Emergency Radiology in the First 24 h of Two Major Earthquakes on the Same Day and Radiologic Evaluation of Trauma Cases
Abstract
1. Introduction
2. Materials and Methods
2.1. Statistical Analysis
2.2. Ethical Approval
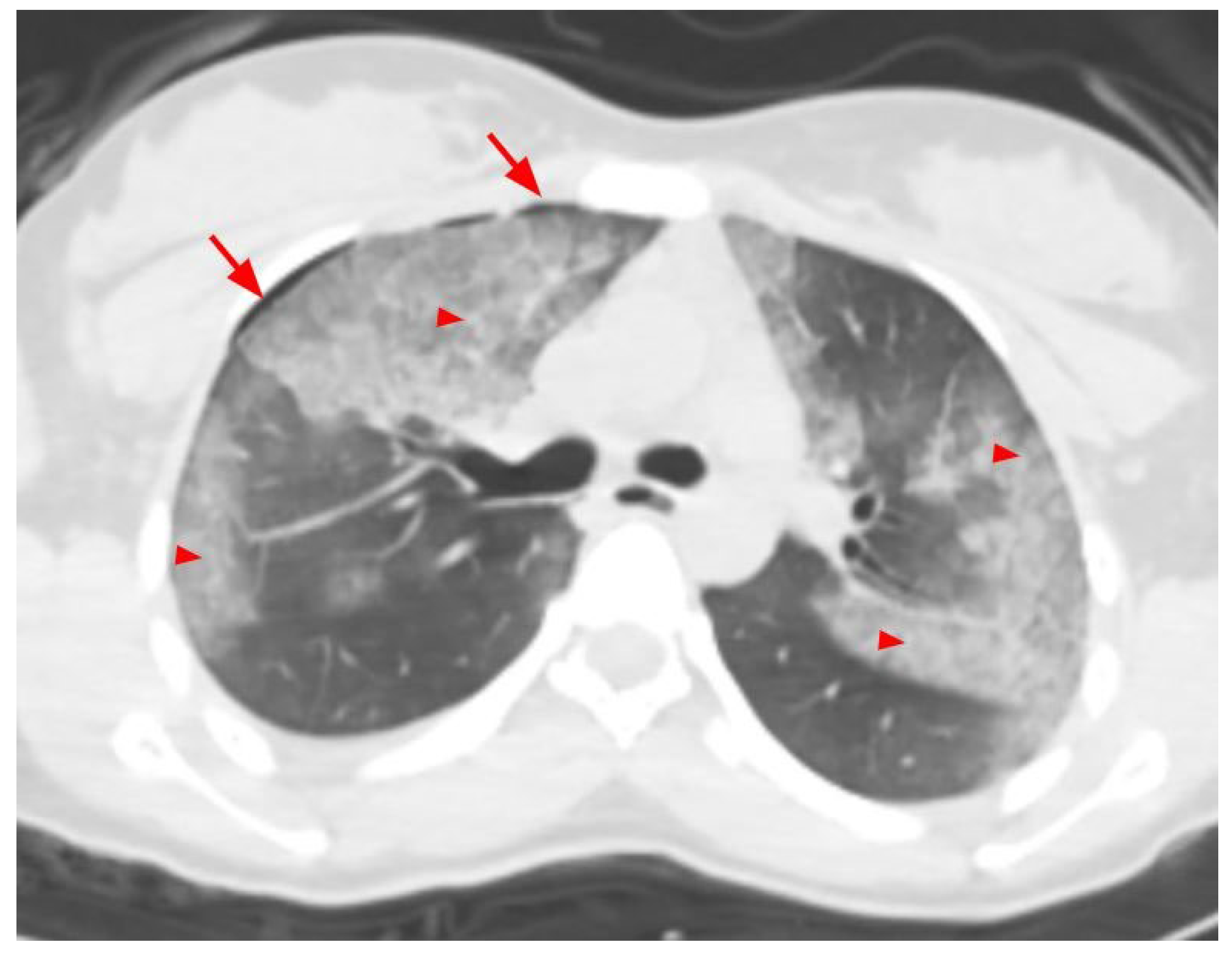
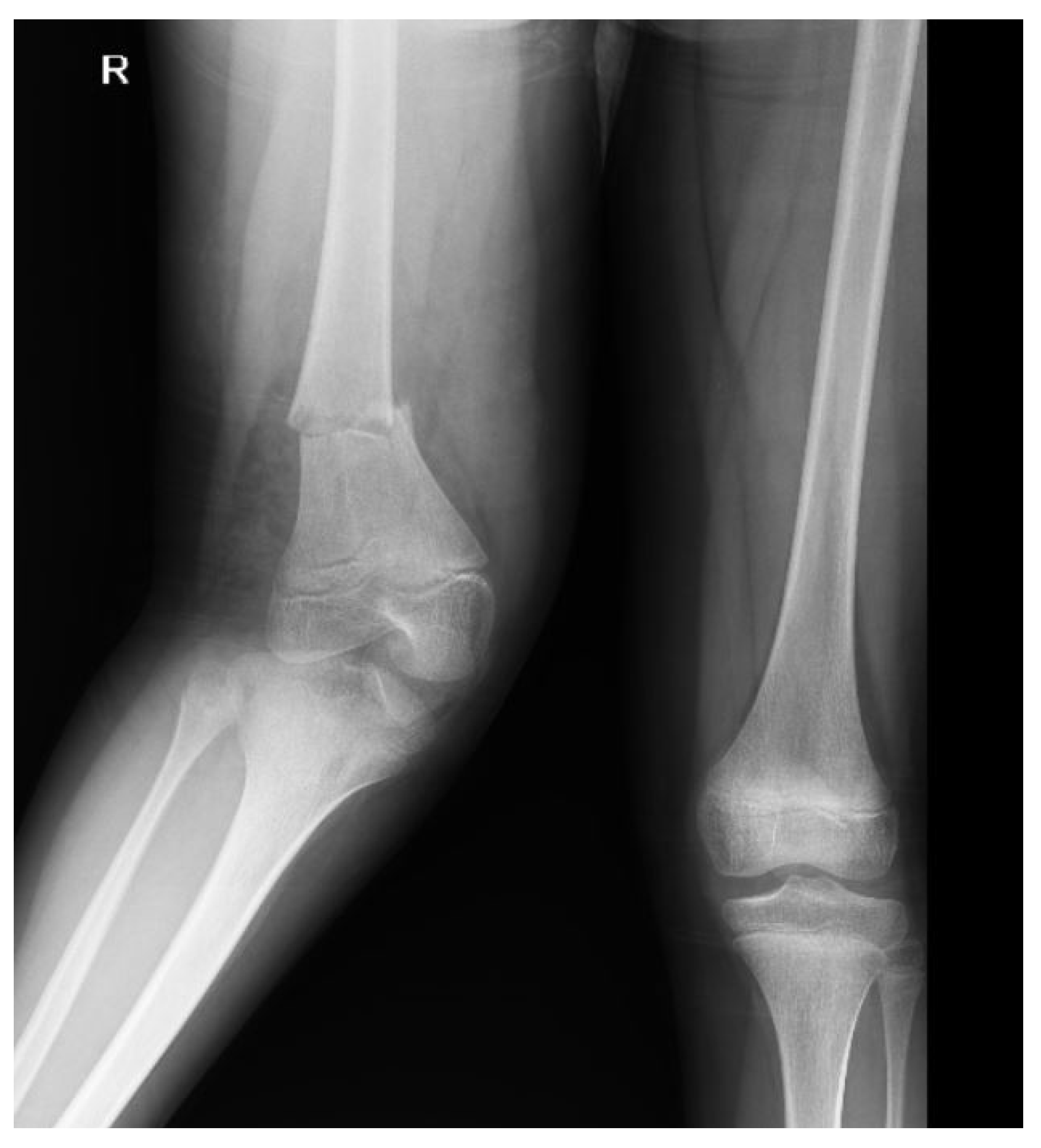
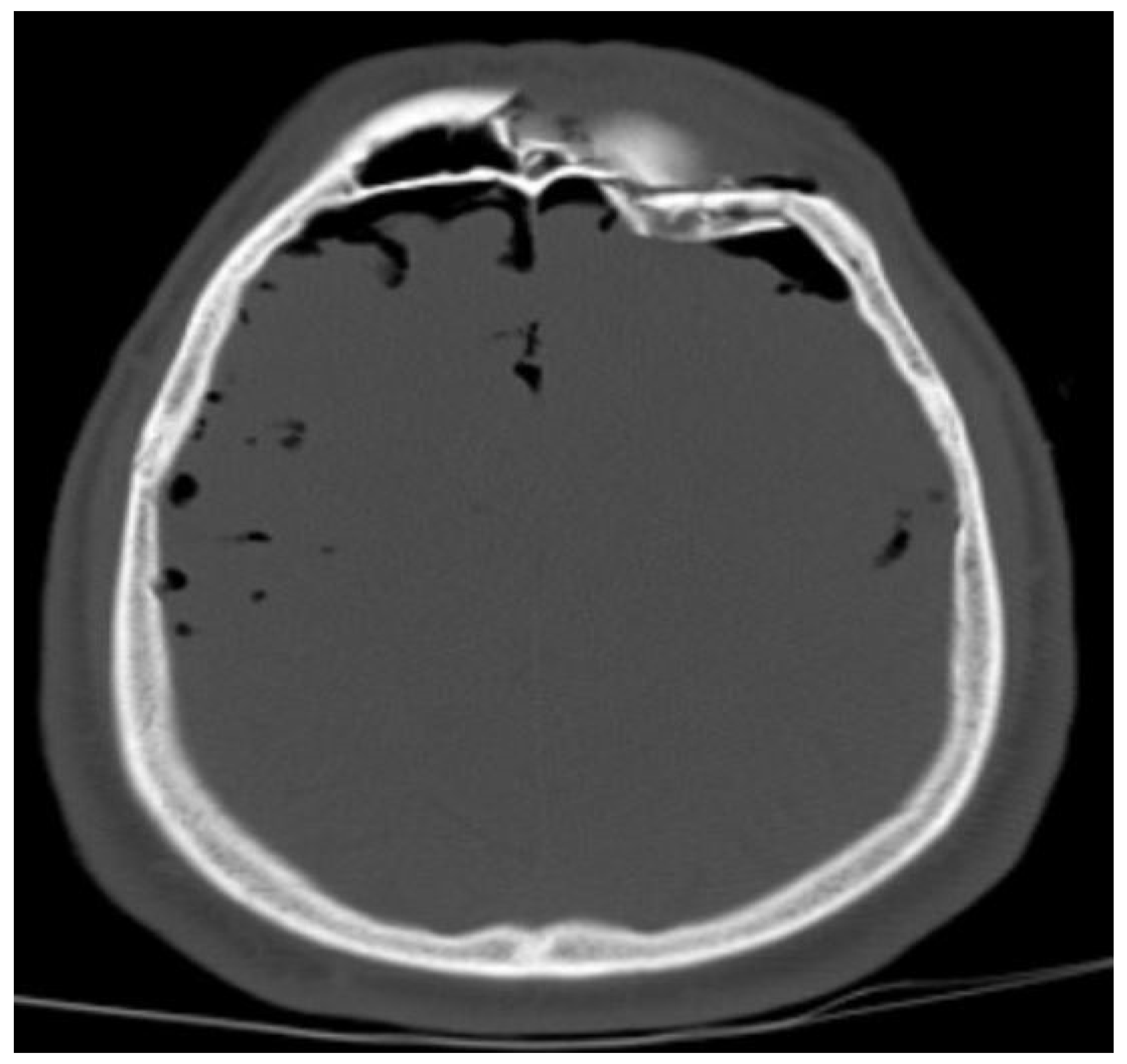
3. Results
4. Discussion
Limitations
5. Conclusions
Author Contributions
Funding
Institutional Review Board Statement
Informed Consent Statement
Data Availability Statement
Conflicts of Interest
References
- 6 February 2023 Kahramanmaraş (Pazarcık and Elbistan) Earthquakes Field Studies Reliminary Evaluation Report [Serial on Line 24 February 2023]. Available online: https://deprem.afad.gov.tr/content/137 (accessed on 1 January 2024).
- The Number of People Who Lost Their Lives in the Earthquakes Centered in Kahramanmaraş Was 50 Thousand 96 [Serial On line 20 March 2023]. Available online: https://www.aa.com.tr/tr/asrin-felaketi/kahramanmaras-merkezli-depremlerde-hayatini-kaybedenlerin-sayisi-50-bin-96-oldu/2850716 (accessed on 1 January 2024).
- Iyama, A.; Utsunomiya, D.; Uetani, H.; Kidoh, M.; Sugahara, T.; Yoshimatsu, S.; Yamashita, Y. Emergency radiology after a massive earthquake: Clinical perspective. Jpn. J. Radiol. 2018, 36, 641–648. [Google Scholar] [CrossRef] [PubMed]
- Aydin, S.; Kazci, O.; Ece, B.; Kantarci, M. Earthquakes from a radiological perspective: What is demanded from the radiologists, and what can we do? A pictorial review. Diagn. Interv. Radiol. 2024, 30, 30–41. [Google Scholar] [CrossRef] [PubMed]
- Lu-Ping, Z.; Rodriguez-Llanes, J.M.; Qi, W.; Oever, B.v.D.; Westman, L.; Albela, M.; Liang, P.; Gao, C.; De-Sheng, Z.; Hughes, M.; et al. Multiple injuries after earthquakes: A retrospective analysis on 1871 injured patients from the 2008 Wenchuan earthquake. Crit. Care 2012, 16, R87. [Google Scholar] [CrossRef]
- Huber-Wagner, S.; Lefering, R.; Qvick, L.-M.; Körner, M.; Kay, M.V.; Pfeifer, K.-J.; Reiser, M.; Mutschler, W.; Kanz, K.-G. Effect of whole-body CT during trauma resuscitation on survival: A retrospective, multicentre study. Lancet 2009, 373, 1455–1461. [Google Scholar] [CrossRef]
- Sierink, J.C.; Saltzherr, T.P.; Beenen, L.F.M.; Russchen, M.J.A.M.; Luitse, J.S.K.; Dijkgraaf, M.G.W.; Goslings, J.C. A case-matched series of immediate total-body CT scanning versus the standard radiological work-up in trauma patients. World J. Surg. 2014, 38, 795–802. [Google Scholar] [CrossRef] [PubMed]
- Maezawa, S.; Kudo, D.; Furukawa, H.; Nakagawa, A.; Yamanouchi, S.; Matsumura, T.; Egawa, S.; Tominaga, T.; Kushimoto, S. Radiology Diagnostic Devices under Emergency Electric Power at Disaster Base Hospitals during the Acute Phase of the Great East Japan Earthquake: Results of a Survey of All Disaster Base Hospitals in Miyagi Prefecture. Disaster Med. Public Health Prep. 2014, 8, 548–552. [Google Scholar] [CrossRef]
- Hou, C.; Hafeez, S.; Okun, J.; Chaudhry, H.; Dym, R.J. Learning from Disaster: What Past Events Can Teach Radiology Departments about Planning for a Mass Casualty Incident. Curr. Probl. Diagn. Radiol. 2023, 52, 418–424. [Google Scholar] [CrossRef]
- Heffernan, T.E., 4th; Alle, S.; Matthews, C.C. Weathering the storm: Maintaining an operational radiology department at Ochsner Medical Center throughout Hurricane Katrina. Radiology 2007, 242, 334–337. [Google Scholar] [CrossRef]
- Fallah-Aliabadi, S.; Ostadtaghizadeh, A.; Ardalan, A.; Fatemi, F.; Khazai, B.; Mirjalili, M.R. Towards developing a model for the evaluation of hospital disaster resilience: A systematic review. BMC Health Serv. Res. 2020, 20, 64. [Google Scholar] [CrossRef]
- Berger, F.H.; Körner, M.; Bernstein, M.P.; Sodickson, A.D.; Beenen, L.F.; McLaughlin, P.D.; Kool, D.R.; Bilow, R.M. Emergency imaging after a mass casualty incident: Role of the radiology department during training for and activation of a disaster management plan. Br. J. Radiol. 2016, 89, 20150984. [Google Scholar] [CrossRef]
- Bolster, F.; Linnau, K.; Mitchell, S.; Roberge, E.; Nguyen, Q.; Robinson, J.; Lehnert, B.; Gross, J. Emergency radiology and mass casualty incidents—Report of a mass casualty incident at a level 1 trauma center. Emerg. Radiol. 2016, 24, 47–53. [Google Scholar] [CrossRef]
- Gibney, B.T.; Roberts, J.M.; D’Ortenzio, R.M.; Sheikh, A.M.; Nicolaou, S.; Roberge, E.A.; O’Neill, S.B. Preventing and Mitigating Radiology System Failures: A Guide to Disaster Planning. RadioGraphics 2021, 41, 2111–2126. [Google Scholar] [CrossRef] [PubMed]
- de Ryke, R. The Christchurch earthquake: Ultrasound in a mass trauma event. Australas. J. Ultrasound Med. 2012, 15, 78–81. [Google Scholar] [CrossRef]
- Körner, M.; Krötz, M.M.; Degenhart, C.; Pfeifer, K.-J.; Reiser, M.F.; Linsenmaier, U. Current role of emergency US in patients with major trauma. RadioGraphics 2008, 28, 225–242. [Google Scholar] [CrossRef] [PubMed]
- Erdemir, A.G.; Yurttutan, N.; Onur, M.R.; İdilman, I.S.; Öztürk, M.H.; Ertürk, M.; Çevikol, C.; Akpınar, E. Radiological management and challenges of the twin earthquakes of February 6th. Emerg. Radiol. 2023, 30, 659–666. [Google Scholar] [CrossRef] [PubMed]
- Robinson, J.D.; Gross, J.A.; Cohen, W.A.; Linnau, K.F. Operational Considerations in Emergency Radiology. Semin. Roentgenol. 2020, 55, 83–94. [Google Scholar] [CrossRef]
- Miele, V.; Andreoli, C.; Grassi, R. The management of emergency radiology: Key facts. Eur. J. Radiol. 2006, 59, 311–314. [Google Scholar] [CrossRef]
- O’neill, S.B.; Gibney, B.; O’keeffe, M.E.; Barrett, S.; Louis, L. Mass Casualty Imaging-Policy, Planning, and Radiology Response to Mass Casualty Incidents. Can. Assoc. Radiol. J. 2020, 71, 388–395. [Google Scholar] [CrossRef] [PubMed]
- Stuart, E.M.; Shanmuganatha, K.; Donohue, R.; White, W.H.; Fritz, S. Mobile computed tomography in the trauma/critical care environment: Preliminary clinical experience. Emerg. Radiol. 1997, 4, 212–217. [Google Scholar]
- Dag, N. Mobile computed tomography scanner in trailer: A field hospital experience. Eur. Rev. Med. Pharmacol. Sci. 2022, 26, 6953–6957. [Google Scholar] [CrossRef]
- Gregan, J.; Balasingam, A.; Butler, A. Radiology in the Christchurch earthquake of 22 February 2011: Challenges, interim processes and clinical priorities. J. Med. Imaging Radiat. Oncol. 2016, 60, 172–181. [Google Scholar] [CrossRef] [PubMed]
- Treskes, K.; Russchen, M.; Beenen, L.; de Jong, V.; Kolkman, S.; de Bruin, I.; Dijkgraaf, M.; Van Lieshout, E.; Saltzherr, T.; Goslings, J. Early detection of severe injuries after major trauma by immediate total-body CT scouts. Injury 2020, 51, 15–19. [Google Scholar] [CrossRef] [PubMed]
- Clark, K.R. Imaging earthquake-related injuries. Radiol. Technol. 2018, 89, 351–367. [Google Scholar]
- MacKenzie, J.S.; Banskota, B.; Sirisreetreerux, N.; Shafiq, B.; Hasenboehler, E.A. A review of the epidemiology and treatment of orthopaedic injuries after earthquakes in developing countries. World J. Emerg. Surg. 2017, 12, 9. [Google Scholar] [CrossRef]
- Dong, Z.-H.; Yang, Z.-G.; Chen, T.-W.; Chu, Z.-G.; Deng, W.; Shao, H. Thoracic Injuries in earthquake-related versus non-earthquake-related trauma patients: Differentiation via Multi-detector Computed Tomography. Clinics 2011, 66, 817–822. [Google Scholar] [CrossRef][Green Version]
- Ezgü, M.C. Thoracolumbar fractures after the 2023 Türkiye earthquake and controversial mechanism of occurrence. Turk. J. Trauma Emerg. Surg. 2023, 29, 1303–1307. [Google Scholar] [CrossRef]
- Alpergin, B.C.; Mete, E.B.; Zaimoglu, M.; Caglar, Y.S.; Orhan, O.; Hasimoglu, S.; Eroglu, U. Common Vertebral Fracture Level after the 2023 Turkey Earthquake, Thoracolumbar Junction, due to Hyper-Flexed and Fixed Posture at Trýangle of Life Areas. Turk. Neurosurg. 2023, 34, 485–489. [Google Scholar] [CrossRef]
- Maruo, S.; Matumoto, M. Spinal fractures resulting from the 1995 Great Hanshin Earthquake of the Kobe—Osaka area of Japan. Spinal Cord 1996, 34, 382–386. [Google Scholar] [CrossRef] [PubMed]
- Cellina, M.; Cè, M.; Irmici, G.; Ascenti, V.; Caloro, E.; Bianchi, L.; Pellegrino, G.; D’Amico, N.; Papa, S.; Carrafiello, G. Artificial Intelligence in Emergency Radiology: Where Are We Going? Diagnostics 2022, 12, 3223. [Google Scholar] [CrossRef]
- Polzer, C.; Yilmaz, E.; Meyer, C.; Jang, H.; Jansen, O.; Lorenz, C.; Bürger, C.; Glüer, C.C.; Sedaghat, S. AI-based automated detec-tion and stability analysis of traumatic vertebral body fractures on computed tomography. Eur. J. Radiol. 2024, 173, 111364. [Google Scholar] [CrossRef]
- Igarashi, Y.; Matsumoto, N.; Kubo, T.; Yamaguchi, M.; Nakae, R.; Onda, H.; Yokobori, S.; Koido, Y.; Yokota, H. Prevalence and Characteristics of Earthquake-Related Head Injuries: A Systematic Review. Disaster Med. Public Health Prep. 2022, 16, 1253–1258. [Google Scholar] [CrossRef] [PubMed]






| n (%) | |
|---|---|
| Male | 313 (52.5) |
| Female | 283 (47.5) |
| 0–17 age | 97 (16.3) |
| ≥18 age | 499 (83.7) |
| 596 (100) |
| Image Modality | n (%) |
|---|---|
| CT | 363 (60.9) |
| Radiography | 159 (26.7) |
| CT and Radiography | 74 (12.4) |
| 596 (100) |
| 0–17 Age (n = 19) | ≥18 Age (n = 141) | All Ages (n = 160) | p | ||||
|---|---|---|---|---|---|---|---|
| Finding + n (%) | Finding − n (%) | Finding + n (%) | Finding − n (%) | Finding + n (%) | Finding − n (%) | ||
| Thorax | 7 (36.8) | 12 (63.2) | 45 (31.9) | 96 (68.1) | 52 (32.5) | 108 (67.5) | 0.667 |
| Vertebra | 3 (15.8) | 16 (84.2) | 49 (34.8) | 92 (65.2) | 52 (32.5) | 108 (67.5) | 0.098 |
| Limb | 5 (26.3) | 14 (73.7) | 41 (29.1) | 100 (70.9) | 46 (28.7) | 114 (71.3) | 0.803 |
| Pelvis | 1 (5.3) | 18 (94.7) | 22 (15.6) | 119 (84.4) | 23 (14.4) | 137 (85.6) | 0.228 |
| Head | 5 (26.3) | 14 (73.7) | 13 (9.2) | 128 (90.8) | 18 (11.3) | 142 (88.7) | 0.027 |
| Abdomen | 1 (5.3) | 18 (94.7) | 8 (5.7) | 133 (94.3) | 9 (5.6) | 151 (94.4) | 0.942 |
| Others | 1 (5.3) | 18 (94.7) | 15 (10.6) | 126 (89.4) | 16 (10.0) | 144 (90.0) | 0.463 |
Disclaimer/Publisher’s Note: The statements, opinions and data contained in all publications are solely those of the individual author(s) and contributor(s) and not of MDPI and/or the editor(s). MDPI and/or the editor(s) disclaim responsibility for any injury to people or property resulting from any ideas, methods, instructions or products referred to in the content. |
© 2024 by the authors. Licensee MDPI, Basel, Switzerland. This article is an open access article distributed under the terms and conditions of the Creative Commons Attribution (CC BY) license (https://creativecommons.org/licenses/by/4.0/).
Share and Cite
Ilgar, M.; Dağ, N. Emergency Radiology in the First 24 h of Two Major Earthquakes on the Same Day and Radiologic Evaluation of Trauma Cases. Tomography 2024, 10, 1320-1330. https://doi.org/10.3390/tomography10080099
Ilgar M, Dağ N. Emergency Radiology in the First 24 h of Two Major Earthquakes on the Same Day and Radiologic Evaluation of Trauma Cases. Tomography. 2024; 10(8):1320-1330. https://doi.org/10.3390/tomography10080099
Chicago/Turabian StyleIlgar, Mehtap, and Nurullah Dağ. 2024. "Emergency Radiology in the First 24 h of Two Major Earthquakes on the Same Day and Radiologic Evaluation of Trauma Cases" Tomography 10, no. 8: 1320-1330. https://doi.org/10.3390/tomography10080099
APA StyleIlgar, M., & Dağ, N. (2024). Emergency Radiology in the First 24 h of Two Major Earthquakes on the Same Day and Radiologic Evaluation of Trauma Cases. Tomography, 10(8), 1320-1330. https://doi.org/10.3390/tomography10080099
