High Rate of False Negative Diagnosis of Silent Patent Ductus Arteriosus on the Chest CT with 3 mm Slice-Thickness, Suggesting the Need for Analysis with Thinner Slice Thickness
Abstract
:1. Introduction
2. Materials and Methods
2.1. Study Population
2.2. Data Acquisition
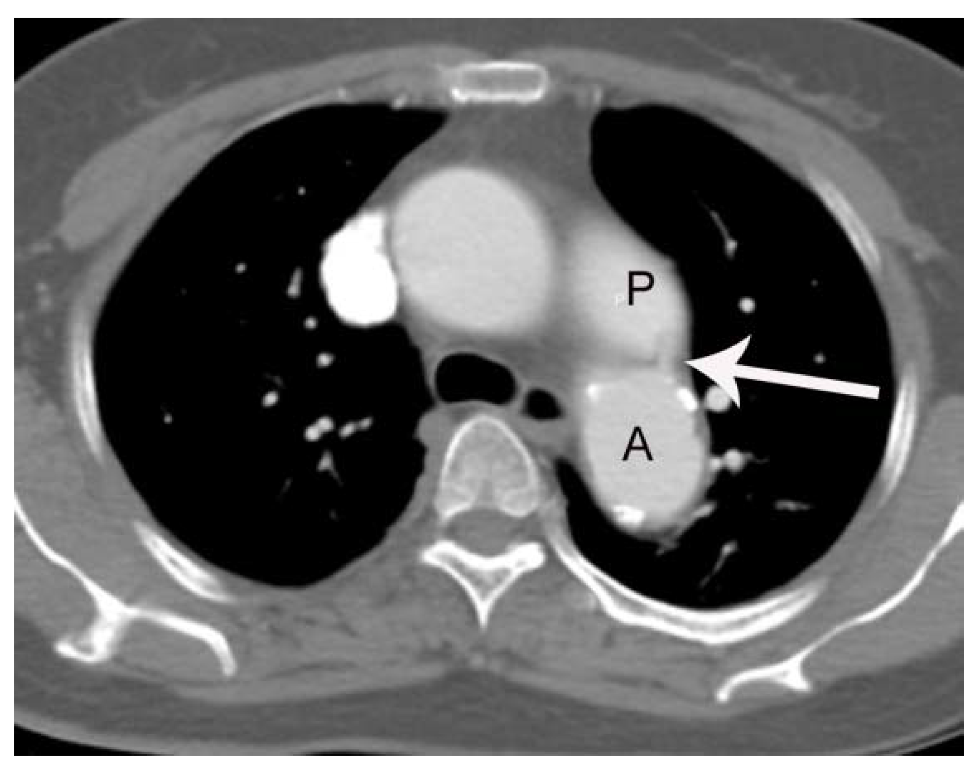
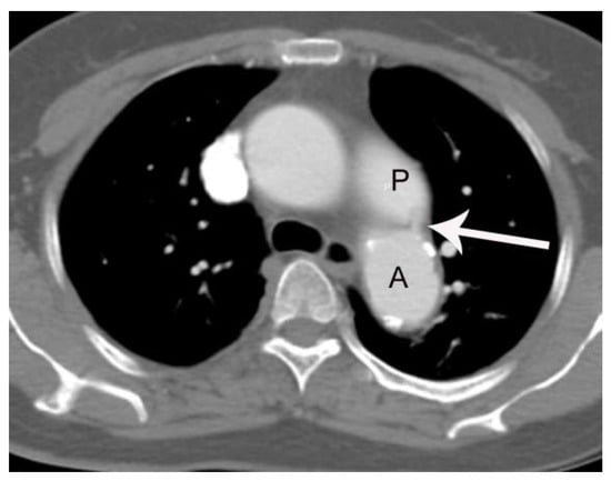
2.3. Data Analysis
2.4. Diagnostic Accuracy of PDA Diagnosis by the Two Blind Readers on Chest CT
3. Results
4. Discussion
5. Conclusions
Author Contributions
Funding
Institutional Review Board Statement
Informed Consent Statement
Data Availability Statement
Conflicts of Interest
References
- Lee, D.; Yoo, S.M.; Lee, H.Y.; White, C.S. Computed Tomography Diagnosis of Patent Ductus Arteriosus Endarteritis and Septic Pulmonary Embolism. Korean Circ. J. 2020, 50, 182–183. [Google Scholar] [CrossRef] [PubMed]
- Bilge, M.; Uner, A.; Ozeren, A.; Aydin, M.; Demirel, F.; Ermiş, B.; Ozkökeli, M. Pulmonary endarteritis and subsequent embolization to the lung as a complication of a patent ductus arteriosus-a case report. Angiology 2004, 55, 99–102. [Google Scholar] [CrossRef] [PubMed]
- Goitein, O.; Fuhrman, C.R.; Lacomis, J.M. Incidental finding on MDCT of patent ductus arteriosus: Use of CT and MRI to assess clinical importance. AJR Am. J. Roentgenol. 2005, 184, 1924–1931. [Google Scholar] [CrossRef] [PubMed]
- Schneider, D.J.; Moore, J.W. Patent ductus arteriosus. Circulation 2006, 114, 1873–1882. [Google Scholar] [CrossRef] [PubMed]
- Sudhakar, P.; Jose, J.; George, O.K. Contemporary outcomes of percutaneous closure of patent ductus arteriosus in adolescents and adults. Indian Heart J. 2018, 70, 308–315. [Google Scholar]
- Krichenko, A.; Benson, L.N.; Burrows, P.; Möes, C.A.; McLaughlin, P.; Freedom, R.M. Angiographic classification of the isolated, persistently patent ductus arteriosus and implications for percutaneous catheter occlusion. Am. J. Cardiol. 1989, 63, 877–880. [Google Scholar] [CrossRef]
- Durack, D.T.; Lukes, A.S.; Bright, D.K. New criteria for diagnosis of infective endocarditis: Utilization of specific echocardiographic findings. Duke Endocarditis Service. Am. J. Med. 1994, 96, 200–209. [Google Scholar] [CrossRef]



| Group 1 (n = 42) | Group 2 (n = 22) | p Value | |
|---|---|---|---|
| Male/female | 10/32 | 5/17 | >0.05 |
| Mean age | 47.9 ± 13.3 years | 55.9 ± 14.2 years | 0.01 |
| Systemic hypertension | 11/42 | 7/22 | >0.05 |
| Diabetes mellitus | 4/42 | 5/22 | >0.05 |
| Hemoglobin, g/dL | 13.0 ± 1.7 | 13.0 ± 1.9 | >0.05 |
| Serum creatinine, mg/dL | 0.7 ± 0.1 | 0.8 ± 0.2 | >0.05 |
| Group 1 (n = 42) | Group 2 (n = 22) | p Value | |
|---|---|---|---|
| Maximal diameter of PDA | 8.9 ± 3.4 mm | 8.4 ± 3.4 mm | >0.05 |
| Minimal diameter of PDA | 4.5 ± 2.5 mm | 4.1 ± 2.3 mm | >0.05 |
| Length of PDA | 8.2 ± 4.0 mm | 9.8 ± 4.4 mm | >0.05 |
| Type of PDA | |||
| Type 1 | 33/42 (78.6) | 16/22 (72.7) | >0.05 |
| Type 2 | 3/42 (7.1) | 1/22 (4.5) | >0.05 |
| Type 3 | 5/42 (11.9) | 4/22 (18.1) | >0.05 |
| Type 4 | 0/42 (0) | 0/22 (0) | >0.05 |
| Type 5 | 1/42 (2.4) | 0/22 (0) | >0.05 |
| Unclassified type | 0/42 (0) | 1/22 (4.5) | >0.05 |
| MPA mmHg | 34.6 ± 7.8 | 35.4 ± 8.3 | >0.05 |
| Pulmonary hypertension | 35/44 (79.5) | 16/22 (72.7) | >0.05 |
| Correct Diagnosis (n = 3) | Missed Diagnosis (n = 19) | |
|---|---|---|
| Male/female | 1/2 | 7/12 |
| Mean age | 60.7 ± 19.1 years | 56.4 ± 13.7 years |
| Systemic hypertension | 1/2 | 6/13 |
| Diabetes mellitus | 1/2 | 5/14 |
| Hemoglobin, g/dL | 13.5 ± 1.5 | 12.2 ± 1.7 |
| Serum creatinine, mg/dL | 0.8 ± 0.2 | 0.7 ± 0.1 |
| Correct Diagnosis (n = 3) | Missed Diagnosis (n = 19) | |
|---|---|---|
| Maximal diameter of PDA | 8.6 ± 5.8 mm | 8.1 ± 3.8 mm |
| Minimal diameter of PDA | 4.1 ± 2.0 mm | 4.0 ± 0.0 mm |
| Length of PDA | 10.2 ± 3.0 mm | 9.9 ± 4.7 mm |
| Type of PDA | ||
| Type 1 | 2/3 (66.7) | 13/19 (68.4) |
| Type 2 | 1/3 (33.3) | 2/19 (10.5) |
| Type 3 | 0/3 (0) | 1/19 (5.3) |
| Type 4 | 0/3 (0) | 0/19 (0) |
| Type 5 | 0/3(0) | 0/19 (0) |
| Unclassified type | 0/0 (0) | 1/19 (5.3) |
| MPA mmHg | 31.3 ± 9.3 | 34.6 ± 7.4 |
| Pulmonary hypertension | 1/3 (33.3) | 12/19 (63.2) |
| Group 1 (n = 42) | Group 2 (n = 22) | p Value | |
|---|---|---|---|
| 64-slice MDCT | 24/42 (57.1) | 13/22 (59.1) | |
| 256-slice MDCT | 18/42 (42.9) | 9/22 (40.9) | >0.05 |
Publisher’s Note: MDPI stays neutral with regard to jurisdictional claims in published maps and institutional affiliations. |
© 2021 by the authors. Licensee MDPI, Basel, Switzerland. This article is an open access article distributed under the terms and conditions of the Creative Commons Attribution (CC BY) license (https://creativecommons.org/licenses/by/4.0/).
Share and Cite
Lee, D.; Son, M.; Yoo, S.; Jung, S.; Chun, E.; White, C.S. High Rate of False Negative Diagnosis of Silent Patent Ductus Arteriosus on the Chest CT with 3 mm Slice-Thickness, Suggesting the Need for Analysis with Thinner Slice Thickness. Tomography 2021, 7, 278-285. https://doi.org/10.3390/tomography7030025
Lee D, Son M, Yoo S, Jung S, Chun E, White CS. High Rate of False Negative Diagnosis of Silent Patent Ductus Arteriosus on the Chest CT with 3 mm Slice-Thickness, Suggesting the Need for Analysis with Thinner Slice Thickness. Tomography. 2021; 7(3):278-285. https://doi.org/10.3390/tomography7030025
Chicago/Turabian StyleLee, Dongjun, Minji Son, Seungmin Yoo, Sanghoon Jung, Eunju Chun, and Charles S. White. 2021. "High Rate of False Negative Diagnosis of Silent Patent Ductus Arteriosus on the Chest CT with 3 mm Slice-Thickness, Suggesting the Need for Analysis with Thinner Slice Thickness" Tomography 7, no. 3: 278-285. https://doi.org/10.3390/tomography7030025
APA StyleLee, D., Son, M., Yoo, S., Jung, S., Chun, E., & White, C. S. (2021). High Rate of False Negative Diagnosis of Silent Patent Ductus Arteriosus on the Chest CT with 3 mm Slice-Thickness, Suggesting the Need for Analysis with Thinner Slice Thickness. Tomography, 7(3), 278-285. https://doi.org/10.3390/tomography7030025
