Abstract
Previous studies indicated that Fibroblast Growth Factors (FGFs) are present during tail and early limb regeneration in lizards, but FGFs disappear in the limb that turns into a scar and does not regenerate at 25–40 days post-amputation. Based on these indications, the aim of the present study was to evaluate the influence of administered FGFs on limb regeneration in lizards by injections of FGF1–2 into amputated hind-limbs that were studied between 40 and 70 days post-amputation. Outgrowths of 2.0 to 3.5 mm were produced but they did not develop an autopodium during this period. The skin remained most un-scaled, resembling that of a tail blastema. Four hours before sacrifice, the animals were injected with 5BrdU to study cell proliferation using microscopic and immunofluorescent methods. Histological examination of the outgrowths at 40–70 days of regeneration showed the presence a rod of cartilage (femur), or partially or completely sub-divided into two parts likely corresponding to a tibia and fibula. The regenerated cartilage was in continuity with the transected long bones and was surrounded by a perichondrium and a dense connective tissue, sparse nerves while muscles were reduced or absent. Qualitative observations on 5BrdU-immunolabeling indicated that most proliferating cells were present in the apical wound epidermis, the apical-most perichondrium and in the regenerating scales at 40–60 days post-amputation, but decreased at 70 days. Few 5BrdU-labeled cells were seen in other tissues, including in the regenerated cartilages. The present study indicates that FGF1-2 treatment in lizards mainly stimulate cartilage regeneration and the formation of a thick epidermis with an Apical Epidermal Peg, the epidermal micro-region that favors regeneration. In summary, these results suggest that FGFs treatments on amputated limbs could also be attempted in others amniotes, including mammals. However FGFs are not capable to induce an autopodium, which requires further signaling factors for its formation.
1. Introduction
The loss of limbs in amniotes, if not immediately fatal due to extensive bleeding, results in a permanent deficit since the limb cannot regenerate, a condition that in nature leads more or less rapidly to death. The only amniotes occasionally capable to regenerate a short and heterotypic appendage replacing the lost limb are lizards, making these reptiles an important research model [1,2,3,4,5]. The recovery from limb loss in lizards, however, generally results in the formation of a flat scar of 0.5–1.0 mm that rapidly becomes scaled. Rare records of tail-like limbs found in individuals collected in the wild with a length of 10–25 mm have been described in different species and lizard families [1,2,3,6,7,8,9,10,11,12]. The time elapsed for the formation of these rare long tail-like outgrowths is generally unknown, aside for the wall lizard Podarcis muralis where 3–12 months were recoded [3,6]. Other experiments with Podarcis. sicula and P. muralis [4] showed a rapid, but limited growth, of 2–3 mm in rare cases within 2 months post-amputation. In the snake-eyed skink, indicatively 2–4 mm of limb outgrowths were formed at 106 and 203 days post-amputation [9].
Also, in these exceptional cases the internal anatomy of the regenerated limb outgrowth is simplified in comparison to the original limb, often lacking skeletal elements and joints (knee or elbow) or, in the best cases, containing few ossified axial elements generally organized in a single sequence, likely representing irregular zygopodial and stylopodial elements [1,2,3]. The latter studies showed in rare cases, small distal-most bones, perhaps corresponding to an autopodium with carpals or tarsals, and in one exceptional case a single row of metatarsals and small phalanges was also described. However, a regenerated joint (knee or elbow) or the autopodium with two or more digit elements in lizards has never been reported, indicating a lack of joint and finger determination signaling during lizard regeneration [13,14]. Around the axial skeletal bones within these limb outgrowths, few muscle and nerve fascicles variably developed were described, but often a dense connective and tendon-like fibers were prevalent [1,2,3,6]. These 5–25 mm long tail-like appendages represent rudimentary regenerated limbs, but even the lack of an autopodium can help these lizards to efficiently survive in the wild [12].
Microscopic studies on the process of healing and regeneration of the limb have indicated an initial regenerative phase, whereas the wound epidermis seals the limb stump within 15–25 days post-amputation, the period depending from the permanence of the exposed bones (femur or humerus) on the stump surface [4,5,7,15]. The detachment of the injured long bones occurs through the action of osteoclasts, and this slow process appears to retard the re-epithelialization of the stump and stimulates the formation of a dense, scarring connective tissue. Microscopic studies have indicated that the limb, differently from the amputated tail, undergoes a massive and lasting inflammation that determines the destruction of injured tissues with the infiltration of numerous granulocytes, macrophages and lymphocytes. These immune cells remain for 20–25 days and their number is reduced when fibroblasts have deposited dense masses of extracellular matrix [4,5,15,16,17]. Some nerve bundles, in correspondence of their main transected diameter, penetrate the regenerative limb outgrowth [6,9,18]. This observation suggests that a neurotrophic stimulation of the nerve was delivered during limb regeneration, and this was also suggested by experiments on nerves deviation [19], or implants of normal or regenerating spinal cord [20,21].
Since previous studies on the regenerating tail have indicated the presence of FGF1 and FGF2 in the regenerating nerves and spinal cord growing into the new tail, a growth factor retained among the main candidates representing the neurotrophic factor [22] in amphibians, it is possible that Fibroblast Growth Factors (FGFs) may represent a growth stimulator also in lizards. This has also been indicated by the effect of inhibitors of FGF and/or their receptors that show a delay or block the process [23,24,25]. Previous studies have also indicated that FGFs are present in the initial stages after limb amputation in lizards but later disappear as the limb turns into a scar and does not regenerate [26]. Based on the above considerations, it was decided to evaluate the influence of infused FGF solutions into amputated limbs and study their macro- and micro-scopic effect on the healing process. Therefore we have studied the macroscopic and microscopic effects of FGF1 and FGF2 delivered into regenerating limbs of lizards within 40–70 days from the beginning of regeneration, a period known to represent a temporal frame in which the untreated limb usually forms scars [5,15,26]. The experiments have indeed shown the important role of FGFs to constantly induce limb and skeletal regeneration in lizards. Due to the difficulty of the study, this is qualitative and aims to describe the possible induction of new skeletal elements in the regenerating limbs of lizards.
2. Materials and Methods
2.1. Experimental Procedures
The present study was conducted on 15 adult individuals of the wall lizard Podarcis muralis, maintained at variable summer temperatures, 26–33 °C during daytime. The experiments were conducted following the general Italian regulations for animal care and handling (art. 5, DL 116/92). The animals were left at 4 °C for about 20 min to induce numbness, and they were successively anesthetized with ethylic ether before the hind-limb was truncated with a sharp scalpel. All the animals showed little bleeding, and they recovered well the amputation, and were fed with insects. Two days after the operation, the stump surface was checked under the stereomicroscope, and the protruding bones were further trimmed to make and even stump surface that favors re-epithelialization. Two lizards, apparently debilitated after the capture, died after 1 week post-amputation, while the remaining 13 survived well, and were active, feeding regularly during the entire period of the study, from 40 to 70 days post-amputation.
The FGF1 (F-5267, Sigma, Saint Louis, MI, USA) were initially diluted in Ringer solution at a concentration of 0.04 μg/μL, which was taken to 0.02 μg/μL after a further dilution 1:1 v/v with a Polybed-Polystyrene suspension containing 45 μm diameter microspheres (Polyscience, Niles, IL, USA, cat. 07314). The FGF2 (SRP4038, Sigma-Aldrich, Saint Louis, MO, USA) was initially diluted in Ringer at 0.04 μg/μL, and was further diluted 1:1 v/v with the polybed-polystyrene suspension at 1:1 volume, therefore with a final concentration of 0.02 μg/μL (20 μg/mL). The mixed solution and suspension were left at least 1 h before injection, in order to have the FGF adsorbed into the microspheres in the attempt to produce a lasting FGF delivery into the tissue after the injection. Before use, the mix was gently shaken to obtain a homogenous mixture, and the injection delivered 4–5 μL of this suspension containing FGFs-adsorbed beads (indicatively 0.08–0.10 μg FGF1 or FGF2 in each injection), and was performed with the thin needle of a Hamilton syringe penetrating the stump or the blastema. In total 4 injections were done in each animal, the first at 1 week after amputation underneath the scab to ensure the delivery of the suspension, and the following injections in the softer blastema or healing wound 5 days after the first injection (12 days post-amputation), a week later the third injection (19 days post-amputation), and after a further week the 4th and last injection (26 days post-amputation). Therefore, about 0.3–0.4 μg total FGF1 or FGF2 were delivered per animal at the end of the experiment, part absorbed in the beads for a presumably slow release into the tissues and part in the surrounding Ringer solution.
Four lizards amputated at mid tibia-fibula level received FGF1 injections, while other 4 lizards with truncated limbs at the mid tibia-fibula level received FGF2 injections. Another group of 3 lizards, amputated at mid femur level, received FGF2 injections. Two lizards amputated at mid tibia-fibula level only received the vehicle (Ringer) solution, and served as controls. The animals were left to regenerate for 10–40 more days before their limbs were utilized for the histological analysis. At different and progressive intervals (4–7 days), their macroscopic recovery was documented through photography under a stereomicroscope (Figure 1).
Figure 1.
Macroscopic view showing the aspect of regenerating hind-limbs at progressive days (d) post-amputation. (A–C,G,H) FGF1-treatment. (D–F,I) FGF2 treatments. Bars in all figures represent 1 mm. (A–E) and (G–H) show regenerating limbs after leg (mid tibia-fibula) amputation; (F,I) are regenerating limbs after thigh (mid femur) amputation; (A) at 6 days post-amputation the stump surface is covered by a scab (arrows); (B) at 15 days regenerating case with wound epidermis and underlined mesenchyme (arrows) sealing almost completely the stump surface; (C), in this case at 16 days a blastema (arrow) is fully formed; (D–I), gross aspect of elongating conical blastemas in representative cases at different days post-amputation; (H) the longest case at 60 days post-amputation features some flattening; (J) control of amputated limb at 25 days post-amputation.
For the histological control in the 4 lizards injected with FGF1 after amputation at mid tibia-fibula, one lizard was examined at 40 days post-amputation, one at 50 days, one at 60 days, and the last one at 70 days post-injection. The 7 lizards injected with FGF2 were also studied at different periods post-amputation. Two lizards amputated at mid tibia-fibula level and two lizards amputated at mid femur level, injected with FGF2, were studied at 40 days post-amputation. Two other lizards, amputated at mid tibia-fibula level and injected with FGF2, were studied at 50 days post-amputation. The last lizard, amputated at mid femur level and injected with FGF2, was studied at 50 days post-amputation. The two controls lizards (not receiving any FGF injection) were studied after 40 days post-amputation. In order to detect proliferating cells, about 4 h before sacrifice all the lizards received an intra-peritoneal injection of 5-bromo-deoxyuridine (5BrdU, Sigma, Saint Louis, MO, USA) diluted in Ringer (50 μg/g body weight). The animals were sacrificed by decapitation, and their regenerating hind-limbs were utilized for the microscopic analysis.
2.2. Tissue Preparation and Microscopic Methods
The entire regenerating limbs with about 2 mm of the limb stump were collected and immediately fixed in 5% formaldehyde in 0.1 M Phosphate buffer for 12 h, dehydrated in ethanol, clarified in xylene, and embedded in paraffin. The embedded tissues were sectioned in the longitudinal plane with a rotatory microtome (Reichert, Munich, Germany) at 6–8 μm, collected on gelatin-coated glass slides, and dried in a hot plate. Representative sections were stained with 1% Methylene Blue and 1% Eosin, while other parallel sections were immuno-reacted for the detection of 5BrdU (cell proliferation) using the G3G4 mouse monoclonal antibody. This antibody was purchased from the University of Iowa, Developmental Studies Hybridoma Bank, Iowa City, USA.
The sections were de-paraffinized, hydrated and treated with 0.01 M citrate buffer at pH 6.5 for 5 min in microwave oven, rinsed in distilled water, than in the incubation buffer for 2 min (1% Bovine Serum Albumin, BSA Sigma, in 0.05 M Tris/HCl buffer at pH 7.6). The sections were incubated for 30 min at room temperature with Tris buffer solution containing 2.0% normal goat serum, and for 4 h at room temperature in the primary anti-serum diluted in the Tris buffer (1:70). In control sections, the primary antibody was omitted from the incubating solution. Most sections were later rinsed in the Tris buffer and incubated for 1 h at room temperature with a secondary Tetramethyl Rhodamine Isothiocyanate conjugated antibody (TRITC, red fluorescence, from Sigma, dilution 1:150). The sections were later rinsed in the Tris buffer and mounted in Fluoroshield anti-fading medium (Sigma, Saint Louis, MO, USA), and were studied under an optical microscope in bright field (for general histology), and using a fluorescent microscope (Euromex, Arnhem, The Netherlands) equipped with TRITC selective filters, in order to detect 5BrdU-labeled cells. Photographs were collected using a digital camera, and the plates of microscopic images were composed into figures using Adobe Photoshop 8.0 (San José, CA, USA).
3. Results
3.1. Macroscopic Observations
The amputated limbs completely re-epithelialized the stump in both treated (Figure 1A–C) and control limbs within 14–18 days post-amputation, and FGF 1 and FGF2 showed similar effect of the speed of regeneration. Regenerating limbs from the tibia-fibula amputation or from the femur amputation grew in the following days forming outgrowths ranging from 2.0 to 3.5 mm in length (Figure 1B–I). The outgrowths were collected at 40, 50, 60 and 70 days post-amputation in order to study their histology and the main sites of cell proliferation (qualitative observations). The outgrowths were covered with a shiny and soft epidermis, and very little scaling was seen at 40–50 days post-amputation while few but still immature scales were present at 60–70 days. However, also at 60 and 70 days post-amputation, the tips of all the outgrowths appeared smooth and shiny, often pigmented, resembling the regenerating blastema of a tail (Figure 1H). Initially the outgrowths were conical in shape (Figure 1D,E,G), but at 60–70 days they tended to flatten (Figure 1H).
Four cases treated with FGF2 (3 after mid tibia-fibula-amputation and 1 after mid-femur-amputation), generated 2.0 mm outgrowths that were analyzed histologically at 40 days post-amputation. One case treated with FGF1 after mid tibia-fibula amputation, formed a 2 mm long outgrowth that was studied histologically at 40 days post-amputation. From other 4 cases treated with FGF2, 3 cases after mid tibia-fibula amputation and 1 case after mid-femur amputation, 2.5 mm long outgrowths were collected at 50 days post-amputation and analyzed histologically. Another case treated with FGF2 after mid femur amputation, produced an outgrowth of 3.0 mm in length after 50 days post-amputation, that was collected and studied histologically. Another case with a regenerated outgrowth of 3 mm in length, treated with FGF1 after mid tibia-fibula amputation, was collected at 60 days post-amputation, and studied histologically. Finally, the last case, treated with FGF1 after mid tibia-fibula amputation, reached 3.5 mm at 70 days post-amputation, and was collected, fixed and studied histologically. The two control lizards at 20 and 30 days post-amputation showed scarring outgrowths (pale and scaling) of about 0.5 mm (Figure 1J), that formed scales at 40 days post-amputation.
3.2. Histology of Outgrowths
The histological study on the two scarring controls analyzed at 40 days post-amputation showed the presence of a dense irregular connective tissue made of elongated fibrocytes, differentiated underneath a thick wound epidermis (Figure 2A,B). The latter showed an external and pale region, poorly stained or unstained, possibly containing a hard type of corneous material. Within the prevalent dense fibroblasts and fibers, some nodules of cartilaginous tissue were also present, in continuity with the transected femur. The immunolabeling for 5BrdU showed few labeled cells in both the wound epidermis and the underlying connective tissue (Figure 2C) while no labeling was present in control sections, aside from a non-specific fluorescence of blood vessels and the external corneous layer (Figure 2D).
Figure 2.
Histological images of scarring controls at 40 days (A,B) with 5BrdU immunolabeling (C,D). (A) longitudinal section of a scarring limb that is occupied by an irregular fibrous connective tissue with some cartilaginous nodules (arrows) in the center. The wound epithelium presents un-stainable areas in the stratum corneum. Bar, 50 μm; (B) detail of the apical region of the scarring outgrowth showing the cells forming the fibrous connective tissue where sparse blood vessels are present under the apical wound epidermis. The arrow indicates the apical cartilage. Bar, 20 μm; (C) 5brdU immunolabeling showing few and sparse labeled cells in the apical connective tissue present underneath the wound epidermis. Bar, 20 μm; (D) control section of the apical connective tissue present beneath the wound epidermis. Bar, 10mm Legends: a, apical connective tissue (blastema); CO, control section; fc, fibrous connective tissue; v, blood vessel; w, wound epidermis. Dashes underline the epidermis.
The examination of sections of regenerated limbs at 40 days of regeneration showed the formation of a cartilaginous rod at the center of the outgrowth, made of immature and small chondrocytes (Figure 3A,B). The cartilaginous matrix was low stained or unstained using methylene-blue, and only the larger chondrocytes present in the center of the rod and contacting the bone tissues of the tibia and fibula showed a metachromatic staining (Figure 3A). Most of the small and fusiform chondrocytes therefore represented immature cartilaginous cells, still devoid of metachromatic (sulfated) glycosaminoglycans. In the apical part of the cartilaginous rod a thick perichondrium containing flat chondroblasts was seen toward the apical blastema that was made of a dense connective tissue and sparse chromatophores. The wound epidermis was 6–8 cells thick and a thin corneous layer was present externally (Figure 3B and inset). The remaining tissues appeared as dense connective tissues in the dermis (Figure 3A), and in form of long fibrous, tendon-like belts surrounding the central cartilage. No muscles were seen inside these outgrowths.
Figure 3.
Histological longitudinal sections of regenerating limbs at 40 days treated with FGF1 (A,B), 50 days treated with FGF2 (C,D) and 60 days with FGF1 (E,F) post-amputation; (A) section of a limb outgrowth derived from a tibia-fibula amputation that shows a central mass of immature and unstained cartilaginous tissue partially sub-divided into two regions that show a mature stained cartilage (metachromatic) in the more proximal areas (arrowheads), in continuity with the tibia bone. The two arrows indicate the plane of amputation. Bar, 200 μm; (B) close-up to the tip of the previous figure showing the small apical immature cartilage (arrowheads) in continuation with distal perichondrium cells, reaching the apical connective tissue region located underneath the apical wound epidermis. The latter shows a thin corneous layer. Bar, 50 μm. The inset shows a detail of the apical wound epidermis with the corneous layer (arrowhead). Bar, 10 μm; (C) other section of a conical blastema, showing the axial rod of cartilage containing mature chondrocytes (arrowhead), and surrounded by immature chondrocytes (non metachromatic to methylene blue). Bar, 200 μm; (D) apical region showing the thick wound epidermis and the cartilaginous nodules (arrows) containing centrally-located metachromatic chondrocytes, and surrounded by a perichondrium (arrowheads). Bar, 50 μm. The inset shows a tendon-like belt (arrowheads). Bar, 10 μm; (E) section showing the mature regenerated axial cartilage divided into two elements (arrows) representing the tibia and fibula. The apical blastema after 60 days of regeneration is mainly turned into a fibrous connective tissue (arrowhead). Bar, 200 μm; (F) detail of the proximal region of the previous section contacting the bone of the larger tibia. Bar, 100 μm. Legends: a, apical connective tissue (blastema); c, corneous layer; AE, apical wound epidermis; b, bone; ca, regenerated cartilage; df, dense fibrous connective tissue; e, new epidermis; ic, immature cartilage; mu, regenerated muscles; pc, proximal cartilage; pr, perichondrial cells; sc, scale; t, tendon-like; w, wound (regenerating) epidermis.
At 50 days post-amputation at the mid tibia-fibula level, the analyzed outgrowths also showed a central axial cartilage in continuation with the damaged tibia and fibula, whereas only the more central and proximal chondrocytes appeared hypertrophic and metachromatic (Figure 3C). At the tip of the main cartilaginous rod, chondrocytes became thinner and unstained with methylene blue, indicating that they were still immature cells (Figure 3D). The distal tip of the cartilaginous rod was in contact with one or two cartilaginous nodules containing central metachromatic chondrocytes. The nodules were surrounded by a circular perichondrium, in continuity with that of the remaining cartilaginous rod (Figure 3D). A dense connective tissue surrounded the axial cartilaginous rod, delimited by a perichondrium connected to a tendon-like fibrous tissue (Figure 3C,D and inset). Few thin muscles were seen in contact with the original ones but the outgrowth appeared mostly devoid of muscle fibers.
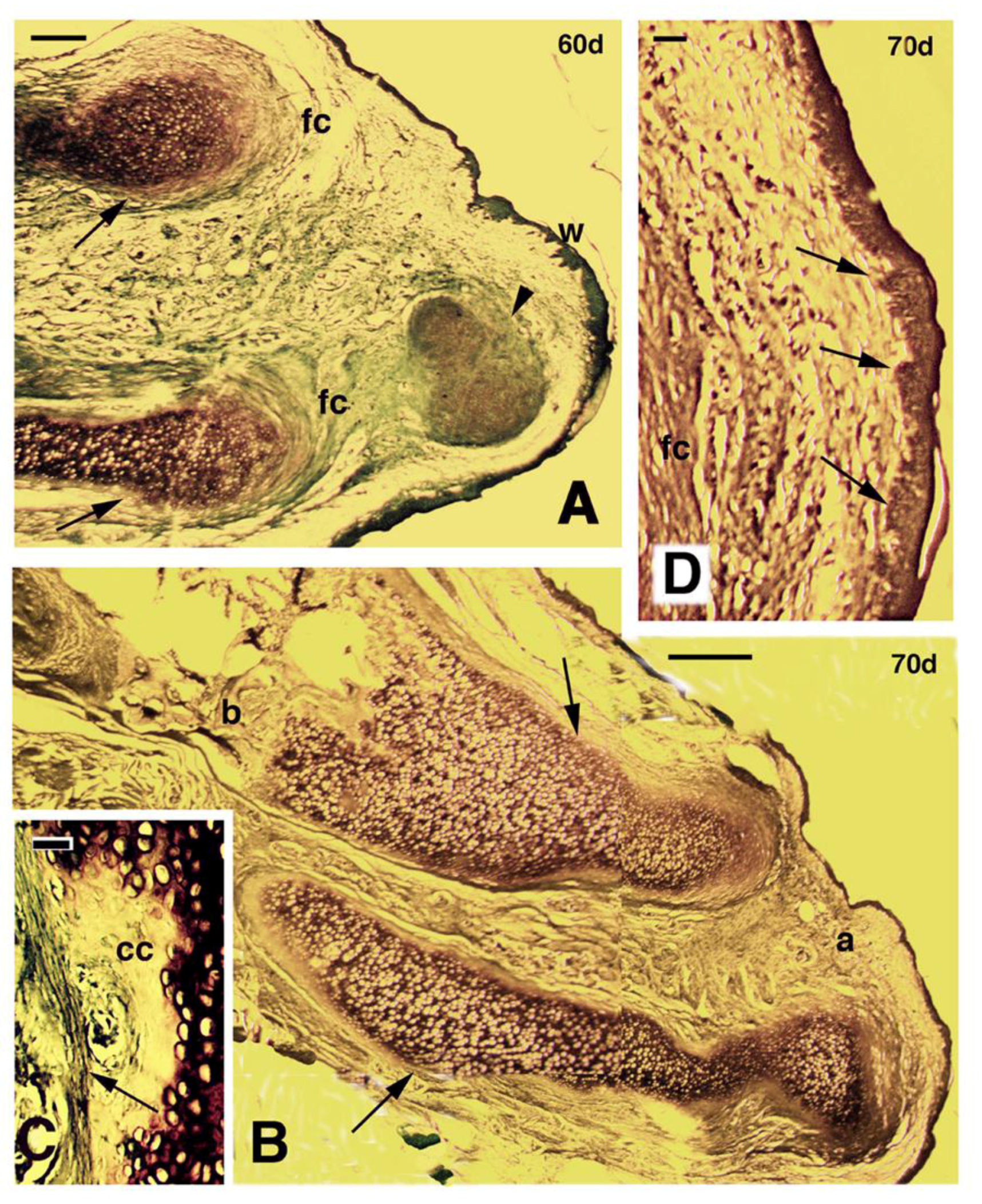
At 60 days post-amputation, the cartilage appeared more mature and most of its chondrocytes were metachromatic, forming one rod with two separated distal parts (one case, Figure 3E,F) or two completely separated rods (another case, Figure 4A), indicating the separation between a cartilaginous tibia and fibula. This cartilage was in continuity with the fibula-tibia bones (Figure 3F). Most dense and fibrous connective tissues surrounded the axial cartilage, and at the tip of these outgrowths the wound (regenerated) epidermis was thinner than at 40–50 days, and no scale were still formed. One or two cartilaginous nodules were seen by the apex of the outgrowth, surrounded by an irregular dense connective tissues contacting the papillated apical wound epidermis (Figure 4A). No muscle bundles were seen in these old regenerating limbs, and sparse nerves were not clearly identified using the employed staining method.
Figure 4.
Longitudinal sections of regenerating limbs treated with FGF1 at 60 days (A–C) and 70 days (D) post-amputation. (A) distal region of an outgrowth containing two separated cartilaginous elements (arrows), the upper considered a regenerated tibia, and the lower a regenerated fibula. A dense fibrous connective tissue (fc) surrounds the cartilage, forming the perichondrium. In front of them a cartilaginous nodule (arrowhead) is seen. The apical wound epithelium (w) shows numerous epidermal papillae (small pegs). Bar, 200 μm; (B) separated regenerated cartilages of the tibia (upper arrow) and fibula (lower arrow), surrounded by a thick perichondrium (arrows) in the long outgrowth illustrated in Fig 1H, examined at 70 days post-amputation. The tibia cartilage is attached to the original tibia bone (b). Bar, 50 μm; (C) detail of calcified cartilage (cc) localized near the perichondrium (arrow) of the cartilaginous tibia. Bar, 20 μm; (D) detail of apical wound epidermis of the outgrowth of figure B, featuring the numerous epidermal papillae (arrows). Bar, 200 μm.
In the longer specimen analyzed at 70 days after mid tibia-fibula amputation and treated with FGF1 (3.5 mm, see Figure 1H), a regenerated cartilaginous fibula and tibia were detected, and each element was surrounded by a thick perichondrium along the perimeter, in continuation with the bones of the original tibia and fibula (Figure 4B). Additionally, sparse regions of the cartilage and along the perichondrium of the proximal region of these cartilaginous elements appeared calcified (Figure 4C). The wound epidermis present at the tip of the outgrowth, in front of the two cartilaginous elements, was also papillated (Figure 4D). Most of the tissues located between the two cartilages and underneath the regenerated skin consisted in irregular fibrous connective tissues, among which few muscle cells were hardly detected.
In the limb outgrowth derived from mid femur amputation after 50 days, a long rod of mature and metachromatic cartilage in continuation with the femur was present, in contact with an apical, dense and irregular fibrous connective tissue (Figure 5A). At the tip of the outgrowth, the wound epidermis was still relatively stratified and showed epidermal papillae while a thin corneous layer was formed on the surface. One or two isolated cartilaginous nodules, possibly in continuity with the remaining cartilaginous rod, were formed near the apical region (Figure 5B). The proximal region and the regenerated cartilaginous femur (like those of the tibia-fibula elements), showed regions of calcification of the cartilage at 50 days (as well as at 60–70 days in the other samples), characterized by disappearing of the metachromasia, while the perichondrium was connected to tendon-like belts (Figure 5B). It appeared that in these regions the perichondrium became osteogenic, turning into a periosteum, but further study on this aspect is needed.
Figure 5.
Histological (A,B) and 5BrdU-immunofluorescent (C–F) images of a regenerating outgrowth at 50 days after mid femur transection (FGF2 treatment). (A) Distal part of regenerated femur cartilage surrounded by a fibrous and dense connective tissue. Bar, 100 μm; (B) detail of an apical cartilaginous nodule surrounded by perichondrium (arrowheads), located near the tip of the femur cartilage. Bar 20 μm; (C) labeled cells (red dots) are distributed in the apical region of the outgrowth (see location in the pink inset drawing featuring a limb blastema with the central cartilaginous rod, dotted, derived from the transected femur). The wound epidermis and the tip of the regenerated cartilage are indicated by dashes. Bar, 50 μm; (D) detail of the apex of the outgrowth with most labeled cells in the apical wound epidermis outlined by dashes. Bar, 20 μm; (E) detail of labeled cells within the apical region (blastema), that are present near the tip of the regenerated cartilaginous rod (dashed). Bar, 20 μm; (F) detail of a cartilage nodule present at the tip of the regenerated outgrowth, and surrounded by labeled cells of the perichondrium (arrows). Bar, 20 μm. Legends: a, apical region (blastema); AE, apical wound epidermis; ca, regenerated cartilaginous rod of the transected femur; dc, dense connective tissue; fc, femur cartilage. nc, nodule cartilaginous; w, wound epidermis.
3.3. Proliferation Using 5BrdU Immunolabeling
In the mid-femur amputated limbs (Figure 1F,I, Figure 4C–F and Figure 5) as well as in those amputated at mid tibia-fibula level (Figure 1A–E,G–H and Figure 6, Figure 7 and Figure 8), the nuclear labeling using TRITC showed most 5BrdU-labeled cells localized in the apical front of all outgrows, while sparse labeled cells were present in more proximal and differentiated regions, close to the normal limb stump. Because of the heterogeneity of the different outgrowths, a quantification of the labeling distribution was considered not essential to be performed, and the following description only reports the qualitative description of the main distribution sites of labeled cells in different areas.
Figure 6.
Immunofluorescence for 5BrdU of different regions of 50 days old outgrowths, obtained after mid femur transection and FGF2 treatment. (A) Distribution of labeled cells in the cartilage rod (in the inset, the indicative position is shown with an arrow pointing the regenerated cartilage rod formed within the outgrowth; the arrowhead refers to regenerating scales). The arrows indicate the perichondrium. Bar, 50 μm; (B) detail of the region localized between the cartilage rod and the close tendon-like belt (the inset drawing shows the indicative position with an arrow pointing near the regenerated cartilage rod; the arrowhead refers to the proximal repairing muscles). The arrows indicate the perichondrium while the dashes outline the dense tendon-like belt. Bar, 50 μm; (C) regenerating scales (their indicative position is shown by the arrowhead seen in the inset in (A). Bar, 20 μm; (D) detail of repairing muscles located at the base of the outgrowth (their indicative position is shown by the arrowhead in the inset in (B). Bar, 20 μm. Legends: ca, regenerated cartilage; dc, dense connective tissue of the dermis; e, regenerating scale epidermis; ls, limb stump; mu, regenerating muscles; o, limb outgrowth; t, tendon-like belt.
Figure 7.
Immunofluorescence for 5BrdU of different regions of 40 days old outgrowths after mid tibia-fibula transection and FGF1 treatment. (A) Parallel section of Figure 2B showing the numerous 5BrdU-labeled cells detected in the apical connective tissue and wound epidermis (outlined by dashes). Most labeled cells are present in the apical perichondrium while little labeling is seen in the immature cartilage (outlined by dashes). Bar, 50 μm; (B) detail of the very tip of the same outgrowth shown in (A) evidencing the numerous labeled epidermal cells (arrows). Bar 20 μm; (C) lateral region of the outgrowth (its indicative position is shown by an arrow in the inset drawing; the arrowhead points to the bone marrow of the tibia). Numerous labeled cells are seen in the epidermis (outlined by dashes), dermis and among repairing muscles are seen. The arrows indicate the perichondrium surrounding the central cartilaginous rod. Bar, 50 μm; (D) detail on labeled cells within the bone marrow (its position is indicated by an arrowhead in the inset of figure C. Bar, 20 μm. Legends: a, apical connective tissue (blastema); AE, apical wound epidermis; bm, bone marrow; ca, regenerated cartilaginous rod; d, dermis; e, epidermis; f, femur (stump); ic, immature apical cartilage; mu, regenerating muscles; o, outgrowth; pr, apical perichondrium; w, wound epidermis.
Figure 8.
Immunofluorescence for 5BrdU in different regions of 50 days old outgrowths (tibia-fibula transection and FGF2 treatment). (A) Apical region of the outgrowth, showing intense labeling in the apical epidermis (outlined by dashes), apical connective tissue, and in the cartilaginous nodules (outlined by dashes). Little labeling is observed in the cartilaginous rod, outlined by dashes in the lower part of the figure (indicative position shown in the drawing inset). Bar, 50 μm; (B) detail of the apical region of the outgrowth, showing the numerous labeled cells present in the wound epidermis and underlying connective tissue (dashes outline the tip of the cartilaginous rod). Bar 20 μm; (C) epidermal peg (outlined by dashes) containing numerous labeled cells at the beginning of scale regeneration. Bar, 20 μm; (D) regenerated scale with numerous labeled cells localized in the stratum basale. Bar, 20 μm. Legends: a, apical connective tissue (blastema); AE, apical wound epidermis; ca, regenerated cartilage (rod); d, dermis; h, hinge region; I, inner scale surface; nc, nodulus cartilaginous; os, outer scale surface (dorsal); p, epidermal peg (beginning of scale formation); w, wound epidermis (regenerating).
In the case of femur regeneration after FGF2 injection, sparse labeled cells were seen in the basal layer of the wound epidermis (but also labeled supra-basal cells were present), including the apical epidermal papilla located at the tip of the outgrowth at 50 days of regeneration (Figure 5C,D). Sparse labeled cells were also seen in the apical connective tissue located underneath the wound epidermis and close to the apical periosteum of the cartilaginous rod (Figure 5E). Numerous labeled and flat cells were also seen in the more distal perichondrium surrounding the cartilaginous femur, and some 5BrdU-labeled cells were also present in the perichondrium located around the apical cartilaginous nodules (Figure 5F). Sparse labeled chondrocytes were localized in the central and proximal regions of these cartilaginous elements at 50 days of regeneration while labeled cells were more numerous in the surrounding perichondrium (Figure 6A,B). A number of labeled cells were also present in the tendon-like belt close to the rod of cartilage (Figure 3A,C and Figure 6B). Labeled cells were seen numerous especially in the epidermis of the regenerated scales (Figure 6C), and 5BrdU-labeled cells were also observed among the regenerating muscles of the proximal regions of the outgrowths, close to the older muscles of the limb stump (Figure 3C and Figure 6D).
In the cases amputated at mid tibia-fibula after 40 days post-amputation following FGF1 injections, labeled cells were seen especially in the apical wound epidermis and perichondrium, formed in front of the apical part of the cartilaginous rod (Figure 3B and Figure 7A,B). The apical connective tissue located underneath the wound epidermis and most of the non-apical cartilage rod forming large part of the regenerated cartilage, contained sparse 5BrdU-labeled chondrocytes (Figure 7C). An intense labeling in the regenerated limbs at 40 days post-amputation was also observed in the epidermis of the regenerating scales, in the dermis and among the regenerated proximal muscles (Figure 7C). Also the bone marrow of the tibia and fibula contained numerous labeled cells (Figure 7D).
A similar observation, indicating active cell proliferation, resulted from the microscopic examination of limb outgrowths at 50 days post-amputation of the tibia-fibula, and injected with FGF1 or FGF2. The observations on these cases evidenced the presence of numerous labeled cells in the apical (blastema) wound epidermis, in the underlying apical connective tissue of the outgrowth (Figure 8A,B), and in the regenerating scales of the outgrowths (Figure 8C,D). Sparse labeled cells were also seen in the connective tissues and cartilage of more proximal regions and in their perichondrium.
The case analyzed at 70 days post-amputation, the longest outgrowth produced in this series of experiments after injections of FGF1 in a limb amputated at mid tibia-fibula level (Figure 1H), showed a general reduction of labeled cells in all areas, and most of the proximal connective tissues, cartilage and skin contained only sparse labeled cells, indicating little cell proliferation. At the tip of the outgrowth some labeled cells were instead more frequently detected than in proximal regions, however, they appeared less numerous that at 40–60 days post-amputation, especially in the apical wound epidermis and in the apical connective tissue present underneath the wound epidermis (Figure 9A,B). Although a quantitative study was not done, only sparse labeled cells were present in the dermis, while they were more numerous in the epidermis of the forming scales (Figure 9C). Some labeled cells were sparsely distributed in the cartilaginous tissues, forming the regenerated single or double rods of tibia and fibula (Figure 4B and Figure 9A,D), as well as in the dense connective tissues and in the tendon-like belts surrounding the cartilage and perichondrium of the cartilaginous elements (Figure 4B, and data not shown). Finally, numerous labeled cells were noted in the bone marrow of the transected tibia and femur present in the limb stump.
Figure 9.
Immunofluorescence for 5BrdU of different regions of 70 days old outgrowths after tibia-fibula transection (FGF1 treatment). (A) Diffusely distributed labeled cells in the apical region of the outgrowth. The regenerating epidermis is outlined by dashes. Below, the tip of the regenerated cartilaginous rod is also outlined by dashes. Bar, 50 μm; (B) detail of the tip of the outgrowth containing sparse labeled cells, especially in the wound epidermis (outlined by dashes). The dashed line below indicates the cartilaginous rod. Bar 20 μm; (C) detail on regenerating scale epidermis (outlined by dashes) containing various labeled cells (their indicative position is shown by the arrow in the inset of figure D). Bar, 20 μm; (D) detail of the scarce labeled cells present in the cartilage rod of a the regenerated fibula (indicative position shown by the arrowhead in the inset). Bar, 20 μm. Legends: a, apical connective tissue; AE, apical wound epidermis; ca, regenerated cartilage; d, dermis; e, epidermis of the forming scale; ls, stump of the limb; o, limb outgrowth; w, wound epidermis.
4. Discussion
4.1. FGFs Mainly Stimulates Limb and Bone Regeneration
It is known that the failure of regeneration in limbs of lizards determines the formation of flat scars or small outgrowths containing irregular fibrous connective tissue and sometimes even a callus of cartilaginous tissue in continuation with the transected bones that becomes calcified or possibly ossified in old regenerated outgrowths [1,2,4,5,6,7,9,15]. In comparison to the controls where no regeneration occurred at 40 days post-amputation, both FGF1 and FGF2 stimulated limb regeneration at the employed concentrations. It is however unknown whether a more effective (higher) concentration of FGFs could be utilized for improving or accelerate limb regeneration. Previous studies on the regeneration of amputated limb buds of chick embryos utilized a concentration of 25 μg/mL to soak gel beads [27], a higher concentration of the 20 μg/mL utilized in the present experiments. The histological and immunofluorescent study indicated the formation of an Apical Epidermal Peg (AEP) or a papillated wound epidermis in the apical front of the regenerating limbs (Figure 3 and Figure 4). This result suggests that FGFs administration can stimulate the formation of epidermal areas similar to the AEP found at the tip of the regenerating tail, the epithelial micro-region essential for regeneration [16,17]. In those cases where limb outgrowths longer than 2.5 mm (6 cases out of 11) were originated within the 40–70 days post-amputation period, the induction of an AEP or of a papillated wound epidermis was observed. The adjacent mesenchymal blastema, located at the tip of the outgrowths, appeared in continuation with layers of perichondrial cells that surrounded one (femur-amputated or tibia-fibula-amputated) or two (fibula-tibia amputated), neo-generated cartilaginous bones.
The common observation made in the present experimentally produced outgrowths, like in those found in the wild, is the shortage or the almost complete lack of regenerated muscles [1,2,3,4,6,9]. FGFs have been immune-detected in the regenerating tail of lizards [17,28,29], and their inhibition depresses tail regeneration [23,24,25]. Besides, while FGF1 and FGF2 immunofluorescence remains in the wound epidermis of the tail, this immunofluorescence disappears in the limb after about 25 days of regeneration, during scarring. The frequency of spontaneous limb regeneration after amputation in the documented cases is only 20–30% in the best conditions in P. muralis and P. sicula [4] while, after injection of FGFs in the present study, all amputated limbs showed some degree of regeneration, and 6 out of 11 cases formed outgrowths longer than 2.5 mm up to 60–70 days. One of the main problems encountered in the amputated limbs of lizards is the tendency of the original skin to close down the stump, reducing the stump surface, and favoring scarring [5,6,7]. This process, also due to the shrinkage of the muscles and connective tissues after amputation, determines the flapping of the skin over the stump surface, and may be also be caused from the contraction of the dermis, a typical process occurring in wounds of amphibians [29] and mammals [30].
The constant formation of limb outgrowths after FGF treatment in our experiments suggests that these proteins, like in embryonic limb buds [26,31], are one of the signaling and growth molecules needed for limb (ant tail) regeneration in lizard, as this was long indicated for amphibians [32]. The present study has shown that both FGF1 and FGF2 stimulates the regeneration of the limb, in particular of the stilopodium (cartilaginous femur) and of the two zeugopodium elements, partially or completely subdivided in cartilaginous tibia and fibula. Whether more distal cartilaginous nodules may represent tarsal elements, such as the tibial and fibular, remains to be further studied, but an autopodium with two or more distal elements (metatarsal or phalangeal) was never formed using only FGFs. Also, in the longest cases found in nature, induced in 12 months or longer, and occasionally over 10 mm or one case over 20 mm, no autopodium was however regenerated [2,33]. The histological study of this exceptional case revealed the presence of a regenerated axial skeleton comprising the femur, one or two zeugopodial elements, and also a linear row of likely autopodial segments [1,2,6]. These skeletal elements probably calcified and ossified in the following periods as indicated from the bone elements of the regenerated limbs found in the wild [2]. These bone elements likely elongated to such length with the growth of the lizard so that it is hard to separate true regeneration from bone growth [33].
The present study was limited in time, about 70 days, and therefore we cannot say if longer outgrowths could be eventually obtained. Since in nature lizards with long tail-like limbs have been recorded, it is possible that also in our FGF-induced cases, despite the low proliferation rate, both the regenerated femur and tibia-fibula could have continuously grown further 3.5 mm, providing more time was left, in relation the growth of long bones during the lizard lifetime [4,17]. It was however likely that these FGF-induced outgrowths were destined to arrest their growth linked to regeneration as they did not elongated much further after 50 days of regeneration, and they initiated to form scales, an indication of cessation of growth [15]. This was later confirmed by the 5BrdU labeling that detected few proliferating cells in the apical regions of these outgrowths, mainly in the apical perichondrium and in the wound epidermis at 70 days post-amputation while very few sparse labeled cells were observed in the dense connective tissues, tendons, and within most of the cartilages. The study in general confirms the broad capability to regenerate cartilage in lizards after injury of long bones, including the epiphyses [4,33,34], and vertebrae [4,35], making lizards a good experimental model to analyze cartilage regeneration in amniotes [36,37,38]. Whether FGFs can stimulate the production of Shh, retained the main inductor of cartilage differentiation in the tail of lizard [37], remains to be studied.
4.2. Proliferative Activity in the Outgrowths
Although the present study reports only qualitative observations, the detection of more frequently labeled cells in the apical regions of the outgrowths, epidermis, connective tissue and cartilage, indicated that these regions maintain an active growth until 50–60 days, but the decrease of labeling at 70 days because of much Extracellular Matrix deposition. The poor development of the muscles inside the outgrowths obtained in the present experiments may be in relation to the relatively scarce number of 5BrdU-long retaining cells (putative satellite cells) found in limb muscles in comparison to tail muscles, suggesting that the myogenic lineage is little represented in the adult, fully developed limb [17,39]. This may suggests that a negligible number of myogenic cells migrate in the blastema after limb amputation while most cells derive from the numerous 5BrdU-long retaining labeled fibroblasts present in the dermis and in the inter-muscle septa, driving the blastema toward scarring. Future experiments may use specific myogenic growth factors in addition to FGFs and other signaling proteins to stimulate the regeneration of larger outgrowths in lizards, comprising larger muscle masses.
In contrast, numerous proliferating cells were seen in the cartilage and bone of the truncated limb at 40 days of regeneration. The new scales were formed from epidermal pegs, like in those of the tail, explaining the high labeling required for scale morphogenesis and epidermal stratification. Proliferating chondroblasts formed a new femur, a fused or separated tibia and fibula, although of shorter length in comparison to the original ones, indicating that the elongation and the ossification of these bones might take a much longer time than 70 days. In comparison, the occasional limbs spontaneously regenerated and previously described [4] missed most of any cartilaginous elements 2–3 months after amputation, and were composed of dense connective tissue with few muscles and nerves. These results indicate that FGFs administration somehow mainly stimulates epidermal, nerve and cartilage proliferation, but not muscle regeneration.
The presence of few proliferating cells still at 60 and 70 days in the perichondrium and in the apical epidermis suggests for a slow growth of the regenerated bones after this period. The long cartilaginous bones regenerated in the limb outgrowths obtained after FGFs treatment, probably elongate by the full enlargement and maturation of their initial chondroblasts into fully mature chondrocytes. The appearance of likely secondary centers formed within the regenerated cartilaginous bones at 50–70 days suggests the beginning of endochondral ossification, but further study is needed on this point. The permanence of still proliferating cells in the distal-most cartilaginous regions of the outgrowths indicate that a slow elongation of these outgrowths can take place in the following months post-amputation, probably forming similar skeletal elements as the long bones detected in the tail-like limbs found in the wild [1,2,3,6].
5. Conclusions
The present study has shown that limbs in lizards are an outstanding case of reparative process for an amniote, since a blastema can be initially induced by FGFs injections. Cartilage and later bone tissue, fibrous connective tissues and tendons, nerves and skin, can largely regenerate within the outgrowths. Muscles instead appear to have a limited regenerative capability in the limb, so that this generally remains thinner than the stump, forming a tail-like appendage. This lack of muscle regeneration is likely related to the high inflammation occurring after limb amputation. Differently from the limb, in the tail an Apical Epidermal Peg (AEP) is formed on top of a mesenchymal blastema, and the AEP likely contributes to maintain a low but persistent growth front, capable to elongate into a new and wide tail. The present study affirms that re-creating an AEP in the limb improves healing in the effort to induce limb and autopodial regeneration in amniotes, perhaps even in mammals. The present innovative study, done for the first time on amputated lizard limbs, can have important clinical relevance since these amniotes are much closer to mammals than the classical amphibian model of limb regeneration. The limitation of the lizard model for studies on muscle-skeletal development and regeneration is related to its ectothermic condition and the lower activity of the immune system, one of the main obstacles for organ regeneration in endothermic amniotes like mammals. It remains to be further evaluated whether longer periods that the 40–70 days here analyzed can produce longer regenerated limbs, although likely also a prolonged FGFs treatment at higher dosage, and a lasting delivery system, may improve limb regeneration. The present, promising results address future experimentation where the addition of other signaling proteins known to determine the formation of the autopodium (digits), can be specifically injected into the initial limb outgrowth. This would open new avenues for limb regeneration in mammals, including humans.
Acknowledgments
The study was conducted over the years through personal financial support, and no grant was received from public or private institutions. FGFs were in part purchased through an Australian Department of Education, Employment and Training Fellowship. Stephen Kaufman of the University of Illinois at Urbana, IL, USA developed the G3G4 mouse antibody, maintained by the Developmental Studies Hybridoma Bank, University of Iowa, USA.
Conflicts of Interest
The author declares no conflict of interest.
References
- Marcucci, E. La rigenerazione degli arti nei rettili. Boll. Soc. Natur. Napol. 1925, 38, 8–17. [Google Scholar]
- Marcucci, E. II potere rigenerativo degli arti dei rettili. Arch. Zool. Ital. 1930, 14, 227–247. [Google Scholar]
- Marcucci, E. La rigenerazione nei rettili. Arch. Zool. Ital. 1930, 16, 455–458. [Google Scholar]
- Alibardi, L. Morphological and cellular aspects of tail and limb regeneration in lizard: A model system with implications for tissue regeneration in mammals. Adv. Anat. Embryol. Cell Biol. 2010, 207, 1–112. [Google Scholar]
- Alibardi, L. Ultrastructural features of the process of wound healing after tail and limb amputation in lizard. Acta Zool. 2010, 91, 306–318. [Google Scholar] [CrossRef]
- Guyenot, E.; Matthey, R. Les processus dans la patte posterieure du lizard. Wilh. Roux Arch. Entick. Organ. 1928, 113, 520–529. [Google Scholar] [CrossRef] [PubMed]
- Barber, L.W. Correlations between wound healing and regeneration in fore-limbs and tails of lizards. Anat. Rec. 1944, 89, 441–453. [Google Scholar] [CrossRef]
- Helmich, W.G. A case of limb regeneration in the Chilean iguanid Liolaemus. Copeia 1951, 3, 241–242. [Google Scholar] [CrossRef]
- Kudokotsev, V.P. Regeneration of the limbs in the desert snake-eyed skink (Ablepharus deserti Strauch). Dokl. Ak. Sci. SSSR 1960, 126, 464–467. [Google Scholar]
- Poyntz, S.V.; Bellairs, A.A. Natural limb regeneration in Lacerta vivipara. Brit. J. Herpet. 1965, 8, 204–205. [Google Scholar]
- Mather, C.M. A case of limb regeneration in Sceloporus variabilis (Reptilia, Lacertilia, Iguanidae). J. Herpet. 1978, 12, 263. [Google Scholar] [CrossRef]
- Carbajal-Marquez, R.A.; Valdez-Villavicencio, J.H. Petrosaurus thalassinus (San Lucan Banded Rock lizard) limb regeneration. Herpet. Rev. 2012, 43, 4. [Google Scholar]
- Sanz-Ezquerro, J.J.; Tickle, C. Fingering the vertebrate limb. Differentiation 2001, 69, 91–99. [Google Scholar] [CrossRef] [PubMed]
- Han, M.; Yang, X.; Taylor, G.; Bursdal, C.A.; Anderson, R.A.; Muneoka, K. Limb regeneration in higher vertebrates: Developing a roadmap. Anat. Rec. 2005, 287B, 14–24. [Google Scholar] [CrossRef] [PubMed]
- Alibardi, L. Ultrastructural observations on the scarring process in the cauterized tail and the amputated limb of lizard. Trends Dev. Biol. 2013, 7, 15–24. [Google Scholar]
- Alibardi, L. Cell proliferation in the amputated limb of lizard leading to scarring is reduced compared to the regenerating tail. Acta Zool. 2016. [Google Scholar] [CrossRef]
- Alibardi, L. Immunolocalization of FGF8/10 in the Apical Epidermal Peg and Blastema of the regenerating tail in lizard marks this apical growing area. Ann. Anat. 2016, 206, 14–20. [Google Scholar] [CrossRef] [PubMed]
- Zika, J.M. A histological study of the regenerative response in a lizard, Anolis carolinensis. J. Exp. Zool. 1968, 172, 1–10. [Google Scholar] [CrossRef] [PubMed]
- Singer, M. Induction of regeneration of body parts in the lizard Anolis. Proc. Soc. Exp. Biol. Med. 1961, 107, 106–108. [Google Scholar] [CrossRef]
- Simpson, S.B. Induction of limb regeneration in the lizard Lygosoma laterale by augmentation of the nerve supply. Proc. Soc. Exp. Biol. Med. 1961, 107, 108–111. [Google Scholar] [CrossRef]
- Bryant, S.V.; Wozny, K.J. Stimulation of limb regeneration in the lizard Xantusia vigilis by means of ependymal implants. J. Exp. Zool. 1974, 189, 339–352. [Google Scholar] [CrossRef] [PubMed]
- Singer, M. On the nature of the neurotrophic phenomenon in urodele limb regeneration. Am. Zool. 1978, 18, 829–841. [Google Scholar] [CrossRef]
- Pillai, A.; Desai, I.; Balakrishnan, S. Pharmacological inhibition of FGFR1 signaling attenuates the progression of tail regeneration in the northern house gecko Hemidactylus flaviviridis. Int. J. Life Sci. Biotechn. Pharmac. Res. 2013, 2, 263–278. [Google Scholar]
- Yadav, M.; Anusree, P.; Desai, I.; Suresh, B. Influence of extraneous FGF-2 and its antagonist aniti-FGF-2 on the progress of tail regeneration in Hemidactylus flaviviridis. Ind. J. Fund. Appl. Sci. 2012, 2, 164–172. [Google Scholar]
- Naraynan, A. The initiation and progression of tail regeneration in northern house gecko Hemidactylus flaviviridis at role of Fibroblast Growth Factor 2 (FGF2). J. Biochips Tiss. Chips 2015, 1, 1–7. [Google Scholar]
- Alibardi, L. Observations on FGFs immunoreactivity in the regenerating tail blastema and in the limb and tail scars of lizard suggests that FGFs are required for regeneration. Belg. J. Zool. 2012, 142, 23–38. [Google Scholar]
- Taylor, G.P.; Anderson, R.; Reginelli, A.D.; Muneoka, K. FGF-2 induces regeneration of the chick limb bud. Dev. Biol. 1994, 163, 282–284. [Google Scholar] [CrossRef] [PubMed]
- Alibardi, L.; Lovicu, F. Immunolocalization of FGF1 and FGF2 in the regenerating tail of the lizard Lampropholis guichenoti: Implication for FGFs as trophic factors in lizard tail regeneration. Acta Histoch. 2010, 11, 459–473. [Google Scholar] [CrossRef] [PubMed]
- Yannas, I.V.; Colt, J.; Wai, Y.C. Wound contraction and scar synthesis during development of the amphibian Rana catesbeiana. Wound Rep. Reg. 1996, 4, 29–39. [Google Scholar] [CrossRef] [PubMed]
- Show, T.J.; Martin, P. Wound repair at glance. J. Cell Sci. 2009, 122, 3209–3212. [Google Scholar] [CrossRef] [PubMed]
- Martin, G.R. The role of FGFs in the early development of vertebrate limbs. Gen. Dev. 2015, 12, 1571–1586. [Google Scholar]
- Dungan, K.M.; Wei, T.Y.; Nace, J.D.; Poulin, M.L.; Chiu, I.M.; Lang, J.C.; Tassava, R.A. Expression and biological effect of urodele fibroblast growth factor 1: Relationship to limb regeneration. J. Exp. Zool. 2002, 292, 540–544. [Google Scholar] [PubMed]
- Alibardi, L. Permanence of proliferating cells in developing, juvenile and adult knee epiphyses of lizards in relation to bone growth and regeneration. Acta Zool. 2016. [Google Scholar] [CrossRef]
- Pritchard, J.J.; Ruzicka, A.J. Comparison of fracture repair in the frog, lizard and rat. J. Anat. 1950, 84, 236–262. [Google Scholar] [PubMed]
- Alibardi, L. Localization of proliferating cells in the inter-vertebral region of the developing and adult vertebrae of lizards in relation to growth and regeneration. Anat. Rec. 2016, 299, 461–473. [Google Scholar]
- Lozito, T.P.; Tuan, R.S. Lizard tail regeneration: Regulation of two distinct cartilage regions by Indian hedgehog. Dev. Biol. 2015, 399, 249–262. [Google Scholar] [PubMed]
- Lozito, T.P.; Tuan, R.S. Lizard tail skeletal regeneration combines aspects of fracture healing and blastema-based regeneration. Development 2016, 143, 2946–2957. [Google Scholar] [PubMed]
- Lozito, T.P.; Tuan, R.S. Lizard tail regeneration as an instructive model of enchanced healing capabilities in an adult amniote. Conn. Tiss. Res. 2016, 26, 1–10. [Google Scholar]
- Alibardi, L. Immunolocalization indicates that both original and regenerated lizard tail tissues contain populations of long retaining cells, putative stem/progenitor cells. Microsc. Res. Techn. 2015, 78, 1032–1045. [Google Scholar]
© 2017 by the author. Licensee MDPI, Basel, Switzerland. This article is an open access article distributed under the terms and conditions of the Creative Commons Attribution (CC BY) license (http://creativecommons.org/licenses/by/4.0/).








