Nutrition During Gestation in 2 Species of Viviparous Fishes (Poeciliidae): Poecilia latipinna (Lecithotrophic) and Heterandria formosa (Matrotrophic)
Abstract
1. Introduction
2. Material and Methods
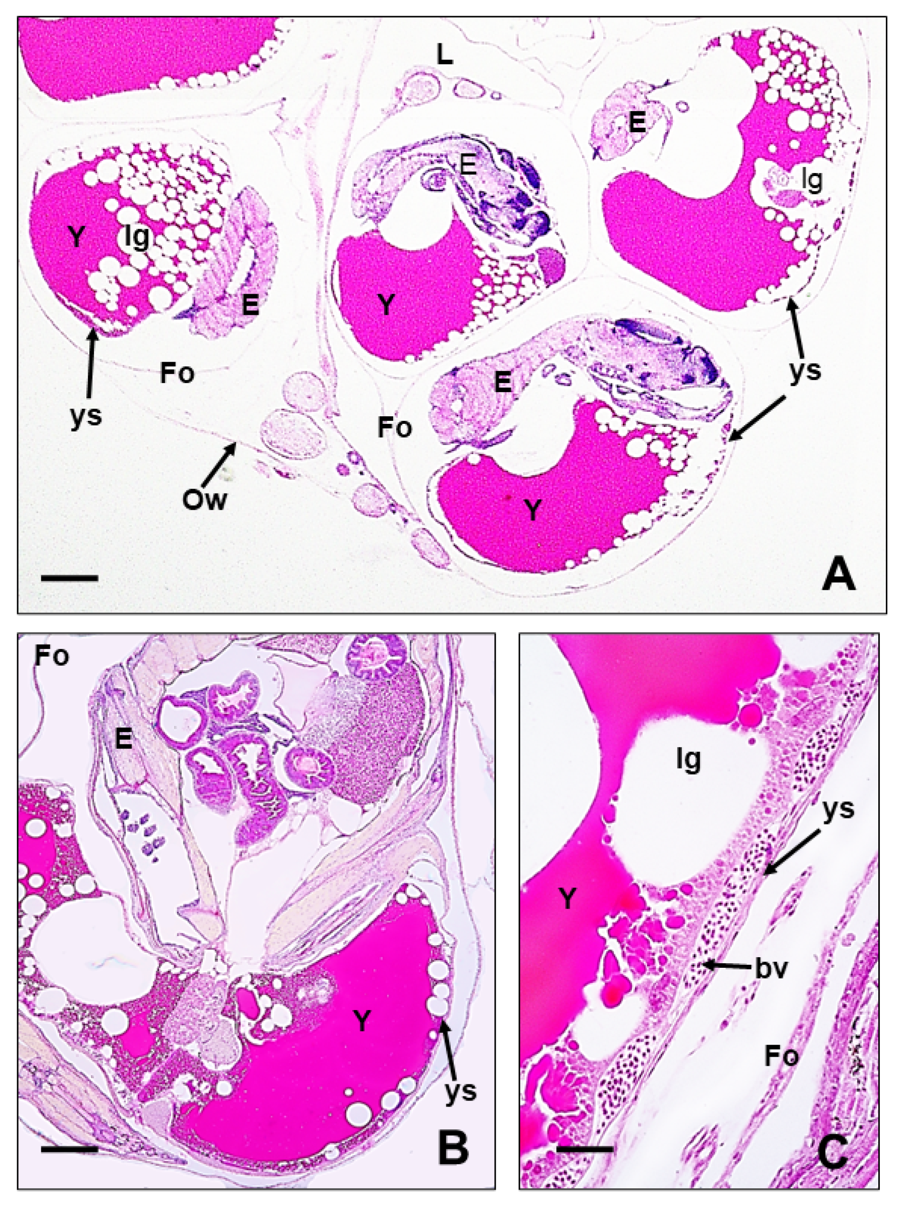
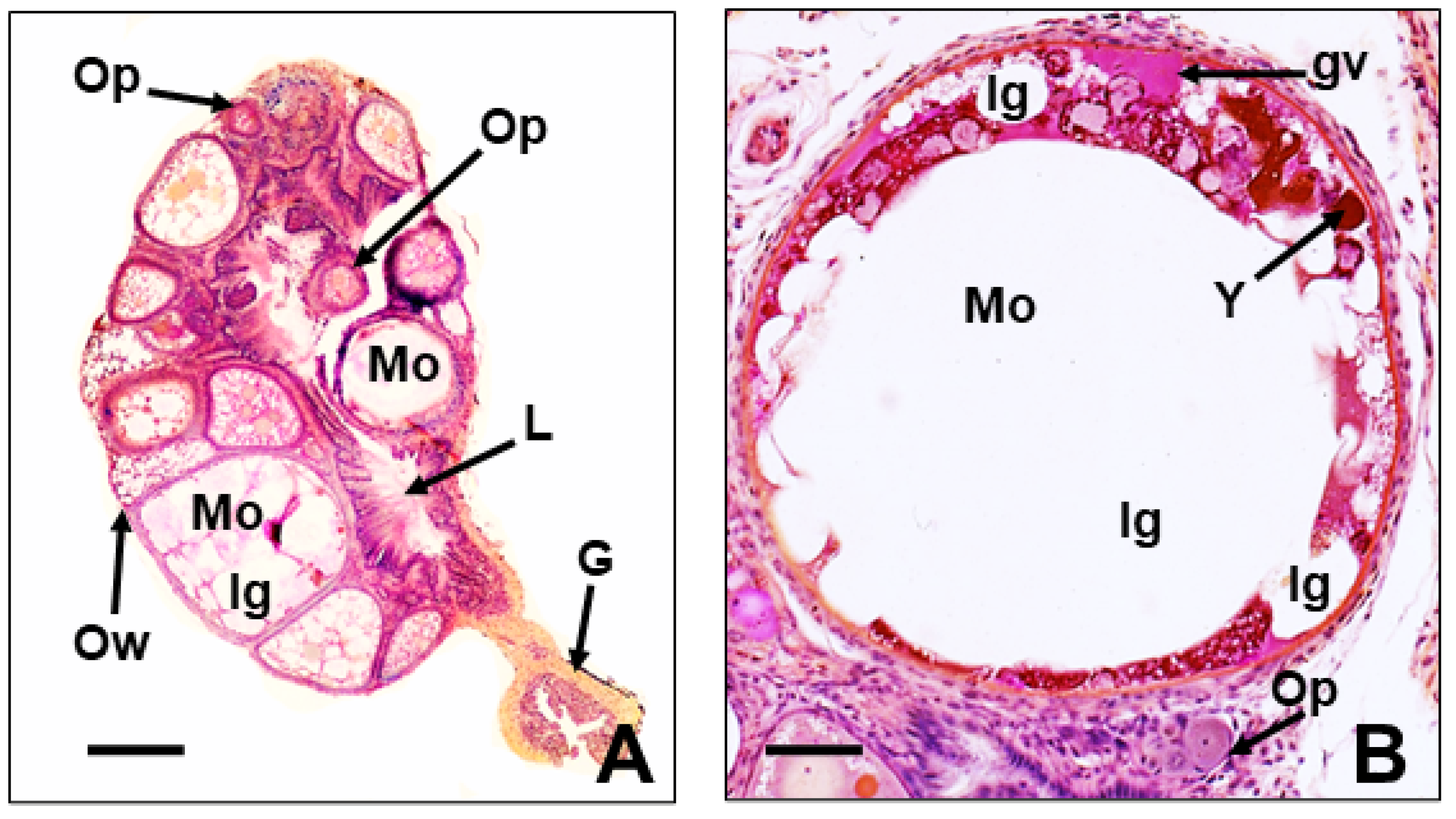
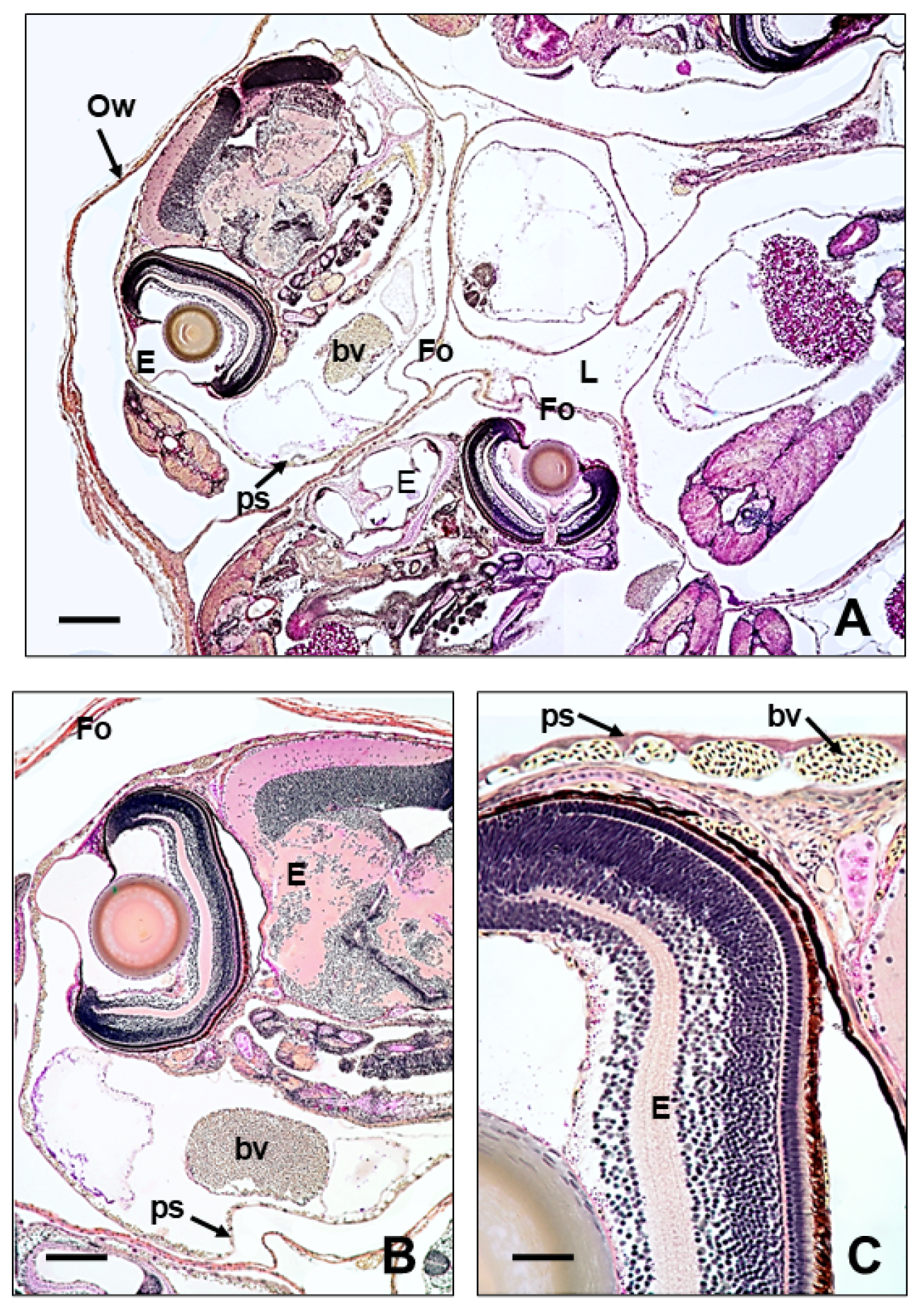
3. Results
4. Discussion
5. Conclusions
Author Contributions
Funding
Institutional Review Board Statement
Informed Consent Statement
Data Availability Statement
Acknowledgments
Conflicts of Interest
References
- Wourms, J.P.; Lombardi, J. Reflections on the evolution of piscine viviparity. Am. Zool. 1992, 32, 276–293. [Google Scholar] [CrossRef]
- Wourms, J.P. Functional morphology, development, and evolution of trophotaeniae. In Viviparous Fishes; Uribe, M.C., Grier, H.J., Eds.; New Life Publications: Homestead, FL, USA, 2005; pp. 217–242. [Google Scholar]
- Arcanjo, R.B.; de Souza, L.P.; Rezende, C.F.; Silva, J.R.F. Embryonic development and nourishment in the viviparous fish Poecilia vivipara (Cyprinodontiformes: Poeciliidae). Acta Zool. 2014, 95, 493–500. [Google Scholar] [CrossRef]
- Uribe, M.C.; De la Rosa-Cruz, G.; García Alarcón, A.; Campuzano-Caballero, J.C. Intraovarian Gestation in Viviparous Teleosts: Unique Type of Gestation among Vertebrates. In Animal Reproduction; Bozkurt, Y., Ed.; IntechOpen: London, UK, 2022; pp. 143–160. [Google Scholar]
- Turner, C.L. Viviparity in teleost fishes. Sci. Mon. 1947, 65, 508–518. [Google Scholar]
- Thibault, R.E.; Schultz, R.J. Reproductive adaptations among viviparous fishes (Cyprinodontiformes Poeciliidae). Evolution 1978, 32, 320–333. [Google Scholar] [CrossRef] [PubMed]
- Parenti, L.R. A phylogenetic and biogeographic analysis of Cyprinodontiformes fishes (Teleostei, Atherinomorpha). Bull. Am. Museum Nat. Hist. 1981, 168, 335–557. [Google Scholar]
- Wourms, J.P.; Grove, B.D.; Lombardi, J. The maternal-embryonic relationships in viviparous fishes. In Fish Physiology; Hoar, W.S., Randall, D.J., Eds.; Academic Press: Cambridge, MA, USA, 1988; Volume 11, pp. 1–134. [Google Scholar]
- Campuzano-Caballero, J.C.; Uribe, M.C. Functional morphology of the gonoduct of the viviparous teleost Poeciliopsis gracilis (Heckel, 1848) (Poeciliidae). J. Morphol. 2017, 278, 1647–1655. [Google Scholar] [CrossRef] [PubMed]
- Santamaría-Martín, C.J.; Plaul, S.E.; Campuzano-Caballero, J.C.; Uribe, M.C.; Barbeito, C.G. Structure of the gonoduct of the viviparous teleost Cnesterodon decemmaculatus (Jenyns, 1842) (Poeciliidae). J. Morphol. 2021, 282, 533–542. [Google Scholar] [CrossRef]
- Amoroso, E.C. Viviparity in fishes. Symp. Zool. Soc. 1960, 1, 153–181. [Google Scholar]
- Parenti, L.R. The phylogeny of atherinomorphs: Evolution of a novel fish reproductive system. In Viviparous Fishes; Uribe, M.C., Grier, H.J., Eds.; New Life Publications: Homestead, FL, USA, 2005; pp. 13–30. [Google Scholar]
- Uribe, M.C.; De la Rosa-Cruz, G.; García Alarcón, A.; Campuzano Caballero, J.C.; Guzmán Bárcenas, M.G. Review: Structures associated with oogenesis and embryonic development during intraovarian gestation in viviparous teleosts (Poeciliidae). Fishes 2019, 4, 35. [Google Scholar] [CrossRef]
- Rosen, D.E.; Bailey, R.M. The poeciliid fishes (Cyprinodontiformes), their structure, zoogeography and systematics. Bull. Am. Museum Nat. Hist. 1963, 126, 11–76. [Google Scholar]
- Hrbek, T.; Seekinger, J.; Meyer, A. A phylogenetic and biogeographic perspective on the evolution of poeciliid fishes. Mol. Phylogenet. Evol. 2007, 43, 986–998. [Google Scholar] [CrossRef] [PubMed]
- Froese, R.; Pauly, D. (Eds.) Fish Base; World Wide Web Electronic Publication: Lexington, MA, USA, 2025; Available online: www.fishbase.org (accessed on 30 August 2025).
- Nelson, J.S.; Grande, T.C.; Wilson, M.V.H. Fishes of the World, 5th ed.; John Wiley & Sons: New York, NY, USA, 2016; pp. 378–380. [Google Scholar]
- Koya, Y.; Inoue, M.; Naruse, T.; Sawaguchi, S. Dynamics of oocyte and embryonic development during ovarian cycle of the viviparous mosquitofish Gambusia affinis. Fish. Sci. 2000, 66, 63–70. [Google Scholar] [CrossRef]
- Grier, H.J.; Uribe, M.C.; Patiño, R. Chapter 2. The ovary, folliculogenesis and oogenesis in teleosts. In Reproductive Biology and Phylogeny of Fish (Agnatha and Bony Fishes); Jamieson, B.G.M., Ed.; Science Publishers, Inc.: Enfield, NH, USA; Plymouth, UK, 2009; pp. 25–84. [Google Scholar]
- Uribe, M.C.; Grier, H.J.; De La Rosa-Cruz, G.; García-Alarcón, A. Modifications in ovarian and testicular morphology associated with viviparity in teleosts. In Reproductive Biology and Phylogeny of Fishes (Agnathans and Bony Fishes); Jamieson, B.G.M., Ed.; Science Publishers: Enfield, NH, USA; Plymouth, UK, 2009; pp. 85–117. [Google Scholar]
- Grier, H.J.; Uribe, M.C.; Parenti, L.R. Germinal epithelium, folliculogenesis, and postovulatory follicles in ovaries of rainbow trout, Oncorhynchus mykiss (Walbaum, 1792) (Teleostei, Protacanthopterygii, Salmoniformes). J. Morphol. 2007, 268, 293–310. [Google Scholar] [CrossRef] [PubMed]
- Grier, H.J.; Uribe, M.C.; Parenti, L.R.; Lo Nostro, F.L.; Mims, S.D. Constancy of the germinal epithelium through 500 million years of vertebrate evolution. J. Morphol. 2016, 277, 1014–1044. [Google Scholar] [CrossRef]
- Wallace, R.A.; Selman, K. Cellular and dynamic aspects of oocyte growth in teleosts. Am. Zool. 1981, 21, 325–343. [Google Scholar] [CrossRef]
- Selman, K.; Wallace, R.A. Cellular aspects of oocyte growth in teleosts. Zool. Sci. 1989, 6, 211–231. [Google Scholar]
- Ponce de León, J.L.P.; Rodríguez, R.; Acosta, M.; Uribe, M.C. Egg size and its relationship with fecundity, newborn length and female size in Cuban poeciliid fishes (Teleostei: Cyprinodontiformes). Ecol. Freshw. Fish. 2011, 20, 243–250. [Google Scholar] [CrossRef]
- Blackburn, D.G.; Starck, J.M. Morphological specializations for fetal maintenance in viviparous vertebrates: An introduction and historical retrospective. J. Morphol. 2015, 276, E1–E16. [Google Scholar] [CrossRef]
- Pollux, B.J.A.; Pires, M.N.; Banet, A.I.; Reznick, D.N. Evolution of placentas in the fish family Poeciliidae: An empirical study of macroevolution. Annu. Rev. Ecol. Evol. Syst. 2009, 40, 271–289. [Google Scholar] [CrossRef]
- Schindler, J.F.; Hamlett, W.C. Maternal-embryonic relations in viviparous teleosts. J. Exp. Zool. 1993, 266, 378–393. [Google Scholar] [CrossRef]
- Reznick, D.N.; Callahan, H.; Llauredo, R. Maternal effects on offspring quality in poeciliid fishes. Am. Zool. 1996, 36, 147–156. [Google Scholar] [CrossRef]
- Riehl, R.; Greven, H. Tight and gap junctions in the follicle epithelium of vitellogenic oocytes in the Least killifish, Heterandria formosa (Poeciliidae). Bull. Fish Biol. 2008, 10, 93–96. [Google Scholar]
- Marsh-Matthews, E.; Deaton, R.; Brooks, M. Survey of matrotrophy in lecithotrophic poeciliids. In Viviparous Fishes II; Uribe, M.C., Grier, H.J., Eds.; New Life Publications: Homestead, FL, USA, 2010; pp. 255–258. [Google Scholar]
- Pires, M.N.; Arendt, J.; Reznick, D.N. The evolution of placentas and superfetation in the fish genus Poecilia (Cyprinodontiformes: Poeciliidae: Subgenera Micropoecilia and Acanthophacelus). Biol. J. Linnean Soc. 2010, 99, 784–796. [Google Scholar] [CrossRef]
- Kwan, L.; Fris, M.; Rodd, F.H.; Rowe, L.; Tuhela, L.; Panhuis, T.M. An examination of the variation in maternal placentae across the genus Poeciliopsis (Poeciliidae): Maternal placentae in poeciliids. J. Morphol. 2015, 276, 707–720. [Google Scholar] [CrossRef] [PubMed]
- Pires, M.N.; Reznick, D.N. Life-history evolution in the fish genus Poecilia (Poeciliidae: Cyprinodontiformes: Subgenus Pamphorichthys): An evolutionary origin of extensive matrotrophy decoupled from superfetation. Biol. J. Linnean Soc. 2018, 125, 547–560. [Google Scholar] [CrossRef]
- Ponce de León, J.L.P.; Uribe, M.C. Morphology of yolk and pericardial sacs in lecithotrophic and matrotrophic nutrition in poeciliid fishes. J. Morphol. 2021, 282, 887–899. [Google Scholar] [CrossRef] [PubMed]
- Schrader, M.; Travis, J. Population differences in pre- and post-fertilization offspring provisioning in the least killifish, Heterandria formosa. Copeia 2005, 2005, 649–656. [Google Scholar] [CrossRef]
- Lombardi, J. Postzygotic maternal influences and the maternal-embryonic relationship of viviparous fishes. Am. Zool. 1996, 36, 106–115. [Google Scholar] [CrossRef]
- Pollux, B.J.A.; Reznick, D.N. Matrotrophy limits a female’s ability to adaptively adjust offspring size and fecundity in fluctuating environments. Funct. Ecol. 2011, 25, 747–756. [Google Scholar] [CrossRef]
- Blackburn, D.G. Evolution of vertebrate viviparity and specializations for fetal nutrition: A quantitative and qualitative analysis. J. Morphol. 2015, 276, 961–990. [Google Scholar] [CrossRef]
- Fleuren, M.; Quicazán-Rubio, E.M.; van Leeuwen, J.L.; Pollux, B.J.A. Why do placentas evolve? Evidence for a morphological advantage during pregnancy in live-bearing fish. PLoS ONE 2018, 13, e0195976. [Google Scholar] [CrossRef]
- Kuzmina, I. The yolk sac as the main organ in the early stages of animal embryonic development. Front. Physiol. 2023, 14, 1185286. [Google Scholar] [CrossRef]
- Snelson, F.F., Jr.; Wetherington, J.D.; Large, H.L. The relationship between interbrood interval and yolk loading in a generalized poeciliid fish, Poecilia-latipinna. Copeia 1986, 1986, 295–304. [Google Scholar] [CrossRef]
- Scrimshaw, N.S. Embryonic growth in the viviparous poeciliid, Heterandria formosa. Biol. Bull. 1944, 87, 37–51. [Google Scholar] [CrossRef]
- Uribe, M.C.; Grier, H.J. Oogenesis of microlecithal oocytes in the viviparous teleost Heterandria formosa. J. Morphol. 2011, 272, 241–257. [Google Scholar] [CrossRef]
- Grove, B.D.; Wourms, J.P. The follicular placenta of the viviparous fish Heterandria formosa. Ultrastructure and development of the embryonic absorptive surface. J. Morphol. 1991, 209, 265–284. [Google Scholar] [CrossRef]








Disclaimer/Publisher’s Note: The statements, opinions and data contained in all publications are solely those of the individual author(s) and contributor(s) and not of MDPI and/or the editor(s). MDPI and/or the editor(s) disclaim responsibility for any injury to people or property resulting from any ideas, methods, instructions or products referred to in the content. |
© 2025 by the authors. Licensee MDPI, Basel, Switzerland. This article is an open access article distributed under the terms and conditions of the Creative Commons Attribution (CC BY) license.
Share and Cite
Uribe, M.C.; García Alarcón, A.; De la Rosa Cruz, G.; Campuzano Caballero, J.C. Nutrition During Gestation in 2 Species of Viviparous Fishes (Poeciliidae): Poecilia latipinna (Lecithotrophic) and Heterandria formosa (Matrotrophic). Fishes 2026, 11, 3. https://doi.org/10.3390/fishes11010003
Uribe MC, García Alarcón A, De la Rosa Cruz G, Campuzano Caballero JC. Nutrition During Gestation in 2 Species of Viviparous Fishes (Poeciliidae): Poecilia latipinna (Lecithotrophic) and Heterandria formosa (Matrotrophic). Fishes. 2026; 11(1):3. https://doi.org/10.3390/fishes11010003
Chicago/Turabian StyleUribe, Mari Carmen, Adriana García Alarcón, Gabino De la Rosa Cruz, and Juan Carlos Campuzano Caballero. 2026. "Nutrition During Gestation in 2 Species of Viviparous Fishes (Poeciliidae): Poecilia latipinna (Lecithotrophic) and Heterandria formosa (Matrotrophic)" Fishes 11, no. 1: 3. https://doi.org/10.3390/fishes11010003
APA StyleUribe, M. C., García Alarcón, A., De la Rosa Cruz, G., & Campuzano Caballero, J. C. (2026). Nutrition During Gestation in 2 Species of Viviparous Fishes (Poeciliidae): Poecilia latipinna (Lecithotrophic) and Heterandria formosa (Matrotrophic). Fishes, 11(1), 3. https://doi.org/10.3390/fishes11010003

