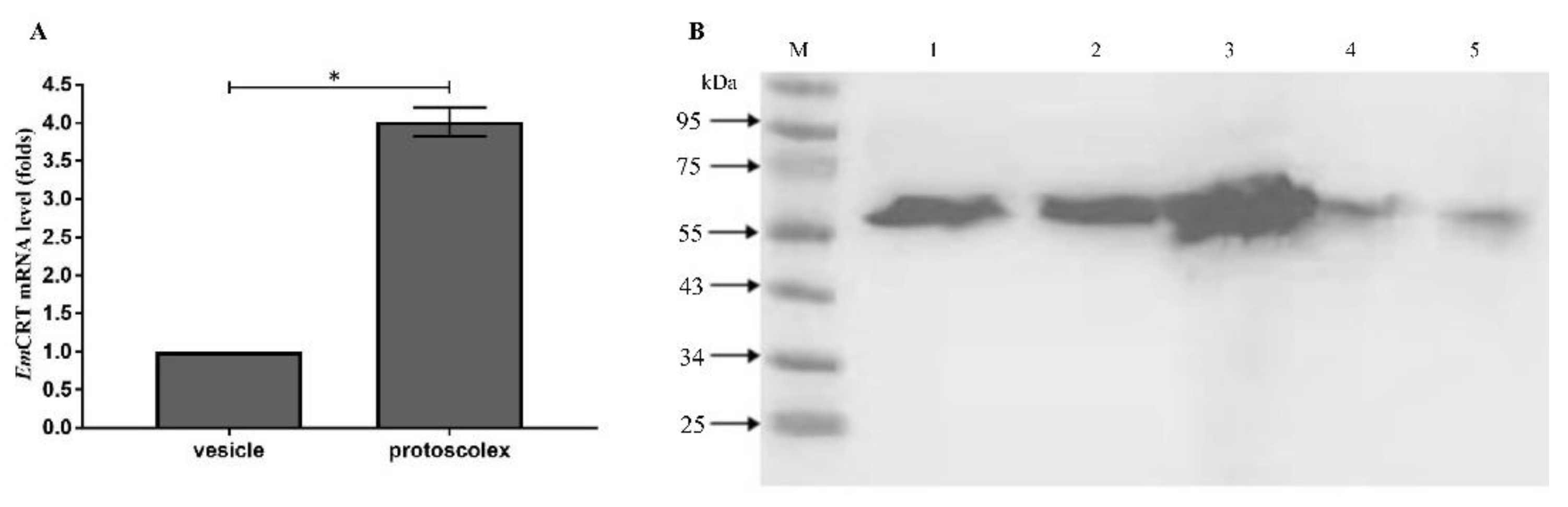
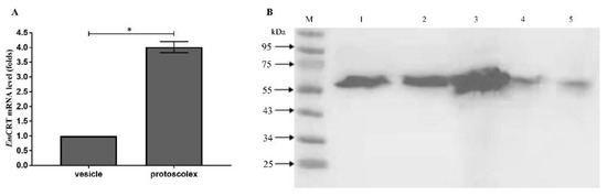
3.2. Expression of Native EmCRT in E. multilocularis Metacestode Larvae
3.3. Immune Responses to the Immunization with rEmCRT
3.4. Partially Protective Immunity Elicited by the Immunization with rEmCRT
4. Discussion
Author Contributions
Funding
Institutional Review Board Statement
Informed Consent Statement
Data Availability Statement
Acknowledgments
Conflicts of Interest
References
- Deplazes, P.; Rinaldi, L.; Alvarez, R.C.; Torgerson, P.R.; Harandi, M.F.; Romig, T.; Antolova, D.; Schurer, J.M.; Lahmar, S.; Cringoli, G.; et al. Global Distribution of Alveolar and Cystic Echinococcosis. Adv. Parasitol. 2017, 95, 315–493. [Google Scholar]
- Yangdan, C.; Wang, C.; Zhang, L.; Ren, B.; Fan, H.; Lu, M. Recent advances in ultrasound in the diagnosis and evaluation of the activity of hepatic alveolar echinococcosis. Parasitol. Res. 2021, 120, 3077–3082. [Google Scholar] [CrossRef] [PubMed]
- Cheng, Z.; Liu, F.; Zhu, S.; Tian, H.; Wang, L.; Wang, Y. A rapid and convenient method for fluorescence analysis of in vitro cultivated metacestode vesicles from Echinococcus multilocularis. PLoS ONE 2015, 10, e118215. [Google Scholar] [CrossRef] [PubMed]
- Buttenschoen, K.; Kern, P.; Reuter, S.; Barth, T.F. Hepatic infestation of Echinococcus multilocularis with extension to regional lymph nodes. Langenbecks Arch. Surg. 2009, 394, 699–704. [Google Scholar] [CrossRef]
- Kern, P.; Menezes da Silva, A.; Akhan, O.; Müllhaupt, B.; Vizcaychipi, K.A.; Budke, C.; Vuitton, D.A. The Echinococcoses: Diagnosis, Clinical Management and Burden of Disease. Adv. Parasitol. 2017, 96, 259–369. [Google Scholar] [PubMed]
- Hemphill, A.; Stadelmann, B.; Rufener, R.; Spiliotis, M.; Boubaker, G.; Müller, J.; Müller, N.; Gorgas, D.; Gottstein, B. Treatment of echinococcosis: Albendazole and mebendazole—What else? Parasite 2014, 21, 70. [Google Scholar] [CrossRef]
- Ferreira, V.; Molina, M.C.; Valck, C.; Rojas, A.; Aguilar, L.; Ramírez, G.; Schwaeble, W.; Ferreira, A. Role of calreticulin from parasites in its interaction with vertebrate hosts. Mol. Immunol. 2004, 40, 1279–1291. [Google Scholar] [CrossRef]
- Schcolnik-Cabrera, A.; Oldak, B.; Juárez, M.; Cruz-Rivera, M.; Flisser, A.; Mendlovic, F. Calreticulin in phagocytosis and cancer: Opposite roles in immune response outcomes. Apoptosis 2019, 24, 245–255. [Google Scholar] [CrossRef]
- Wijeyesakere, S.J.; Bedi, S.K.; Huynh, D.; Raghavan, M. The C-Terminal Acidic Region of Calreticulin Mediates Phosphatidylserine Binding and Apoptotic Cell Phagocytosis. J. Immunol. 2016, 196, 3896–3909. [Google Scholar] [CrossRef]
- Ramírez-Toloza, G.; Aguilar-Guzmán, L.; Valck, C.; Ferreira, V.P.; Ferreira, A. The Interactions of Parasite Calreticulin With Initial Complement Components: Consequences in Immunity and Virulence. Front. Immunol. 2020, 11, 1561. [Google Scholar] [CrossRef]
- Fucikova, J.; Spisek, R.; Kroemer, G.; Galluzzi, L. Calreticulin and Cancer. Cell Res. 2021, 31, 5–16. [Google Scholar] [CrossRef] [PubMed]
- Zhao, L.; Shao, S.; Chen, Y.; Sun, X.; Sun, R.; Huang, J.; Zhan, B.; Zhu, X. Trichinella spiralis Calreticulin Binds Human Complement C1q As an Immune Evasion Strategy. Front. Immunol. 2017, 8, 636. [Google Scholar] [CrossRef] [PubMed]
- Shao, S.; Hao, C.; Zhan, B.; Zhuang, Q.; Zhao, L.; Chen, Y.; Huang, J.; Zhu, X. Trichinella spiralis Calreticulin S-Domain Binds to Human Complement C1q to Interfere With C1q-Mediated Immune Functions. Front. Immunol. 2020, 11, 572326. [Google Scholar] [CrossRef] [PubMed]
- Gengehi, N.E.; Ridi, R.E.; Tawab, N.A.; Demellawy, M.E.; Mangold, B.L. A Schistosoma mansoni 62-kDa band is identified as an irradiated vaccine T-cell antigen and characterized as calreticulin. J. Parasitol. 2000, 86, 993–1000. [Google Scholar] [CrossRef]
- Winter, J.A.; Davies, O.R.; Brown, A.P.; Garnett, M.C.; Stolnik, S.; Pritchard, D.I. The assessment of hookworm calreticulin as a potential vaccine for necatoriasis. Parasite Immunol. 2005, 27, 139–146. [Google Scholar] [CrossRef]
- León-Cabrera, S.; Cruz-Rivera, M.; Mendlovic, F.; Avila-Ramírez, G.; Carrero, J.C.; Laclette, J.P.; Flisser, A. Standardization of an experimental model of human taeniosis for oral vaccination. Methods 2009, 49, 346–350. [Google Scholar] [CrossRef]
- Mendlovic, F.; Cruz-Rivera, M.; Ávila, G.; Vaughan, G.; Flisser, A. Cytokine, antibody and proliferative cellular responses elicited by Taenia solium calreticulin upon experimental infection in hamsters. PLoS ONE 2015, 10, e121321. [Google Scholar]
- Tang, C.T.; Quian, Y.C.; Kang, Y.M.; Cui, G.W.; Lu, H.C.; Shu, L.M.; Wang, Y.H.; Tang, L. Study on the ecological distribution of alveolar Echinococcus in Hulunbeier Pasture of Inner Mongolia, China. Parasitology 2004, 128, 187–194. [Google Scholar] [CrossRef]
- Brehm, K.; Spiliotis, M. Recent advances in the in vitro cultivation and genetic manipulation of Echinococcus multilocularis metacestodes and germinal cells. Exp. Parasitol. 2008, 119, 506–515. [Google Scholar] [CrossRef]
- Spiliotis, M.; Mizukami, C.; Oku, Y.; Kiss, F.; Brehm, K.; Gottstein, B. Echinococcus multilocularis primary cells: Improved isolation, small-scale cultivation and RNA interference. Mol. Biochem. Parasitol. 2010, 174, 83–87. [Google Scholar] [CrossRef]
- Wang, H.; Li, J.; Guo, B.; Zhao, L.; Zhang, Z.; McManus, D.P.; Wen, H.; Zhang, W. In vitro culture of Echinococcus multilocularis producing protoscoleces and mouse infection with the cultured vesicles. Parasites Vectors 2016, 9, 411. [Google Scholar] [CrossRef]
- Campbell, K.P.; MacLennan, D.H.; Jorgensen, A.O. Staining of the Ca2+-binding proteins, calsequestrin, calmodulin, troponin C, and S-100, with the cationic carbocyanine dye “Stains-all”. J. Biol. Chem. 1983, 258, 11267–11273. [Google Scholar] [CrossRef]
- Sharma, N.; Sharma, R.; Rajput, Y.S.; Mann, B.; Gandhi, K. Distinction between glycomacropeptide and β-lactoglobulin with ‘stains all’ dye on tricine SDS-PAGE gels. Food Chem. 2021, 340, 127923. [Google Scholar] [CrossRef]
- Cabezón, C.; Cabrera, G.; Paredes, R.; Ferreira, A.; Galanti, N. Echinococcus granulosus calreticulin: Molecular characterization and hydatid cyst localization. Mol. Immunol. 2008, 45, 1431–1438. [Google Scholar] [CrossRef]
- Li, Y.; Xu, H.; Chen, J.; Gan, W.; Wu, W.; Wu, W.; Hu, X. Gene cloning, expression, and localization of antigen 5 in the life cycle of Echinococcus granulosus. Parasitol. Res. 2012, 110, 2315–2323. [Google Scholar] [CrossRef]
- Cao, S.; Gong, W.; Zhang, X.; Xu, M.; Wang, Y.; Xu, Y.; Cao, J.; Shen, Y.; Chen, J. Arginase promotes immune evasion of Echinococcus granulosus in mice. Parasites Vectors 2020, 13, 49. [Google Scholar] [CrossRef] [PubMed]
- Habjanec, L.; Halassy, B.; Tomasić, J. Immunomodulatory activity of novel adjuvant formulations based on Montanide ISA oil-based adjuvants and peptidoglycan monomer. Int. Immunopharmacol. 2008, 8, 717–724. [Google Scholar] [CrossRef] [PubMed]
- Lal, R.; Dhaliwal, J.; Dhaliwal, N.; Dharavath, R.N.; Chopra, K. Activation of the Nrf2/HO-1 signaling pathway by dimethyl fumarate ameliorates complete Freund’s adjuvant-induced arthritis in rats. Eur. J. Pharmacol. 2021, 899, 174044. [Google Scholar]
- Liu, C.; Han, X.; Lei, W.; Yin, J.; Wu, S.; Zhang, H. The efficacy of an alternative mebendazole formulation in mice infected with Echinococcus multilocularis. Acta Trop. 2019, 196, 72–75. [Google Scholar] [CrossRef]
- Bi, K.; Yang, J.; Wang, L.; Gu, Y.; Zhan, B.; Zhu, X. Partially Protective Immunity Induced by a 20 kDa Protein Secreted by Trichinella spiralis Stichocytes. PLoS ONE 2015, 10, e136189. [Google Scholar] [CrossRef] [PubMed]
- Li, R.; Yang, Q.; Guo, L.; Feng, L.; Wang, W.; Liu, K.; Tang, F.G. Immunological features and efficacy of the recombinant subunit vaccine LTB-EMY162 against Echinococcus multilocularis metacestode. Appl. Microbiol. Biotechnol. 2018, 102, 2143–2154. [Google Scholar] [CrossRef] [PubMed]
- Ostwald, T.J.; MacLennan, D.H. Isolation of a high affinity calcium-binding protein from sarcoplasmic reticulum. J. Biol. Chem. 1974, 249, 974–979. [Google Scholar] [CrossRef]
- Nagano, I.; Wu, Z.; Takahashi, Y. Functional genes and proteins of Trichinella spp. Parasitol. Res. 2009, 104, 197–207. [Google Scholar] [CrossRef]
- Rzepecka, J.; Rausch, S.; Klotz, C.; Schnöller, C.; Kornprobst, T.; Hagen, J.; Ignatius, R.; Lucius, R.; Hartmann, S. Calreticulin from the intestinal nematode Heligmosomoides polygyrus is a Th2-skewing protein and interacts with murine scavenger receptor-A. Mol. Immunol. 2009, 46, 1109–1119. [Google Scholar] [CrossRef] [PubMed]
- Tiwari, P.; Kaila, P.; Guptasarma, P. Understanding anomalous mobility of proteins on SDS-PAGE with special reference to the highly acidic extracellular domains of human E- and N-Cadherins. Electrophoresis. 2019, 40, 1273–1281. [Google Scholar] [CrossRef] [PubMed]
- Hein, W.R.; Harrison, G.B. Vaccines against veterinary helminths. Vet. Parasitol. 2005, 132, 217–222. [Google Scholar] [CrossRef]
- Hussaarts, L.; Yazdanbakhsh, M.; Guigas, B. Priming dendritic cells for th2 polarization: Lessons learned from helminths and implications for metabolic disorders. Front. Immunol. 2014, 5, 499. [Google Scholar] [CrossRef]
- Wang, L.; Wei, W.; Zhou, P.; Liu, H.; Yang, B.; Feng, L.; Ge, R.; Li, R.; Tang, F. Enzymatic characteristics and preventive effect of leucine aminopeptidase against Echinococcus multilocularis. Acta Trop. 2021, 222, 106066. [Google Scholar] [CrossRef]
- Lothstein, K.E.; Gause, W.C. Mining Helminths for Novel Therapeutics. Trends Mol. Med. 2021, 27, 345–364. [Google Scholar] [CrossRef]
- Jin, Q.; Zhang, N.; Li, W.; Qin, H.; Liu, Y.; Ohiolei, J.A.; Niu, D.; Yan, H.; Li, L.; Jia, W.Z.; et al. Trichinella spiralis Thioredoxin Peroxidase 2 Regulates Protective Th2 Immune Response in Mice by Directly Inducing Alternatively Activated Macrophages. Front. Immunol. 2020, 11, 2015. [Google Scholar] [CrossRef]
- Ortega-Pierres, G.; Vaquero-Vera, A.; Fonseca-Liñán, R.; Bermúdez-Cruz, R.M.; Argüello-García, R. Induction of protection in murine experimental models against Trichinella spiralis: An up-to-date review. J. Helminthol. 2015, 89, 526–539. [Google Scholar] [CrossRef] [PubMed]
- Chen, L.; Cheng, Z.; Wang, Y.; Zhao, L. Eukaryotic expression of calreticulin of Echinococcus multilocularis (EmCRT) and prediction of T-and B-cell epitopes of EmCRT. J. Pathog. Biol. 2020, 15, 1397–1403. [Google Scholar]






| Groups | Metacestode Vesicle Weight | Mean Reduction in Parasite Weight (Compared with PBS) |
|---|---|---|
| rEmCRT + FA | 0.8539125 ± 0.337201921 | 43.16% * |
| PBS + FA | 1.1720375 ± 0.494765754 | 21.98% |
| PBS | 1.50224 ± 0.69753474 |
Publisher’s Note: MDPI stays neutral with regard to jurisdictional claims in published maps and institutional affiliations. |
© 2022 by the authors. Licensee MDPI, Basel, Switzerland. This article is an open access article distributed under the terms and conditions of the Creative Commons Attribution (CC BY) license (https://creativecommons.org/licenses/by/4.0/).
Share and Cite
Chen, L.; Cheng, Z.; Xian, S.; Zhan, B.; Xu, Z.; Yan, Y.; Chen, J.; Wang, Y.; Zhao, L. Immunization with EmCRT-Induced Protective Immunity against Echinococcus multilocularis Infection in BALB/c Mice. Trop. Med. Infect. Dis. 2022, 7, 279. https://doi.org/10.3390/tropicalmed7100279
Chen L, Cheng Z, Xian S, Zhan B, Xu Z, Yan Y, Chen J, Wang Y, Zhao L. Immunization with EmCRT-Induced Protective Immunity against Echinococcus multilocularis Infection in BALB/c Mice. Tropical Medicine and Infectious Disease. 2022; 7(10):279. https://doi.org/10.3390/tropicalmed7100279
Chicago/Turabian StyleChen, Lujuan, Zhe Cheng, Siqi Xian, Bin Zhan, Zhijian Xu, Yan Yan, Jianfang Chen, Yanhai Wang, and Limei Zhao. 2022. "Immunization with EmCRT-Induced Protective Immunity against Echinococcus multilocularis Infection in BALB/c Mice" Tropical Medicine and Infectious Disease 7, no. 10: 279. https://doi.org/10.3390/tropicalmed7100279
APA StyleChen, L., Cheng, Z., Xian, S., Zhan, B., Xu, Z., Yan, Y., Chen, J., Wang, Y., & Zhao, L. (2022). Immunization with EmCRT-Induced Protective Immunity against Echinococcus multilocularis Infection in BALB/c Mice. Tropical Medicine and Infectious Disease, 7(10), 279. https://doi.org/10.3390/tropicalmed7100279

