Healing Efficacy of Glycyrrhiza glabra Extract Hydrogels in Experimental Second-Degree Burns
Abstract
1. Introduction
2. Results and Discussion
2.1. Results
2.1.1. Systemic Observations
2.1.2. Distribution of Complete Healing Across Treatment Groups
2.1.3. Wound Area
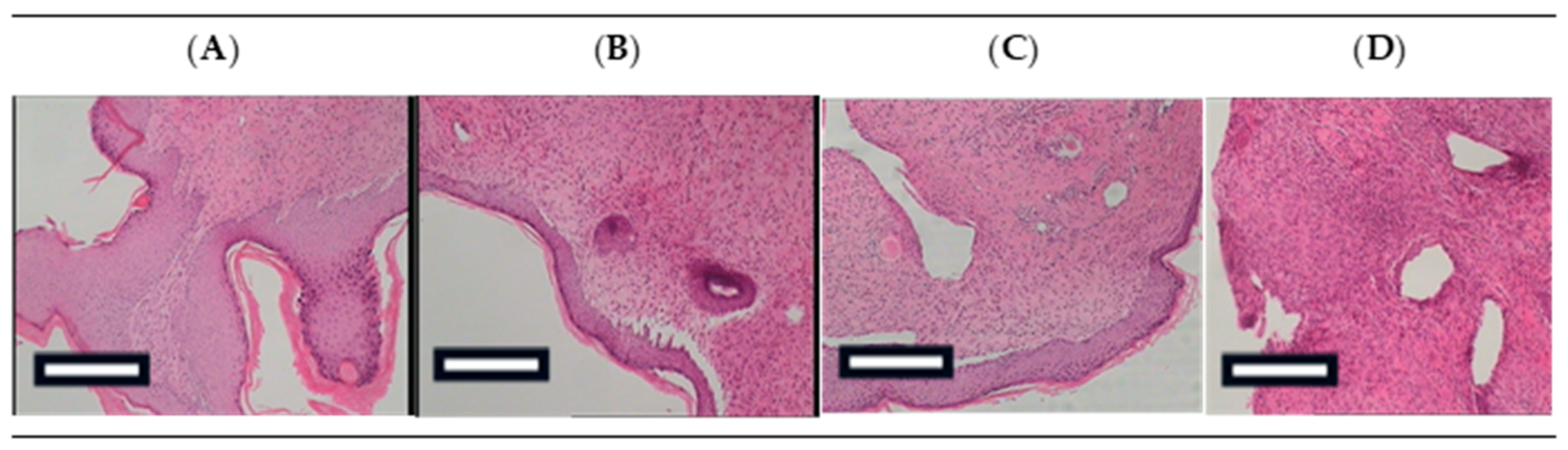
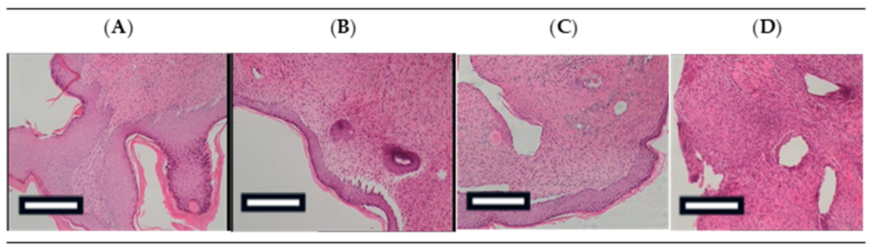
2.1.4. Results of the Histopathological Evaluation
2.1.5. Transepidermal Water Loss (TEWL)
2.2. Discussion
3. Conclusions
4. Materials and Methods
4.1. Preparation of Hydrogels
4.2. Experimental Animals
- Treatment 1 (Control): Sodium alginate 5% hydrogel (vehicle control)
- Treatment 2: 5% Glycyrrhiza glabra hydroalcoholic extract hydrogel
- Treatment 3: 10% Glycyrrhiza glabra hydroalcoholic extract hydrogel
- Treatment 4: 20% Glycyrrhiza glabra hydroalcoholic extract hydrogel
4.3. Burn Wound Infliction and Maintenance
4.4. Burn Wound Healing Assessment
4.4.1. Macroscopic Evaluation and Wound Area Analysis
4.4.2. Evaluation of Transepidermal Water Loss (TEWL)
4.4.3. Histopathological Evaluation
4.5. Statistical Analysis
Author Contributions
Funding
Institutional Review Board Statement
Data Availability Statement
Acknowledgments
Conflicts of Interest
References
- Pastorino, G.; Cornara, L.; Soares, S.; Rodrigues, F.; Oliveira, M.B.P.P. Liquorice (Glycyrrhiza glabra): A phytochemical and pharmacological review. Phytother. Res. 2018, 32, 2323–2339. [Google Scholar] [CrossRef] [PubMed] [PubMed Central]
- El-Saber Batiha, G.; Magdy Beshbishy, A.; El-Mleeh, A.; Abdel-Daim, M.M.; Prasad Devkota, H. Traditional Uses, Bioactive Chemical Constituents, and Pharmacological and Toxicological Activities of Glycyrrhiza glabra L. (fabaceae). Biomolecules 2020, 10, 352. [Google Scholar] [CrossRef] [PubMed] [PubMed Central]
- Reuter, J.; Merfort, I.; Schempp, C.M. Botanicals in dermatology: An evidence-based review. Am. J. Clin. Dermatol. 2010, 11, 247–267. [Google Scholar] [CrossRef] [PubMed]
- Wahab, S.; Annadurai, S.; Abullais, S.S.; Das, G.; Ahmad, W.; Ahmad, M.F.; Kandasamy, G.; Vasudevan, R.; Ali, M.S.; Amir, M. Glycyrrhiza glabra (Licorice): A Comprehensive Review on Its Phytochemistry, Biological Activities, Clinical Evidence and Toxicology. Plants 2021, 10, 2751. [Google Scholar] [CrossRef] [PubMed] [PubMed Central]
- Hasan, M.K.; Ara, I.; Mondal, M.S.A.; Kabir, Y. Phytochemistry, pharmacological activity, and potential health benefits of Glycyrrhiza glabra. Heliyon 2021, 7, e07240. [Google Scholar] [CrossRef] [PubMed] [PubMed Central]
- Hu, Z.; Xiao, M.; Cai, H.; Li, W.; Fang, W.; Long, X. Glycyrrhizin regulates rat TMJOA progression by inhibiting the HMGB1-RAGE/TLR4-NF-κB/AKT pathway. J. Cell. Mol. Med. 2022, 26, 925–936. [Google Scholar] [CrossRef] [PubMed] [PubMed Central]
- Somayajulu, M.; McClellan, S.A.; Pitchaikannu, A.; Bessert, D.; Liu, L.; Steinle, J.; Hazlett, L.D. Effects of Glycyrrhizin Treatment on Diabetic Cornea. J. Ocul. Pharmacol. Ther. 2021, 37, 12–23. [Google Scholar] [CrossRef] [PubMed] [PubMed Central]
- Wang, X.R.; Hao, H.G.; Chu, L. Glycyrrhizin inhibits LPS-induced inflammatory mediator production in endometrial epithelial cells. Microb. Pathog. 2017, 109, 110–113. [Google Scholar] [CrossRef] [PubMed]
- Liu, Y.Y.; Wu, J.Q.; Fan, R.Y.; He, Z.H.; Li, C.Y.; He, M.F. Isoliquiritin promote angiogenesis by recruiting macrophages to improve the healing of zebrafish wounds. Fish Shellfish. Immunol. 2020, 100, 238–245. [Google Scholar] [CrossRef] [PubMed]
- Frattaruolo, L.; Carullo, G.; Brindisi, M.; Mazzotta, S.; Bellissimo, L.; Rago, V.; Curcio, R.; Dolce, V.; Aiello, F.; Cappello, A.R. Antioxidant and Anti-Inflammatory Activities of Flavanones from Glycyrrhiza glabra L. (licorice) Leaf Phytocomplexes: Identification of Licoflavanone as a Modulator of NF-kB/MAPK Pathway. Antioxidants 2019, 8, 186. [Google Scholar] [CrossRef] [PubMed] [PubMed Central]
- Chung, C.L.; Chen, J.H.; Huang, W.C.; Sheu, J.R.; Hsia, C.W.; Jayakumar, T.; Hsia, C.H.; Chiou, K.R.; Hou, S.M. Glabridin, a Bioactive Flavonoid from Licorice, Effectively Inhibits Platelet Activation in Humans and Mice. Int. J. Mol. Sci. 2022, 23, 11372. [Google Scholar] [CrossRef] [PubMed] [PubMed Central]
- Simayi, Z.; Rozi, P.; Yang, X.; Ababaikeri, G.; Maimaitituoheti, W.; Bao, X.; Ma, S.; Askar, G.; Yadikar, N. Isolation, structural characterization, biological activity, and application of Glycyrrhiza polysaccharides: Systematic review. Int. J. Biol. Macromol. 2021, 183, 387–398. [Google Scholar] [CrossRef] [PubMed]
- Ji, S.; Xiao, S.; Xia, Z. Chinese Burn Association Tissue Repair of Burns and Trauma Committee, Cross-Straits Medicine Exchange Association of China. Consensus on the treatment of second-degree burn wounds (2024 edition). Burns Trauma 2024, 12, tkad061. [Google Scholar] [CrossRef] [PubMed] [PubMed Central]
- Tsolakidis, S.; Freytag, D.L.; Dovern, E.; Alharbi, Z.; Kim, B.S.; Houschyar, K.S.; Reumuth, G.; Schäfer, B.; Rennekampff, H.O.; Pallua, N.; et al. Infections in Burn Patients: A Retrospective View over Seven Years. Medicina 2022, 58, 1066. [Google Scholar] [CrossRef] [PubMed] [PubMed Central]
- Roy, S.; Mukherjee, P.; Kundu, S.; Majumder, D.; Raychaudhuri, V.; Choudhury, L. Microbial infections in burn patients. Acute Crit. Care 2024, 39, 214–225. [Google Scholar] [CrossRef] [PubMed] [PubMed Central]
- Siu, W.S.; Ma, H.; Leung, P.C. Review on Current Advancements in Facilitation of Burn Wound Healing. Bioengineering 2025, 12, 428. [Google Scholar] [CrossRef] [PubMed]
- Wallace, H.A.; Basehore, B.M.; Zito, P.M. Wound Healing Phases. In StatPearls; StatPearls Publishing: Treasure Island, FL, USA, 2023. Available online: https://www.ncbi.nlm.nih.gov/books/NBK470443/ (accessed on 27 September 2025).
- Ringrose, N.S.; Balk, R.W.J.; Gibbs, S.; van Zuijlen, P.P.M.; Korkmaz, H.I. The Potential of Functional Hydrogels in Burns Treatment. Gels 2025, 11, 595. [Google Scholar] [CrossRef] [PubMed] [PubMed Central]
- da Silva, C.M.; Reis, R.L.; Correlo, V.M.; Jahno, V.D. The efficient role of sodium alginate-based biodegradable dressings for skin wound healing application: A systematic review. J. Biomater. Sci. Polym. Ed. 2024, 35, 397–414. [Google Scholar] [CrossRef] [PubMed]
- Liu, M.; Jin, J.; Zhong, X.; Liu, L.; Tang, C.; Cai, L. Polysaccharide hydrogels for skin wound healing. Heliyon 2024, 10, e35014. [Google Scholar] [CrossRef] [PubMed] [PubMed Central]
- Lukova, P.; Kokova, V.; Baldzhieva, A.; Murdjeva, M.; Katsarov, P.; Delattre, C.; Apostolova, E. Alginate from Ericaria crinita Possesses Antioxidant Activity and Attenuates Systemic Inflammation via Downregulation of Pro-Inflammatory Cytokines. Mar. Drugs 2024, 22, 482. [Google Scholar] [CrossRef] [PubMed]
- Fernandes, P.A.R.; Coimbra, M.A. The Antioxidant Activity of Polysaccharides: A Structure–Function Relationship Overview. Carbohydr. Polym. 2023, 314, 120965. [Google Scholar] [CrossRef]
- Sallustio, V.; Marto, J.; Escribano-Ferrer, E.; Gonçalves, L.M.; Rossi, M.; Cappadone, C.; Mandrone, M.; Chiocchio, I.; Rossello, S.; Ribeiro, H.; et al. Development and characterization of multifunctional phytonanoemulgels based on licorice extract and biocompatible polymers. Int. J. Biol. Macromol. 2025, 319 Pt 2, 145241. [Google Scholar] [CrossRef] [PubMed]
- Zabihi, M.; Hatefi, B.; Ardakani, M.E.; Ranjbar, A.M.; Mohammadi, F. Impact of licorice root on the burn healing process: A double-blinded randomized controlled clinical trial. Complement. Ther. Med. 2023, 73, 102941. [Google Scholar] [CrossRef] [PubMed]
- Ito, H.; Kanbe, A.; Sakai, H.; Seishima, M. Activation of NLRP3 signalling accelerates skin wound healing. Exp. Dermatol. 2018, 27, 80–86. [Google Scholar] [CrossRef] [PubMed]
- Xu, W.; Lu, H.; Yuan, Y.; Deng, Z.; Zheng, L.; Li, H. The Antioxidant and Anti-Inflammatory Effects of Flavonoids from Propolis via Nrf2 and NF-κB Pathways. Foods 2022, 11, 2439. [Google Scholar] [CrossRef]
- Sen, C.K.; Gordillo, G.M.; Roy, S.; Jahnke, J.; Sinha, M.; Timsina, L.; Mathew-Steiner, S.S.; Conte, M.S.; Holmes, C.; Jones, T.L.Z.; et al. High Transepidermal Water Loss at the Site of Wound Closure Is Associated with Increased Recurrence of Diabetic Foot Ulcers: The NIDDK Diabetic Foot Consortium TEWL Study. Diabetes Care 2025, 48, 1233–1240. [Google Scholar] [CrossRef] [PubMed]
- Gardien, K.L.; Baas, D.C.; de Vet, H.C.; Middelkoop, E. Transepidermal water loss measured with the Tewameter TM300 in burn scars. Burns 2016, 42, 1455–1462. [Google Scholar] [CrossRef] [PubMed]
- Percie du Sert, N.; Hurst, V.; Ahluwalia, A.; Alam, S.; Avey, M.T.; Baker, M.; Browne, W.J.; Clark, A.; Cuthill, I.C.; Dirnagl, U.; et al. The ARRIVE guidelines 2.0: Updated guidelines for reporting animal research. Br. J. Pharmacol. 2020, 177, 3617–3624. [Google Scholar] [CrossRef] [PubMed] [PubMed Central]
- Daniel, W.W.; Cross, C.L. Biostatistics: A Foundation for Analysis in the Health Sciences, 10th ed.; Wiley: Hoboken, NJ, USA, 2013; p. 12. [Google Scholar]
- Kyriaki, A.; Vidali, M.; Vitsos, A.; Harizanis, P.; Sfiniadakis, I.; Barda, C.; Simirioti, E.; Terezaki, A.; Rallis, M.C. Comparative Evaluation of Wound Healing Efficacy of Bombyx mori L. Body Extracts, Gland Extracts, and Cocoon for the Treatment of Second-Degree Burns: A Pilot Study. Processes 2024, 12, 2594. [Google Scholar] [CrossRef]
- American Veterinary Medical Association (AVMA). AVMA Guidelines for the Euthanasia of Animals, 2020 ed.; AVMA: Schaumburg, IL, USA, 2020. [Google Scholar]
- Jamovi—Open Statistical Software for the Desktop and Cloud. Available online: https://www.jamovi.org/ (accessed on 8 October 2025).



| (A) | (B) | (C) | ||||||||
|---|---|---|---|---|---|---|---|---|---|---|
| Contingency Tables | χ2 Tests | Post Hoc Test (Pearson Residuals) | ||||||||
| Event | Value | df | p | Event | ||||||
| Treatment | 0 | 1 | Total | Treatment | 0 | 1 | ||||
| Sodium Alginate | 8 | 0 | 8 | χ2 | 12.8 | 3 | 0.005 | Sod Alginate | 0.938 | −1.500 |
| Glycyrrhiza 5% | 2 | 6 | 8 | Fisher’s exact test | 0.008 | Glycyrrhiza 5% | −1.564 | 2.500 | ||
| Glycyrrhiza 10% | 6 | 2 | 8 | N | 32 | Glycyrrhiza 10% | 0.104 | −0.167 | ||
| Glycyrrhiza 20% | 7 | 1 | 8 | Glycyrrhiza 20% | 0.521 | −0.833 | ||||
| Total | 23 | 9 | 32 | |||||||
| Model Coefficients—Wound Area | ||||
|---|---|---|---|---|
| Predictor | Estimate | SE | t | p |
| Intercept a | 1.69185 | 0.05220 | 32.414 | <0.001 |
| Group: | ||||
| Glycyrrhiza 5%–Sodium Alginate | −0.08212 | 0.04404 | −1.865 | 0.064 |
| Glycyrrhiza 10%–Sodium Alginate | −0.00912 | 0.04404 | −0.207 | 0.836 |
| Glycyrrhiza 20%–Sodium Alginate | −0.01655 | 0.04404 | −0.376 | 0.708 |
| Time | −0.08771 | 0.00343 | −25.544 | <0.001 |
| Treatment | Inflammation | Oedema | Hyperkeratosis | Wound Thickness | Total Score |
|---|---|---|---|---|---|
| Control (Sodum Alginate) | 1.67 ± 0.58 | 2 ± 0 | 2.67 ± 0.58 | 2 ± 0 | 8.33 ± 0.58 |
| Glycyrrhiza 5% | 0.67 ± 0.58 | 1 ± 0 | 0.33 ± 0.58 | 0 ± 0 | 2 ± 1 |
| Glycyrrhiza 10% | 2 ± 0 | 1 ± 0 | 1.67 ± 0.58 | 1.33 ± 0.58 | 6 ± 1 |
| Glycyrrhiza 20% | 2.67 ± 0.58 | 1 ± 0 | 2 ± 0 | 1.67 ± 0.58 | 7.33 ± 0.58 |
| Absence | Mild | Moderate | Heavy | |
|---|---|---|---|---|
| Inflammation | 0 | 1 | 2 | 3 |
| Oedema | 0 | 1 | 2 | 3 |
| Hyperkeratosis | 0 | 1 | 2 | 3 |
| Wound thickness | 0 | 1 | 2 | 3 |
Disclaimer/Publisher’s Note: The statements, opinions and data contained in all publications are solely those of the individual author(s) and contributor(s) and not of MDPI and/or the editor(s). MDPI and/or the editor(s) disclaim responsibility for any injury to people or property resulting from any ideas, methods, instructions or products referred to in the content. |
© 2025 by the authors. Licensee MDPI, Basel, Switzerland. This article is an open access article distributed under the terms and conditions of the Creative Commons Attribution (CC BY) license (https://creativecommons.org/licenses/by/4.0/).
Share and Cite
Tarazi, E.; Statha, D.; Barda, C.; Sfiniadakis, I.; Vitsos, A.; Rallis, M.C. Healing Efficacy of Glycyrrhiza glabra Extract Hydrogels in Experimental Second-Degree Burns. Gels 2025, 11, 834. https://doi.org/10.3390/gels11100834
Tarazi E, Statha D, Barda C, Sfiniadakis I, Vitsos A, Rallis MC. Healing Efficacy of Glycyrrhiza glabra Extract Hydrogels in Experimental Second-Degree Burns. Gels. 2025; 11(10):834. https://doi.org/10.3390/gels11100834
Chicago/Turabian StyleTarazi, Evangelia, Dimitra Statha, Christina Barda, Ioannis Sfiniadakis, Andreas Vitsos, and Michail Christou Rallis. 2025. "Healing Efficacy of Glycyrrhiza glabra Extract Hydrogels in Experimental Second-Degree Burns" Gels 11, no. 10: 834. https://doi.org/10.3390/gels11100834
APA StyleTarazi, E., Statha, D., Barda, C., Sfiniadakis, I., Vitsos, A., & Rallis, M. C. (2025). Healing Efficacy of Glycyrrhiza glabra Extract Hydrogels in Experimental Second-Degree Burns. Gels, 11(10), 834. https://doi.org/10.3390/gels11100834

