Candida albicans Modulates Murine and Human Beta Defensin-1 during Vaginitis
Abstract
:1. Introduction
2. Materials and Methods
2.1. Ethics Statement
2.2. Candida spp. and Determination of Hydrolytic Enzymes Activity
2.3. VVC Model
2.4. Immunohistochemical Analysis
2.5. Flow Cytometry
2.6. Study Participants
2.7. Cytokine Immunoassays
2.8. Immunofluorescence Analysis
2.9. Real-Time PCR
2.10. Human Cell Culture
2.11. Statistical Analysis
3. Results
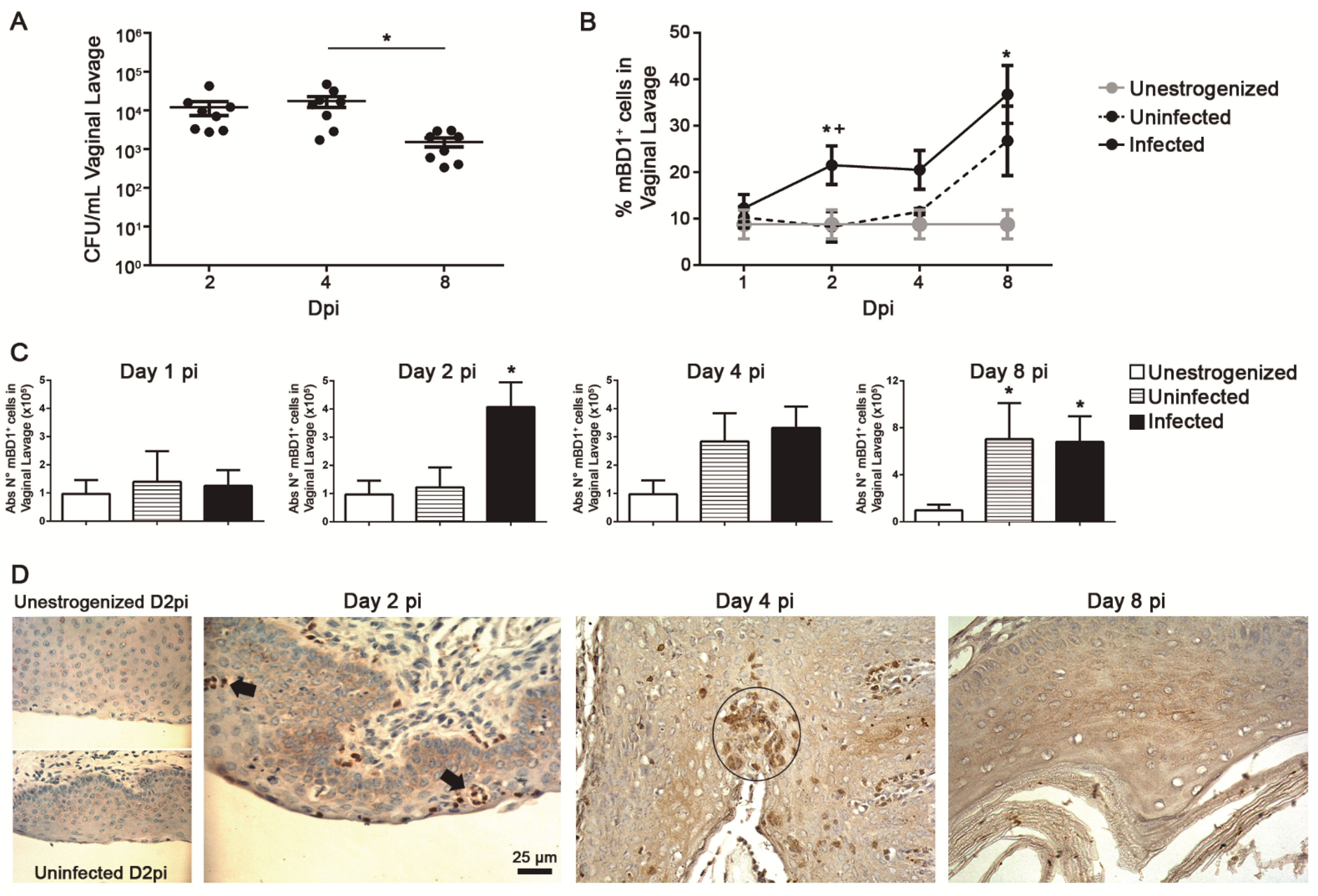
3.1. mBD1 Expression Is Upregulated in the Vaginal Tract During VVC
3.2. mBD1 Expression Is Differentially Regulated after Infection with a C. albicans Strain Recovered from an RVVC Patient
3.3. Intravaginal Cytokines Profile and Virulence Factors of Clinical Isolates from Patients with AVVC or RVVC
3.4. Study of AMPs of the BD Family in Patients with AVVC and RVVC
3.5. Regulation of hBD1 in Epithelial Cells of Female Genital Tract
4. Discussion
Supplementary Materials
Author Contributions
Funding
Institutional Review Board Statement
Informed Consent Statement
Conflicts of Interest
References
- Rosati, D.; Bruno, M.; Jaeger, M.; Ten Oever, J.; Netea, M.G. Recurrent Vulvovaginal Candidiasis: An Immunological Perspective. Microorganisms 2020, 8, 144. [Google Scholar] [CrossRef] [Green Version]
- Jaeger, M.; Carvalho, A.; Cunha, C.; Plantinga, T.S.; Van De Veerdonk, F.; Puccetti, M.; Galosi, C.; Joosten, L.A.B.; Dupont, B.; Kullberg, B.J.; et al. Association of a variable number tandem repeat in the NLRP3 gene in women with susceptibility to RVVC. Eur. J. Clin. Microbiol. Infect. Dis. 2016, 35, 797–801. [Google Scholar] [CrossRef] [Green Version]
- Riera, F.O.; Caeiro, J.P.; Denning, D.W. Burden of Serious Fungal Infections in Argentina. J. Fungi 2018, 4, 51. [Google Scholar] [CrossRef] [PubMed] [Green Version]
- Denning, D.W.; Kneale, M.; Sobel, J.D.; Rautemaa-Richardson, R. Global burden of recurrent vulvovaginal candidiasis: A systematic review. Lancet Infect. Dis. 2018, 18, e339–e347. [Google Scholar] [CrossRef]
- Peters, B.M.; Coleman, B.M.; E Willems, H.M.; Barker, K.S.; Aggor, F.; Cipolla, E.; Verma, A.; Bishu, S.; Huppler, A.H.; Bruno, V.M.; et al. The Interleukin (IL) 17R/IL-22R Signaling Axis Is Dispensable for Vulvovaginal Candidiasis Regardless of Estrogen Status. J. Infect. Dis. 2019, 221, 1554–1563. [Google Scholar] [CrossRef] [PubMed]
- Yano, J.; Sobel, J.D.; Nyirjesy, P.; Sobel, R.; Williams, V.L.; Yu, Q.; Noverr, M.C.; Fidel, P.L., Jr. Current patient perspectives of vulvovaginal candidiasis: Incidence, symptoms, management and post-treatment outcomes. BMC Women’s Health 2019, 19, 48. [Google Scholar] [CrossRef] [Green Version]
- Peters, B.M.; Palmer, G.E.; Nash, A.K.; Lilly, E.A.; Fidel, P.L.; Noverr, M.C. Fungal Morphogenetic Pathways Are Required for the Hallmark Inflammatory Response during Candida albicans Vaginitis. Infect. Immun. 2014, 82, 532–543. [Google Scholar] [CrossRef] [Green Version]
- Ardizzoni, A.; Wheeler, R.T.; Pericolini, E. It Takes Two to Tango: How a Dysregulation of the Innate Immunity, Coupled With Candida Virulence, Triggers VVC Onset. Front. Microbiol. 2021, 12. [Google Scholar] [CrossRef]
- Zasloff, M. Antimicrobial Peptides in Health and Disease. N. Engl. J. Med. 2002, 347, 1199–1200. [Google Scholar] [CrossRef] [Green Version]
- Shelley, J.R.; Davidson, D.J.; Dorin, J.R. The Dichotomous Responses Driven by β-Defensins. Front. Immunol. 2020, 11, 1176. [Google Scholar] [CrossRef]
- Yarbrough, V.L.; Winkle, S.; Herbst-Kralovetz, M.M. Antimicrobial peptides in the female reproductive tract: A critical component of the mucosal immune barrier with physiological and clinical implications. Hum. Reprod. Updat. 2014, 21, 353–377. [Google Scholar] [CrossRef] [Green Version]
- Prado-Montes de Oca, E. Human β-defensin 1: A restless warrior against allergies, infections and cancer. Int. J. Biochem. Cell Biol. 2010, 42, 800–804. [Google Scholar] [CrossRef]
- Díaz, L.; Ortega, A.; Álvarez, R.; Félix, J.; Prado Montes de Oca, E. Regulatory SNP rs5743417 impairs constitutive expression of human β-defensin 1 and has high frequency in Africans and Afro-Americans. Int. J. Immunogenet. 2020, 47, 332–341. [Google Scholar] [CrossRef] [PubMed]
- Bals, R.; Goldman, M.J.; Wilson, J.M. Mouse β-Defensin 1 Is a Salt-Sensitive Antimicrobial Peptide Present in Epithelia of the Lung and Urogenital Tract. Infect. Immun. 1998, 66, 1225–1232. [Google Scholar] [CrossRef] [Green Version]
- Wang, Y.; Jiang, Y.; Gong, T.; Cui, X.; Li, W.; Feng, Y.; Wang, B.; Jiang, Z.; Li, M. High-Level Expression and Novel Antifungal Activity of Mouse Beta Defensin-1 Mature Peptide in Escherichia coli. Appl. Biochem. Biotechnol. 2009, 160, 213–221. [Google Scholar] [CrossRef] [PubMed]
- Pahl, R.; Brunke, G.; Steubesand, N.; Schubert, S.; Böttner, M.; Wedel, T.; Jürgensen, C.; Hampe, J.; Schäfer, H.; Zeissig, S.; et al. IL-1β and ADAM17 are central regulators of β-defensin expression in Candida esoph-agitis. Am. J. Physiol. Gastrointest. Liver Physiol. 2011, 300, G547–G553. [Google Scholar] [CrossRef] [Green Version]
- Simpson-Abelson, M.R.; Childs, E.E.; Ferreira, M.C.; Bishu, S.; Conti, H.R.; Gaffen, S.L. C/EBPβ Promotes Immunity to Oral Candidiasis through Regulation of β-Defensins. PLoS ONE 2015, 10, e0136538. [Google Scholar] [CrossRef] [Green Version]
- Schofield, D.A.; Westwater, C.; Balish, E. Divergent chemokine, cytokine and β-defensin responses to gastric candidiasis in im-munocompetent C57BL/6 and BALB/c mice. J. Med. Microbiol. 2005, 54, 87–92. [Google Scholar] [CrossRef]
- Dornelas Figueira, L.M.; Ricomini Filho, A.P.; da Silva, W.J.; del bel Cury, A.A.; Ruiz, K.G.S. GLucose effect on Candida albicans biofilm during tissue invasion. Arch. Oral Biol. 2020, 117, 104728. [Google Scholar] [CrossRef]
- Hans, M.; Hans, V.M. Epithelial Antimicrobial Peptides: Guardian of the Oral Cavity. Int. J. Pept. 2014, 2014, 370297. [Google Scholar] [CrossRef] [PubMed] [Green Version]
- Tomalka, J.; Azodi, E.; Narra, H.P.; Patel, K.; O’Neill, S.; Cardwell, C.; Hall, B.A.; Wilson, J.M.; Hise, A.G. β-Defensin 1 Plays a Role in Acute Mucosal Defense against Candida albicans. J. Immunol. 2015, 194, 1788–1795. [Google Scholar] [CrossRef] [PubMed] [Green Version]
- Araújo, M.; Pacífico, M.; Vilegas, W.; Santos, L.; Icely, P.; Miró, M.; Scarpa, M.; Bauab, T.; Sotomayor, C. Evaluation of Syngonanthus nitens (Bong.) Ruhl. extract as antifungal and in treatment of vulvovaginal candidiasis. Med. Mycol. 2013, 51, 673–682. [Google Scholar] [CrossRef] [PubMed] [Green Version]
- Miró, M.S.; Rodríguez, E.; Vigezzi, C.; Icely, P.A.; García, L.N.; Peinetti, N.; Maldonado, C.A.; Riera, F.O.; Caeiro, J.P.; Sotomayor, C.E. Contribution of TLR2 pathway in the pathogenesis of vulvovaginal candidiasis. Pathogens Disease 2017, 75, ftx096. [Google Scholar] [CrossRef] [PubMed] [Green Version]
- Vigezzi, C.; Icely, P.; Dudiuk, C.; Rodríguez, E.; Miró, M.; Castillo, G.; Azcurra, A.; Abiega, C.; Caeiro, J.; Riera, F.; et al. Frequency, virulence factors and antifungal susceptibility of Candida parapsilosis species complex isolated from patients with candidemia in the central region of Argentina. J. Mycol. Médicale 2019, 29, 285–291. [Google Scholar] [CrossRef]
- Garcia-Effron, G.; Park, S.; Perlin, D.S. Correlating Echinocandin MIC and Kinetic Inhibition of fks1 Mutant Glucan Synthases for Candida albicans: Implications for Interpretive Breakpoints. Antimicrob. Agents Chemother. 2009, 53, 112–122. [Google Scholar] [CrossRef] [Green Version]
- Castillo, G.D.V.; Blanc, S.L.; Sotomayor, C.E.; Azcurra, A.I. Study of virulence factor of Candida species in oral lesions and its association with potentially malignant and malignant lesions. Arch. Oral Biol. 2018, 91, 35–41. [Google Scholar] [CrossRef] [PubMed]
- Garcia, L.; Leimgruber, C.; Echevarría, E.M.U.; Acosta, P.L.; Brahamian, J.M.; Polack, F.P.; Miró, M.S.; Quintar, A.; E Sotomayor, C.; A Maldonado, C. Protective phenotypes of club cells and alveolar macrophages are favored as part of endotoxin-mediated prevention of asthma. Exp. Biol. Med. 2014, 240, 904–916. [Google Scholar] [CrossRef] [Green Version]
- Erhart, W.; Alkasi, Ö.; Brunke, G.; Wegener, F.; Maass, N.; Arnold, N.; Arlt, A.; Meinhold-Heerlein, I. Induction of Human β-defensins and Psoriasin in Vulvovaginal Human Papillomavirus–Associated Lesions. J. Infect. Dis. 2011, 204, 391–399. [Google Scholar] [CrossRef] [Green Version]
- Bauer, B.; Pang, E.; Holland, C.; Kessler, M.; Bartfeld, S.; Meyer, T.F. The Helicobacter pylori Virulence Effector CagA Abrogates Human β-Defensin 3 Expression via Inactivation of EGFR Signaling. Cell Host Microbe 2012, 11, 576–586. [Google Scholar] [CrossRef] [Green Version]
- Jaeger, M.; Pinelli, M.; Borghi, M.; Constantini, C.; Dindo, M.; van Emst, L.; Puccetti, M.; Pariano, M.; Ricaño-Ponce, I.; Büll, C.; et al. A systems genomics approach identifies SIGLEC15 as a susceptibility factor in recurrent vulvovaginal candidiasis. Sci. Transl. Med. 2019, 11, eaar3558. [Google Scholar] [CrossRef]
- Roselletti, E.; Perito, S.; Gabrielli, E.; Mencacci, A.; Pericolini, E.; Sabbatini, S.; Cassone, A.; Vecchiarelli, A. NLRP3 inflammasome is a key player in human vulvovaginal disease caused by Candida albicans. Sci. Rep. 2017, 7, 17877. [Google Scholar] [CrossRef] [PubMed] [Green Version]
- Pericolini, E.; Gabrielli, E.; Amacker, M.; Kasper, L.; Roselletti, E.; Luciano, E.; Sabbatini, S.; Kaeser, M.; Moser, C.; Hube, B.; et al. Secretory Aspartyl Proteinases Cause Vaginitis and Can Mediate Vaginitis Caused by Candida albicans in Mice. mBio 2015, 6, e00724-15. [Google Scholar] [CrossRef] [PubMed] [Green Version]
- Paraje, M.G.; Correa, S.G.; Renna, M.S.; Theumer, M.; Sotomayor, C.E. Candida albicans-secreted lipase induces injury and steatosis in immune and paren-chymal cells. Can. J. Microbiol. 2008, 54, 647–659. [Google Scholar] [CrossRef] [PubMed]
- Ryan, L.K.; Diamond, G. Modulation of Human β-Defensin-1 Production by Viruses. Viruses 2017, 9, 153. [Google Scholar] [CrossRef] [PubMed] [Green Version]
- Mao, F.-Y.; Lv, Y.-P.; Hao, C.-J.; Teng, Y.-S.; Liu, Y.-G.; Cheng, P.; Yang, S.-M.; Chen, W.; Liu, T.; Zou, Q.-M.; et al. Helicobacter pylori–Induced Rev-erbα Fosters Gastric Bacteria Colonization by Impairing Host Innate and Adaptive Defense. Cell. Mol. Gastroenterol. Hepatol. 2021, 12, 395–425. [Google Scholar] [CrossRef]
- Zaga-Clavellina, V.; Martha, R.V.-M.; Flores-Espinosa, M.D.P. In Vitro Secretion Profile of Pro-Inflammatory Cytokines IL-1β, TNF-α, IL-6, and of Human Beta-Defensins (HBD)-1, HBD-2, and HBD-3 from Human Chorioamniotic Membranes After Selective Stimulation with Gardnerella vaginalis. Am. J. Reprod. Immunol. 2011, 67, 34–43. [Google Scholar] [CrossRef]
- Patel, S.R.; Smith, K.; Letley, D.P.; Cook, K.W.; Memon, A.A.; Ingram, R.J.; Staples, E.; Backert, S.; Zaitoun, A.M.; Atherton, J.C.; et al. Helicobacter pylori downregulates expression of human β-defensin 1 in the gastric mucosa in a type IV secretion-dependent fashion. Cell. Microbiol. 2013, 15, 2080–2092. [Google Scholar] [CrossRef] [Green Version]
- Verma, A.; Gaffen, S.L.; Swidergall, M. Innate Immunity to Mucosal Candida Infections. J. Fungi 2017, 3, 60. [Google Scholar] [CrossRef] [Green Version]
- Pietrella, D.; Pandey, N.; Gabrielli, E.; Pericolini, E.; Perito, S.; Kasper, L.; Bistoni, F.; Cassone, A.; Hube, B. Vecchiarelli A Secreted aspartic proteases of Candida albicans activate the NLRP3 inflammasome. Eur. J. Immunol. 2013, 43, 679–692. [Google Scholar] [CrossRef] [PubMed]
- Bruno, V.M.; Shetty, A.; Yano, J.; Fidel, P.L.; Noverr, M.C.; Peters, B.M. Transcriptomic Analysis of Vulvovaginal Candidiasis Identifies a Role for the NLRP3 Inflammasome. mBio 2015, 6, e00182-15. [Google Scholar] [CrossRef] [PubMed] [Green Version]
- Lev-Sagie, A.; Prus, D.; Linhares, I.; Lavy, Y.; Ledger, W.J.; Witkin, S.S. Polymorphism in a gene coding for the inflammasome component NALP3 and recurrent vulvovaginal candidiasis in women with vulvar vestibulitis syndrome. Am. J. Obstet. Gynecol. 2009, 200, 303.e1–303.e6. [Google Scholar] [CrossRef] [PubMed]
- Barousse, M.M. Vaginal yeast colonisation, prevalence of vaginitis, and associated local immunity in adolescents. Sex. Transm. Infect. 2004, 80, 48–53. [Google Scholar] [CrossRef] [Green Version]
- Masson, L.; Salkinder, A.L.; Olivier, A.J.; McKinnon, L.R.; Gamieldien, H.; Mlisana, K.; Scriba, T.J.; Lewis, D.A.; Little, F.; Jaspan, H.B.; et al. Relationship between female genital tract infections, mucosal interleukin-17 production and local T helper type 17 cells. Immunology 2015, 146, 557–567. [Google Scholar] [CrossRef] [Green Version]
- Ryan, K.R.; Hong, M.; Arkwright, P.D.; Gennery, A.R.; Costigan, C.; Dominguez, M.; Denning, D.; McConnell, V.; Cant, A.J.; Abinun, M.; et al. Impaired dendritic cell maturation and cytokine production in patients with chronic mucocutanous candidiasis with or without APECED. Clin. Exp. Immunol. 2008, 154, 406–414. [Google Scholar] [CrossRef] [PubMed]
- Li, J.; Casanova, J.-L.; Puel, A. Mucocutaneous IL-17 immunity in mice and humans: Host defense vs. excessive inflammation. Mucosal Immunol. 2017, 11, 581–589. [Google Scholar] [CrossRef] [PubMed]
- Okada, S.; Puel, A.; Casanova, J.-L.; Kobayashi, M. Chronic mucocutaneous candidiasis disease associated with inborn errors of IL-17 immunity. Clin. Transl. Immunol. 2016, 5, e114. [Google Scholar] [CrossRef]
- Sundrud, M.S.; Koralov, S.B.; Feuerer, M.; Calado, D.P.; Kozhaya, A.E.; Rhule-Smith, A.; Lefebvre, R.E.; Unutmaz, D.; Mazitschek, R.; Waldner, H.; et al. Halofuginone Inhibits TH17 Cell Differentiation by Activating the Amino Acid Starvation Response. Science 2009, 324, 1334–1338. [Google Scholar] [CrossRef] [PubMed] [Green Version]
- Willems, H.M.E.; Ahmed, S.S.; Liu, J.; Xu, Z.; Peters, B.M. Vulvovaginal Candidiasis: A Current Understanding and Burning Questions. J. Fungi 2020, 6, 27. [Google Scholar] [CrossRef] [Green Version]
- Ho, J.; Yang, X.; Nikou, S.-A.; Kichik, N.; Donkin, A.; Ponde, N.O.; Richardson, J.P.; Gratacap, R.L.; Archambault, L.S.; Zwirner, C.P.; et al. Candidalysin activates innate epithelial immune responses via epidermal growth factor receptor. Nat. Commun. 2019, 10, 2297. [Google Scholar] [CrossRef] [PubMed] [Green Version]
- Chakraborty, K.; Ghosh, S.; Koley, H.; Mukhopadhyay, A.K.; Ramamurthy, T.; Saha, D.R.; Mukhopadhyay, D.; Roychowdhury, S.; Hamabata, T.; Takeda, Y.; et al. Bacterial exotoxins downregulate cathelicidin (hCAP-18/LL-37) and human β-defensin 1 (HBD-1) expression in the intestinal epithelial cells. Cell. Microbiol. 2008, 10, 2520–2537. [Google Scholar] [CrossRef] [PubMed]






| Disease Patients | Age Mean ± SEM | Risk Factor | C. albicans Prevalence | Virulence Factors over 20 Clinical Isolates | |||||
|---|---|---|---|---|---|---|---|---|---|
| SAP | LIP | ||||||||
| Frequency (%) | Pz Range | Pz Mean ± SEM | Frequency (%) | Pz Range | Pz Mean ± SEM | ||||
| AVVC (n = 20) | 27.8 ± 6.7 | 73 % | 93% | 12/20 (60%) | 1.00–2.57 | 1.62 ± 0.61 * | 12/20 (60%) | 1.00–4.00 | 1.72 ± 0.84 |
| RVVC (n = 59) | 35.2 ± 7.6 | 43 % | 96% | 14/20 (70%) | 1.00–1.70 | 1.32 ± 0.28 | 8/20 (40%) | 1.00–2.66 | 1.46 ± 0.68 |
Publisher’s Note: MDPI stays neutral with regard to jurisdictional claims in published maps and institutional affiliations. |
© 2021 by the authors. Licensee MDPI, Basel, Switzerland. This article is an open access article distributed under the terms and conditions of the Creative Commons Attribution (CC BY) license (https://creativecommons.org/licenses/by/4.0/).
Share and Cite
Miró, M.S.; Caeiro, J.P.; Rodriguez, E.; Vargas, L.; Vigezzi, C.; Icely, P.A.; Castillo, G.D.V.; Azcurra, A.I.; Abiega, C.D.; Riera, F.O.; et al. Candida albicans Modulates Murine and Human Beta Defensin-1 during Vaginitis. J. Fungi 2022, 8, 20. https://doi.org/10.3390/jof8010020
Miró MS, Caeiro JP, Rodriguez E, Vargas L, Vigezzi C, Icely PA, Castillo GDV, Azcurra AI, Abiega CD, Riera FO, et al. Candida albicans Modulates Murine and Human Beta Defensin-1 during Vaginitis. Journal of Fungi. 2022; 8(1):20. https://doi.org/10.3390/jof8010020
Chicago/Turabian StyleMiró, María Soledad, Juan Pablo Caeiro, Emilse Rodriguez, Lara Vargas, Cecilia Vigezzi, Paula A. Icely, Graciela D. V. Castillo, Ana I. Azcurra, Claudio D. Abiega, Fernando O. Riera, and et al. 2022. "Candida albicans Modulates Murine and Human Beta Defensin-1 during Vaginitis" Journal of Fungi 8, no. 1: 20. https://doi.org/10.3390/jof8010020
APA StyleMiró, M. S., Caeiro, J. P., Rodriguez, E., Vargas, L., Vigezzi, C., Icely, P. A., Castillo, G. D. V., Azcurra, A. I., Abiega, C. D., Riera, F. O., & Sotomayor, C. E. (2022). Candida albicans Modulates Murine and Human Beta Defensin-1 during Vaginitis. Journal of Fungi, 8(1), 20. https://doi.org/10.3390/jof8010020

