Accuracy of Digital Imaging Software to Predict Soft Tissue Changes during Orthodontic Treatment
Abstract
1. Introduction
2. Materials and Methods
2.1. Subject Selection
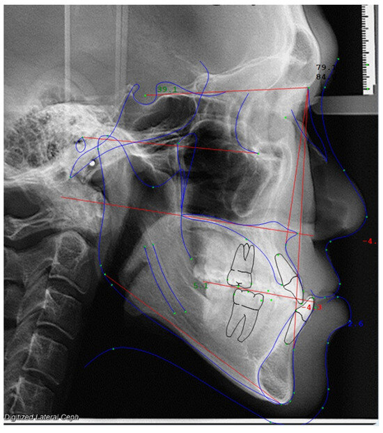
2.2. Cephalometric Analysis
2.3. Statistical Analysis
2.4. Quality Control
3. Results
3.1. Non-Extraction Group
3.2. Extraction Group
3.3. Orthodontic Treatment Combined with Orthognathic Surgery
4. Discussion
5. Conclusions
Author Contributions
Funding
Institutional Review Board Statement
Informed Consent Statement
Data Availability Statement
Acknowledgments
Conflicts of Interest
References
- Sundareswaran, S.; Ramakrishnan, R. The facial aesthetic index: An additional tool for assessing treatment need. J. Orthod. Sci. 2016, 5, 57–63. [Google Scholar] [CrossRef]
- Maetevorakul, S.; Viteporn, S. Factors influencing soft tissue profile changes following orthodontic treatment in patients with Class II division 1 malocclusion. Prog. Orthod. 2016, 17, 13. [Google Scholar] [CrossRef] [PubMed]
- Tng, T.T.H.; Chan, T.C.K.; Hägg, U.; Cooke, M.S. Validity of cephalometric landmarks: An experimental study on human skulls. Eur. J. Orthod. 1994, 16, 110–120. [Google Scholar] [CrossRef]
- Prabhakar, R.; Rajakumar, P.; Karthikeyan, M.K.; Saravanan, R.; Vikram, N.R.; Reddy, A. A hard tissue cephalometric comparative study between hand tracing and computerized tracing. J. Pharm. Bioallied Sci. 2014, 6, S101–S106. [Google Scholar] [CrossRef]
- Farooq, M.U.; Khan, M.A.; Imran, S.; Sameera, A.; Qureshi, A.; Ahmed, S.A.; Kumar, S.; Rahman, M.A.U. Assessing the reliability of digitalized cephalometric analysis in comparison with manual cephalometric analysis. J. Clin. Diagn. Res. 2016, 10, ZC20–ZC23. [Google Scholar] [CrossRef] [PubMed]
- Gossett, C.B.; Preston, C.B.; Dunford, R.; Lampasso, J. Prediction accuracy of computer-assisted surgical visual treatment objectives as compared with conventional visual treatment objectives. J. Oral Maxillofac. Surg. 2005, 63, 609–617. [Google Scholar] [CrossRef] [PubMed]
- Nadjmi, N.; Tehranchi, A.; Azami, N.; Saedi, B.; Mollemans, W. Comparison of soft-tissue profiles in Le Fort I osteotomy patients with Dolphin and Maxilim softwares. Am. J. Orthod. Dentofacial Orthop. 2013, 144, 654–662. [Google Scholar] [CrossRef]
- Peterman, R.J.; Jiang, S.; Johe, R.; Mukherjee, P.M. Accuracy of Dolphin visual treatment objective (VTO) prediction software on class III patients treated with maxillary advancement and mandibular setback. Prog. Orthod. 2016, 17, 19. [Google Scholar] [CrossRef]
- Jacobson, R.; Sarver, D.M. The predictability of maxillary repositioning in LeFort I orthognathic surgery. Am. J. Orthod. Dentofacial Orthop. 2002, 122, 142–154. [Google Scholar] [CrossRef]
- Zhang, X.; Mei, L.; Yan, X.; Wei, J.; Li, Y.; Li, H.; Li, Z.; Zheng, W.; Li, Y. Accuracy of computer-aided prediction in soft tissue changes after orthodontic treatment. Am. J. Orthod. Dentofacial Orthop. 2019, 156, 823–831. [Google Scholar] [CrossRef]
- Pektas, Z.Ö.; Kircelli, B.H.; Cilasun, Ü.; Uckan, S. The accuracy of computer-assisted surgical planning in soft tissue prediction following orthognathic surgery. Int. J. Med. Robot. Comput. Assist. Surg. 2007, 3, 64–71. [Google Scholar] [CrossRef] [PubMed]
- Soheilifar, S.; Soheilifar, S.; Afrasiabi, Z.; Soheilifar, S.; Tapak, L.; Naghdi, N. Prediction accuracy of Dolphin software for soft-tissue profile in Class I patients undergoing fixed orthodontic treatment. J. World. Fed. Orthod. 2022, 11, 29–35. [Google Scholar] [CrossRef] [PubMed]
- Moon, S.; Mohamed, A.M.A.; He, Y.; Dong, W.; Yaosen, C.; Yang, Y. Extraction vs. nonextraction on soft-tissue profile change in patients with malocclusion: A systematic review and meta-analysis. Biomed Res. Int. 2021, 2021, 7751516. [Google Scholar] [CrossRef] [PubMed]
- Steiner, C.C. The use of cephalometrics as an aid to planning and assessing orthodontic treatment: Report of a case. Am. J. Orthod. 1960, 46, 721–735. [Google Scholar] [CrossRef]
- McNamara, J.A., Jr. A method of cephalometric evaluation. Am. J. Orthod. 1984, 86, 449–469. [Google Scholar] [CrossRef] [PubMed]
- Harvold, E.P.; Vargervik, K. Morphogenetic response to activator treatment. Am. J. Orthod. 1971, 60, 478–490. [Google Scholar] [CrossRef] [PubMed]
- Nuntasukkasame, A.; Suntornlohanakul, S.; Charoemratrote, C. Natural head position: The role in lateral cephalometric analysis. O. J. Thai Assoc. Orthod. 2012, 2, 10–16. [Google Scholar]
- Khan, M.; Fida, M. Soft tissue profile response in extraction versus non-extraction orthodontic treatment. J. Coll. Physicians Surg. Pak. 2010, 20, 454–459. [Google Scholar]
- Oliver, B.M. The influence of lip thickness and strain on upper lip response to incisor retraction. Am. J. Orthod. 1982, 82, 141–149. [Google Scholar] [CrossRef]
- Qadeer, T.A.; Jawaid, M.; Fahim, M.F.; Habib, M.; Khan, E.B. Effect of lip thickness and competency on soft-tissue changes. Am. J. Orthod. Dentofacial Orthop. 2022, 162, 483–490. [Google Scholar] [CrossRef]
- Caplan, M.J.; Shivapuja, P.K. The effect of premolar extractions on the soft-tissue profile in adult African American females. Angle Orthod. 1997, 67, 129–136. [Google Scholar] [PubMed]
- Bishara, S.E.; Cummins, D.M.; Jakobsen, J.R. The morphologic basis for the extraction decision in Class II, division 1 malocclusions: A comparative study. Am. J. Orthod. Dentofacial Orthop. 1995, 107, 129–135. [Google Scholar] [CrossRef] [PubMed]
- Kocadereli, İ. Changes in soft tissue profile after orthodontic treatment with and without extractions. Am. J. Orthod. Dentofacial Orthop. 2002, 122, 67–72. [Google Scholar] [CrossRef] [PubMed]
- Yogosawa, F. Predicting soft tissue profile changes concurrent with orthodontic treatment. Angle Orthod. 1990, 60, 199–206. [Google Scholar] [PubMed]
- Yasutomi, H.; Ioi, H.; Nakata, S.; Nakasima, A.; Counts, A.L. Effects of retraction of anterior teeth on horizontal and vertical lip positions in Japanese adults with the bimaxillary dentoalveolar protrusion. Orthod. Waves 2006, 65, 141–147. [Google Scholar] [CrossRef]
- Soheilifar, S.; Soheilifar, S.; Ataei, H.; Mollabashi, V.; Amini, P.; Bakhshaei, A.; Naghdi, N. Extraction versus non-extraction orthodontic treatment: Soft tissue profile changes in borderline class I patients. Dent. Med. Probl. 2020, 57, 275–283. [Google Scholar] [PubMed]
- Shirvani, A.; Sadeghian, S.; Abbasi, S. Prediction of lip response to orthodontic treatment using a multivariable regression model. Dent. Res. J. 2016, 13, 38–45. [Google Scholar]
- Ahmad Akhoundi, M.S.; Shirani, G.; Arshad, M.; Heidar, H.; Sodagar, A. Comparison of an imaging software and manual prediction of soft tissue changes after orthognathic surgery. J. Dent. 2012, 9, 178–187. [Google Scholar]
- Stella, J.P.; Streater, M.R.; Epker, B.N.; Sinn, D.P. Predictability of upper lip soft tissue changes with maxillary advancement. J. Oral Maxillofac. Surg. 1989, 47, 697–703. [Google Scholar] [CrossRef]
- Karsli, N.; Tuhan Kutlu, E. Effect of body mass index on soft tissues in adolescents with skeletal class I and normal facial height. PeerJ 2023, 11, e16196. [Google Scholar] [CrossRef]
- De Lira, A.d.L.S.; de Moura, W.L.; de Barros Vieira, J.M.; Nojima, M.G.; Nojima, L.I. Surgical prediction of skeletal and soft tissue changes in Class III treatment. J. Oral Maxillofac. Surg. 2012, 70, e290–e297. [Google Scholar] [CrossRef] [PubMed]
- Power, G.; Breckon, J.; Sherriff, M.; McDonald, F. Dolphin Imaging Software: An analysis of the accuracy of cephalometric digitization and orthognathic prediction. Int. J. Oral Maxillofac. Surg. 2005, 34, 619–626. [Google Scholar] [CrossRef] [PubMed]
- Kolokitha, O.-E.; Chatzistavrou, E. Factors influencing the accuracy of cephalometric prediction of soft tissue profile changes following orthognathic surgery. J. Maxillofac. Oral Surg. 2012, 11, 82–90. [Google Scholar] [CrossRef] [PubMed]


| Inclusion Criteria | Exclusion Criteria |
|---|---|
|
|
| Landmark | Definition |
|---|---|
| 1. Soft tissue glabella (G’) | Most prominent point in the sagittal plane between the supraorbital ridges. |
| 2. Soft tissue nasion (N’) | Deepest part of the soft tissue outlines in front of the nasion. |
| 3. Pronasale (P) | Tip of the nose. |
| 4. Subnasale (Sn’) | Junction of the nasal septum and upper lip in the mid-sagittal plane. |
| 5. Sella (S) | Geometric center of the pituitary fossa (sella turcica). |
| 6. A-point (A) | Deepest point on the maxilla below the ANS. |
| 7. B-point (B) | Most posterior point on the bony curve of the mandible above the pogonion. |
| 8. Labialis superior (Ls) | Most anterior point on the outline of the upper lip (vermillion border). |
| 9. Labialis inferior (Li) | Most anterior point on the outline of the lower lip (vermillion border). |
| 10. Stomium superior (Stms) | Lowest midline point on the outline of the upper lip (vermillion border). |
| 11. Stomium inferior (Stmi) | Highest midline point on the outline of the lower lip (vermillion border). |
| 12. Soft tissue pogonion (Pog’) | Most anterior point on the outline of the soft tissue chin. |
| 13. Soft tissue menton (Me’) | Lowest point on the outline of the soft tissue chin. |
| 14. Porion (Po) | Top of the external auditory meatus. |
| 15. Orbitale (Or) | Inferior border of orbit. |
| 16. Nasion (N) | Midpoint of the frontonasal sutures in the midsagittal plane. |
| 17. Anterior nasal spine (ANS) | Anterior point of the maxilla at the base of the nose. |
| 18. Posterior nasal spine (PNS) | Posterior point of the bony hard palate. |
| 19. Gonion (Go) | Most posterior and inferior point on the outline of the angle of the mandible. |
| 20. Gnathion (Gn) | Most anterior and inferior point on the bony chin. |
| 21. Menton (Me) | Lowest point on the symphysis of the mandible. |
| 22. Pogonion (Pog) | Most anterior point on the contour of the bony chin in the midsagittal plane. |
| Parameter | Operational Definition |
|---|---|
| Soft tissue chin thickness (mm) | Distance between the hard and soft tissue facial planes at the level of the suprapogonion. |
| Upper lip to the E-plane (mm) | Distance between the upper lip and the E-plane. |
| Lower lip to the E-plane (mm) | Distance between the lower lip and the E-plane. |
| H-Angle (°) | Angle formed between the soft tissue facial plane line and the H-line. |
| Lower lip to the H-line (mm) | Distance between the lower lip and the H-line. |
| Soft tissue subnasale to the H-line (mm) | Measurement from the subnasale to the H-line. |
| Upper lip thickness at the vermillion border (mm) | Dimension between the vermillion point and the labial surface of the maxillary incisor. |
| Upper lip thickness at the A-point (mm) | Dimension measured approximately 3 mm below point A and the drape of the upper lip. |
| Upper lip sulcus depth (mm) | Length between the sulcus of the upper lip and a perpendicular line traced from the vermillion plane to the Frankfurt plane. |
| Lower lip sulcus depth (mm) | Measurement determined between the vermillion border of the lower lip and the H-line at the point of greatest convexity. |
| NLA (nasolabial angle) | Angle generated by a line drawn through the middle of the nostril aperture, intersecting the subnasale, and a line drawn perpendicular to the Frankfurt horizontal. |
| Facial contour angle (°) | Angle generated by intersecting the G’-Sn and Sn-Pog’ planes. |
| UFH (mm) | Distance from the midpoint of the eye to the subnasale. |
| LFH (mm) | Distance from the subnasale to the soft tissue menton. |
| ULL (mm) | Distance from the Sn-Stms. |
| LLL (mm) | Distance from the Stmi-Me’. |
| Soft Tissue Parameters | Actual Values (Mean ± SD) | Predicted Values (Mean ± SD) | Differences (Mean ± SD) | p Value |
|---|---|---|---|---|
| Facial parameters | ||||
| Facial contour angle (°) | −7.87 ± 0.88 | −7.42 ± 0.85 | −0.45 ± 0.31 | 0.153 |
| UFH (mm) | 44.39 ± 0.71 | 44.67 ± 0.67 | −0.28 ± 0.50 | 0.582 |
| LFH (mm) | 66.99 ± 0.82 | 66.30 ± 0.83 | 0.69 ± 0.40 | 0.098 |
| Chin thickness | 11.79 ± 0.29 | 11.90 ± 0.35 | −0.12 ± 0.16 | 0.486 |
| Upper lip parameters | ||||
| Nasolabial angle (°) | 96.47 ± 1.88 | 98.29 ± 1.96 | −1.82 ± 1.14 | 0.125 |
| Subnasale to the H-line (mm) | 9.03 ± 0.36 | 8.66 ± 0.32 | 0.37 ± 0.29 | 0.225 |
| Upper lip sulcus depth (mm) | 5.32 ± 0.21 | 5.13 ± 0.23 | 0.19 ± 0.17 | 0.267 |
| H-angle (°) | 18.11 ± 0.66 | 18.23 ± 0.62 | −0.12 ± 0.49 | 0.809 |
| Upper lip to the E-plane (mm) | 0.21 ± 0.04 | 0.26 ± 0.05 | −0.05 ± 0.04 | 0.191 |
| U-Lip thickness at the A-point (mm) | 13.60 ± 0.47 | 14.26 ± 0.48 | −0.66 ± 0.39 | 0.110 |
| U-Lip thickness at the vermillion border (mm) | 12.90 ± 0.42 | 13.00 ± 0.33 | −0.09 ± 0.35 | 0.785 |
| Upper lip length (mm) | 22.10 ± 0.37 | 21.82 ± 0.43 | 0.28 ± 0.23 | 0.237 |
| Lower lip parameters | ||||
| Lower lip sulcus depth (mm) | 3.82 ± 0.14 | 4.25 ± 0.12 | −0.43 ± 0.18 | 0.025 * |
| Lower lip length (mm) | 45.05 ± 0.70 | 44.21 ± 0.68 | 0.84 ± 0.58 | 0.165 |
| Lower lip to the E-plane (mm) | 1.52 ± 0.16 | 1.96 ± 0.20 | −0.44 ± 0.12 | 0.001 ** |
| Lower lip to the H-line (mm) | 1.31 ± 0.14 | 1.62 ± 0.17 | −0.31 ± 0.09 | 0.003 ** |
| Soft Tissue Parameters | Actual Values (Mean ± SD) | Predicted Values (Mean ± SD) | Differences (Mean ± SD) | p Value |
|---|---|---|---|---|
| Facial parameters | ||||
| Facial contour angle (°) | 9.66 ± 0.34 | 9.62 ± 0.31 | 0.04 ± 0.32 | 0.386 |
| UFH (mm) | 44.42 ± 0.60 | 44.82 ± 0.66 | −0.40 ± 0.27 | 0.272 |
| LFH (mm) | 64.90 ± 1.24 | 64.76 ± 1.14 | 0.14 ± 0.06 | 0.627 |
| Chin thickness | 11.50 ± 0.24 | 11.49 ± 0.31 | 0.01 ± 0.24 | 0.871 |
| Upper lip parameters | ||||
| Nasolabial angle (°) | 103.09 ± 1.99 | 101.25 ± 1.86 | 1.83 ± 1.18 | 0.134 |
| Subnasale to the H-line (mm) | 8.14 ± 0.34 | 8.20 ± 0.34 | −0.06 ± 16 | 0.716 |
| Upper lip sulcus depth (mm) | 3.92 ± 0.15 | 4.28 ± 0.15 | −0.36 ± 0.10 | 0.001 ** |
| H-angle (°) | 18.66 ± 0.34 | 18.54 ± 0.30 | 0.12 ± 0.20 | 0.564 |
| Upper lip to the E-plane (mm) | 0.20 ± 0.13 | 0.59 ± 0.17 | −0.39 ± 0.03 | 0.001 ** |
| U-Lip thickness at the A-point (mm) | 16.07 ± 0.32 | 15.10 ± 0.33 | 0.97 ± 0.28 | 0.002 ** |
| U-Lip thickness at the vermillion border (mm) | 14.48 ± 0.48 | 13.47 ± 0.50 | 1.01 ± 0.35 | 0.004 ** |
| Upper lip length (mm) | 21.42 ± 0.48 | 21.23 ± 0.41 | 0.19 ± 0.33 | 0.257 |
| Lower lip parameters | ||||
| Lower lip sulcus depth (mm) | 3.47 ± 0.16 | 3.12 ± 0.17 | −0.35 ± 0.09 | 0.017 * |
| Lower lip length (mm) | 43.96 ± 0.77 | 43.85 ± 0.67 | 0.11 ± 0.50 | 0.813 |
| Lower lip to the E-plane (mm) | 1.95 ± 0.29 | 2.53 ± 0.37 | −0.58 ± 0.13 | <0.001 *** |
| Lower lip to the H-line (mm) | 1.68 ± 0.21 | 2.18 ± 0.28 | −0.50 ± 0.12 | 0.001 ** |
| Soft Tissue Parameters | Actual Values (Mean ± SD) | Predicted Values (Mean ± SD) | Differences (Mean ± SD) | p Value |
|---|---|---|---|---|
| Facial parameters | ||||
| Facial contour angle (°) | 8.55 ± 0.42 | 7.60 ± 0.38 | 0.95 ± 0.25 | 0.002 ** |
| UFH (mm) | 25.07 ± 0.74 | 25.50 ± 0.79 | 0.43 ± 0.11 | 0.381 |
| LFH (mm) | 68.44 + 0.86 | 68.85 ± 0.95 | −0.41 ± 0.42 | 0.271 |
| Chin thickness | 12.38 ± 0.24 | 11.78 ± 0.23 | 0.60 ± 0.19 | 0.004 ** |
| Upper lip parameters | ||||
| Nasolabial angle (°) | 100.46 ± 1.49 | 100.10 ± 1.50 | 0.36 ± 1.06 | 0.735 |
| Subnasale to the H-line (mm) | 7.51 ± 0.17 | 7.30 ± 0.15 | 0.21 ± 0.14 | 0.054 |
| Upper lip sulcus depth (mm) | 3.68 ± 0.33 | 4.23 ± 0.35 | −0.55 ± 0.21 | 0.039 * |
| H-angle (°) | 14.65 ± 0.50 | 14.34 ± 0.55 | 0.32 ± 0.27 | 0.250 |
| Upper lip to the E-plane (mm) | 0.25 ± 0.08 | 0.66 ± 0.11 | −0.51 ± 0.14 | 0.002 ** |
| U-Lip thickness at the A-point (mm) | 13.65 ± 0.29 | 13.78 ± 0.29 | −0.14 ± 0.09 | 0.486 |
| U-Lip thickness at the vermillion border (mm) | 12.79 ± 0.36 | 12.86 ± 0.33 | −0.17 ± 0.04 | 0.102 |
| Upper lip length (mm) | 22.45 ± 0.47 | 22.42 ± 0.41 | 0.03 ± 0.15 | 0.645 |
| Lower lip parameters | ||||
| Lower lip sulcus depth (mm) | 4.26 ± 0.26 | 3.71 ± 0.34 | 0.55 ± 0.28 | 0.048 * |
| Lower lip length (mm) | 45.06 ± 0.60 | 44.65 ± 0.63 | 0.41 ± 0.12 | 0.276 |
| Lower lip to the E-plane (mm) | 2.61 ± 0.41 | 1.93 ± 0.38 | 0.68 ± 0.12 | <0.001 *** |
| Lower lip to the H-line (mm) | 2.72 ± 0.39 | 2.09 ± 0.35 | 0.63 ± 0.14 | <0.001 *** |
Disclaimer/Publisher’s Note: The statements, opinions and data contained in all publications are solely those of the individual author(s) and contributor(s) and not of MDPI and/or the editor(s). MDPI and/or the editor(s) disclaim responsibility for any injury to people or property resulting from any ideas, methods, instructions or products referred to in the content. |
© 2024 by the authors. Licensee MDPI, Basel, Switzerland. This article is an open access article distributed under the terms and conditions of the Creative Commons Attribution (CC BY) license (https://creativecommons.org/licenses/by/4.0/).
Share and Cite
Nakornnoi, T.; Chanmanee, P. Accuracy of Digital Imaging Software to Predict Soft Tissue Changes during Orthodontic Treatment. J. Imaging 2024, 10, 134. https://doi.org/10.3390/jimaging10060134
Nakornnoi T, Chanmanee P. Accuracy of Digital Imaging Software to Predict Soft Tissue Changes during Orthodontic Treatment. Journal of Imaging. 2024; 10(6):134. https://doi.org/10.3390/jimaging10060134
Chicago/Turabian StyleNakornnoi, Theerasak, and Pannapat Chanmanee. 2024. "Accuracy of Digital Imaging Software to Predict Soft Tissue Changes during Orthodontic Treatment" Journal of Imaging 10, no. 6: 134. https://doi.org/10.3390/jimaging10060134
APA StyleNakornnoi, T., & Chanmanee, P. (2024). Accuracy of Digital Imaging Software to Predict Soft Tissue Changes during Orthodontic Treatment. Journal of Imaging, 10(6), 134. https://doi.org/10.3390/jimaging10060134

