Effect of Siberian Ginseng Water Extract as a Dietary Additive on Growth Performance, Blood Biochemical Indexes, Lipid Metabolism, and Expression of PPARs Pathway-Related Genes in Genetically Improved Farmed Tilapia (Oreochromis niloticus)
Abstract
1. Introduction
2. Materials and Methods
2.1. Ethics Statement
2.2. Experimental Diets
2.3. Experimental Facility and Fish Rearing
2.4. Sample Collection
2.5. Fish Growth Performance
2.6. Blood Biochemical Analysis
2.7. Hepatic Biochemical Analysis
2.8. Liver Tissue Sections
2.9. Quantitative Reverse Transcription PCR Analyses of Lipid Metabolism-Related Genes
2.10. Data Analysis
3. Results
3.1. Growth Performance, FCR, and Survival
3.2. Hematological Indexes
3.3. Serum Biochemical Parameters
3.4. Hepatic Biochemical Parameters
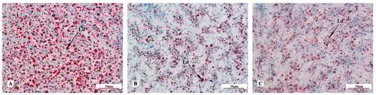
3.5. Histological Structure of Liver
3.6. Expression Level of Lipid Metabolism Genes in the PPAR Signaling Pathway
4. Discussion
5. Conclusions
Author Contributions
Funding
Institutional Review Board Statement
Acknowledgments
Conflicts of Interest
References
- Xu, L.; Zhu, X.; Yu, X.; Huyan, Z.; Wang, X. Rapid and Simultaneous Determination of the Iodine Value and Saponification Number of Edible Oils by FTIR Spectroscopy. Eur. J. Lipid Sci. Technol. 2018, 120, 1700396. [Google Scholar] [CrossRef]
- Xu, Y.; Li, W.; Ding, Z. Polyunsaturated Fatty Acid Supplements Could Considerably Promote the Breeding Performance of Carp. Eur. J. Lipid Sci. Technol. 2017, 119, 1600183. [Google Scholar] [CrossRef]
- Huang, Y.; Wen, X.; Li, S.; Li, W.; Zhu, D. Effects of Dietary Lipid Levels on Growth, Feed Utilization, Body Composition, Fatty Acid Profiles and Antioxidant Parameters of Juvenile Chu’s Croaker Nibea Coibor. Aquacult. Int. 2016, 24, 1229–1245. [Google Scholar] [CrossRef]
- Zhao, J.; Wen, X.; Li, S.; Zhu, D.; Li, Y. Effects of Dietary Lipid Levels on Growth, Feed Utilization, Body Composition and Antioxidants of Juvenile Mud Crab Scylla paramamosain (Estampador). Aquaculture 2015, 435, 200–206. [Google Scholar] [CrossRef]
- Du, Z.Y.; Liu, Y.J.; Tian, L.X.; He, J.G.; Cao, J.M.; Liang, G.Y. The Influence of Feeding Rate on Growth, Feed Efficiency and Body Composition of Juvenile Grass Carp (Ctenopharyngodon idella). Aquacult. Int. 2006, 14, 247–257. [Google Scholar] [CrossRef]
- Chen, Q.L.; Luo, Z.; Liu, X.; Song, Y.F.; Liu, C.X.; Zheng, J.L.; Zhao, Y.-H. Effects of Waterborne Chronic Copper Exposure on Hepatic Lipid Metabolism and Metal-Element Composition in Synechogobius hasta. Arch. Environ. Contam. Toxicol. 2013, 64, 301–315. [Google Scholar] [CrossRef]
- Du, Z.Y.; Clouet, P.; Zheng, W.H.; Degrace, P.; Tian, L.X.; Liu, Y.J. Biochemical Hepatic Alterations and Body Lipid Composition in the Herbivorous Grass Carp (Ctenopharyngodon idella) Fed High-Fat Diets. Br. J. Nutr. 2006, 95, 905–915. [Google Scholar] [CrossRef]
- Lu, K.; Xu, W.; Li, J.; Li, X.; Huang, G.; Liu, W. Alterations of Liver Histology and Blood Biochemistry in Blunt Snout Bream Megalobrama amblycephala Fed High-Fat Diets. Fish Sci. 2013, 79, 661–671. [Google Scholar] [CrossRef]
- Li, D.; Liu, L. Introduction to diagnosis and treatment of fish fatty liver disease. Prog. Vet. Med. 2016, 37, 114–117. [Google Scholar] [CrossRef]
- China Fishery Statistical Yearbook; China Agriculture Press: Beijing, China, 2021.
- Tendencia, E.A.; Fermin, A.C.; dela Peña, M.R.; Choresca, C.H. Effect of Epinephelus coioides, Chanos, and GIFT Tilapia in Polyculture with Penaeus monodon on the Growth of the Luminous Bacteria Vibrio harveyi. Aquaculture 2006, 253, 48–56. [Google Scholar] [CrossRef]
- Qiang, J.; Yang, H.; Wang, H.; Kpundeh, M.D.; Xu, P. Interacting Effects of Water Temperature and Dietary Protein Level on Hematological Parameters in Nile Tilapia Juveniles, Oreochromis niloticus (L.) and Mortality under Streptococcus iniae Infection. Fish Shellfish Immunol. 2013, 34, 8–16. [Google Scholar] [CrossRef]
- Ng, W.K.; Romano, N. A Review of the Nutrition and Feeding Management of Farmed Tilapia throughout the Culture Cycle. Rev. Fish. Sci. 2013, 5, 220–254. [Google Scholar] [CrossRef]
- Luquet, S.; Gaudel, C.; Holst, D.; Lopez-Soriano, J.; Jehl-Pietri, C.; Fredenrich, A.; Grimaldi, P.A. Roles of PPAR Delta in Lipid Absorption and Metabolism: A New Target for the Treatment of Type 2 Diabetes. Biochim. Biophys. Acta Mol. Basis Dis. 2005, 1740, 313–317. [Google Scholar] [CrossRef]
- Kersten, S.; Desvergne, B.; Wahli, W. Roles of PPARs in Health and Disease. Nature 2000, 405, 421–424. [Google Scholar] [CrossRef]
- Peters, J.M.; Lee, S.S.; Li, W.; Ward, J.M.; Gavrilova, O.; Everett, C.; Reitman, M.L.; Hudson, L.D.; Gonzalez, F.J. Growth, Adipose, Brain, and Skin Alterations Resulting from Targeted Disruption of the Mouse Peroxisome Proliferator-Activated Receptor Beta (Delta). Mol. Cell Biol. 2000, 20, 5119–5128. [Google Scholar] [CrossRef]
- Park, Y.; Pariza, M.W. Mechanisms of Body Fat Modulation by Conjugated Linoleic Acid (CLA). Food Res. Int. 2007, 40, 311–323. [Google Scholar] [CrossRef]
- Walczak, R.; Tontonoz, P. PPARadigms and PPARadoxes: Expanding Roles for PPAR Gamma in the Control of Lipid Metabolism. J. Lipid Res. 2002, 43, 177–186. [Google Scholar] [CrossRef]
- Li, X.; Xue, Y.; Pang, L.; Len, B.; Lin, Z.; Huang, J.; ShangGuan, Z.; Pan, Y. Agaricus Bisporus-Derived β-Glucan Prevents Obesity through PPAR γ Downregulation and Autophagy Induction in Zebrafish Fed by Chicken Egg Yolk. Int. J. Biol. Macromol. 2019, 125, 820–828. [Google Scholar] [CrossRef]
- Zhao, Z.Y.; Wu, T.X.; Tang, H.G.; Pan, X.D.; Zhang, J.Z. Effect of Conjugated Linoleic Acid on Growth, Lipid Metabolism and Liver Peroxisome Proliferator-Activated Receptor Expression of Large Yellow Croaker (Pseudosciaenacrocea R.). J. Food Lipids 2008, 15, 534–554. [Google Scholar] [CrossRef]
- Wang, N.; Wang, W.; Breslow, J.L.; Tall, A.R. Scavenger Receptor BI (SR-BI) Is Up-Regulated in Adrenal Gland in Apolipoprotein A-I and Hepatic Lipase Knock-out Mice as a Response to Depletion of Cholesterol Stores: In Vivo Evidence That SR-BI Is a Functional High Density Lipoprotein Receptor under Feedback Control. J. Biol. Chem. 1996, 271, 21001–21004. [Google Scholar] [CrossRef]
- Esteves, A.; Knoll-Gellida, A.; Canclini, L.; Silvarrey, M.C.; André, M.; Babin, P.J. Fatty Acid Binding Proteins Have the Potential to Channel Dietary Fatty Acids into Enterocyte Nuclei. J. Lipid Res. 2016, 57, 219–232. [Google Scholar] [CrossRef]
- Pu, H.; Li, X.; Du, Q.; Cui, H.; Xu, Y. Research Progress in the Application of Chinese Herbal Medicines in Aquaculture: A Review. Engineering 2017, 3, 731–737. [Google Scholar] [CrossRef]
- Yi, J.M.; Kim, M.S.; Seo, S.W.; Lee, K.N.; Yook, C.S.; Kim, H.-M. Acanthopanax senticosus Root Inhibits Mast Cell-Dependent Anaphylaxis. Clin. Chim. Acta 2001, 312, 163–168. [Google Scholar] [CrossRef]
- Yi, J.-M.; Hong, S.H.; Kim, J.H.; Kim, H.K.; Song, H.J.; Kim, H.M. Effect of Acanthopanax senticosus Stem on Mast Cell-Dependent Anaphylaxis. J. Ethnopharmacol. 2002, 79, 347–352. [Google Scholar] [CrossRef]
- Fang, J.; Yan, F.Y.; Kong, X.F.; Ruan, Z.; Liu, Z.Q.; Huang, R.L.; Li, T.J.; Geng, M.M.; Yang, F.; Zhang, Y.Z.; et al. Dietary Supplementation with Acanthopanax senticosus Extract Enhances Gut Health in Weanling Piglets. Livest. Prod. Sci. 2009, 123, 268–275. [Google Scholar] [CrossRef]
- Lee, S.; Son, D.; Ryu, J.; Lee, Y.S.; Jung, S.H.; Kang, J.; Lee, S.Y.; Kim, H.-S.; Shin, K.H. Anti-Oxidant Activities Ofacanthopanax senticosus Stems and Their Lignan Components. Arch. Pharm. Res. 2004, 27, 106–110. [Google Scholar] [CrossRef]
- Chen, R.; Liu, Z.; Zhao, J.; Chen, R.; Meng, F.; Zhang, M.; Ge, W. Antioxidant and Immunobiological Activity of Water-Soluble Polysaccharide Fractions Purified from Acanthopanax senticosu. Food Chem. 2011, 127, 434–440. [Google Scholar] [CrossRef]
- Yamazaki, T.; Shimosaka, S.; Sasaki, H.; Matsumura, T.; Tukiyama, T.; Tokiwa, T. (+)-Syringaresinol-Di-O-β-d-Glucoside, a Phenolic Compound from Acanthopanax senticosus Harms, Suppresses Proinflammatory Mediators in SW982 Human Synovial Sarcoma Cells by Inhibiting Activating Protein-1 and/or Nuclear Factor-ΚB Activities. Toxicol. Vitr. 2007, 21, 1530–1537. [Google Scholar] [CrossRef]
- Jung, H.J.; Park, H.J.; Kim, R.G.; Shin, K.M.; Ha, J.; Choi, J.W.; Kim, H.J.; Lee, Y.S.; Lee, K.-T. In Vivo Anti-Inflammatory and Antinociceptive Effects of Liriodendrin Isolated from the Stem Bark of Acanthopanax senticosus. Planta Med. 2003, 69, 610–616. [Google Scholar] [CrossRef]
- Park, S.H.; Lee, S.G.; Kang, S.K.; Chung, S.H. Acanthopanax senticosus Reverses Fatty Liver Disease and Hyperglycemia in Ob/Ob Mice. Arch. Pharm. Res. 2006, 29, 768. [Google Scholar] [CrossRef]
- Yue, B.; Xu, L.; Li, Y. Protection and mitochondria mechanism of Aacanthopanax senticosus saponins on high-fat diet induced fatty liver in mice. Cent. South Pharm. 2018, 16, 1725–1728. [Google Scholar] [CrossRef]
- Li, X.; Zhang, S.; Lu, F.; Liu, C.; Wang, Y.; Bai, Y.; Wang, N.; Liu, S. Cerebral Metabonomics Study on Parkinson’s Disease Mice Treated with Extract of Acanthopanax senticosus Harms. Phytomedicine 2013, 20, 1219–1229. [Google Scholar] [CrossRef]
- Saito, T.; Nishida, M.; Saito, M.; Tanabe, A.; Eitsuka, T.; Yuan, S.-H.; Ikekawa, N.; Nishida, H. The Fruit of Acanthopanax senticosus (Rupr. Et Maxim.) Harms Improves Insulin Resistance and Hepatic Lipid Accumulation by Modulation of Liver Adenosine Monophosphate–Activated Protein Kinase Activity and Lipogenic Gene Expression in High-Fat Diet–Fed Obese Mice. Nutr. Res. 2016, 36, 1090–1097. [Google Scholar] [CrossRef]
- Tao, Y.F.; Qiang, J.; Bao, J.W.; Chen, D.J.; Yin, G.J.; Xu, P.; Zhu, H.-J. Changes in Physiological Parameters, Lipid Metabolism, and Expression of MicroRNAs in Genetically Improved Farmed Tilapia (Oreochromis niloticus) With Fatty Liver Induced by a High-Fat Diet. Front. Physiol. 2018, 9, 1521. [Google Scholar] [CrossRef]
- Berntssen, M.H.G.; Lundebye, A.-K.; Maage, A. Effects of Elevated Dietary Copper Concentrations on Growth, Feed Utilisation and Nutritional Status of Atlantic Salmon (Salmo salar L.) Fry. Aquaculture 1999, 174, 167–181. [Google Scholar] [CrossRef]
- Qiang, J.; Yang, H.; Ma, X.Y.; He, J.; Wang, H.; Kpundeh, M.D.; Xu, P. Comparative Studies on Endocrine Status and Gene Expression of Hepatic Carbohydrate Metabolic Enzymes in Juvenile GIFT Tilapia (Oreochromis niloticus) Fed High-Carbohydrate Diets. Aquac. Res. 2016, 47, 758–768. [Google Scholar] [CrossRef]
- Ma, X.Y.; Qiang, J.; He, J.; Gabriel, N.N.; Xu, P. Changes in the Physiological Parameters, Fatty Acid Metabolism, and SCD Activity and Expression in Juvenile GIFT Tilapia (Oreochromis niloticus) Reared at Three Different Temperatures. Fish Physiol. Biochem. 2015, 41, 937–950. [Google Scholar] [CrossRef]
- Qiang, J.; Wasipe, A.; He, J.; Tao, Y.-F.; Xu, P.; Bao, J.-W.; Chen, D.; Zhu, J.-H. Dietary Vitamin E Deficiency Inhibits Fat Metabolism, Antioxidant Capacity, and Immune Regulation of Inflammatory Response in Genetically Improved Farmed Tilapia (GIFT, Oreochromis niloticus) Fingerlings Following Streptococcus Iniae Infection. Fish Shellfish Immunol. 2019, 92, 395–404. [Google Scholar] [CrossRef]
- Tao, Y.F.; Qiang, J.; Bao, J.W.; Li, H.X.; Yin, G.J.; Xu, P.; Chen, D.J. MiR-205-5p Negatively Regulates Hepatic Acetyl-CoA Carboxylase β MRNA in Lipid Metabolism of Oreochromis Niloticus. Gene 2018, 660, 1–7. [Google Scholar] [CrossRef]
- Livak, K.J.; Schmittgen, T.D. Analysis of Relative Gene Expression Data Using Real-Time Quantitative PCR and the 2−ΔΔCT Method. Methods 2001, 25, 402–408. [Google Scholar] [CrossRef]
- Qiang, J.; Khamis, O.A.M.; Jiang, H.J.; Cao, Z.M.; He, J.; Tao, Y.F.; Xu, P.; Bao, J.W. Effects of Dietary Supplementation with Apple Peel Powder on the Growth, Blood and Liver Parameters, and Transcriptome of Genetically Improved Farmed Tilapia (GIFT, Oreochromis niloticus). PLoS ONE 2019, 14, e0224995. [Google Scholar] [CrossRef]
- Yu, M.; Li, Z.; Lin, H.; Yang, Y. Effects of dietary Bacillus spp. and traditional Chinese medicines on growth and intestinal bacterial flora of shrimp Litopenaeus vannamei. J. Trop. Oceanogr. 2010, 29, 132–137. [Google Scholar] [CrossRef]
- Xie, L.; Cao, J.; Yang, S.; Zhao, C.; Ren, L. The Impact of Dietary Chinese Herbal Medicines on Growth Performance and Muscular Composition in Juvenile Tilapia. Fish Sci. 2009, 28, 11–14. [Google Scholar] [CrossRef]
- Song, Z.; Jiao, C.; Chen, B.; Xu, W.; Wang, M.; Zou, J.; Xu, W.; Xu, Z.; Wang, Q. Dietary Acanthopanax senticosus Extracts Modulated the Inflammatory and Apoptotic Responses of Yellow Catfish to Protect against Edwardsiella ictaluri Infection. Aquacult. Res. 2021, 52, 5078–5092. [Google Scholar] [CrossRef]
- Ruan, G.; Yang, D.; Wang, J. Effects of Herbal Feed Addtives on Immunity and Growth of Monopterus albus. Feed Ind. 2005, 26, 34–36. [Google Scholar] [CrossRef]
- Long, L.N.; Zhang, H.H.; Wang, F.; Yin, Y.X.; Yang, L.Y.; Chen, J.S. Research Note: Effects of Polysaccharide-Enriched Acanthopanax senticosus Extract on Growth Performance, Immune Function, Antioxidation, and Ileal Microbial Populations in Broiler Chickens. Poult. Sci. 2021, 100, 101028. [Google Scholar] [CrossRef]
- Ram Bhaskar, B.; Srinivasa Rao, K. Influence of Environmental Variables on Haematology, and Compendium of Normal Haematological Ranges of Milkfish, Chanos (Forskal), in Brackishwater Culture. Aquaculture 1989, 83, 123–136. [Google Scholar] [CrossRef]
- Harikrishnan, R.; Kim, M.C.; Kim, J.-S.; Balasundaram, C.; Heo, M.-S. Protective Effect of Herbal and Probiotics Enriched Diet on Haematological and Immunity Status of Oplegnathus fasciatus (Temminck & Schlegel) against Edwardsiella tarda. Fish Shellfish Immunol. 2011, 30, 886–893. [Google Scholar] [CrossRef]
- Li, M.X.; Li, H.X.; Qiang, J.; Xu, P.; Bao, J.W.; Chen, D.J.; Tao, Y.F.; Zhu, H.J. Effects of Acanthopanax senticosus on Growth Performance, Fat Deposition and Proinflammatory Cytokine Expression of Genetically Improved Farmed Tilapia (GIFT, Oreochromis niloticus). J. Anim. Nutr. 2019, 31, 5801–5812. [Google Scholar]
- Qiang, J.; Tao, Y.F.; Bao, J.W.; Chen, D.J.; Li, H.X.; He, J.; Xu, P. High Fat Diet-Induced MiR-122 Regulates Lipid Metabolism and Fat Deposition in Genetically Improved Farmed Tilapia (GIFT, Oreochromis niloticus) Liver. Front. Physiol. 2018, 9, 1422. [Google Scholar] [CrossRef]
- Fu, J.; Fu, J.; Liu, Y.; Li, R.; Gao, B.; Zhang, N.; Wang, B.; Cao, Y.; Guo, K.; Tu, Y. Modulatory Effects of One Polysaccharide from Acanthopanax senticosus in Alloxan-Induced Diabetic Mice. Carbohydr. Polym. 2012, 87, 2327–2331. [Google Scholar] [CrossRef]
- Li, H.X.; Qiang, J.; Song, C.Y.; Xu, P. Acanthopanax senticosus Promotes Survival of Tilapia Infected With Streptococcus Iniae by Regulating the PI3K/AKT and Fatty Acid Metabolism Signaling Pathway. Front. Physiol. 2021, 12, 699247. [Google Scholar] [CrossRef]
- Nishida, M.; Kondo, M.; Shimizu, T.; Saito, T.; Sato, S.; Hirayama, M.; Konishi, T.; Nishida, H. Antihyperlipidemic Effect of Acanthopanax senticosus (Rupr. et Maxim) Harms Leaves in High-Fat-Diet Fed Mice. J. Sci. Food Agric. 2016, 96, 3717–3722. [Google Scholar] [CrossRef]
- Vilella, E.; Joven, J.; Fernández, M.; Vilaró, S.; Brunzell, J.; Olivecrona, T.; Bengtsson-Olivecrona, G. Lipoprotein Lipase in Human Plasma Is Mainly Inactive and Associated with Cholesterol-Rich Lipoproteins. J. Lipid Res. 1993, 34, 1555–1564. [Google Scholar] [CrossRef]
- De Smet, H.; Blust, R.; Moens, L. Absence of Albumin in the Plasma of the Common Carp Cyprinus carpio: Binding of Fatty Acids to High Density Lipoprotein. Fish Physiol. Biochem. 1998, 19, 71–81. [Google Scholar] [CrossRef]
- Babin, P.J.; Vernier, J.M. Plasma Lipoproteins in Fish. J. Lipid Res. 1989, 30, 467–489. [Google Scholar] [CrossRef]
- Bhathena, S.J.; Velasquez, M.T. Beneficial Role of Dietary Phytoestrogens in Obesity and Diabetes. Am. J. Clin. Nutr. 2002, 76, 1191–1201. [Google Scholar] [CrossRef]
- Heinonen, S.; Nurmi, T.; Liukkonen, K.; Poutanen, K.; Wähälä, K.; Deyama, T.; Nishibe, S.; Adlercreutz, H. In Vitro Metabolism of Plant Lignans: New Precursors of Mammalian Lignans Enterolactone and Enterodiol. J. Agric. Food Chem. 2001, 49, 3178–3186. [Google Scholar] [CrossRef]
- Komprda, T.; Zornikova, G.; Knoll, A.; Vykoukalova, Z.; Rozikova, V.; Skultety, O.; Krobot, R. Effect of Dietary Eicosapentaenoic and Docosahexaenoic Acid on Expression of Rat Liver Genes Controlling Cholesterol Homeostasis and on Plasma Cholesterol Level. Czech J. Anim. Sci. 2014, 59, 391–398. [Google Scholar] [CrossRef]
- Feldstein, A.E. Novel Insights into the Pathophysiology of Nonalcoholic Fatty Liver Disease. Semin Liver Dis. 2010, 30, 391–401. [Google Scholar] [CrossRef]
- Du, Z.Y.; Ma, T.; Liaset, B.; Keenan, A.H.; Araujo, P.; Lock, E.J.; Demizieux, L.; Degrace, P.; Frøyland, L.; Kristiansen, K.; et al. Dietary Eicosapentaenoic Acid Supplementation Accentuates Hepatic Triglyceride Accumulation in Mice with Impaired Fatty Acid Oxidation Capacity. Biochim. Biophys. Acta Lipids Lipid Metab. 2013, 1831, 291–299. [Google Scholar] [CrossRef]
- Lim, E.J.; Do, G.-M.; Shin, J.H.; Kwon, O. Protective Effects of Acanthopanax divaricatus Vat. Albeofructus and Its Active Compound on Ischemia–Reperfusion Injury of Rat Liver. Biochem. Biophys. Res. Commun. 2013, 432, 599–605. [Google Scholar] [CrossRef]
- Pirinccioglu, A.G.; Gökalp, D.; Pirinccioglu, M.; Kizil, G.; Kizil, M. Malondialdehyde (MDA) and Protein Carbonyl (PCO) Levels as Biomarkers of Oxidative Stress in Subjects with Familial Hypercholesterolemia. Clin. Biochem. 2010, 43, 1220–1224. [Google Scholar] [CrossRef]
- Braissant, O.; Foufelle, F.; Scotto, C.; Dauça, M.; Wahli, W. Differential Expression of Peroxisome Proliferator-Activated Receptors (PPARs): Tissue Distribution of PPAR-Alpha, -Beta, and -Gamma in the Adult Rat. Endocrinology 1996, 137, 354–366. [Google Scholar] [CrossRef]
- Gandarillas, M.; Matus, J.T.; Márquez-Hernández, R.I.; Vargas-Bello-Pérez, E. Development of Insulin Resistance in Horses (Equus caballus): Etiologic and Molecular Aspects. Cienc. Investig. Agrogenom. 2015, 42, 125–137. [Google Scholar] [CrossRef]
- Chakravarthy, M.V.; Pan, Z.; Zhu, Y.; Tordjman, K.; Schneider, J.G.; Coleman, T.; Turk, J.; Semenkovich, C.F. “New” Hepatic Fat Activates PPARα to Maintain Glucose, Lipid, and Cholesterol Homeostasis. Cell Metab. 2005, 1, 309–322. [Google Scholar] [CrossRef]
- Corcoran, J.; Winter, M.J.; Lange, A.; Cumming, R.; Owen, S.F.; Tyler, C.R. Effects of the Lipid Regulating Drug Clofibric Acid on PPARα-Regulated Gene Transcript Levels in Common Carp (Cyprinus carpio) at Pharmacological and Environmental Exposure Levels. Aquat. Toxicol. 2015, 161, 127–137. [Google Scholar] [CrossRef]
- Zheng, J.L.; Zhuo, M.Q.; Luo, Z.; Pan, Y.X.; Song, Y.F.; Huang, C.; Zhu, Q.L.; Hu, W.; Chen, Q.L. Peroxisome Proliferator-Activated Receptor Gamma (PPARγ) in Yellow Catfish Pelteobagrus fulvidraco: Molecular Characterization, MRNA Expression and Transcriptional Regulation by Insulin In Vivo and In Vitro. Gen. Comp. Endocrinol. 2015, 212, 51–62. [Google Scholar] [CrossRef]
- Ning, L.J.; He, A.Y.; Li, J.M.; Lu, D.L.; Jiao, J.G.; Li, L.Y.; Li, D.L.; Zhang, M.L.; Chen, L.Q.; Du, Z.Y. Mechanisms and Metabolic Regulation of PPARα Activation in Nile Tilapia (Oreochromis niloticus). Biochim. Biophys. Acta Mol. Cell Biol. Lipids. 2016, 1861, 1036–1048. [Google Scholar] [CrossRef]
- Tontonoz, P.; Spiegelman, B.M. Fat and beyond: The Diverse Biology of PPAR Gamma. Annu. Rev. Biochem. 2008, 77, 289–312. [Google Scholar] [CrossRef]
- Tontonoz, P.; Hu, E.; Spiegelman, B.M. Stimulation of Adipogenesis in Fibroblasts by PPARγ2, a Lipid-Activated Transcription Factor. Cell 1994, 79, 1147–1156. [Google Scholar] [CrossRef]
- Barroso, I.; Gurnell, M.; Crowley, V.E.F.; Agostini, M.; Schwabe, J.W.; Soos, M.A.; Maslen, G.L.; Williams, T.D.M.; Lewis, H.; Schafer, A.J.; et al. Dominant Negative Mutations in Human PPARγ Associated with Severe Insulin Resistance, Diabetes Mellitus and Hypertension. Nature 1999, 402, 880–883. [Google Scholar] [CrossRef]
- Córsico, B.; Liou, H.L.; Storch, J. The α-Helical Domain of Liver Fatty Acid Binding Protein Is Responsible for the Diffusion-Mediated Transfer of Fatty Acids to Phospholipid Membranes. Biochemistry 2004, 43, 3600–3607. [Google Scholar] [CrossRef]
- Murota, K.; Storch, J. Uptake of Micellar Long-Chain Fatty Acid and Sn-2-Monoacylglycerol into Human Intestinal Caco-2 Cells Exhibits Characteristics of Protein-Mediated Transport. J. Nutr. 2005, 135, 1626–1630. [Google Scholar] [CrossRef]
- Murai, A.; Furuse, M.; Kitaguchi, K.; Kusumoto, K.; Nakanishi, Y.; Kobayashi, M.; Horio, F. Characterization of Critical Factors Influencing Gene Expression of Two Types of Fatty Acid-Binding Proteins (L-FABP and Lb-FABP) in the Liver of Birds. Comp. Biochem. Physiol. Part A Mol. Integr. Physiol. 2009, 154, 216–223. [Google Scholar] [CrossRef]
- Wang, Z.; Yue, Y.X.; Liu, Z.M.; Yang, L.Y.; Li, H.; Li, Z.J.; Li, G.X.; Wang, Y.-B.; Tian, Y.-D.; Kang, X.-T.; et al. Genome-Wide Analysis of the FABP Gene Family in Liver of Chicken (Gallus gallus): Identification, Dynamic Expression Profile, and Regulatory Mechanism. Int. J. Mol. Sci. 2019, 20, 5948. [Google Scholar] [CrossRef]
- Lamon-Fava, S.; Diffenderfer, M.R.; Barrett, P.H.R.; Buchsbaum, A.; Nyaku, M.; Horvath, K.V.; Asztalos, B.F.; Otokozawa, S.; Ai, M.; Matthan, N.R.; et al. Extended-Release Niacin Alters the Metabolism of Plasma Apolipoprotein (Apo) A-I and ApoB-Containing Lipoproteins. Arterioscler. Thromb. Vasc. Biol. 2008, 28, 1672–1678. [Google Scholar] [CrossRef][Green Version]
- Kim, C.; Lee, J.; Park, S.W.; Kim, K.; Lee, M.W.; Paik, S.; Jang, A.S.; Kim, D.J.; Uh, S.; Kim, Y.; et al. Attenuation of Cigarette Smoke–Induced Emphysema in Mice by Apolipoprotein A-1 Overexpression. Am. J. Respir. Cell Mol. Biol. 2016, 54, 91–102. [Google Scholar] [CrossRef]




| Control | 0.1‰ | 0.2‰ | 0.4‰ | 0.8‰ | 1.6‰ | |
|---|---|---|---|---|---|---|
| Ingredients | ||||||
| Fish meal | 10.00 | 10.00 | 10.00 | 10.00 | 10.00 | 10.00 |
| Wheat middling | 10.60 | 10.60 | 10.60 | 10.60 | 10.60 | 10.60 |
| Corn starch | 16.80 | 16.80 | 16.80 | 16.80 | 16.80 | 16.80 |
| Soybean oil | 5.00 | 5.00 | 5.00 | 5.00 | 5.00 | 5.00 |
| Soybean meal | 16.00 | 16.00 | 16.00 | 16.00 | 16.00 | 16.00 |
| Cottonseed meal | 16.00 | 16.00 | 16.00 | 16.00 | 16.00 | 16.00 |
| Rapeseed meal | 16.00 | 16.00 | 16.00 | 16.00 | 16.00 | 16.00 |
| Vitamin premix | 0.50 | 0.50 | 0.50 | 0.50 | 0.50 | 0.50 |
| Mineral premix | 0.50 | 0.50 | 0.50 | 0.50 | 0.50 | 0.50 |
| Choline chloride | 0.50 | 0.50 | 0.50 | 0.50 | 0.50 | 0.50 |
| Sodium vitamin C phosphate | 0.20 | 0.20 | 0.20 | 0.20 | 0.20 | 0.20 |
| Ca(H2PO4)2 | 1.50 | 1.50 | 1.50 | 1.50 | 1.50 | 1.50 |
| Microcrystalline cellulose | 6.40 | 6.39 | 6.38 | 6.36 | 6.32 | 6.24 |
| AS water extract | 0.00 | 0.01 | 0.02 | 0.04 | 0.08 | 0.16 |
| total | 100 | 100 | 100 | 100 | 100 | 100 |
| Nutrient composition (%, DM) | ||||||
| Dry matter | 92.61 | 92.60 | 92.94 | 92.88 | 92.83 | 93.02 |
| Crude protein | 28.15 | 28.54 | 28.88 | 28.72 | 28.52 | 28.77 |
| Crude Lipid | 6.79 | 6.72 | 6.7 | 6.7 | 6.71 | 6.76 |
| Ash | 5.32 | 5.15 | 5.45 | 5.28 | 5.38 | 5.41 |
| Name | Primer Sequence (5′-3′) |
|---|---|
| PPARα * | F: 5′-TCCAAAAGAAGAACCGAAACA-3′ R: 5′-TTCCACCTCTTTCTCAACCAT-3′ |
| PPARγ | F: 5′-TTTACCCATCAAACTGACCAC-3′ R: 5′-GAGGAAATGGAGGCGTAGT-3′ |
| APOA1b | F: 5′-TGGCTCTAGCTCTCACCCTT-3′ R: 5′-AGAGCCTTTGACAAGCGAAGA-3′ |
| FABP10a | F: 5′-GTGGCCAAAGACATCAAGCC-3′ R: 5′-ACCTTGATCTTCCTTCCGTCC-3′ |
| β-actin | F: 5′-CCACACAGTGCCCATCTACGA-3′ R: 5′-CCACGCTCTGTCAGGATCTTCA-3′ |
| ASW (‰) | 0 | 0.1 | 0.2 | 0.4 | 0.8 | 1.6 |
|---|---|---|---|---|---|---|
| IBW (g) | 2.003 ± 0.003 | 2.000 ± 0.015 | 2.007 ± 0.009 | 2.00 ± 0.012 | 2.013 ± 0.007 | 1.993 ± 0.007 |
| FBW (g) | 74.28 ± 0.73 a,* | 76.07 ± 1.10 a | 77.87 ± 2.08 ab | 83.87 ± 3.57 bc | 86.48 ± 2.33 c | 79.58 ± 0.72 ab |
| SGR (%/d) | 6.23 ± 0.02 a | 6.27 ± 0.03 a | 6.31 ± 0.05 ab | 6.44 ± 0.06 bc | 6.48 ± 0.05 c | 6.36 ± 0.02 abc |
| HSI (%) | 1.39 ± 0.08 c | 1.26 ± 0.09 bc | 1.17 ± 0.07 abc | 1.15 ± 0.08 ab | 1.01 ± 0.08 a | 1.16 ± 0.06 abc |
| FCR | 1.307 ± 0.023 | 1.290 ± 0.012 | 1.270 ± 0.012 | 1.267 ± 0.012 | 1.253 ± 0.014 | 1.250 ± 0.006 |
| SR (%) | 95.56 ± 1.11 | 97.78 ± 1.11 | 96.67 ± 0.00 | 97.78 ± 2.22 | 97.78 ± 1.11 | 98.89 ± 1.11 |
| ASW (‰) | 0 | 0.1 | 0.2 | 0.4 | 0.8 | 1.6 |
|---|---|---|---|---|---|---|
| WBC (109/L) | 215.74 ± 4.76 a,* | 222.99 ± 6.39 a | 230.69 ± 3.16 ab | 243.59 ± 2.89 bc | 253.62 ± 7.03 c | 229.82 ± 6.83 ab |
| RBC (1012/L) | 2.65 ± 0.12 | 2.71 ± 0.11 | 2.75 ± 0.11 | 2.80 ± 0.07 | 2.80 ± 0.08 | 2.84 ± 0.10 |
| Hb (g/L) | 92.67 ± 3.62 | 94.08 ± 4.90 | 94.08 ± 3.30 | 95.83 ± 3.47 | 96.00 ± 5.61 | 100.75 ± 3.96 |
| Ht (‰) | 31.93 ± 1.42 | 31.69 ± 2.25 | 33.72 ± 0.72 | 34.54 ± 1.38 | 34.48 ± 1.68 | 32.78 ± 1.78 |
| ASW (‰) | 0 | 0.1 | 0.2 | 0.4 | 0.8 | 1.6 |
|---|---|---|---|---|---|---|
| ALT (U/L) | 1.84 ± 0.09 c,* | 1.70 ± 0.11 bc | 1.59 ± 0.12 abc | 1.36 ± 0.08 a | 1.46 ± 0.11 ab | 1.55 ± 0.08 abc |
| AST (U/L) | 1.88 ± 0.22 c | 1.67 ± 0.17 bc | 1.66 ± 0.17 bc | 1.29 ± 0.16 ab | 0.95 ± 0.12 a | 1.51 ± 0.20 bc |
| TP (g/L) | 7.19 ± 0.50 | 7.61 ± 0.43 | 7.76 ± 0.21 | 8.40 ± 0.41 | 8.17 ± 0.47 | 7.64 ± 0.38 |
| TG (mmol/L) | 1.31 ± 0.11 c | 1.16 ± 0.09 bc | 1.06 ± 0.10 abc | 0.88 ± 0.07 a | 0.93 ± 0.06 ab | 1.09 ± 0.10 abc |
| TC (mmol/L) | 1.61 ± 0.10 c | 1.49 ± 0.12 bc | 1.33 ± 0.09 bc | 1.04 ± 0.07 a | 1.22 ± 0.07 ab | 1.38 ± 0.11 bc |
| Glu (mmol/L) | 1.20 ± 0.11 | 1.13 ± 0.08 | 1.07 ± 0.08 | 1.00 ± 0.08 | 0.90 ± 0.07 | 1.07 ± 0.06 |
| HDL-C (mmol/L) | 1.05 ± 0.04 a | 1.17 ± 0.06 a | 1.29 ± 0.09 bc | 1.41 ± 0.05 c | 1.38 ± 0.07 bc | 1.31 ± 0.12 bc |
| LDL-C (mmol/L) | 2.34 ± 0.09 c | 2.07 ± 0.13 b | 1.98 ± 0.10 a | 1.78 ± 0.12 ab | 1.88 ± 0.13 a | 1.99 ± 0.14 ab |
| ASW (‰) | 0 | 0.1 | 0.2 | 0.4 | 0.8 | 1.6 |
|---|---|---|---|---|---|---|
| TC (mmol/L) | 16.01 ± 0.82 c,* | 15.39 ± 0.81 bc | 13.97 ± 0.56 abc | 13.65 ± 0.66 ab | 13.00 ± 0.54 a | 14.06 ± 0.77 abc |
| TG (mmol/L) | 23.56 ± 2.48 b | 23.35 ± 2.94 b | 17.37 ± 1.63 ab | 16.35 ± 2.00 a | 13.71 ± 1.21 a | 18.07 ± 2.30 ab |
| FFA (mmol/L) | 232.69 ± 24.98 c | 210.56 ± 20.85 bc | 182.23 ± 21.67 abc | 160.05 ± 23.07 ab | 130.46 ± 16.69 a | 198.83 ± 24.55 bc |
| MDA (mmol/L) | 60.35 ± 5.99 b | 51.68 ± 4.36 ab | 45.85 ± 5.99 ab | 36.79 ± 4.97 a | 39.66 ± 5.59 a | 47.59 ± 4.80 ab |
| SOD (ng/mg prot) | 3.49 ± 0.23 a | 3.74 ± 0.20 ab | 4.14 ± 0.26 abc | 4.51 ± 0.22 c | 4.41 ± 0.22 bc | 3.91 ± 0.24 abc |
| CAT (ng/mg prot) | 1.40 ± 0.08 a | 1.60 ± 0.13 ab | 1.62 ± 0.11 ab | 1.90 ± 0.10 b | 1.86 ± 0.10 b | 1.68 ± 0.12 ab |
| ASW (‰) | 0 | 0.4 | 1.6 |
|---|---|---|---|
| Lipid droplet (Object/Total, %) | 11.85 ± 0.69 c,* | 3.34 ± 0.26 a | 7.84 ± 0.42 b |
Publisher’s Note: MDPI stays neutral with regard to jurisdictional claims in published maps and institutional affiliations. |
© 2022 by the authors. Licensee MDPI, Basel, Switzerland. This article is an open access article distributed under the terms and conditions of the Creative Commons Attribution (CC BY) license (https://creativecommons.org/licenses/by/4.0/).
Share and Cite
Li, M.; Qiang, J.; Zhu, X.; Bao, J.; Tao, Y.; Zhu, H. Effect of Siberian Ginseng Water Extract as a Dietary Additive on Growth Performance, Blood Biochemical Indexes, Lipid Metabolism, and Expression of PPARs Pathway-Related Genes in Genetically Improved Farmed Tilapia (Oreochromis niloticus). Fishes 2022, 7, 149. https://doi.org/10.3390/fishes7040149
Li M, Qiang J, Zhu X, Bao J, Tao Y, Zhu H. Effect of Siberian Ginseng Water Extract as a Dietary Additive on Growth Performance, Blood Biochemical Indexes, Lipid Metabolism, and Expression of PPARs Pathway-Related Genes in Genetically Improved Farmed Tilapia (Oreochromis niloticus). Fishes. 2022; 7(4):149. https://doi.org/10.3390/fishes7040149
Chicago/Turabian StyleLi, Mingxiao, Jun Qiang, Xiaowen Zhu, Jingwen Bao, Yifan Tao, and Haojun Zhu. 2022. "Effect of Siberian Ginseng Water Extract as a Dietary Additive on Growth Performance, Blood Biochemical Indexes, Lipid Metabolism, and Expression of PPARs Pathway-Related Genes in Genetically Improved Farmed Tilapia (Oreochromis niloticus)" Fishes 7, no. 4: 149. https://doi.org/10.3390/fishes7040149
APA StyleLi, M., Qiang, J., Zhu, X., Bao, J., Tao, Y., & Zhu, H. (2022). Effect of Siberian Ginseng Water Extract as a Dietary Additive on Growth Performance, Blood Biochemical Indexes, Lipid Metabolism, and Expression of PPARs Pathway-Related Genes in Genetically Improved Farmed Tilapia (Oreochromis niloticus). Fishes, 7(4), 149. https://doi.org/10.3390/fishes7040149

