Utility of Cardiac CT for Cardiomyopathy Phenotyping
Abstract
1. Introduction
2. Myocardial Morphology and Function
3. Myocardial Strain
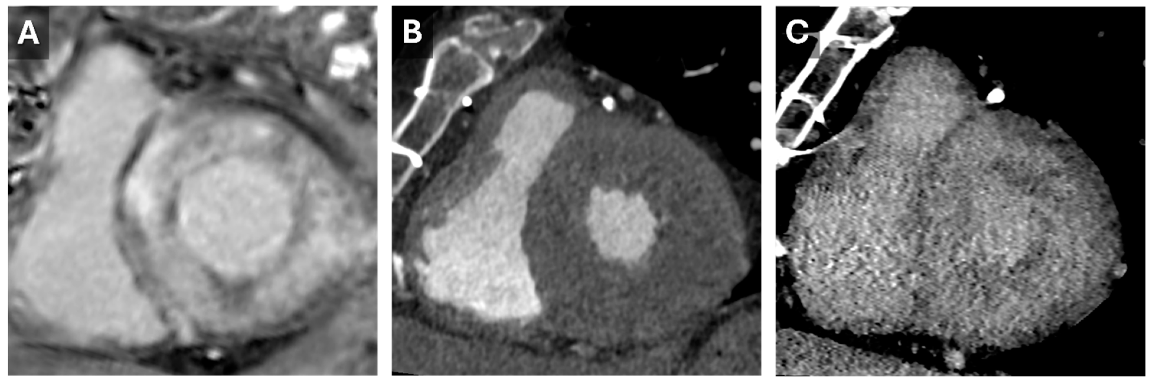
4. Myocardial ECV
5. Ischemic Evaluation
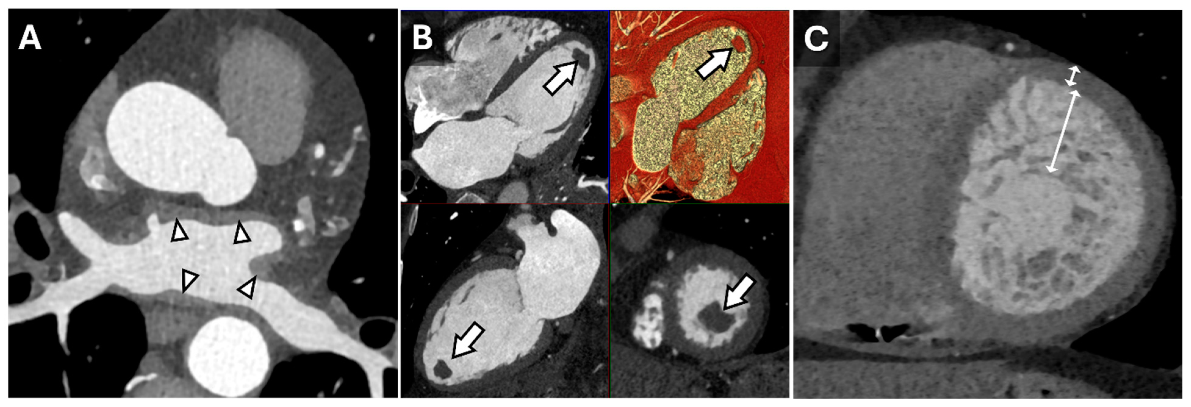
6. Hypertrophic Cardiomyopathy
Restrictive Cardiomyopathy
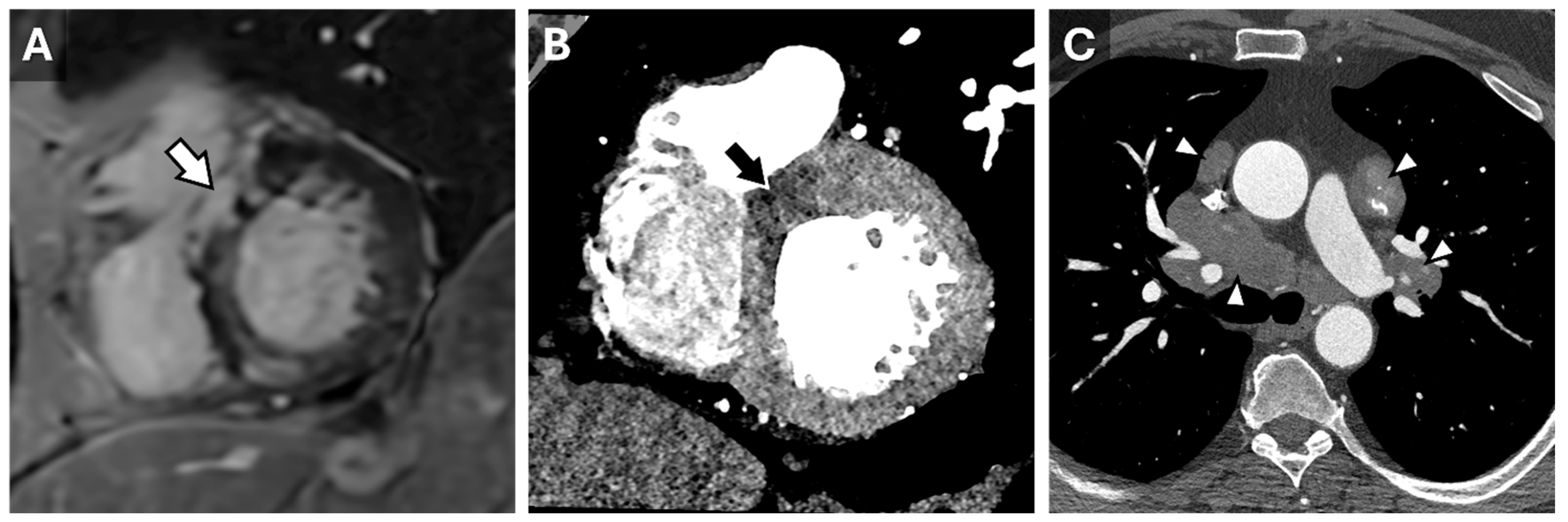
7. Arrhythmogenic Cardiomyopathy
8. Cardiac Ablation Pre-Procedural Planning
9. Conclusions
Funding
Conflicts of Interest
References
- Clayton, B.; Roobottom, C.; Morgan-Hughes, G. Assessment of the myocardium with cardiac computed tomography. Eur. Heart J. Cardiovasc. Imaging 2014, 15, 603–609. [Google Scholar] [CrossRef] [PubMed]
- Gulati, M.; Levy, P.D.; Mukherjee, D.; Amsterdam, E.; Bhatt, D.L.; Birtcher, K.K.; Blankstein, R.; Boyd, J.; Bullock-Palmer, R.P.; Conejo, T.; et al. 2021 AHA/ACC/ASE/CHEST/SAEM/SCCT/SCMR Guideline for the Evaluation and Diagnosis of Chest Pain: A Report of the American College of Cardiology/American Heart Association Joint Committee on Clinical Practice Guidelines. Circulation 2021, 144, e368–e454. [Google Scholar] [CrossRef] [PubMed]
- Investigators, S.-H.; Newby, D.E.; Adamson, P.D.; Berry, C.; Boon, N.A.; Dweck, M.R.; Flather, M.; Forbes, J.; Hunter, A.; Lewis, S.; et al. Coronary CT Angiography and 5-Year Risk of Myocardial Infarction. N. Engl. J. Med. 2018, 379, 924–933. [Google Scholar] [CrossRef]
- Fairbairn, T.A.; Nieman, K.; Akasaka, T.; Norgaard, B.L.; Berman, D.S.; Raff, G.; Hurwitz-Koweek, L.M.; Pontone, G.; Kawasaki, T.; Sand, N.P.; et al. Real-world clinical utility and impact on clinical decision-making of coronary computed tomography angiography-derived fractional flow reserve: Lessons from the ADVANCE Registry. Eur. Heart J. 2018, 39, 3701–3711. [Google Scholar] [CrossRef]
- Pulerwitz, T.C.; Khalique, O.K.; Leb, J.; Hahn, R.T.; Nazif, T.M.; Leon, M.B.; George, I.; Vahl, T.P.; D’Souza, B.; Bapat, V.N.; et al. Optimizing Cardiac CT Protocols for Comprehensive Acquisition Prior to Percutaneous MV and TV Repair/Replacement. JACC Cardiovasc. Imaging 2020, 13, 836–850. [Google Scholar] [CrossRef]
- Korsholm, K.; Berti, S.; Iriart, X.; Saw, J.; Wang, D.D.; Cochet, H.; Chow, D.; Clemente, A.; De Backer, O.; Moller Jensen, J.; et al. Expert Recommendations on Cardiac Computed Tomography for Planning Transcatheter Left Atrial Appendage Occlusion. JACC Cardiovasc. Interv. 2020, 13, 277–292. [Google Scholar] [CrossRef]
- Hendel, R.C.; Patel, M.R.; Kramer, C.M.; Poon, M.; Hendel, R.C.; Carr, J.C.; Gerstad, N.A.; Gillam, L.D.; Hodgson, J.M.; Kim, R.J.; et al. ACCF/ACR/SCCT/SCMR/ASNC/NASCI/SCAI/SIR 2006 appropriateness criteria for cardiac computed tomography and cardiac magnetic resonance imaging: A report of the American College of Cardiology Foundation Quality Strategic Directions Committee Appropriateness Criteria Working Group, American College of Radiology, Society of Cardiovascular Computed Tomography, Society for Cardiovascular Magnetic Resonance, American Society of Nuclear Cardiology, North American Society for Cardiac Imaging, Society for Cardiovascular Angiography and Interventions, and Society of Interventional Radiology. J. Am. Coll. Cardiol. 2006, 48, 1475–1497. [Google Scholar] [CrossRef]
- Yamamuro, M.; Tadamura, E.; Kubo, S.; Toyoda, H.; Nishina, T.; Ohba, M.; Hosokawa, R.; Kimura, T.; Tamaki, N.; Komeda, M.; et al. Cardiac functional analysis with multi-detector row CT and segmental reconstruction algorithm: Comparison with echocardiography, SPECT, and MR imaging. Radiology 2005, 234, 381–390. [Google Scholar] [CrossRef]
- Brodoefel, H.; Reimann, A.; Klumpp, B.; Fenchel, M.; Heuschmid, M.; Burgstahler, C.; Schroeder, S.; Miller, S.; Claussen, C.D.; Scheule, A.M.; et al. Sixty-four-slice CT in the assessment of global and regional left ventricular function: Comparison with MRI in a porcine model of acute and subacute myocardial infarction. Eur. Radiol. 2007, 17, 2948–2956. [Google Scholar] [CrossRef]
- Busch, S.; Johnson, T.R.; Wintersperger, B.J.; Minaifar, N.; Bhargava, A.; Rist, C.; Reiser, M.F.; Becker, C.; Nikolaou, K. Quantitative assessment of left ventricular function with dual-source CT in comparison to cardiac magnetic resonance imaging: Initial findings. Eur. Radiol. 2008, 18, 570–575. [Google Scholar] [CrossRef]
- Krishnam, M.S.; Tomasian, A.; Iv, M.; Ruehm, S.G.; Saleh, R.; Panknin, C.; Goldin, J.G. Left ventricular ejection fraction using 64-slice CT coronary angiography and new evaluation software: Initial experience. Br. J. Radiol. 2008, 81, 450–455. [Google Scholar] [CrossRef]
- Heuschmid, M.; Rothfuss, J.K.; Schroeder, S.; Fenchel, M.; Stauder, N.; Burgstahler, C.; Franow, A.; Kuzo, R.S.; Kuettner, A.; Miller, S.; et al. Assessment of left ventricular myocardial function using 16-slice multidetector-row computed tomography: Comparison with magnetic resonance imaging and echocardiography. Eur. Radiol. 2006, 16, 551–559. [Google Scholar] [CrossRef]
- Plumhans, C.; Muhlenbruch, G.; Rapaee, A.; Sim, K.H.; Seyfarth, T.; Gunther, R.W.; Mahnken, A.H. Assessment of global right ventricular function on 64-MDCT compared with MRI. AJR Am. J. Roentgenol. 2008, 190, 1358–1361. [Google Scholar] [CrossRef]
- Gosling, O.; Morgan-Hughes, G.; Iyengar, S.; Strain, W.; Loader, R.; Shore, A.; Roobottom, C. Computed tomography to diagnose coronary artery disease: A reduction in radiation dose increases applicability. Clin. Radiol. 2013, 68, 340–345. [Google Scholar] [CrossRef] [PubMed]
- Zenooz, N.A.; Zahka, K.G.; Siwik, E.S.; Gilkeson, R.C. Noncompaction syndrome of the myocardium: Pathophysiology and imaging pearls. J. Thorac. Imaging 2010, 25, 326–332. [Google Scholar] [CrossRef] [PubMed]
- Rajiah, P.S.; Kalisz, K.; Broncano, J.; Goerne, H.; Collins, J.D.; Francois, C.J.; Ibrahim, E.S.; Agarwal, P.P. Myocardial Strain Evaluation with Cardiovascular MRI: Physics, Principles, and Clinical Applications. Radiographics 2022, 42, 968–990. [Google Scholar] [CrossRef]
- Kalam, K.; Otahal, P.; Marwick, T.H. Prognostic implications of global LV dysfunction: A systematic review and meta-analysis of global longitudinal strain and ejection fraction. Heart 2014, 100, 1673–1680. [Google Scholar] [CrossRef]
- Jacob, S.; Walker, V.; Fondard, O.; Chevelle, C.; Jimenez, G.; Bernier, M.O.; Laurier, D.; Ferrières, J.; Lairez, O. Use of myocardial strain imaging by echocardiography for the early detection of radiotherapy-induced cardiotoxicity in breast cancer patients (BACCARAT Study). Arch. Cardiovasc. Dis. Suppl. 2019, 11, 49–50. [Google Scholar]
- Tang, H.S.; Kwan, C.T.; He, J.; Ng, P.P.; Hai, S.H.J.; Kwok, F.Y.J.; Sze, H.F.; So, M.H.; Lo, H.Y.; Fong, H.T.A.; et al. Prognostic Utility of Cardiac MRI Myocardial Strain Parameters in Patients With Ischemic and Nonischemic Dilated Cardiomyopathy: A Multicenter Study. AJR Am. J. Roentgenol. 2023, 220, 524–538. [Google Scholar] [CrossRef]
- Romano, S.; Judd, R.M.; Kim, R.J.; Kim, H.W.; Klem, I.; Heitner, J.F.; Shah, D.J.; Jue, J.; White, B.E.; Indorkar, R.; et al. Feature-Tracking Global Longitudinal Strain Predicts Death in a Multicenter Population of Patients With Ischemic and Nonischemic Dilated Cardiomyopathy Incremental to Ejection Fraction and Late Gadolinium Enhancement. JACC Cardiovasc. Imaging 2018, 11, 1419–1429. [Google Scholar] [CrossRef]
- Kusunose, K.; Agarwal, S.; Marwick, T.H.; Griffin, B.P.; Popovic, Z.B. Decision making in asymptomatic aortic regurgitation in the era of guidelines: Incremental values of resting and exercise cardiac dysfunction. Circ. Cardiovasc. Imaging 2014, 7, 352–362. [Google Scholar] [CrossRef]
- Li, N.; Zhang, L.; Wu, H.; Liu, J.; Cao, Y.; Li, Y.; Yu, J.; Han, X.; Shao, G.; Yang, M.; et al. Quantifying left ventricular myocardial strain in patients with different CAD-RADS levels based on computed tomography feature tracking technology. Sci. Rep. 2023, 13, 17199. [Google Scholar] [CrossRef]
- Ahn, Y.; Koo, H.J.; Lee, S.A.; Jung, D.; Kang, J.W.; Yang, D.H. Reference ranges of computed tomography-derived strains in four cardiac chambers. PLoS ONE 2024, 19, e0303986. [Google Scholar] [CrossRef]
- Messroghli, D.R.; Moon, J.C.; Ferreira, V.M.; Grosse-Wortmann, L.; He, T.; Kellman, P.; Mascherbauer, J.; Nezafat, R.; Salerno, M.; Schelbert, E.B.; et al. Clinical recommendations for cardiovascular magnetic resonance mapping of T1, T2, T2* and extracellular volume: A consensus statement by the Society for Cardiovascular Magnetic Resonance (SCMR) endorsed by the European Association for Cardiovascular Imaging (EACVI). J. Cardiovasc. Magn. Reson. 2017, 19, 75. [Google Scholar] [CrossRef] [PubMed]
- Zhuang, B.; Sirajuddin, A.; Wang, S.; Arai, A.; Zhao, S.; Lu, M. Prognostic value of T1 mapping and extracellular volume fraction in cardiovascular disease: A systematic review and meta-analysis. Heart Fail. Rev. 2018, 23, 723–731. [Google Scholar] [CrossRef] [PubMed]
- Ghostine, S.; Caussin, C.; Habis, M.; Habib, Y.; Clement, C.; Sigal-Cinqualbre, A.; Angel, C.Y.; Lancelin, B.; Capderou, A.; Paul, J.F. Non-invasive diagnosis of ischaemic heart failure using 64-slice computed tomography. Eur. Heart J. 2008, 29, 2133–2140. [Google Scholar] [CrossRef]
- Oda, S.; Emoto, T.; Nakaura, T.; Kidoh, M.; Utsunomiya, D.; Funama, Y.; Nagayama, Y.; Takashio, S.; Ueda, M.; Yamashita, T.; et al. Myocardial Late Iodine Enhancement and Extracellular Volume Quantification with Dual-Layer Spectral Detector Dual-Energy Cardiac CT. Radiol. Cardiothorac. Imaging 2019, 1, e180003. [Google Scholar] [CrossRef]
- Nishii, T.; Kobayashi, T.; Tanaka, H.; Kotoku, A.; Ohta, Y.; Morita, Y.; Umehara, K.; Ota, J.; Horinouchi, H.; Ishida, T.; et al. Deep Learning-based Post Hoc CT Denoising for Myocardial Delayed Enhancement. Radiology 2022, 305, 82–91. [Google Scholar] [CrossRef]
- Abadia, A.F.; Aquino, G.J.; Schoepf, U.J.; Wels, M.; Schmidt, B.; Sahbaee, P.; Dargis, D.M.; Burt, J.R.; Varga-Szemes, A.; Emrich, T. Automated Dual-energy Computed Tomography-based Extracellular Volume Estimation for Myocardial Characterization in Patients With Ischemic and Nonischemic Cardiomyopathy. J. Thorac. Imaging 2022, 37, 307–314. [Google Scholar] [CrossRef]
- le Polain de Waroux, J.B.; Pouleur, A.C.; Goffinet, C.; Pasquet, A.; Vanoverschelde, J.L.; Gerber, B.L. Combined coronary and late-enhanced multidetector-computed tomography for delineation of the etiology of left ventricular dysfunction: Comparison with coronary angiography and contrast-enhanced cardiac magnetic resonance imaging. Eur. Heart J. 2008, 29, 2544–2551. [Google Scholar] [CrossRef]
- Bandula, S.; White, S.K.; Flett, A.S.; Lawrence, D.; Pugliese, F.; Ashworth, M.T.; Punwani, S.; Taylor, S.A.; Moon, J.C. Measurement of myocardial extracellular volume fraction by using equilibrium contrast-enhanced CT: Validation against histologic findings. Radiology 2013, 269, 396–403. [Google Scholar] [CrossRef]
- Ohta, Y.; Kishimoto, J.; Kitao, S.; Yunaga, H.; Mukai-Yatagai, N.; Fujii, S.; Yamamoto, K.; Fukuda, T.; Ogawa, T. Investigation of myocardial extracellular volume fraction in heart failure patients using iodine map with rapid-kV switching dual-energy CT: Segmental comparison with MRI T1 mapping. J. Cardiovasc. Comput. Tomogr. 2020, 14, 349–355. [Google Scholar] [CrossRef] [PubMed]
- Yashima, S.; Takaoka, H.; Iwahana, T.; Nishikawa, Y.; Ota, J.; Aoki, S.; Kinoshita, M.; Takahashi, M.; Sasaki, H.; Suzuki-Eguchi, N.; et al. Evaluation of extracellular volume by computed tomography is useful for prediction of prognosis in dilated cardiomyopathy. Heart Vessel. 2023, 38, 185–194. [Google Scholar] [CrossRef]
- Taylor, A.J.; Cerqueira, M.; Hodgson, J.M.; Mark, D.; Min, J.; O’Gara, P.; Rubin, G.D.; American College of Cardiology Foundation Appropriate Use Criteria Task Force; Society of Cardiovascular Computed Tomography; American College of Radiology; et al. ACCF/SCCT/ACR/AHA/ASE/ASNC/NASCI/SCAI/SCMR 2010 Appropriate Use Criteria for Cardiac Computed Tomography. A Report of the American College of Cardiology Foundation Appropriate Use Criteria Task Force, the Society of Cardiovascular Computed Tomography, the American College of Radiology, the American Heart Association, the American Society of Echocardiography, the American Society of Nuclear Cardiology, the North American Society for Cardiovascular Imaging, the Society for Cardiovascular Angiography and Interventions, and the Society for Cardiovascular Magnetic Resonance. Circulation 2010, 122, e525–e555. [Google Scholar] [CrossRef] [PubMed]
- Budoff, M.J.; Dowe, D.; Jollis, J.G.; Gitter, M.; Sutherland, J.; Halamert, E.; Scherer, M.; Bellinger, R.; Martin, A.; Benton, R.; et al. Diagnostic performance of 64-multidetector row coronary computed tomographic angiography for evaluation of coronary artery stenosis in individuals without known coronary artery disease: Results from the prospective multicenter ACCURACY (Assessment by Coronary Computed Tomographic Angiography of Individuals Undergoing Invasive Coronary Angiography) trial. J. Am. Coll. Cardiol. 2008, 52, 1724–1732. [Google Scholar] [CrossRef]
- Ergun, E.; Kosar, P.; Ozturk, C.; Basbay, E.; Koc, F.; Kosar, U. Prevalence and extent of coronary artery disease determined by 64-slice CTA in patients with zero coronary calcium score. Int. J. Cardiovasc. Imaging 2011, 27, 451–458. [Google Scholar] [CrossRef]
- Cury, R.C.; Leipsic, J.; Abbara, S.; Achenbach, S.; Berman, D.; Bittencourt, M.; Budoff, M.; Chinnaiyan, K.; Choi, A.D.; Ghoshhajra, B.; et al. CAD-RADS 2.0—2022 Coronary Artery Disease—Reporting and Data System An Expert Consensus Document of the Society of Cardiovascular Computed Tomography (SCCT), the American College of Cardiology (ACC), the American College of Radiology (ACR) and the North America Society of Cardiovascular Imaging (NASCI). Radiol. Cardiothorac. Imaging 2022, 4, e220183. [Google Scholar] [CrossRef]
- Vliegenthart, R.; Henzler, T.; Moscariello, A.; Ruzsics, B.; Bastarrika, G.; Oudkerk, M.; Schoepf, U.J. CT of coronary heart disease: Part 1, CT of myocardial infarction, ischemia, and viability. AJR Am. J. Roentgenol. 2012, 198, 531–547. [Google Scholar] [CrossRef]
- Nagao, M.; Matsuoka, H.; Kawakami, H.; Higashino, H.; Mochizuki, T.; Murase, K.; Uemura, M. Quantification of myocardial perfusion by contrast-enhanced 64-MDCT: Characterization of ischemic myocardium. AJR Am. J. Roentgenol. 2008, 191, 19–25. [Google Scholar] [CrossRef]
- Gopalan, D.; Raj, V.; Hoey, E.T. Cardiac CT: Non-coronary applications. Postgrad. Med. J. 2010, 86, 165–173. [Google Scholar] [CrossRef]
- Bhasin, D.; Sharma, A.; Sharma, Y.P.; Singhal, M. Utility of Cardiac Computed Tomography in the Diagnosis of Apical Hypertrophic Cardiomyopathy: A Case Series. Heart Views 2024, 25, 86–91. [Google Scholar] [CrossRef]
- Jan, M.F.; Tajik, A.J. Modern Imaging Techniques in Cardiomyopathies. Circ. Res. 2017, 121, 874–891. [Google Scholar] [CrossRef] [PubMed]
- Dell’Aversana, S.; Ascione, R.; De Giorgi, M.; De Lucia, D.R.; Cuocolo, R.; Boccalatte, M.; Sibilio, G.; Napolitano, G.; Muscogiuri, G.; Sironi, S.; et al. Dual-Energy CT of the Heart: A Review. J. Imaging 2022, 8, 236. [Google Scholar] [CrossRef]
- Azevedo, O.; Cordeiro, F.; Gago, M.F.; Miltenberger-Miltenyi, G.; Ferreira, C.; Sousa, N.; Cunha, D. Fabry Disease and the Heart: A Comprehensive Review. Int. J. Mol. Sci. 2021, 22, 4434. [Google Scholar] [CrossRef]
- Venlet, J.; Tao, Q.; de Graaf, M.A.; Glashan, C.A.; de Riva Silva, M.; van der Geest, R.J.; Scholte, A.J.; Piers, S.R.D.; Zeppenfeld, K. RV Tissue Heterogeneity on CT: A Novel Tool to Identify the VT Substrate in ARVC. JACC Clin. Electrophysiol. 2020, 6, 1073–1085. [Google Scholar] [CrossRef] [PubMed]
- Maffei, E.; Messalli, G.; Martini, C.; Nieman, K.; Catalano, O.; Rossi, A.; Seitun, S.; Guaricci, A.I.; Tedeschi, C.; Mollet, N.R.; et al. Left and right ventricle assessment with Cardiac CT: Validation study vs. Cardiac MR. Eur. Radiol. 2012, 22, 1041–1049. [Google Scholar] [CrossRef] [PubMed]
- Muser, D.; Nucifora, G.; Castro, S.A.; Enriquez, A.; Chahal, C.A.A.; Magnani, S.; Kumareswaran, R.; Arkles, J.; Supple, G.; Schaller, R.; et al. Myocardial Substrate Characterization by CMR T1 Mapping in Patients With NICM and No LGE Undergoing Catheter Ablation of VT. JACC Clin. Electrophysiol. 2021, 7, 831–840. [Google Scholar] [CrossRef]
- Conte, E.; Mushtaq, S.; Carbucicchio, C.; Piperno, G.; Catto, V.; Mancini, M.E.; Formenti, A.; Annoni, A.; Guglielmo, M.; Baggiano, A.; et al. State of the art paper: Cardiovascular CT for planning ventricular tachycardia ablation procedures. J. Cardiovasc. Comput. Tomogr. 2021, 15, 394–402. [Google Scholar] [CrossRef]






| Assessment Method | Key Features | Advantages | Limitations | Additional Insights |
|---|---|---|---|---|
| CT-Based Perfusion Imaging | Identifies areas of hypoattenuation. | More sensitive than radionuclide imaging.
| Requires longer radiation times and contrast.
|
|
| CT for Post-MI Scar Assessment |
| Offers additional diagnostic insights through fat detection. |
|
|
| Radionuclide Myocardial Perfusion Imaging | Assesses myocardial perfusion and determines reversibility of defects. | Can determine reversibility of perfusion defects. | Less sensitive compared to CT-based imaging. | Provides comprehensive viability assessment. |
Disclaimer/Publisher’s Note: The statements, opinions and data contained in all publications are solely those of the individual author(s) and contributor(s) and not of MDPI and/or the editor(s). MDPI and/or the editor(s) disclaim responsibility for any injury to people or property resulting from any ideas, methods, instructions or products referred to in the content. |
© 2025 by the authors. Licensee MDPI, Basel, Switzerland. This article is an open access article distributed under the terms and conditions of the Creative Commons Attribution (CC BY) license (https://creativecommons.org/licenses/by/4.0/).
Share and Cite
Ibrahim, R.; Abdelnabi, M.; Pathangey, G.; Farina, J.; Lester, S.J.; Ayoub, C.; Alsidawi, S.; Tamarappoo, B.K.; Jokerst, C.; Arsanjani, R. Utility of Cardiac CT for Cardiomyopathy Phenotyping. Tomography 2025, 11, 39. https://doi.org/10.3390/tomography11030039
Ibrahim R, Abdelnabi M, Pathangey G, Farina J, Lester SJ, Ayoub C, Alsidawi S, Tamarappoo BK, Jokerst C, Arsanjani R. Utility of Cardiac CT for Cardiomyopathy Phenotyping. Tomography. 2025; 11(3):39. https://doi.org/10.3390/tomography11030039
Chicago/Turabian StyleIbrahim, Ramzi, Mahmoud Abdelnabi, Girish Pathangey, Juan Farina, Steven J. Lester, Chadi Ayoub, Said Alsidawi, Balaji K. Tamarappoo, Clinton Jokerst, and Reza Arsanjani. 2025. "Utility of Cardiac CT for Cardiomyopathy Phenotyping" Tomography 11, no. 3: 39. https://doi.org/10.3390/tomography11030039
APA StyleIbrahim, R., Abdelnabi, M., Pathangey, G., Farina, J., Lester, S. J., Ayoub, C., Alsidawi, S., Tamarappoo, B. K., Jokerst, C., & Arsanjani, R. (2025). Utility of Cardiac CT for Cardiomyopathy Phenotyping. Tomography, 11(3), 39. https://doi.org/10.3390/tomography11030039

