Contrast-Enhanced Mammography in Breast Cancer Follow-Up: Diagnostic Value in Suspected Recurrence
Abstract
1. Introduction
2. Materials and Methods
2.1. Study Population
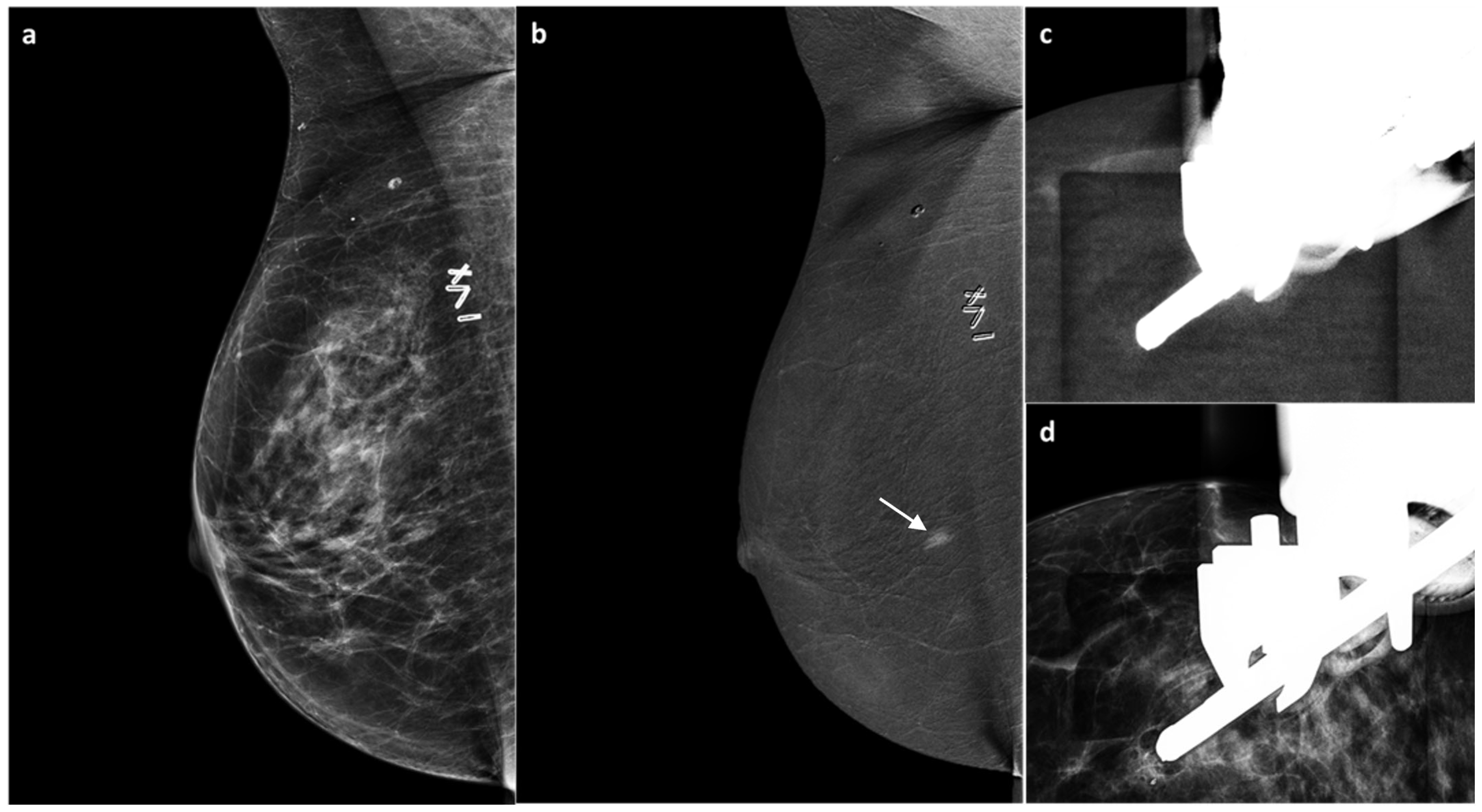
2.2. CEM Examination and Analysis
2.3. Histopathological Analysis
2.4. Statistical Analysis
3. Results
3.1. Study Population
3.2. CEM Examination and Analysis
3.3. Histopathological Analysis
3.4. Diagnostic Performance of Conventional Imaging and CEM
4. Discussion
5. Conclusions
Author Contributions
Funding
Institutional Review Board Statement
Informed Consent Statement
Data Availability Statement
Conflicts of Interest
References
- Lam, D.L.; Houssami, N.; Lee, J.M. Imaging Surveillance After Primary Breast Cancer Treatment. Am. J. Roentgenol. 2017, 208, 676–686. [Google Scholar] [CrossRef] [PubMed]
- Houssami, N.; Abraham, L.A.; Miglioretti, D.L.; Sickles, E.A.; Kerlikowske, K.; Buist, D.S.M.; Geller, B.M.; Muss, H.B.; Irwig, L. Accuracy and Outcomes of Screening Mammography in Women With a Personal History of Early-Stage Breast Cancer. JAMA 2011, 305, 790–799. [Google Scholar] [CrossRef] [PubMed]
- Houssami, N.; Miglioretti, D.L. Early detection of breast cancer the second time around: Mammography in women with a personal history of breast cancer. Med. J. Aust. 2011, 194, 439–440. [Google Scholar] [CrossRef]
- Buist, D.S.M.; Abraham, L.A.; Barlow, W.E.; Krishnaraj, A.; Holdridge, R.C.; Sickles, E.A.; Carney, P.A.; Kerlikowske, K.; Geller, B.M.; Breast Cancer Surveillance Consortium. Diagnosis of second breast cancer events after initial diagnosis of early stage breast cancer. Breast Cancer Res. Treat. 2010, 124, 863–873. [Google Scholar] [CrossRef]
- Ohuchi, N.; Suzuki, A.; Sobue, T.; Kawai, M.; Yamamoto, S.; Zheng, Y.-F.; Shiono, Y.N.; Saito, H.; Kuriyama, S.; Tohno, E.; et al. Sensitivity and specificity of mammography and adjunctive ultrasonography to screen for breast cancer in the Japan Strategic Anti-cancer Randomized Trial (J-START): A randomised controlled trial. Lancet 2016, 387, 341–348. [Google Scholar] [CrossRef]
- Lawson, M.B.; Herschorn, S.D.; Sprague, B.L.; Buist, D.S.M.; Lee, S.-J.; Newell, M.S.; Lourenco, A.P.; Lee, J.M. Imaging Surveillance Options for Individuals With a Personal History of Breast Cancer: AJR Expert Panel Narrative Review. Am. J. Roentgenol. 2022, 219, 854–868. [Google Scholar] [CrossRef]
- Harada-Shoji, N.; Suzuki, A.; Ishida, T.; Zheng, Y.-F.; Narikawa-Shiono, Y.; Sato-Tadano, A.; Ohta, R.; Ohuchi, N. Evaluation of Adjunctive Ultrasonography for Breast Cancer Detection Among Women Aged 40–49 Years With Varying Breast Density Undergoing Screening Mammography: A Secondary Analysis of a Randomized Clinical Trial. JAMA Netw. Open 2021, 4, e2121505. [Google Scholar] [CrossRef]
- Fonseca, M.M.; Alhassan, T.; Nisha, Y.; Koszycki, D.; Schwarz, B.A.; Segal, R.; Arnaout, A.; Ramsay, T.; Lau, J.; Seely, J.M. Randomized trial of surveillance with abbreviated MRI in women with a personal history of breast cancer– impact on patient anxiety and cancer detection. BMC Cancer 2022, 22, 774. [Google Scholar] [CrossRef]
- Kim, G.R.; Cho, N.; Kim, S.-Y.; Han, W.; Moon, W.K. Interval Cancers after Negative Supplemental Screening Breast MRI Results in Women with a Personal History of Breast Cancer. Radiology 2021, 300, 314–323. [Google Scholar] [CrossRef] [PubMed]
- Cardoso, F.; Kyriakides, S.; Ohno, S.; Penault-Llorca, F.; Poortmans, P.; Rubio, I.T.; Zackrisson, S.; Senkus, E.; ESMO Guidelines Committee. Early breast cancer: ESMO Clinical Practice Guidelines for diagnosis, treatment and follow-up. Ann. Oncol. 2019, 30, 1194–1220. [Google Scholar] [CrossRef] [PubMed]
- Neeter, L.M.F.H.; Robbe, M.Q.; van Nijnatten, T.J.; Jochelson, M.S.; Raat, H.; Wildberger, J.E.; Smidt, M.L.; Nelemans, P.J.; Lobbes, M.B.I. Comparing the Diagnostic Performance of Contrast-Enhanced Mammography and Breast MRI: A Systematic Review and Meta-Analysis. J. Cancer 2023, 14, 174–182. [Google Scholar] [CrossRef] [PubMed]
- Ventura, C.; Fogante, M.; Marconi, E.; Simonetti, B.F.; Gradassi, S.B.; Carboni, N.; Lenti, E.; Argalia, G. Morphodynamic Features of Contrast-Enhanced Mammography and Their Correlation with Breast Cancer Histopathology. J. Imaging 2025, 11, 80. [Google Scholar] [CrossRef]
- Pediconi, F.; Moffa, G. Contrast-Enhanced Mammography: Bridging the research gaps and defining the future. Eur. J. Radiol. 2025, 192, 112351. [Google Scholar] [CrossRef]
- Ghaderi, K.F.; Phillips, J.; Perry, H.; Lotfi, P.; Mehta, T.S. Contrast-enhanced Mammography: Current Applications and Future Directions. Radiographics 2019, 39, 1907–1920. [Google Scholar] [CrossRef]
- Gluskin, J.; Saccarelli, C.R.; Avendano, D.; Marino, M.A.; Bitencourt, A.G.V.; Pilewskie, M.; Sevilimedu, V.; Sung, J.S.; Pinker, K.; Jochelson, M.S. Contrast-Enhanced Mammography for Screening Women after Breast Conserving Surgery. Cancers 2020, 12, 3495. [Google Scholar] [CrossRef]
- Matheson, J.; Elder, K.; Nickson, C.; Park, A.; Mann, G.B.; Rose, A. Contrast-enhanced mammography for surveillance in women with a personal history of breast cancer. Breast Cancer Res. Treat. 2024, 208, 293–305. [Google Scholar] [CrossRef]
- Berg, W.A.; Berg, J.M.; Bandos, A.I.; Vargo, A.; Chough, D.M.; Lu, A.H.; Ganott, M.A.; Kelly, A.E.; Nair, B.E.; Hartman, J.Y.; et al. Addition of Contrast-enhanced Mammography to Tomosynthesis for Breast Cancer Detection in Women with a Personal History of Breast Cancer: Prospective TOCEM Trial Interim Analysis. Radiology 2024, 311, e231991. [Google Scholar] [CrossRef]
- Wallis, M.G. Further insights into the use of contrast-enhanced imaging for breast cancer follow-up: The cons view. Eur. Radiol. 2025, 35, 2144–2146. [Google Scholar] [CrossRef] [PubMed]
- Camps-Herrero, J.; Pijnappel, R.; Balleyguier, C. MR-contrast enhanced mammography (CEM) for follow-up of breast cancer patients: A “pros and cons” debate. Eur. Radiol. 2024, 34, 6264–6270. [Google Scholar] [CrossRef] [PubMed]
- Elder, K.; Matheson, J.; Nickson, C.; Box, G.; Ellis, J.; Mou, A.; Shadbolt, C.; Park, A.; Tay, J.; Rose, A.; et al. Contrast enhanced mammography in breast cancer surveillance. Breast Cancer Res. Treat. 2023, 199, 221–230. [Google Scholar] [CrossRef]
- Helal, M.H.; Mansour, S.M.; Ahmed, H.A.; Abdel Ghany, A.F.; Kamel, O.F.; Elkholy, N.G. The role of contrast-enhanced spectral mammography in the evaluation of the postoperative breast cancer. Clin. Radiol. 2019, 74, 771–781. [Google Scholar] [CrossRef] [PubMed]
- Pötsch, N.; Vatteroni, G.; Clauser, P.; Helbich, T.H.; Baltzer, P.A.T. Contrast-enhanced Mammography versus Contrast-enhanced Breast MRI: A Systematic Review and Meta-Analysis. Radiology 2022, 305, 94–103. [Google Scholar] [CrossRef] [PubMed]
- Pesapane, F.; Nicosia, L.; Tantrige, P.; Schiaffino, S.; Liguori, A.; Montesano, M.; Bozzini, A.; Rotili, A.; Cellina, M.; Orsi, M.; et al. Inter-reader agreement of breast magnetic resonance imaging and contrast-enhanced mammography in breast cancer diagnosis: A multi-reader retrospective study. Breast Cancer Res. Treat. 2023, 202, 451–459. [Google Scholar] [CrossRef]
- Zarcaro, C.; Santonocito, A.; Zeitouni, L.; Ferrara, F.; Kapetas, P.; Milos, R.-I.; Helbich, T.H.; Baltzer, P.A.T.; Clauser, P. Inter-reader agreement of the BI-RADS CEM lexicon. Eur. Radiol. 2025, 35, 2378–2386. [Google Scholar] [CrossRef] [PubMed]






| Characteristics | Value |
|---|---|
| Age (years, mean ± SD) | 67.1 ± 12.0 |
| Body mass index (kg/m2, mean ± SD) | 23.7 ± 8.1 |
| Time from first diagnosis | |
| <5 years (n, %) | 17 (27.4) |
| 5–10 years (n, %) | 24 (38.7) |
| >10 years (n, %) | 21 (33.9) |
| Clinical findings | |
| Locoregional pain (n, %) | 18 (29.0) |
| Palpable nodule (n, %) | 13 (21.0) |
| Nipple secretion (n, %) | 3 (4.8) |
| Nipple retraction (n, %) | 2 (3.2) |
| Cutaneous retraction (n, %) | 3 (4.8) |
| Palpable adenopathy (n, %) | 2 (3.2) |
| Family history of breast cancer (n, %) | 17 (27.4) |
| Characteristics | Value |
|---|---|
| BI-RADS | |
| BI-RADS 3 | 31 (50.0) |
| BI-RADS 4 | 19 (30.6) |
| BI-RADS 5 | 12 (19.4) |
| Side | |
| Left | 40 (65.0) |
| Right | 22 (35.0) |
| Location of main lesion | |
| UOQ | 28 (45.2) |
| UIQ | 8 (12.9) |
| LOQ | 9 (14.5) |
| LIQ | 11 (17.7) |
| RA | 6 (9.7) |
| Characteristics | Value |
|---|---|
| Glandular pattern | |
| A | 3 (4.8) |
| B | 34 (54.8) |
| C | 17 (27.4) |
| D | 8 (12.9) |
| Background parenchymal enhancement | |
| Minimal | 32 (51.6) |
| Mild | 18 (29.0) |
| Moderate | 9 (14.5) |
| Marked | 3 (4.8) |
| Enhancement pattern | |
| Mass | 26 (41.9%) |
| Non-mass | 2 (3.2%) |
| Asymmetry | 6 (9.7%) |
| No enhancement | 28 (45.2%) |
| Characteristics | Value |
|---|---|
| Benign | 7 |
| Fat necrosis | 2 |
| Granuloma | 5 |
| Malignant | 33 |
| Histotype | |
| Infiltrating ductal carcinoma | 23 |
| Infiltrating lobular carcinoma | 6 |
| Ductal carcinoma in situ | 4 |
| Immunophenotype | |
| Luminal A | 7 |
| Luminal B | 11 |
| HER2+ (non-luminal) | 2 |
| Triple negative | 3 |
| Not typified | 10 |
| Grading | |
| G1 | 17 |
| G2 | 10 |
| G3 | 6 |
| Lymph node localization | |
| Negative | 31 |
| Positive | 2 |
| Parameter | Value |
|---|---|
| Sensitivity | 30/33 (90.9%) |
| Specificity | 25/29 (86.2%) |
| Positive predictive value | 30/34 (88.2%) |
| Negative predictive value | 25/28 (89.3%) |
| Diagnostic accuracy | 55/62 (88.7%) |
| Enhancement on CEM | Benign Lesions | Malignant Lesions | Total | p |
|---|---|---|---|---|
| Yes (n, %) | 4 (11.8%) | 30 (88.2%) | 34 (100.0%) | <0.001 |
| No (n, %) | 25 (89.3%) | 3 (10.7%) | 28 (100.0%) |
Disclaimer/Publisher’s Note: The statements, opinions and data contained in all publications are solely those of the individual author(s) and contributor(s) and not of MDPI and/or the editor(s). MDPI and/or the editor(s) disclaim responsibility for any injury to people or property resulting from any ideas, methods, instructions or products referred to in the content. |
© 2025 by the authors. Licensee MDPI, Basel, Switzerland. This article is an open access article distributed under the terms and conditions of the Creative Commons Attribution (CC BY) license (https://creativecommons.org/licenses/by/4.0/).
Share and Cite
Ventura, C.; Fogante, M.; Carboni, N.; Gradassi Borgoforte, S.; Simonetti, B.F.; Marconi, E.; Argalia, G. Contrast-Enhanced Mammography in Breast Cancer Follow-Up: Diagnostic Value in Suspected Recurrence. J. Imaging 2025, 11, 435. https://doi.org/10.3390/jimaging11120435
Ventura C, Fogante M, Carboni N, Gradassi Borgoforte S, Simonetti BF, Marconi E, Argalia G. Contrast-Enhanced Mammography in Breast Cancer Follow-Up: Diagnostic Value in Suspected Recurrence. Journal of Imaging. 2025; 11(12):435. https://doi.org/10.3390/jimaging11120435
Chicago/Turabian StyleVentura, Claudio, Marco Fogante, Nicola Carboni, Silvia Gradassi Borgoforte, Barbara Franca Simonetti, Elisabetta Marconi, and Giulio Argalia. 2025. "Contrast-Enhanced Mammography in Breast Cancer Follow-Up: Diagnostic Value in Suspected Recurrence" Journal of Imaging 11, no. 12: 435. https://doi.org/10.3390/jimaging11120435
APA StyleVentura, C., Fogante, M., Carboni, N., Gradassi Borgoforte, S., Simonetti, B. F., Marconi, E., & Argalia, G. (2025). Contrast-Enhanced Mammography in Breast Cancer Follow-Up: Diagnostic Value in Suspected Recurrence. Journal of Imaging, 11(12), 435. https://doi.org/10.3390/jimaging11120435

