Molecular Diagnosis and Vegetative Compatibility Group Analysis of Fusarium Wilt of Banana in Nepal
Abstract
:1. Introduction
2. Materials and Methods
2.1. Sample Collection
2.2. Isolation and Identification
2.3. Pathogenicity Test
2.4. Vegetative Compatibility Group Analyses
2.5. PCR Analyses
2.6. Phylogenetic Analysis
3. Results
3.1. Disease Diagnosis with Field Symptoms
3.2. Morphology of the Pathogen Isolate
3.3. Pathogenicity Test
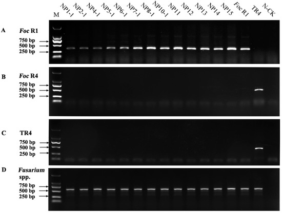
3.4. PCR Analysis
3.5. Vegetative Compatibility Analyses
3.6. Phylogenetic Analysis
4. Discussion
5. Conclusions
Supplementary Materials
Author Contributions
Funding
Institutional Review Board Statement
Informed Consent Statement
Data Availability Statement
Acknowledgments
Conflicts of Interest
References
- MoALD. Statistical Information on Nepalese Agriculture 2077/78 (2020/21). Planning and Development Cooperation Coordination Division; Ministry of Agriculture and Livestock Development, Government of Nepal, Singha Durbar Kathmandu: Kathmandu, Nepal, 2020; p. 435.
- MoALD. Statistical Information on Nepalese Agriculture 2076/77 (2019/20). Planning and Development Cooperation Coordination Division; Ministry of Agriculture and Livestock Development, Government of Nepal, Singha Durbar Kathmandu: Kathmandu, Nepal, 2019; pp. 135–138.
- Puri, S. Banana Farmers Strike Gold as Demand Spikes. The Kathmandu Post. Ecology and Taxonomy of Fusarium Species. Ph.D. Thesis, Sydney University, Sydney, Australia, 2017. Available online: https://kathmandupost.com/money/2017/06/15/banana-farmers-strike-gold-as-demandspikes (accessed on 2 April 2020).
- Ghimire, T.B.; Manandhar, R.; Siwakoti, S.; Gautam, I.P.; Adhikari, R.N.; Bhattarai, M.D.; Khatiwada, S. Karya Bibaran Samadhanka Bikalpa Sahit Adhyan Pratobedan (Nepali Version) Submitted to Program Planning and Monitoring Sub-Committee of MoALD; Ministry of Agriculture and Livestock Development, Government of Nepal, Singha Durbar Kathmandu: Kathmandu, Nepal, 2018.
- Bancroft, J. Report of the board appointed to enquire into the cause of disease affecting livestock and plants. Votes Proc. 1876, 3, 1011–1038. [Google Scholar]
- Ploetz, R.C. Management of Fusarium wilt of banana: A review with special reference to tropical race 4. Crop Prot. 2015, 73, 7–15. [Google Scholar] [CrossRef]
- Pegg, K.G.; Coates, L.M.; Neill, W.T.O.; Turner, D.W. The epidemiology of Fusarium wilt of banana. Front. Plant Sci. 2019, 10, 1–19. [Google Scholar] [CrossRef] [PubMed]
- Pérez Vicente, L.; Dita, M.A. Technical Manual Fusarium wilt of Banana or Panama disease by Fusarium oxysporum f. sp. cubense: A review on history, symptoms, biology, epidemiology and management. In Proceedings of the Technical Manual: Prevention and Diagnostic of Fusarium Wilt (Panama Disease) of Banana Caused by Fusarium oxysporum f. sp. cubense Tropical Race 4 (TR4), Regional Workshop on the Diagnosis of Fusarium Wilt (Panama Disease) Caused by Fusarium oxysporum f. sp. cubense Tropical Race 4: Mitigating the Threat and Preventing Its Spread in the Caribbean, St. Augustine, Trinidad and Tobago, 5–9 May 2014; Pérez Vicente, L., Dita, M.A., Martinez-de la Parte, E., Eds.; FAO: Rome, Italy, 2014; pp. 5–30. [Google Scholar]
- Mostert, D.; Wicker, E.; de Jager, M.M.; Al Kaabi, S.M.; O’Neill, W.T.; Perry, S.; Li, C.; Yi, G.; Pegg, K.G.; Mostert, L.; et al. A polyphasic approach reveals novel genotypes and updates the genetic structure of the banana Fusarium wilt pathogen. Microorganisms 2022, 10, 269. [Google Scholar] [CrossRef]
- Ordoñez, N.; Seidl, M.F.; Waalwijk, C.; Drenth, A.; Kilian, A.; Thomma, B.P.H.J.; Ploetz, R.C.; Kema, G.H.J. Worse comes to worst: Bananas and Panama disease—When plant and pathogen clones meet. PLOS Pathog. 2015, 11, e1005197. [Google Scholar] [CrossRef] [PubMed]
- Acuña, R.; Rouard, M.; Leiva, A.M.; Marques, C.; Olortegui, J.A.; Ureta, C.; Cabrera-Pintado, R.M.; Rojas, J.C.; Lopez-Alvarez, D.; Cenci, A.; et al. First report of Fusarium oxysporum f. sp. cubense tropical race 4 causing Fusarium wilt in cavendish bananas in Peru. Plant Dis. 2022, 8, 106. [Google Scholar] [CrossRef]
- Aguayo, J.; Cerf-Wendling, I.; Folscher, A.B.; Fourrier-Jeandel, C.; Ioos, R.; Mathews, M.C.; Mostert, D.; Renault, C.; Wilson, V.; Viljoen, A. First report of Fusarium oxysporum f. sp. cubense tropical race 4 (TR4) causing banana wilt in the Island of Mayotte. Plant Dis. 2021, 105, 219. [Google Scholar] [CrossRef]
- García-Bastidas, F.A.; Quintero-Vargas, J.C.; Ayala-Vasquez, M.; Schermer, T.; Seidl, M.F.; Santos-Paiva, M.; Noguera, A.M.; Aguilera-Galvez, C.; Wittenberg, A.; Hofstede, R.; et al. First report of Fusarium wilt tropical race 4 in Cavendish bananas caused by Fusarium odoratissimum in Colombia. Plant Dis. 2020, 104, 994. [Google Scholar] [CrossRef]
- Zheng, S.-J.; García-Bastidas, F.A.; Li, X.; Bai, T.; Xu, S.; Yin, K.; Li, H.; Fu, G.; Yu, Y.; Yang, L.; et al. New geographical insights of the latest expansion of Fusarium oxysporum f. sp. cubense tropical race 4 into the great Mekong subregion. Front Plant Sci. 2018, 9, 457. [Google Scholar] [CrossRef]
- Thangavelu, R.; Mustaffa, M.M. First report on the occurrence of a virulent strain of Fusarium wilt pathogen (Race-1) infecting Cavendish (AAA) group of bananas in India. Plant Dis. 2010, 94, 1379. [Google Scholar] [CrossRef]
- Thangavelu, R.; Gopi, M.; Pushpakanth, P.; Loganathan, M.; Edxin Raj, E.; Marimuthu, N.; Prabakaran, M.; Uma, S. First report of Fusarium oxysporum f. sp. cubense VCG 0125 and VCG 01220 of race 1 infecting Cavendish bananas (Musa sp. AAA) in India. Plant Dis. 2021, 105, 1215. [Google Scholar] [CrossRef]
- Ghag, S.B.; Shekhawat, U.K.S.; Ganapathi, T.R. Fusarium wilt of banana: Biology, epidemiology and management. Int. J. Pest Manag. 2015, 61, 250–263. [Google Scholar] [CrossRef]
- Dita, M.A.; Waalwijk, C.; Buddenhagen, I.W.; Souza, M.T., Jr.; Kema, G.H.J. A molecular diagnostic for tropical race 4 of the banana fusarium wilt pathogen. Plant Pathol. 2010, 59, 348–357. [Google Scholar] [CrossRef]
- Fraser-Smith, S.; Czislowski, E.; Meldrum, R.A.; Zander, M.; O’Neil, W.; Balali, G.R.; Aitken, E.A.B. Sequence variation in the putative effector gene SIX8 facilitates molecular differentiation of Fusarium oxysporum f. sp. cubense. Plant Pathol. 2014, 63, 1044–1052. [Google Scholar] [CrossRef]
- Li, M.H.; Yu, X.Q.; Wang, H.F.; Zhou, J.; Xi, P.G.; Jiang, Z.D. Rapid detection and identification of Fusarium oxysporum f. sp. cubense Race 1 and Race 4. Sci. Agric. Sin. 2012, 45, 3971–3979. [Google Scholar]
- O’Donnell, K.; Kistler, H.C.; Cigelnik, E.; Ploetz, R.C. Multiple evolutionary origins of the fungus causing Panama disease of banana: Concordant evidence from nuclear and mitochondrial gene genealogies. Proc. Natl. Acad. Sci. USA 1998, 95, 2044–2049. [Google Scholar] [CrossRef] [PubMed]
- Fourie, G.; Steenkamp, E.T.; Gordon, T.R.; Viljoen, A. Evolutionary relationships among the Fusarium oxysporum f. sp. cubense vegetative compatibility groups. Appl. Env. Microbiol. 2009, 75, 4770–4781. [Google Scholar] [CrossRef]
- Damodaran, T.; Rajan, S.; Mishra, V.K.; Jha, S.K.; Gopal, R. First report of Fusarium wilt in banana caused by Fusarium oxysporum f. sp. cubense tropical race 4 in India. Plant Dis. 2019, 103, 1022. [Google Scholar] [CrossRef]
- Thangavelu, R.; Mostert, D.; Gopi, M.; Ganga Devi, P.; Padmanaban, B.; Molina, A.B.; Viljoen, A. First detection of Fusarium oxysporum f. sp. cubense tropical race 4 (TR4) on Cavendish banana in India. Eur. J. Plant Pathol. 2019, 154, 777–786. [Google Scholar] [CrossRef]
- McKinney, H.H. Influence of soil temperature and moisture on infection of wheat seedlings by Helminthosporium sativum. J. Agric. Res. 1923, 26, 195–217. [Google Scholar]
- Puhalla, J.E. Classification of strains of Fusarium oxysporum on the basis of vegetative compatibility. Can J. Bot. 1985, 63, 179–183. [Google Scholar] [CrossRef]
- Correll, J.C.; Klittich, C.J.R.; Leslie, J.F. Nitrate nonutilizing mutants of Fusarium oxysporum and their use in vegetative compatibility tests. Phytopathology 1987, 77, 1640–1646. [Google Scholar] [CrossRef]
- Li, M.; Shi, J.; Xie, X.; Leng, Y.; Wang, H.; Xi, P.; Zhou, P.; Zhong, S.; Jiang, Z. Identification and application of a unique genetic locus in diagnosis of Fusarium oxysporum f. sp. cubense tropical race 4. Can J. Plant Pathol. 2013, 35, 482–493. [Google Scholar] [CrossRef]
- Edgar, R.C. MUSCLE: A multiple sequence alignment method with reduced time and space complexity. BMC Bioinform. 2004, 5, 113. [Google Scholar] [CrossRef] [PubMed]
- Tamura, K.; Stecher, G.; Peterson, D.; Filipski, A.; Kumar, S. MEGA6: Molecular evolutionary genetics analysis version 6.0. Mol. Biol. Evol. 2013, 30, 2725–2729. [Google Scholar] [CrossRef] [PubMed]
- Nelson, P.E.; Toussoun, T.A.; Marasas, W.F.O. Fusarium Species: An Illustrated Manual for Identification; Pennsylvania State University Press: University Park, PA, USA, 1983. [Google Scholar]
- Karangwa, P.; Mostert, D.; Ndayihanzamaso, P.; Dubois, T.; Viljoen, A. Genetic diversity of Fusarium oxysporum f. sp. cubense in East and Central Africa. Plant Dis. 2018, 10, 552–560. [Google Scholar] [CrossRef] [PubMed]
- Kema, G.H.J.; Drenth, A.; Dita, M.; Jansen, K.; Vellema, S.; Stoorvogel, J.J. Editorial: Fusarium wilt of banana, a recurring threat to global banana production. Front. Plant Sci. 2021. [Google Scholar] [CrossRef]
- Beckman, C.H. The Nature of Wilt Diseases of Plants; American Phytopathological Society: St. Paul, MA, USA, 1987; p. 175. [Google Scholar]
- Duan, Y.; Qu, W.; Chang, S.; Li, C.; Xu, F.; Ju, M.; Zhao, R.; Wang, H.; Zhang, H.; Miao, H. Identification of pathogenic groups and pathogenic molecular characterization of Fusarium oxysporum f. sp. sesami in China. Phytopathology 2020, 110, 1093–1104. [Google Scholar] [CrossRef] [PubMed]







| Isolate | Sampling Date | Site | Variety | Location | Altitude (m) |
|---|---|---|---|---|---|
| NP1-1 | 18 December 2019 | Chitwan | Malbhog | 27°40′55″ N, 84°30′21″ E | 210 |
| NP2-1 | 18 December 2019 | Chitwan | Malbhog | 27°40′55″ N, 84°30′24″ E | 210 |
| NP4-1 | 18 December 2019 | Chitwan | Malbhog | 27°40′55″ N, 84°30′24″ E | 210 |
| NP5-1 | 18 December 2019 | Chitwan | Malbhog | 27°40′55″ N, 84°30′24″ E | 210 |
| NP6-1 | 18 December 2019 | Chitwan | Malbhog | 27°40′55″ N, 84°30′24″ E | 210 |
| NP7-1 | 18 December 2019 | Chitwan | Malbhog | 27°37′50″ N, 84°31′1″ E | 200 |
| NP8-1 | 18 December 2019 | Nawalparasi | Malbhog | 27°37′3″ N, 84°6′1″ E | 170 |
| NP10-1 | 18 December 2019 | Nawalparasi | Malbhog | 27°37′3″ N, 84°6′1″ E | 170 |
| NP11 | 10 December 2019 | Chitwan | Malbhog | 27°40′52″ N, 84°30′26″ E | 220 |
| NP12 | 10 December 2019 | Nawalparasi | Malbhog | 27°37′3″ N, 84°6′1″ E | 170 |
| NP13 | 10 December 2019 | Chitwan | Malbhog | 27°39′12″ N, 84°30′41″ E | 210 |
| NP14 | 10 December 2019 | Chitwan | Malbhog | 27°39′10″ N, 84°30′41″ E | 210 |
| NP15 | 10 December 2019 | Chitwan | Malbhog | 27°37′52″ N, 84°31′4″ E | 200 |
| Primer Sets | Fungi to Identify | Primer Sequences | References |
|---|---|---|---|
| W1805F/W1805R | Foc R1 | 5′-GTTGAGTCTCGATAAACAGCAAT-3′ | [20] |
| 5′-GACGAGGGGAGATATGGTC-3′ | |||
| W2987F/W2987R | Foc R4 | 5′-GCCGATGTCTTCGTCAGGTA-3′ | [20] |
| 5′-CTGAGACTCGTGCTGCATGA-3′ | |||
| W2987F/W2987R (TR4-W2987F/TR4-W2987R) | TR4 | 5′-TGCCGAGAACCACTGACAA-3′ | [28] |
| 5′-GCCGATGTCTTCGTCAGGTA-3′ | |||
| EF-1/EF-2 | Fusarium spp. | 5′-ATGGGTAAGGA(A/G)GACAAGAC-3′ | [21] |
| 5′-GGA(G/A)GTACCAGT(G/C)ATCATGTT-3′ |
| Isolate | Variety | Disease Index (%) |
|---|---|---|
| Cachaco (ABB) | 38.9 (1.59a) | |
| Williams (AAA) | 0.53 (0.11b) | |
| p-value | <2 × 10−16 | |
| NP1-1 | 23.81 (0.84) | |
| NP2-1 | 17.06 (0.85) | |
| NP4-1 | 33.33 (0.91) | |
| NP5-1 | 14.29 (0.73) | |
| NP6-1 | 13.10 (0.70) | |
| NP7-1 | 26.19 (0.98) | |
| NP8-1 | 17.06 (0.97) | |
| NP10-1 | 20.24 (0.81) | |
| p-value | 0.11 | |
| NP1-1 | Cachaco (ABB) | 47.62 (1.68abc) |
| NP2-1 | Cachaco (ABB) | 33.33 (1.52bc) |
| NP4-1 | Cachaco (ABB) | 66.66 (1.83a) |
| NP5-1 | Cachaco (ABB) | 28.57 (1.47bc) |
| NP6-1 | Cachaco (ABB) | 26.19 (1.41c) |
| NP7-1 | Cachaco (ABB) | 50.79 (1.71ab) |
| NP8-1 | Cachaco (ABB) | 31.75 (1.51bc) |
| NP10-1 | Cachaco (ABB) | 40.48 (1.61abc) |
| NP1-1 | Williams (AAA) | 0.00 (0.00e) |
| NP2-1 | Williams (AAA) | 0.79 (0.18de) |
| NP4-1 | Williams (AAA) | 0.00 (0.00e) |
| NP5-1 | Williams (AAA) | 0.00 (0.00e) |
| NP6-1 | Williams (AAA) | 0.00 (0.00e) |
| NP7-1 | Williams (AAA) | 1.59 (0.25de) |
| NP8-1 | Williams (AAA) | 2.38 (0.43e) |
| NP10-1 | Williams (AAA) | 0.00 (0.00e) |
| p-value | 0.0465 | |
Disclaimer/Publisher’s Note: The statements, opinions and data contained in all publications are solely those of the individual author(s) and contributor(s) and not of MDPI and/or the editor(s). MDPI and/or the editor(s) disclaim responsibility for any injury to people or property resulting from any ideas, methods, instructions or products referred to in the content. |
© 2023 by the authors. Licensee MDPI, Basel, Switzerland. This article is an open access article distributed under the terms and conditions of the Creative Commons Attribution (CC BY) license (https://creativecommons.org/licenses/by/4.0/).
Share and Cite
Pant, B.; Bai, T.; Du, C.; Baidya, S.; Magar, P.B.; Manandhar, S.; Shrestha, J.; Dita, M.; Rouard, M.; Fu, G.; et al. Molecular Diagnosis and Vegetative Compatibility Group Analysis of Fusarium Wilt of Banana in Nepal. J. Fungi 2023, 9, 208. https://doi.org/10.3390/jof9020208
Pant B, Bai T, Du C, Baidya S, Magar PB, Manandhar S, Shrestha J, Dita M, Rouard M, Fu G, et al. Molecular Diagnosis and Vegetative Compatibility Group Analysis of Fusarium Wilt of Banana in Nepal. Journal of Fungi. 2023; 9(2):208. https://doi.org/10.3390/jof9020208
Chicago/Turabian StylePant, Bimala, Tingting Bai, Chanjuan Du, Suraj Baidya, Prem Bahadur Magar, Shrinkhala Manandhar, Jiban Shrestha, Miguel Dita, Mathieu Rouard, Gang Fu, and et al. 2023. "Molecular Diagnosis and Vegetative Compatibility Group Analysis of Fusarium Wilt of Banana in Nepal" Journal of Fungi 9, no. 2: 208. https://doi.org/10.3390/jof9020208
APA StylePant, B., Bai, T., Du, C., Baidya, S., Magar, P. B., Manandhar, S., Shrestha, J., Dita, M., Rouard, M., Fu, G., & Zheng, S.-J. (2023). Molecular Diagnosis and Vegetative Compatibility Group Analysis of Fusarium Wilt of Banana in Nepal. Journal of Fungi, 9(2), 208. https://doi.org/10.3390/jof9020208

