Colletotrichum fructicola CfGti1 Transcriptionally Regulates Penetration, Colonization, and Pathogenicity on Apple
Abstract
1. Introduction
2. Materials and Methods
2.1. Bioinformatic Analysis

2.2. Fungal Isolates and Culture Conditions
2.3. Growth, Stress Tests, and Conidiation
2.4. Deletion of the CfGti1 Gene and Complementation Constructs
2.5. Pathogenicity Assays
2.6. RNA-Seq and qRT-PCR Validation
3. Results
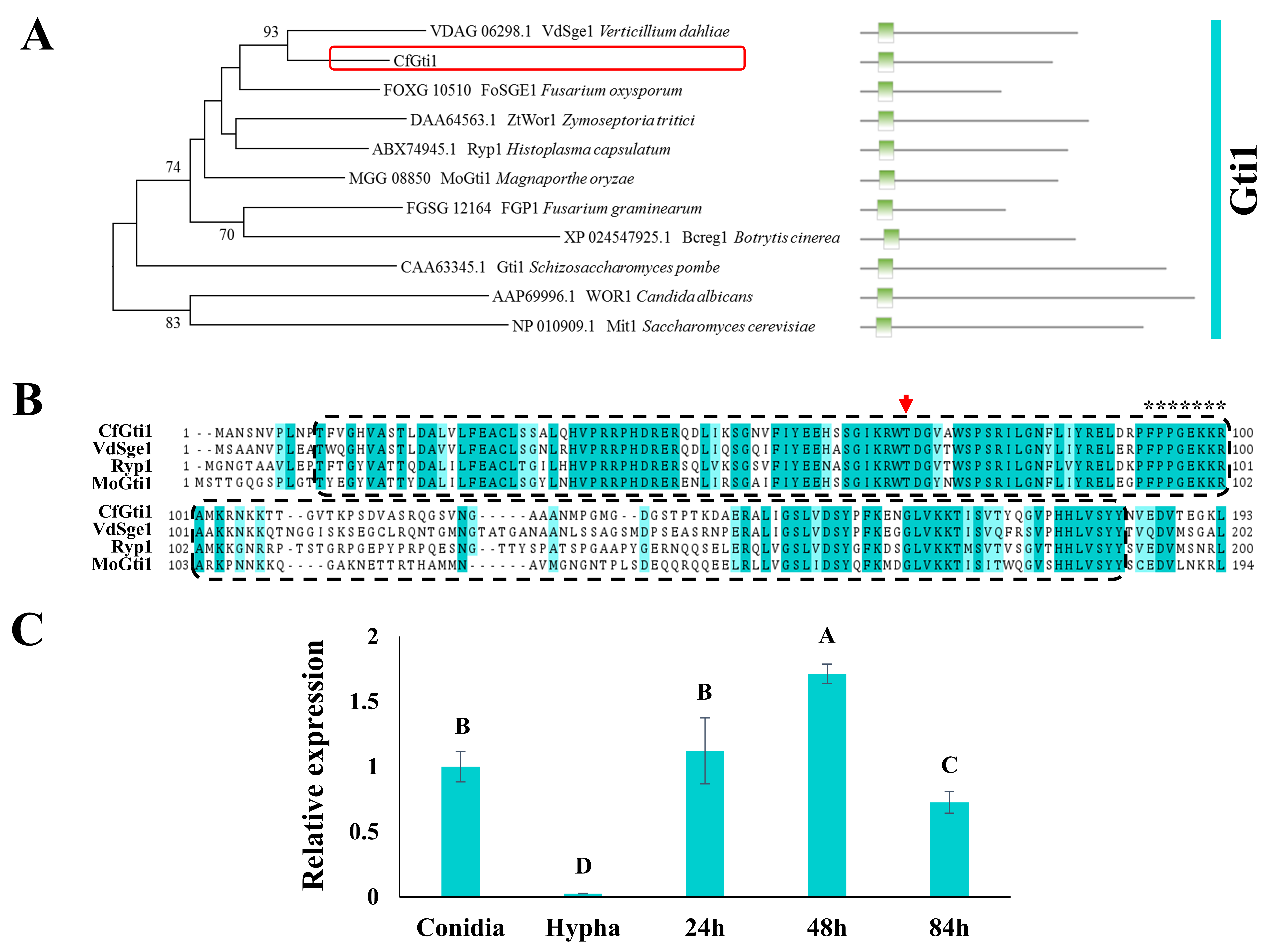
3.1. Identification and Expression of CfGti1
3.2. CfGti1 Is Required for Vegetative Growth, Cell Wall Integrity, and Abiotic Tolerance
3.3. CfGti1 Is Indispensable for Pathogenicity and Colonization of C. fructicola
3.4. CfGti1 Is Involved in Penetration and Hyphal Development After Penetration
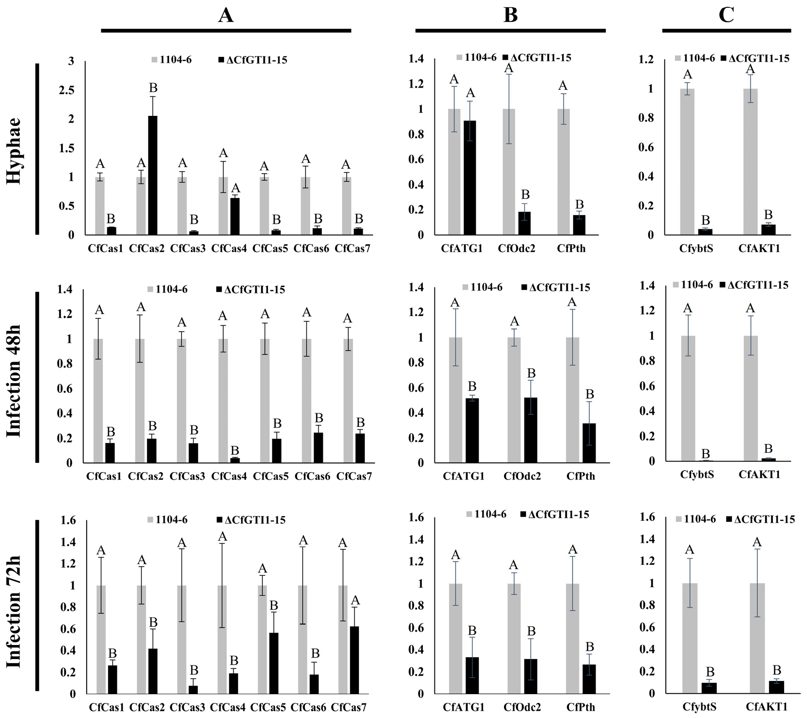
3.5. Comparative Transcriptome Analysis Revealed Genes Modulated by CfGti1
| Gene ID | Gene Name | Accession Number | Description | Leaf Infection | Hyphae | References | ||||
|---|---|---|---|---|---|---|---|---|---|---|
| FPKM (1104-6) | FPKM (ΔCfGti1-15) | Log2 (FC) | FPKM (1104-6) | FPKM (ΔCfGti1-15) | Log2 (FC) | |||||
| Cf15211 | CfCas1 | XP_031876572.1 | DUF3129 domain protein | 565.9 | 389.8 | −0.5 | 3.7 | 8.5 | 1.2 | [42,60] |
| Cf17702 | CfCas2 | XP_031887373.1 | 69.0 | 247.9 | 1.8 | 4.5 | 5.8 | 0.4 | ||
| Cf02102 | CfCas3 | XP_031881140.1 | 1186.6 | 634.8 | −0.9 | 0.0 | 0.2 | 0.0 | ||
| Cf08259 | CfCas4 | XP_031885643.1 | 174.1 | 21.8 | −3.0 | 38.6 | 38.5 | 0.0 | ||
| Cf04403 | CfCas5 | XP_031892225.1 | 378.8 | 0.0 | — | 2.7 | 4.2 | 0.6 | ||
| Cf09988 | CfCas6 | XP_031882861.1 | 44.0 | 0.0 | — | 3.1 | 4.9 | 0.6 | ||
| Cf16160 | CfCas7 | XP_031893297.1 | 116.3 | 206.8 | 0.8 | 53.1 | 18.1 | −1.6 | ||
| Cf02383 | CfAtg1 | XP_031886481.1 | Serine/Threonine protein kinase | 43.0 | 7.4 | −2.5 | 77.9 | 118.0 | 0.6 | [39] |
| Cf07707 | CfPth2 | XP_031885495.1 | Peroxisomal carnitine acetyl transferase | 86.2 | 0.0 | — | 36.7 | 33.3 | −0.1 | [40] |
| Cf05405 | CfOdc2 | XP_031881493.1 | Oxalate decarboxylase | 151.4 | 0.0 | — | 27.8 | 1.2 | −4.6 | [41] |
| Cf07568 | CfTpo1 | XP_031879473.1 | Major facilitator superfamily transporter | 64.6 | 28.5 | −1.2 | 142.7 | 7.0 | −4.3 | [43] |
| Cf08985 | CfNag4 | XP_031877042.1 | Major facilitator superfamily transporter | 217.9 | 87.4 | −1.3 | 187.6 | 12.7 | −3.9 | [44] |
| Cf15556 | CfTep1 | XP_031877149.1 | Tensin-like phosphatase | 565.2 | 268.7 | −1.1 | 224.2 | 28.7 | −3.0 | [45] |
| Cf09682 | CfPilB | XP_031882758.1 | Sphingolipid long chain base-responsive | 712.1 | 494.9 | −0.5 | 212.9 | 47.6 | −2.2 | [46] |
| Cf00781 | CfCtk1 | XP_031880716.1 | Ctd kinase | 115.4 | 10.3 | −3.5 | 32.4 | 45.9 | 0.5 | [47] |
| Cf16115 | CfPDK1 | XP_031876717.1 | Pyruvate dehydrogenase kinase | 294.0 | 0.0 | — | 89.6 | 76.1 | −0.2 | [48] |
| Cf07907 | CfZip007 | XP_031882559.1 | bZIP transcription factor | 215.7 | 0.0 | — | 140.3 | 164.7 | 0.2 | [49] |
| Cf10343 | CfFreB | XP_031884339.1 | Ferric reductase | 133.4 | 14.7 | −3.2 | 55.5 | 53.5 | −0.1 | [50] |
| Cf02031 | CfEC91 | XP_031881071.1 | Hypersensitive response-inducing protein | 341.2 | 0.0 | — | 15.9 | 3.5 | −2.2 | [52] |
| Cf07959 | CfVps29 | XP_031883282.1 | Vacuolar protein sorting-associated protein | 212.1 | 0.0 | — | 44.0 | 53.4 | 0.3 | [53] |
| Cf16857 | CfPelB | XP_031889329.1 | Pectate lyase | 148.7 | 0.0 | — | 67.3 | 268.6 | 2.0 | [54] |
| Cf16072 | CfMet13 | XP_031885300.1 | Methylenetetrahydrofolate reductase | 117.1 | 0.0 | — | 52.1 | 71.4 | 0.5 | [55] |
| Cf00854 | CfKtr4 | XP_031887124.1 | α-1,2-mannosyltransferase | 116.9 | 0.0 | — | 84.0 | 86.0 | 0.0 | [56] |
| Cf09590 | CfPEX4 | XP_031888472.1 | Ubiquitin-conjugating enzyme | 106.7 | 0.0 | — | 76.0 | 98.4 | 0.4 | [57] |
| Cf00756 | CfGzOB047 | XP_031891276.1 | Exosome component exosc1 csl4 | 94.4 | 0.0 | — | 18.5 | 15.8 | −0.2 | [49] |
| Cf11008 | CfRav2 | XP_031881664.1 | ROGDI domain contain protein | 90.4 | 0.0 | — | 19.4 | 18.7 | −0.1 | [58] |
| Cf00193 | CfATPase3 | XP_031888621.1 | Calcium-transporting ATPase 3 | 121.0 | 19.4 | −2.6 | 28.2 | 22.8 | −0.3 | [59] |
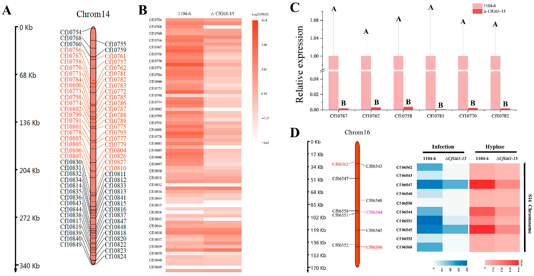
3.6. CfGti1 Modulates the Gene Expression Residing on Accessory Chromosomes of C. fructicola
3.7. CfGti1-GFP Localizes to the Nucleus
4. Discussion
5. Conclusions
Supplementary Materials
Author Contributions
Funding
Institutional Review Board Statement
Informed Consent Statement
Data Availability Statement
Conflicts of Interest
References
- Wang, B.; Li, B.H.; Dong, X.L.; Wang, C.X.; Zhang, Z.F. Effects of temperature, wetness duration, and moisture on the conidial germination, infection, and disease incubation period of Glomerella cingulata. Plant Dis. 2015, 99, 249–256. [Google Scholar] [CrossRef]
- Shang, S.P.; Liang, X.F.; Liu, G.L.; Zhang, S.; Lu, Z.X.; Zhang, R.; Gleason, M.L.; Sun, G.Y. Histological and ultrastructural characterization of the leaf infection events of Colletotrichum fructicola on Malus domestica ‘Gala’. Plant Pathol. 2020, 69, 538–548. [Google Scholar] [CrossRef]
- Yokosawa, S.; Eguchi, N.; Kondo, K.; Sato, T. Phylogenetic relationship and fungicide sensitivity of members of the Colletotrichum gloeosporioides species complex from apple. J. Gen. Plant Pathol. 2017, 83, 291–298. [Google Scholar] [CrossRef]
- Casanova, L.; Hernandez, L.; Martinez, E.; Velho, A.C.; Rockenbach, M.F.; Stadnik, M.J.; Alaniz, S.; Mondino, P. First report of Glomerella leaf spot of apple caused by Colletotrichum fructicola in Uruguay. Plant Dis. 2017, 101, 834. [Google Scholar] [CrossRef]
- Wang, C.X.; Zhang, Z.F.; Li, B.H.; Wang, H.Y.; Dong, X.L. First report of Glomerella leaf spot of apple caused by Glomerella cingulata in China. Plant Dis. 2012, 96, 912–913. [Google Scholar] [CrossRef]
- Wang, N.; Xu, J.; Zhao, X.; Wang, M.; Zhuang, J. First report of Glomerella leaf spot of apple caused by Colletotrichum asianum. Plant Dis. 2020, 104, 2734. [Google Scholar] [CrossRef]
- Velho, A.C.; Stadnik, M.J.; Wallhead, M. Unraveling Colletotrichum species associated with Glomerella leaf spot of apple. Trop. Plant Pathol. 2019, 44, 197–204. [Google Scholar] [CrossRef]
- Velho, A.C.; Alaniz, S.; Casanova, L.; Mondino, P.; Stadnik, M.J. New insights into the characterization of Colletotrichum species associated with apple diseases in southern Brazil and Uruguay. Fungal Biol. 2015, 119, 229–244. [Google Scholar] [CrossRef]
- Wang, W.; Fu, D.D.; Zhang, R.; Sun, G.Y. Etiology of apple leaf spot caused by Colletotrichum spp. Mycosystema 2015, 34, 13–25. [Google Scholar] [CrossRef]
- Gonzalez, E.; Sutton, T.B.; Correll, J.C. Clarification of the etiology of Glomerella leaf spot and bitter rot of apple caused by Colletotrichum spp. based on morphology and genetic, molecular, and pathogenicity tests. Phytopathology 2006, 96, 982–992. [Google Scholar] [CrossRef]
- Du, X.L.; Hu, T.L.; Liu, Y.J.; Wang, Y.N.; Wang, S.T.; Cao, K.Q. First report of Glomerella cingulata causing Glomerella leaf spot on pear in Hebei, China. Plant Dis. 2015, 99, 553–554. [Google Scholar] [CrossRef]
- Velho, A.C.; Stadnik, M.J.; Casanova, L.; Mondino, P.; Alaniz, S. First report of Colletotrichum karstii causing Glomerella leaf spot on apple in Santa Catarina state, Brazil. Plant Dis. 2014, 98, 157–158. [Google Scholar] [CrossRef]
- Zhang, Z.; Yan, M.; Li, W.; Guo, Y.; Liang, X. First report of Colletotrichum aenigma causing apple Glomerella leaf spot on the Granny Smith cultivar in China. Plant Dis. 2021, 105, 1563. [Google Scholar] [CrossRef]
- Liang, X.F.; Shang, S.P.; Dong, Q.Y.; Wang, B.; Zhang, R.; Gleason, M.L.; Sun, G.Y. Transcriptomic analysis reveals candidate genes regulating development and host interactions of Colletotrichum fructicola. BMC Genom. 2018, 19, 557. [Google Scholar] [CrossRef] [PubMed]
- Guo, J.; Zhou, X.; Xie, F.; Cao, J.; Liu, S.; Zhong, J.; Zhu, H. Hypovirulence caused by mycovirus in Colletotrichum fructicola. Front. Plant Sci. 2022, 13, 1038781. [Google Scholar] [CrossRef]
- Huang, L.; Sheng, J.; Song, W.; Zheng, D.; Song, S.; Xu, X.; Yu, J.; Liu, Q.; Liu, Y.; Tang, W. First report of leaf spot caused by Colletotrichum fructicola on Kiwifruit in China. Plant Dis. 2022, 106, 2760. [Google Scholar] [CrossRef]
- Tang, Z.; Lou, J.; He, L.; Wang, Q.; Chen, L.; Zhong, X.; Wu, C.; Zhang, L.; Wang, Z.Q. First report of Colletotrichum fructicola causing anthracnose on cherry (Prunus avium) in China. Plant Dis. 2022, 106, 317. [Google Scholar] [CrossRef]
- Health, E.P.o.P.; Bragard, C.; Dehnen-Schmutz, K.; Di Serio, F.; Gonthier, P.; Jacques, M.A.; Jaques Miret, J.A.; Justesen, A.F.; MacLeod, A.; Magnusson, C.S.; et al. Pest categorisation of Colletotrichum fructicola. EFSA J. 2021, 19, e06803. [Google Scholar] [CrossRef] [PubMed]
- O’Connell, R.J.; Thon, M.R.; Hacquard, S.; Amyotte, S.G.; Kleemann, J.; Torres, M.F.; Damm, U.; Buiate, E.A.; Epstein, L.; Alkan, N.; et al. Lifestyle transitions in plant pathogenic Colletotrichum fungi deciphered by genome and transcriptome analyses. Nat. Genet. 2012, 44, 1060–1065. [Google Scholar] [CrossRef]
- Gan, P.; Ikeda, K.; Irieda, H.; Narusaka, M.; O’Connell, R.J.; Narusaka, Y.; Takano, Y.; Kubo, Y.; Shirasu, K. Comparative genomic and transcriptomic analyses reveal the hemibiotrophic stage shift of Colletotrichum fungi. New Phytol. 2013, 197, 1236–1249. [Google Scholar] [CrossRef]
- Giraldo, M.C.; Dagdas, Y.F.; Gupta, Y.K.; Mentlak, T.A.; Yi, M.; Martinez-Rocha, A.L.; Saitoh, H.; Terauchi, R.; Talbot, N.J.; Valent, B. Two distinct secretion systems facilitate tissue invasion by the rice blast fungus Magnaporthe oryzae. Nat. Commun. 2013, 4, 1996. [Google Scholar] [CrossRef]
- Liang, X.; Wei, T.; Cao, M.; Zhang, X.; Liu, W.; Kong, Y.; Zhang, R.; Sun, G. The MAP kinase CfPMK1 is a key regulator of pathogenesis, development, and stress tolerance of Colletotrichum fructicola. Front. Microbiol. 2019, 10, 1070. [Google Scholar] [CrossRef]
- Cao, M.; Zhang, Z.; Tian, H.; Yu, W.; Zhao, X.; Yang, W.; Zhang, R.; Sun, G.; Liang, X. The histone deacetylase Cfhos2 is a key epigenetic factor regulating appressorium development and pathogenesis in apple Glomerella leaf spot fungus Colletotrichum fructicola. Phytopathol. Res. 2022, 4, 39. [Google Scholar] [CrossRef]
- Liu, W.K.; Liang, X.F.; Gleason, M.L.; Cao, M.Y.; Zhang, R.; Sun, G.Y. Transcription factor CfSte12 of Colletotrichum fructicola is a key regulator of early apple Glomerella leaf spot pathogenesis. Appl. Environ. Microb. 2021, 87, e02212-20. [Google Scholar] [CrossRef] [PubMed]
- Liu, W.K.; Han, L.; Chen, J.Z.; Liang, X.F.; Wang, B.; Gleason, M.L.; Zhang, R.; Sun, G.Y. The CfMcm1 regulates pathogenicity, conidium germination, and sexual development in Colletotrichum fructicola. Phytopathology 2022, 112, 2159–2173. [Google Scholar] [CrossRef]
- Zhou, Z.S.; Wu, J.Y.; Wang, M.Y.; Zhang, J.X. ABC protein CgABCF2 is required for asexual and sexual development, appressorial formation and plant infection in Colletotrichum gloeosporioides. Microb. Pathog. 2017, 110, 85–92. [Google Scholar] [CrossRef]
- Mushtaq, A.; Tariq, M.; Ahmed, M.; Zhou, Z.; Ali, I.; Mahmood, R.T. Carbamoyl phosphate synthase subunit CgCPS1 is necessary for virulence and to regulate stress tolerance in Colletotrichum gloeosporioides. Plant Pathol. J. 2021, 37, 414. [Google Scholar] [CrossRef] [PubMed]
- Wang, M.; Ji, Z.; Yan, H.; Xu, J.; Zhao, X.; Zhou, Z. Effector Sntf2 interacted with chloroplast-related protein Mdycf39 promoting the colonization of Colletotrichum gloeosporioides in apple leaf. Int. J. Mol. Sci. 2022, 23, 6379. [Google Scholar] [CrossRef] [PubMed]
- Li, X.Y.; Zhang, S.P.; He, L. Retromer subunit, CfVps35 is required for growth development and pathogenicity of Colletotrichum fructicola. BMC Genom. Data 2022, 23, 68. [Google Scholar] [CrossRef]
- Li, S.; Li, X.; Li, H. The Retromer subunit CfVps29 is involved in the growth, development, and pathogenicity of Colletotrichum fructicola. J. Fungi 2022, 8, 835. [Google Scholar] [CrossRef]
- Zhang, S.; Guo, Y.; Li, S.; Li, H. Histone acetyltransferase CfGcn5-mediated autophagy governs the pathogenicity of Colletotrichum fructicola. mBio 2022, 13, e0195622. [Google Scholar] [CrossRef] [PubMed]
- Zhang, S.; Guo, Y.; Chen, S.; Li, H. The histone acetyltransferase CfGcn5 regulates growth, development, and pathogenicity in the anthracnose fungus Colletotrichum fructicola on the Tea-Oil Tree. Front. Microbiol. 2021, 12, 680415. [Google Scholar] [CrossRef]
- Guo, Y.; Chen, Z.; Li, H.; Zhang, S. The CfSnt2-dependent deacetylation of histone H3 mediates autophagy and pathogenicity of Colletotrichum fructicola. J. Fungi 2022, 8, 974. [Google Scholar] [CrossRef]
- Li, S.; Zhang, S.; Li, B.; Li, H. The SNARE protein CfVam7 is required for growth, endoplasmic reticulum stress response, and pathogenicity of Colletotrichum fructicola. Front. Microbiol. 2021, 12, 736066. [Google Scholar] [CrossRef]
- Yao, Q.; Guo, Y.; Wei, F.Y.; Li, S.Z.; Zhang, S.P.; Li, H. The bZIP transcription factor CfHac1 is involved in regulating the growth, development and pathogenicity of Colletotrichum fructicola. Mycosystema 2019, 38, 1643–1652. [Google Scholar] [CrossRef]
- Goswami, R.S. Targeted gene replacement in fungi using a split-marker approach. Methods Mol. Biol. 2012, 835, 255–269. [Google Scholar] [CrossRef]
- Kim, D.; Pertea, G.; Trapnell, C.; Pimentel, H.; Kelley, R.; Salzberg, S.L. TopHat2: Accurate alignment of transcriptomes in the presence of insertions, deletions and gene fusions. Genome Biol. 2013, 14, R36. [Google Scholar] [CrossRef]
- Chen, Y.; Zhai, S.; Zhang, H.F.; Zuo, R.F.; Wang, J.M.; Guo, M.; Zheng, X.B.; Wang, P.; Zhang, Z.G. Shared and distinct functions of two Gti1/Pac2 family proteins in growth, morphogenesis and pathogenicity of Magnaporthe oryzae. Environ. Microbiol. 2014, 16, 788–801. [Google Scholar] [CrossRef]
- Liu, X.H.; Lu, J.P.; Zhang, L.; Dong, B.; Min, H.; Lin, F.C. Involvement of a Magnaporthe grisea serine/threonine kinase gene, MgATG1, in appressorium turgor and pathogenesis. Eukaryot. Cell 2007, 6, 997–1005. [Google Scholar] [CrossRef] [PubMed]
- Bhambra, G.K.; Wang, Z.Y.; Soanes, D.M.; Wakley, G.E.; Talbot, N.J. Peroxisomal carnitine acetyl transferase is required for elaboration of penetration hyphae during plant infection by Magnaporthe grisea. Mol. Microbiol. 2006, 61, 46–60. [Google Scholar] [CrossRef] [PubMed]
- Liang, X.; Moomaw, E.W.; Rollins, J.A. Fungal oxalate decarboxylase activity contributes to Sclerotinia sclerotiorum early infection by affecting both compound appressoria development and function. Mol. Plant Pathol. 2015, 16, 825–836. [Google Scholar] [CrossRef]
- Huang, W.; Hong, S.; Tang, G.; Lu, Y.; Wang, C. Unveiling the function and regulation control of the DUF3129 family proteins in fungal infection of hosts. Philos. Trans. R. Soc. Lond. Ser. B Biol. Sci. 2019, 374, 20180321. [Google Scholar] [CrossRef] [PubMed]
- Santos, R.; Costa, C.; Mil-Homens, D.; Romao, D.; de Carvalho, C.C.; Pais, P.; Mira, N.P.; Fialho, A.M.; Teixeira, M.C. The multidrug resistance transporters CgTpo1_1 and CgTpo1_2 play a role in virulence and biofilm formation in the human pathogen Candida glabrata. Cell. Microbiol. 2017, 19, e12686. [Google Scholar] [CrossRef] [PubMed]
- Yamada-Okabe, T.; Yamada-Okabe, H. Characterization of the CaNAG3, CaNAG4, and CaNAG6 genes of the pathogenic fungus Candida albicans: Possible involvement of these genes in the susceptibilities of cytotoxic agents. FEMS Microbiol. Lett. 2002, 212, 15–21. [Google Scholar] [CrossRef] [PubMed]
- Zhang, D.J.; Fan, F.Y.; Yang, J.R.; Wang, X.L.; Qiu, D.W.; Jiang, L.H. FgTep1p is linked to the phosphatidylinositol-3 kinase signalling pathway and plays a role in the virulence of Fusarium graminearum on wheat. Mol. Plant Pathol. 2010, 11, 495–502. [Google Scholar] [CrossRef]
- Zhang, L.B.; Tang, L.; Ying, S.H.; Feng, M.G. Two eisosome proteins play opposite roles in autophagic control and sustain cell integrity, function and pathogenicity in Beauveria bassiana. Environ. Microbiol. 2017, 19, 2037–2052. [Google Scholar] [CrossRef]
- Wang, C.; Zhang, S.; Hou, R.; Zhao, Z.; Zheng, Q.; Xu, Q.; Zheng, D.; Wang, G.; Liu, H.; Gao, X.; et al. Functional analysis of the kinome of the wheat scab fungus Fusarium graminearum. PLoS Pathog. 2011, 7, e1002460. [Google Scholar] [CrossRef]
- Gao, T.; Chen, J.; Shi, Z. Fusarium graminearum pyruvate dehydrogenase kinase 1 (FgPDK1) is critical for conidiation, mycelium growth, and pathogenicity. PLoS ONE 2016, 11, e0158077. [Google Scholar] [CrossRef]
- Son, H.; Seo, Y.S.; Min, K.; Park, A.R.; Lee, J.; Jin, J.M.; Lin, Y.; Cao, P.; Hong, S.Y.; Kim, E.K.; et al. A phenome-based functional analysis of transcription factors in the cereal head blight fungus, Fusarium graminearum. PLoS Pathog. 2011, 7, e1002310. [Google Scholar] [CrossRef]
- Rehman, L.; Su, X.; Li, X.; Qi, X.; Guo, H.; Cheng, H. FreB is involved in the ferric metabolism and multiple pathogenicity-related traits of Verticillium dahliae. Curr. Genet. 2018, 64, 645–659. [Google Scholar] [CrossRef]
- Mentlak, T.A.; Kombrink, A.; Shinya, T.; Ryder, L.S.; Otomo, I.; Saitoh, H.; Terauchi, R.; Nishizawa, Y.; Shibuya, N.; Thomma, B.P.; et al. Effector-mediated suppression of chitin-triggered immunity by Magnaporthe oryzae is necessary for rice blast disease. Plant Cell 2012, 24, 322–335. [Google Scholar] [CrossRef] [PubMed]
- Kleemann, J.; Rincon-Rivera, L.J.; Takahara, H.; Neumann, U.; Ver Loren van Themaat, E.; van der Does, H.C.; Hacquard, S.; Stuber, K.; Will, I.; Schmalenbach, W.; et al. Sequential delivery of host-induced virulence effectors by appressoria and intracellular hyphae of the phytopathogen Colletotrichum higginsianum. PLoS Pathog. 2012, 8, e1002643. [Google Scholar] [CrossRef]
- Zheng, W.; Zheng, H.; Zhao, X.; Zhang, Y.; Xie, Q.; Lin, X.; Chen, A.; Yu, W.; Lu, G.; Shim, W.B.; et al. Retrograde trafficking from the endosome to the trans-Golgi network mediated by the retromer is required for fungal development and pathogenicity in Fusarium graminearum. New Phytol. 2016, 210, 1327–1343. [Google Scholar] [CrossRef]
- Yakoby, N.; Beno-Moualem, D.; Keen, N.T.; Dinoor, A.; Pines, O.; Prusky, D. Colletotrichum gloeosporioides pelB is an important virulence factor in avocado fruit-fungus interaction. Mol. Plant-Microbe Interact. 2001, 14, 988–995. [Google Scholar] [CrossRef]
- Yan, X.; Que, Y.; Wang, H.; Wang, C.; Li, Y.; Yue, X.; Ma, Z.; Talbot, N.J.; Wang, Z. The MET13 methylenetetrahydrofolate reductase gene is essential for infection-related morphogenesis in the rice blast fungus Magnaporthe oryzae. PLoS ONE 2013, 8, e76914. [Google Scholar] [CrossRef]
- Wang, J.J.; Qiu, L.; Cai, Q.; Ying, S.H.; Feng, M.G. Three alpha-1,2-mannosyltransferases contribute differentially to conidiation, cell wall integrity, multistress tolerance and virulence of Beauveria bassiana. Fungal Genet. Biol. 2014, 70, 1–10. [Google Scholar] [CrossRef]
- Zhang, L.; Wang, L.; Liang, Y.; Yu, J. FgPEX4 is involved in development, pathogenicity, and cell wall integrity in Fusarium graminearum. Curr. Genet. 2019, 65, 747–758. [Google Scholar] [CrossRef]
- Spanu, F.; Scherm, B.; Camboni, I.; Balmas, V.; Pani, G.; Oufensou, S.; Macciotta, N.; Pasquali, M.; Migheli, Q. FcRav2, a gene with a ROGDI domain involved in Fusarium head blight and crown rot on durum wheat caused by Fusarium culmorum. Mol. Plant Pathol. 2018, 19, 677–688. [Google Scholar] [CrossRef]
- Nguyen, Q.B.; Kadotani, N.; Kasahara, S.; Tosa, Y.; Mayama, S.; Nakayashiki, H. Systematic functional analysis of calcium-signalling proteins in the genome of the rice-blast fungus, Magnaporthe oryzae, using a high-throughput RNA-silencing system. Mol. Microbiol. 2008, 68, 1348–1365. [Google Scholar] [CrossRef] [PubMed]
- Xue, C.; Park, G.; Choi, W.; Zheng, L.; Dean, R.A.; Xu, J.R. Two novel fungal virulence genes specifically expressed in appressoria of the rice blast fungus. Plant Cell 2002, 14, 2107–2119. [Google Scholar] [CrossRef] [PubMed]
- Zhang, Y.; Ma, L.J. Deciphering pathogenicity of Fusarium oxysporum from a phylogenomics perspective. Adv. Genet. 2017, 100, 179–209. [Google Scholar] [CrossRef]
- Hu, J.; Chen, C.; Peever, T.; Dang, H.; Lawrence, C.; Mitchell, T. Genomic characterization of the conditionally dispensable chromosome in Alternaria arborescens provides evidence for horizontal gene transfer. BMC Genom. 2012, 13, 171. [Google Scholar] [CrossRef]
- Liang, X.; Cao, M.; Li, S.; Kong, Y.; Rollins, J.A.; Zhang, R.; Sun, G. Highly contiguous genome resource of Colletotrichum fructicola generated using long-read sequencing. Mol. Plant-Microbe Interact. 2020, 33, 790–793. [Google Scholar] [CrossRef]
- Lawlor, M.S.; O’Connor, C.; Miller, V.L. Yersiniabactin is a virulence factor for Klebsiella pneumoniae during pulmonary infection. Infect. Immun. 2007, 75, 1463–1472. [Google Scholar] [CrossRef]
- Lu, X. The Roles of Salicylic Acid Metabolism of Metarhizium acridum in Plant Disease Resistance. Master’s Thesis, Chongqing University, Chongqing, China, 2020. [Google Scholar]
- Hatta, R.; Ito, K.; Hosaki, Y.; Tanaka, T.; Tanaka, A.; Yamamoto, M.; Akimitsu, K.; Tsuge, T. A conditionally dispensable chromosome controls host-specific pathogenicity in the fungal plant pathogen Alternaria alternata. Genetics 2002, 161, 59–70. [Google Scholar] [CrossRef] [PubMed]
- Tanaka, A.; Shiotani, H.; Yamamoto, M.; Tsuge, T. Insertional mutagenesis and cloning of the genes required for biosynthesis of the host-specific AK-toxin in the Japanese pear pathotype of Alternaria alternata. Mol. Plant-Microbe Interact. 1999, 12, 691–702. [Google Scholar] [CrossRef]
- Lachke, S.A.; Lockhart, S.R.; Daniels, K.J.; Soll, D.R. Skin facilitates Candida albicans mating. Infect. Immun. 2003, 71, 4970–4976. [Google Scholar] [CrossRef]
- Nguyen, V.Q.; Sil, A. Temperature-induced switch to the pathogenic yeast form of Histoplasma capsulatum requires Ryp1, a conserved transcriptional regulator. Proc. Natl. Acad. Sci. USA 2008, 105, 4880–4885. [Google Scholar] [CrossRef]
- Huang, G.; Wang, H.; Chou, S.; Nie, X.; Chen, J.; Liu, H. Bistable expression of WOR1, a master regulator of white-opaque switching in Candida albicans. Proc. Natl. Acad. Sci. USA 2006, 103, 12813–12818. [Google Scholar] [CrossRef] [PubMed]
- Brown, D.W.; Busman, M.; Proctor, R.H. Fusarium verticillioides SGE1 is required for full virulence and regulates expression of protein effector and secondary metabolite biosynthetic genes. Mol. Plant-Microbe Interact. 2014, 27, 809–823. [Google Scholar] [CrossRef] [PubMed]
- Jonkers, W.; Dong, Y.; Broz, K.; Kistler, H.C. The Wor1-like protein Fgp1 regulates pathogenicity, toxin synthesis and reproduction in the phytopathogenic fungus Fusarium graminearum. PLoS Pathog. 2012, 8, e1002724. [Google Scholar] [CrossRef]
- Mirzadi Gohari, A.; Mehrabi, R.; Robert, O.; Ince, I.A.; Boeren, S.; Schuster, M.; Steinberg, G.; de Wit, P.J.; Kema, G.H. Molecular characterization and functional analyses of ZtWor1, a transcriptional regulator of the fungal wheat pathogen Zymoseptoria tritici. Mol. Plant Pathol. 2014, 15, 394–405. [Google Scholar] [CrossRef] [PubMed]
- Okmen, B.; Collemare, J.; Griffiths, S.; van der Burgt, A.; Cox, R.; de Wit, P.J. Functional analysis of the conserved transcriptional regulator CfWor1 in Cladosporium fulvum reveals diverse roles in the virulence of plant pathogenic fungi. Mol. Microbiol. 2014, 92, 10–27. [Google Scholar] [CrossRef]
- Michielse, C.B.; van Wijk, R.; Reijnen, L.; Manders, E.M.; Boas, S.; Olivain, C.; Alabouvette, C.; Rep, M. The nuclear protein Sge1 of Fusarium oxysporum is required for parasitic growth. PLoS Pathog. 2009, 5, e1000637. [Google Scholar] [CrossRef] [PubMed]
- Michielse, C.B.; Becker, M.; Heller, J.; Moraga, J.; Collado, I.G.; Tudzynski, P. The Botrytis cinerea Reg1 protein, a putative transcriptional regulator, is required for pathogenicity, conidiogenesis, and the production of secondary metabolites. Mol. Plant-Microbe Interact. 2011, 24, 1074–1085. [Google Scholar] [CrossRef]
- Li, Y.; Wang, G.; Xu, J.R.; Jiang, C. Penetration peg formation and invasive hyphae development require stage-specific activation of MoGTI1 in Magnaporthe oryzae. Mol. Plant-Microbe Interact. 2016, 29, 36–45. [Google Scholar] [CrossRef]
- Santhanam, P.; Thomma, B.P. Verticillium dahliae Sge1 differentially regulates expression of candidate effector genes. Mol. Plant-Microbe Interact. 2013, 26, 249–256. [Google Scholar] [CrossRef]
- Witte, T.E.; Villeneuve, N.; Boddy, C.N.; Overy, D.P. Accessory chromosome-acquired secondary metabolism in plant pathogenic fungi: The evolution of biotrophs into host-specific pathogens. Front. Microbiol. 2021, 12, 664276. [Google Scholar] [CrossRef] [PubMed]
- Croll, D.; McDonald, B.A. The accessory genome as a cradle for adaptive evolution in pathogens. PLoS Pathog. 2012, 8, e1002608. [Google Scholar] [CrossRef]
- Ma, L.J.; van der Does, H.C.; Borkovich, K.A.; Coleman, J.J.; Daboussi, M.J.; Di Pietro, A.; Dufresne, M.; Freitag, M.; Grabherr, M.; Henrissat, B.; et al. Comparative genomics reveals mobile pathogenicity chromosomes in Fusarium. Nature 2010, 464, 367–373. [Google Scholar] [CrossRef] [PubMed]
- Li, J.M.; Fokkens, L.; Conneely, L.J.; Rep, M. Partial pathogenicity chromosomes in Fusarium oxysporum are sufficient to cause disease and can be horizontally transferred. Environ. Microbiol. 2020, 22, 4985–5004. [Google Scholar] [CrossRef] [PubMed]
- Fetherston, J.D.; Kirillina, O.; Bobrov, A.G.; Paulley, J.T.; Perry, R.D. The yersiniabactin transport system is critical for the pathogenesis of bubonic and pneumonic plague. Infect. Immun. 2010, 78, 2045–2052. [Google Scholar] [CrossRef] [PubMed]






Disclaimer/Publisher’s Note: The statements, opinions and data contained in all publications are solely those of the individual author(s) and contributor(s) and not of MDPI and/or the editor(s). MDPI and/or the editor(s) disclaim responsibility for any injury to people or property resulting from any ideas, methods, instructions or products referred to in the content. |
© 2026 by the authors. Licensee MDPI, Basel, Switzerland. This article is an open access article distributed under the terms and conditions of the Creative Commons Attribution (CC BY) license.
Share and Cite
Liu, W.; Zhang, W.; Shi, W.; Pan, Y.; Dai, P.; Yang, C.; Wang, Y.; Gleason, M.L.; Zhang, R.; Sun, G.; et al. Colletotrichum fructicola CfGti1 Transcriptionally Regulates Penetration, Colonization, and Pathogenicity on Apple. J. Fungi 2026, 12, 36. https://doi.org/10.3390/jof12010036
Liu W, Zhang W, Shi W, Pan Y, Dai P, Yang C, Wang Y, Gleason ML, Zhang R, Sun G, et al. Colletotrichum fructicola CfGti1 Transcriptionally Regulates Penetration, Colonization, and Pathogenicity on Apple. Journal of Fungi. 2026; 12(1):36. https://doi.org/10.3390/jof12010036
Chicago/Turabian StyleLiu, Wenkui, Wei Zhang, Wenxin Shi, Yecan Pan, Pengbo Dai, Chen Yang, Yanjie Wang, Mark L. Gleason, Rong Zhang, Guangyu Sun, and et al. 2026. "Colletotrichum fructicola CfGti1 Transcriptionally Regulates Penetration, Colonization, and Pathogenicity on Apple" Journal of Fungi 12, no. 1: 36. https://doi.org/10.3390/jof12010036
APA StyleLiu, W., Zhang, W., Shi, W., Pan, Y., Dai, P., Yang, C., Wang, Y., Gleason, M. L., Zhang, R., Sun, G., & Hao, B. (2026). Colletotrichum fructicola CfGti1 Transcriptionally Regulates Penetration, Colonization, and Pathogenicity on Apple. Journal of Fungi, 12(1), 36. https://doi.org/10.3390/jof12010036

