Stocky/Packed Pancreas: A Case of Focal Drug-Induced Acute Pancreatitis Mimicking Cancer
Abstract
:1. Background
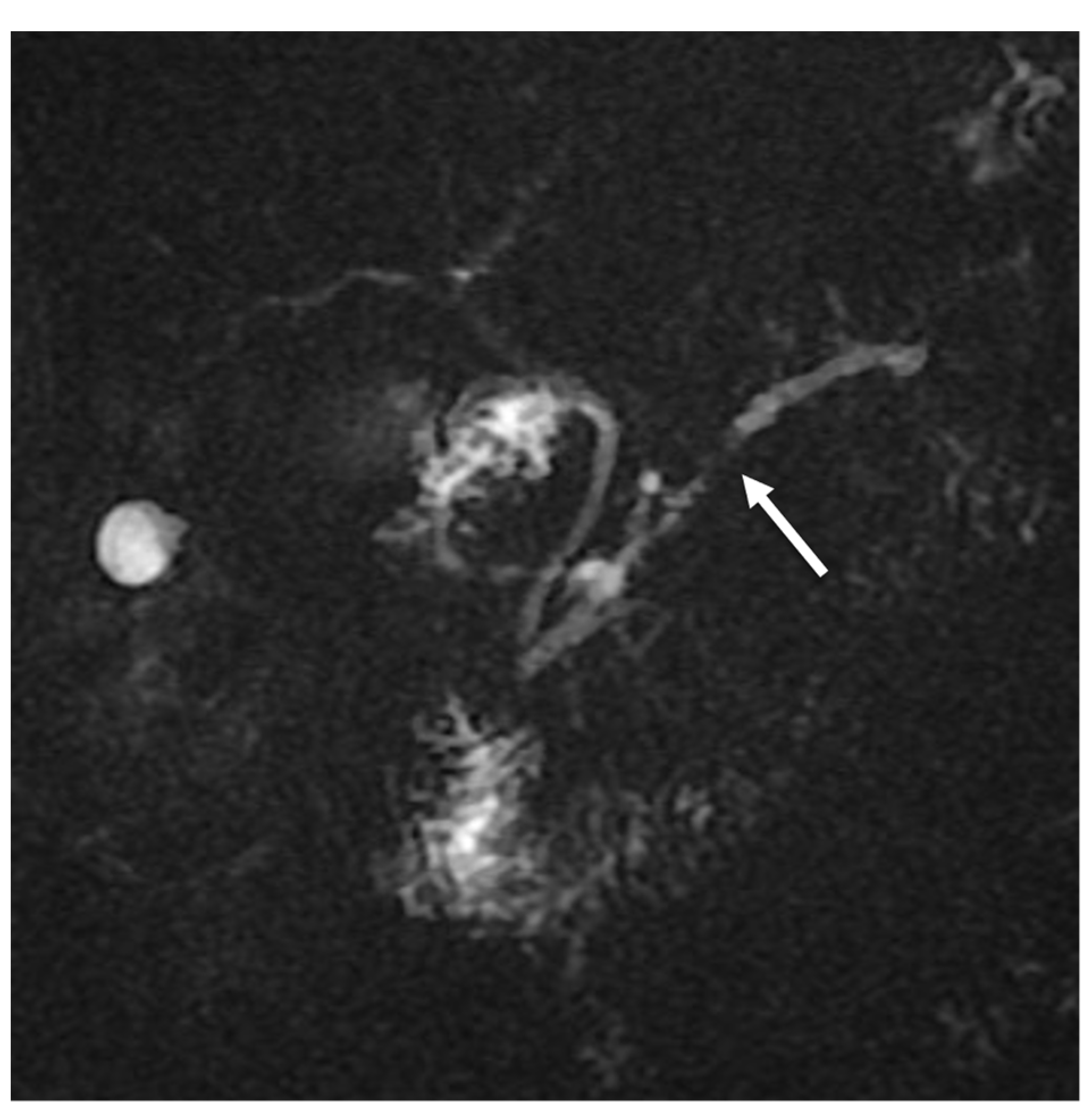
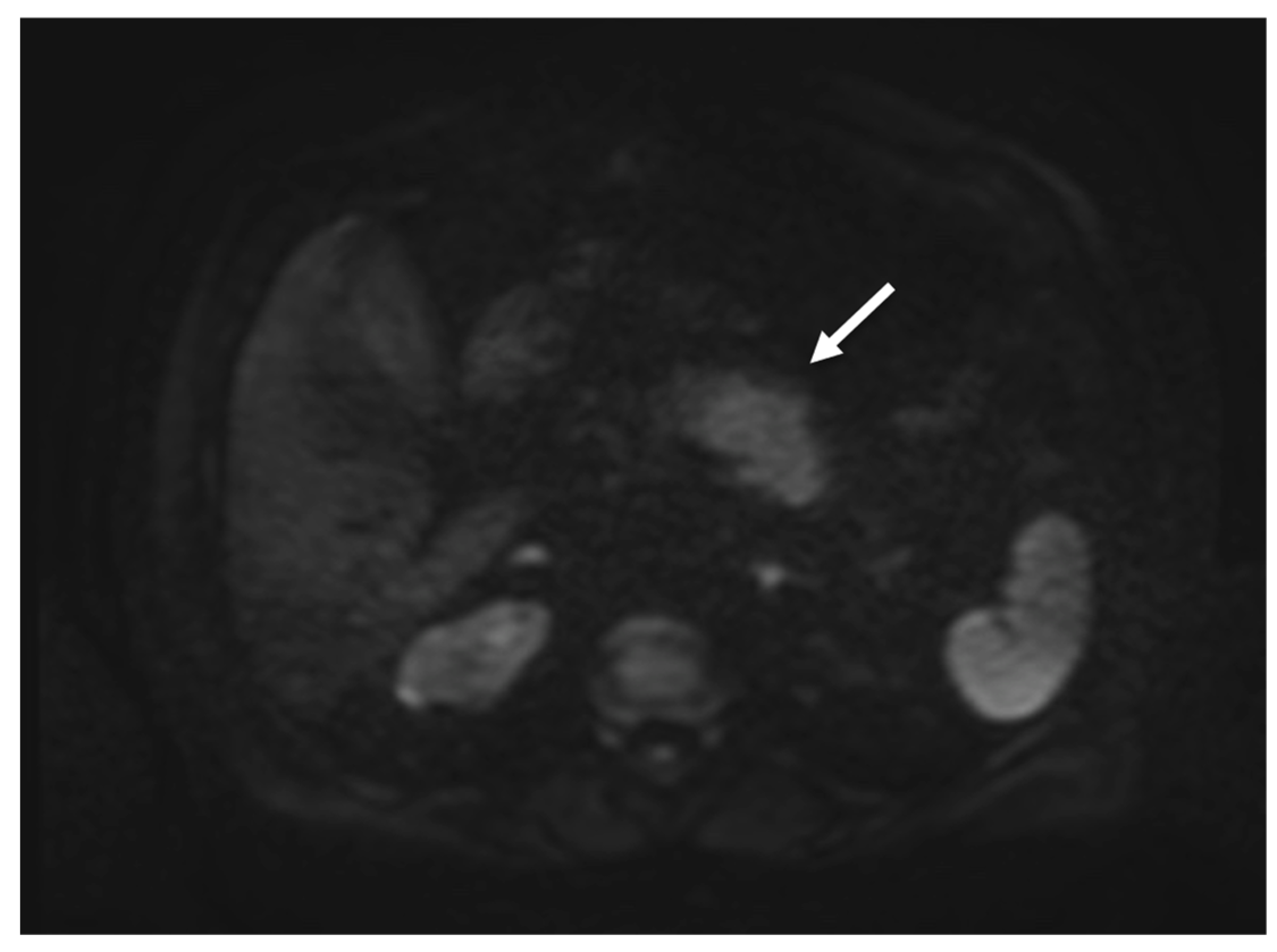
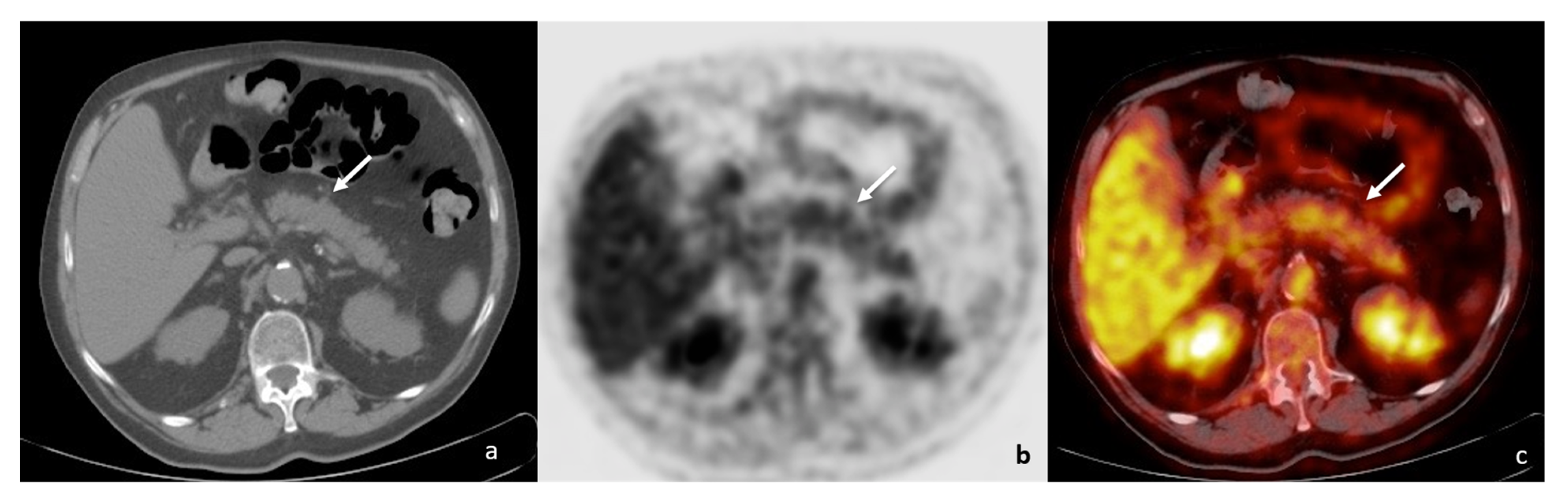
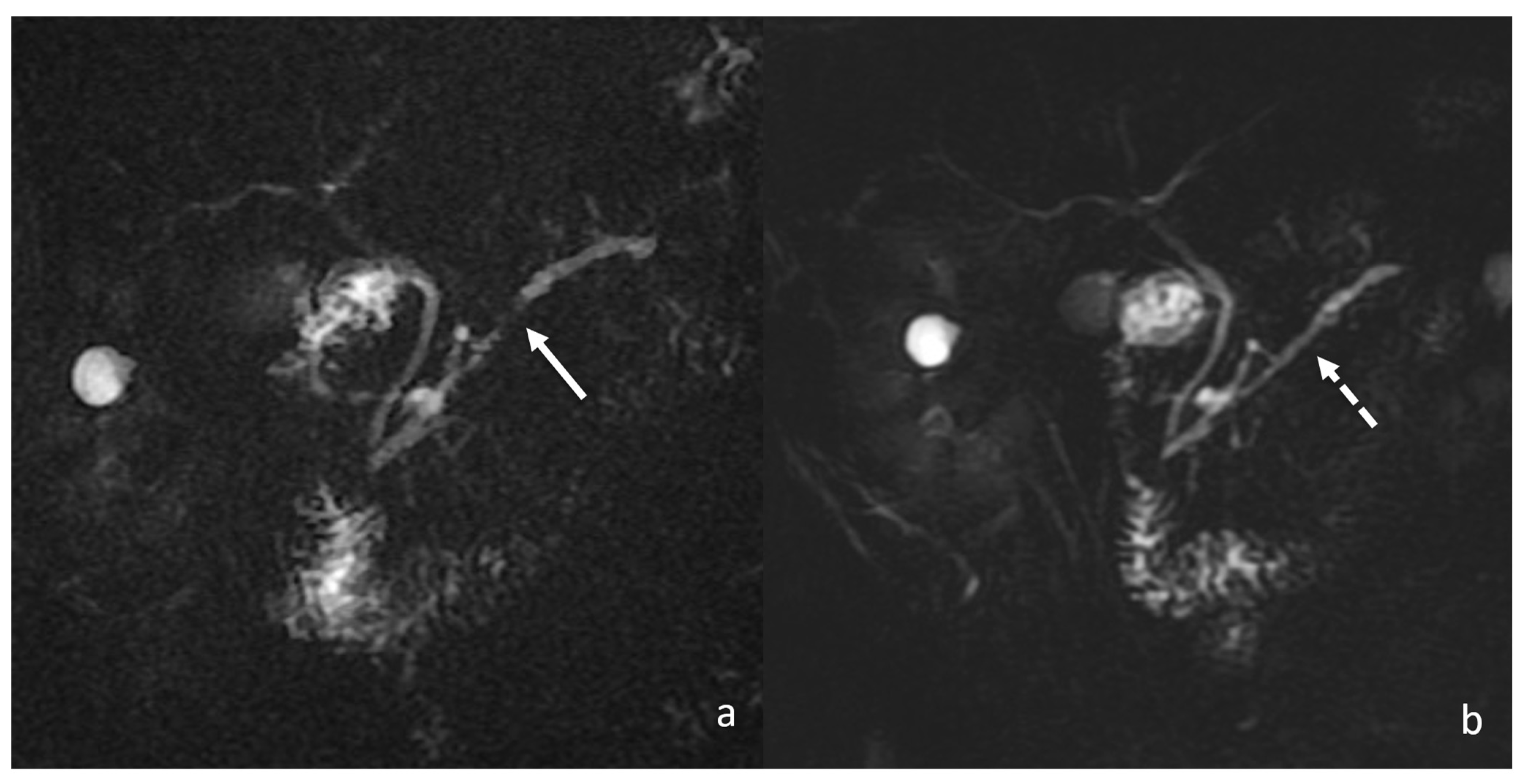
2. Case Report
3. Discussion
4. Conclusions
Author Contributions
Funding
Institutional Review Board Statement
Informed Consent Statement
Data Availability Statement
Conflicts of Interest
References
- Yang, Q.-J.; Zheng, J.; Dang, F.-T.; Wan, Y.-M.; Yang, J. Acute pancreatitis induced by combination chemotherapy used for the treatment of acute myeloid leukemia: A case report. Medicine 2020, 99, e21848. [Google Scholar] [CrossRef] [PubMed]
- McDowell, R.; Hughes, C.; Murchie, P.; Cardwell, C. The effect of medications associated with drug-induced pancreatitis on pancreatic cancer risk: A nested case-control study of routine Scottish data. Cancer Epidemiol. 2021, 71, 101880. [Google Scholar] [CrossRef] [PubMed]
- Jones, M.R.; Hall, O.M.; Kaye, A.M.; Kaye, A.D. Drug-induced acute pancreatitis: A review. Ochsner J. 2015, 15, 45–51. [Google Scholar] [PubMed]
- Badalov, N.; Baradarian, R.; Iswara, K.; Li, J.; Steinberg, W.; Tenner, S. Drug-induced acute pancreatitis: An evidence-based review. Clin. Gastroenterol. Hepatol. 2007, 5, 648–661. [Google Scholar] [CrossRef]
- Hsu, W.-L.; Chang, S.-M.; Wu, P.-Y.; Chang, C.-C. Localized autoimmune pancreatitis mimicking pancreatic cancer: Case report and literature review. J. Int. Med. Res. 2018, 46, 1657–1665. [Google Scholar] [CrossRef]
- Balani, A.R.; Grendell, J.H. Drug-induced pancreatitis: Incidence, management and prevention. Drug Saf. 2008, 31, 823–837. [Google Scholar] [CrossRef]
- Johnston, D.H.; Cornish, A. Acute pancreatitis in patients receiving chlorothiazide. JAMA 1959, 170, 2054–2056. [Google Scholar] [CrossRef]
- Wolfe, D.; Kanji, S.; Yazdi, F.; Barbeau, P.; Rice, D.; Beck, A.; Butler, C.; Esmaeilisaraji, L.; Skidmore, B.; Moher, D.; et al. Drug induced pancreatitis: A systematic review of case reports to determine potential drug associations. PLoS ONE 2020, 15, e0231883. [Google Scholar] [CrossRef]
- Nitsche, C.; Maertin, S.; Scheiber, J.; Ritter, C.A.; Lerch, M.M.; Mayerle, J. Drug-Induced Pancreatitis. Curr. Gastroenterol. Rep. 2012, 14, 131–138. [Google Scholar] [CrossRef]
- Garon, E.B.; Rizvi, N.A.; Hui, R.; Leighl, B.S.N.; Balmanoukian, A.S.; Eder, J.P.; Patnaik, A.; Aggarwal, C.; Gubens, M.; Horn, L.; et al. Pembrolizumab for the treatment of non-small-cell lung cancer. N. Engl. J. Med. 2015, 372, 2018–2028. [Google Scholar] [CrossRef]
- Pagan, A.; Arroyo-Martinez, Y.M.; Tandon, A.; Bertran-Rodriguez, C.; Gill, J. Immune Checkpoint Inhibitor-Induced Acute Pancreatitis and Colitis. Cureus 2020, 12, e8613. [Google Scholar] [CrossRef]
- Ofuji, K.; Hiramatsu, K.; Nosaka, T.; Naito, T.; Takahashi, K.; Matsuda, H.; Ohtani, M.; Imamura, Y.; Ishizuka, T.; Nakamoto, Y. Pembrolizumab-induced autoimmune side effects of colon and pancreas in a patient with lung cancer. Clin. J. Gastroenterol. 2021, 14, 1692–1699. [Google Scholar] [CrossRef]
- Common Terminology Criteria for Adverse Events (CTCAE). Available online: https://ctep.cancer.gov/protocoldevelopment/electronic_applications/ctc.htm (accessed on 19 April 2021).
- Zhang, J.; Jia, G.; Zuo, C.; Jia, N.; Wang, H. 18F- FDG PET/CT helps differentiate autoimmune pancreatitis from pancreatic cancer. BMC Cancer 2017, 17, 695. [Google Scholar] [CrossRef]
- Sun, G.-F.; Zuo, C.-J.; Shao, C.-W.; Wang, J.-H.; Zhang, J. Focal autoimmune pancreatitis: Radiological characteristics help to distinguish from pancreatic cancer. World J. Gastroenterol. 2013, 19, 3634–3641. [Google Scholar] [CrossRef]
- Vijayakumar, A.; Vijayakumar, A. Imaging of focal autoimmune pancreatitis and differentiating it from pancreatic cancer. ISRN Radiol. 2013, 2013, 569489. [Google Scholar] [CrossRef]
- Schima, W.; Böhm, G.; Rösch, C.S.; Klaus, A.; Függer, R.; Kopf, H. Mass-forming pancreatitis versus pancreatic ductal adenocarcinoma: CT and MR imaging for differentiation. Cancer Imaging 2020, 20, 52. [Google Scholar] [CrossRef]
- Lee, T.Y.; Kim, M.-H.; Park, D.H.; Seo, D.W.; Lee, S.K.; Kim, J.S.; Lee, K.T. Utility of 18F-FDG PET/CT for Differentiation of Autoimmune Pancreatitis with Atypical Pancreatic Imaging Findings From Pancreatic Cancer. Am. J. Roentgenol. 2009, 193, 343–348. [Google Scholar] [CrossRef]
- Das, J.P.; Halpenny, D.; Do, R.K.; Ulaner, G.A. Focal Immunotherapy-Induced Pancreatitis Mimicking Metastasis on FDG PET/CT. Clin. Nucl. Med. 2019, 44, 836–837. [Google Scholar] [CrossRef]
- Huang, S.; Chong, H.; Sun, X.; Wu, Z.; Jia, Q.; Zhang, Y.; Lan, X. The Value of 18F-FDG PET/CT in Diagnosing Pancreatic Lesions: Comparison with CA19-9, Enhanced CT or Enhanced MR. Front. Med. 2021, 8, 668697. [Google Scholar] [CrossRef]
- Iacobellis, F.; Laccetti, E.; Tamburrini, S.; Altiero, M.; Iaselli, F.; DI Serafino, M.; Gagliardi, N.; Danzi, R.; Rengo, A.; Romano, L.; et al. Role of multidetector computed tomography in the assessment of pancreatic injuries after blunt trauma: A multicenter experience. Gland Surg. 2019, 8, 184–196. [Google Scholar] [CrossRef]
- Fattahi, R.; Balci, N.C.; Perman, W.H.; Hsueh, E.C.; Alkaade, S.; Havlioglu, N.; Burton, F.R. Pancreatic diffusion-weighted imaging (DWI): Comparison between mass-forming focal pancreatitis (FP), pancreatic cancer (PC), and normal pancreas. J. Magn. Reson. Imaging 2009, 29, 350–356. [Google Scholar] [CrossRef] [PubMed]
- Lee, E.S.; Lee, J.M. Imaging diagnosis of pancreatic cancer: A state-of-the-art review. World J. Gastroenterol. 2014, 20, 7864–7877. [Google Scholar] [CrossRef] [PubMed]
- De Robertis, R.; Martini, P.T.; Demozzi, E.; Corso, F.D.; Bassi, C.; Pederzoli, P.; D’Onofrio, M. Diffusion-weighted imaging of pancreatic cancer. World J. Radiol. 2015, 7, 319–328. [Google Scholar] [CrossRef] [PubMed]
- Lee, S.S.; Byun, J.H.; Park, B.J.; Park, S.H.; Kim, N.; Park, B.; Kim, J.K.; Lee, M.-G. Quantitative analysis of diffusion-weighted magnetic resonance imaging of the pancreas: Usefulness in characterizing solid pancreatic masses. J. Magn. Reson. Imaging 2008, 28, 928–936. [Google Scholar] [CrossRef] [PubMed]
- Choi, S.-Y.; Kim, S.H.; Kang, T.W.; Song, K.D.; Park, H.J.; Choi, Y.-H. Differentiating mass-forming autoimmune pancreatitis from pancreatic ductal adenocarcinoma on the basis of contrast-enhanced MRI and DWI findings. Am. J. Roentgenol. 2016, 206, 291–300. [Google Scholar] [CrossRef] [PubMed]









Publisher’s Note: MDPI stays neutral with regard to jurisdictional claims in published maps and institutional affiliations. |
© 2022 by the authors. Licensee MDPI, Basel, Switzerland. This article is an open access article distributed under the terms and conditions of the Creative Commons Attribution (CC BY) license (https://creativecommons.org/licenses/by/4.0/).
Share and Cite
Di Serafino, M.; Ronza, R.; D’Auria, D.; Fiorentino, R.; Arundine, D.; De Leone, A.; Picascia, S.; Martino, A.; Crolla, E.; Campione, S.; et al. Stocky/Packed Pancreas: A Case of Focal Drug-Induced Acute Pancreatitis Mimicking Cancer. Tomography 2022, 8, 2073-2082. https://doi.org/10.3390/tomography8040174
Di Serafino M, Ronza R, D’Auria D, Fiorentino R, Arundine D, De Leone A, Picascia S, Martino A, Crolla E, Campione S, et al. Stocky/Packed Pancreas: A Case of Focal Drug-Induced Acute Pancreatitis Mimicking Cancer. Tomography. 2022; 8(4):2073-2082. https://doi.org/10.3390/tomography8040174
Chicago/Turabian StyleDi Serafino, Marco, Roberto Ronza, Divina D’Auria, Roberto Fiorentino, Dario Arundine, Annalisa De Leone, Salvatore Picascia, Alberto Martino, Enrico Crolla, Severo Campione, and et al. 2022. "Stocky/Packed Pancreas: A Case of Focal Drug-Induced Acute Pancreatitis Mimicking Cancer" Tomography 8, no. 4: 2073-2082. https://doi.org/10.3390/tomography8040174
APA StyleDi Serafino, M., Ronza, R., D’Auria, D., Fiorentino, R., Arundine, D., De Leone, A., Picascia, S., Martino, A., Crolla, E., Campione, S., Guida, G., Molino, C., Riccardi, F., & Romano, L. (2022). Stocky/Packed Pancreas: A Case of Focal Drug-Induced Acute Pancreatitis Mimicking Cancer. Tomography, 8(4), 2073-2082. https://doi.org/10.3390/tomography8040174

