The Role of Advanced MRI Sequences in the Diagnosis and Follow-Up of Adult Brainstem Gliomas: A Neuroradiological Review
Abstract
:1. Introduction
2. MRI Protocol
3. Brainstem Gliomas
3.1. Diffuse Intrinsic Low-Grade Gliomas (DILGGs)
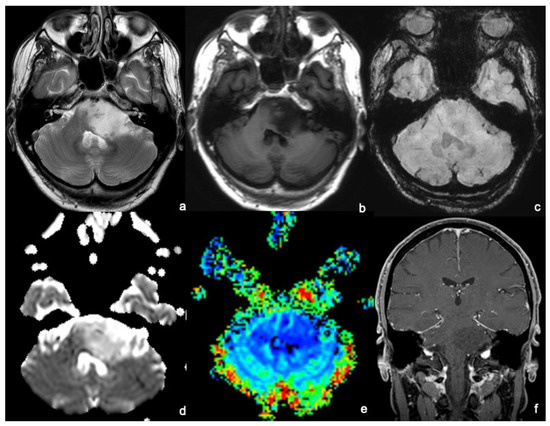
3.2. Enhancing Malignant Gliomas (EMGs)
3.3. Focal Tectal Gliomas (FTGs)
3.4. Other Subtypes
3.4.1. Exophytic Brainstem Gliomas (EBSGs)
3.4.2. Brainstem Gliomas Associated with Neurofibromatosis Type 1 (NFBSGs)
4. Conclusions
Author Contributions
Funding
Institutional Review Board Statement
Informed Consent Statement
Data Availability Statement
Conflicts of Interest
Abbreviations
References
- Weller, M.; van den Bent, M.; Preusser, M.; Le Rhun, E.; Tonn, J.C.; Minniti, G.; Bendszus, M.; Balana, C.; Chinot, O.; Dirven, L.; et al. EANO Guidelines on the Diagnosis and Treatment of Diffuse Gliomas of Adulthood. Nat. Rev. Clin. Oncol. 2021, 18, 170–186. [Google Scholar] [CrossRef] [PubMed]
- WHO Classification of Tumours Editorial Board. Central Nervous System Tumours: Who Classification of Tumours; WHO: Geneva, Switzerland, 2022; ISBN 9789283245087.
- McNamara, C.; Mankad, K.; Thust, S.; Dixon, L.; Limback-Stanic, C.; D’Arco, F.; Jacques, T.S.; Löbel, U. 2021 WHO Classification of Tumours of the Central Nervous System: A Review for the Neuroradiologist. Neuroradiology 2022, 64, 1919–1950. [Google Scholar] [CrossRef]
- Ramos, A.; Hilario, A.; Lagares, A.; Salvador, E.; Perez-Nuñez, A.; Sepulveda, J. Brainstem Gliomas. Semin. Ultrasound CT MR 2013, 34, 104–112. [Google Scholar] [CrossRef] [PubMed]
- Purohit, B.; Kamli, A.A.; Kollias, S.S. Imaging of Adult Brainstem Gliomas. Eur. J. Radiol. 2015, 84, 709–720. [Google Scholar] [CrossRef]
- Guillamo, J.S.; Monjour, A.; Taillandier, L.; Devaux, B.; Varlet, P.; Haie-Meder, C.; Defer, G.L.; Maison, P.; Mazeron, J.J.; Cornu, P.; et al. Brainstem Gliomas in Adults: Prognostic Factors and Classification. Brain 2001, 124, 2528–2539. [Google Scholar] [CrossRef] [PubMed]
- Reyes-Botero, G.; Mokhtari, K.; Martin-Duverneuil, N.; Delattre, J.-Y.; Laigle-Donadey, F. Adult Brainstem Gliomas. Oncologist 2012, 17, 388–397. [Google Scholar] [CrossRef]
- Arvinda, H.R.; Kesavadas, C.; Sarma, P.S.; Thomas, B.; Radhakrishnan, V.V.; Gupta, A.K.; Kapilamoorthy, T.R.; Nair, S. Glioma Grading: Sensitivity, Specificity, Positive and Negative Predictive Values of Diffusion and Perfusion Imaging. J. Neurooncol. 2009, 94, 87–96. [Google Scholar] [CrossRef]
- Chen, H.J.; Panigrahy, A.; Dhall, G.; Finlay, J.L.; Nelson, M.D., Jr.; Blüml, S. Apparent Diffusion and Fractional Anisotropy of Diffuse Intrinsic Brain Stem Gliomas. AJNR Am. J. Neuroradiol. 2010, 31, 1879–1885. [Google Scholar] [CrossRef]
- Helton, K.J.; Phillips, N.S.; Khan, R.B.; Boop, F.A.; Sanford, R.A.; Zou, P.; Li, C.S.; Langston, J.W.; Ogg, R.J. Diffusion Tensor Imaging of Tract Involvement in Children with Pontine Tumors. AJNR Am. J. Neuroradiol. 2006, 27, 786–793. [Google Scholar]
- Damodharan, S.; Lara-Velazquez, M.; Williamsen, B.C.; Helgager, J.; Dey, M. Diffuse Intrinsic Pontine Glioma: Molecular Landscape, Evolving Treatment Strategies and Emerging Clinical Trials. J. Pers. Med. 2022, 12, 840. [Google Scholar] [CrossRef]
- Xiao, X.; Kong, L.; Pan, C.; Zhang, P.; Chen, X.; Sun, T.; Wang, M.; Qiao, H.; Wu, Z.; Zhang, J.; et al. The Role of Diffusion Tensor Imaging and Tractography in the Surgical Management of Brainstem Gliomas. Neurosurg. Focus 2021, 50, E10. [Google Scholar] [CrossRef] [PubMed]
- Hakyemez, B.; Erdogan, C.; Ercan, I.; Ergin, N.; Uysal, S.; Atahan, S. High-Grade and Low-Grade Gliomas: Differentiation by Using Perfusion MR Imaging. Clin. Radiol. 2005, 60, 493–502. [Google Scholar] [CrossRef] [PubMed]
- Tzika, A.A.; Aria Tzika, A.; Astrakas, L.G.; Zarifi, M.K.; Zurakowski, D.; Poussaint, T.Y.; Goumnerova, L.; Tarbell, N.J.; Black, P.M. Spectroscopic and Perfusion Magnetic Resonance Imaging Predictors of Progression in Pediatric Brain Tumors. Cancer 2004, 100, 1246–1256. [Google Scholar] [CrossRef] [PubMed]
- Porto, L.; Hattingen, E.; Pilatus, U.; Kieslich, M.; Yan, B.; Schwabe, D.; Zanella, F.E.; Lanfermann, H. Proton Magnetic Resonance Spectroscopy in Childhood Brainstem Lesions. Childs Nerv. System 2007, 23, 305–314. [Google Scholar] [CrossRef]
- Yamasaki, F.; Kurisu, K.; Kajiwara, Y.; Watanabe, Y.; Takayasu, T.; Akiyama, Y.; Saito, T.; Hanaya, R.; Sugiyama, K. Magnetic Resonance Spectroscopic Detection of Lactate Is Predictive of a Poor Prognosis in Patients with Diffuse Intrinsic Pontine Glioma. Neuro Oncol. 2011, 13, 791–801. [Google Scholar] [CrossRef]
- Piette, C.; Munaut, C.; Foidart, J.-M.; Deprez, M. Treating Gliomas with Glucocorticoids: From Bedside to Bench. Acta Neuropathol. 2006, 112, 651–664. [Google Scholar] [CrossRef]
- Kesari, S.; Kim, R.S.; Markos, V.; Drappatz, J.; Wen, P.Y.; Pruitt, A.A. Prognostic Factors in Adult Brainstem Gliomas: A Multicenter, Retrospective Analysis of 101 Cases. J. Neurooncol. 2008, 88, 175–183. [Google Scholar] [CrossRef]
- Broniscer, A.; Iacono, L.; Chintagumpala, M.; Fouladi, M.; Wallace, D.; Bowers, D.C.; Stewart, C.; Krasin, M.J.; Gajjar, A. Role of Temozolomide after Radiotherapy for Newly Diagnosed Diffuse Brainstem Glioma in Children: Results of a Multiinstitutional Study (SJHG-98). Cancer 2005, 103, 133–139. [Google Scholar] [CrossRef]
- Raza, S.; Donach, M. Bevacizumab in Adult Malignant Brainstem Gliomas. J. Neurooncol. 2009, 95, 299–300. [Google Scholar] [CrossRef]
- Stupp, R.; Mason, W.P.; van den Bent, M.J.; Weller, M.; Fisher, B.; Taphoorn, M.J.B.; Belanger, K.; Brandes, A.A.; Marosi, C.; Bogdahn, U.; et al. Radiotherapy plus Concomitant and Adjuvant Temozolomide for Glioblastoma. N. Engl. J. Med. 2005, 352, 987–996. [Google Scholar] [CrossRef]
- Donaldson, S.S.; Laningham, F.; Fisher, P.G. Advances toward an Understanding of Brainstem Gliomas. J. Clin. Oncol. 2006, 24, 1266–1272. [Google Scholar] [CrossRef] [PubMed]
- Laprie, A.; Pirzkall, A.; Haas-Kogan, D.A.; Cha, S.; Banerjee, A.; Le, T.P.; Lu, Y.; Nelson, S.; McKnight, T.R. Longitudinal Multivoxel MR Spectroscopy Study of Pediatric Diffuse Brainstem Gliomas Treated with Radiotherapy. Int. J. Radiat. Oncol. Biol. Phys. 2005, 62, 20–31. [Google Scholar] [CrossRef]
- Helton, K.J.; Weeks, J.K.; Phillips, N.S.; Zou, P.; Kun, L.E.; Khan, R.B.; Gajjar, A.; Fouladi, M.; Broniscer, A.; Boop, F.; et al. Diffusion Tensor Imaging of Brainstem Tumors: Axonal Degeneration of Motor and Sensory Tracts. J. Neurosurg. Pediatr. 2008, 1, 270–276. [Google Scholar] [CrossRef] [PubMed]
- Laigle-Donadey, F.; Doz, F.; Delattre, J.-Y. Brainstem Gliomas in Children and Adults. Curr. Opin. Oncol. 2008, 20, 662–667. [Google Scholar] [CrossRef] [PubMed]
- Mursch, K.; Halatsch, M.-E.; Markakis, E.; Behnke-Mursch, J. Intrinsic Brainstem Tumours in Adults: Results of Microneurosurgical Treatment of 16 Consecutive Patients. Br. J. Neurosurg. 2005, 19, 128–136. [Google Scholar] [CrossRef]
- Broniscer, A.; Gajjar, A.; Bhargava, R.; Langston, J.W.; Heideman, R.; Jones, D.; Kun, L.E.; Taylor, J. Brain Stem Involvement in Children with Neurofibromatosis Type 1: Role of Magnetic Resonance Imaging and Spectroscopy in the Distinction from Diffuse Pontine Glioma. Neurosurgery 1997, 40, 331–337, discussion 337–338. [Google Scholar] [CrossRef]
- Guillamo, J.-S.; Créange, A.; Kalifa, C.; Grill, J.; Rodriguez, D.; Doz, F.; Barbarot, S.; Zerah, M.; Sanson, M.; Bastuji-Garin, S.; et al. Prognostic Factors of CNS Tumours in Neurofibromatosis 1 (NF1): A Retrospective Study of 104 Patients. Brain 2003, 126, 152–160. [Google Scholar] [CrossRef] [PubMed]




| Diffuse Intrinsic Low-Grade Gliomas | Enhancing Malignant Gliomas | Focal Tectal Gliomas | Exophytic Brainstem Gliomas | Brainstem Gliomas Associated with Neurofibromatosis Type 1 | |
|---|---|---|---|---|---|
| % of Brainstem gliomas | 50% | 30% | <5% | rare | extremely rare |
| Age at diagnosis | 20–50 years | >40 years | |||
| Prognosis/median survival time | 6–7 years | 11–12 months | good prognosis, usually stable up to >10 years | good prognosis | good prognosis, usually asymptomatic and stable |
| Symptoms | cranial nerve palsies, long-tract signs | rapid onset and progression of cranial nerve palsies and long-tract signs | obstructive supra-ventricular hydrocephalus | long-lasting headache and vomiting | asymptomatic. symptomatic: intracranial hypertension, seizures and vision impairment |
| Epicenter | medulla (60%), pons (30%) | brainstem | midbrain | subependymal tissue adjacent to the floor of the fourth ventricle | brainstem (second most common site after the optic pathway) |
| Behavior and typical spreading |
| rapidly infiltrative |
| slow-spreading with a typical exophytic growth, which may cause compression of the brainstem and obstruction of the cisterns | - infiltrative and causing enlargement of the brainstem |
| Main histological type | low-grade tumors, may evolve into anaplastic astrocytomas and/or glioblatomas | anaplastic astrocytomas, glioblatomas | low-grade tumors | low-grade and high-grade variants | low-grade and high-grade variants |
Disclaimer/Publisher’s Note: The statements, opinions and data contained in all publications are solely those of the individual author(s) and contributor(s) and not of MDPI and/or the editor(s). MDPI and/or the editor(s) disclaim responsibility for any injury to people or property resulting from any ideas, methods, instructions or products referred to in the content. |
© 2023 by the authors. Licensee MDPI, Basel, Switzerland. This article is an open access article distributed under the terms and conditions of the Creative Commons Attribution (CC BY) license (https://creativecommons.org/licenses/by/4.0/).
Share and Cite
Guarnera, A.; Romano, A.; Moltoni, G.; Ius, T.; Palizzi, S.; Romano, A.; Bagatto, D.; Minniti, G.; Bozzao, A. The Role of Advanced MRI Sequences in the Diagnosis and Follow-Up of Adult Brainstem Gliomas: A Neuroradiological Review. Tomography 2023, 9, 1526-1537. https://doi.org/10.3390/tomography9040122
Guarnera A, Romano A, Moltoni G, Ius T, Palizzi S, Romano A, Bagatto D, Minniti G, Bozzao A. The Role of Advanced MRI Sequences in the Diagnosis and Follow-Up of Adult Brainstem Gliomas: A Neuroradiological Review. Tomography. 2023; 9(4):1526-1537. https://doi.org/10.3390/tomography9040122
Chicago/Turabian StyleGuarnera, Alessia, Andrea Romano, Giulia Moltoni, Tamara Ius, Serena Palizzi, Allegra Romano, Daniele Bagatto, Giuseppe Minniti, and Alessandro Bozzao. 2023. "The Role of Advanced MRI Sequences in the Diagnosis and Follow-Up of Adult Brainstem Gliomas: A Neuroradiological Review" Tomography 9, no. 4: 1526-1537. https://doi.org/10.3390/tomography9040122
APA StyleGuarnera, A., Romano, A., Moltoni, G., Ius, T., Palizzi, S., Romano, A., Bagatto, D., Minniti, G., & Bozzao, A. (2023). The Role of Advanced MRI Sequences in the Diagnosis and Follow-Up of Adult Brainstem Gliomas: A Neuroradiological Review. Tomography, 9(4), 1526-1537. https://doi.org/10.3390/tomography9040122

