Effect of Polystyrene Microplastic Exposure on Individual, Tissue, and Gene Expression in Juvenile Crucian Carp (Carassius auratus)
Abstract
1. Introduction
2. Materials and Methods
2.1. Domestication of Experimental Fish
2.2. Experimental Design
2.3. Detection Method and Data Processing
2.3.1. PS-MPs Characterization
2.3.2. Sample Processing Method
2.3.3. Growth Analysis
2.3.4. Histopathological Analyses
2.3.5. Gene Expression Analysis
2.3.6. Quality Assurance and Quality Control
2.3.7. Data Processing and Analysis
3. Results
3.1. Characterization of PS-MPs and Distribution Characteristics
3.2. Effect of Polystyrene Microplastics on the Growth and Development
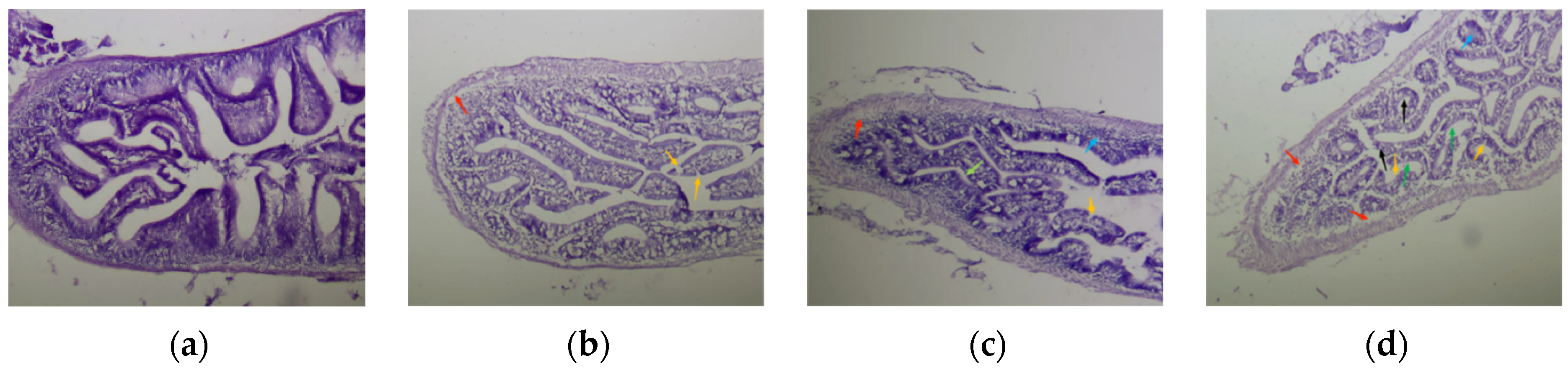
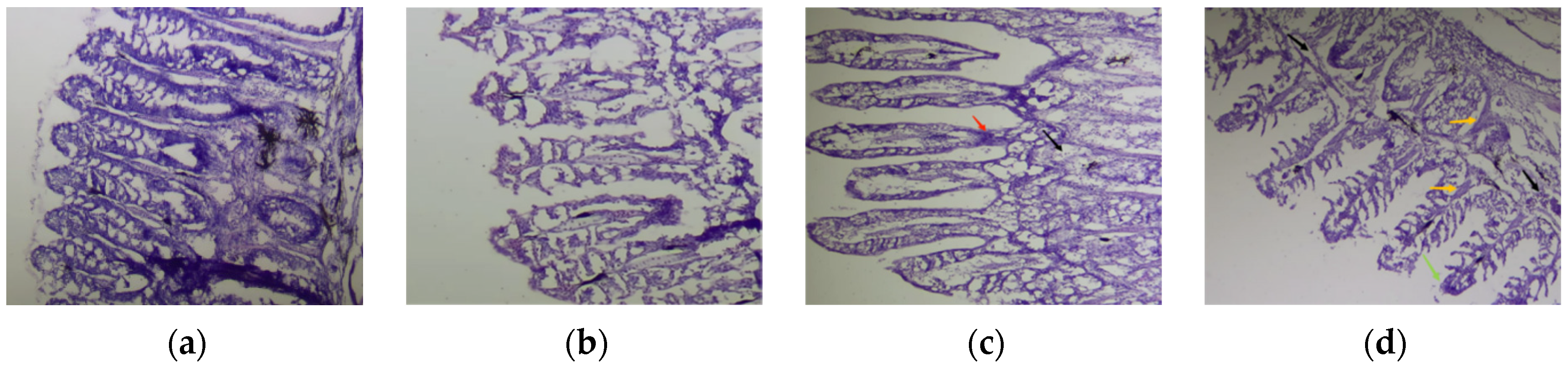
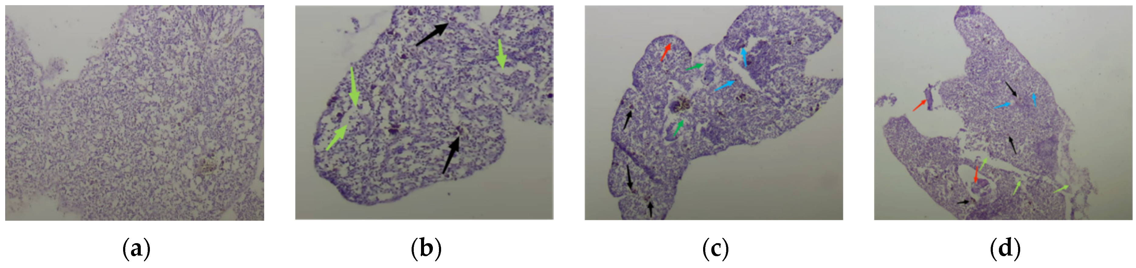
3.3. Histopathological Analysis of GIT, Gill, Brain, and Liver
3.4. Effect of Polystyrene Microplastics on Gene Expression
4. Discussion
4.1. PS-MPs Distribution Enrichment
4.2. Growth
4.3. Histopathology
4.4. Gene Expression Analysis of Organization
4.4.1. Gene Expression Analysis of Gastrointestinal Tract
4.4.2. Gene Expression Analysis of Liver
4.4.3. Gene Expression Analysis of Gill
5. Conclusions
Author Contributions
Funding
Institutional Review Board Statement
Data Availability Statement
Conflicts of Interest
References
- Zhao, X.; Xu, Q. Toxic effects of microplastics and nanoplastics on freshwater organisms. J. Jilin Norm. Univ. 2020, 41, 93–99. [Google Scholar] [CrossRef]
- Rafa, N.; Ahmed, B.; Zohora, F.; Bakya, J.; Ahmed, S.; Ahmed, S.F.; Mofijur, M.; Chowdhury, A.A.; Almomani, F. Microplastics as carriers of toxic pollutants: Source, transport, and toxicological effects. Environ. Pollut. 2024, 343, 123190. [Google Scholar] [CrossRef]
- Chen, Q.; Gundlach, M.; Yang, S.; Jiang, J.; Velki, M.; Yin, D.; Hollert, H. Quantitative investigation of the mechanisms of microplastics and nanoplastics toward zebrafish larvae locomotor activity. Sci. Total Environ. 2017, 584–585, 1022–1031. [Google Scholar] [CrossRef]
- Varó, I.; Osorio, K.; Estensoro, I.; Naya-Català, F.; Sitjà-Bobadilla, A.; Carlos Navarro, J.; Pérez-Sánchez, J.; Torreblanca, A.; Carla Piazzon, M. Effect of virgin low density polyethylene microplastic ingestion on intestinal histopathology and microbiota of gilthead sea bream. Aquaculture 2021, 545, 737245. [Google Scholar] [CrossRef]
- Hao, Y.; Sun, Y.; Li, M.; Fang, X.; Wang, Z.; Zuo, J.; Zhang, C. Adverse effects of polystyrene microplastics in the freshwater commercial fish, grass carp (Ctenopharyngodon idella): Emphasis on physiological response and intestinal microbiome. Sci. Total Environ. 2023, 856, 159270. [Google Scholar] [CrossRef]
- Hu, J.; Zuo, J.; Li, J.; Zhang, Y.; Ai, X.; Zhang, J.; Gong, D.; Sun, D. Effects of secondary polyethylene microplastic exposure on crucian (Carassius carassius) growth, liver damage, and gut microbiome composition. Sci. Total Environ. 2022, 802, 149736. [Google Scholar] [CrossRef]
- Jabeen, K.; Li, B.; Chen, Q.; Su, L.; Wu, C.; Hollert, H.; Shi, H. Effects of virgin microplastics on goldfish (Carassius auratus). Chemosphere 2018, 213, 323–332. [Google Scholar] [CrossRef]
- Lu, Y. Accumulation and distribution of microplastic particles with different characteristics in Zebrafish and related toxic effects. Master’s thesis, Nanjing University, Nanjing, China, 2017. [Google Scholar] [CrossRef]
- Feng, S.; Zeng, Y.; Cai, Z.; Wu, J.; Chan, L.; Zhu, J.; Zhou, J. Polystyrene microplastics alter the intestinal microbiota function and the hepatic metabolism status in marine medaka (Oryzias melastigma). Sci. Total Environ. 2021, 759, 143558. [Google Scholar] [CrossRef]
- Yin, L.; Chen, B.; Xia, B.; Shi, X.; Qu, K. Polystyrene microplastics alter the behavior, energy reserve and nutritional composition of marine jacopever (Sebastes schlegelii). J. Hazard. Mater. 2018, 360, 97–105. [Google Scholar] [CrossRef]
- Hu, J.; Zuo, J.; Li, J.; Zhang, Y.; Ai, X.; Gong, D.; Zhang, J.; Sun, D. Effects of microplastic exposure on crucian growth, liver damage, and gut microbiome composition. Environ. Sci. 2022, 43, 3664–3671. [Google Scholar] [CrossRef]
- Lemoine, C.; Kelleher, B.; Lagarde, R.; Northam, C.; Elebute, O.; Cassone, B. Transcriptional effects of polyethylene microplastics ingestion in developing zebrafish (Danio rerio). Environ. Pollut. 2018, 243, 591–600. [Google Scholar] [CrossRef]
- Zhang, X.; Wen, K.; Ding, D.; Liu, J.; Lei, Z.; Chen, X.; Ye, G.; Zhang, J.; Shen, H.; Yan, C.; et al. Size-dependent adverse effects of microplastics on intestinal microbiota and metabolic homeostasis in the marine medaka (Oryzias melastigma). Environ. Int. 2021, 151, 106452. [Google Scholar] [CrossRef]
- Horton, A.; Jürgens, M.; Lahive, E.; Bodegom, P.; Vijver, M. The influence of exposure and physiology on microplastic ingestion by the freshwater fish Rutilus rutilus (roach) in the River Thames, UK. Environ. Pollut. 2018, 236, 188–194. [Google Scholar] [CrossRef]
- Abarghouei, S.; Hedayati, A.; Raeisi, M.; Hadavand, B.; Rezaei, H.; Abed-Elmdoust, A. Size-dependent effects of microplastic on uptake, immune system, related gene expression and histopathology of goldfish (Carassius auratus). Chemosphere 2021, 276, 129977. [Google Scholar] [CrossRef]
- Yang, H.; Xiong, H.; Mi, K.; Xue, W.; Wei, W.; Zhang, Y. Toxicity comparison of nano-sized and micron-sized microplastics to Goldfish Carassius auratus Larvae. J. Hazard. Mater. 2020, 388, 122058. [Google Scholar] [CrossRef]
- Yin, K.; Wang, D.; Zhao, H.; Wang, Y.; Zhang, Y.; Liu, Y.; Li, B.; Xing, M. Polystyrene microplastics up-regulates liver glutamine and glutamate synthesis and promotes autophagy-dependent ferroptosis and apoptosis in the cerebellum through the liver-brain axis. Environ. Pollut. 2022, 307, 119449. [Google Scholar] [CrossRef]
- Hamed, M.; Soliman, H.; Badrey, A.; Osman, A. Microplastics induced histopathological lesions in some tissues of tilapia (Oreochromis niloticus) early juveniles. Tissue Cell 2021, 71, 101512. [Google Scholar] [CrossRef]
- Mohamed, H.; Child, S.; Doherty, D.; Bruning, J.; Bell, G. Structural determination and characterisation of the CYP105Q4 cytochrome P450 enzyme from Mycobacterium marinum. Arch. Biochem. Biophys. 2024, 754, 109950. [Google Scholar] [CrossRef]
- Hu, B.; Deng, L.; Wen, C.; Yang, X.; Pei, P.; Xie, Y.; Luo, S. Cloning, identification and functional characterization of a pi-class glutathione-S-transferase from the freshwater mussel Cristaria plicata. Fish Shellfish Immunol. 2012, 32, 51–60. [Google Scholar] [CrossRef]
- Teles, M.; Mackenzie, S.; Boltaña, S.; Callol, A.; Tort, T. Gene expression and TNF-alpha secretion profile in rainbow trout macrophages following exposures to copper and bacterial lipopolysaccharide. Fish Shellfish Immunol. 2011, 30, 340–346. [Google Scholar] [CrossRef]
- Wang, Q.; Huang, C.; Zhang, Z.; Hu, J.; Zhang, R. Gene expression in primary cultures of male medaka (Oryzias latipes)hepatocytes induced by 17β-estradiol with quantitative real-time RT-PCR. Acta. Sci. Circumstantiae 2008, 12, 2568–2572. [Google Scholar] [CrossRef]
- Ye, T.; Kang, M.; Huang, Q.; Dong, S. Endocrine-disrupting effects of DEHP and MEHP on Oryzias melastigma under long-term exposure. J. Ecotoxicol. 2014, 9, 253–260. [Google Scholar] [CrossRef]
- Granby, K.; Rainieri, S.; Rasmussen, R.; Kotterman, M.; Sloth, J.; Cederberg, T.; Barranco, A.; Antonio, M.; Larsen, B. The influence of microplastics and halogenated contaminants in feed on toxicokinetics and gene expression in European seabass (Dicentrarchus labrax). Environ. Res. 2018, 164, 430–443. [Google Scholar] [CrossRef]
- Celander, M.; Stegeman, J.; Förlin, L. CYP1A1-, CYP2B- and CYP3A-like proteins in rainbow trout (Oncorhynchus mykiss) liver: CYP1A1-specific down-regulation after prolonged exposure to PCB. Mar. Environ. Res. 1996, 42, 283–286. [Google Scholar] [CrossRef]
- Maradonna, F.; Nozzi, V.; Valle, L.; Traversi, I.; Gioacchini, G.; Benato, F.; Colletti, E.; Gallo, P.; Pisciottano, I.; Mita, D.; et al. Developmental hepatotoxicity study of dietary bisphenol A in Sparusaurata juveniles. Comp. Biochem. Physiol. C Toxicol. Pharmacol. 2014, 166, 1–13. [Google Scholar] [CrossRef]
- Romano, N.; Renukdas, N.; Fischer, H.; Shrivastava, J.; Baruah, K.; Egnew, N.; Sinha, A. Differential modulation of oxidative stress, antioxidant defense, histomorphology, ion-regulation and growth marker gene expression in goldfish (Carassius auratus) following exposure to different dose of virgin microplastics. Comp. Biochem. Physiol. C Toxicol. Pharmacol. 2020, 238, 108862. [Google Scholar] [CrossRef]
- Lu, Y.; Zhang, Y.; Deng, Y.; Jiang, W.; Zhao, Y.; Geng, J.; Ding, L.; Ren, H. Uptake and Accumulation of Polystyrene Microplastics in Zebrafish (Danio rerio) and Toxic Effects in Liver. Environ. Sci. Technol. 2016, 50, 4054–4060. [Google Scholar] [CrossRef]
- Cao, L.; Li, Y.; Liang, R.; Wang, Y.; Li, K. Effects of microplastic particles on immune gene expression of rainbow trout. Acta. Sci. Circumstantiae 2018, 38, 3347–3352. [Google Scholar] [CrossRef]
- Hanachi, P.; Kazemi, S.; Zivary, S.; Karbalaei, S.; Ghadami, S. The effect of polyethylene terephthalate and abamectin on oxidative damages and expression of vtg and cyp1a genes in juvenile zebrafish. Environ. Nanotechnol. Monit. Manag. 2021, 16, 100565. [Google Scholar] [CrossRef]
- Kania, P.; Chettri, J.; Buchmann, K. Characterization of serum amyloid A (SAA) in rainbow trout using a new monoclonal antibody. Fish Shellfish. Immunol. 2014, 40, 648–658. [Google Scholar] [CrossRef]











| Name | Primers | Primer Sequence Number | Gene Name | Primers | Primer Sequence Number |
|---|---|---|---|---|---|
| Interleukin 1β (IL-1β) | F-primer | CGACATGCATGACATCAAAC | Interleukin-6 (IL-6) | F-primer | AGAAGTCTCTTAAAAAGGGG |
| R-primer | GCAGCTCCTCATCACAAAAC | R-primer | CAACAAAAAACATCTCTTCA | ||
| Interleukin-8 (IL-8) | F-primer | GTCTTAGAGGACTGGGTGTA | Tumor necrosis factor-α (TNFα) | F-primer | CAAAAACCCTGGACTGGAAA |
| R-primer | ACAGTGTGAGCTTGGAGGGA | R-primer | CCTGGCTGTAGACGAAGTAA | ||
| Interferon-γ (INF-γ) | F-primer | CACGTGAAAATTCAGCGAGA | Choriogenin-H (ChgH) | F-primer | TTGTGGCACCACAATGAAGA |
| R-primer | ACAGGATGTGCATTGTGTAG | R-primer | TGGAGGAGGAACAGTGTTGA | ||
| Vitellogenin (Vtg1) | F-primer | TAGAGCTGGAATGGGAGAGG | Cytochrome P450 enzyme 1A (CYP1A) | F-primer | ATTTCATTCCCAAAGACACCTG |
| R-primer | TGACACTGTCATCTCTGGAA | R-primer | CAAAAACCAACACCTTCTCTCC | ||
| Glutathione transferase pi (GSTpi) | F-primer | ATCTACCAGGAATATGAGAC | glutathione-S-transferase α (GSTA) | F-primer | CCCGAGAATATAAAACTCCC |
| R-primer | CGGGCAGCAATCTTATCCAC | R-primer | TCAAAAACACTTCCTCAAAC | ||
| Beta-actin (β-actin) | F-primer | ACGAGAGATCTTCACTCCCCT | S100A1 | F-primer | GAGCTCAAGGACCTGATGGA |
| R-primer | TGCCAACCATCACTCCCTGA | R-primer | TCCCCATCTTCTTCTTGTGC | ||
| Interferon-gamma (IFN-γ) | F-primer | AAGGGCTGTGATGTGTTTCTG | Serum amyloid A (SAA) | F-primer | GGGAGATGATTCAGGGTTCCA |
| R-primer | TGTACTGAGCGGCATTACTCC | R-primer | TTACGTCCCCAGTGGTTAGC |
| Fish Sample | Length (cm) | Weight (g) | GIT (MPs/Item) | Gill (MPs/Item) | Muscle (MPs/Item) |
|---|---|---|---|---|---|
| 0 μg/L | 2.33 | 0.2510 | 0 | 0 | 0 |
| 200 μg/L | 2.57 | 0.3111 | 2.33 | 0.67 | 0 |
| 800 μg/L | 2.43 | 0.2797 | 1.00 | 0.17 | 0 |
| 3200 μg/L | 2.76 | 0.384 | 1.33 | 0.67 | 0 |
| Concentration | Average Length (cm) | Average Weight (g) | Growth Factor |
|---|---|---|---|
| 0 μg/L | 3.14 | 0.80 | 2.60 |
| 200 μg/L | 3.17 | 0.79 | 2.50 |
| 800 μg/L | 3.18 | 0.90 | 2.79 |
| 3200 μg/L | 3.15 | 0.74 | 2.36 |
Disclaimer/Publisher’s Note: The statements, opinions and data contained in all publications are solely those of the individual author(s) and contributor(s) and not of MDPI and/or the editor(s). MDPI and/or the editor(s) disclaim responsibility for any injury to people or property resulting from any ideas, methods, instructions or products referred to in the content. |
© 2024 by the authors. Licensee MDPI, Basel, Switzerland. This article is an open access article distributed under the terms and conditions of the Creative Commons Attribution (CC BY) license (https://creativecommons.org/licenses/by/4.0/).
Share and Cite
Huang, Y.; Li, W.; Dong, K.; Li, X.; Li, W.; Wang, D. Effect of Polystyrene Microplastic Exposure on Individual, Tissue, and Gene Expression in Juvenile Crucian Carp (Carassius auratus). Fishes 2024, 9, 385. https://doi.org/10.3390/fishes9100385
Huang Y, Li W, Dong K, Li X, Li W, Wang D. Effect of Polystyrene Microplastic Exposure on Individual, Tissue, and Gene Expression in Juvenile Crucian Carp (Carassius auratus). Fishes. 2024; 9(10):385. https://doi.org/10.3390/fishes9100385
Chicago/Turabian StyleHuang, Yuequn, Wenjing Li, Kun Dong, Xiangtong Li, Wenrong Li, and Dunqiu Wang. 2024. "Effect of Polystyrene Microplastic Exposure on Individual, Tissue, and Gene Expression in Juvenile Crucian Carp (Carassius auratus)" Fishes 9, no. 10: 385. https://doi.org/10.3390/fishes9100385
APA StyleHuang, Y., Li, W., Dong, K., Li, X., Li, W., & Wang, D. (2024). Effect of Polystyrene Microplastic Exposure on Individual, Tissue, and Gene Expression in Juvenile Crucian Carp (Carassius auratus). Fishes, 9(10), 385. https://doi.org/10.3390/fishes9100385
