First Isolation of Pseudogymnoascus destructans, the Fungal Causative Agent of White-Nose Syndrome, in Korean Bats (Myotis petax)
Abstract
1. Introduction
2. Materials and Methods
2.1. Sample Collection
2.2. Culture and Isolation of Fungi
2.3. Genomic DNA Extraction and Molecular Identification
2.4. Molecular and Phylogenetic Analysis
2.5. Histopathological Examination
3. Results
3.1. Isolation of Fungi
3.2. Molecular and Phylogenetic Analysis
3.3. Morphological Characteristics of Pd
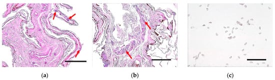
3.4. Histopathological Findings
4. Discussion
Supplementary Materials
Author Contributions
Funding
Institutional Review Board Statement
Informed Consent Statement
Data Availability Statement
Acknowledgments
Conflicts of Interest
References
- Russell, R.E.; DiRenzo, G.V.; Szymanski, J.A.; Alger, K.E.; Grant, E.H. Principles and mechanisms of wildlife population persistence in the face of disease. Front. Ecol. Evol. 2020, 8, 569016. [Google Scholar] [CrossRef]
- ProMED. ProMED-Mail. Available online: https://promedmail.org/promed-post (accessed on 1 January 2022).
- Lorch, J.M.; Muller, L.K.; Russell, R.E.; O’Connor, M.; Lindner, D.L.; Blehert, D.S. Distribution and environmental persistence of the causative agent of white-nose syndrome, Geomyces destructans, in bat hibernacula of the eastern United states. Appl. Environ. Microbiol. 2013, 79, 1293–1301. [Google Scholar] [CrossRef]
- Hoyt, J.; Sun, K.; Parise, K.; Lu, G.; Langwig, K.; Jiang, T.; Yang, S.; Frick, W.; Kilpatrick, A.M.; Foster, J.; et al. Widespread bat white-nose syndrome fungus, northeastern China. Emerg. Infect. Dis. 2016, 22, 140. [Google Scholar] [CrossRef]
- Puechmaille, S.J.; Verdeyroux, P.; Fuller, H.; Gouilh, M.A.; Bekaert, M.; Teeling, E.C. White-nose syndrome fungus (Geomyces destructans) in Bat, France. Emerg. Infect. Dis. 2010, 16, 290–293. [Google Scholar] [CrossRef]
- Meteyer, C.U.; Buckles, E.L.; Blehert, D.S.; Hicks, A.C.; Green, D.E.; Shearn-Bochsler, V.; Thomas, N.J.; Gargas, A.; Behr, M.J. Histopathologic criteria to confirm white-nose syndrome in bats. J. Vet. Diagn. Investig. 2009, 21, 411–414. [Google Scholar] [CrossRef]
- Cryan, P.M.; Meteyer, C.U.; Boyles, J.G.; Blehert, D.S. Wing pathology of white-nose syndrome in bats suggests life-threatening disruption of physiology. BMC Biol. 2010, 8, 135. [Google Scholar] [CrossRef]
- Reeder, W.G.; Cowles, R.B. Aspects of thermoregulation in bats. J. Mammal. 1951, 32, 389–403. [Google Scholar] [CrossRef]
- White-Nose Syndrome Response Team. What Is WNS? Available online: https://www.whitenosesyndrome.org (accessed on 9 May 2022).
- Hoyt, J.R.; Kilpatrick, A.M.; Langwig, K.E. Ecology and impacts of white-nose syndrome on bats. Nat. Rev. Microbiol. 2021, 19, 196–210. [Google Scholar] [CrossRef]
- Chung, C.U.; Han, S.H. A Field Guide To Korean Bats; Nature and Ecology: Seoul, Korea, 2020. [Google Scholar]
- Turner, G.G.; Meteyer, C.U.; Barton, H.; Gumbs, J.F.; Reeder, D.M.; Overton, B.; Bandouchova, H.; Bartonička, T.; Martínková, N.; Pikula, J.; et al. Nonlethal screening of bat-wing skin with the use of ultraviolet fluorescence to detect lesions indicative of white-nose syndrome. J. Wildl. Dis. 2014, 50, 566–573. [Google Scholar] [CrossRef] [PubMed]
- Vanderwolf, K.J.; Malloch, D.; Mcalpine, D.F. Detecting viable Pseudogymnoascus destructans (Ascomycota: Pseudeurotiaceae) from walls of bat hibernacula: Effect of culture media. J. Cave Karst Stud. 2016, 78, 158–162. [Google Scholar] [CrossRef]
- Noman, E.; Al-Gheethi, A.A.; Rahman, N.K.; Talip, B.; Mohamed, R.; Kadir, O.A. Single spore isolation as a simple and efficient technique to obtain fungal pure culture. IOP Conf. Ser. Earth Environ. Sci. 2018, 140, 012055. [Google Scholar] [CrossRef]
- Minnis, A.M.; Lindner, D.L. Phylogenetic evaluation of Geomyces and allies reveals no close relatives of Pseudogymnoascus destructans, comb. nov., in bat hibernacula of eastern North America. Fungal Biol. 2013, 117, 638–649. [Google Scholar] [CrossRef]
- Kumar, S.; Stecher, G.; Tamura, K. MEGA7: Molecular evolutionary genetics analysis version 7.0 for bigger datasets. Mol. Biol. Evol. 2016, 33, 1870–1874. [Google Scholar] [CrossRef]
- Nguyen, L.-T.; Schmidt, H.A.; von Haeseler, A.; Minh, B.Q. IQ-TREE: A fast and effective stochastic algorithm for estimating maximum-likelihood phylogenies. Mol. Biol. Evol. 2014, 32, 268–274. [Google Scholar] [CrossRef]
- Kalyaanamoorthy, S.; Minh, B.Q.; Wong, T.K.F.; von Haeseler, A.; Jermiin, L.S. ModelFinder: Fast model selection for accurate phylogenetic estimates. Nat. Methods 2017, 14, 587–589. [Google Scholar] [CrossRef]
- Minh, B.Q.; Nguyen, M.A.T.; von Haeseler, A. Ultrafast approximation for phylogenetic bootstrap. Mol. Biol. Evol. 2013, 30, 1188–1195. [Google Scholar] [CrossRef]
- Ronquist, F.; Teslenko, M.; van der Mark, P.; Ayres, D.L.; Darling, A.; Höhna, S.; Larget, B.; Liu, L.; Suchard, M.A.; Huelsenbeck, J.P. MrBayes 3.2: Efficient bayesian phylogenetic inference and model choice across a large model space. Syst. Biol. 2012, 61, 539–542. [Google Scholar] [CrossRef] [PubMed]
- Carey, H.V.; Andrews, M.T.; Martin, S.L. Mammalian Hibernation: Cellular and molecular responses to depressed metabolism and low temperature. Physiol. Rev. 2003, 83, 1153–1181. [Google Scholar] [CrossRef]
- Kim, S.S.; Choi, Y.S.; Yoo, J.C. The thermal preference and the selection of hibernacula in seven cave-dwelling bats. Korean J. Ecol. Environ. 2014, 47, 258–272. [Google Scholar] [CrossRef]
- Cunha, A.O.B.; Bezerra, J.D.P.; Oliveira, T.G.L.; Barbier, E.; Bernard, E.; Machado, A.R.; Souza-Motta, C.M. Living in the dark: Bat caves as hotspots of fungal diversity. PLoS ONE 2020, 15, e0243494. [Google Scholar] [CrossRef] [PubMed]
- Wang, M.; Tan, X.M.; Liu, F.; Cai, L. Eight new Arthrinium species from China. MycoKeys 2018, 34, 1–24. [Google Scholar] [CrossRef] [PubMed]
- Zhang, Z.F.; Liu, F.; Zhou, X.; Liu, X.Z.; Liu, S.J.; Cai, L. Culturable mycobiota from karst caves in China, with descriptions of 20 new species. Persoonia 2017, 39, 1–31. [Google Scholar] [CrossRef] [PubMed]
- Vanderwolf, K.J.; Malloch, D.; McAlpine, D.F.; Graham, J.F. A world review of fungi, yeasts, and slime molds in caves. Int. J. Speleol. 2013, 42, 77–96. [Google Scholar] [CrossRef]
- World Organisation for Animal Health. Pseudogymnoascus Destructans in Bats (White-Nose Syndrome) (Infection with). Available online: https://www.woah.org/en/document/pseudogymnoascus-destructans-in-bats-white-nose-syndrome-infection-with/ (accessed on 9 May 2022).
- Drees, K.P.; Lorch, J.M.; Puechmaille, S.J.; Parise, K.L.; Wibbelt, G.; Hoyt, J.R.; Sun, K.; Jargalsaikhan, A.; Dalannast, M.; Palmer, J.M.; et al. Phylogenetics of a fungal invasion: Origins and widespread dispersal of white-nose syndrome. mBio 2017, 8, e01941-17. [Google Scholar] [CrossRef] [PubMed]
- Villanueva, P.; Vásquez, G.; Gil-Durán, C.; Oliva, V.; Díaz, A.; Henríquez, M.; Álvarez, E.; Laich, F.; Chávez, R.; Vaca, I. Description of the First Four Species of the Genus Pseudogymnoascus From Antarctica. Front. Microbiol. 2021, 12, 713189. [Google Scholar] [CrossRef]
- Zhang, Z.; Dong, C.; Chen, W.; Mou, Q.; Lu, X.; Han, Y.; Huang, J.; Liang, Z. The Enigmatic Thelebolaceae (Thelebolales, Leotiomycetes): One New Genus Solomyces and Five New Species. Front. Microbiol. 2020, 11, 572596. [Google Scholar] [CrossRef]
- Zhang, Z.Y.; Shao, Q.Y.; Li, X.; Chen, W.H.; Liang, J.D.; Han, Y.-F.; Huang, J.-Z.; Liang, Z.-Q. Culturable Fungi from Urban Soils in China I: Description of 10 New Taxa. Microbiol. Spectr. 2021, 9, e0086721. [Google Scholar] [CrossRef] [PubMed]






| Gene Marker | Primer | Sequence |
|---|---|---|
| ITS 1 | ITS1 | TCCGTAGGTGAACCT GCG |
| ITS4 | TCCTCCGCT TATTGATATGC | |
| LSU 2 | LR0 R | ACCCGCTGAACTTAAGC |
| LR7 | TACTACCACCAAGATCT | |
| Tef1-α 3 | EF1-983 F | GCYCCYGGHCAYCGTGAYTTYAT |
| EF1-2218 R | ATGACACCRACRGCRACRGTYTG | |
| MCM7 4 | MCM7-709 for | ACIMGIGTITCVGAYGTHAARCC |
| MCM7-1348 rev | GAYTTDGCIACICCIGGRTCWCCCAT | |
| RPB2 5 | fRPB2-7 cF | ATGGGYAARCAAGCYATGGG |
| RPB2-3053 bR | TGRATYTTRTCRTCSACCAT |
Publisher’s Note: MDPI stays neutral with regard to jurisdictional claims in published maps and institutional affiliations. |
© 2022 by the authors. Licensee MDPI, Basel, Switzerland. This article is an open access article distributed under the terms and conditions of the Creative Commons Attribution (CC BY) license (https://creativecommons.org/licenses/by/4.0/).
Share and Cite
Kim, Y.-S.; Yang, M.-S.; Jeong, C.-G.; Chung, C.-U.; Oem, J.-K. First Isolation of Pseudogymnoascus destructans, the Fungal Causative Agent of White-Nose Syndrome, in Korean Bats (Myotis petax). J. Fungi 2022, 8, 1072. https://doi.org/10.3390/jof8101072
Kim Y-S, Yang M-S, Jeong C-G, Chung C-U, Oem J-K. First Isolation of Pseudogymnoascus destructans, the Fungal Causative Agent of White-Nose Syndrome, in Korean Bats (Myotis petax). Journal of Fungi. 2022; 8(10):1072. https://doi.org/10.3390/jof8101072
Chicago/Turabian StyleKim, Young-Sik, Myun-Sik Yang, Chang-Gi Jeong, Chul-Un Chung, and Jae-Ku Oem. 2022. "First Isolation of Pseudogymnoascus destructans, the Fungal Causative Agent of White-Nose Syndrome, in Korean Bats (Myotis petax)" Journal of Fungi 8, no. 10: 1072. https://doi.org/10.3390/jof8101072
APA StyleKim, Y.-S., Yang, M.-S., Jeong, C.-G., Chung, C.-U., & Oem, J.-K. (2022). First Isolation of Pseudogymnoascus destructans, the Fungal Causative Agent of White-Nose Syndrome, in Korean Bats (Myotis petax). Journal of Fungi, 8(10), 1072. https://doi.org/10.3390/jof8101072

