Uncommon Causes of Interlobular Septal Thickening on CT Images and Their Distinguishing Features
Abstract
1. Introduction
- Anatomy of the secondary pulmonary lobule:
- Key components:
- Centrilobular region: Located centrally, it contains pre-terminal, terminal, and respiratory bronchioles and accompanying pulmonary arterioles and lymphatic vessels.
- Lobular parenchyma: This is the bulk of the secondary pulmonary lobule, surrounding the centrilobular region. It consists of the following:
- ◦
- Respiratory acini: These microscopic units are the functional sites of gas exchange.
- ◦
- Intralobular septa: These are delicate connective tissue structures within the secondary pulmonary lobule that support the alveoli and house the capillary network. They are not typically visible on CT scans of healthy patients.
- Interlobular septa: These are thicker connective tissue structures along the periphery of secondary pulmonary lobules that are perpendicularly oriented to the pleura. They contain lymphatic vessels and pulmonary venules. ILST refers to the thickening of these interlobular septa, which can be seen on CT scans, although isolated interlobular septa may occasionally be visible on CT in healthy patients in the lung apices and bases [2,3].
2. Infections
2.1. COVID-19 Pneumonia
2.2. Bacterial Pneumonia
2.3. Viral Pneumonia
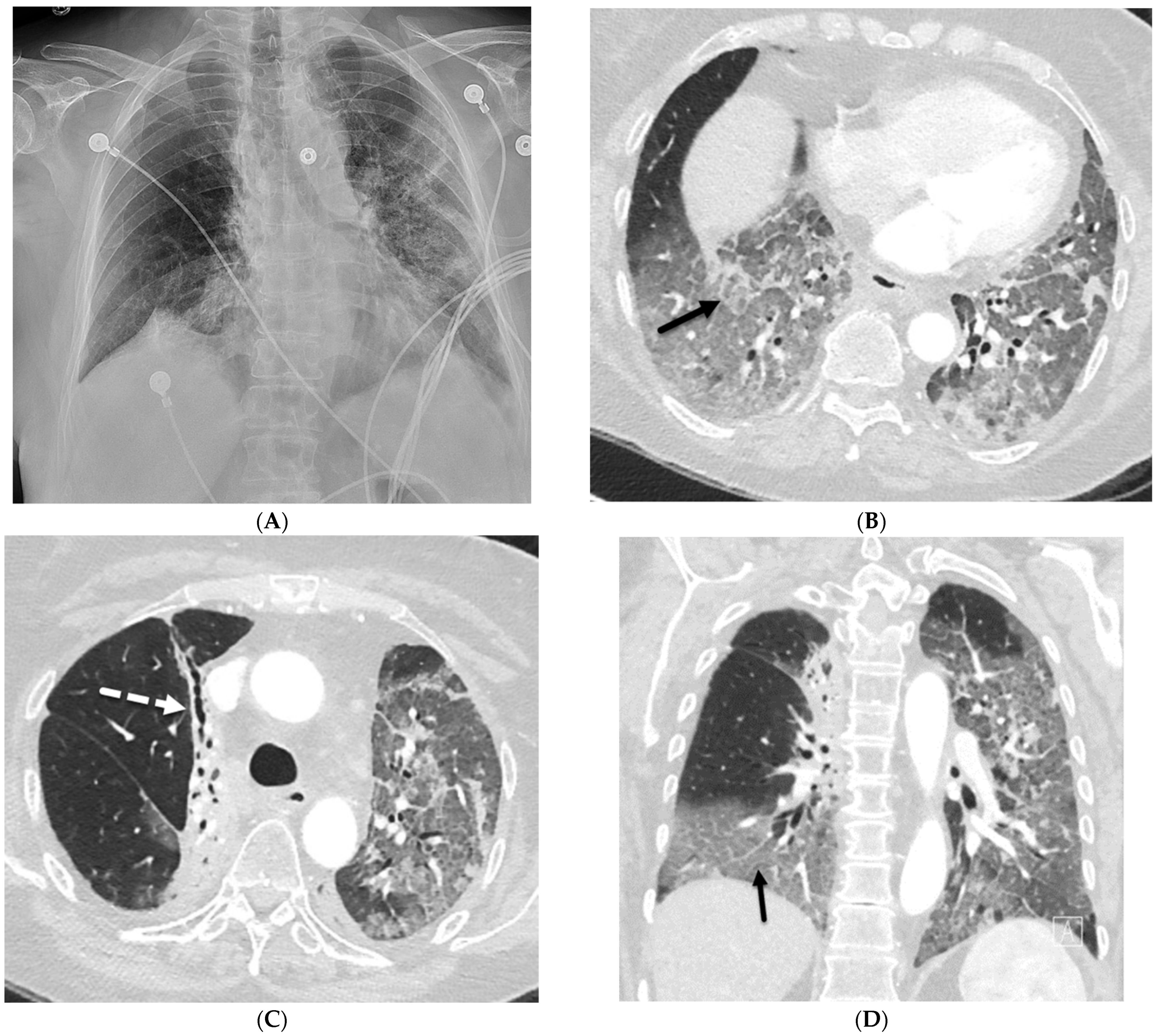
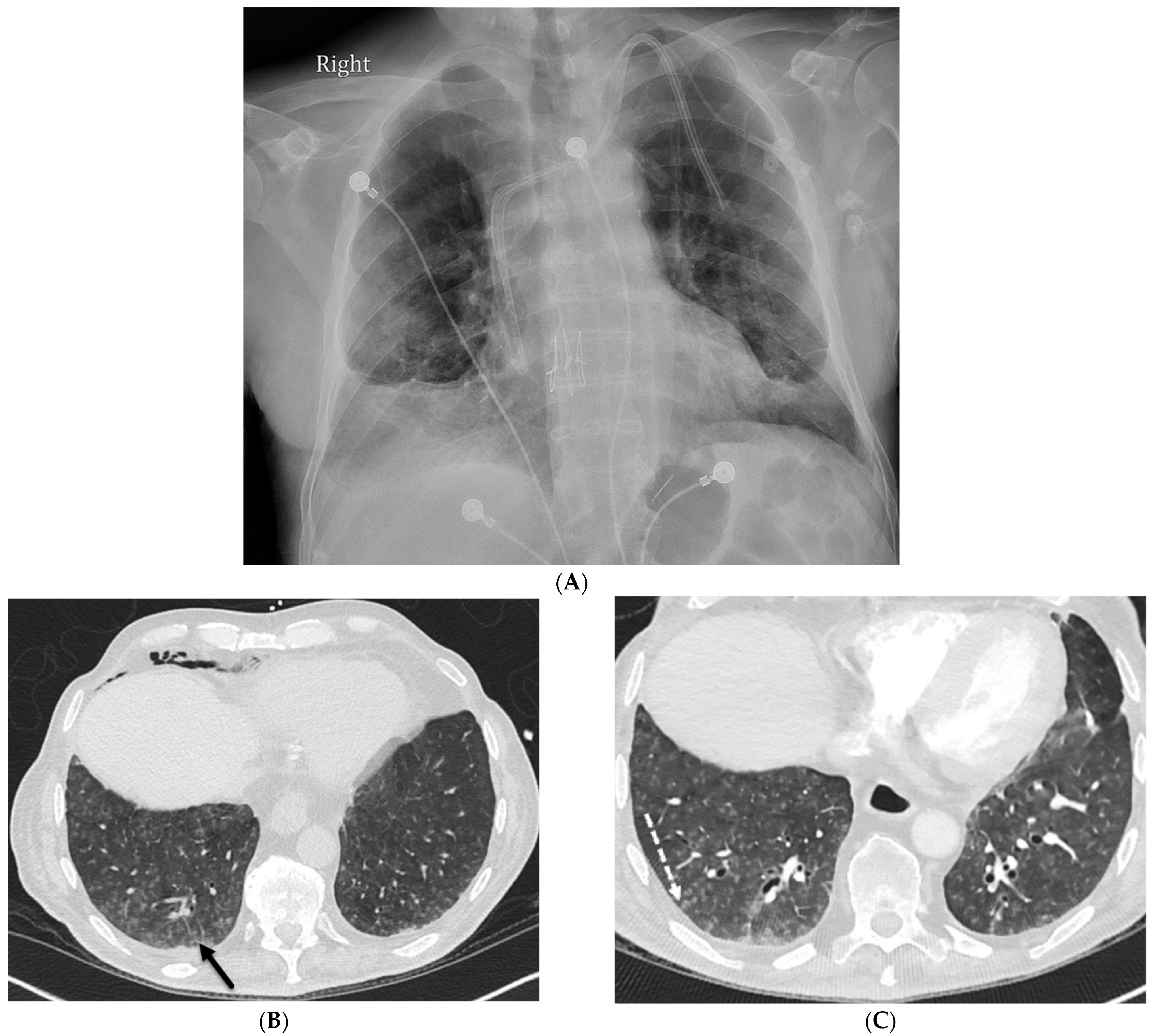
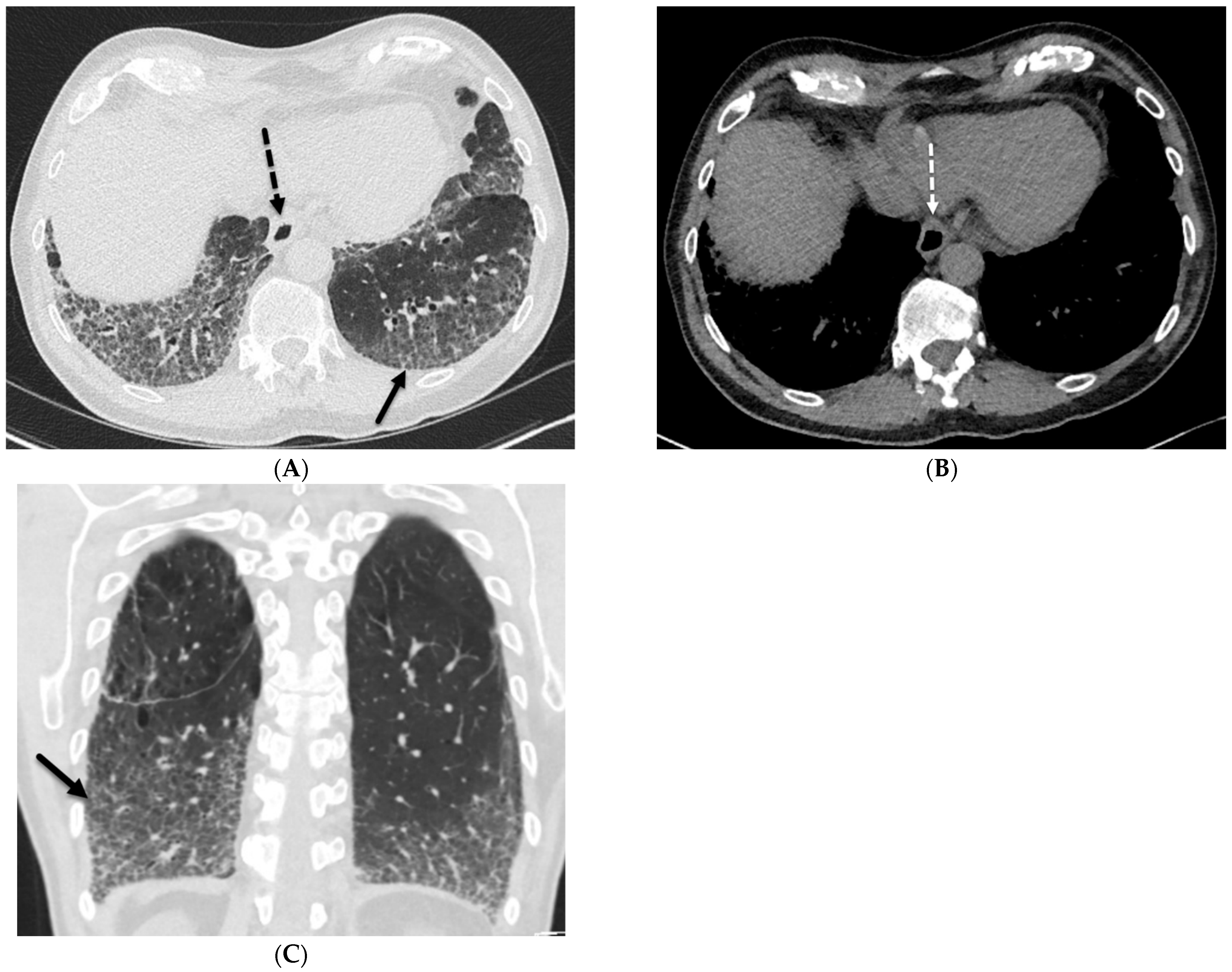
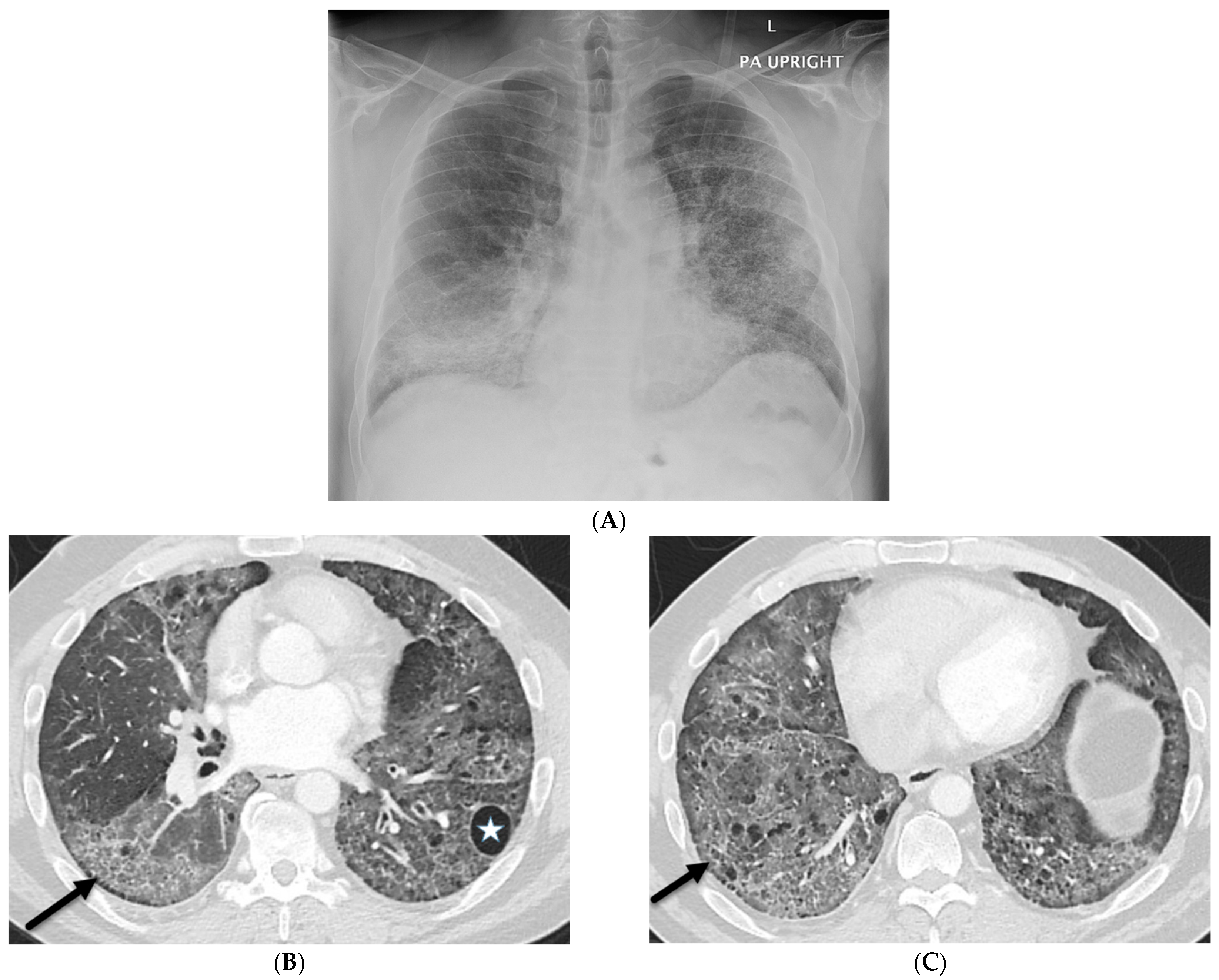
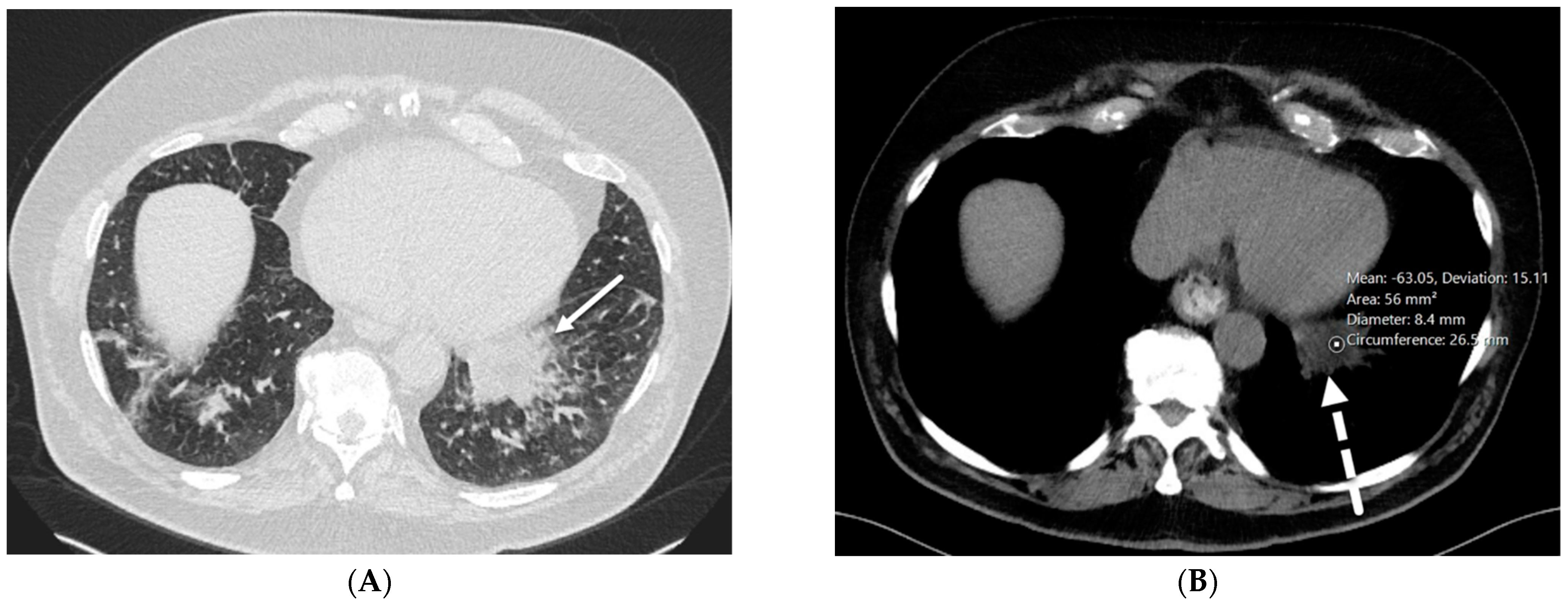
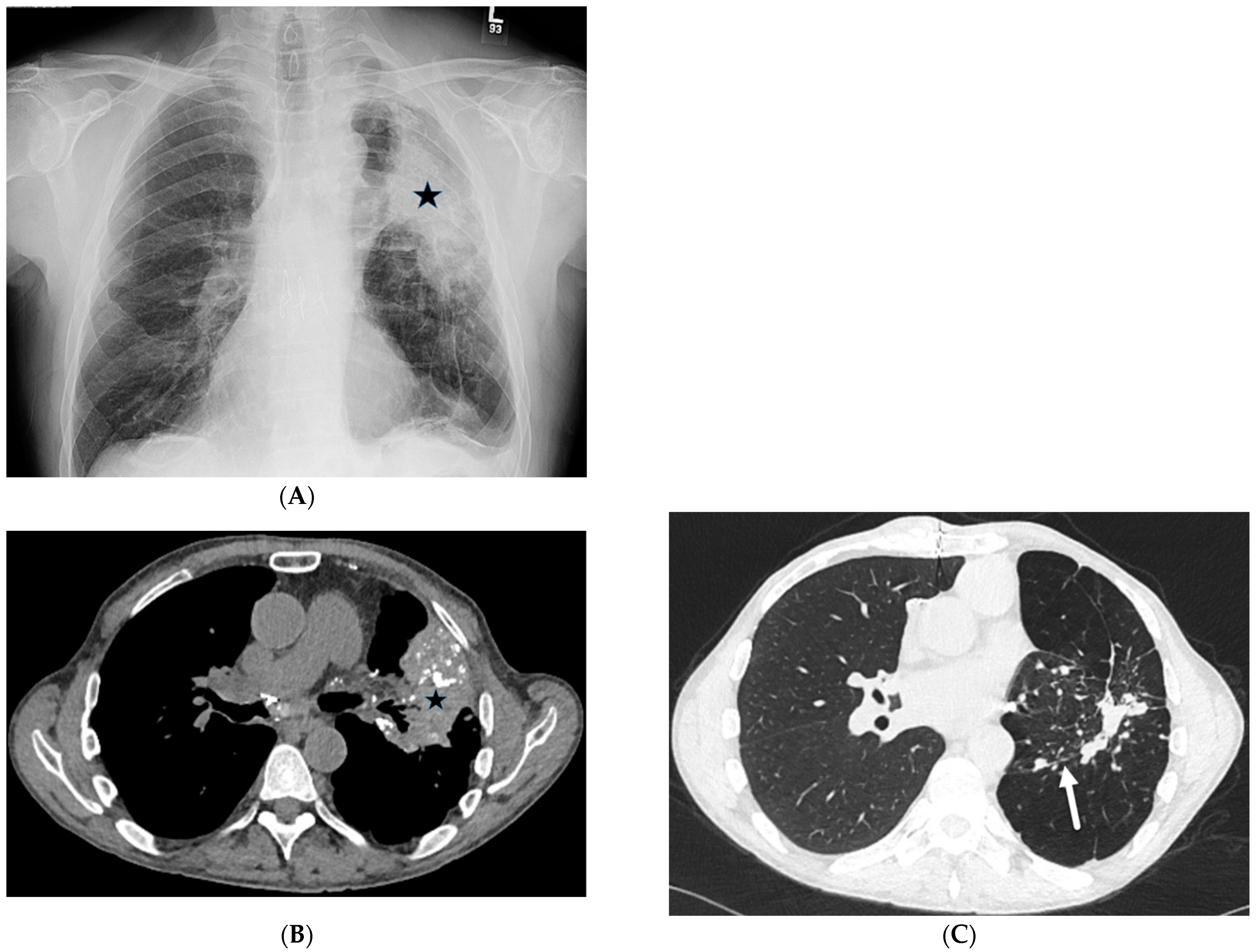
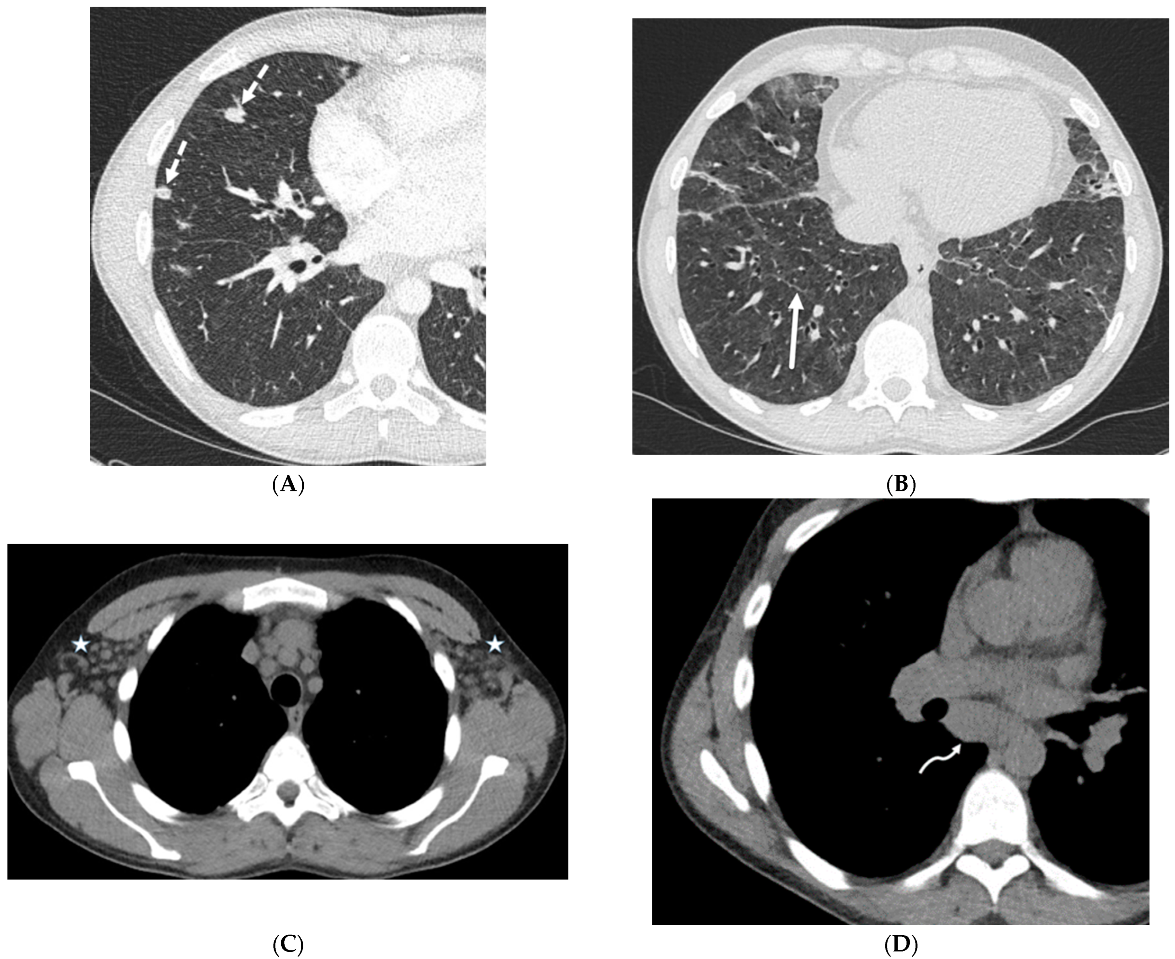
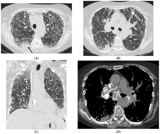
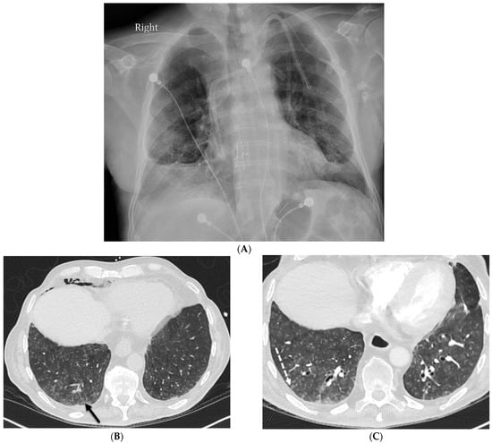
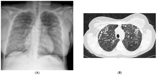
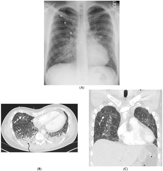
2.4. Pneumocystis Jiroveci Pneumonia (PJP)
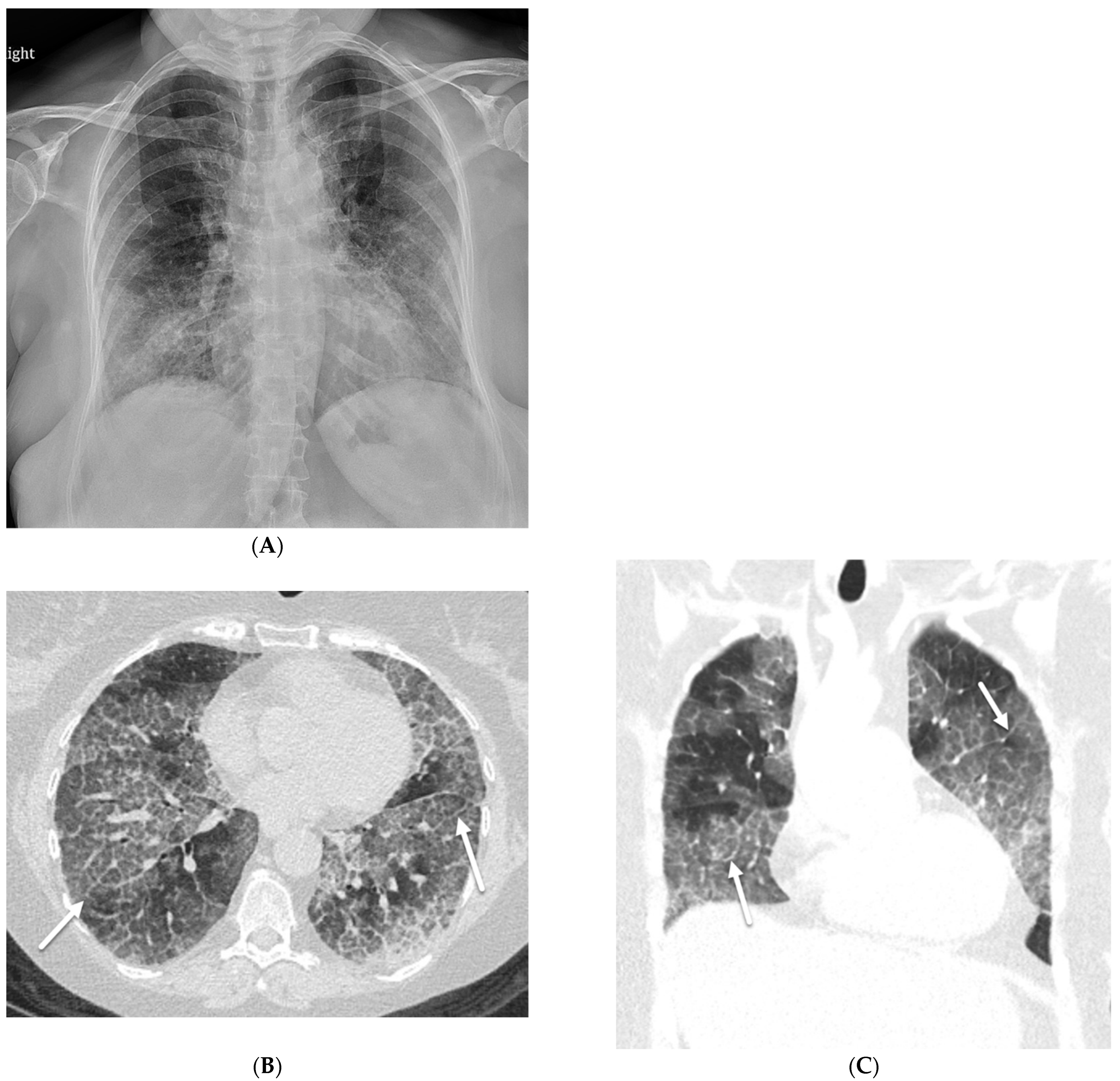
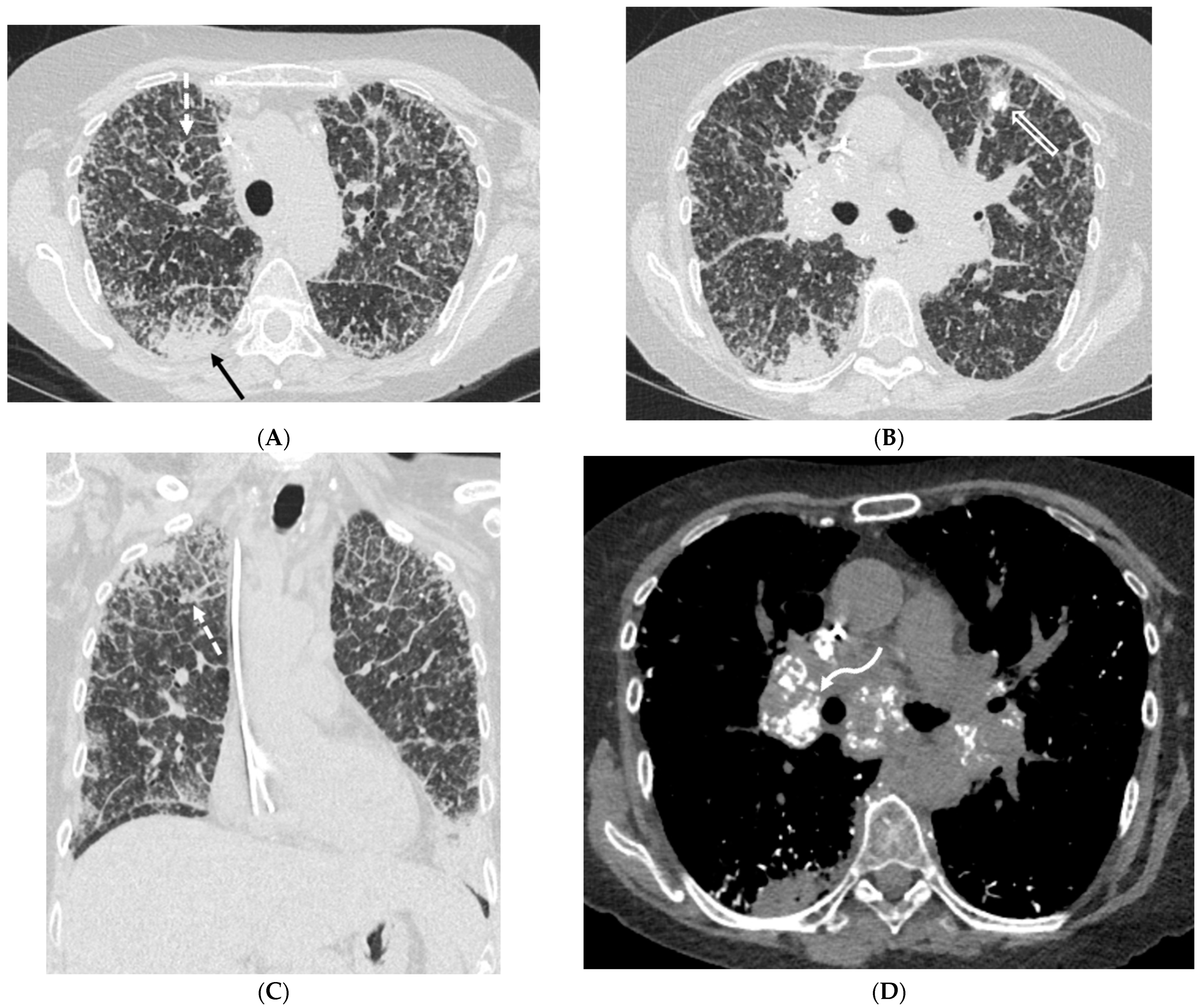
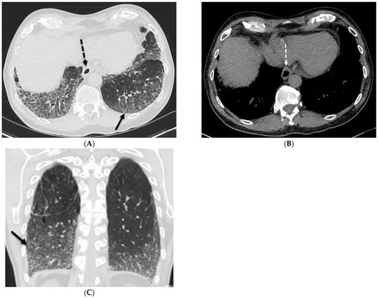
3. Interstitial Lung Diseases
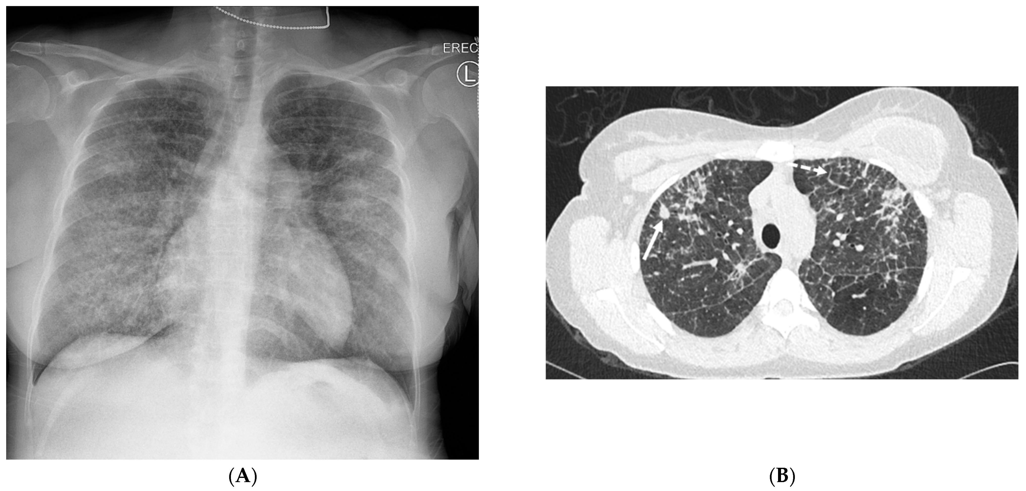
3.1. Usual Interstitial Pneumonia (UIP)
3.2. Nonspecific Interstitial Pneumonia (NSIP)
3.3. Hypersensitivity Pneumonitis (HP)
3.4. Organizing Pneumonia (OP)
3.5. Lymphoid Interstitial Pneumonia (LIP)
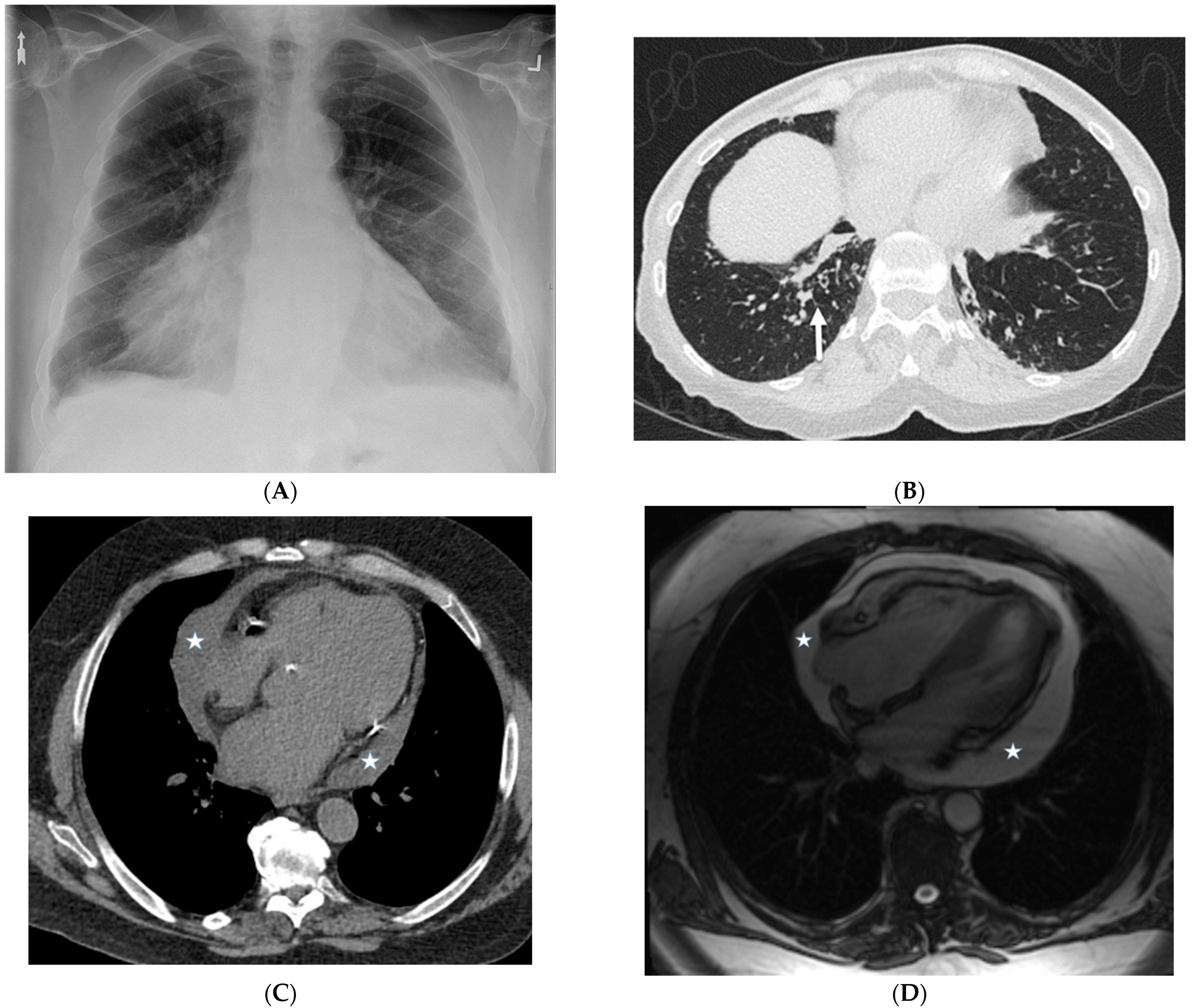
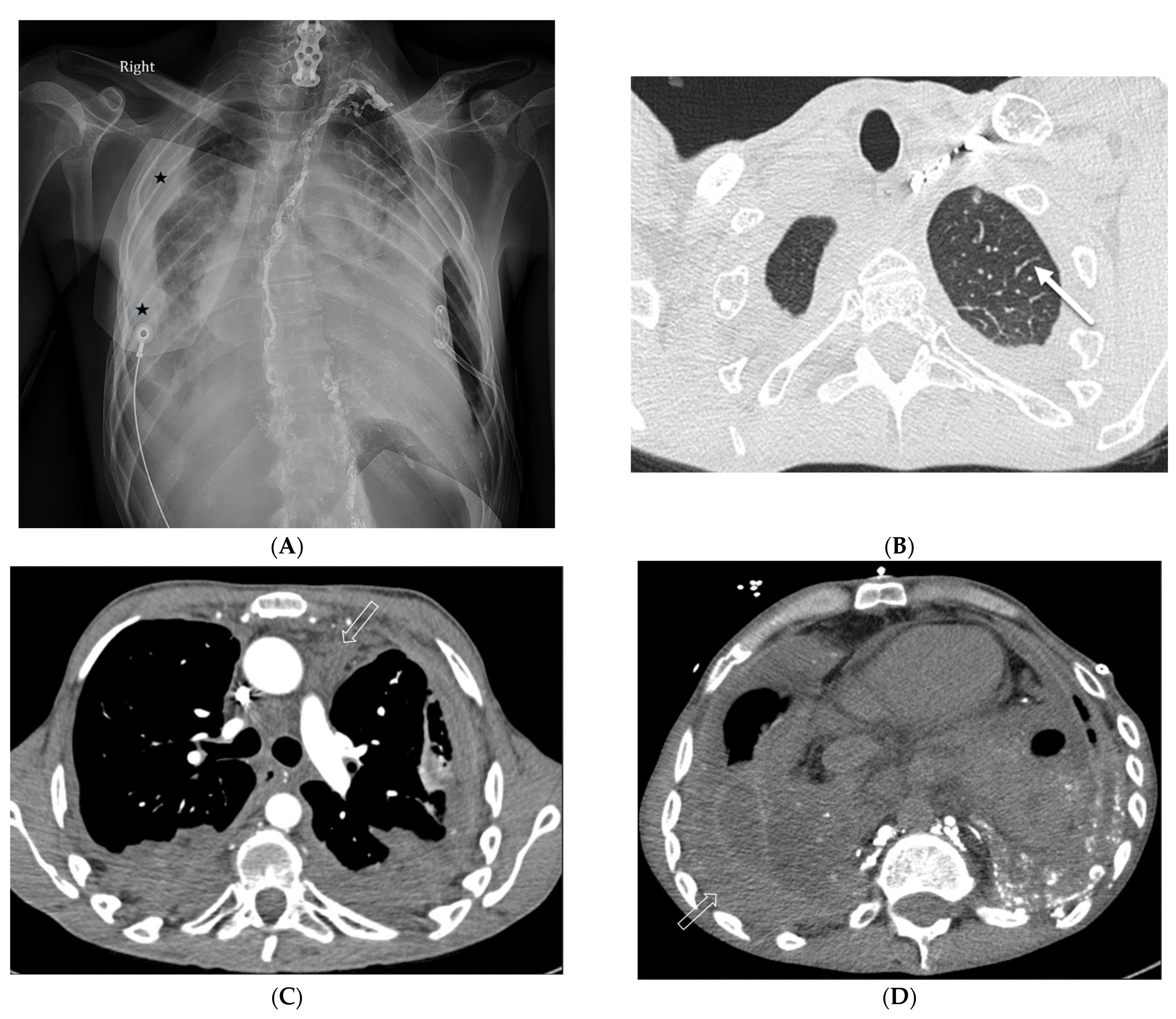
4. Iatrogenic
4.1. Lipoid Pneumonia
4.2. Drug-Induced Pneumonitis
4.3. Immunotherapy-Related Side Effects
4.4. Electronic Cigarette or Vaping Use-Associated Lung Injury (EVALI)
4.5. Radiation Pneumonitis
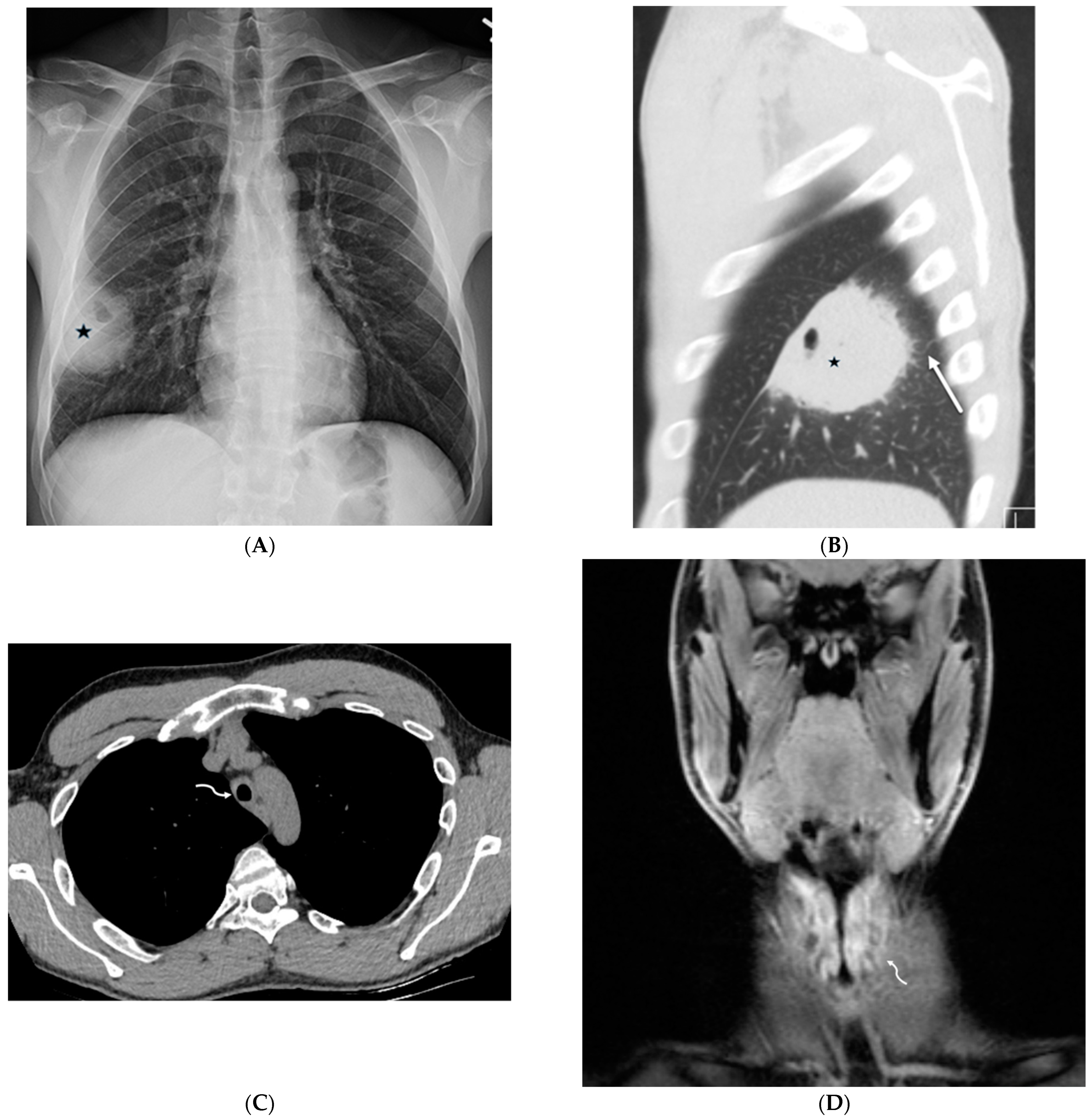
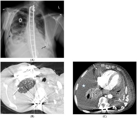
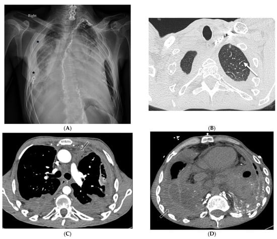
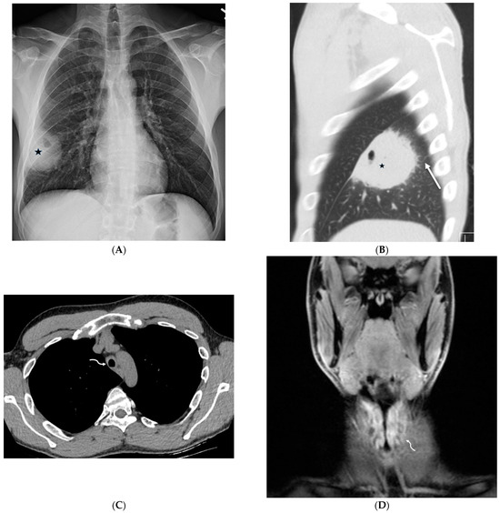
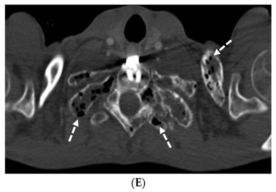
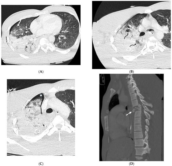
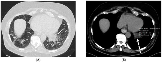
4.6. Silicone Embolization
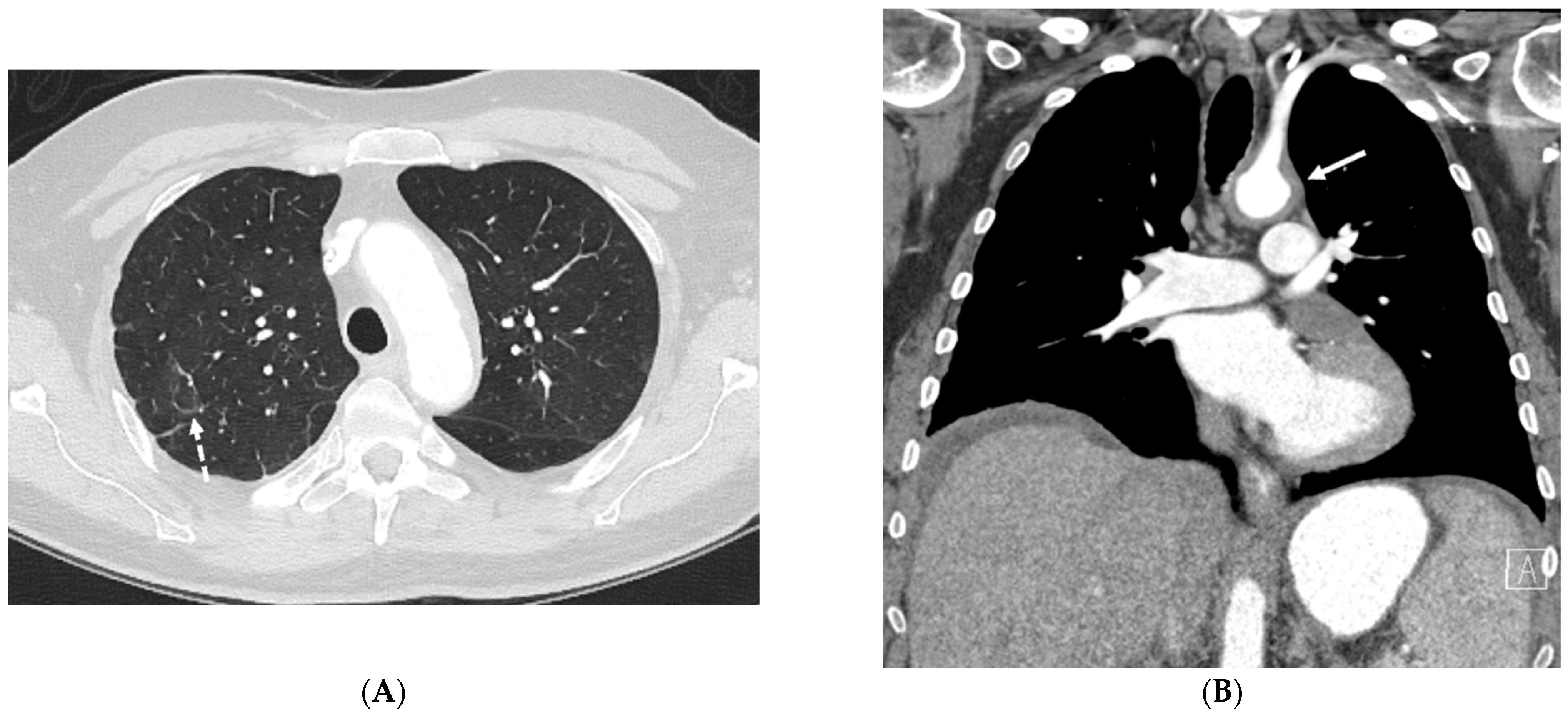
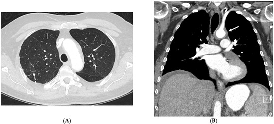
4.7. Pulmonary Vein Stenosis (PVS)
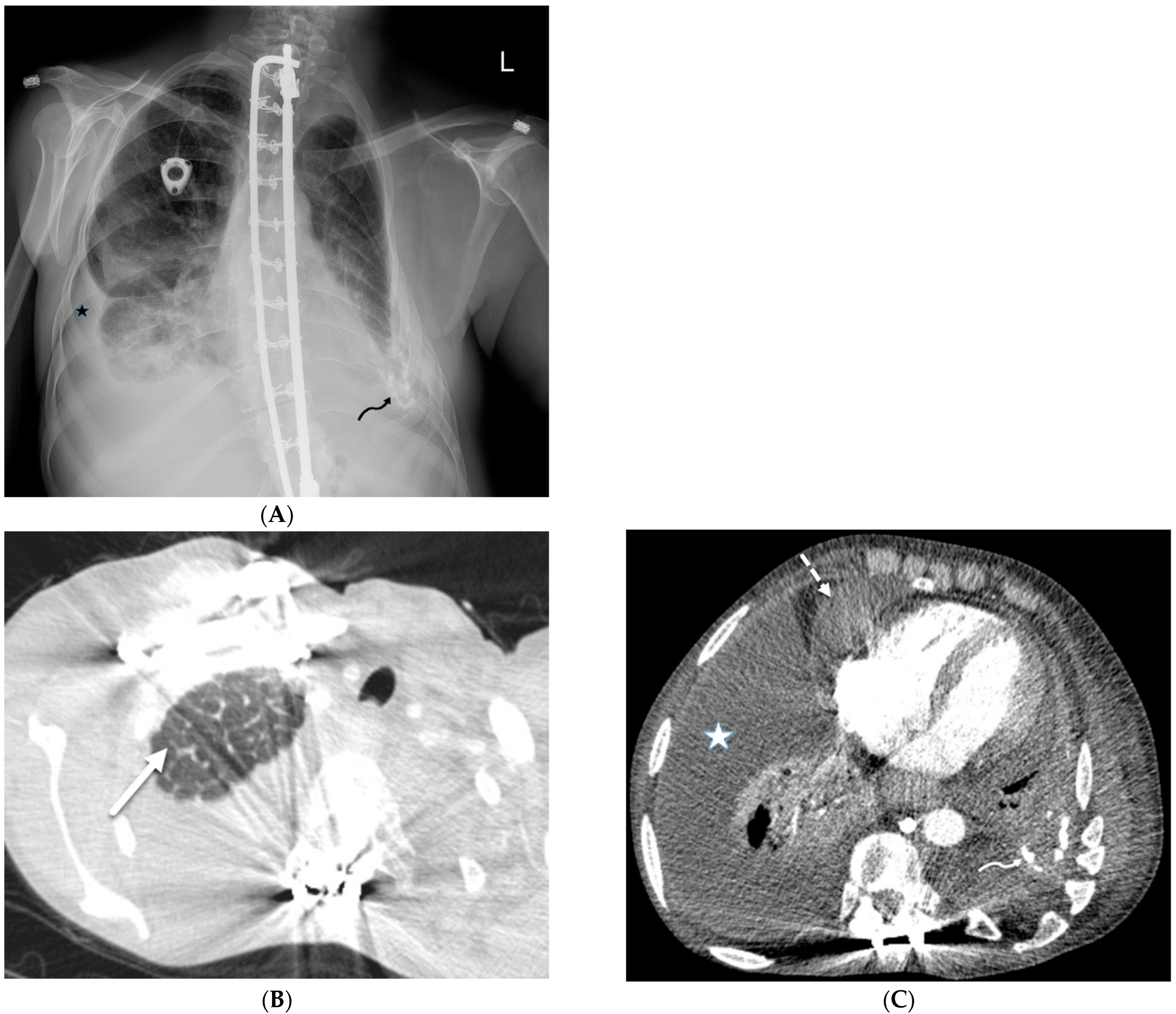
5. Neoplasms
5.1. Invasive Lung Adenocarcinoma
5.2. Kaposi’s Sarcoma
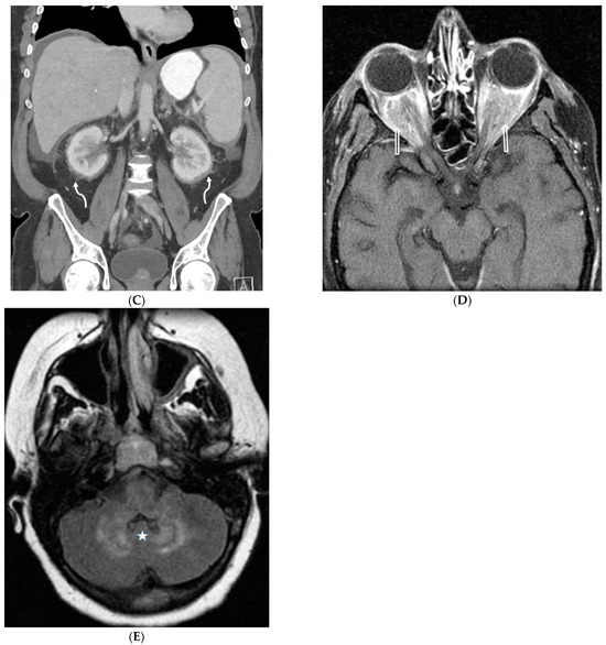
5.3. Lymphoma
5.4. Leukemia
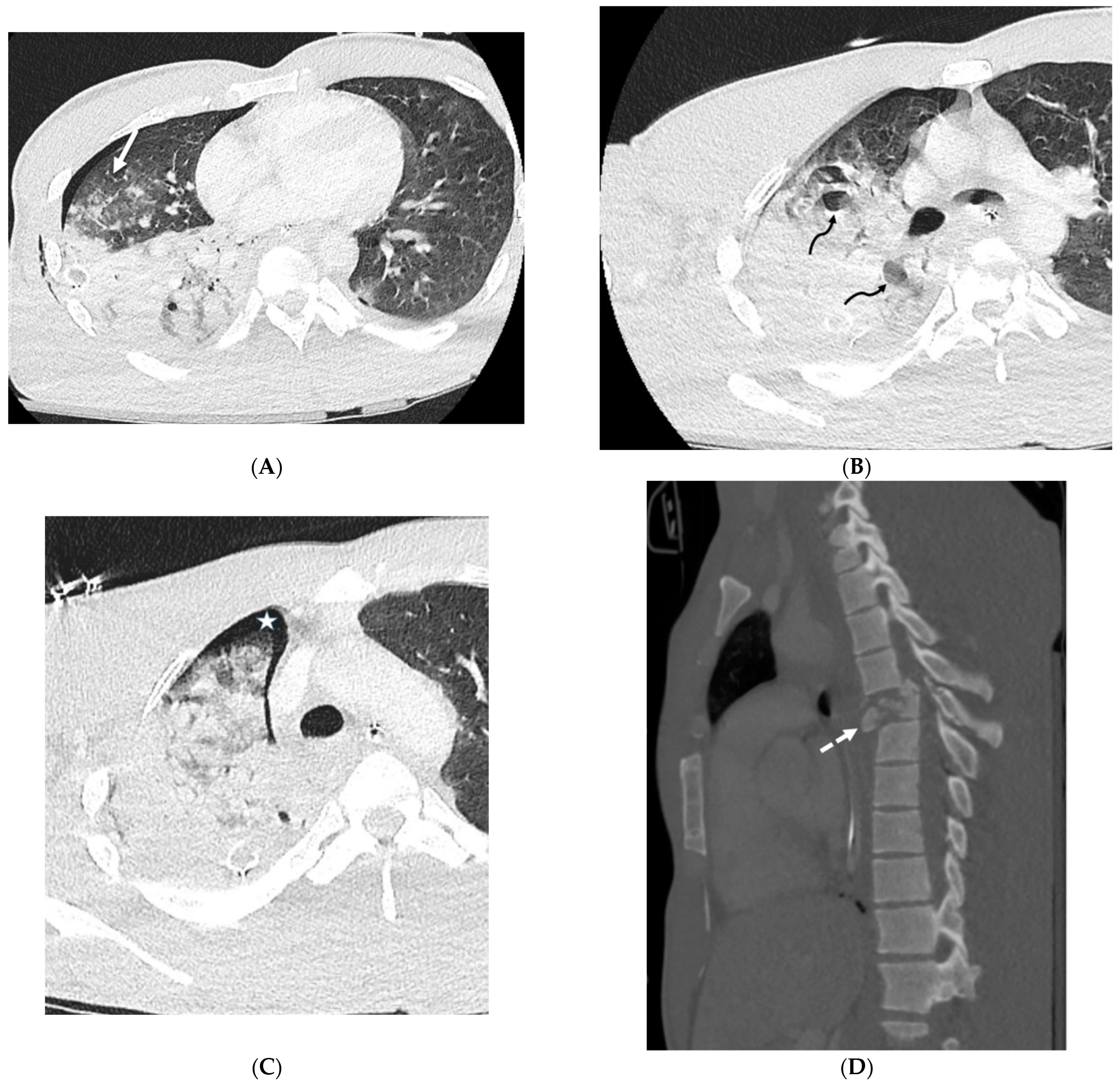
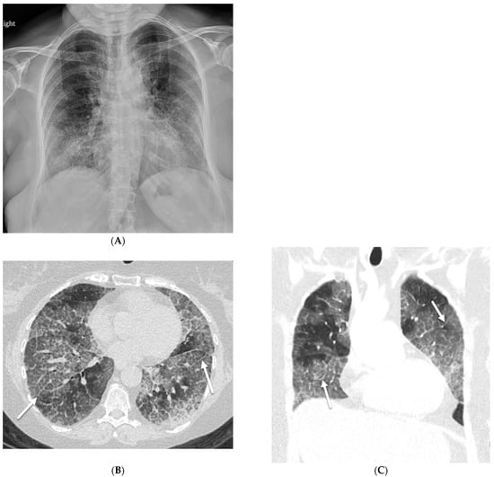
6. Depositional
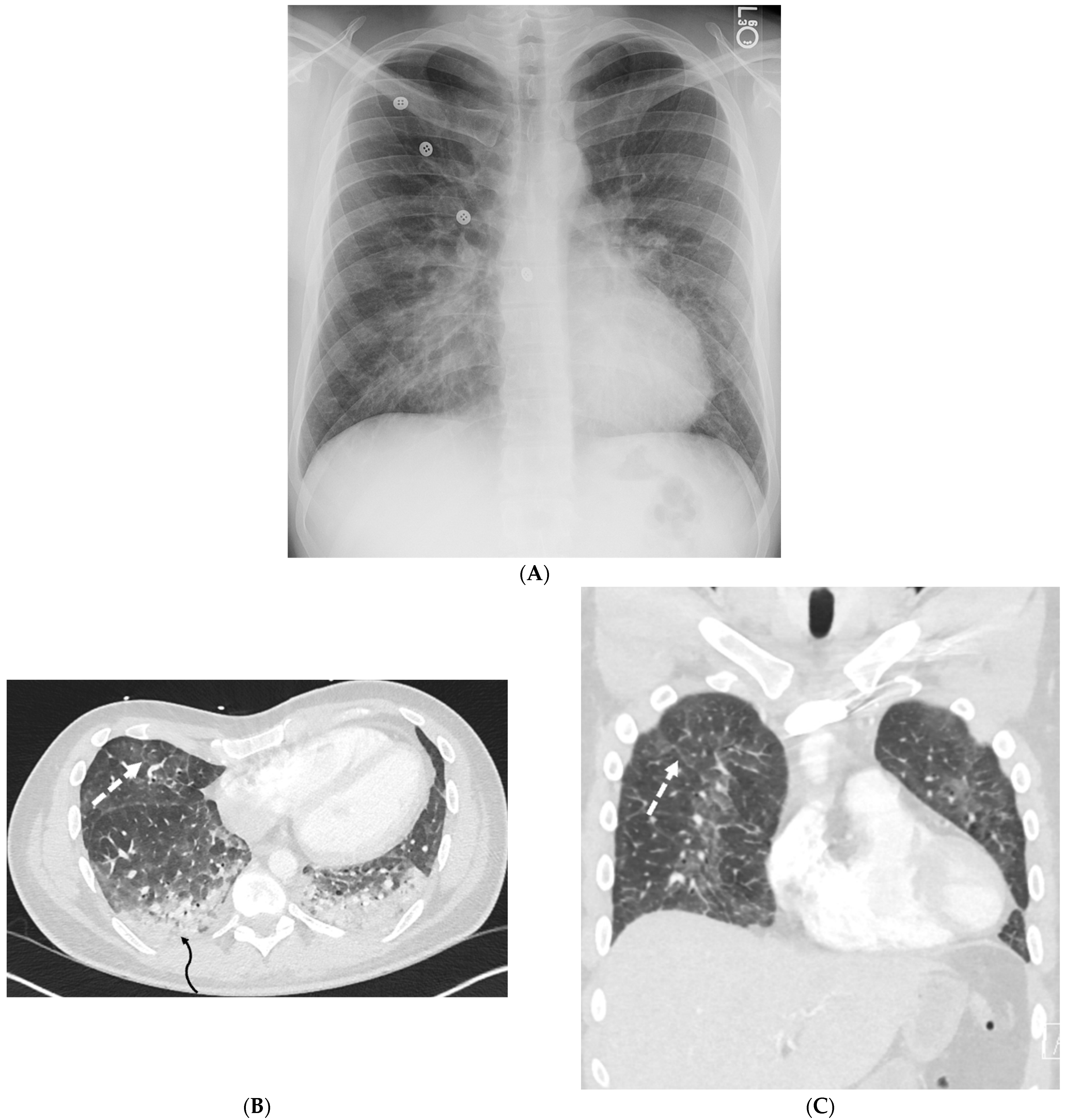
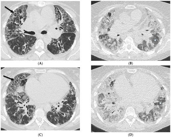
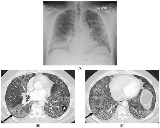
6.1. Coal Worker’s Pneumoconiosis (CWP)
6.2. Pulmonary Alveolar Proteinosis (PAP)
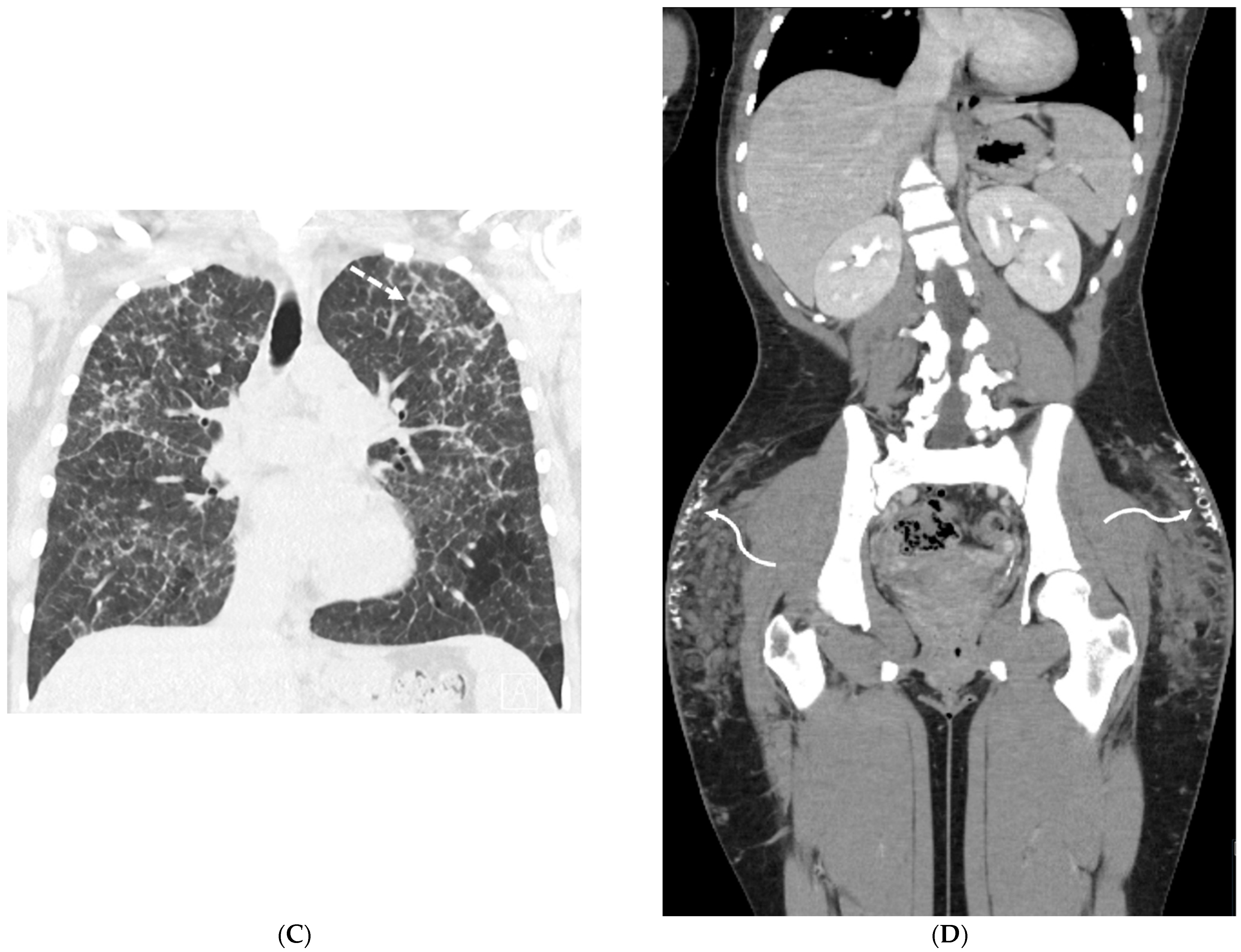
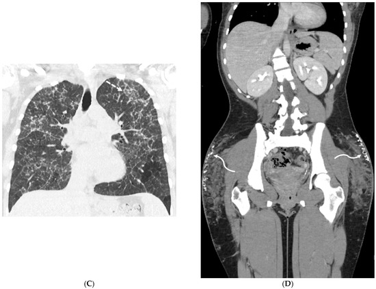
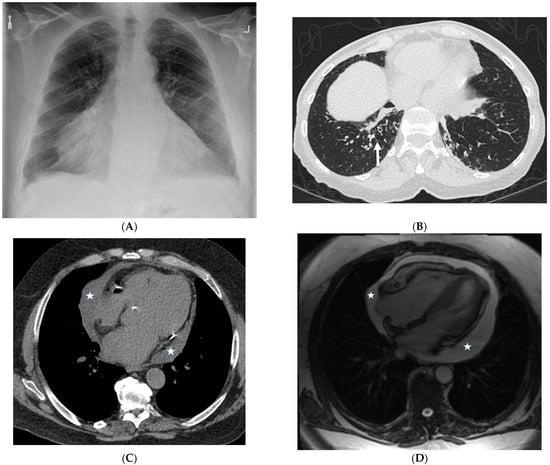
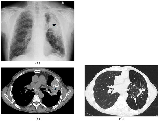
6.3. Amyloidosis
6.4. Pulmonary Alveolar Microlithiasis
7. Inherited
7.1. Yellow Nail Syndrome (YNS)
7.2. Pulmonary Capillary Hemangiomatosis (PCH) and Pulmonary Veno-Occlusive Disease (PVOD)
7.3. Diffuse Pulmonary Lymphangiomatosis
7.4. Congenital Pulmonary Lymphangiectasia
7.5. Chronic Granulomatous Disease (CGD)
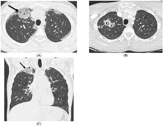
7.6. Pulmonary Hyalinizing Granuloma (PHG)
7.7. Coatomer Subunit Alpha (COPA) Syndrome
8. Miscellaneous
8.1. Diffuse Alveolar Hemorrhage (DAH)
8.2. Granulomatous–Lymphocytic Interstitial Lung Disease (GLILD)
8.3. Granulomatosis with Polyangiitis (GPA)
8.4. Erdheim Chester Disease (ECD)
8.5. Niemann–Pick Disease (NPD)
8.6. Gaucher Disease
8.7. IgG4-Related Lung Disease
- Algorithm or strategy for assessment of interlobular septal thickening (ILST):
- Step 1: Assess the characteristics of ILST:
- Nature of thickening: Smooth, nodular, or irregular
- Distribution: Diffuse, upper vs. mid vs. lower lung zone-predominant, central, peripheral, multifocal, or focal
- Symmetry: Symmetric or asymmetric
- Step 2: Evaluate associated findings:
- Lung nodules/masses
- Ground glass opacity
- Consolidation
- Cavitation
- Cyst formation
- Airway involvement
- Lymphadenopathy
- Pneumothorax
- Pleural effusion
- Extrathoracic features
- Step 3: Consider the clinical context:
- Symptoms and signs
- Past medical history
- Risk factors
- Step 4: Narrow the differential diagnosis: Based on the combination of ILST characteristics, associated findings, and clinical context, develop a shortlist of potential causes for ILST.
- Step 5: Utilize additional investigations (if necessary): Depending on the differential diagnosis, further investigations like pulmonary function testing, laboratory testing, bronchoscopy, or tissue sampling may be considered to establish a definitive diagnosis.
9. Conclusions
- Essentials:
- Pulmonary edema and lymphangitic spread of tumors are the most commonly encountered causes of ILST.
- This article reviews the spectrum of uncommon entities that present with thickening of the interlobular septa and establishes a practical approach for obtaining a differential diagnosis.
- Detailed image analysis can help us to distinguish between conditions with overlapping imaging characteristics.
- Summary Statement:
Author Contributions
Funding
Institutional Review Board Statement
Informed Consent Statement
Data Availability Statement
Conflicts of Interest
Abbreviations
References
- Graafen, D.; Halfmann, M.C.; Emrich, T.; Yang, Y.; Kreuter, M.; Düber, C.; Kloeckner, R.; Müller, L.; Jorg, T. Optimization of the Reconstruction Settings for Low-Dose Ultra-High-Resolution Photon-Counting Detector CT of the Lungs. Diagnostics 2023, 13, 3522. [Google Scholar] [CrossRef] [PubMed]
- Webb, W.R. Thin-section CT of the secondary pulmonary lobule: Anatomy and the image—The 2004 Fleischner lecture. Radiology 2006, 239, 322–338. [Google Scholar] [CrossRef]
- Bankier, A.A.; MacMahon, H.; Colby, T.; Gevenois, P.A.; Goo, J.M.; Leung, A.N.; Lynch, D.A.; Schaefer-Prokop, C.M.; Tomiyama, N.; Travis, W.D.; et al. Fleischner Society: Glossary of Terms for Thoracic Imaging. Radiology 2024, 310, e232558. [Google Scholar] [CrossRef] [PubMed]
- Meziane, M.A.; Hruban, R.H.; Zerhouni, E.A.; Wheeler, P.S.; Khouri, N.F.; Fishman, E.K.; Hutchins, G.M.; Siegelman, S.S. High resolution CT of the lung parenchyma with pathologic correlation. Radiographics 1988, 8, 27–54. [Google Scholar] [CrossRef] [PubMed]
- Inoue, A.; Johnson, T.F.; Voss, B.A.; Lee, Y.S.; Leng, S.; Koo, C.W.; McCollough, B.D.; Weaver, J.M.; Gong, H.; Carter, R.E.; et al. A Pilot Study to Estimate the Impact of High Matrix Image Reconstruction on Chest Computed Tomography. J. Clin. Imaging Sci. 2021, 11, 52. [Google Scholar] [CrossRef] [PubMed]
- Zheng, Y.; Wang, L.; Ben, S. Meta-analysis of chest CT features of patients with COVID-19 pneumonia. J. Med. Virol. 2021, 93, 241–249. [Google Scholar] [CrossRef] [PubMed]
- Haroon, A.; Higa, F.; Fujita, J.; Watanabe, A.; Aoki, N.; Niki, Y.; Kadota, J.-I.; Yanagihara, K.; Kaku, M.; Hori, S.; et al. Pulmonary computed tomography findings in 39 cases of Streptococcus pneumoniae pneumonia. Intern. Med. 2012, 51, 3343–3349. [Google Scholar] [CrossRef] [PubMed][Green Version]
- Kanne, J.P.; Yandow, D.R.; Mohammed, T.-L.H.; Meyer, C.A. CT findings of pulmonary nocardiosis. Am. J. Roentgenol. 2011, 197, W266–W272. [Google Scholar] [CrossRef]
- Koo, H.J.; Lim, S.; Choe, J.; Choi, S.-H.; Sung, H.; Do, K.-H. Radiographic and CT Features of Viral Pneumonia. Radiographics 2018, 38, 719–739. [Google Scholar] [CrossRef]
- Boiselle, P.M.; Crans, C.A.; Kaplan, M.A.; Boiselle, C.A.C.P.M.; Kanne, J.P.; Yandow, D.R.; Meyer, C.A.; Gruden, J.F.; Huang, L.; Turner, J.; et al. The changing face of Pneumocystis carinii pneumonia in AIDS patients. Am. J. Roentgenol. 1999, 172, 1301–1309. [Google Scholar] [CrossRef]
- Webb, W.R.; Müller, N.L.; Naidich, D.P. High-Resolution CT of the Lung, 2nd ed.; Lippincott-Raven: New York, NY, USA, 1996. [Google Scholar]
- Raghu, G.; Remy-Jardin, M.; Richeldi, L.; Thomson, C.C.; Inoue, Y.; Johkoh, T.; Kreuter, M.; Lynch, D.A.; Maher, T.M.; Martinez, F.J.; et al. Idiopathic Pulmonary Fibrosis (an Update) and Progressive Pulmonary Fibrosis in Adults: An Official ATS/ERS/JRS/ALAT Clinical Practice Guideline. Am. J. Respir. Crit. Care Med. 2022, 205, e18–e47. [Google Scholar] [CrossRef]
- Yoo, H.; Hino, T.; Hwang, J.; Franks, T.J.; Han, J.; Im, Y.; Lee, H.Y.; Chung, M.P.; Hatabu, H.; Lee, K.S. Connective tissue disease-related interstitial lung disease (CTD-ILD) and interstitial lung abnormality (ILA): Evolving concept of CT findings, pathology and management. Eur. J. Radiol. Open 2022, 9, 100419. [Google Scholar] [CrossRef] [PubMed]
- Tateishi, T.; Ohtani, Y.; Takemura, T.; Akashi, T.; Miyazaki, Y.; Inase, N.; Yoshizawa, Y. Serial high-resolution computed tomography findings of acute and chronic hypersensitivity pneumonitis induced by avian antigen. J. Comput. Assist. Tomogr. 2011, 35, 272–279. [Google Scholar] [CrossRef] [PubMed]
- Okabayashi, H.; Fukuda, T.; Iwasawa, T.; Oda, T.; Kitamura, H.; Baba, T.; Takemura, T.; Sakagami, T.; Ogura, T. The new useful high-resolution computed tomography finding for diagnosing fibrotic hypersensitivity pneumonitis: “hexagonal pattern”: A single-center retrospective study. BMC Pulm. Med. 2022, 22, 76. [Google Scholar] [CrossRef]
- Faria, I.M.; Zanetti, G.; Barreto, M.M.; Rodrigues, R.S.; Araujo-Neto, C.A.; Silva, J.L.; Escuissato, D.L.; Souza, A.S., Jr.; Irion, K.L.; Mançano, A.D.; et al. Organizing pneumonia: Chest HRCT findings. J. Bras. Pneumol. 2015, 41, 231–237. [Google Scholar] [CrossRef] [PubMed]
- Egashira, R.; Kondo, T.; Hirai, T.; Kamochi, N.; Yakushiji, M.; Yamasaki, F.; Irie, H. CT findings of thoracic manifestations of primary Sjögren syndrome: Radiologic-pathologic correlation. Radiographics 2013, 33, 1933–1949. [Google Scholar] [CrossRef] [PubMed]
- Bell, M.M. Lipoid pneumonia: An unusual and preventable illness in elderly patients. Can. Fam. Phys. 2015, 61, 775–777. [Google Scholar]
- Akira, M.; Ishikawa, H.; Yamamoto, S. Drug-induced pneumonitis: Thin-section CT findings in 60 patients. Radiology 2002, 224, 852–860. [Google Scholar] [CrossRef] [PubMed]
- Kim, Y.; Lee, K.S.; Choi, D.-C.; Primack, S.L.; Im, J.-G. The spectrum of eosinophilic lung disease: Radiologic findings. J. Comput. Assist. Tomogr. 1997, 21, 920–930. [Google Scholar] [CrossRef]
- Pozzessere, C.; Lazor, R.; Jumeau, R.; Peters, S.; Prior, J.O.; Beigelman-Aubry, C. Imaging Features of Pulmonary Immune-related Adverse Events. J. Thorac. Oncol. 2021, 16, 1449–1460. [Google Scholar] [CrossRef]
- Henry, T.S.; Kligerman, S.J.; Raptis, C.A.; Mann, H.; Sechrist, J.W.; Kanne, J.P. Imaging findings of vaping-associated lung injury. Am. J. Roentgenol. 2020, 214, 498–505. [Google Scholar] [CrossRef]
- Panse, P.M.; Feller, F.F.; Butt, Y.M.; Smith, M.L.; Larsen, B.T.; Tazelaar, H.D.; Harvin, H.J.; Gotway, M.B. Radiologic and Pathologic Correlation in EVALI. Am. J. Roentgenol. 2020, 215, 1057–1064. [Google Scholar] [CrossRef]
- Kligerman, S.; Raptis, C.; Larsen, B.; Henry, T.S.; Caporale, A.; Tazelaar, H.; Schiebler, M.L.; Wehrli, F.W.; Klein, J.S.; Kanne, J. Radiologic, Pathologic, Clinical, and Physiologic Findings of Electronic Cigarette or Vaping Product Use-associated Lung Injury (EVALI): Evolving Knowledge and Remaining Questions. Radiology 2020, 294, 491–505. [Google Scholar] [CrossRef]
- Davis, S.D.; Yankelevitz, D.F.; Henschke, C.I. Radiation effects on the lung: Clinical features, pathology, and imaging findings. Am. J. Roentgenol. 1992, 159, 1157–1164. [Google Scholar] [CrossRef] [PubMed]
- Lyapichev, K.; Chinea, F.M.; Poveda, J.; Pereda, J.; Bejarano, P.A.; Garcia-Buitrago, M.T. Pulmonary Empty Spaces: Silicone Embolism—A Decade of Increased Incidence and Its Histological Diagnosis. Case Rep. Pathol. 2016, 2016, 3741291. [Google Scholar] [CrossRef][Green Version]
- Holmes, D.R.; Monahan, K.H.; Packer, D. Pulmonary vein stenosis complicating ablation for atrial fibrillation: Clinical spectrum and interventional considerations. JACC Cardiovasc. Interv. 2009, 2, 267–276. [Google Scholar] [CrossRef] [PubMed]
- Tan, R.T.; Kuzo, R.T.T.A.R.S.; Akira, M.; Atagi, S.; Kawahara, M.; Iuchi, K.; Johkoh, T.; Adler, B.; Padley, S.; Miller, R.R.; et al. High-resolution CT findings of mucinous bronchioloalveolar carcinoma: A case of pseudopulmonary alveolar proteinosis. Am. J. Roentgenol. 1997, 168, 99–100. [Google Scholar] [CrossRef][Green Version]
- Austin, J.H.M.; Garg, K.; Aberle, D.; Yankelevitz, D.; Kuriyama, K.; Lee, H.-J.; Brambilla, E.; Travis, W.D. Radiologic implications of the 2011 classification of adenocarcinoma of the lung. Radiology 2013, 266, 62–71. [Google Scholar] [CrossRef] [PubMed]
- Gasparetto, T.D.; Marchiori, E.; Lourenço, S.; Zanetti, G.; Vianna, A.D.; Santos, A.A.; Nobre, L.F. Pulmonary involvement in Kaposi sarcoma: Correlation between imaging and pathology. Orphanet J. Rare Dis. 2009, 4, 18. [Google Scholar] [CrossRef]
- Gozzi, L.; Cozzi, D.; Cavigli, E.; Moroni, C.; Giannessi, C.; Zantonelli, G.; Smorchkova, O.; Ruzga, R.; Danti, G.; Bertelli, E.; et al. Primary Lymphoproliferative Lung Diseases: Imaging and Multidisciplinary Approach. Diagnostics 2023, 13, 1360. [Google Scholar] [CrossRef]
- Fujimoto, Y.; Nomura, K.; Shimizu, D.; Okuda, T.; Yoshida, N.; Matsumoto, Y.; Taki, T.; Horiike, S.; Taniwaki, M. Pulmonary relapse of non-Hodgkin’s lymphoma in bilateral upper lobes. Intern. Med. 2006, 45, 971–973. [Google Scholar] [CrossRef] [PubMed][Green Version]
- Shroff, G.S.; Truong, M.T.; Carter, B.W.; Benveniste, M.F.; Kanagal-Shamanna, R.; Rauch, G.; Viswanathan, C.; Boddu, P.C.; Daver, N.; Wu, C.C. Leukemic Involvement in the Thorax. Radiographics 2019, 39, 44–61. [Google Scholar] [CrossRef]
- Soutar, C.A.; Hurley, J.F.; Miller, B.G.; Cowie, H.A.; Buchanan, D. Dust concentrations and respiratory risks in coalminers: Key risk estimates from the British Pneumoconiosis Field Research. Occup. Environ. Med. 2004, 61, 477–481. [Google Scholar] [CrossRef] [PubMed]
- Frazier, A.A.; Franks, T.J.; Cooke, E.O.; Mohammed, T.-L.H.; Pugatch, R.D.; Galvin, J.R. From the archives of the AFIP: Pulmonary alveolar proteinosis. Radiographics 2008, 28, 883–899. [Google Scholar] [CrossRef] [PubMed]
- Murch, C.; Carr, D. Computed tomography appearances of pulmonary alveolar proteinosis. Clin. Radiol. 1989, 40, 240–243. [Google Scholar] [CrossRef]
- Prakash, U.B.; Barham, S.S.; Carpenter, H.A.; Dines, D.E.; Marsh, H.M. Pulmonary alveolar phospholipoproteinosis: Experience with 34 cases and a review. Mayo Clin. Proc. 1987, 62, 499–518. [Google Scholar] [CrossRef]
- Pickford, H.A.; Swensen, S.J.; Utz, J.P. Thoracic cross-sectional imaging of amyloidosis. Am. J. Roentgenol. 1997, 168, 351–355. [Google Scholar] [CrossRef] [PubMed]
- Urban, B.A.; Fishman, E.K.; Goldman, S.M.; Scott, W.W.; Jones, B.; Humphrey, R.L.; Hruban, R.H. CT evaluation of amyloidosis: Spectrum of disease. Radiographics 1993, 13, 1295–1308. [Google Scholar] [CrossRef]
- Khaladkar, S.M.; Kondapavuluri, S.K.; Kamal, A.; Kalra, R.; Kuber, R.S. Pulmonary Alveolar Microlithiasis—Clinico-Radiological dissociation—A case report with Radiological review. J. Radiol. Case Rep. 2016, 10, 14–21. [Google Scholar] [CrossRef]
- Maldonado, F.; Tazelaar, H.D.; Wang, C.W.; Ryu, J.H. Yellow nail syndrome: Analysis of 41 consecutive patients. Chest 2008, 134, 375–381. [Google Scholar] [CrossRef]
- Woodfield, G.; Nisbet, M.; Jacob, J.; Mok, W.; Loebinger, M.R.; Hansell, D.M.; Wells, A.U.; Wilson, R. Bronchiectasis in yellow nail syndrome. Respirology 2017, 22, 101–107. [Google Scholar] [CrossRef] [PubMed]
- Montani, D.; Lau, E.M.; Dorfmüller, P.; Girerd, B.; Jaïs, X.; Savale, L.; Perros, F.; Nossent, E.; Garcia, G.; Parent, F.; et al. Pulmonary veno-occlusive disease. Eur. Respir. J. 2016, 47, 1518–1534. [Google Scholar] [CrossRef] [PubMed]
- Zhang, J.; Jin, H.; Wang, Y.; Bai, C.; Han, Y. A case of diffuse pulmonary lymphangiomatosis with unilateral lung invasion. Oxf. Med. Case Rep. 2015, 2015, 346–348. [Google Scholar] [CrossRef] [PubMed][Green Version]
- Nobre, L.F.; Müller, N.L.; de Souza Júnior, A.S.; Marchiori, E.; Souza, I.V. Congenital pulmonary lymphangiectasia: CT and pathologic findings. J. Thorac. Imaging 2004, 19, 56–59. [Google Scholar] [CrossRef] [PubMed]
- Lee, M.; Lee, M.S.; Lee, J.S.; Ko, S.Y.; Jeong, S.Y. Spectrum of imaging findings of chronic granulomatous disease: A single center experience. Diagn. Interv. Radiol. 2017, 23, 472–477, Erratum in Diagn. Interv. Radiol. 2018, 24, 62. [Google Scholar] [CrossRef] [PubMed]
- Lhote, R.; Haroche, J.; Duron, L.; Girard, N.; Lafourcade, M.P.; Martin, M.; Begueret, H.; Taytard, A.; Capron, F.; Grenier, P.; et al. Pulmonary hyalinizing granuloma: A multicenter study of 5 new cases and review of the 135 cases of the literature. Immunol. Res. 2017, 65, 375–385. [Google Scholar] [CrossRef] [PubMed]
- Kumrah, R.; Mathew, B.; Pandiarajan, V.; Singh, S.; Rawat, A. Genetics of COPA syndrome. Appl. Clin. Genet. 2019, 12, 11–18. [Google Scholar] [CrossRef] [PubMed]
- Nguyen, H.N.; Salman, R.; Vogel, T.P.; Silva-Carmona, M.; DeGuzman, M.; Guillerman, R.P. Imaging findings of COPA Syndrome. Pediatr. Radiol. 2023, 53, 844–853. [Google Scholar] [CrossRef] [PubMed]
- Reisman, S.; Chung, M.; Bernheim, A. A Review of Clinical and Imaging Features of Diffuse Pulmonary Hemorrhage. Am. J. Roentgenol. 2021, 216, 1500–1509. [Google Scholar] [CrossRef]
- Sasaki, J.; Tominaga, M.; Sudou, M.; Tokisawa, S.; Nishii, Y.; Zaizen, Y.; Matama, G.; Chikasue, T.; Fujimoto, K.; Tabata, K.; et al. Granulomatous Lymphocytic Interstitial Lung Disease in Multiple Myeloma. Intern. Med. 2023, 62, 439–444. [Google Scholar] [CrossRef]
- Torigian, D.A.; LaRosa, D.F.; Levinson, A.I.; Litzky, L.A.; Miller, W.T., Jr. Granulomatous-lymphocytic interstitial lung disease associated with common variable immunodeficiency: CT findings. J. Thorac. Imaging 2008, 23, 162–169. [Google Scholar] [CrossRef]
- Ananthakrishnan, L.; Sharma, N.; Kanne, J.P. Wegener’s granulomatosis in the chest: High-resolution CT findings. Am. J. Roentgenol. 2009, 192, 676–682. [Google Scholar] [CrossRef] [PubMed]
- Wittenberg, K.H.; Swensen, S.J.; Myers, J.L. Pulmonary involvement with erdheim-chester disease: Radiographic and CT findings. Am. J. Roentgenol. 2000, 174, 1327–1331. [Google Scholar] [CrossRef]
- Resnick, D.O.; Greenway, G.U.; Genant, H.A.; Brower, A.N.; Haghighi, P.A.; Emmett, M.I. Erdheim Chester disease. Radiology 1982, 142, 289–295. [Google Scholar] [CrossRef]
- Mendelson, D.S.; Wasserstein, M.P.; Desnick, R.J.; Glass, R.; Simpson, W.; Skloot, G.; Vanier, M.; Bembi, B.; Giugliani, R.; Mengel, E.; et al. Type B Niemann-pick disease: Findings at chest radiography, thin-section CT, and pulmonary function testing. Radiology 2006, 238, 339–345. [Google Scholar] [CrossRef] [PubMed]
- von Ranke, F.M.; Pereira Freitas, H.M.; Mançano, A.D.; Rodrigues, R.S.; Hochhegger, B.; Escuissato, D.; Neto, C.A.A.; da Silva, T.K.B.; Marchiori, E. Pulmonary Involvement in Niemann–Pick Disease: A State-of-the-Art Review. Lung 2016, 194, 511–518. [Google Scholar] [CrossRef] [PubMed]
- Aydin, K.; Karabulut, N.; Demirkazik, F.; Arat, A. Pulmonary involvement in adult Gaucher’s disease: High resolution CT appearance. Br. J. Radiol. 1997, 70, 93–95. [Google Scholar] [CrossRef]
- Inoue, D.; Zen, Y.; Abo, H.; Gabata, T.; Demachi, H.; Kobayashi, T.; Yoshikawa, J.; Miyayama, S.; Yasui, M.; Nakanuma, Y.; et al. Immunoglobulin G4–related lung disease: CT findings with pathologic correlations. Radiology 2009, 251, 260–270. [Google Scholar] [CrossRef]



























| Infection | Viral pneumonia including COVID-19 pneumonia Pneumocystis jiroveci pneumonia (PJP) |
| Inhalational | Silicosis Coal worker’s pneumoconiosis (CWP) Asbestosis |
| Interstitial lung disease | Nonspecific interstitial pneumonia (NSIP) Usual interstitial pneumonia (UIP) Lymphoid interstitial pneumonia (LIP) Chronic hypersensitivity pneumonitis (HP) |
| Granulomatous diseases | Sarcoidosis Erdheim Chester disease (ECD) |
| Neoplasia | Leukemia Lymphoma Kaposi’s sarcoma |
| Depositional | Pulmonary alveolar proteinosis (PAP) Amyloidosis |
| Iatrogenic | Drug toxicity Radiation therapy Silicone embolization Lipoid pneumonia E-cigarette or vaping use-associated lung injury (EVALI) |
| Inherited | Chronic granulomatous disease Yellow nail syndrome (YNS) Pulmonary capillary hemangiomatosis (PCH) Pulmonary lymphangiomatosis Niemann–Pick disease Gaucher disease Coatomer subunit alpha (COPA) syndrome |
Smooth![]() | Infectious: Viral pneumonia including COVID-19 pneumonia, Pneumocystis jiroveci pneumonia (PJP) Miscellaneous: Pulmonary edema, pulmonary hemorrhage Inherited: Yellow nail syndrome (YNS), pulmonary capillary hemangiomatosis (PCH), pulmonary veno-occlusive disease (PVOD), pulmonary lymphangiomatosis, coatomer subunit alpha (COPA) syndrome Depositional: Pulmonary alveolar proteinosis (PAP) Iatrogenic: Drug toxicity, radiation pneumonitis, lipoid pneumonia, e-cigarette or vaping use-associated lung injury (EVALI) Granulomatous: Erdheim Chester disease (ECD) |
Nodular![]() | Neoplasia: Leukemia, lymphoma, Kaposi’s sarcoma, lymphangitic carcinomatosis Interstitial lung diseases: Nonspecific interstitial pneumonia (NSIP), usual interstitial pneumonia (UIP), lymphoid interstitial pneumonia (LIP) Exposures: Silicosis, coal worker’s pneumoconiosis (CWP), asbestosis Inherited: Chronic granulomatous disease, Niemann–Pick disease Depositional: Amyloidosis Iatrogenic: Silicone embolization Granulomatous diseases: Sarcoidosis Infiltrative: IgG4-related lung disease (RLD) |
Irregular![]() | Granulomatous diseases: Sarcoidosis Interstitial lung diseases: Usual interstitial pneumonia (UIP) Inhalational: Asbestosis |
| Diagnosis | Type and Location of ILST | Nod | GGO | Con | CAV | Cy | LAN | Fib | PTX | PEF |
|---|---|---|---|---|---|---|---|---|---|---|
| Pneumocystis jiroveci pneumonia (PJP) | smooth, perihilar, and lower lobe predominance | − | ++ | − | − | + | − | − | + | − |
| Sarcoidosis | nodular | + | + | + | +/− | +/− | ++ | ++ | +/− | + |
| Coal worker’s pneumoconiosis (CWP) | nodular, diffuse | + | +/− | + | +/− | − | + | + | − | − |
| Nonspecific interstitial pneumonia (NSIP) | irregular | − | ++ | − | − | − | + | + | + | − |
| Lymphoid interstitial pneumonia (LIP) | nodular | + | + | − | − | + | + | − | +/− | − |
| Lipoid pneumonia | smooth | + | + | ++ | − | − | − | − | − | − |
| Drug-induced toxicity | smooth | + | + | + | − | − | − | + | − | − |
| Radiation pneumonitis | − | + | + | + | − | − | + | − | + | |
| Electronic cigarette or vaping product use-associated lung injury (EVALI) | smooth | + | + | + | − | − | − | − | + | +/− |
| Silicone embolization | diffuse | + | + | + | − | − | − | − | − | + |
| Pulmonary alveolar proteinosis (PAP) | smooth | + | ++ | + | − | − | − | +/− | − | − |
| Lymphoma | nodular | ++ | +/− | + | +/− | − | ++ | − | − | + |
| Kaposi’s sarcoma | nodular | + | + | + | − | − | + | − | − | + |
| Pulmonary amyloidosis | nodular | + | + | + | + | + | + | + | + | + |
| Pulmonary hyalinizing granuloma (PHG) | nodular | + | − | − | − | − | + | − | − | − |
| Chronic granulomatous disease | smooth | + | + | + | + | − | + | + | − | + |
| Erdheim Chester disease (ECD) | smooth, diffuse, sometimes nodular | + | + | + | − | + | − | − | − | + |
| Niemann–Pick disease | smooth, lower lobe predominance | − | ++ | − | − | − | − | − | − | − |
| Gaucher disease | smooth | + | ++ | − | − | − | − | − | − | − |
| IgG4-RLD | nodular | + | + | + | − | − | ++ | + | − | − |
| Yellow nail syndrome | smooth | − | + | − | − | − | − | − | − | ++ |
| Diffuse pulmonary lymphangiomatosis | smooth, diffuse | − | + | − | − | − | ++ | − | − | + |
| Pulmonary capillary hemangiomatosis (PCH) | smooth | + | + | − | − | − | +/− | − | − | +/− |
| Coatomer subunit alpha (COPA) syndrome | smooth, mid, and lower lung zone predominance | − | + | − | − | ++ | − | − | − | − |
| Diagnosis | Associated Distinctive Clinical Features | Associated Extrapulmonary Findings |
|---|---|---|
| Pneumocystis jiroveci pneumonia (PJP) | Immunosuppression; CD4 count, <200 cells/mm | Low-attenuation splenic lesions that may calcify; punctate calcifications in the liver, renal cortices, and adrenal glands; calcification of lymph nodes; and pleural and peritoneal effusions with subsequent calcifications |
| Sarcoidosis | African Americans and Northern European Caucasians | Cardiomegaly, pericardial effusion, ventricular aneurysm, focal myocardial thickening, cystic bone lesions, lace-like pattern of lytic change in the metaphyses of long bones, neurosarcoidosis |
| Coal worker’s pneumoconiosis (CWP) | Exposure to coal dust free of silica | No specific findings |
| Nonspecific interstitial pneumonia (NSIP) | Often history of connective tissue disorder or other predisposing condition | Dilated patulous esophagus often containing fluid or debris in scleroderma; pleural thickening or effusion in rheumatoid arthritis; pleural and pericardial effusions in systemic lupus erythematosus; and pleural effusions in mixed connective tissue disease |
| Lymphoid interstitial pneumonia (LIP) | May be associated with HIV infection and Sjogren’s syndrome | Lymphadenopathy |
| Lipoid pneumonia | Prior history of mineral oil ingestion | No specific findings |
| Drug-induced toxicity | History of recent drug exposure | Neurological—encephalopathies, meningitis, Guillan Barré syndrome, and hypophysitis Gastrointestinal—esophagitis, gastritis, enteritis, colitis, ulcer formation, angioedema, pneumatosis, bowel perforation Liver—hepatic steatosis, hepatitis, cirrhosis, Budd–Chiari syndrome, sinusoidal obstruction syndrome, hepatomegaly, periportal edema, periportal lymphadenopathy Pancreaticobiliary—acute pancreatitis, cholangitis |
| Radiation pneumonitis | History of prior radiation therapy | Lymphedema, calcification of lymph nodes, pericardial effusion, pericardial fibrosis, brachial plexus injury, osteitis, pathological fractures |
| Electronic cigarette or vaping product use-associated lung injury (EVALI) | History of vaping (whether new or increased use) | Pneumomediastinum, pleural effusion |
| Silicone embolization | History of illegal cosmetic injection of liquid silicone | Multiple subcutaneous soft tissue attenuation nodules, sometimes with peripheral calcification or surrounding fat stranding |
| Pulmonary alveolar proteinosis (PAP) | Tobacco use; subacute symptom onset; history of prior episodes | May occur in association with malignancies, whether pulmonary or extrapulmonary, most commonly hematologic |
| Lymphoma | Patients with autoimmune diseases such as rheumatoid arthritis, Sjögren’s syndrome, and systemic lupus erythematosus are at increased risk of malignant lymphomas | Hodgkin lymphoma more commonly involves only lymph nodes, whereas non-Hodgkin lymphomas more commonly involve extranodal structures and can involve any organ |
| Kaposi sarcoma | Associated with HIV infection | Cutaneous lesions, mucosal involvement, lytic bone lesions, nodular lesions in the liver and spleen |
| Pulmonary amyloidosis | Secondary amyloidosis accompanying a chronic inflammatory suppurative process can be related to tuberculosis, bronchiectasis, rheumatoid arthritis, or osteomyelitis. | Multiple intracranial hemorrhages, hepatosplenomegaly, global subendocardial or transmural late gadolinium enhancement on cardiac MRI |
| Pulmonary hyalinizing granuloma (PHG) | Individual predisposed to marked scar formation | No specific findings |
| Chronic granulomatous disease | Two-thirds of individuals have the X-linked recessive form of the disorder. | Hepatosplenomegaly, liver abscess, osteomyelitis |
Disclaimer/Publisher’s Note: The statements, opinions and data contained in all publications are solely those of the individual author(s) and contributor(s) and not of MDPI and/or the editor(s). MDPI and/or the editor(s) disclaim responsibility for any injury to people or property resulting from any ideas, methods, instructions or products referred to in the content. |
© 2024 by the authors. Licensee MDPI, Basel, Switzerland. This article is an open access article distributed under the terms and conditions of the Creative Commons Attribution (CC BY) license (https://creativecommons.org/licenses/by/4.0/).
Share and Cite
Donuru, A.; Torigian, D.A.; Knollmann, F. Uncommon Causes of Interlobular Septal Thickening on CT Images and Their Distinguishing Features. Tomography 2024, 10, 574-608. https://doi.org/10.3390/tomography10040045
Donuru A, Torigian DA, Knollmann F. Uncommon Causes of Interlobular Septal Thickening on CT Images and Their Distinguishing Features. Tomography. 2024; 10(4):574-608. https://doi.org/10.3390/tomography10040045
Chicago/Turabian StyleDonuru, Achala, Drew A. Torigian, and Friedrich Knollmann. 2024. "Uncommon Causes of Interlobular Septal Thickening on CT Images and Their Distinguishing Features" Tomography 10, no. 4: 574-608. https://doi.org/10.3390/tomography10040045
APA StyleDonuru, A., Torigian, D. A., & Knollmann, F. (2024). Uncommon Causes of Interlobular Septal Thickening on CT Images and Their Distinguishing Features. Tomography, 10(4), 574-608. https://doi.org/10.3390/tomography10040045




