Unilateral “Inactive” Condylar Hyperplasia: New Histological Data
Abstract
1. Introduction
2. Materials and Methods
2.1. Surgical Procedures
2.2. Sample Preparation for Histology and Immunofluorescence
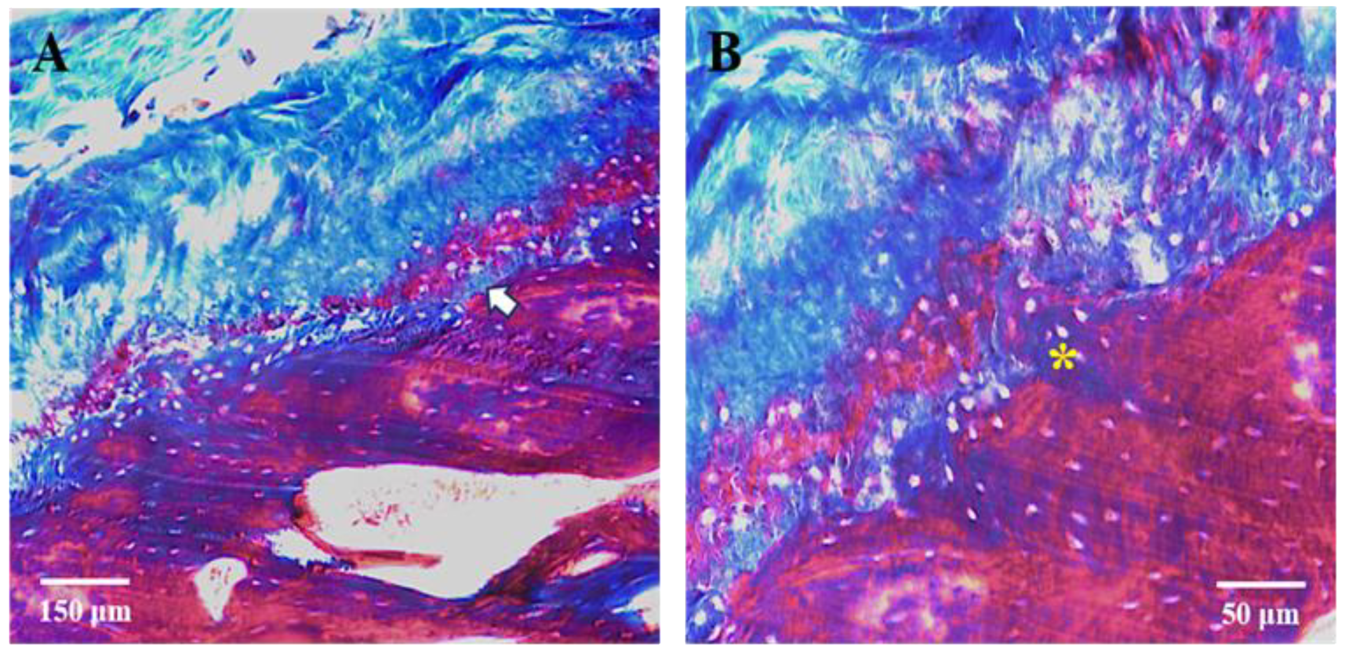
2.3. Masson’s Trichromatic Staining
2.4. Immunofluorescence Reactions
3. Results
3.1. Proportional Condilectomy
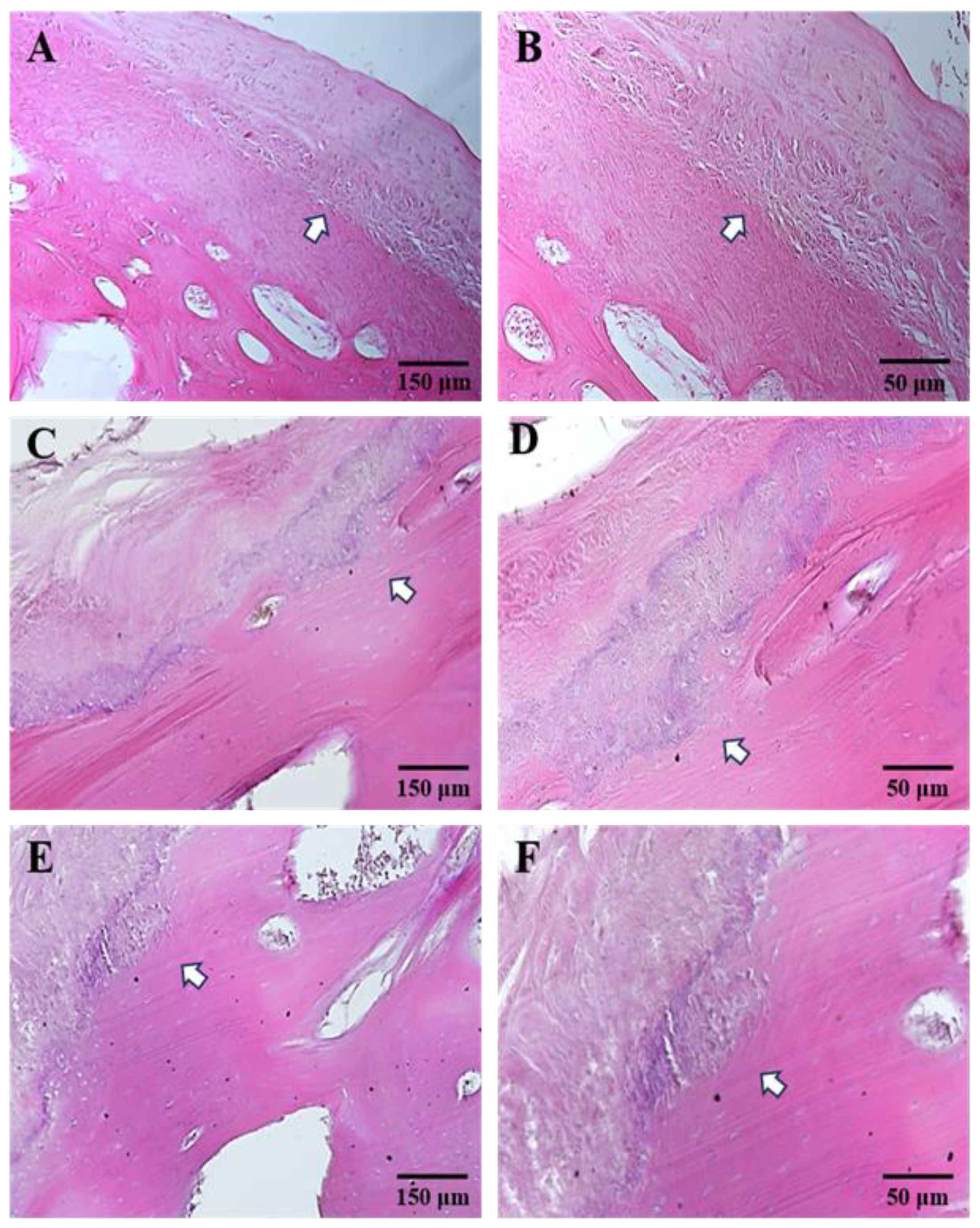
3.2. Histology
3.3. Immunofluorescence
4. Discussion
5. Conclusions
Author Contributions
Funding
Institutional Review Board Statement
Informed Consent Statement
Data Availability Statement
Conflicts of Interest
References
- Shankar, U.; Chandra, S.; Raju, B.H.V.R.K.; Anitha, G.; Srikanth, K.V.; Laheji, A. Condylar Hyperplasia. J. Contemp. Dent. Pract. 2012, 13, 914–917. [Google Scholar] [CrossRef] [PubMed]
- Higginson, J.A.; Bartram, A.C.; Banks, R.J.; Keith, D.J.W. Condylar Hyperplasia: Current Thinking. Br. J. Oral Maxillofac. Surg. 2018, 56, 655–662. [Google Scholar] [CrossRef] [PubMed]
- Arora, K.S.; Bansal, R.; Mohapatra, S.; Pareek, S. Review and Classification Update: Unilateral Condylar Hyperplasia. BMJ Case Rep. 2019, 12, e227569. [Google Scholar] [CrossRef] [PubMed]
- Pravallika, A.; Menon, C.S.; Sham, M.E.; Archana, S.; Mathews, S. Condylar Hyperplasia: Case Report and Literature Review. J. Maxillofac. Oral Surg. 2023, 22, 916–926. [Google Scholar] [CrossRef] [PubMed]
- Elbaz, J.; Wiss, A.; Raoul, G.; Leroy, X.; Hossein-Foucher, C.; Ferri, J. Condylar Hyperplasia: Correlation between Clinical, Radiological, Scintigraphic, and Histologic Features. J. Craniofac. Surg. 2014, 25, 1085–1090. [Google Scholar] [CrossRef]
- Toh, A.Q.J.; Becking, A.G.; Leung, Y.Y. Mirror-Image Unilateral Condylar Hyperplasia in Monozygotic Twins. Int. J. Oral Maxillofac. Surg. 2021, 50, 1177–1181. [Google Scholar] [CrossRef]
- Rizwana, A.; Mohan, N.; Kumar, P.T.R.; Karthik, R.; Gokulraj, S. Panoramic Radiograph and CBCT in Unilateral Mandibular Condylar Hyperplasia-A Case Report. Indian J. Radiol. Imaging 2021, 31, 1070–1074. [Google Scholar] [CrossRef]
- López, D.F.; Ríos Borrás, V.; Muñoz, J.M.; Cardenas-Perilla, R.; Almeida, L.E. SPECT/CT Correlation in the Diagnosis of Unilateral Condilar Hyperplasia. Diagnostics 2021, 11, 477. [Google Scholar] [CrossRef]
- Liu, P.; Shi, J. Assessment of Unilateral Condylar Hyperplasia with Quantitative SPECT/CT. Heliyon 2024, 10, e23777. [Google Scholar] [CrossRef]
- López, D.F.; Fernández Osorio, A.D. Volumetric Differences in the Temporomandibular Joint in Patients with Condylar Hyperplasia in Active and Passive State, SPECT/CT Study. Int. J. Comput. Dent. 2024. Online ahead of print. [Google Scholar] [CrossRef]
- Vásquez, B.; Olate, S.; Cantín, M.; Sandoval, C.; Del Sol, M.; de Moraes, M. Histomorphometric Analysis of Unilateral Condylar Hyperplasia in the Temporomandibular Joint: The Value of the Condylar Layer and Cartilage Island. Int. J. Oral Maxillofac. Surg. 2017, 46, 861–866. [Google Scholar] [CrossRef] [PubMed]
- Kün-Darbois, J.-D.; Bertin, H.; Mouallem, G.; Corre, P.; Delabarde, T.; Chappard, D. Bone Characteristics in Condylar Hyperplasia of the Temporomandibular Joint: A Microcomputed Tomography, Histology, and Raman Microspectrometry Study. Int. J. Oral Maxillofac. Surg. 2023, 52, 543–552. [Google Scholar] [CrossRef]
- Espinosa, S.; Covarrubias, E.; Díaz, R.; Díaz, K.T.; Cafferata, E.A. Histologic Findings and Related Diagnostic Methods in Condylar Hyperactivity. Int. J. Oral Maxillofac. Surg. 2021, 50, 54–63. [Google Scholar] [CrossRef] [PubMed]
- Angiero, F.; Farronato, G.; Benedicenti, S.; Vinci, R.; Farronato, D.; Magistro, S.; Stefani, M. Mandibular Condylar Hyperplasia: Clinical, Histopathological, and Treatment Considerations. Cranio 2009, 27, 24–32. [Google Scholar] [CrossRef]
- Alito, A.; Fenga, D.; Tropeano, G.; Milardi, D.; Leonetti, D.; Migliorato, A.; Tisano, A.; D’Andrea, D.; Filardi, V. Screw Stress Distribution in a Clavicle Fracture with Plate Fixation: A Finite Element Analysis. Bioengineering 2023, 10, 1402. [Google Scholar] [CrossRef]
- Olate, S.; Almeida, A.; Alister, J.P.; Navarro, P.; Netto, H.D.; de Moraes, M. Facial Asymmetry and Condylar Hyperplasia: Considerations for Diagnosis in 27 Consecutives Patients. Int. J. Clin. Exp. Med. 2013, 6, 937–941. [Google Scholar] [PubMed]
- Nelke, K.; Pawlak, W.; Łuczak, K.; Janeczek, M.; Pasicka, E.; Nienartowicz, J.; Gogolewski, G.; Dobrzyński, M. Late Outcomes of Undiagnosed Unilateral Condylar Hyperplasia and Reoccurrence of Mandibular Asymmetry. Diagnostics 2024, 14, 1014. [Google Scholar] [CrossRef]
- Bruce, R.A.; Hayward, J.R. Condylar Hyperplasia and Mandibular Asymmetry: A Review. J. Oral Surg. 1968, 26, 281–290. [Google Scholar]
- Sindona, C.; Runci Anastasi, M.; Chiricosta, L.; Gugliandolo, A.; Silvestro, S.; Bramanti, P.; Cascone, P.; Mazzon, E. Temporomandibular Disorders Slow Down the Regeneration Process of Masticatory Muscles: Transcriptomic Analysis. Medicina 2021, 57, 354. [Google Scholar] [CrossRef]
- Wolford, L.M.; Movahed, R.; Perez, D.E. A Classification System for Conditions Causing Condylar Hyperplasia. J. Oral Maxillofac. Surg. Off. J. Am. Assoc. Oral Maxillofac. Surg. 2014, 72, 567–595. [Google Scholar] [CrossRef]
- Yılancı, H.Ö.; Akkaya, N.; Özbek, M. Terminology and classification of condylar hyperplasia: Two case reports and review. Kulak Burun Bogaz Ihtis. Derg. 2015, 25, 367–374. [Google Scholar] [CrossRef] [PubMed][Green Version]
- Vellone, V.; Costantini, A.M.; Ramieri, V.; Alunni Fegatelli, D.; Galluccio, G.; Cascone, P. Unilateral Condylar Hyperplasia: A Comparison With Two Open-Source Softwares. J. Craniofac. Surg. 2020, 31, 475–479. [Google Scholar] [CrossRef]
- Depeyre, A.; Constant, M.; Bauer, C.; Barthélémy, I. Unilateral Condylar Hyperplasia: Is Reactivation After a Long Latency Period of Inactivity Plausible? J. Craniofac. Surg. 2019, 30, e707–e710. [Google Scholar] [CrossRef]
- Wolford, L.M.; Mehra, P.; Reiche-Fischel, O.; Morales-Ryan, C.A.; García-Morales, P. Efficacy of High Condylectomy for Management of Condylar Hyperplasia. Am. J. Orthod. Dentofac. Orthop. Off. Publ. Am. Assoc. Orthod. Its Const. Soc. Am. Board Orthod. 2002, 121, 131–136. [Google Scholar] [CrossRef]
- Mazzone, N.; Mici, E.; Calvo, A.; Runci, M.; Crimi, S.; Lauritano, F.; Belli, E. Preliminary Results of Bone Regeneration in Oromaxillomandibular Surgery Using Synthetic Granular Graft. BioMed Res. Int. 2018, 2018, 8503427. [Google Scholar] [CrossRef] [PubMed]
- Lo Giudice, R.; Rizzo, G.; Centofanti, A.; Favaloro, A.; Rizzo, D.; Cervino, G.; Squeri, R.; Costa, B.G.; La Fauci, V.; Lo Giudice, G. Steam Sterilization of Equine Bone Block: Morphological and Collagen Analysis. BioMed Res. Int. 2018, 2018, 9853765. [Google Scholar] [CrossRef] [PubMed]
- DE Ponte, F.S.; Catalfamo, L.; Micali, G.; Runci, M.; Cutroneo, G.; Vermiglio, G.; Centofanti, A.; Rizzo, G. Effect of Bisphosphonates on the Mandibular Bone and Gingival Epithelium of Rats without Tooth Extraction. Exp. Ther. Med. 2016, 11, 1678–1684. [Google Scholar] [CrossRef]
- De Ponte, F.S.; Falzea, R.; Runci, M.; Siniscalchi, E.N.; Lauritano, F.; Bramanti, E.; Cervino, G.; Cicciu, M. Histomorhological and Clinical Evaluation of Maxillary Alveolar Ridge Reconstruction after Craniofacial Trauma by Applying Combination of Allogeneic and Autogenous Bone Graft. Chin. J. Traumatol. Zhonghua Chuang Shang Za Zhi 2017, 20, 14–17. [Google Scholar] [CrossRef] [PubMed]
- Vermiglio, G.; Centofanti, A.; Ramieri, G.; Tepedino, M.; Runci Anastasi, M.; Micali, A.G.; Arco, A.; Piancino, M.G. Immunofluorescence Evaluation of Myf5 and MyoD in Masseter Muscle of Unilateral Posterior Crossbite Patients. J. Funct. Morphol. Kinesiol. 2020, 5, 80. [Google Scholar] [CrossRef]
- Niño-Sandoval, T.C.; Maia, F.P.A.; Vasconcelos, B.C.E. Efficacy of Proportional versus High Condylectomy in Active Condylar Hyperplasia—A Systematic Review. J. Cranio-Maxillo-Facial Surg. Off. Publ. Eur. Assoc. Cranio-Maxillo-Facial Surg. 2019, 47, 1222–1232. [Google Scholar] [CrossRef]
- Ha, S.-W.; Choi, J.-Y.; Baek, S.-H. Correction of Unilateral Condylar Hyperplasia and Posterior Open Bite with Proportional Condylectomy and Fixed Orthodontic Treatment. Angle Orthod. 2020, 90, 144–158. [Google Scholar] [CrossRef] [PubMed]
- Cohen, A.; Zar, K.; Rushinek, H.; Talisman, S.; Alterman, M.; Casap, N. “Proportional Condylectomy” for Vertical Condylar Hyperplasia Without Intermaxillary Elastics: Clinical Results and Patient Satisfaction. J. Craniofac. Surg. 2023, 34, 1004–1009. [Google Scholar] [CrossRef] [PubMed]
- Fariña, R.; Moreno, E.; Lolas, J.; Silva, F.; Martínez, B. Three-Dimensional Skeletal Changes after Early Proportional Condylectomy for Condylar Hyperplasia. Int. J. Oral Maxillofac. Surg. 2019, 48, 941–951. [Google Scholar] [CrossRef] [PubMed]
- Cascone, P.; Cicero, B.; Ramieri, V.; Germano, F.; Vellone, V. Treatment of Unilateral Condylar Hyperplasia with Proportional Condylectomy and Orthodontic Aligners. J. Clin. Orthod. 2020, 54, 611–619. [Google Scholar] [PubMed]
- Fariña, R.; Olate, S.; Raposo, A.; Araya, I.; Alister, J.P.; Uribe, F. High Condylectomy versus Proportional Condylectomy: Is Secondary Orthognathic Surgery Necessary? Int. J. Oral Maxillofac. Surg. 2016, 45, 72–77. [Google Scholar] [CrossRef]
- Mouallem, G.; Vernex-Boukerma, Z.; Longis, J.; Perrin, J.-P.; Delaire, J.; Mercier, J.-M.; Corre, P. Efficacy of Proportional Condylectomy in a Treatment Protocol for Unilateral Condylar Hyperplasia: A Review of 73 Cases. J. Cranio-Maxillo-Facial Surg. Off. Publ. Eur. Assoc. Cranio-Maxillo-Facial Surg. 2017, 45, 1083–1093. [Google Scholar] [CrossRef]
- Cao, P.; Feng, Y.; Deng, M.; Li, J.; Cai, H.; Meng, Q.; Fang, W.; Li, Y.; Ke, J.; Long, X. MiR-15b Is a Key Regulator of Proliferation and Apoptosis of Chondrocytes from Patients with Condylar Hyperplasia by Targeting IGF1, IGF1R and BCL2. Osteoarthr. Cartil. 2019, 27, 336–346. [Google Scholar] [CrossRef]
- Eslami, B.; Behnia, H.; Javadi, H.; Khiabani, K.S.; Saffar, A.S. Histopathologic Comparison of Normal and Hyperplastic Condyles. Oral Surg. Oral Med. Oral Pathol. Oral Radiol. Endod. 2003, 96, 711–717. [Google Scholar] [CrossRef]
- Saridin, C.P.; Raijmakers, P.G.H.M.; Slootweg, P.J.; Tuinzing, D.B.; Becking, A.G.; van der Waal, I. Unilateral Condylar Hyperactivity: A Histopathologic Analysis of 47 Patients. J. Oral Maxillofac. Surg. Off. J. Am. Assoc. Oral Maxillofac. Surg. 2010, 68, 47–53. [Google Scholar] [CrossRef]
- Yang, M.-C.; Nakamura, M.; Mayanagi, M.; Sasano, Y. Immunohistochemical Characterization of the Mandibular Condyle for Type I and II Collagen, Aggrecan, MMP-9, and MMP-13 in MMP-2-Deficient Mice. Biomed. Res. 2023, 44, 65–72. [Google Scholar] [CrossRef]
- Van Doren, S.R. Matrix Metalloproteinase Interactions with Collagen and Elastin. Matrix Biol. 2015, 44–46, 224–231. [Google Scholar] [CrossRef] [PubMed]
- Pantoja, R.; Martinez, B.; Encina, S.; Cortes, J.; Argandoña, J. Vertical condylar hyperplasia, clinical and histologic aspects. Apropos of 2 cases. Rev. Stomatol. Chir. Maxillofac. 1994, 95, 285–291. [Google Scholar] [PubMed]
- Manolagas, S.C. Osteocalcin Promotes Bone Mineralization but Is Not a Hormone. PLoS Genet. 2020, 16, e1008714. [Google Scholar] [CrossRef] [PubMed]
- Bonucci, E. Bone Mineralization. Front. Biosci. 2012, 17, 100–128. [Google Scholar] [CrossRef]
- Olate, S.; Martinez, F.; Uribe, F.; Pozzer, L.; Cavalieri-Pereira, L.; de Moraes, M. TMJ Function after Partial Condylectomy in Active Mandibular Condylar Hyperplasia. Int. J. Clin. Exp. Med. 2014, 7, 775–779. [Google Scholar]
- Lippold, C.; Kruse-Losler, B.; Danesh, G.; Joos, U.; Meyer, U. Treatment of Hemimandibular Hyperplasia: The Biological Basis of Condylectomy. Br. J. Oral Maxillofac. Surg. 2007, 45, 353–360. [Google Scholar] [CrossRef]
- Brusati, R.; Pedrazzoli, M.; Colletti, G. Functional Results after Condylectomy in Active Laterognathia. J. Cranio-Maxillo-Facial Surg. Off. Publ. Eur. Assoc. Cranio-Maxillo-Facial Surg. 2010, 38, 179–184. [Google Scholar] [CrossRef]






| Disclaimer/Publisher’s Note: The statements, opinions and data contained in all publications are solely those of the individual author(s) and contributor(s) and not of MDPI and/or the editor(s). MDPI and/or the editor(s) disclaim responsibility for any injury to people or property resulting from any ideas, methods, instructions or products referred to in the content. | 
© 2024 by the authors. Licensee MDPI, Basel, Switzerland. This article is an open access article distributed under the terms and conditions of the Creative Commons Attribution (CC BY) license (https://creativecommons.org/licenses/by/4.0/).
Share and Cite
Anastasi, M.R.; Centofanti, A.; Favaloro, A.; Freni, J.; Nicita, F.; Vermiglio, G.; Anastasi, G.P.; Cascone, P. Unilateral “Inactive” Condylar Hyperplasia: New Histological Data. J. Funct. Morphol. Kinesiol. 2024, 9, 217. https://doi.org/10.3390/jfmk9040217
Anastasi MR, Centofanti A, Favaloro A, Freni J, Nicita F, Vermiglio G, Anastasi GP, Cascone P. Unilateral “Inactive” Condylar Hyperplasia: New Histological Data. Journal of Functional Morphology and Kinesiology. 2024; 9(4):217. https://doi.org/10.3390/jfmk9040217
Chicago/Turabian StyleAnastasi, Michele Runci, Antonio Centofanti, Angelo Favaloro, Josè Freni, Fabiana Nicita, Giovanna Vermiglio, Giuseppe Pio Anastasi, and Piero Cascone. 2024. "Unilateral “Inactive” Condylar Hyperplasia: New Histological Data" Journal of Functional Morphology and Kinesiology 9, no. 4: 217. https://doi.org/10.3390/jfmk9040217
APA StyleAnastasi, M. R., Centofanti, A., Favaloro, A., Freni, J., Nicita, F., Vermiglio, G., Anastasi, G. P., & Cascone, P. (2024). Unilateral “Inactive” Condylar Hyperplasia: New Histological Data. Journal of Functional Morphology and Kinesiology, 9(4), 217. https://doi.org/10.3390/jfmk9040217
 
        






