Highlights
- CRT is best performed only on well-selected patients who qualify based on current indications, and approximately 70% of patients respond favorably.
- CRT improves symptoms and decreases hospitalizations and mortality when used in addition to optimal medical therapy.
Highlights
- CRT is best performed only on well-selected patients who qualify based on current indications, and approximately 70% of patients respond favorably.
- CRT improves symptoms and decreases hospitalizations and mortality when used in addition to optimal medical therapy.
Abstract
Cardiac resynchronization therapy (CRT) in multiple and large trials has been demonstrated to improve symptoms and decrease hospitalization and mortality of patients when used in addition to optimal medical therapy. The global mechanical performance of the heart is affected in subjects with heart failure by atrio-ventricular, interventricular, or intraventricular conduction disorders, which lead to the desynchronization of electrical activity. Cardiac resynchronization therapy can effectively improve the clinical and haemodynamic status of these patients. According to literature data, CRT is performed only on well-selected patients (who qualify for CRT based on current indications), and approximately 70% of those patients respond favorably. We present the case of a patient responsive to cardiac resynchronization therapy which led to lowering of his NYHA classification and to improvement of left ventricle hemodynamics. The benefits of cardiac resynchronization therapy were multiple in this case, including improved tolerance to physical exercise and a decreased rate of hospitalization, which overall led to improved quality of life.
Introduction
The management of chronic heart failure has the following primary objectives: symptom relief, preventing major morbidity, decreasing mortality, and preventing disease progression by preventing the evolution of the left ventricular dysfunction in heart failure clinically objectified [1,2].
The most common causes leading to heart failure are represented by coronary artery disease (including but not limited to previous myocardial infarction), atrial fibrillation, high blood pressure, valvular heart disease, infections, excess alcohol use, and cardiomyopathy related to unknown causes. All such causes lead to heart failure by changing the structure and/or functioning of the heart. Chronic heart failure is generally a common, expensive, and potentially fatal condition for some individuals [3].
The global mechanical performance of the heart is affected by heart muscle impairment and conduction disorders (atrio-ventricular, interventricular or intraventricular), which lead to desynchronization of the electrical activity and thus to heart failure. An effective cardiac resynchronization therapy is generally able to improve not only haemodynamic status but also the clinical condition of the patient. Benefits of cardiac resynchronization therapy include an improved tolerance to physical exercise, reduced heart remodeling, decreased mortality rate, and a decreased rate of hospitalization in patients with sinus rhythm [4,5].
This paper presents the case of a responder patient to cardiac resynchronization therapy, characterized by a significant decrease of symptomatology and substantial increased capacity for physical effort, thereby improving the patient’s quality of life.
Case Report
Our presentation involves a 66-year-old patient, former smoker, hypertensive with maximum pressure values of 250 mmHg since 1999, with diabetes since 2004 in treatment with oral antidiabetic drugs, also known with inferior myocardial infarction in 1996, anterior myocardial infarction in 2013, with ambulatory treatment correctly taken, who came to the cardiology service for dyspnea of rest with orthopnea, accompanied by fatigue, headache, and dizziness.
Regarding his physical examination, the patient was a fatigued, well nourished, awake and orientated, normocephalic, atraumatic individual with both pupils equally round and reactive to light and accommodation. His oculomotricity was normal, he presented intact tympanic membrane bilaterally, mucous membranes moist and anicteric sclera. His neck did not present any lymphadenopathy, carotid bruit, or jugular vein distension. Regarding the cardiovascular examination, he presented precordial area with a normal aspect, apical impulse in the VIth left intercostal space outside the left medioclavicular line, he had a regular heart rhythm (about 83 beats per minute) and a 3/6 systolic murmur in the Vth left intercostal space on the left medioclavicular line, with radiation in the axilla and no hepatojugular reflux; peripheral pulse was present. His blood pressure was 130/80 mmHg. Lung examination revealed: murmur slightly diminished bilateral basal, rare rales on both pulmonary areas, no alteration in the tactile fremitus and normal percution. The abdomen had no pulsatile masses, being non-distended and resonant to percussion; liver and spleen had normal dimensions. I-ntact, normal colored and with normal temperature teguments, cyanosis was not present at the extremities. Neurological and psychiatric examinations were normal.
Regarding laboratory tests, the patient presented the following: at complete blood count a value of 13.7 g/dl for hemoglobin, 42.4% for hematocrit, 6540/mm3 for leukocytes and 163,000/mm3 for platelets; a level of blood glucose of 168 mg/dl; slightly influenced renal function (creatinine of 1.24 mg/dl); and the constants for the hepatic function (GOT, GPT, γ-GT, ALP, total, direct and indirect bilirubin), the constants for the lipid profile (total cholesterol, triglycerides, LDL and LDH), and the values of the electrolytes (Na+, K+, Ca++, MG++, Cl−) were normal.
His 12-lead electrocardiogram (ECG) before cardiac resynchronization therapy (CRT) showed a QRS width of 175 ms (Figure 1), while after CRT QRS width was 120 ms (Figure 2).
Figure 1.
12-lead electrocardiogram (ECG) showed complete left bundle branch block (LBBB) with a QRS width of 175 ms, before therapy with a cardiac resynchronization device.
Figure 2.
12-lead electrocardiogram (ECG) after cardiac resynchronization therapy (CRT), showed a QRS width of 120 ms.
Some echocardiographic aspects revealed in the transthoracic echocardiographic examination before and after CRT are presented in Figure 3, Figure 4, Figure 5, Figure 6, Figure 7, Figure 8 and Figure 9.
Figure 3.
Assessment of myocardial strain from the apical four-chamber view, before therapy with a cardiac resynchronization device.
Figure 4.
Two-dimensional echocardiography revealed a severely impaired left ventricular (LV) function with a low LV ejection fraction (LVEF) of 10% assessed according to the modified Simpson method, before therapy with a cardiac resynchronization device.
Figure 5.
Two-dimensional echocardiography revealed an improvement in left ventricular (LV) function with a low LV ejection fraction (LVEF) of 25% assessed according to the modified Simpson method, after therapy with a cardiac resynchronization device.
Figure 6.
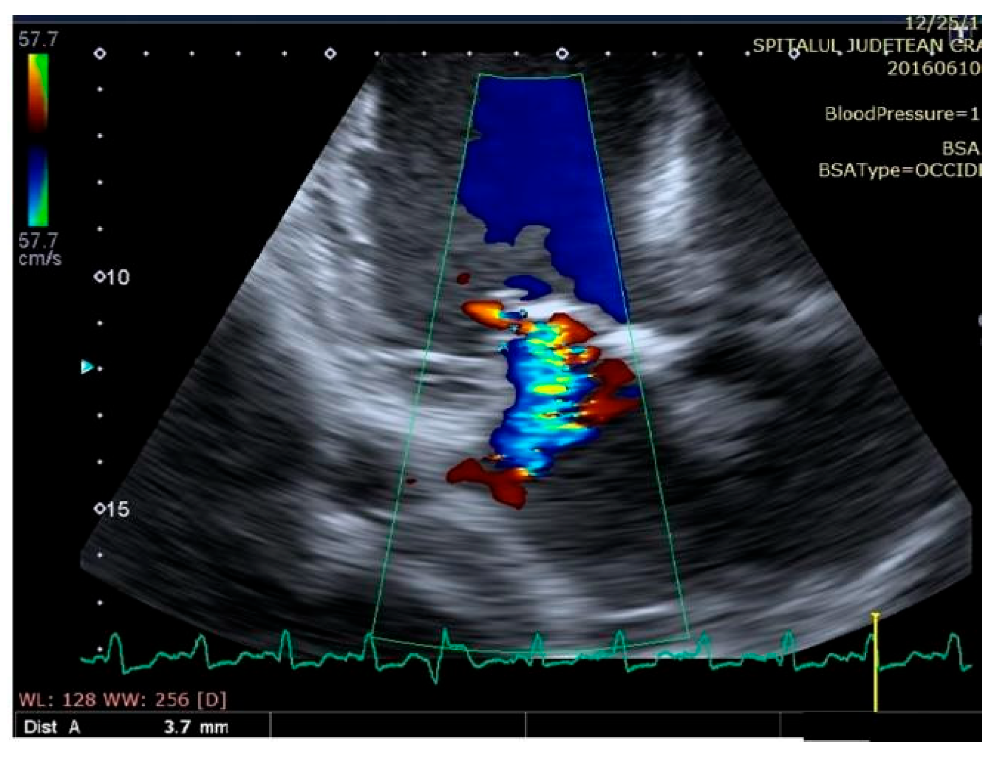
Mitral regurgitation (highlighted as multicolored mosaic pattern, green and yellow), before therapy with a cardiac resynchronization device.
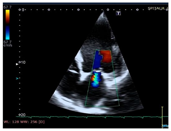
Figure 7.
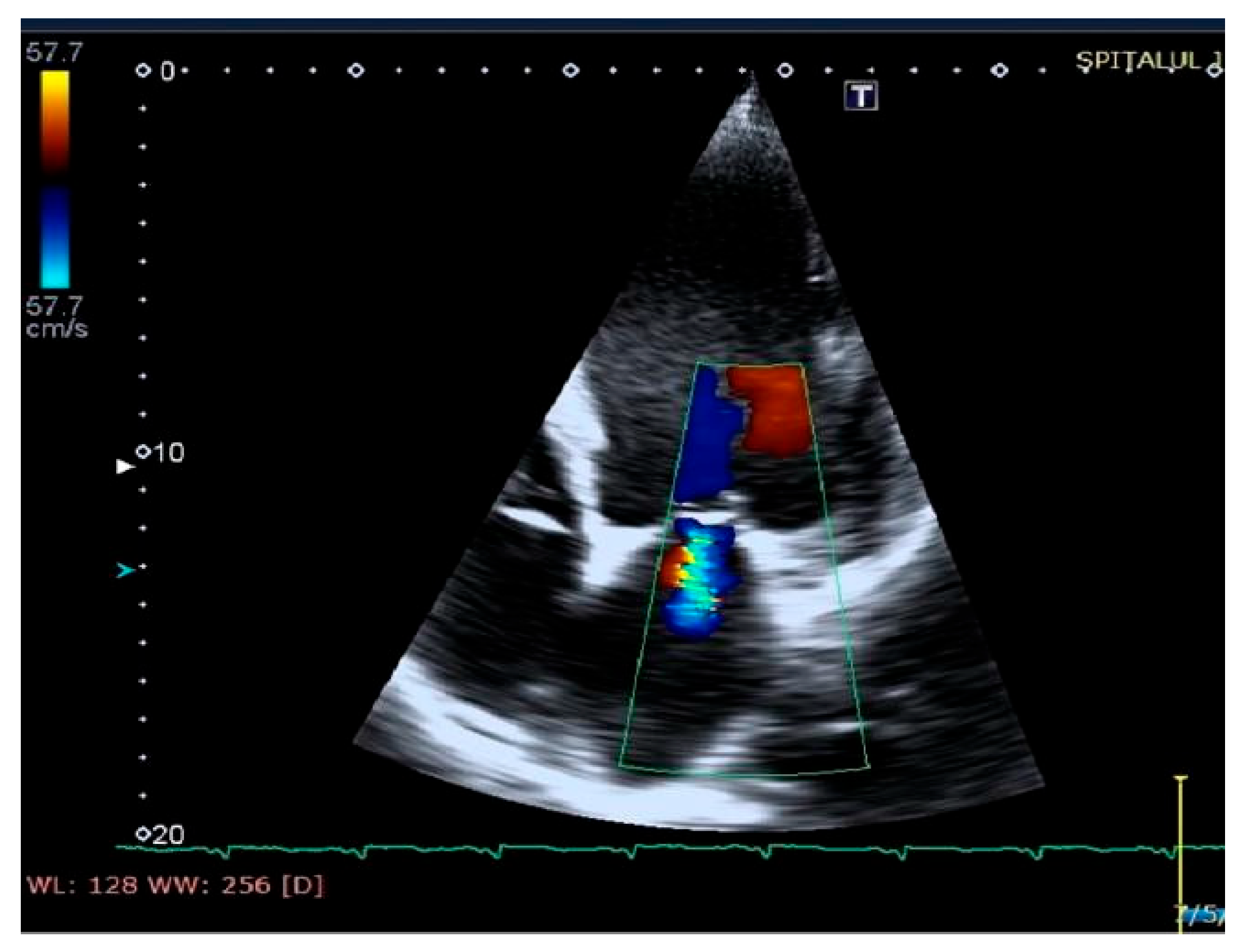
Mitral regurgitation (highlighted as multicolored mosaic pattern, green and yellow), after therapy with a cardiac resynchronization device.
Figure 8.
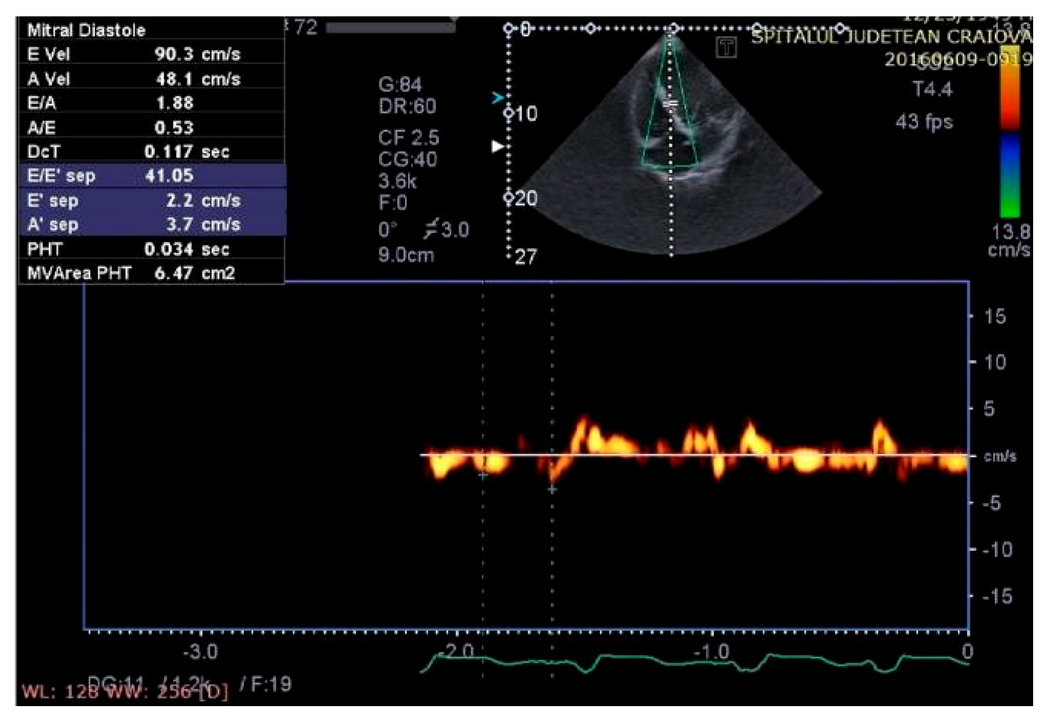
Aspect of waveforms of tissue Doppler interrogation at the interventricular septum before therapy with a cardiac resynchronization device (yellow color).
Figure 9.
Aspect of waveforms of tissue Doppler interrogation at the interventricular septum after therapy with a cardiac resynchronization device (yellow color).
Coronary arteriography (right radial approach) showed a right dominant coronary system. Left main coronary artery diffusely infiltrated, distal stenosis 50%. Left anterior descending artery with 70% ostial stenosis; 80% proximal stenosis of the left anterior descending artery appeared on an ulcerated plaque. 90% marginal I stenosis, important vessel. Left circumflex artery with 70% stenosis right after the ostium. Occlusion of the right coronary artery at the origin. Right coronary artery’s periphery is filled by the contralateral collateral circulation.
The coronary arteriography showed important trivascular lesions, graftable vessels. Thus, “off pump” surgical myocardial revascularization (with high risk) and subsequently implanting a defibrillator cardioverter with cardiac resynchronization therapy (CRT-D) were considered.
Discussion
Hemodynamic effects caused by short left or right ventricle stimulation were described for the first time about 50 years ago. However, cardiac resynchronization therapy was firstly applied in 1994, when Cazeau et al. in France and Bakker in the Netherlands described the first cases of atrium-biventricular stimulation in patients suffering from heart failure refractory to drug therapy, having no indications for cardiac stimulation [4,5,6].
Desynchronization of the electrical and mechanical activity of the heart cavities is a pathophysiological process which directly affects the hemodynamic parameters of the heart by decreasing the ventricular function, by left ventricular remodeling, and by worsening heart failure. As a consequence, the risk of morbidity and mortality rises. For patients with preexisting cardiomyopathy, the left ventricle dysfunction is further worsened by atrioventricular and intraventricular conduction disorders [1]. Also, left ventricle contraction is altered by the existence of the left branch block, which causes either the delay or the premature contraction of the parietal segments, thus affecting myocardial flow distribution and the regional metabolism by not uniformizing it, and also molecular changes caused by certain enzymatic systems or by calcium ions [7,8,9]. As with the patient described in this paper, intraventricular desynchronization caused by the existence of the left branch block favors mitral failure and shortens the filling time of the left ventricle [10,11].
Many studies have confirmed a significant improvement in symptomatology and increased exercise capacity after applying cardiac resynchronization therapy in patients diagnosed with chronic cardiac failure, also presenting atrioventricular and intraventricular conduction disorders, with optimal medical therapy [12,13,14].
As in our case, the European Society of Cardiology (ESC) Guidelines for the diagnosis and treatment of acute and chronic heart failure from 2016 mention that cardiac resynchronization therapy (CRT) has a 1st Class, A level, indication in symptomatic patients with heart failure (HF) in sinus rhythm with QRS duration ≥ 150 ms and LBBB QRS morphology, and with left ventricular ejection fraction ≤ 35%, despite optimal medical therapy, in order to improve symptoms and reduce morbidity and mortality [15,16,17,18].
Conclusions
Cardiac resynchronization therapy (CRT) has been shown in multiple and large trials that it improves symptoms and decreases hospitalizations and mortality when used in addition to optimal medical therapy. CRT is best performed only on well-selected patients who qualify based on current indications, and approximately 70% of patients respond favorably.
The effectiveness of cardiac resynchronization therapy for the presented case report was confirmed by lowering NYHA class and by improving the left ventricle’s hemodynamics. Generally, the benefits of cardiac resynchronization therapy are multiple, including an improved tolerance to physical exercise, reduced heart remodeling, decreased mortality, and finally a decreased rate of hospitalization in patients with sinus rhythm.
Acknowledgments
All authors contributed equally to the manuscript.
References
- Vardas, P.E.; Auricchio, A.; Blanc, J.J.; Daubert, J.C.; Drexler, H.; Ector, H.; Gasparini, M.; Linde, C.; Morgado, F.B.; Oto, A.; Sutton, R.; Trusz-Gluza, M.; European Society of Cardiology; European Heart Rhythm Association. Guidelines for cardiac pacing and cardiac resynchronization therapy: The Task Force for Cardiac Pacing and Cardiac Resynchronization Therapy of the European Society of Cardiology. Developed in collaboration with the European Heart Rhythm Association. Eur Heart J. 2007, 28, 2256–2295. [Google Scholar] [CrossRef] [PubMed]
- Brignole, M.; Auricchio, A.; Baron-Esquivias, G.; Bordachar, P.; Boriani, G.; Breithardt, O.A.; Cleland, J.; Deharo, J.C.; Delgado, V.; Elliott, P.M.; Gorenek, B.; Israel, C.W.; et al. 2013 ESC Guidelines on cardiac pacing and cardiac resynchronization therapy: The Task Force on cardiac pacing and resynchronization therapy of the European Society of Cardiology (ESC). Developed in collaboration with the European Heart Rhythm Association (EHRA). Eur Heart J. 2013, 34, 2281–2329. [Google Scholar] [CrossRef] [PubMed]
- Ponikowski, P.; Voors, A.A.; Anker, S.D.; Bueno, H.; Cleland, J.G.; Coats, A.J.; Falk, V.; González-Juanatey, J.R.; Harjola, V.P.; Jankowska, E.A.; Jessup, M.; Linde, C.; Nihoyannopoulos, P.; Parissis, J.T.; Pieske, B.; Riley, J.P.; Rosano, G.M.; Ruilope, L.M.; Ruschitzka, F.; Rutten, F.H.; van der Meer, P.; Authors/Task Force Members; Document Reviewers. 2016 ESC Guidelines for the diagnosis and treatment of acute and chronic heart failure: The Task Force for the diagnosis and treatment of acute and chronic heart failure of the European Society of Cardiology (ESC). Developed with the special contribution of the Heart Failure Association (HFA) of the ESC. Eur J Heart Fail. 2016, 18, 891–975. [Google Scholar] [CrossRef] [PubMed]
- Vagnini, F.J.; Gourin, A.; Antell, H.I.; Stuckey, J.H. Implantation sites of cardiac pacemaker electrodes and myocardial contractility. Ann Thorac Surg. 1967, 4, 431–439. [Google Scholar] [CrossRef] [PubMed]
- Cazeau, S.; Ritter, P.; Bakdach, S.; Lazarus, A.; Limousin, M.; Henao, L.; Mundler, O.; Daubert, J.C.; Mugica, J. Four chamber pacing in dilated cardiomyopathy. Pacing Clin Electrophysiol. 1994, 17 Pt 2, 1974–1979. [Google Scholar] [PubMed]
- Bakker, P.F.; Meijburg, H.W.; de Vries, J.W.; Mower, M.M.; Thomas, A.C.; Hull, M.L.; Robles De Medina, E.O.; Bredée, J.J. Biventricular pacing in end-stage heart failure improves functional capacity and left ventricular function. J Interv Card Electrophysiol. 2000, 4, 395–404. [Google Scholar] [PubMed]
- Ukkonen, H.; Beanlands, R.S.; Burwash, I.G.; de Kemp, R.A.; Nahmias, C.; Fallen, E.; Hill, M.R.; Tang, A.S. Effect of cardiac resynchronization on myocardial efficiency and regional oxidative metabolism. Circulation 2003, 107, 28–31. [Google Scholar] [CrossRef] [PubMed]
- Vernooy, K.; Verbeek, X.A.; Peschar, M.; Crijns, H.J.; Arts, T.; Cornelussen, R.N.; Prinzen, F.W. Left bundle branch block induces ventricular remodelling and functional septal hypoperfusion. Eur Heart J. 2005, 26, 91–98. [Google Scholar] [CrossRef] [PubMed]
- Sundell, J.; Engblom, E.; Koistinen, J.; Ylitalo, A.; Naum, A.; Stolen, K.Q.; Kalliokoski, R.; Nekolla, S.G.; Airaksinen, K.E.; Bax, J.J.; Knuuti, J. The effects of cardiac resynchronization therapy on left ventricular function, myocardial energetics, and metabolic reserve in patients with dilated cardiomyopathy and heart failure. J Am Coll Cardiol. 2004, 43, 1027–1033. [Google Scholar] [CrossRef] [PubMed]
- Daubert, C.; Gold, M.R.; Abraham, W.T.; Ghio, S.; Hassager, C.; Goode, G.; Szili-Török, T.; Linde, C.; REVERSE Study Group. Prevention of disease progression by cardiac resynchronization therapy in patients with asymptomatic or mildly symptomatic left ventricular dysfunction: Insights from the European cohort of the REVERSE (Resynchronization Reverses Remodeling in Systolic Left Ventricular Dysfunction) trial. J Am Coll Cardiol. 2009, 54, 1837–1846. [Google Scholar] [CrossRef] [PubMed]
- Moss, A.J.; Hall, W.J.; Cannom, D.S.; Klein, H.; Brown, M.W.; Daubert, J.P.; Estes, N.A., 3rd; Foster, E.; Greenberg, H.; Higgins, S.L.; Pfeffer, M.A.; Solomon, S.D.; Wilber, D.; Zareba, W.; MADIT-CRT Trial Investigators. Cardiac-resynchronization therapy for the prevention of heart-failure events. N Engl J Med. 2009, 361, 1329–1338. [Google Scholar] [CrossRef] [PubMed]
- Linde, C.; Ellenbogen, K.; McAlister, F.A. Cardiac resynchronization therapy (CRT): Clinical trials, guidelines, and target populations. Heart Rhythm. 2012, 9 (Suppl. 8), S3–S13. [Google Scholar] [CrossRef] [PubMed]
- Cleland, J.G.; Abraham, W.T.; Linde, C.; Gold, M.R.; Young, J.B.; Claude Daubert, J.; Sherfesee, L.; Wells, G.A.; Tang, A.S. An individual patient meta-analysis of five randomized trials assessing the effects of cardiac resynchronization therapy on morbidity and mortality in patients with symptomatic heart failure. Eur Heart J. 2013, 34, 3547–3556. [Google Scholar] [CrossRef] [PubMed]
- Florescu, C.; Rogoveanu, I.; Vere, C.C.; Târtea, G.C.; Târtea, E.A.; Mogoantă, L. From molecular mechanism to morphological changes in cardiomyopathy. Rom J Morphol Embryol. 2016, 57, 1207–1214. [Google Scholar] [PubMed]
- Linde, C.; Gold, M.R.; Abraham, W.T.; St John Sutton, M.; Ghio, S.; Cerkvenik, J.; Daubert, C.; REsynchronization reVErses Remodeling in Systolic left vEntricular dysfunction Study Group. Long-term impact of cardiac resynchronization therapy in mild heart failure: 5-year results from the REsynchronization reVErses Remodeling in Systolic left vEntricular dysfunction (REVERSE) study. Eur Heart J. 2013, 34, 2592–2599. [Google Scholar] [CrossRef] [PubMed]
- Drăgoi, V.; Horhoianu, I.A.; Scăunașu, R.V.; Cîrstoiu, M. Cyanotic Congenital Heart Defects—Literature review. J Clin Invest Surg. 2017, 2, 66–74. [Google Scholar] [CrossRef]
- Parepa, I.-R.; Suceveanu, A.-I.; Mazilu, L.; Mohamed, A.; Nita, D.; Tuta, L.-A. Preventing cardiac complications after non-cardiac non-vascular surgery by using perioperative statin therapy—A prospective study in Constanta county, Romania. Farmacia 2017, 65, 120–124. [Google Scholar]
- Goldenberg, I.; Kutyifa, V.; Klein, H.U.; Cannom, D.S.; Brown, M.W.; Dan, A.; Daubert, J.P.; Estes NA 3rd Foster, E.; Greenberg, H.; Kautzner, J.; Klempfner, R.; Kuniss, M.; Merkely, B.; Pfeffer, M.A.; Quesada, A.; Viskin, S.; McNitt, S.; Polonsky, B.; Ghanem, A.; Solomon, S.D.; Wilber, D.; Zareba, W.; Moss, A.J. Survival with cardiac-resynchronization therapy in mild heart failure. N Engl J Med. 2014, 370, 1694–1701. [Google Scholar] [CrossRef] [PubMed]
© 2018 by the author. 2018 Diana R. Tudorașcu, Constantin Bătăiosu, Alina Paraschiv, Elena-Anca Târtea, Ionuț Donoiu and Cristina Florescu.








