AI Use in Mammography for Diagnosing Metachronous Contralateral Breast Cancer
Abstract
1. Introduction
2. Materials and Methods
2.1. Patients
2.2. Ethical Approval and Consent to Participate
2.3. Data Collection
2.4. The AI System
2.5. Postoperative Surveillance
2.6. Diagnostic Imaging and Comparison with the AI System
2.7. Statical Analysis
3. Results
3.1. Patient Characteristics
3.2. Imaging Findings at the Time of Diagnosis
3.3. Diagnosis by the AI System and Comparison with Past Images
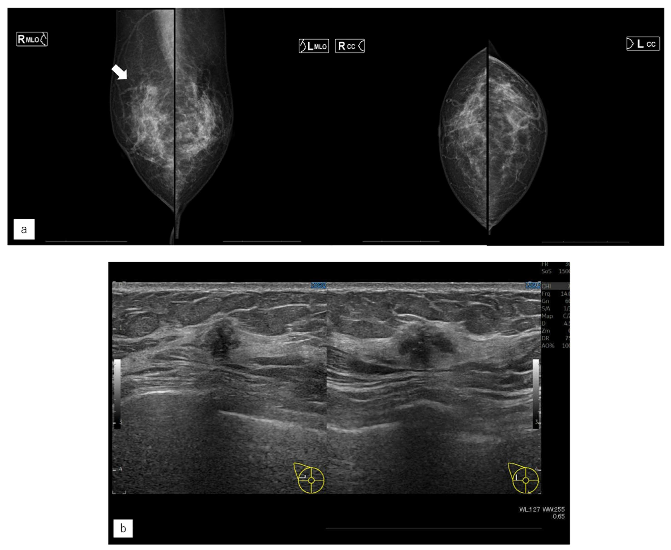
3.4. Representative Case
4. Discussion
5. Conclusions
Author Contributions
Funding
Institutional Review Board Statement
Informed Consent Statement
Data Availability Statement
Conflicts of Interest
References
- Abdoli, G.; Bottai, M.; Sandelin, K.; Moradi, T. Breast Cancer Diagnosis and Mortality by Tumor Stage and Migration Background in a Nationwide Cohort Study in Sweden. Breast 2017, 31, 57–65. [Google Scholar] [CrossRef][Green Version]
- Bae, J.M.; Kim, E.H. Breast Density and Risk of Breast Cancer in Asian Women: A Meta-Analysis of Observational Studies. J. Prev. Med. Public Health 2016, 49, 367–375. [Google Scholar] [CrossRef] [PubMed]
- Løberg, M.; Lousdal, M.L.; Bretthauer, M.; Kalager, M. Benefits and Harms of Mammography Screening. Breast Cancer Res. 2015, 17, 63. [Google Scholar] [CrossRef]
- Lu, W.; Schaapveld, M.; Jansen, L.; Bagherzadegan, E.; Sahinovic, M.M.; Baas, P.C.; Hanssen, L.M.H.C.; van der Mijle, H.C.J.; Brandenburg, J.D.; Wiggers, T.; et al. The Value of Surveillance Mammography of the Contralateral Breast in Patients with a History of Breast Cancer. Eur. J. Cancer 2009, 45, 3000–3007. [Google Scholar] [CrossRef][Green Version]
- Soerjomataram, I.; Louwman, W.J.; Lemmens, V.E.P.P.; De Vries, E.; Klokman, W.J.; Coebergh, J.W.W. Risks of Second Primary Breast and Urogenital Cancer Following Female Breast Cancer in the South of The Netherlands, 1972–2001. Eur. J. Cancer 2005, 41, 2331–2337. [Google Scholar] [CrossRef] [PubMed]
- Chaudary, M.A.; Millis, R.R.; Hoskins, E.O.L.; Halder, M.; Bulbrook, R.D.; Cuzick, J.; Hayward, J.L. Bilateral Primary Breast Cancer: A Prospective Study of Disease Incidence. Br. J. Surg. 1984, 71, 711–714. [Google Scholar] [CrossRef] [PubMed]
- Hartman, M.; Czene, K.; Reilly, M.; Adolfsson, J.; Bergh, J.; Adami, H.O.; Dickman, P.W.; Hall, P. Incidence and Prognosis of Synchronous and Metachronous Bilateral Breast Cancer. J. Clin. Oncol. 2007, 25, 4210–4216. [Google Scholar] [CrossRef]
- Robertson, C.; Ragupathy, S.K.A.; Boachie, C.; Fraser, C.; Heys, S.D.; MacLennan, G.; Mowatt, G.; Thomas, R.E.; Gilbert, F.J. Surveillance Mammography for Detecting Ipsilateral Breast Tumour Recurrence and Metachronous Contralateral Breast Cancer: A Systematic Review. Eur. Radiol. 2011, 21, 2484–2491. [Google Scholar] [CrossRef]
- Smith, T.J.; Davidson, N.E.; Schapira, D.V.; Grunfeld, E.; Muss, H.B.; Vogel, V.G., III; Somerfield, M.R. American Society of Clinical Oncology 1998 Update of Recommended Breast Cancer Surveillance Guidelines. Am. Soc. Clin. Oncol. 1999, 3, 1080–1082. [Google Scholar] [CrossRef]
- Kobayashi, Y.; Masuda, K.; Hiraswa, A.; Takehara, K.; Tsuda, H.; Watanabe, Y.; Oda, K.; Nagase, S.; Mandai, M.; Okamoto, A.; et al. Current Status of Hereditary Breast and Ovarian Cancer Practice among Gynecologic Oncologists in Japan: A Nationwide Survey by the Japan Society of Gynecologic Oncology (JSGO). J. Gynecol. Oncol. 2022, 33, e61. [Google Scholar] [CrossRef]
- Lehman, C.D.; Wellman, R.D.; Buist, D.S.M.; Kerlikowske, K.; Tosteson, A.N.A.; Miglioretti, D.L. Diagnostic Accuracy of Digital Screening Mammography with and without Computer-Aided Detection. JAMA Intern Med. 2015, 175, 1828–1837. [Google Scholar] [CrossRef] [PubMed]
- Pacilè, S.; Lopez, J.; Chone, P.; Bertinotti, T.; Grouin, J.M.; Fillard, P. Improving Breast Cancer Detection Accuracy of Mammography with the Concurrent Use of an Artificial Intelligence Tool. Radiol. Artif. Intell. 2020, 2, e190208. [Google Scholar] [CrossRef]
- Lauritzen, A.D.; Rodríguez-Ruiz, A.; von Euler-Chelpin, M.C.; Lynge, E.; Vejborg, I.; Nielsen, M.; Karssemeijer, N.; Lillholm, M. An Artificial Intelligence–Based Mammography Screening Protocol for Breast Cancer: Outcome and Radiologist Workload. Radiology 2022, 304, 41–49. [Google Scholar] [CrossRef] [PubMed]
- Dembrower, K.; Wåhlin, E.; Liu, Y.; Salim, M.; Smith, K.; Lindholm, P.; Eklund, M.; Strand, F. Effect of Artificial Intelligence-Based Triaging of Breast Cancer Screening Mammograms on Cancer Detection and Radiologist Workload: A Retrospective Simulation Study. Lancet Digit. Health 2020, 2, e468–e474. [Google Scholar] [CrossRef]
- Rodriguez-Ruiz, A.; Lång, K.; Gubern-Merida, A.; Teuwen, J.; Broeders, M.; Gennaro, G.; Clauser, P.; Helbich, T.H.; Chevalier, M.; Mertelmeier, T.; et al. Can We Reduce the Workload of Mammographic Screening by Automatic Identification of Normal Exams with Artificial Intelligence? A Feasibility Study. Eur. Radiol. 2019, 29, 4825–4832. [Google Scholar] [CrossRef] [PubMed]
- Larsen, M.; Aglen, C.F.; Lee, C.I.; Hoff, S.R.; Lund-Hanssen, H.; Lång, K.; Nygård, J.F.; Ursin, G.; Hofvind, S. Artificial Intelligence Evaluation of 122969 Mammography Examinations from a Population-Based Screening Program. Radiology 2022, 303, 502–511. [Google Scholar] [CrossRef] [PubMed]
- Lång, K.; Hofvind, S.; Rodríguez-Ruiz, A.; Andersson, I. Can Artificial Intelligence Reduce the Interval Cancer Rate in Mammography Screening? Eur. Radiol. 2021, 31, 5940–5947. [Google Scholar] [CrossRef]
- Byng, D.; Strauch, B.; Gnas, L.; Leibig, C.; Stephan, O.; Bunk, S.; Hecht, G. AI-Based Prevention of Interval Cancers in a National Mammography Screening Program. Eur. J. Radiol 2022, 152, 110321. [Google Scholar] [CrossRef] [PubMed]
- German Consortium for Hereditary Breast and Ovarian Cancer. Comprehensive analysis of 989 patients with breast or ovarian cancer provides BRCA1 and BRCA2 mutation profiles and frequencies for the German population. Int. J. Cancer 2002, 97, 472–480. [Google Scholar] [CrossRef]
- Simonyan, K.; Zisserman, A. Very Deep Convolutional Networks for Large-Scale Image Recognition. arXiv 2014, arXiv:1409.1556. [Google Scholar]
- Kim, H.E.; Cosa-Linan, A.; Santhanam, N.; Jannesari, M.; Maros, M.E.; Ganslandt, T. Transfer Learning for Medical Image Classification: A Literature Review. BMC Med. Imaging 2022, 22, 69. [Google Scholar] [CrossRef] [PubMed]
- Holland, K.; van Gils, C.H.; Mann, R.M.; Karssemeijer, N. Quantification of Masking Risk in Screening Mammography with Volumetric Breast Density Maps. Breast Cancer Res. Treat. 2017, 162, 541–548. [Google Scholar] [CrossRef]
- Kanda, Y. Investigation of the Freely Available Easy-to-Use Software “EZR” for Medical Statistics. Bone Marrow Transpl. 2013, 48, 452–458. [Google Scholar] [CrossRef] [PubMed]
- Ranieri, J.; Guerra, F.; Di Giacomo, D. Role of Metacognition Thinking and Psychological Traits in Breast Cancer Survivorship. Behav. Sci. 2020, 10, 135. [Google Scholar] [CrossRef] [PubMed]
- Barat, M.; Pellat, A.; Hoeffel, C.; Dohan, A.; Coriat, R.; Fishman, E.K.; Nougaret, S.; Chu, L.; Soyer, P. CT and MRI of Abdominal Cancers: Current Trends and Perspectives in the Era of Radiomics and Artificial Intelligence. Jpn. J. Radiol. 2024, 42, 246–260. [Google Scholar] [CrossRef] [PubMed]
- Tatsugami, F.; Nakaura, T.; Yanagawa, M.; Fujita, S.; Kamagata, K.; Ito, R.; Kawamura, M.; Fushimi, Y.; Ueda, D.; Matsui, Y.; et al. Recent Advances in Artificial Intelligence for Cardiac CT: Enhancing Diagnosis and Prognosis Prediction. Diagn. Interv. Imaging 2023, 104, 521–528. [Google Scholar] [CrossRef]
- Yardimci, A.H.; Kocak, B.; Sel, I.; Bulut, H.; Bektas, C.T.; Cin, M.; Dursun, N.; Bektas, H.; Mermut, O.; Yardimci, V.H.; et al. Radiomics of Locally Advanced Rectal Cancer: Machine Learning-Based Prediction of Response to Neoadjuvant Chemoradiotherapy Using Pre-Treatment Sagittal T2-Weighted MRI. Jpn. J. Radiol. 2023, 41, 71–82. [Google Scholar] [CrossRef]
- Fujima, N.; Kamagata, K.; Ueda, D.; Fujita, S.; Fushimi, Y.; Yanagawa, M.; Ito, R.; Tsuboyama, T.; Kawamura, M.; Nakaura, T.; et al. Current State of Artificial Intelligence in Clinical Applications for Head and Neck MR Imaging. Magn. Reson. Med. Sci. 2023, 22, 401–414. [Google Scholar] [CrossRef]
- Du, G.; Zeng, Y.; Chen, D.; Zhan, W.; Zhan, Y. Application of Radiomics in Precision Prediction of Diagnosis and Treatment of Gastric Cancer. Jpn. J. Radiol. 2023, 41, 245–257. [Google Scholar] [CrossRef]
- Hirata, K.; Kamagata, K.; Ueda, D.; Yanagawa, M.; Kawamura, M.; Nakaura, T.; Ito, R.; Tatsugami, F.; Matsui, Y.; Yamada, A.; et al. From FDG and beyond: The Evolving Potential of Nuclear Medicine. Ann. Nucl. Med. 2023, 37, 583–595. [Google Scholar] [CrossRef]
- Ozaki, J.; Fujioka, T.; Yamaga, E.; Hayashi, A.; Kujiraoka, Y.; Imokawa, T.; Takahashi, K.; Okawa, S.; Yashima, Y.; Mori, M.; et al. Deep Learning Method with a Convolutional Neural Network for Image Classification of Normal and Metastatic Axillary Lymph Nodes on Breast Ultrasonography. Jpn. J. Radiol. 2022, 40, 814–822. [Google Scholar] [CrossRef] [PubMed]
- Goto, M.; Sakai, K.; Toyama, Y.; Nakai, Y.; Yamada, K. Use of a Deep Learning Algorithm for Non-Mass Enhancement on Breast MRI: Comparison with Radiologists’ Interpretations at Various Levels. Jpn. J. Radiol. 2023, 41, 1094–1103. [Google Scholar] [CrossRef] [PubMed]
- Satake, H.; Ishigaki, S.; Ito, R.; Naganawa, S. Radiomics in Breast MRI: Current Progress toward Clinical Application in the Era of Artificial Intelligence. Radiol. Medica 2022, 127, 39–56. [Google Scholar] [CrossRef] [PubMed]
- Nara, M.; Fujioka, T.; Mori, M.; Aruga, T.; Tateishi, U. Prediction of Breast Cancer Risk by Automated Volumetric Breast Density Measurement. Jpn. J. Radiol. 2023, 41, 54–62. [Google Scholar] [CrossRef] [PubMed]
- Uematsu, T.; Nakashima, K.; Harada, T.L.; Nasu, H.; Igarashi, T. Comparisons between Artificial Intelligence Computer-Aided Detection Synthesized Mammograms and Digital Mammograms When Used Alone and in Combination with Tomosynthesis Images in a Virtual Screening Setting. Jpn. J. Radiol. 2023, 41, 63–70. [Google Scholar] [CrossRef]
- Schaffter, T.; Buist, D.S.M.; Lee, C.I.; Nikulin, Y.; Ribli, D.; Guan, Y.; Lotter, W.; Jie, Z.; Du, H.; Wang, S.; et al. Evaluation of Combined Artificial Intelligence and Radiologist Assessment to Interpret Screening Mammograms. JAMA Netw. Open 2020, 3, e200265. [Google Scholar] [CrossRef]







| No of Case | Age | TNM | Stage | Procedure | Axillary Lymph Node | Histology | Biology | Chemotherapy | Endocrine Therapy | RT |
|---|---|---|---|---|---|---|---|---|---|---|
| 1 | 55 | T2N1M0 | 0 | Bp | Ax | IDC | HER2 | ○ | × | ○ |
| 2 | 71 | T1micN0M0 | I | Bp | None | A pocrine | HER2 | × | × | ○ |
| 3 | 68 | T1cN0M0 | I | Bp | SNB | IDC | Luminal | × | ○ | ○ |
| 4 | 70 | T1bN1M0 | I | Bp | None | IDC | Luminal | × | ○ | ○ |
| 5 | 68 | T2M0M0 | IIA | Bp | Ax | IDC | Luminal | ○ | ○ | ○ |
| 6 | 60 | T1cN0M0 | I | Bp | SNB | IDC | Luminal | ○ | ○ | ○ |
| 7 | 63 | TisN0M0 | 0 | Bp | SNB | DCIS | Luminal | × | × | ○ |
| 8 | 40 | TisN0M0 | 0 | Bp | SNB | DCIS | Luminal | × | × | ○ |
| 9 | 66 | T1cN0M0 | I | Bp | Ax | IDC | Luminal | × | ○ | ○ |
| 10 | 74 | T1bN1M0 | IIA | Bp | SNB | IDC | Luminal | ○ | ○ | ○ |
| No of Case | Years to Contralateral Breast Cancer (Years) | Age at Diagnosis of Contralateral Breast Cancer | TNM | Stage | Procedure | Axillary Lymph Node | Histology | Subtype |
|---|---|---|---|---|---|---|---|---|
| 1 | 8 | 63 | T1cN0 | I | Bt | SNB | IDC | LuminalHER2 |
| 2 | 3 | 74 | T1micN0 | I | Bp | SNB | Apocrine | TNBC |
| 3 | 10 | 78 | T1cN0 | I | Bp | SNB | ILC | Luminal |
| 4 | 9 | 79 | TisN0 | 0 | Bt | SNB | DCIS | TNBC |
| 5 | 8 | 76 | T1micN0 | I | Bt | SNB | IDC | Luminal |
| 6 | 9 | 69 | T2N0 | IIA | Bp | SNB | IDC | Luminal |
| 7 | 2 | 65 | T1cN0 | I | Bp | SNB | IDC | TNBC |
| 8 | 6 | 46 | T1cN0 | I | Bt | SNB | IDC | Luminal |
| 9 | 8 | 74 | T1aN0 | I | Bt | SNB | IDC | TNBC |
| 10 | 8 | 82 | TisN0 | 0 | Bt | SNB | DCIS | HER2 |
| No of Case | Mammographic Density | MG BI-RADS | MG Findings | US BI-RADS | MRI BI-RADS |
|---|---|---|---|---|---|
| 1 | Heterogeneous | 2 | Calcification(benign) | 5 | 4 |
| 2 | Scattered | 1 | No | 4 | 4 |
| 3 | Scattered | 5 | Mass | 5 | 4 |
| 4 | Scattered | 4 | Calcification | 4 | 4 |
| 5 | Heterogeneous | 4 | Calcification | 4 | 4 |
| 6 | Heterogeneous | 5 | Mass | 4 | 4 |
| 7 | Heterogeneous | 4 | Mass | 5 | 4 |
| 8 | Heterogeneous | 1 | No | 4 | 4 |
| 9 | Heterogeneous | 1 | No | 1 | 4 |
| 10 | Heterogeneous | 1 | No | 1 | 1 |
| No of Case | MLO, % | CC, % | AI Diagnosis |
|---|---|---|---|
| 1 | 44.6 | 68.9 | Malignancy |
| 2 | 6.9 | 77.0 | Malignancy |
| 3 | 3.4 | 50.2 | Malignancy |
| 4 | 68.5 | 65.9 | Malignancy |
| 5 | 66.5 | 37.5 | Malignancy |
| 6 | 30.2 | 42.5 | Malignancy |
| 7 | 2.6 | 4.0 | No |
| 8 | 9.9 | 2.2 | No |
| 9 | 13.8 | 27.5 | No |
| 10 | 14.0 | 17.4 | No |
| No of Case | Duration Since Diagnosing MG | Previous MLO, % | Previous CC, % | AI Diagnosis |
|---|---|---|---|---|
| 1 | 1Y3M | 88.5 | 77.0 | Malignancy |
| 2 | 1Y6M | 0.1 | 60.9 | Malignancy |
| 3 | 7Y0M | 5.4 | 1.8 | No |
| 4 | 1Y10M | 17.6 | 5.5 | No |
| 5 | 3Y7M | 19.4 | 19.3 | No |
| 6 | 1Y5M | 0.6 | 2.3 | No |
Disclaimer/Publisher’s Note: The statements, opinions and data contained in all publications are solely those of the individual author(s) and contributor(s) and not of MDPI and/or the editor(s). MDPI and/or the editor(s) disclaim responsibility for any injury to people or property resulting from any ideas, methods, instructions or products referred to in the content. |
© 2024 by the authors. Licensee MDPI, Basel, Switzerland. This article is an open access article distributed under the terms and conditions of the Creative Commons Attribution (CC BY) license (https://creativecommons.org/licenses/by/4.0/).
Share and Cite
Adachi, M.; Fujioka, T.; Ishiba, T.; Nara, M.; Maruya, S.; Hayashi, K.; Kumaki, Y.; Yamaga, E.; Katsuta, L.; Hao, D.; et al. AI Use in Mammography for Diagnosing Metachronous Contralateral Breast Cancer. J. Imaging 2024, 10, 211. https://doi.org/10.3390/jimaging10090211
Adachi M, Fujioka T, Ishiba T, Nara M, Maruya S, Hayashi K, Kumaki Y, Yamaga E, Katsuta L, Hao D, et al. AI Use in Mammography for Diagnosing Metachronous Contralateral Breast Cancer. Journal of Imaging. 2024; 10(9):211. https://doi.org/10.3390/jimaging10090211
Chicago/Turabian StyleAdachi, Mio, Tomoyuki Fujioka, Toshiyuki Ishiba, Miyako Nara, Sakiko Maruya, Kumiko Hayashi, Yuichi Kumaki, Emi Yamaga, Leona Katsuta, Du Hao, and et al. 2024. "AI Use in Mammography for Diagnosing Metachronous Contralateral Breast Cancer" Journal of Imaging 10, no. 9: 211. https://doi.org/10.3390/jimaging10090211
APA StyleAdachi, M., Fujioka, T., Ishiba, T., Nara, M., Maruya, S., Hayashi, K., Kumaki, Y., Yamaga, E., Katsuta, L., Hao, D., Hartman, M., Mengling, F., Oda, G., Kubota, K., & Tateishi, U. (2024). AI Use in Mammography for Diagnosing Metachronous Contralateral Breast Cancer. Journal of Imaging, 10(9), 211. https://doi.org/10.3390/jimaging10090211

