Direct Feedback Regulation of E2, T, and hCG in the Brain–Pituitary–Gonad Axis of Japanese Eel (Anguilla japonica) during Artificial Maturation
Abstract
1. Introduction
2. Materials and Methods
2.1. Ethics Statement
2.2. Artificial Development Trial and Sampling Procedure
2.3. Serum E2 and T Assessment by Immunoenzymatic Assays
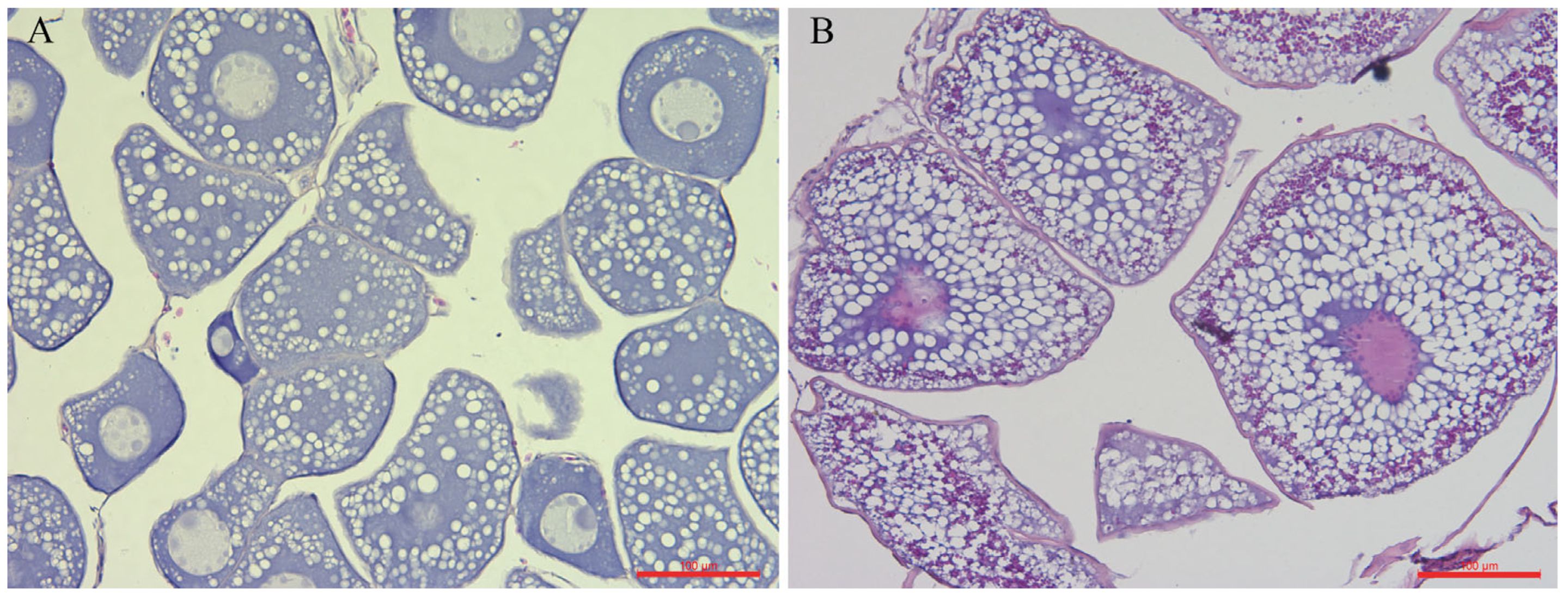
2.4. Histological Observation
2.5. In Vitro Incubation of the Ovary, Diencephalon, and Pituitary
2.6. qRT-PCR Analysis of mGnRH, fshb, lhb, cyp11a1, hsd3B, cyp17a1, and cyp17a2 mRNA Levels
2.7. Statistical Analysis
3. Results
3.1. Reproductive Status of the MV Stage Female A. Japonica
3.2. E2, T, and hCG Regulated mGnRH mRNA Levels in the Diencephalon In Vitro
3.3. E2 and T Regulated fshb and lhb mRNA Levels in the Pituitary In Vitro
3.4. E2 and T Regulated cyp11a1, hsd3B, cyp17a1, and cyp17a2 mRNA Levels in the Ovary In Vitro
4. Discussion
4.1. E2, T, and hCG Regulated mGnRH mRNA Expression in the Diencephalon
4.2. E2 and T Regulated fshb and lhb mRNA Expression in Pituitary
4.3. E2 and T Regulated cyp11a1, hsd3B, cyp17a1, and cyp17a2 mRNA Expression in Ovary
5. Conclusions
Supplementary Materials
Author Contributions
Funding
Institutional Review Board Statement
Data Availability Statement
Conflicts of Interest
Abbreviations
References
- Dekker, W.; Casselman, J.M.; Jellyman, D.J.; Tatsukawa, K. Resources. In Eel Biology; Aida, K., Tsukamoto, K., Yamauchi, K., Eds.; Springer: Tokyo, Japan, 2003; pp. 237–298. [Google Scholar]
- Masuda, Y.; Imaizumi, H.; Oda, K.; Hashimoto, H.; Usuki, H.; Teruya, K. Artificial completion of the Japanese eel, Anguilla japonica, life cycle: Challenge to mass production. Bull. Fish. Res. Agency 2012, 35, 111–117. [Google Scholar]
- Okamura, A.; Horie, N.; Mikawa, N.; Yamada, Y.; Tsukamoto, K. Recent advances in artificial production of glass eels for conservation of anguillid eel populations. Ecol. Freshw. Fish 2014, 23, 95–110. [Google Scholar] [CrossRef]
- Asturiano, J.F. Improvements on the Reproductive Control of the European Eel. In Reproduction in Aquatic Animals: From Basic Biology to Aquaculture Technology; Yoshida, M., Asturiano, J.F., Eds.; Springer: Singapore, 2020; pp. 293–320. [Google Scholar]
- Jeng, S.R.; Dufour, S.; Chang, C.F. Differential expression of neural and gonadal aromatase enzymatic activities in relation to gonadal development in Japanese eel, Anguilla japonica. J. Exp. Zool. A Comp. Exp. Biol. 2005, 303, 802–812. [Google Scholar] [CrossRef] [PubMed]
- Tchoudakova, A.; Callard, G.V. Identification of multiple CYP19 genes encoding different cytochrome P450 aromatase isozymes in brain and ovary. Endocrinology 1998, 139, 2179–2189. [Google Scholar] [CrossRef]
- Lai, X.J.; Peng, S.; Liu, L.P.; Zou, Z.H.; Cao, L.; Wang, Y.L. Tissue-specific promoters regulate the transcription of cyp19a1 in the brain-pituitary-gonad axis of Japanese eel (Anguilla japonica). J. Steroid Biochem. Mol. Biol. 2023, 232, 106334. [Google Scholar] [CrossRef] [PubMed]
- Montero, M.; Le Belle, N.; King, J.A.; Millar, R.P.; Dufour, S. Differential regulation of the two forms of gonadotropin-releasing hormone (mGnRH and cGnRH-II) by sex steroids in the European female silver eel (Anguilla anguilla). Neuroendocrinology 1995, 61, 525–535. [Google Scholar] [CrossRef] [PubMed]
- Jeng, S.R.; Chen, G.R.; Lai, J.Y.; Huang, Y.S.; Dufour, S.; Chang, C.F. Regulation of pituitary gonadotropin II and growth hormone content by sex steroids and pituitary extract in the aquacultured Japanese eel, Anguilla japonica. Aquaculture 2002, 209, 319–332. [Google Scholar] [CrossRef]
- Schmitz, M.; Aroua, S.; Vidal, B.; Le Belle, N.; Elie, P.; Dufour, S. Differential regulation of luteinizing hormone and follicle-stimulating hormone expression during ovarian development and under sexual steroid feedback in the European eel. Neuroendocrinology 2005, 81, 107–119. [Google Scholar] [CrossRef] [PubMed]
- Vidal, B.; Pasqualini, C.; Le Belle, N.; Holland, M.C.; Sbaihi, M.; Vernier, P.; Zohar, Y.; Dufour, S. Dopamine inhibits luteinizing hormone synthesis and release in the juvenile European eel: A neuroendocrine lock for the onset of puberty. Biol. Reprod. 2014, 71, 1491–1500. [Google Scholar] [CrossRef]
- Lin, H.R.; Zhang, M.L.; Zhang, S.M.; Van Der Kraak, G.; Peter, R.E. Stimulation of pituitary gonadotropin and ovarian development by chronic administration of testosterone in female Japanese silver eel, Anguilla japonica. Aquaculture 1991, 96, 87–95. [Google Scholar] [CrossRef]
- Lai, X.J.; Li, Z.Q.; Xie, Y.J.; Chen, S.X.; Wang, Y.L. Androstenedione and 17α-methyltestosterone induce early ovary development of Anguilla japonica. Theriogenology 2018, 120, 16–24. [Google Scholar] [CrossRef] [PubMed]
- Querat, B.; Hardy, D.; Fontaine, Y.A. Regulation of the type-II gonadotropin a and b subunit mRNA by oestradiol and testosterone in the European eel. J. Mol. Endocrinol. 1991, 7, 81–86. [Google Scholar] [CrossRef] [PubMed]
- Lai, X.J.; Peng, S.; Wang, Y.L. Dynamic transcriptome analysis of ovarian follicles in artificial maturing Japanese eel (Anguilla japonica). Theriogenology 2022, 180, 176–188. [Google Scholar] [CrossRef] [PubMed]
- Aroua, S.; Weltzien, F.A.; Le Belle, N.; Dufour, S. Development of real-time RT-PCR assays for eel gonadotropins and their application to the comparison of in vivo and in vitro effects of sex steroids. Gen. Comp. Endocrinol. 2007, 153, 333–343. [Google Scholar] [CrossRef] [PubMed]
- Nakamura, I.; Kusakabe, M.; Young, G. Differential suppressive effects of low physiological doses of estradiol-17β in vivo on levels of mRNAs encoding steroidogenic acute regulatory protein and three steroidogenic enzymes in previtellogenic ovarian follicles of rainbow trout. Gen. Comp. Endocrinol. 2009, 3, 318–323. [Google Scholar] [CrossRef] [PubMed]
- Montero, M.; Le Belle, N.; Vidal, B.; Dufour, S. Primary cultures of dispersed pituitary cells from estradiol-pretreated female silver eels (Anguilla Anguilla L.): Immunocytochemical characterization of gonadotropic cells and stimulation of gonadotropin release. Gen. Comp. Endocrinol. 1996, 104, 103–115. [Google Scholar] [CrossRef] [PubMed]
- Botté, M.C.; Lerrant, Y.; Lozach, A.; Bérault, A.; Counis, R.; Kottler, M.L. LH down-regulates gonadotropin-releasing hormone (GnRH) receptor, but not GnRH, mRNA levels in the rat testis. J. Endocrinol. 1999, 162, 409–415. [Google Scholar] [CrossRef] [PubMed]
- Trudeau, V.L.; Peter, R.E.; Sloley, B.D. Testosterone and estradiol potentiate the serum gonadotropin response to gonadotropin-releasing hormone in goldfish. Biol. Reprod. 1991, 44, 951–960. [Google Scholar] [CrossRef] [PubMed]
- Dufour, S.; Montero, M.; Le Belle, N.; Bassompierre, M.; King, J.A.; Millar, R.P.; Peter, R.E.; Fontaine, Y.A. Differential distribution and response to experimental sexual maturation of two forms of brain gonadotropin-releasing hormone (GnRH) in the European eel, Anguilla anguilla. Fish Physiol. Biochem. 1993, 11, 99–106. [Google Scholar] [CrossRef]
- Zempo, B.; Karigo, T.; Kanda, S.; Akazome, Y.; Oka, Y. Morphological analysis of the axonal projections of EGFP-labeled Esr1-expressing neurons in transgenic female medaka. Endocrinology 2018, 159, 1228–1241. [Google Scholar] [CrossRef]
- Ogawa, S.; Parhar, I.S. Single-cell gene profiling reveals social status-dependent modulation of nuclear hormone receptors in GnRH neurons in a male cichlid fish. Int. J. Mol. Sci. 2020, 21, 2724. [Google Scholar] [CrossRef] [PubMed]
- Klungland, H.; Andersen, O.; Kisen, G.; Aleström, P.; Tora, L. Estrogen receptor binds to the salmon GnRH gene in a region with long palindromic sequences. Mol. Cell. Endocrinol. 1993, 95, 147–154. [Google Scholar] [CrossRef] [PubMed]
- Tsai, P.S.; Lunden, J.B.; Jones, J.T. Effects of steroid hormones on spermatogenesis and GnRH release in male Leopard frogs, Rana pipiens. Gen. Comp. Endocrinol. 2003, 134, 330–338. [Google Scholar] [CrossRef] [PubMed]
- Trudeau, V.L. Neuroendocrine control of reproduction in teleost fish: Concepts and controversies. Annu. Rev. Anim. Biosci. 2022, 10, 107–130. [Google Scholar] [CrossRef] [PubMed]
- Takahashi, A.; Kanda, S.; Abe, T.; Oka, Y. Evolution of the hypothalamic-pituitary-gonadal axis regulation in vertebrates revealed by knockout medaka. Endocrinology 2016, 157, 3994–4002. [Google Scholar] [CrossRef] [PubMed]
- Burger, L.L.; Haisenleder, D.J.; Dalkin, A.C.; Marshall, J.C. Regulation of gonadotropin subunit gene transcription. J. Mol. Endocrinol. 2004, 33, 559–584. [Google Scholar] [CrossRef] [PubMed]
- Miura, C.; Miura, T.; Kudo, N.; Yamashita, M.; Yamauchi, K. cDNA cloning of a stage-specific gene expressed during HCG-induced spermatogenesis in the Japanese eel. Dev. Growth Differ. 1999, 41, 463–471. [Google Scholar] [CrossRef] [PubMed]
- Aroua, S.; Maugars, G.; Jeng, S.R.; Chang, C.F.; Weltzien, F.A.; Rousseau, K.; Dufour, S. Pituitary gonadotropins FSH and LH are oppositely regulated by the activin/follistatin system in a basal teleost, the eel. Gen. Comp. Endocrinol. 2012, 175, 82–91. [Google Scholar] [CrossRef] [PubMed]
- Jeng, S.R.; Pasquier, J.; Yueh, W.S.; Chen, G.R.; Lee, Y.H.; Dufour, S.; Chang, C.F. Differential regulation of the expression of cytochrome P450 aromatase, estrogen and androgen receptor subtypes in the brain-pituitary-ovarian axis of the Japanese eel (Anguilla japonica) reveals steroid dependent and independent mechanisms. Gen. Comp. Endocrinol. 2012, 175, 163–172. [Google Scholar] [CrossRef]
- Hornung, M.W.; Jensen, K.M.; Korte, J.J.; Kahl, M.D.; Durhan, E.J.; Denny, J.S.; Henry, T.R.; Ankley, G.T. Mechanistic basis for estrogenic effects in fathead minnow (Pimephales promelas) following exposure to the androgen 17α-methyltestosterone: Conversion of 17α-methyltestosterone to 17α-methylestradiol. Aquat. Toxicol. 2004, 66, 15–23. [Google Scholar] [CrossRef]
- Tokarz, J.; Möller, G.; Hrabě de Angelis, M.; Adamski, J. Steroids in teleost fishes: A functional point of view. Steroids 2015, 103, 123–144. [Google Scholar] [CrossRef] [PubMed]
- Rajakumar, A.; Senthilkumaran, B. Steroidogenesis and its regulation in teleost-a review. Fish Physiol. Biochem. 2020, 46, 803–818. [Google Scholar] [CrossRef] [PubMed]
- Mullany, L.K.; Hanse, E.A.; Romano, A.; Blomquist, C.H.; Mason, I.; Delvoux, B.; Anttila, C.; Albrecht, J.H. Cyclin D1 regulates hepatic estrogen and androgen metabolism. Am. J. Physiol. 2010, 6, G884–G895. [Google Scholar] [CrossRef] [PubMed]
- Liu, Y.; Chen, S.; Liu, S.; Zhang, Y.; Yuan, C.; Wang, Z. DNA methylation in the 5′ flanking region of cytochrome P450 17 in adult rare minnow Gobiocypris rarus—Tissue difference and effects of 17α-ethinylestradiol and 17α-methyltestoterone exposures. Comp. Biochem. Physiol. C Toxicol. Pharmacol. 2014, 162, 16–22. [Google Scholar] [CrossRef] [PubMed]
- Košir, R.; Zmrzljak, U.P.; Bele, T.; Acimovic, J.; Perse, M.; Majdic, G.; Prehn, C.; Adamski, J.; Rozman, D. Circadian expression of steroidogenic cytochromes P450 in the mouse adrenal gland—Involvement of cAMP-responsive element modulator in epigenetic regulation of Cyp17a1. FEBS J. 2012, 279, 1584–1593. [Google Scholar] [CrossRef] [PubMed]
- Rodriguez, H.; Hum, D.W.; Staels, B.; Miller, W.L. Transcription of the human genes for cytochrome P450scc and P450c17 is regulated differently in human adrenal NCI-H295 cells than in mouse adrenal Y1 cells. J. Clin. Endocrinol. Metab. 1997, 82, 365–371. [Google Scholar] [CrossRef] [PubMed]
- Sewer, M.B.; Li, D.; Dammer, E.B.; Jagarlapudi, S.; Lucki, N. Multiple signaling pathways coordinate CYP17 gene expression in the human adrenal cortex. Acta Chim. Slov. 2008, 55, 53–57. [Google Scholar]
- Lund, J.; Ahlgren, R.; Wu, D.H.; Kagimoto, M.; Simpson, E.R.; Waterman, M.R. Transcriptional regulation of the bovine CYP17 (P-450 (17) alpha) gene. Identification of two cAMP regulatory regions lacking the consensus cAMP-responsive element (CRE). J. Biol. Chem. 1990, 265, 3304–3312. [Google Scholar] [CrossRef]






| Primer | Gene Name | Sequence (5′—3′) |
|---|---|---|
| mGnRH-F | mammal gonadotropin-releasing hormone | TGGCTGGGGCTGGCTGTG |
| mGnRH-R | GCTGGGCAAACTGGAGGTGTC | |
| fshb-F | follicle-stimulating hormone | AGAATGAAGAATGCGGTGGC |
| fshb-R | ACAGGGTAGGTGAAGTGGAGGT | |
| lhb-F | luteinizing hormone | TCACCAAGGACCCAAGCTAC |
| lhb-R | CCATGGTGCACAGGTTACAG | |
| cyp11a1-F | P450 side-chain cleavage | AAACTTTGGACCCATTTACCG |
| cyp11a1-R | CCTGAACCTGTGGAGCGATT | |
| hsd3b-F | 3β-hydroxysteroid dehydrogenase | TACTGCCCACCGCTGAACC |
| hsd3b-R | TGCGTGACTCCTCCCAACTA | |
| cyp17a1-F | 17α-hydroxylase/C17-20 lyase | AAGAGTGGAAGAACCCGGAGAT |
| cyp17a1-R | AGGCGAGGAAGAGGAACAGC | |
| cyp17a2-F | 17α-hydroxylase | GAGAGGTTCATGCCAGAGCG |
| cyp17a2-R | GGAGAAGCGGTTACCCTCG | |
| β-actin-F | actin beta | ATCGTGCGTGACATCAAGGA |
| β-actin-R | GCTCGTTGCCGATGGTGAT |
Disclaimer/Publisher’s Note: The statements, opinions and data contained in all publications are solely those of the individual author(s) and contributor(s) and not of MDPI and/or the editor(s). MDPI and/or the editor(s) disclaim responsibility for any injury to people or property resulting from any ideas, methods, instructions or products referred to in the content. |
© 2024 by the authors. Licensee MDPI, Basel, Switzerland. This article is an open access article distributed under the terms and conditions of the Creative Commons Attribution (CC BY) license (https://creativecommons.org/licenses/by/4.0/).
Share and Cite
Lai, X.; Peng, S.; Bai, Z.; Cao, L.; Huang, H.; Jiang, Y.; Wang, Y. Direct Feedback Regulation of E2, T, and hCG in the Brain–Pituitary–Gonad Axis of Japanese Eel (Anguilla japonica) during Artificial Maturation. Fishes 2024, 9, 265. https://doi.org/10.3390/fishes9070265
Lai X, Peng S, Bai Z, Cao L, Huang H, Jiang Y, Wang Y. Direct Feedback Regulation of E2, T, and hCG in the Brain–Pituitary–Gonad Axis of Japanese Eel (Anguilla japonica) during Artificial Maturation. Fishes. 2024; 9(7):265. https://doi.org/10.3390/fishes9070265
Chicago/Turabian StyleLai, Xiaojian, Shuai Peng, Zhaoren Bai, Le Cao, Huixuan Huang, Yonghua Jiang, and Yilei Wang. 2024. "Direct Feedback Regulation of E2, T, and hCG in the Brain–Pituitary–Gonad Axis of Japanese Eel (Anguilla japonica) during Artificial Maturation" Fishes 9, no. 7: 265. https://doi.org/10.3390/fishes9070265
APA StyleLai, X., Peng, S., Bai, Z., Cao, L., Huang, H., Jiang, Y., & Wang, Y. (2024). Direct Feedback Regulation of E2, T, and hCG in the Brain–Pituitary–Gonad Axis of Japanese Eel (Anguilla japonica) during Artificial Maturation. Fishes, 9(7), 265. https://doi.org/10.3390/fishes9070265

