Integrated Ultrasound Characterization of the Diet-Induced Obesity (DIO) Model in Young Adult c57bl/6j Mice: Assessment of Cardiovascular, Renal and Hepatic Changes
Abstract
1. Introduction
2. Materials and Methods
2.1. Compliance with Ethical Standards
2.2. Study Design and Animals
2.3. Biochemical Analysis
2.4. Ultrasound Imaging
- Ejection fraction (EF, %): 100 ∗ ((LV Vol;d − LV Vol;s)/LV Vol;d) as a measurement of how much blood the left ventricle pumps out with each contraction;
- Fractional shortening (FS, %): 100 ∗ ((LVID;d − LVID;s)/LVID;d) as a measurement of the reduction in the length of the end-diastolic diameter that occurs by the end of systole;
- LV mass (g) corrected (corr): 1.053 ∗ ((LVID;d + LVPW;d + IVS;d)3 − LVID;d3) ∗ 0.8 considering myocardial density approximately 1.053 g/mL and multiplying the LV mass value by 0.8 to “correct” for an overestimation of LV mass, according to the manufacturer’s instructions [40].
- LV volume (vol); d (µL): ((7.0/(2.4 + LVID;d)) ∗ LVID;d3
- LV vol; s (µL) ((7.0/(2.4 + LVID;s)) ∗ LVID;s3
- Stroke volume (SV) (µL): (LV Vol, d − LV Vol, s) as the volume of blood pumped out of the left ventricle of the heart during each systolic cardiac contraction;
- Cardiac output (CO) (mL/minute): (SV × hr)/1000 as the amount of blood the heart pumps through the circulatory system in a minute.
- HFUS visual grading [9,44,45]: the left lobe, anterior and posterior portions of the right lobe, left and right portions of the middle lobe, and the caudate lobe of the liver were imaged, and the following parameters were assessed:
- Echostructure—score 1: homogenous liver parenchyma and regular hepatic surface; score 2 (mild steatosis): diffuse parenchymal mild heterogeneity, reduced visualization of the diaphragm and small peripheral vessels with no change on liver surface; score 3 (moderate steatosis): discrete coarse and heterogeneous parenchymal echogenicity, dotted or slightly irregular liver surface; score 4 (severe steatosis): extensive coarse and heterogeneous parenchymal echostructure, marked echogenicity, irregular or nodular hepatic surface with underlying regenerative nodules, obscured diaphragm and reduced visibility of kidney.
- Echogenicity (relative to the renal cortex)—score 0: liver less echogenic than the renal cortex; score 1: hepatic echogenicity equal to the renal cortex; score 2: liver more echogenic than the renal cortex.
- Presence of ascites—score 0: absent; score 1: present.
- Parametric analysis: Overall, normal hepatic parenchyma is less echogenic than the right renal cortex in rodents [7]. The hepatic echogenicity increases due to the presence of fatty infiltration and/or fibrosis, changing the relation between the liver and the right renal cortex [12].
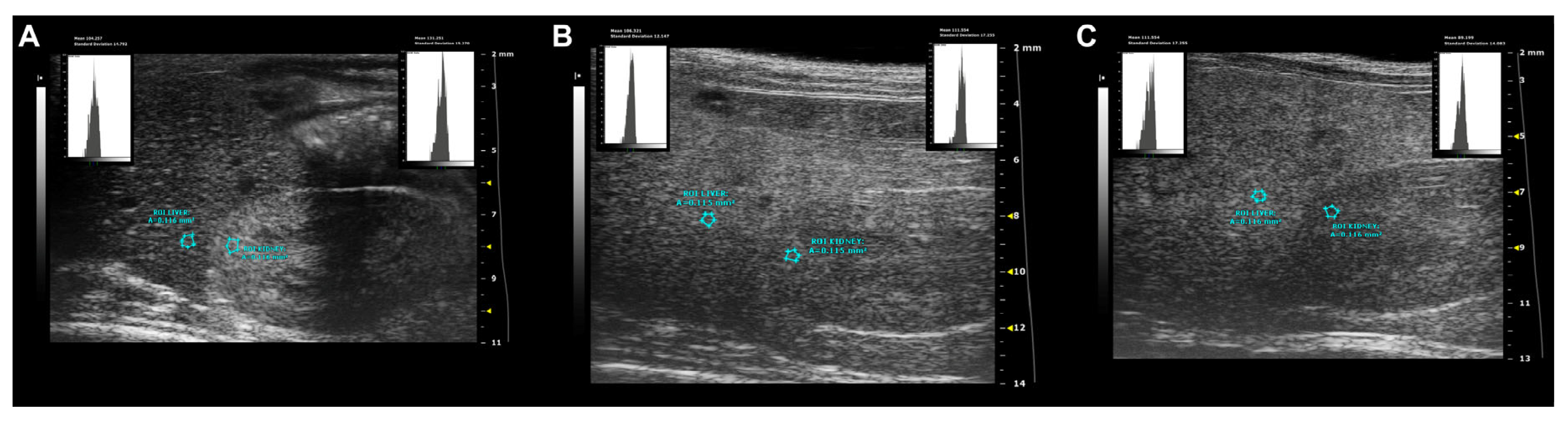
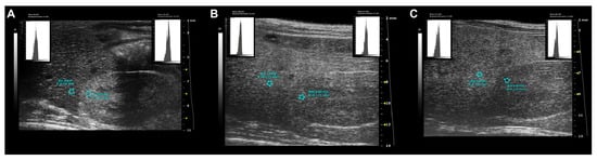
- Hepatic-renal ratio (HR): A longitudinal view was acquired in order to have both the liver (caudate lobe) and the right kidney clearly visualized. Liver echogenicity was compared with that of the renal parenchyma, to normalize differences in the overall ultrasound gain value used for the acquisitions. A region of interest (ROI, (0.1 ± 0.02 mm2) was manually drawn and placed in the liver parenchyma, avoiding focal hypo- and hyperechogenicity. A second ROI was positioned in correspondence with a portion of the renal cortex devoid of large vessels along the focusing area of the image at the same distance from the probe to avoid distorting effects in ultrasonic wave patterns. HR values were obtained by dividing the mean grey level of the hepatic ROI for that obtained for the renal one (pixel intensity = average intensity/mm2, arbitrary units, a.u.) [9,44].
- Hepatic-portal vein ratio (HPV): Similarly, liver echogenicity was normalized to that corresponding to blood within the portal vein. Axial plane ultrasound images were acquired to visualize a portion of the portal vein in the center of the liver. One ROI (0.1 ± 0.02 mm2) was manually drawn and positioned within the lumen of the portal vein, while a second one was positioned in the liver parenchyma avoiding focal hypo- and hyperechogenicity, at the same depth and as close as possible to the center of the image, to maintain comparable ultrasound attenuation and avoid effects related to borderline echo distortion [9,44].
- Gray-level histogram analysis of echogenicity (GLH): Liver images at different scanning planes (left lateral lobe, longitudinal; caudate lobe, longitudinal; right median lobe, axial) were analyzed using a gray-level histogram to obtain the quantitative mean and standard deviation values of echogenicity of each spatial region. Anatomical landmarks (greater curvature of stomach; cranial pole of the right kidney; porta hepatis, at the level which aorta, portal vein, and caudal vena cava are visible in cross-section) were chosen to scan reproducible imaging planes. ROIs (1 ± 0.02 mm2) were manually drawn in the liver parenchyma, avoiding focal hypo- and hyperechogenicity and as close as possible to the center of the image. This approach includes more representative parts of the liver parenchyma and avoids distortion of image artifacts, with good intra-observer reproducibility [46]. Changes in brightness and variance of the liver parenchyma were reported as follows: mean echogenicity of different lobes; standard deviation of brightness within ROI encompassing right median lobe as measure of tissue heterogeneity; standard deviation of brightness among ROIs in all planes imaged as measures of anisotropy [46,47].
2.5. Histological Examination
2.6. Statistical Analysis
3. Results
3.1. WD Affects Body Weight and Nutritional Phenotype of C57Bl/6J Mice
3.2. WD Influences Feeding Behavior in C57Bl/6J Substrain
3.3. WD Induces Changes in Lipid Metabolism of C57Bl/6J Substrain
3.4. WD Impairs Glucose Homeostasis in C57Bl/6J Substrain
3.5. WD Induces Changes in Hepatic and Renal Biochemistry of C57Bl/6J Mice
3.6. WD Causes Progressive Structural and Functional Changes in the Heart, Liver, and Kidney of C57Bl/6J Mice That Can Be Detected Early and Monitored In Vivo by HFUS
3.7. WD Induces Histological Changes in the Liver and Kidney of C57Bl/6J Mice
4. Discussion
Author Contributions
Funding
Institutional Review Board Statement
Data Availability Statement
Acknowledgments
Conflicts of Interest
References
- Casimiro, I.; Stull, N.D.; Tersey, S.A.; Mirmira, R.G. Phenotypic sexual dimorphism in response to dietary fat manipulation in C57BL/6J mice. J. Diabetes Complicat. 2021, 35, 107795. [Google Scholar] [CrossRef] [PubMed]
- Siersbæk, M.S.; Ditzel, N.; Hejbøl, E.K.; Præstholm, S.M.; Markussen, L.K.; Avolio, F.; Li, L.; Lehtonen, L.; Hansen, A.K.; Schrøder, H.D.; et al. C57BL/6J substrain differences in response to high-fat diet intervention. Sci. Rep. 2020, 10, 14052. [Google Scholar] [CrossRef] [PubMed]
- Speakman, J.R. Use of high-fat diets to study rodent obesity as a model of human obesity. Int. J. Obes. 2019, 43, 1491–1492. [Google Scholar] [CrossRef]
- Shi, H.; Prough, R.A.; McClain, C.J.; Song, M. Different Types of Dietary Fat and Fructose Interactions Result in Distinct Metabolic Phenotypes in Male Mice. J. Nutr. Biochem. 2023, 111, 109189. [Google Scholar] [CrossRef] [PubMed]
- Hintze, K.J.; Benninghoff, A.D.; Cho, C.E.; Ward, R.E. Modeling the Western Diet for Preclinical Investigations. Adv. Nutr. 2018, 9, 263–271. [Google Scholar] [CrossRef]
- Gargiulo, S.; Gramanzini, M.; Mancini, M. Molecular Imaging of Vulnerable Atherosclerotic Plaques in Animal Models. Int. J. Mol. Sci. 2016, 17, 1511. [Google Scholar] [CrossRef]
- Lessa, A.S.; Paredes, B.D.; Dias, J.V.; Carvalho, A.B.; Quintanilha, L.F.; Takiya, C.M.; Tura, B.R.; Resende, G.F.; Campos de Carvalho, A.C.; Resende, C.M.; et al. Ultrasound imaging in an experimental model of fatty liver disease and cirrhosis in rats. BMC Vet. Res. 2010, 6, 6. [Google Scholar] [CrossRef]
- Resende, C.; Lessa, A.; Goldenberg, R.C.S. Ultrasonic Imaging in Liver Disease: From Bench to Bedside. In Ultrasound Imaging—Medical Applications; IntechOpen: London, UK, 2011; Available online: https://www.intechopen.com/chapters/18256#B23 (accessed on 25 July 2024). [CrossRef][Green Version]
- Di Lascio, N.; Kusmic, C.; Stea, F.; Lenzarini, F.; Barsanti, C.; Leloup, A.; Faita, F. Longitudinal micro-ultrasound assessment of the ob/ob mouse model: Evaluation of cardiovascular, renal and hepatic parameters. Int. J. Obes. 2018, 42, 518–524. [Google Scholar] [CrossRef]
- Faita, F.; Di Lascio, N.; Rossi, C.; Kusmic, C.; Solini, A. Ultrasonographic Characterization of the db/db Mouse: An Animal Model of Metabolic Abnormalities. J. Diabetes Res. 2018, 2018, 4561309. [Google Scholar] [CrossRef]
- Cui, G.; Martin, R.C.; Liu, X.; Zheng, Q.; Pandit, H.; Zhang, P.; Li, W.; Li, Y. Serological biomarkers associate ultrasound characteristics of steatohepatitis in mice with liver cancer. Nutr. Metab. 2018, 15, 71. [Google Scholar] [CrossRef]
- Pantaleão, A.C.S., Jr.; de Castro, M.P.; Meirelles Araujo, K.S.F.; Campos, C.F.F.; da Silva, A.L.A.; Manso, J.E.F.; Machado, J.C. Ultrasound biomicroscopy for the assessment of early-stage nonalcoholic fatty liver disease induced in rats by a high-fat diet. Ultrasonography 2022, 41, 750–760. [Google Scholar] [CrossRef] [PubMed]
- Schipper, L.; van Heijningen, S.; Karapetsas, G.; van der Beek, E.M.; van Dijk, G. Individual housing of male C57BL/6J mice after weaning impairs growth and predisposes for obesity. PLoS ONE 2020, 15, e0225488. [Google Scholar] [CrossRef] [PubMed]
- Olga, L.; Bobeldijk-Pastorova, I.; Bas, R.C.; Seidel, F.; Snowden, S.G.; Furse, S.; Ong, K.K.; Kleemann, R.; Koulman, A. Lipid profiling analyses from mouse models and human infants. STAR Protoc. 2022, 3, 101679. [Google Scholar] [CrossRef] [PubMed]
- Ellacott, K.L.; Morton, G.J.; Woods, S.C.; Tso, P.; Schwartz, M.W. Assessment of feeding behavior in laboratory mice. Cell Metab. 2010, 12, 10–17. [Google Scholar] [CrossRef]
- Wang, C.Y.; Liao, J.K. A mouse model of diet-induced obesity and insulin resistance. Methods Mol. Biol. 2012, 821, 421–433. [Google Scholar] [CrossRef]
- Lau, J.K.; Zhang, X.; Yu, J. Animal models of non-alcoholic fatty liver disease: Current perspectives and recent advances. J. Pathol. 2017, 241, 36–44. [Google Scholar] [CrossRef]
- Ali, M.A.; Kravitz, A.V. Challenges in quantifying food intake in rodents. Brain Res. 2018, 1693 Pt B, 188–191. [Google Scholar] [CrossRef]
- Cowley, P.M.; Roberts, C.R.; Baker, A.J. Monitoring the Health Status of Mice with Bleomycin-induced Lung Injury by Using Body Condition Scoring. Comp. Med. 2019, 69, 95–102. [Google Scholar] [CrossRef]
- Siriarchavatana, P.; Kruger, M.C.; Wolber, F.M. Correlation between body condition score and body composition in a rat model for obesity research. Vet. Integr. Sci. 2022, 20, 531–545. Available online: https://he02.tci-thaijo.org/index.php/vis/article/view/258598 (accessed on 5 June 2024). [CrossRef]
- Hoggatt, J.; Hoggatt, A.F.; Tate, T.A.; Fortman, J.; Pelus, L.M. Bleeding the laboratory mouse: Not all methods are equal. Exp. Hematol. 2016, 44, 132–137.e1. [Google Scholar] [CrossRef]
- Windeløv, J.A.; Pedersen, J.; Holst, J.J. Use of anesthesia dramatically alters the oral glucose tolerance and insulin secretion in C57Bl/6 mice. Physiol. Rep. 2016, 4, e12824. [Google Scholar] [CrossRef]
- Valladolid-Acebes, I.; Daraio, T.; Brismar, K.; Harkany, T.; Ögren, S.O.; Hökfelt, T.G.; Bark, C. Replacing SNAP-25b with SNAP-25a expression results in metabolic disease. Proc. Natl. Acad. Sci. USA 2015, 112, E4326–E4335. [Google Scholar] [CrossRef]
- Pauter, A.M.; Fischer, A.W.; Bengtsson, T.; Asadi, A.; Talamonti, E.; Jacobsson, A. Synergistic Effects of DHA and Sucrose on Body Weight Gain in PUFA-Deficient Elovl2-/- Mice. Nutrients 2019, 11, 852. [Google Scholar] [CrossRef] [PubMed]
- Carper, D.; Coué, M.; Laurens, C.; Langin, D.; Moro, C. Reappraisal of the optimal fasting time for insulin tolerance tests in mice. Mol. Metab. 2020, 42, 101058. [Google Scholar] [CrossRef]
- Fraulob, J.C.; Ogg-Diamantino, R.; Fernandes-Santos, C.; Aguila, M.B.; Mandarim-de-Lacerda, C.A. A Mouse Model of Metabolic Syndrome: Insulin Resistance, Fatty Liver and Non-Alcoholic Fatty Pancreas Disease (NAFPD) in C57BL/6 Mice Fed a High Fat Diet. J. Clin. Biochem. Nutr. 2010, 46, 212–223. [Google Scholar] [CrossRef] [PubMed]
- Knopp, J.L.; Holder-Pearson, L.; Chase, J.G. Insulin Units and Conversion Factors: A Story of Truth, Boots, and Faster Half-Truths. J. Diabetes Sci. Technol. 2019, 13, 597–600. [Google Scholar] [CrossRef]
- Diabetes Trials Unit, University of Oxford, Oxford, UK. Available online: https://www.dtu.ox.ac.uk/homacalculator/ (accessed on 5 September 2022).
- Avtanski, D.; Pavlov, V.A.; Tracey, K.J.; Poretsky, L. Characterization of inflammation and insulin resistance in high-fat diet-induced male C57BL/6J mouse model of obesity. Animal Model. Exp. Med. 2019, 2, 252–258. [Google Scholar] [CrossRef] [PubMed]
- Zhou, X.; Hansson, G.K. Effect of Sex and Age on Serum Biochemical Reference Ranges in C57BL/6J Mice. Comp. Med. 2004, 54, 176–178. [Google Scholar]
- Mazzaccara, C.; Labruna, G.; Cito, G.; Scarfò, M.; De Felice, M.; Pastore, L.; Sacchetti, L. Age-Related Reference Intervals of the Main Biochemical and Hematological Parameters in C57BL/6J, 129SV/EV and C3H/HeJ Mouse Strains. PLoS ONE 2008, 3, e3772. [Google Scholar] [CrossRef]
- The Jackson Laboratory Online Resource Library. Available online: http://jackson.jax.org/rs/444-BUH-304/images/physiological_data_000664.pdf (accessed on 1 November 2021).
- Jensen, T.; Kiersgaard, M.; Sørensen, D.; Mikkelsen, L. Fasting of mice: A review. Lab. Anim. 2013, 47, 225–240. [Google Scholar] [CrossRef]
- Constantinides, C.; Mean, R.; Janssen, B.J. Effects of isoflurane anesthesia on the cardiovascular function of the C57BL/6 mouse. ILAR J. 2011, 52, 21–31. [Google Scholar]
- Sørensen, L.L.; Bedja, D.; Sysa-Shah, P.; Liu, H.; Maxwell, A.; Yi, X.; Pozios, I.; Olsen, N.T.; Abraham, T.P.; Abraham, R.; et al. Echocardiographic Characterization of a Murine Model of Hypertrophic Obstructive Cardiomyopathy Induced by Cardiac-specific Overexpression of Epidermal Growth Factor Receptor 2. Comp. Med. 2016, 66, 268–277. [Google Scholar] [PubMed]
- Andorko, J.I.; Tostanoski, L.H.; Solano, E.; Mukhamedova, M.; Jewell, C.M. Intra-lymph node injection of biodegradable polymer particles. J. Vis. Exp. 2014, e50984. [Google Scholar] [CrossRef]
- Stypmann, J.; Engelen, M.A.; Troatz, C.; Rothenburger, M.; Eckardt, L.; Tiemann, K. Echocardiographic assessment of global left ventricular function in mice. Lab. Anim. 2009, 43, 127–137. [Google Scholar] [CrossRef]
- Gao, S.; Ho, D.; Vatner, D.E.; Vatner, S.F. Echocardiography in mice. Curr. Protoc. Mouse Biol. 2011, 1, 71–83. [Google Scholar] [CrossRef] [PubMed]
- Zacchigna, S.; Paldino, A.; Falcão-Pires, I.; Daskalopoulos, E.P.; Dal Ferro, M.; Vodret, S.; Lesizza, P.; Cannatà, A.; Miranda-Silva, D.; Lourenço, A.P.; et al. Towards standardization of echocardiography for the evaluation of left ventricular function in adult rodents: A position paper of the ESC Working Group on Myocardial Function. Cardiovasc. Res. 2021, 117, 43–59. [Google Scholar] [CrossRef] [PubMed]
- IBB CNR Vevo 2100 Manual. Available online: https://www.ibb.cnr.it/img/Vevo2100-manual.pdf (accessed on 5 February 2022).
- Foppa, M.; Duncan, B.B.; Rohde, L.E. Echocardiography-based left ventricular mass estimation. How should we define hypertrophy? Cardiovasc. Ultrasound 2005, 3, 17. [Google Scholar] [CrossRef]
- Hubesch, G.; Hanthazi, A.; Acheampong, A.; Chomette, L.; Lasolle, H.; Hupkens, E.; Jespers, P.; Vegh, G.; Wembonyama, C.W.M.; Verhoeven, C.; et al. A Preclinical Rat Model of Heart Failure with Preserved Ejection Fraction with Multiple Comorbidities. Front. Cardiovasc. Med. 2022, 8, 809885. [Google Scholar] [CrossRef]
- Hagdorn, Q.A.J.; Bossers, G.P.L.; Koop, A.C.; Piek, A.; Eijgenraam, T.R.; van der Feen, D.E.; Silljé, H.H.W.; de Boer, R.A.; Berger, R.M.F. A novel method optimizing the normalization of cardiac parameters in small animal models: The importance of dimensional indexing. Am. J. Physiol. Heart Circ. Physiol. 2019, 316, H1552–H1557. [Google Scholar] [CrossRef]
- Mancini, M.; Prinster, A.; Annuzzi, G.; Liuzzi, R.; Giacco, R.; Medagli, C.; Cremone, M.; Clemente, G.; Maurea, S.; Riccardi, G.; et al. Sonographic hepatic-renal ratio as indicator of hepatic steatosis: Comparison with 1H magnetic resonance spectroscopy. Metabolism 2009, 58, 1724–1730. [Google Scholar] [CrossRef]
- Pagliuca, C.; Cicatiello, A.G.; Colicchio, R.; Greco, A.; Cerciello, R.; Auletta, L.; Albanese, S.; Scaglione, E.; Pagliarulo, C.; Pastore, G.; et al. Novel Approach for Evaluation of Bacteroides fragilis Protective Role against Bartonella henselae Liver Damage in Immunocompromised Murine Model. Front. Microbiol. 2016, 7, 1750. [Google Scholar] [CrossRef] [PubMed]
- D’Souza, J.C.; Sultan, L.R.; Hunt, S.J.; Schultz, S.M.; Brice, A.K.; Wood, A.K.W.; Sehgal, C.M. B-mode ultrasound for the assessment of hepatic fibrosis: A quantitative multiparametric analysis for a radiomics approach. Sci. Rep. 2019, 9, 8708. [Google Scholar] [CrossRef] [PubMed]
- Castiglioni, M.C.R.; de Campos Vettorato, M.; Fogaça, J.L.; Puoli Filho, J.N.P.; de Vasconcelos Machado, V.M. Quantitative Ultrasound of Kidneys, Liver, and Spleen: A Comparison between Mules and Horses. J. Equine Vet. Sci. 2018, 70, 71–75. [Google Scholar] [CrossRef]
- Beland, M.D.; Walle, N.L.; Machan, J.T.; Cronan, J.J. Renal cortical thickness measured at ultrasound: Is it better than renal length as an indicator of renal function in chronic kidney disease? AJR Am. J. Roentgenol. 2010, 195, W146–W149. [Google Scholar] [CrossRef] [PubMed]
- Araújo, N.C.; Rebelo, M.A.; da Silveira Rioja, L.; Suassuna, J.H. Sonographically determined kidney measurements are better able to predict histological changes and a low CKD-EPI eGFR when weighted towards cortical echogenicity. BMC Nephrol. 2020, 21, 123. [Google Scholar] [CrossRef] [PubMed]
- Xu, H.; Ma, Z.; Lu, S.; Li, R.; Lyu, L.; Ding, L.; Lu, Q. Renal Resistive Index as a Novel Indicator for Renal Complications in High-Fat Diet-Fed Mice. Kidney Blood Press. Res. 2017, 42, 1128–1140. [Google Scholar] [CrossRef] [PubMed]
- Ma, Z.; Lu, S.; Ding, L.; Lu, Q. Renal resistive index in mouse model. Exp. Tech. Urol. Nephrol. 2018, 1. [Google Scholar] [CrossRef]
- Maksoud, A.A.A.; Sharara, S.M.; Nanda, A.; Khouzam, R.N. The renal resistive index as a new complementary tool to predict microvascular diabetic complications in children and adolescents: A groundbreaking finding. Ann. Transl. Med. 2019, 7, 422. [Google Scholar] [CrossRef]
- Meyer, S.; Fuchs, D.; and Meier, M. Ultrasound and Photoacoustic Imaging of the Kidney: Basic Concepts and Protocols. Methods Mol. Biol. 2021, 2216, 109–130. [Google Scholar] [CrossRef]
- Cauwenberghs, N.; Kuznetsova, T. Determinants and Prognostic Significance of the Renal Resistive Index. Pulse 2016, 3, 172–178. [Google Scholar] [CrossRef]
- Tublin, M.; Bude, R.; Platt, J. The resistive index in renal Doppler sonography: Where do we stand? AJR Am. J. Roentgenol. 2003, 180, 885–892. [Google Scholar] [CrossRef] [PubMed]
- Lubas, A.; Kade, G.; Niemczyk, S. Renal resistive index as a marker of vascular damage in cardiovascular diseases. Int. Urol. Nephrol. 2014, 46, 395–402. [Google Scholar] [CrossRef]
- K C, T.; Das, S.K.; Shetty, M.S. Renal Resistive Index: Revisited. Cureus 2023, 15, e36091. [Google Scholar] [CrossRef]
- Westergren, H.U.; Grönros, J.; Heinonen, S.E.; Miliotis, T.; Jennbacken, K.; Sabirsh, A.; Ericsson, A.; Jönsson-Rylander, A.C.; Svedlund, S.; Gan, L.M. Impaired Coronary and Renal Vascular Function in Spontaneously Type 2 Diabetic Leptin-Deficient Mice. PLoS ONE 2015, 10, e0130648. [Google Scholar] [CrossRef] [PubMed]
- Barone, V.; Borghini, A.; Tedone, C.E.; Aglianὸ, M.; Gabriele, G.; Gennaro, P.; Weber, E. New Insights into the Pathophysiology of Primary and Secondary Lymphedema: Histopathological Studies on Human Lymphatic Collecting Vessels. Lymphat. Res. Biol. 2020, 18, 502–509. [Google Scholar] [CrossRef] [PubMed]
- Liang, W.; Menke, A.L.; Driessen, A.; Koek, G.H.; Lindeman, J.H.; Stoop, R.; Havekes, L.M.; Kleemann, R.; van den Hoek, A.M. Establishment of a general NAFLD scoring system for rodent models and comparison to human liver pathology. PLoS ONE 2014, 9, e115922. [Google Scholar] [CrossRef]
- Kleiner, D.E.; Brunt, E.M.; Van Natta, M.; Behling, C.; Contos, M.J.; Cummings, O.W.; Ferrell, L.D.; Liu, Y.C.; Torbenson, M.S.; Unalp-Arida, A.; et al. Nonalcoholic Steatohepatitis Clinical Research Network. Design and validation of a histological scoring system for nonalcoholic fatty liver disease. Hepatology 2005, 41, 1313–1321. [Google Scholar] [CrossRef]
- Bedossa, P.; FLIP Pathology Consortium. Utility and appropriateness of the fatty liver inhibition of progression (FLIP) algorithm and steatosis, activity, and fibrosis (SAF) score in the evaluation of biopsies of nonalcoholic fatty liver disease. Hepatology 2014, 60, 565–575. [Google Scholar] [CrossRef]
- Glastras, S.J.; Chen, H.; The, R.; McGrath, R.T.; Chen, J.; Pollock, C.A.; Wong, M.G.; Saad, S. Mouse Models of Diabetes, Obesity and Related Kidney Disease. PLoS ONE 2016, 11, e0162131. [Google Scholar] [CrossRef]
- Søgaard, S.B.; Andersen, S.B.; Taghavi, I.; Schou, M.; Christoffersen, C.; Jacobsen, J.C.B.; Kjer, H.M.; Gundlach, C.; McDermott, A.; Jensen, J.A.; et al. Super-Resolution Ultrasound Imaging of Renal Vascular Alterations in Zucker Diabetic Fatty Rats during the Development of Diabetic Kidney Disease. Diagnostics 2023, 13, 3197. [Google Scholar] [CrossRef]
- Serdar, C.C.; Cihan, M.; Yücel, D.; Serdar, M.A. Sample size, power and effect size revisited: Simplified and practical approaches in pre-clinical, clinical and laboratory studies. Biochem. Med. 2021, 31, 010502. [Google Scholar] [CrossRef]
- Charan, J.; Kantharia, N.D. How to calculate sample size in animal studies? J. Pharmacol. Pharmacother. 2013, 4, 303–306. [Google Scholar] [CrossRef] [PubMed]
- Charles River Online Resource Library. Available online: https://www.criver.com/products-services/find-model/c57bl6j-mice-jax-strain?region=27 (accessed on 1 November 2021).
- Gargiulo, S.; Gramanzini, M.; Megna, R.; Greco, A.; Albanese, S.; Manfredi, C.; Brunetti, A. Evaluation of growth patterns and body composition in C57Bl/6J mice using dual energy X-ray absorptiometry. Biomed. Res. Int. 2014, 2014, 253067. [Google Scholar] [CrossRef] [PubMed]
- Breslin, W.L.; Strohacker, K.; Carpenter, K.C.; Esposito, L.; Mcfarlin, B.K. Weight gain in response to high-fat feeding in CD-1 male mice. Lab. Anim. 2010, 44, 231–237. [Google Scholar] [CrossRef]
- Eisinger, K.; Liebisch, G.; Schmitz, G.; Aslanidis, C.; Krautbauer, S.; Buechler, C. Lipidomic Analysis of Serum from High Fat Diet Induced Obese Mice. Int. J. Mol. Sci. 2014, 15, 2991–3002. [Google Scholar] [CrossRef]
- Weinstein, M.M.; Tu, Y.; Beigneux, A.P.; Davies, B.S.; Gin, P.; Voss, C.; Walzem, R.L.; Reue, K.; Tontonoz, P.; Bensadoun, A.; et al. Cholesterol intake modulates plasma triglyceride levels in glycosylphosphatidylinositol HDL-binding protein 1-deficient mice. Arterioscler. Thromb. Vasc. Biol. 2010, 30, 2106–2113. [Google Scholar] [CrossRef]
- Mekada, K.; Yoshiki, A. Substrains matter in phenotyping of C57BL/6 mice. Exp. Anim. 2021, 70, 145–160. [Google Scholar] [CrossRef]
- Otto, G.P.; Rathkolb, B.; Oestereicher, M.A.; Lengger, C.J.; Moerth, C.; Micklich, K.; Fuchs, H.; Gailus-Durner, V.; Wolf, E.; Hrabě de Angelis, M. Clinical Chemistry Reference Intervals for C57BL/6J, C57BL/6N, and C3HeB/FeJ Mice (Mus musculus). J. Am. Assoc. Lab. Anim. Sci. 2016, 55, 375–386. [Google Scholar] [PubMed]
- Quesenberry, K.E.; Carpenter, J.W. Ferrets, Rabbits, and Rodents: Clinical Medicine and Surgery: Includes Sugar Gliders and Hedgehogs, 2nd ed.; Saunders: St. Louis, MO, USA, 2004; p. 290. [Google Scholar]
- Toita, R.; Kawano, T.; Fujita, S.; Murata, M.; Kang, J.H. Increased hepatic inflammation in a normal-weight mouse after long-term high-fat diet feeding. J. Toxicol. Pathol. 2018, 31, 43–47. [Google Scholar] [CrossRef]
- Hosten, A.O. BUN and Creatinine. In Clinical Methods: The History, Physical, and Laboratory Examinations, 3rd ed.; Walker, H.K., Hall, W.D., Hurst, J.W., Eds.; Butterworths: Boston, MA, USA, 1990; Chapter 193. Available online: https://www.ncbi.nlm.nih.gov/books/NBK305/ (accessed on 13 June 2024).
- Imamura, Y.; Mawatari, S.; Oda, K.; Kumagai, K.; Hiramine, Y.; Saishoji, A.; Kakihara, A.; Nakahara, M.; Oku, M.; Hosoyamada, K.; et al. Changes in body composition and low blood urea nitrogen level related to an increase in the prevalence of fatty liver over 20 years: A cross-sectional study. Hepatol. Res. 2021, 51, 570–579. [Google Scholar] [CrossRef]
- Thoolen, B.; Maronpot, R.R.; Harada, T.; Nyska, A.; Rousseaux, C.; Nolte, T.; Malarkey, D.E.; Kaufmann, W.; Küttler, K.; Deschl, U.; et al. Proliferative and nonproliferative lesions of the rat and mouse hepatobiliary system. Toxicol. Pathol. 2010, 38 (Suppl. S7), 5S–81S. [Google Scholar] [CrossRef]
- Löwen, J.; Gröne, E.F.; Groß-Weißmann, M.L.; Bestvater, F.; Gröne, H.J.; Kriz, W. Pathomorphological sequence of nephron loss in diabetic nephropathy. Am. J. Physiol. Renal Physiol. 2021, 321, F600–F616, Erratum in: Am. J. Physiol. Renal Physiol. 2022, 322, F308. [Google Scholar] [CrossRef] [PubMed]
- Muller, C.R.; Leite, A.P.O.; Yokota, R.; Pereira, R.O.; Americo, A.L.V.; Nascimento, N.R.F.; Evangelista, F.S.; Farah, V.; Fonteles, M.C.; Fiorino, P. Post-weaning Exposure to High-Fat Diet Induces Kidney Lipid Accumulation and Function Impairment in Adult Rats. Front. Nutr. 2019, 6, 60. [Google Scholar] [CrossRef]
- Prem, P.N.; Kurian, G.A. High-Fat Diet Increased Oxidative Stress and Mitochondrial Dysfunction Induced by Renal Ischemia-Reperfusion Injury in Rat. Front. Physiol. 2021, 12, 715693. [Google Scholar] [CrossRef] [PubMed]
- Hoffler, U.; Hobbie, K.; Wilson, R.; Bai, R.; Rahman, A.; Malarkey, D.; Travlos, G.; Ghanayem, B.I. Diet-induced obesity is associated with hyperleptinemia, hyperinsulinemia, hepatic steatosis, and glomerulopathy in C57Bl/6J mice. Endocrine 2009, 36, 311–325. [Google Scholar] [CrossRef] [PubMed]
- Crisóstomo, T.; Pardal, M.A.E.; Herdy, S.A.; Muzi-Filho, H.; Mello, D.B.; Takiya, C.M.; Luzes, R.; Vieyra, A. Liver steatosis, cardiac and renal fibrosis, and hypertension in overweight rats: Angiotensin-(3-4)-sensitive hepatocardiorenal syndrome. Metabol. Open 2022, 14, 100176. [Google Scholar] [CrossRef] [PubMed]
- Wang, K.; Peng, X.; Yang, A.; Huang, Y.; Tan, Y.; Qian, Y.; Lv, F.; Si, H. Effects of Diets with Different Protein Levels on Lipid Metabolism and Gut Microbes in the Host of Different Genders. Front. Nutr. 2022, 9, 940217. [Google Scholar] [CrossRef]
- Darabont, R.; Mihalcea, D.; Vinereanu, D. Current Insights into the Significance of the Renal Resistive Index in Kidney and Cardiovascular Disease. Diagnostics 2023, 13, 1687. [Google Scholar] [CrossRef] [PubMed]
- Sowers, J.R.; Whaley-Connell, A.; Hayden, M.R. The Role of Overweight and Obesity in the Cardiorenal Syndrome. Cardiorenal Med. 2011, 1, 5–12. [Google Scholar] [CrossRef]
- Whaley-Connell, A.; Pulakat, L.; DeMarco, V.G.; Hayden, M.R.; Habibi, J.; Henriksen, E.J.; Sowers, J.R. Overnutrition and the Cardiorenal Syndrome: Use of a Rodent Model to Examine Mechanisms. Cardiorenal Med. 2011, 1, 23–30. [Google Scholar] [CrossRef]
- Maurya, S.K.; Carley, A.N.; Maurya, C.K.; Lewandowski, E.D. Western Diet Causes Heart Failure with Reduced Ejection Fraction and Metabolic Shifts after Diastolic Dysfunction and Novel Cardiac Lipid Derangements. JACC Basic. Transl. Sci. 2023, 8, 422–435, Erratum in: JACC Basic Transl. Sci. 2023, 8, 753. [Google Scholar] [CrossRef]
- Liu, I.F.; Lin, T.C.; Wang, S.C.; Yen, C.H.; Li, C.Y.; Kuo, H.F.; Hsieh, C.C.; Chang, C.Y.; Chang, C.R.; Chen, Y.H.; et al. Long-term administration of Western diet induced metabolic syndrome in mice and causes cardiac microvascular dysfunction, cardiomyocyte mitochondrial damage, and cardiac remodeling involving caveolae and caveolin-1 expression. Biol. Direct 2023, 18, 9. [Google Scholar] [CrossRef] [PubMed]
- Milhem, F.; Hamilton, L.M.; Skates, E.; Wilson, M.; Johanningsmeier, S.D.; Komarnytsky, S. Biomarkers of Metabolic Adaptation to High Dietary Fats in a Mouse Model of Obesity Resistance. Metabolites 2024, 14, 69. [Google Scholar] [CrossRef] [PubMed]
- Ramadori, P.; Weiskirchen, R.; Trebicka, J.; Streetz, K. Mouse models of metabolic liver injury. Lab. Anim. 2015, 49 (Suppl. S1), 47–58. [Google Scholar] [CrossRef] [PubMed]
- Singla, R.K.; Kadatz, M.; Rohling, R.; Nguan, C. Kidney Ultrasound for Nephrologists: A Review. Kidney Med. 2022, 4, 100464. [Google Scholar] [CrossRef] [PubMed]
- Aroor, A.R.; Habibi, J.; Nistala, R.; Ramirez-Perez, F.I.; Martinez-Lemus, L.A.; Jaffe, I.Z.; Sowers, J.R.; Jia, G.; Whaley-Connell, A. Diet-Induced Obesity Promotes Kidney Endothelial Stiffening and Fibrosis Dependent on the Endothelial Mineralocorticoid Receptor. Hypertension 2019, 73, 849–858. [Google Scholar] [CrossRef]














| Age | Group | IVS/LVAW; d (mm) | IVS/LVAW; s (mm) | LVID; d (mm) | LVID; s (mm) | LVPW; d (mm) | LVPW; s (mm) | LV Mass Corr (mg) | |
|---|---|---|---|---|---|---|---|---|---|
| 8 weeks | M SD | 0.126 ± 0.020 | 0.175 ± 0.028 | 0.461 ± 0.037 | 0.333 ± 0.036 | 0.129 ± 0.027 | 0.175 ± 0.025 | 4.446 ± 0.755 | |
| M WD | 0.095 ± 0.014 | 0.14 ± 0.023 | 0.48 ± 0.069 | 0.33 ± 0.054 | 0.104 ± 0.012 | 0.147 ± 0.021 | 3.42 ± 0.83 | ||
| 16 weeks | M SD | 0.112 ± 0.011 | 0.152 ± 0.017 | 0.347 ± 0.034 | 0.254 ± 0.018 | 0.123 ± 0.015 | 0.150 ± 0.023 | 4.19 ± 0.45 | |
| M WD | 0.094 ± 0.015 | 0.14 ± 0.016 | 0.35 ± 0.060 | 0.23 ± 0.058 | 0.097 ± 0.015 | 0.130 ± 0.017 | 4.20 ± 1.13 | ||
| 24 weeks | M SD | 0.120 ± 0.013 | 0.159 ± 0.007 | 0.330 ± 0.035 | 0.23 ± 0.040 | 0.116 ± 0.017 | 0.146 ± 0.012 | 4.46 ± 0.69 | |
| M WD | 0.092 ± 0.012 | 0.12 ± 0.019 | 0.32 ± 0.064 | 0.22 ± 0.076 | 0.088 ± 0.012 | 0.125 ± 0.034 | 3.75 ± 0.90 | ||
| 8 weeks | F SD | 0.141 ± 0.012 | 0.183 ± 0.028 | 0.541 ± 0.036 | 0.419 ± 0.057 | 0.137 ± 0.013 | 0.167 ± 0.025 | 4.44 ± 0.44 | |
| F WD | 0.115 ± 0.021 | 0.173 ± 0.022 | 0.61 ± 0.084 | 0.43 ± 0.082 | 0.135 ± 0.017 | 0.190 ± 0.027 | 3.85 ± 0.92 | ||
| 16 weeks | F SD | 0.119 ± 0.015 | 0.176 ± 0.013 | 0.471 ± 0.032 | 0.31 ± 0.029 | 0.131 ± 0.014 | 0.182 ± 0.021 | 4.41 ± 0.52 | |
| F WD | 0.126 ± 0.018 | 0.174 ± 0.029 | 0.447 ± 0.027 | 0.322 ± 0.051 | 0.146 ± 0.029 | 0.176 ± 0.028 | 4.31 ± 0.96 | ||
| 24 weeks | F SD | 0.139 ± 0.014 | 0.186 ± 0.017 | 0.38 ± 0.030 | 0.25 ± 0.019 | 0.144 ± 0.024 | 0.190 ± 0.008 | 4.52 ± 0.43 | |
| F WD | 0.114 ± 0.023 | 0.168 ± 0.035 | 0.387 ± 0.024 | 0.267 ± 0.042 | 0.135 ± 0.040 | 0.180 ± 0.051 | 4.21 ± 1.03 | ||
| Age | Group | LV vol; d (uL) | LV vol; s (uL) | LV SV (uL) | hr (bpm) | LV CO (mL/min) | EF (%) | FS (%) | RWT |
| 8 weeks | M SD | 2.277 ± 0.381 | 1.04 ± 0.279 | 1.234 ± 0.195 | 497.71 ± 52.29 | 0.61 ± 0.13 | 54.67 ± 6.68 | 27.78 ± 4.17 | 0.557 ± 0.107 |
| M WD | 2.60 ± 0.83 | 1.03 ± 0.39 | 1.56 ± 0.61 | 499.2 ± 25.45 | 0.77 ± 0.29 | 59.70 ± 10.01 | 31.49 ± 6.82 | 0.42 ± 0.08 | |
| 16 weeks | M SD | 1.63 ± 0.32 | 0.75 ± 0.10 | 0.87 ± 0.35 | 484.28 ± 42.14 | 0.43 ± 0.17 | 51.87 ± 13.26 | 26.34 ± 8.10 | 0.68 ± 0.12 |
| M WD | 2.15 ± 0.85 | 0.83 ± 0.46 | 1.32 ± 0.49 | 420.7 ± 36.12 | 0.54 ± 0.16 | 63.04 ± 10.22 | 34.10 ± 7.21 | 0.54 ± 0.11 | |
| 24 weeks | M SD | 1.57 ± 0.39 | 0.73 ± 0.30 | 0.84 ± 0.19 | 501.42 ± 45.06 | 0.42 ± 0.10 | 54.41 ± 10.02 | 27.73 ± 6.36 | 0.73 ± 0.14 |
| M WD | 1.80 ± 0.71 | 0.86 ± 0.62 | 0.94 ± 0.24 | 500.8 ± 46.25 | 0.47 ± 0.12 | 56.08 ± 17.84 | 30.23 ± 13.40 | 0.58 ± 0.12 | |
| 8 weeks | F SD | 2.56 ± 0.40 | 1.39 ± 0.44 | 1.17 ± 0.47 | 498.5 ± 38.58 | 0.58 ± 0.24 | 45.35 ± 15.57 | 22.52 ± 8.78 | 0.51 ± 0.055 |
| F WD | 3.06 ± 0.81 | 1.32 ± 0.55 | 1.73 ± 0.35 | 389.6 ± 36.95 | 0.67 ± 0.14 | 57.77 ± 7.81 | 29.91 ± 5.39 | 0.41 ± 0.08 | |
| 16 weeks | F SD | 2.36 ± 0.34 | 0.93 ± 0.17 | 1.43 ± 0.34 | 471.87 ± 42.60 | 0.68 ± 0.18 | 60.20 ± 8.29 | 31.66 ± 5.75 | 0.53 ± 0.08 |
| F WD | 1.99 ± 0.38 | 0.92 ± 0.38 | 1.07 ± 0.14 | 362.12 ± 75.27 | 0.39 ± 0.10 | 55.28 ± 11.57 | 28.32 ± 7.33 | 0.61 ± 0.12 | |
| 24 weeks | F SD | 1.61 ± 0.32 | 0.59 ± 0.11 | 1.01 ± 0.39 | 486 ± 31.88 | 0.49 ± 0.19 | 61.26 ± 12.42 | 32.50 ± 9.00 | 0.75 ± 0.15 |
| F WD | 1.77 ± 0.26 | 0.75 ± 0.31 | 0.72 ± 0.30 | 407.2 ± 38.39 | 0.29 ± 0.12 | 59.11 ± 13.05 | 31.17 ± 9.02 | 0.64 ± 0.13 | |
| US Findings/Time of Experiment | SD M Mice | WD M Mice | ||||
|---|---|---|---|---|---|---|
| 8 Weeks (n = 7) | 16 Weeks (n = 7) | 24 Weeks (n = 7) | 8 Weeks (n = 8) | 16 Weeks (n = 8) | 24 Weeks (n = 8) | |
| Homogeneous liver parenchyma of medium level echogenicity | 7 | 7 | 6 | 8 | 0 | 0 |
| Diffusely increased parenchymal echogenicity | 0 | 0 | 1 | 0 | 8 | 1 |
| Discrete coarsened and heterogeneous parenchyma | 0 | 0 | 0 | 0 | 0 | 6 |
| Extensive coarsened and heterogeneous parenchyma | 0 | 0 | 0 | 0 | 0 | 1 |
| L-Echo < R-Echo | 7 | 7 | 7 | 8 | 7 | 1 |
| L-Echo = R-Echo | 0 | 0 | 0 | 0 | 1 | 5 |
| L-Echo > R-Echo | 0 | 0 | 0 | 0 | 0 | 2 |
| Presence of Ascites | 0 | 0 | 0 | 0 | 0 | 0 |
| US findings/Time of experiment | SD F mice | WD F mice | ||||
| 8 weeks (n = 8) | 16 weeks (n = 8) | 24 weeks (n = 8) | 8 weeks (n = 8) | 16 weeks (n = 8) | 24 weeks (n = 8) | |
| Homogeneous liver parenchyma of medium level echogenicity (pattern 1) | 8 | 8 | 8 | 8 | 0 | 0 |
| Diffusely increased parenchymal echogenicity (pattern 2) | 0 | 0 | 0 | 0 | 8 | 5 |
| Discrete coarsened and heterogeneous parenchyma (pattern 3) | 0 | 0 | 0 | 0 | 0 | 3 |
| Extensive coarsened and heterogeneous parenchyma (pattern 4) | 0 | 0 | 0 | 0 | 0 | 0 |
| L-Echo < R-Echo | 8 | 8 | 8 | 8 | 7 | 2 |
| L-Echo = R-Echo | 0 | 0 | 0 | 0 | 1 | 6 |
| L-Echo > R-Echo | 0 | 0 | 0 | 0 | 0 | 0 |
| Presence of Ascites | 0 | 0 | 0 | 0 | 0 | 0 |
| Group | Histological Features Scoring System | ||||||||||||||||
|---|---|---|---|---|---|---|---|---|---|---|---|---|---|---|---|---|---|
| SAF Score Grading: Percentage of the Total Area Affected | NAFLD Score Grading: Percentage of the Total Area Affected [Macrovescicular (Score 0–3), Microvescicular (0–3), Hypertrophy (0–3); Inflammation (0–3)]. | Fibrosis Score Grading: Qualitative/Semiquantitative Visual Evaluation | |||||||||||||||
| 0 | 1 | 2 | 0 | 1 | 2 | 3 | 4 | 5 | 6 | 7 | 8 | 9 | Absent | Mild | Moderate | Severe | |
| SD M (n = 7) | 2 | 4 | 1 | 7 | 0 | 0 | 0 | 0 | 0 | 0 | 0 | 0 | 0 | 7 | 0 | 0 | 0 |
| WD M (n = 8) | 0 | 0 | 8 | 3 | 1 | 1 | 3 | 0 | 0 | 0 | 0 | 0 | 0 | 4 | 4 | 0 | 0 |
| SD F (n = 8) | 0 | 8 | 0 | 8 | 0 | 0 | 0 | 0 | 0 | 0 | 0 | 0 | 0 | 8 | 0 | 0 | 0 |
| WD F (n = 8) | 0 | 0 | 8 | 1 | 2 | 2 | 3 | 0 | 0 | 0 | 0 | 0 | 0 | 6 | 2 | 0 | 0 |
| Group | Histological Features Scoring System | ||||||||||||||
|---|---|---|---|---|---|---|---|---|---|---|---|---|---|---|---|
| Renal Score Grading: (Percentage of the Glomeruli Altered, %) | Bowman’s Capsule and Space Score Grading: Percentage of the Glomeruli with Narrowed/Collapsed Bowman’s Space (%) | ||||||||||||||
| 0 (<30) | 1 (30–70) | 2 (>70) | 0 | 1–1–5 | 6–10 | 10–15 | 15–20 | 21–25 | 16–30 | 31–40 | 41–50 | 51–60 | 61–70 | >70 | |
| SD M (n = 7) | 7 | 0 | 0 | 1 | 3 | 2 | 1 | 0 | 0 | 0 | 0 | 0 | 0 | 0 | 0 |
| WD M (n = 7) * | 1 | 3 | 3 | 0 | 0 | 0 | 0 | 0 | 1 | 0 | 2 | 1 | 0 | 0 | 3 |
| SD F (n = 8) | 8 | 0 | 0 | 1 | 2 | 1 | 4 | 0 | 0 | 0 | 0 | 0 | 3 | 0 | 0 |
| WD F (n = 7) * | 0 | 6 | 1 | 0 | 0 | 0 | 0 | 0 | 0 | 0 | 1 | 1 | 3 | 1 | 1 |
Disclaimer/Publisher’s Note: The statements, opinions and data contained in all publications are solely those of the individual author(s) and contributor(s) and not of MDPI and/or the editor(s). MDPI and/or the editor(s) disclaim responsibility for any injury to people or property resulting from any ideas, methods, instructions or products referred to in the content. |
© 2024 by the authors. Licensee MDPI, Basel, Switzerland. This article is an open access article distributed under the terms and conditions of the Creative Commons Attribution (CC BY) license (https://creativecommons.org/licenses/by/4.0/).
Share and Cite
Gargiulo, S.; Barone, V.; Bonente, D.; Tamborrino, T.; Inzalaco, G.; Gherardini, L.; Bertelli, E.; Chiariello, M. Integrated Ultrasound Characterization of the Diet-Induced Obesity (DIO) Model in Young Adult c57bl/6j Mice: Assessment of Cardiovascular, Renal and Hepatic Changes. J. Imaging 2024, 10, 217. https://doi.org/10.3390/jimaging10090217
Gargiulo S, Barone V, Bonente D, Tamborrino T, Inzalaco G, Gherardini L, Bertelli E, Chiariello M. Integrated Ultrasound Characterization of the Diet-Induced Obesity (DIO) Model in Young Adult c57bl/6j Mice: Assessment of Cardiovascular, Renal and Hepatic Changes. Journal of Imaging. 2024; 10(9):217. https://doi.org/10.3390/jimaging10090217
Chicago/Turabian StyleGargiulo, Sara, Virginia Barone, Denise Bonente, Tiziana Tamborrino, Giovanni Inzalaco, Lisa Gherardini, Eugenio Bertelli, and Mario Chiariello. 2024. "Integrated Ultrasound Characterization of the Diet-Induced Obesity (DIO) Model in Young Adult c57bl/6j Mice: Assessment of Cardiovascular, Renal and Hepatic Changes" Journal of Imaging 10, no. 9: 217. https://doi.org/10.3390/jimaging10090217
APA StyleGargiulo, S., Barone, V., Bonente, D., Tamborrino, T., Inzalaco, G., Gherardini, L., Bertelli, E., & Chiariello, M. (2024). Integrated Ultrasound Characterization of the Diet-Induced Obesity (DIO) Model in Young Adult c57bl/6j Mice: Assessment of Cardiovascular, Renal and Hepatic Changes. Journal of Imaging, 10(9), 217. https://doi.org/10.3390/jimaging10090217

