Computed Tomography Imaging of Thoracic Aortic Surgery: Distinguishing Life-Saving Repairs from Life-Threatening Complications
Abstract
1. Introduction
2. Methodology
3. CT Imaging Protocol
4. Structural and Zonal Anatomy of the Thoracic Aorta: From Histology to Surgical Landmarks
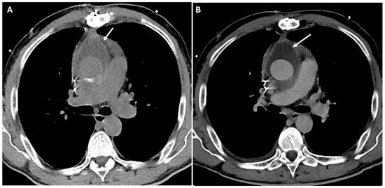
5. Thoracic Aortic Surgical Pathology: CT Imaging Features and Diagnostic Insights
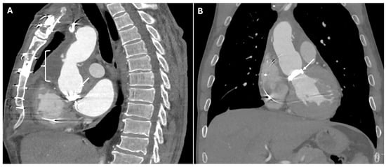
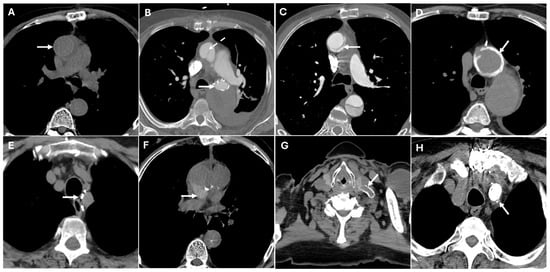
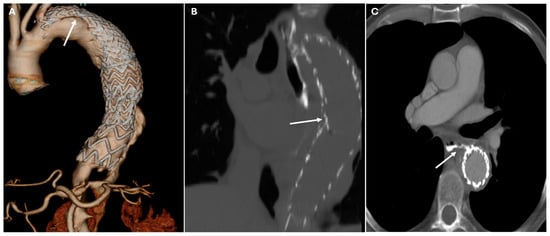
6. Surgical Management of the Thoracic Aorta: Techniques, CT Imaging, and Postoperative Assessment
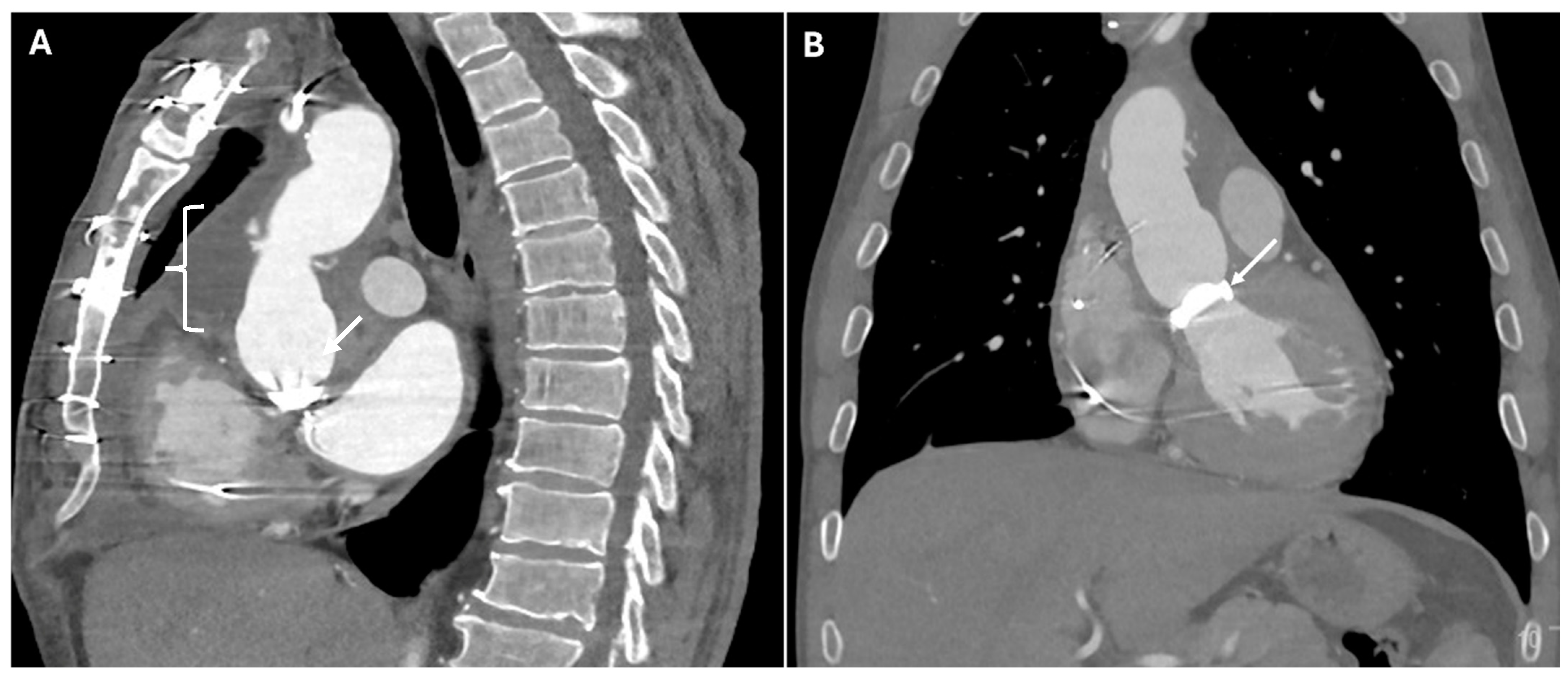
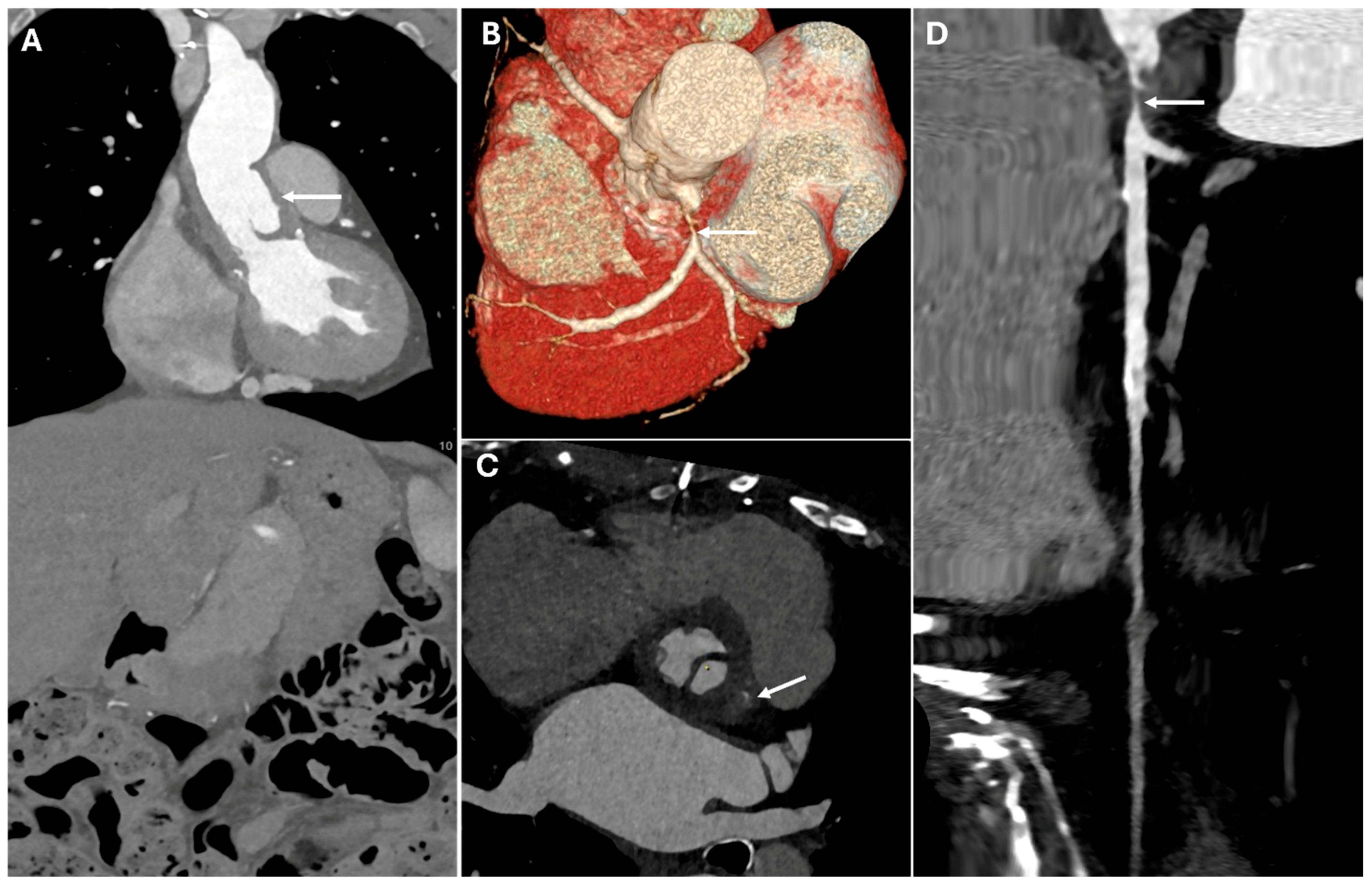
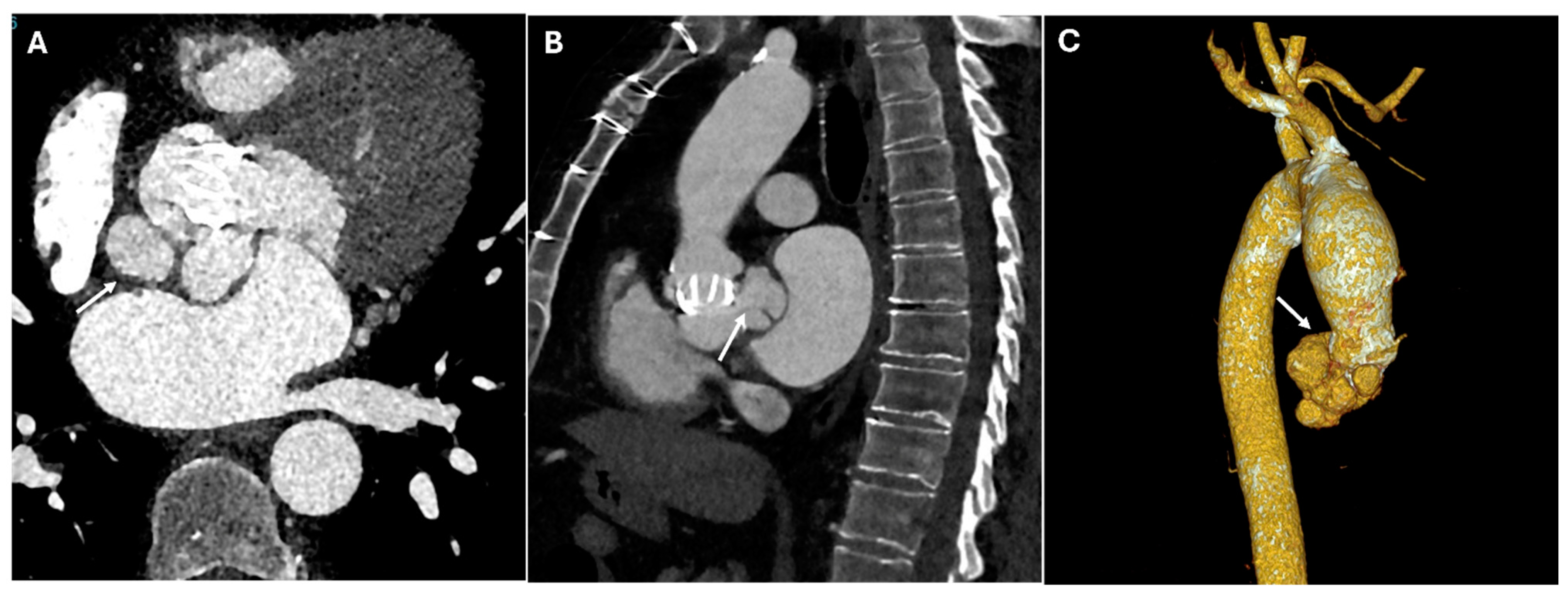
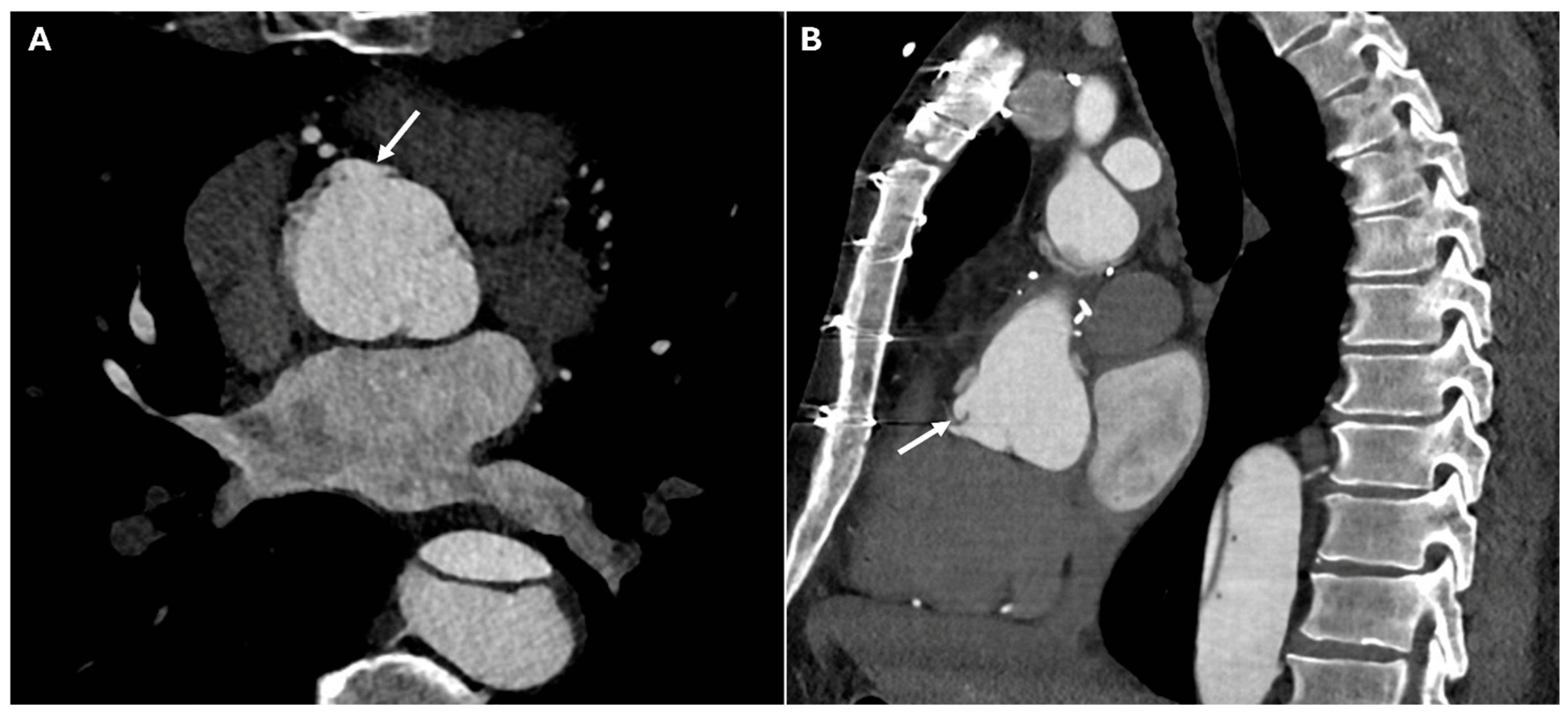
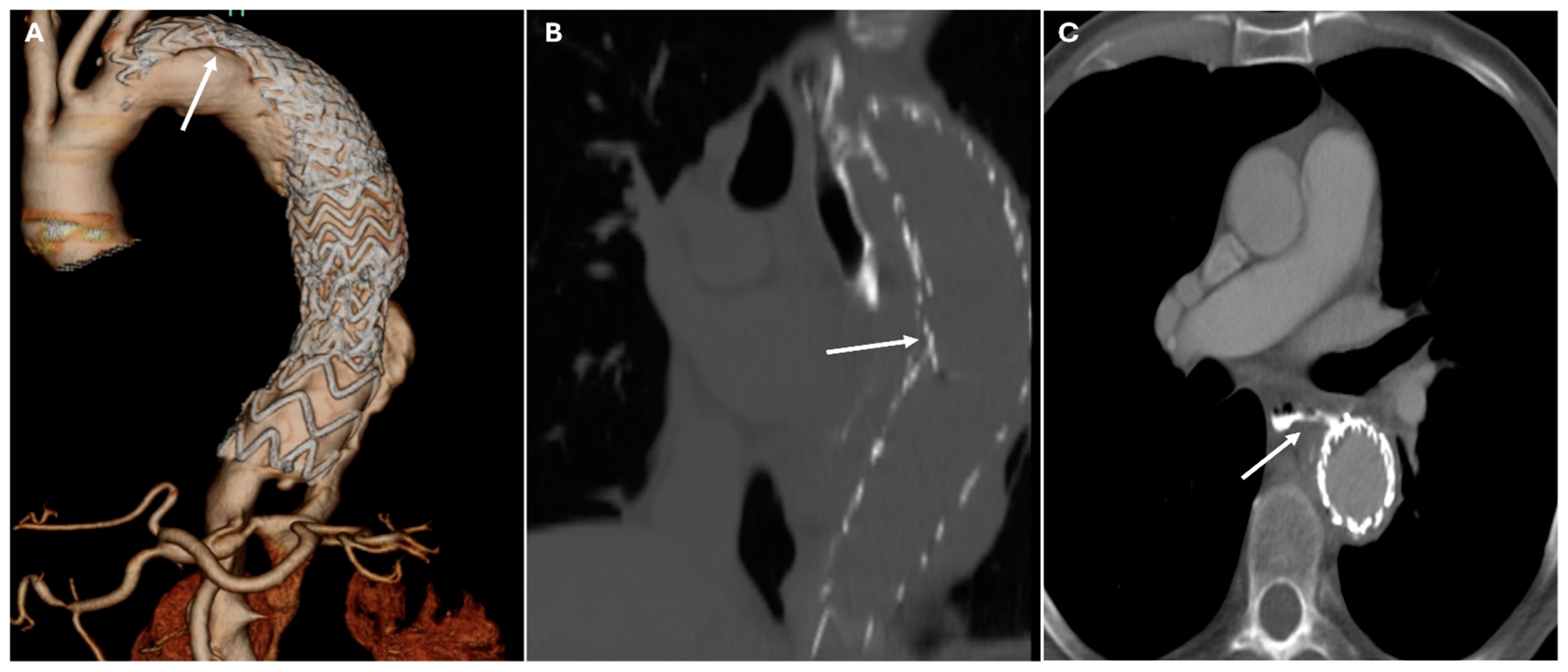
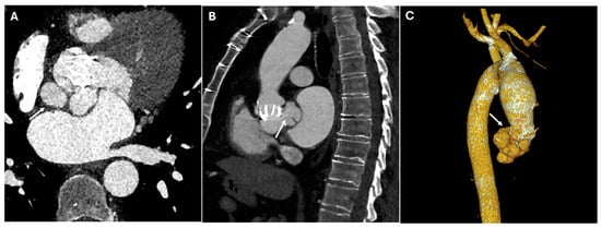
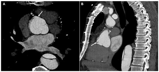
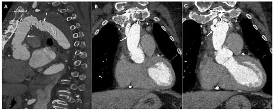
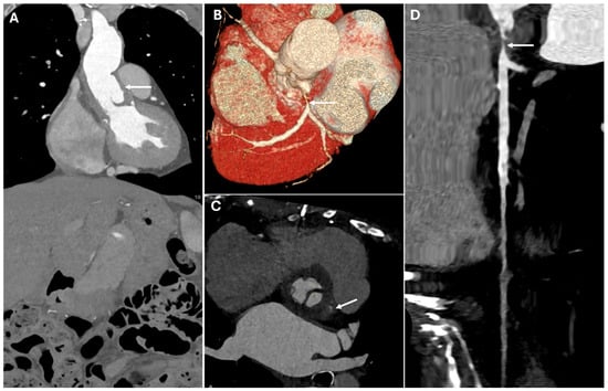
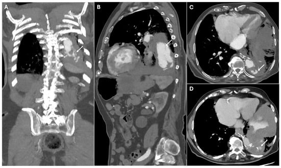
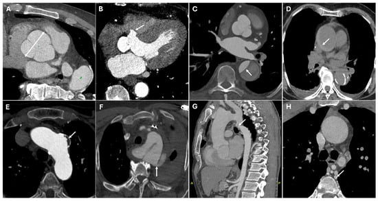
7. Postoperative Complications in Thoracic Aortic Surgery: CT Imaging and Diagnosis
8. Surgical Materials in Thoracic Aortic Repair: Imaging Characteristics and Differential Diagnosis of Complications
9. Discussion
10. Conclusions
Author Contributions
Funding
Institutional Review Board Statement
Informed Consent Statement
Data Availability Statement
Conflicts of Interest
References
- Shmukler, A.; Alis, J.; Patel, S.; Latson, L.; Ko, J.P. Pitfalls and Pearls of Imaging Non-Traumatic Thoracic Aortic Disease. Semin. Ultrasound CT MRI 2022, 43, 204–220. [Google Scholar] [CrossRef]
- Habib, M.; Lindström, D.; Lilly, J.B.; D’Oria, M.; Wanhainen, A.; Khashram, M.; Dean, A.; Mani, K. Descending Thoracic Aortic Emergencies: Past, Present, and Future. Semin. Vasc. Surg. 2023, 36, 139–149. [Google Scholar] [CrossRef]
- Maqsood, H.A.; Jawed, H.A.; Kumar, H.; Bansal, R.; Shahid, B.; Nazir, A.; Rustam, Z.; Aized, M.T.; Scemesky, E.A.; Lepidi, S.; et al. Advanced Imaging Techniques for Complex Endovascular Aortic Repair: Preoperative, Intraoperative and Postoperative Advancements. Ann. Vasc. Surg. 2024, 108, 519–556. [Google Scholar] [CrossRef] [PubMed]
- Green, D.B.; Vargas, D.; Reece, T.B.; Raptis, C.A.; Johnson, W.R.; Truong, Q.A. Mimics of Complications in the Postsurgical Aorta at CT. Radiol. Cardiothorac. Imaging 2019, 1, e190080. [Google Scholar] [CrossRef]
- Marquis, K.M.; Naeem, M.; Rajput, M.Z.; Raptis, D.A.; Steinbrecher, K.L.; Ohman, J.W.; Bhalla, S.; Raptis, C.A. CT of Postoperative Repair of the Ascending Aorta and Aortic Arch. RadioGraphics 2021, 41, 1300–1320. [Google Scholar] [CrossRef] [PubMed]
- Schicchi, N.; Fogante, M.; Palumbo, P.; Agliata, G.; Esposto Pirani, P.; Di Cesare, E.; Giovagnoni, A. The Sub-Millisievert Era in CTCA: The Technical Basis of the New Radiation Dose Approach. Radiol. Medica 2020, 125, 1024–1039. [Google Scholar] [CrossRef] [PubMed]
- Fogante, M.; Pirani, P.E.; Cela, F.; Balardi, L.; Piva, T.; Argalia, G.; Schicchi, N. Ultra-Low Radiation Dose and Contrast Volume CT Protocol and TAVI-CT Score for TAVI Planning and Outcome. Br. J. Radiol. 2023, 96, 20221026. [Google Scholar] [CrossRef]
- Schicchi, N.; Mari, A.; Fogante, M.; Esposto Pirani, P.; Agliata, G.; Tosi, N.; Palumbo, P.; Cannizzaro, E.; Bruno, F.; Splendiani, A.; et al. In Vivo Radiation Dosimetry and Image Quality of Turbo-Flash and Retrospective Dual-Source CT Coronary Angiography. Radiol. Medica 2020, 125, 117–127. [Google Scholar] [CrossRef]
- Fogante, M.; Agliata, G.; Basile, M.C.; Compagnucci, P.; Volpato, G.; Falanga, U.; Stronati, G.; Guerra, F.; Vignale, D.; Esposito, A.; et al. Cardiac Imaging in Athlete’s Heart: The Role of the Radiologist. Medicina 2021, 57, 455. [Google Scholar] [CrossRef]
- Tanaka, R.; Yoshioka, K.; Abiko, A. Updates on Computed Tomography Imaging in Aortic Aneurysms and Dissection. Ann. Vasc. Dis. 2020, 13, 23–27. [Google Scholar] [CrossRef]
- Ko, J.P.; Goldstein, J.M.; Latson, L.A.; Azour, L.; Gozansky, E.K.; Moore, W.; Patel, S.; Hutchinson, B. Chest CT Angiography for Acute Aortic Pathologic Conditions: Pearls and Pitfalls. RadioGraphics 2021, 41, 399–424. [Google Scholar] [CrossRef]
- di Gioia, C.R.T.; Ascione, A.; Carletti, R.; Giordano, C. Thoracic Aorta: Anatomy and Pathology. Diagnostics 2023, 13, 2166. [Google Scholar] [CrossRef] [PubMed]
- Anderson, R.H.; Spicer, D.E.; Tretter, J.T. Surgical Implications of Variations in the Anatomy of the Aortic Root. Eur. J. Cardio-Thorac. Surg. 2022, 62, ezac205. [Google Scholar] [CrossRef] [PubMed]
- Nana, P.; Panuccio, G.; Torrealba, J.I.; Rohlffs, F.; Kölbel, T. Fenestrated Aortic Arch Endovascular Repair for Aortic Diseases Extending to Ishimaru Zones 2 and 3. J. Endovasc. Ther. 2025, 15266028251324826. [Google Scholar] [CrossRef] [PubMed]
- Kallianos, K.G.; Burris, N.S. Imaging Thoracic Aortic Aneurysm. Radiol. Clin. N. Am. 2020, 58, 721–731. [Google Scholar] [CrossRef]
- Steinbrecher, K.L.; Marquis, K.M.; Bhalla, S.; Mellnick, V.M.; Ohman, J.W.; Raptis, C.A. CT of the Difficult Acute Aortic Syndrome. RadioGraphics 2022, 42, 69–86. [Google Scholar] [CrossRef]
- Bhave, N.M.; Nienaber, C.A.; Clough, R.E.; Eagle, K.A. Multimodality Imaging of Thoracic Aortic Diseases in Adults. JACC Cardiovasc. Imaging 2018, 11, 902–919. [Google Scholar] [CrossRef]
- Murillo, H.; Molvin, L.; Chin, A.S.; Fleischmann, D. Aortic Dissection and Other Acute Aortic Syndromes: Diagnostic Imaging Findings from Acute to Chronic Longitudinal Progression. RadioGraphics 2021, 41, 425–446. [Google Scholar] [CrossRef]
- Grist, T.M.; Rubin, G.D. Imaging of Acute Aortic Syndromes. In Diseases of the Chest, Breast, Heart and Vessels 2019-2022: Diagnostic and Interventional Imaging; Hodler, J., Kubik-Huch, R.A., von Schulthess, G.K., Eds.; IDKD Springer Series; Springer: Cham, Switzerland, 2019; ISBN 978-3-030-11148-9. [Google Scholar]
- Schicchi, N.; Teodoli, L.; Lucatelli, P.; Pirani, P.E.; Fogante, M.; Cela, F.; Balardi, L. Aortic Aneurysm in Emergency: Radiological Signs of Pre-Rupture and of Rupture. In Imaging of the Aorta: A Practical Guide for Radiologists; Springer: Cham, Switzerland, 2024; pp. 103–110. [Google Scholar]
- Brown, S.R.; Still, S.A.; Eudailey, K.W.; Beck, A.W.; Gunn, A.J. Acute Traumatic Injury of the Aorta: Presentation, Diagnosis, and Treatment. Ann. Transl. Med. 2021, 9, 1193. [Google Scholar] [CrossRef]
- Schicchi, N.; Fogante, M.; Esposto Pirani, P.; Agliata, G.; Basile, M.C.; Oliva, M.; Agostini, A.; Giovagnoni, A. Third-Generation Dual-Source Dual-Energy CT in Pediatric Congenital Heart Disease Patients: State-of-the-Art. Radiol. Medica 2019, 124, 1238–1252. [Google Scholar] [CrossRef]
- Li, W.; Rongthong, S.; Prabhakar, A.M.; Hedgire, S. Postoperative Imaging of the Aorta. Cardiovasc. Diagn. Ther. 2018, 8, S45–S60. [Google Scholar] [CrossRef]
- Boccalini, S.; Swart, L.E.; Bekkers, J.A.; Nieman, K.; Krestin, G.P.; Bogers, A.J.; Budde, R.P. CT Angiography for Depiction of Complications after the Bentall Procedure. Br. J. Radiol. 2019, 92, 20180226. [Google Scholar] [CrossRef] [PubMed]
- Prescott-Focht, J.A.; Martinez-Jimenez, S.; Hurwitz, L.M.; Hoang, J.K.; Christensen, J.D.; Ghoshhajra, B.B.; Abbara, S. Ascending Thoracic Aorta: Postoperative Imaging Evaluation. RadioGraphics 2013, 33, 73–85. [Google Scholar] [CrossRef]
- Yu, Z.; Ogasawara, T.; Daitoku, K.; Fukuda, I. Combined Valve-Sparing Root Replacement and Total Arch Replacement with Frozen Elephant Trunk. Interact. Cardiovasc. Thorac. Surg. 2011, 13, 421–423. [Google Scholar] [CrossRef] [PubMed]
- Tokuda, Y.; Terazawa, S.; Yoshizumi, T.; Ito, H.; Banno, H.; Mutsuga, M. Hybrid Repair of Extensive Aortic Arch Aneurysms: Outcomes of Isolated Frozen Elephant Trunk Repair and of Elephant Trunk with Second Stage Thoracic Endovascular Aortic Repair. Eur. J. Vasc. Endovasc. Surg. 2023, 66, 284–285. [Google Scholar] [CrossRef] [PubMed]
- Yates, L.C.; Malik, A.; Quinn, D.; Mascaro, J.; Holloway, B. Thoracic Aortic Aneurysm Repair Using the Elephant Trunk Technique and Associated Complications. Clin. Radiol. 2022, 77, 803–809. [Google Scholar] [CrossRef]
- Valente, T.; Rossi, G.; Rea, G.; Pinto, A.; Romano, L.; Davies, J.; Scaglione, M. Multidetector CT Findings of Complications of Surgical and Endovascular Treatment of Aortic Aneurysms. Radiol. Clin. N. Am. 2014, 52, 961–989. [Google Scholar] [CrossRef]
- Toia, P.; Pennisi, L.; Taravella, R.; Grassedonio, E.; Gagliardo, C.; Galia, M.; Midiri, M.; Grutta, L.L. Post-Operative Computed Tomography Imaging Evaluation of Ascending Aorta Surgery. Pol. J. Radiol. 2021, 86, e246–e254. [Google Scholar] [CrossRef]
- Raju, S.N.; Shaw, M.; Pandey, N.N.; Sharma, A.; Kumar, S. Imaging Evaluation Using Computed Tomography after Ascending Aortic Graft Repair. Asian Cardiovasc. Thorac. Ann. 2021, 29, 132–142. [Google Scholar] [CrossRef]
- Groner, L.K.; Lau, C.; Devereux, R.B.; Green, D.B. Imaging of the Postsurgical Aorta in Marfan Syndrome. Curr. Treat. Options Cardiovasc. Med. 2018, 20, 80. [Google Scholar] [CrossRef]
- Lee, M.H.; Park, H.J.; Kim, J.N.; Kim, M.S.; Hong, S.W.; Park, J.H.; Kang, C.H. Virtual Non-Contrast Images from Dual-Energy CT Angiography of the Abdominal Aorta and Femoral Arteries: Comparison with True Non-Contrast CT Images. Br. J. Radiol. 2022, 95, 20220378. [Google Scholar] [CrossRef]
- Charalambous, S.; Perisinakis, K.; Kontopodis, N.; Papadakis, A.E.; Maris, T.G.; Ioannou, C.V.; Karantanas, A.; Tsetis, D. Dual-Energy CT Angiography in Imaging Surveillance of Endovascular Aneurysm Repair—Preliminary Study Results. Eur. J. Radiol. 2022, 148, 110165. [Google Scholar] [CrossRef]
- Vaz, A.; De Paula Morales, K.R.; Kaiser Ururahy Nunes Fonseca, E. To-and-Fro Flow Equivalent at Dynamic CT Angiography of the Aorta. Radiol. Cardiothorac. Imaging 2024, 6, e240062. [Google Scholar] [CrossRef] [PubMed]
- Juffermans, J.F.; Westenberg, J.J.M.; van den Boogaard, P.J.; Roest, A.A.W.; van Assen, H.C.; van der Palen, R.L.F.; Lamb, H.J. Reproducibility of Aorta Segmentation on 4D Flow MRI in Healthy Volunteers. J. Magn. Reason. Imaging 2021, 53, 1268–1279. [Google Scholar] [CrossRef] [PubMed]
- van Hout, M.J.; Scholte, A.J.; Juffermans, J.F.; Westenberg, J.J.; Zhong, L.; Zhou, X.; Schalla, S.M.; Hope, M.D.; Bremerich, J.; Kramer, C.M.; et al. How to Measure the Aorta Using MRI: A Practical Guide. J. Magn. Reason. Imaging 2020, 52, 971–977. [Google Scholar] [CrossRef] [PubMed]
- Zarkowsky, D.S.; Stonko, D.P. Artificial intelligence’s role in vascular surgery decision-making. Semin. Vasc. Surg. 2021, 34, 260–267. [Google Scholar] [CrossRef]
- Dossabhoy, S.S.; Ho, V.T.; Ross, E.G.; Rodriguez, F.; Arya, S. Artificial intelligence in clinical workflow processes in vascular surgery and beyond. Semin. Vasc. Surg. 2023, 36, 401–412. [Google Scholar] [CrossRef]













| Zone | Anatomical Location | Key Considerations | Preferred Treatment Approach |
|---|---|---|---|
| 0 | Ascending aorta and origin of the brachiocephalic artery | High-pressure region, difficult for endovascular repair | Open surgical repair (e.g., Bentall, David, Cabrol procedures) |
| 1 | Aortic arch with the origin of the left common carotid artery | Stent placement may require extraanatomical revascularization | Extraanatomical revascularization using the right common carotid artery or right subclavian artery as the donor vessels. |
| 2 | Aortic arch with the origin of the left subclavian arteries | Critical location for arch vessel perfusion | Extraanatomical revascularization involves left carotid-subclavian bypass or transposition. |
| 3 | Proximal descending thoracic aorta (distal to the left subclavian artery) | Common landing zone for TEVAR | TEVAR |
| 4 | Distal descending thoracic aorta, extending toward the diaphragm | Can be treated with stent grafts or open repair for complex disease | TEVAR or open surgical repair depending on complexity |
| Procedure | Indication | Surgical Approach | CT Imaging Characteristics |
|---|---|---|---|
| Bentall Procedure | Aortic root aneurysms, Type A dissection | Composite graft with valve, coronary reimplantation | Tubular graft replacing aortic root, prosthetic valve |
| Cabrol Procedure | Complex reoperations, severe atherosclerosis | Prosthetic conduit for coronary artery reimplantation | Graft with parallel interposed conduit |
| Yacoub Procedure | Aortic root aneurysms, valve-sparing repair | Synthetic graft remodeling sinuses of Valsalva | Scalloped aortic root graft with preserved valve |
| David Procedure | Marfan syndrome, younger patients | Valve-sparing root replacement with graft | Native valve reimplanted into supportive graft |
| Hemiarch Repair | Limited aortic arch pathology | Zone 0 reconstruction with lesser curvature graft | Graft in the aortic hemiarch |
| Hybrid Type I Repair | Extensive arch disease | Arch debranching, stent landing in zone 0 | Endovascular stent plus revascularized arch vessels |
| Hybrid Type II Repair | Extensive arch disease | Arch debranching, open surgery and stent landing in zone 0 | Tubular surgical graft with high-density metallic stent |
| Hybrid Type III Repair | Extensive arch disease | Open graft extending to descending aorta, endovascular stent | Tubular surgical graft with high-density metallic stent |
| Elephant Trunk Technique | Staged repair of extensive aortic disease | Open arch graft extending into descending aorta | Floating tubular graft within descending aorta |
| Frozen Elephant Trunk | Single-stage aortic arch + descending repair | Endovascular stent incorporated within open graft | Seamless transition between proximal graft and distal stent |
| Reverse Elephant Trunk | Staged descending arch repair | TEVAR followed by open arch surgery | Combination of open and endovascular grafts |
| Buffalo Trunk Technique | Combined arch and descending aorta repair | Open arch graft with endovascular stent | Hybrid repair with visible proximal graft and extended stent |
| TEVAR | Descending aortic aneurysms, dissections | Endovascular stent placement | High-density metallic structure conforming to aortic lumen |
| Complication | Cause | CT Imaging Features | Clinical Relevance |
|---|---|---|---|
| Coronary Artery Complications | Coronary ostial obstruction | Narrowed or occluded ostium, diminished contrast opacification | Can lead to myocardial infarction |
| Graft Dehiscence and Leaks | Poor anastomotic integrity, infection, mechanical stress | Contrast extravasation at anastomotic sites, widened mediastinum, disrupted graft margins | Massive hemorrhage |
| Paravalvular Leak | Suture failure, prosthesis malalignment | Contrast extravasation around prosthetic valve annulus | High rupture risk |
| Pseudoaneurysm | Suture failure, infection, chronic mechanical stress | Contrast-filled sac adjacent to graft, narrow neck | High rupture risk |
| Perigraft Fluid Collection and Infection | Post-surgical infection | Rim-enhancing fluid collections, intrinsic air | Can progress to graft infection and sepsis |
| Pericardial Effusion and Tamponade | Post-surgical tamponade | Fluid collection in pericardial sac, cardiac chamber compression, septal bowing | May impair cardiac function |
| Endoleaks (TEVAR) | Incomplete sealing, graft migration | Persistent contrast enhancement outside stent graft lumen | Can lead to aneurysm expansion and rupture |
| Graft Migration (TEVAR) | Insufficient landing zone, poor fixation | Displacement > 10 mm on sequential imaging | May cause endoleaks or malperfusion |
| Graft Occlusion (TEVAR) | Thrombosis, intimal hyperplasia | Lack of contrast opacification within the graft, collateral vessel formation | May result in ischemia |
| Graft Infection (TEVAR) | Post-surgical infection | Perigraft fluid collections, soft tissue stranding, gas formation, or enhancement of adjacent tissues | Can progress to graft infection and sepsis |
| Aorto-Esophageal or Aorto-Bronchial Fistulas | Erosion of graft into adjacent structures | Contrast extravasation into esophagus or bronchial tree, adjacent air | Massive hemorrhage |
| Category | Characteristics | CT Details | Potential Differential Diagnosis |
|---|---|---|---|
| Synthetic Grafts | Made of synthetic polyethylene. | Hyperattenuating relative to native aorta on noncontrast CT. Less apparent on postcontrast imaging due to adjacent blood pool. Lack flexibility, leading to straighter morphology and sharper angulations. | Sharper angulations and redundant folds may mimic dissection. |
| Stent grafts | Consist of a metallic skeleton covered with polyester. May include circumferential metallic rings or fenestrations for arch vessels. | Metallic framework appears hyperattenuating on CT. | Mimic calcifications or foreign bodies. |
| Reinforcement Materials | Felt rings, pledgets, sutures, and surgical clips used to strengthen anastomoses. | Hyperattenuating with beam-hardening artifacts. | Mimic calcifications, foreign bodies or pseudoaneurysms. |
| Bioabsorbable Hemostatic Agents | Used for intraoperative bleeding control. | Heterogeneous masses No air–fluid levels or enhancing walls. Linear arrangement of gas bubbles helps distinguish from infection. | Mimic abscesses, hematomas, tumors or retained foreign bodies. |
| Carotid-Carotid Bypass Grafts | Left carotid-subclavian graft often accompanied by proximal left subclavian artery occlusion. | Occlusion appears as hyperattenuating disk- or dumbbell-shaped structures. Grafts visible on multiplanar reconstructions. | Mimic calcifications |
| Imaging Feature | Expected Postoperative Appearance | Red Flags Suspicious for Complication |
|---|---|---|
| Perigraft air (early) | Present < 2–3 weeks post-op; stable | Increasing, rim-enhancing, or delayed presence |
| Perigraft fluid | Thin, homogeneous, no enhancement | Heterogeneous, rim-enhancing, septated |
| Graft folds | Linear, symmetric, stable on serial CTA | New, irregular, or associated with contrast leak |
| Anastomotic bulge | Small, smooth, uniform | Saccular, eccentric, narrow-necked (suggests pseudoaneurysm) |
| Metallic artifact | Beam hardening near clips/sutures | No diagnostic value alone—evaluate adjacent structures |
| Aortic contour | Straightened, with minor caliber changes at graft interface | Irregular contour, mural thrombus, or new hematoma |
| Coronary reimplantation site | Well-positioned, opacified coronaries | Focal stenosis, absent enhancement, infarct signs |
Disclaimer/Publisher’s Note: The statements, opinions and data contained in all publications are solely those of the individual author(s) and contributor(s) and not of MDPI and/or the editor(s). MDPI and/or the editor(s) disclaim responsibility for any injury to people or property resulting from any ideas, methods, instructions or products referred to in the content. |
© 2025 by the authors. Licensee MDPI, Basel, Switzerland. This article is an open access article distributed under the terms and conditions of the Creative Commons Attribution (CC BY) license (https://creativecommons.org/licenses/by/4.0/).
Share and Cite
Fogante, M.; Esposto Pirani, P.; Cela, F.; Alfonsi, J.; Tagliati, C.; Balardi, L.; Argalia, G.; Di Eusanio, M.; Schicchi, N. Computed Tomography Imaging of Thoracic Aortic Surgery: Distinguishing Life-Saving Repairs from Life-Threatening Complications. J. Imaging 2025, 11, 119. https://doi.org/10.3390/jimaging11040119
Fogante M, Esposto Pirani P, Cela F, Alfonsi J, Tagliati C, Balardi L, Argalia G, Di Eusanio M, Schicchi N. Computed Tomography Imaging of Thoracic Aortic Surgery: Distinguishing Life-Saving Repairs from Life-Threatening Complications. Journal of Imaging. 2025; 11(4):119. https://doi.org/10.3390/jimaging11040119
Chicago/Turabian StyleFogante, Marco, Paolo Esposto Pirani, Fatjon Cela, Jacopo Alfonsi, Corrado Tagliati, Liliana Balardi, Giulio Argalia, Marco Di Eusanio, and Nicolò Schicchi. 2025. "Computed Tomography Imaging of Thoracic Aortic Surgery: Distinguishing Life-Saving Repairs from Life-Threatening Complications" Journal of Imaging 11, no. 4: 119. https://doi.org/10.3390/jimaging11040119
APA StyleFogante, M., Esposto Pirani, P., Cela, F., Alfonsi, J., Tagliati, C., Balardi, L., Argalia, G., Di Eusanio, M., & Schicchi, N. (2025). Computed Tomography Imaging of Thoracic Aortic Surgery: Distinguishing Life-Saving Repairs from Life-Threatening Complications. Journal of Imaging, 11(4), 119. https://doi.org/10.3390/jimaging11040119

