Molecular Study of Pneumocystis jirovecii in Respiratory Samples of HIV Patients in Chile
Abstract
1. Introduction
2. Materials and Methods
2.1. Studied Patients and Samples
2.2. Phenotypic Detection of P. jirovecii
2.3. Molecular Detection of P. jirovecii
2.4. Analysis of P. jirovecii Genotypes
2.5. Study of Mutations in the DHPS Gene
2.6. In Silico Analysis of Dihydropteroate Synthase Enzyme
2.7. Statistical Analysis
2.8. Ethical Aspects
3. Results
3.1. Patients Studied, Clinical and Demographic Information
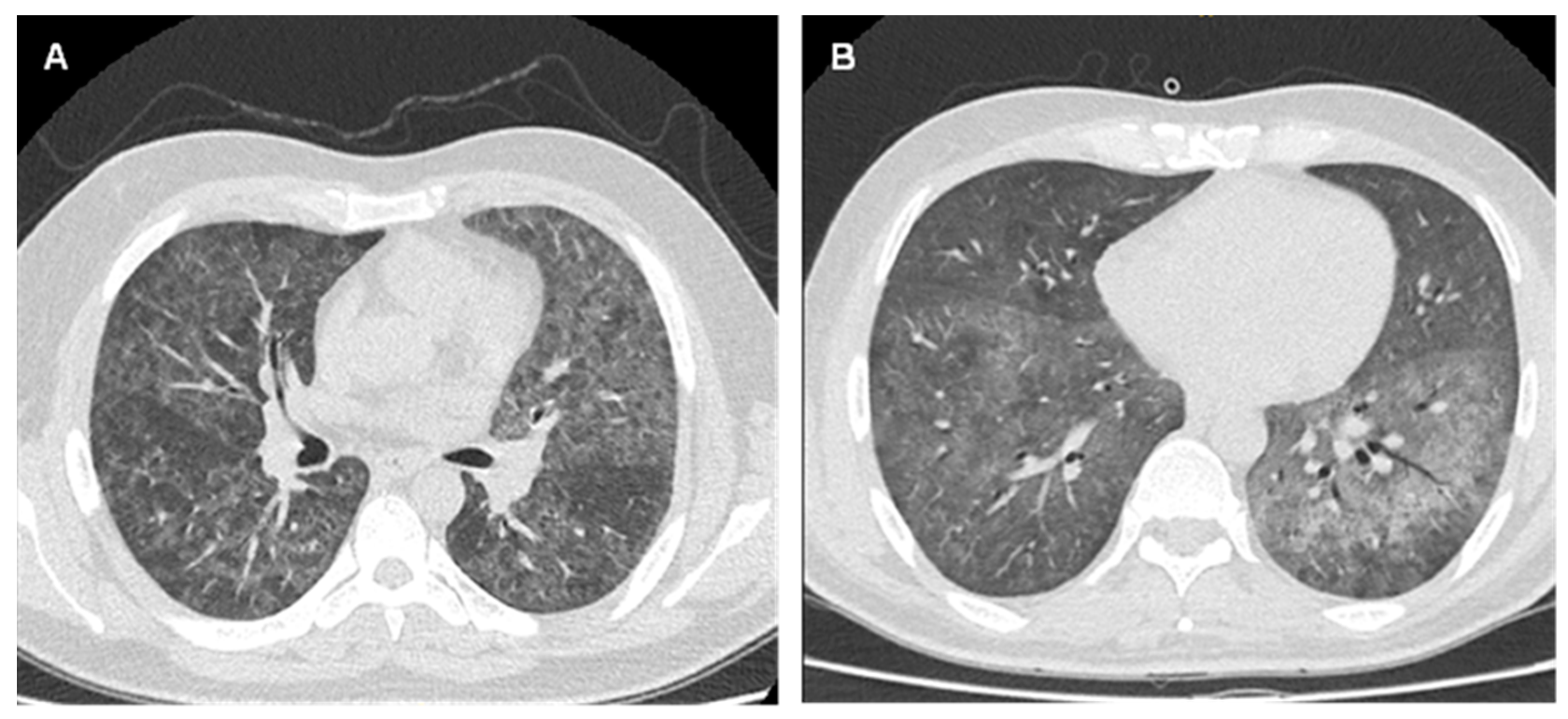
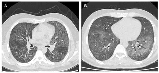
3.2. Characterization of Patients with Positive Detection of P. jirovecii in Respiratory Samples
3.3. P. jirovecii Genotypes Based on rRNA mtLSU
3.4. Study of Mutations in the DHPS Gene
3.5. In Silico Analysis Results
4. Discussion
5. Conclusions
Supplementary Materials
Author Contributions
Funding
Institutional Review Board Statement
Informed Consent Statement
Data Availability Statement
Acknowledgments
Conflicts of Interest
References
- Apostolopoulou, A.; Fishman, J.A. The Pathogenesis and Diagnosis of Pneumocystis jiroveci Pneumonia. J. Fungi 2022, 8, 1167. [Google Scholar] [CrossRef] [PubMed]
- Benito, N.; Moreno, A.; Miro, J.M.; Torres, A. Pulmonary infections in HIV-infected patients: An update in the 21st century. Eur. Respir. J. 2012, 39, 730–745. [Google Scholar] [CrossRef] [PubMed]
- Gingo, M.R.; Balasubramani, G.K.; Kingsley, L.; Rinaldo, C.R., Jr.; Alden, C.B.; Detels, R.; Greenblatt, R.M.; Hessol, N.A.; Holman, S.; Huang, L.; et al. The impact of HAART on the respiratory complications of HIV infection: Longitudinal trends in the MACS and WIHS cohorts. PLoS ONE 2013, 8, e58812. [Google Scholar] [CrossRef]
- Llibre, J.M.; Revollo, B.; Vanegas, S.; Lopez-Nuñez, J.J.; Ornelas, A.; Marin, J.M.; Santos, J.R.; Marte, P.; Morera, M.; Zuluaga, P.; et al. Pneumocystis jirovecii pneumonia in HIV-1-infected patients in the late-HAART era in developed countries. Scand. J. Infect. Dis. 2013, 45, 635–644. [Google Scholar] [CrossRef]
- Morris, A.; Lundgren, J.D.; Masur, H.; Walzer, P.D.; Hanson, D.L.; Frederick, T.; Huang, L.; Beard, C.B.; Kaplan, J.E. Current epidemiology of Pneumocystis pneumonia. Emerg. Infect. Dis. 2004, 10, 1713–1720. [Google Scholar] [CrossRef] [PubMed]
- Kaur, R.; Mehra, B.; Dhakad, M.S.; Goyal, R.; Bhalla, P.; Dewan, R. Fungal Opportunistic Pneumonias in HIV/AIDS Patients: An Indian Tertiary Care Experience. J. Clin. Diagn. Res. 2017, 11, DC14–DC19. [Google Scholar] [CrossRef] [PubMed]
- Cohen, O.J.; Stoeckle, M.Y. Extrapulmonary Pneumocystis carinii infections in the acquired immunodeficiency syndrome. Arch. Intern. Med. 1991, 151, 1205–1214. [Google Scholar] [CrossRef] [PubMed]
- Karam, M.B.; Mosadegh, L. Extra-pulmonary Pneumocystis jiroveci infection: A case report. Braz. J. Infect. Dis. 2014, 18, 681–685. [Google Scholar] [CrossRef]
- Tancharoen, L.; Muangsomboon, S.; Sarasombath, P.T.; Angkasekwinai, N. Extrapulmonary Pneumocystis jirovecii infection in an advanced HIV-infected patient: A case report and literature review. BMC Infect. Dis. 2023, 23, 185. [Google Scholar] [CrossRef]
- Bongomin, F.; Gago, S.; Oladele, R.O.; Denning, D.W. Global and Multi-National Prevalence of Fungal Diseases-Estimate Precision. J. Fungi 2017, 3, 57. [Google Scholar] [CrossRef]
- Li, M.C.; Lee, N.Y.; Lee, C.C.; Lee, H.C.; Chang, C.M.; Ko, W.C. Pneumocystis jiroveci pneumonia in immunocompromised patients: Delayed diagnosis and poor outcomes in non-HIV-infected individuals. J. Microbiol. Immunol. Infect. 2014, 47, 42–47. [Google Scholar] [CrossRef] [PubMed]
- Roux, A.; Canet, E.; Valade, S.; Gangneux-Robert, F.; Hamane, S.; Lafabrie, A.; Maubon, D.; Debourgogne, A.; Le Gal, S.; Dalle, F.; et al. Pneumocystis jirovecii pneumonia in patients with or without AIDS, France. Emerg. Infect. Dis. 2014, 20, 1490–1497. [Google Scholar] [CrossRef] [PubMed]
- Salzer, H.J.F.; Schäfer, G.; Hoenigl, M.; Günther, G.; Hoffmann, C.; Kalsdorf, B.; Alanio, A.; Lange, C. Clinical, Diagnostic, and Treatment Disparities between HIV-Infected and Non-HIV-Infected Immunocompromised Patients with Pneumocystis jirovecii Pneumonia. Respiration 2018, 96, 52–65. [Google Scholar] [CrossRef] [PubMed]
- Lee, Y.T.; Chuang, M.L. Pneumocystis jirovecii pneumonia in AIDS and non-AIDS immunocompromised patients—An update. J. Infect. Dev. Ctries 2018, 12, 824–834. [Google Scholar] [CrossRef]
- Alshahrani, M.Y.; Alfaifi, M.; Ahmad, I.; Alkhathami, A.G.; Hakami, A.R.; Ahmad, H.; Alshehri, O.M.; Dhakad, M.S. Pneumocystis Jirovecii detection and comparison of multiple diagnostic methods with quantitative real-time PCR in patients with respiratory symptoms. Saudi J. Biol. Sci. 2020, 27, 1423–1427. [Google Scholar] [CrossRef]
- Matouri, R.; Aboutalebian, S.; Nasri, E.; Sadeghi, S.; Rostami, S.; Fakhim, H.; Ghafel, S.; Hosseini, M.; Mousavi, S.; Rouhi, F.; et al. Molecular and microscopy detection of Pneumocystis jirovecii in hospitalized patients during the COVID-19 pandemic. Front. Med. 2023, 10, 1148320. [Google Scholar] [CrossRef]
- Beard, C.B.; Roux, P.; Nevez, G.; Hauser, P.M.; Kovacs, J.A.; Unnasch, T.R.; Lundgren, B. Strain typing methods and molecular epidemiology of Pneumocystis pneumonia. Emerg. Infect. Dis. 2004, 10, 1729–1735. [Google Scholar] [CrossRef]
- Hughes, W.T.; Feldman, S.; Sanyal, S.K. Treatment of Pneumocystis carinii pneumonitis with trimethoprim-sulfamethoxazole. Can. Med. Assoc. J. 1975, 112, 47–50. [Google Scholar]
- Huang, L.; Morris, A.; Limper, A.H.; Beck, J.M. An Official ATS Workshop Summary: Recent advances and future directions in pneumocystis pneumonia (PCP). Proc. Am. Thorac. Soc. 2006, 3, 655–664. [Google Scholar] [CrossRef]
- Takahashi, T.; Hosoya, N.; Endo, T.; Nakamura, T.; Sakashita, H.; Kimura, K.; Ohnishi, K.; Nakamura, Y.; Iwamoto, A. Relationship between mutations in dihydropteroate synthase of Pneumocystis carinii f. sp. hominis isolates in Japan and resistance to sulfonamide therapy. J. Clin. Microbiol. 2000, 38, 3161–3164. [Google Scholar] [CrossRef]
- Lee, S.M.; Cho, Y.K.; Sung, Y.M.; Chung, D.H.; Jeong, S.H.; Park, J.W.; Lee, S.P. A Case of Pneumonia Caused by Pneumocystis jirovecii Resistant to Trimethoprim-Sulfamethoxazole. Korean J. Parasitol. 2015, 53, 321–327. [Google Scholar] [CrossRef] [PubMed]
- Hughes, W.T.; McNabb, P.C.; Makres, T.D.; Feldman, S. Efficacy of trimethoprim and sulfamethoxazole in the prevention and treatment of Pneumocystis carinii pneumonitis. Antimicrob. Agents Chemother. 1974, 5, 289–293. [Google Scholar] [CrossRef] [PubMed]
- Volpe, F.; Dyer, M.; Scaife, J.G.; Darby, G.; Stammers, D.K.; Delves, C.J. The multifunctional folic acid synthesis fas gene of Pneumocystis carinii appears to encode dihydropteroate synthase and hydroxymethyldihydropterin pyrophosphokinase. Gene 1992, 112, 213–218. [Google Scholar] [CrossRef] [PubMed]
- Mirdha, B.R. Dihydropteroate Synthase (DHPS) Gene Mutations in Human Pneumocystosis. J. AIDS HIV Threat. 2021, 3, 17–20. [Google Scholar]
- Tyagi, A.K.; Mirdha, B.R.; Guleria, R.; Mohan, A.; Luthra, K.; Singh, U.B. Study of dihydropteroate synthase (DHPS) gene mutations among isolates of Pneumocystis jiroveci. Indian J. Med. Res. 2008, 128, 734–739. [Google Scholar]
- de la Horra, C.; Friaza, V.; Morilla, R.; Delgado, J.; Medrano, F.J.; Miller, R.F.; de Armas, Y.; Calderón, E.J. Update on Dihydropteroate Synthase (DHPS) Mutations in Pneumocystis jirovecii. J. Fungi 2021, 7, 856. [Google Scholar] [CrossRef]
- Singh, Y.; Mirdha, B.R.; Guleria, R.; Kabra, S.K.; Mohan, A.; Chaudhry, R.; Kumar, L.; Dwivedi, S.N.; Agarwal, S.K. Genetic polymorphisms associated with treatment failure and mortality in pediatric Pneumocystosis. Sci. Rep. 2019, 9, 1192. [Google Scholar] [CrossRef]
- Singh, Y.; Mirdha, B.R.; Guleria, R.; Kabra, S.K.; Mohan, A.; Chaudhry, R.; Kumar, L.; Nand Dwivedi, S.; Agarwal, S.K. Novel dihydropteroate synthase gene mutation in Pneumocystis jirovecii among HIV-infected patients in India: Putative association with drug resistance and mortality. J. Glob. Antimicrob. Resist. 2019, 17, 236–239. [Google Scholar] [CrossRef]
- Ma, L.; Borio, L.; Masur, H.; Kovacs, J.A. Pneumocystis carinii dihydropteroate synthase but not dihydrofolate reductase gene mutations correlate with prior trimethoprim-sulfamethoxazole or dapsone use. J. Infect. Dis. 1999, 180, 1969–1978. [Google Scholar] [CrossRef]
- Iliades, P.; Meshnick, S.R.; Macreadie, I.G. Mutations in the Pneumocystis jirovecii DHPS gene confer cross-resistance to sulfa drugs. Antimicrob. Agents Chemother. 2005, 49, 741–748. [Google Scholar] [CrossRef]
- Deng, X.; Zhuo, L.; Lan, Y.; Dai, Z.; Chen, W.S.; Cai, W.; Kovacs, J.A.; Ma, L.; Tang, X. Mutational analysis of Pneumocystis jirovecii dihydropteroate synthase and dihydrofolate reductase genes in HIV-infected patients in China. J. Clin. Microbiol. 2014, 52, 4017–4019. [Google Scholar] [CrossRef] [PubMed]
- Ponce, C.A.; Chabé, M.; George, C.; Cárdenas, A.; Durán, L.; Guerrero, J.; Bustamante, R.; Matos, O.; Huang, L.; Miller, R.F.; et al. High Prevalence of Pneumocystis jirovecii Dihydropteroate Synthase Gene Mutations in Patients with a First Episode of Pneumocystis Pneumonia in Santiago, Chile, and Clinical Response to Trimethoprim-Sulfamethoxazole Therapy. Antimicrob. Agents Chemother. 2017, 61, e01290-16. [Google Scholar] [CrossRef] [PubMed]
- Pasic, L.; Goterris, L.; Guerrero-Murillo, M.; Irinyi, L.; Kan, A.; Ponce, C.A.; Vargas, S.L.; Martin-Gomez, M.T.; Meyer, W. Consensus Multilocus Sequence Typing Scheme for Pneumocystis jirovecii. J. Fungi 2020, 6, 259. [Google Scholar] [CrossRef] [PubMed]
- Saiki, R.K.; Gelfand, D.H.; Stoffel, S.; Scharf, S.J.; Higuchi, R.; Horn, G.T.; Mullis, K.B.; Erlich, H.A. Primer-directed enzymatic amplification of DNA with a thermostable DNA polymerase. Science 1988, 239, 487–491. [Google Scholar] [CrossRef]
- Wakefield, A.E.; Pixley, F.J.; Banerji, S.; Sinclair, K.; Miller, R.F.; Moxon, E.R.; Hopkin, J.M. Detection of Pneumocystis carinii with DNA amplification. Lancet 1990, 336, 451–453. [Google Scholar] [CrossRef]
- Tamura, K.; Stecher, G.; Peterson, D.; Filipski, A.; Kumar, S. MEGA6: Molecular evolutionary genetics analysis version 6.0. Mol. Biol. Evol. 2013, 30, 2725–2729. [Google Scholar] [CrossRef]
- Thompson, J.D.; Higgins, D.G.; Gibson, T.J. CLUSTAL W: Improving the sensitivity of progressive multiple sequence alignment through sequence weighting, position-specific gap penalties and weight matrix choice. Nucleic Acids Res. 1994, 22, 4673–4680. [Google Scholar] [CrossRef]
- Edgar, R.C. MUSCLE: Multiple sequence alignment with high accuracy and high throughput. Nucleic Acids Res. 2004, 32, 1792–1797. [Google Scholar] [CrossRef]
- Esteves, F.; Montes-Cano, M.A.; de la Horra, C.; Costa, M.C.; Calderón, E.J.; Antunes, F.; Matos, O. Pneumocystis jirovecii multilocus genotyping profiles in patients from Portugal and Spain. Clin. Microbiol. Infect. 2008, 14, 356–362. [Google Scholar] [CrossRef]
- Montes-Cano, M.A.; de la Horra, C.; Martin-Juan, J.; Varela, J.M.; Torronteras, R.; Respaldiza, N.; Medrano, F.J.; Calderón, E.J. Pneumocystis jiroveci genotypes in the Spanish population. Clin. Infect. Dis. 2004, 39, 123–128. [Google Scholar] [CrossRef]
- Jumper, J.; Evans, R.; Pritzel, A.; Green, T.; Figurnov, M.; Ronneberger, O.; Tunyasuvunakool, K.; Bates, R.; Žídek, A.; Potapenko, A.; et al. Highly accurate protein structure prediction with AlphaFold. Nature 2021, 596, 583–589. [Google Scholar] [CrossRef] [PubMed]
- Mirdita, M.; Schütze, K.; Moriwaki, Y.; Heo, L.; Ovchinnikov, S.; Steinegger, M. ColabFold: Making protein folding accessible to all. Nat. Methods 2022, 19, 679–682. [Google Scholar] [CrossRef] [PubMed]
- Guex, N.; Peitsch, M.C.; Schwede, T. Automated comparative protein structure modeling with SWISS-MODEL and Swiss-PdbViewer: A historical perspective. Electrophoresis 2009, 30, 162–173. [Google Scholar] [CrossRef] [PubMed]
- Adasme, M.F.; Linnemann, K.L.; Bolz, S.N.; Kaiser, F.; Salentin, S.; Haupt, V.J.; Schroeder, M. PLIP 2021: Expanding the scope of the protein–ligand interaction profiler to DNA and RNA. Nucleic Acids Res. 2021, 49, W530–W534. [Google Scholar] [CrossRef]
- Kim, S.; Thiessen, P.A.; Bolton, E.E.; Chen, J.; Fu, G.; Gindulyte, A.; Han, L.; He, J.; He, S.; Shoemaker, B.A.; et al. PubChem substance and compound databases. Nucleic Acids Res. 2016, 44, D1202–D1213. [Google Scholar] [CrossRef] [PubMed]
- O’Boyle, N.M.; Banck, M.; James, C.A.; Morley, C.; Vandermeersch, T.; Hutchison, G.R. Open Babel: An open chemical toolbox. J. Cheminformatics 2011, 3, 33. [Google Scholar] [CrossRef]
- Halgren, T.A. Merck molecular force field. V. Extension of MMFF94 using experimental data, additional computational data, and empirical rules. J. Comput. Chem. 1996, 17, 616–641. [Google Scholar] [CrossRef]
- Eberhardt, J.; Santos-Martins, D.; Tillack, A.F.; Forli, S. AutoDock Vina 1.2.0: New Docking Methods, Expanded Force Field, and Python Bindings. J. Chem. Inf. Model. 2021, 61, 3891–3898. [Google Scholar] [CrossRef]
- Barry, M.; Mulcahy, F.; Back, D.J. Antiretroviral therapy for patients with HIV disease. Br. J. Clin. Pharmacol. 1998, 45, 221–228. [Google Scholar] [CrossRef]
- Fox, B.C.; Sollinger, H.W.; Belzer, F.O.; Maki, D.G. A prospective, randomized, double-blind study of trimethoprim-sulfamethoxazole for prophylaxis of infection in renal transplantation: Clinical efficacy, absorption of trimethoprim-sulfamethoxazole, effects on the microflora, and the cost-benefit of prophylaxis. Am. J. Med. 1990, 89, 255–274. [Google Scholar]
- Panizo, M.M.; Reviákina, V.; Navas, T.; Casanova, K.; Sáez, A.; Guevara, R.N.; Cáceres, A.M.; Vera, R.; Sucre, C.; Arbona, E. Pneumocystosis in Venezuelan patients: Epidemiology and diagnosis (2001–2006). Rev. Iberoam. Micol. 2008, 25, 226–231. [Google Scholar] [CrossRef] [PubMed]
- de Armas-Rodríguez, Y.; Wissmann, G.; Müller, A.L.; Pederiva, M.A.; Brum, M.C.; Brackmann, R.L.; Capó de Paz, V.; Calderón, E.J. Pneumocystis jirovecii pneumonia in developing countries. Parasite 2011, 18, 219–228. [Google Scholar] [CrossRef] [PubMed]
- Norberg, N.A.; Reis, M.C.H.; Queiroz, C.M.M.; Ribeiro, P.C.; Pile, E.; de Carvalho, R.W. Pneumonia por Pneumocystis jiroveci (PPC) em pacientes com SIDA atendidos em hospitais da Baixada Fluminense, Rio de Janeiro, Brasil. Colomb. Med. 2009, 40, 213–217. [Google Scholar] [CrossRef]
- de Souza Mantilla Giehl, P.A.; Sanches, F.G.; Ribeiro, P.C.; de Carvalho, R.W.; Serra-Freire, N.M.; Neres Norberg, A. Pneumocystis associated to the human immunodeficiency virus in the city of Rio de Janeiro, Brazil. Rev. Cubana Med. Trop. 2014, 66, 112–119. [Google Scholar]
- Franconi, I.; Leonildi, A.; Erra, G.; Fais, R.; Falcone, M.; Ghelardi, E.; Lupetti, A. Comparison of different microbiological procedures for the diagnosis of Pneumocystis jirovecii pneumonia on bronchoalveolar-lavage fluid. BMC Microbiol. 2022, 22, 143. [Google Scholar] [CrossRef] [PubMed]
- Dimonte, S.; Berrilli, F.; D’Orazi, C.; D’Alfonso, R.; Placco, F.; Bordi, E.; Perno, C.F.; Di Cave, D. Molecular analysis based on mtLSU-rRNA and DHPS sequences of Pneumocystis jirovecii from immunocompromised and immunocompetent patients in Italy. Infect. Genet. Evol. 2013, 14, 68–72. [Google Scholar] [CrossRef]
- Pini, P.; Orsi, C.F.; La Regina, A.; Peppoloni, S.; Berrilli, F.; Blasi, E.; Di Cave, D. Pneumocystis jirovecii genotyping: Experience in a tertiary-care hospital in Northern Italy. New Microbiol. 2017, 40, 208–211. [Google Scholar]
- Jarboui, M.A.; Mseddi, F.; Sellami, H.; Sellami, A.; Makni, F.; Ayadi, A. Genetic diversity of Pneumocystis jirovecii strains based on sequence variation of different DNA region. Med. Mycol. 2013, 51, 561–567. [Google Scholar] [CrossRef]
- Gupta, R.; Mirdha, B.R.; Guleria, R.; Agarwal, S.K.; Samantaray, J.C.; Kumar, L.; Kabra, S.K.; Luthra, K.; Sreenivas, V.; Iyer, V.K. Genotypic variation of Pneumocystis jirovecii isolates in India based on sequence diversity at mitochondrial large subunit rRNA. Int. J. Med. Microbiol. 2011, 301, 267–272. [Google Scholar] [CrossRef]
- Kim, T.; Lee, S.O.; Hong, H.L.; Lee, J.Y.; Kim, S.H.; Choi, S.H.; Kim, M.N.; Kim, Y.S.; Woo, J.H.; Sung, H. Clinical characteristics of hospital-onset Pneumocystis pneumonia and genotypes of Pneumocystis jirovecii in a single tertiary centre in Korea. BMC Infect. Dis. 2015, 15, 102. [Google Scholar] [CrossRef]
- Hernández-Hernández, F.; Fréalle, E.; Caneiro, P.; Salleron, J.; Durand-Joly, I.; Accoceberry, I.; Bouchara, J.P.; Wallaert, B.; Dei-Cas, E.; Delhaes, L. Prospective multicenter study of Pneumocystis jirovecii colonization among cystic fibrosis patients in France. J. Clin. Microbiol. 2012, 50, 4107–4110. [Google Scholar] [CrossRef] [PubMed]
- Beard, C.B.; Fox, M.R.; Lawrence, G.G.; Guarner, J.; Hanzlick, R.L.; Huang, L.; del Rio, C.; Rimland, D.; Duchin, J.S.; Colley, D.G. Genetic differences in Pneumocystis isolates recovered from immunocompetent infants and from adults with AIDS: Epidemiological Implications. J. Infect. Dis. 2005, 192, 1815–1818. [Google Scholar] [CrossRef]
- Spratt, B.G. Resistance to antibiotics mediated by target alterations. Science 1994, 264, 388–393. [Google Scholar] [CrossRef] [PubMed]
- Friedman, R. Computational studies of protein–drug binding affinity changes upon mutations in the drug target. WIREs Comput. Mol. Sci. 2022, 12, e1563. [Google Scholar] [CrossRef]
- Ammar, A.; Cavill, R.; Evelo, C.; Willighagen, E. PSnpBind-ML: Predicting the effect of binding site mutations on protein-ligand binding affinity. J. Cheminform 2023, 15, 31. [Google Scholar] [CrossRef] [PubMed]
- White, P.L.; Price, J.S.; Backx, M. Therapy and Management of Pneumocystis jirovecii Infection. J. Fungi 2018, 4, 127. [Google Scholar] [CrossRef]
- Triglia, T.; Menting, J.G.; Wilson, C.; Cowman, A.F. Mutations in dihydropteroate synthase are responsible for sulfone and sulfonamide resistance in Plasmodium falciparum. Proc. Natl. Acad. Sci. USA 1997, 94, 13944–13949. [Google Scholar] [CrossRef]
- Berglez, J.; Iliades, P.; Sirawaraporn, W.; Coloe, P.; Macreadie, I. Analysis in Escherichia coli of Plasmodium falciparum dihydropteroate synthase (DHPS) alleles implicated in resistance to sulfadoxine. Int. J. Parasitol. 2004, 34, 95–100. [Google Scholar] [CrossRef]
- Quan, H.; Igbasi, U.; Oyibo, W.; Omilabu, S.; Chen, S.B.; Shen, H.M.; Okolie, C.; Chen, J.H.; Zhou, X.N. High multiple mutations of Plasmodium falciparum-resistant genotypes to sulphadoxine-pyrimethamine in Lagos, Nigeria. Infect. Dis. Poverty 2020, 9, 91. [Google Scholar] [CrossRef]
- Zhu, M.; Ye, N.; Xu, J. Clinical characteristics and prevalence of dihydropteroate synthase gene mutations in Pneumocystis jirovecii-infected AIDS patients from low endemic areas of China. PLoS ONE 2020, 15, e0238184. [Google Scholar] [CrossRef]
- Miller, R.F.; Lindley, A.R.; Ambrose, H.E.; Malin, A.S.; Wakefield, A.E. Genotypes of Pneumocystis jirovecii solates obtained in Harare, Zimbabwe, and London, United Kingdom. Antimicrob. Agents Chemother. 2003, 47, 3979–3981. [Google Scholar] [CrossRef] [PubMed]
- Taylor, S.M.; Meshnick, S.R.; Worodria, W.; Andama, A.; Cattamanchi, A.; Davis, J.L.; Yoo, S.D.; Byanyima, P.; Kaswabuli, S.; Goodman, C.D.; et al. International HIV-associated Opportunistic Pneumonias Study. Low prevalence of Pneumocystis pneumonia (PCP) but high prevalence of Pneumocystis dihydropteroate synthase (dhps) gene mutations in HIV-infected persons in Uganda. PLoS ONE 2012, 7, e49991. [Google Scholar] [CrossRef] [PubMed][Green Version]
- Suárez, I.; Roderus, L.; van Gumpel, E.; Jung, N.; Lehmann, C.; Fätkenheuer, G.; Hartmann, P.; Plum, G.; Rybniker, J. Low prevalence of DHFR and DHPS mutations in Pneumocystis jirovecii strains obtained from a German cohort. Infection 2017, 45, 341–347. [Google Scholar] [CrossRef] [PubMed]
- Montesinos, I.; Delforge, M.L.; Ajjaham, F.; Brancart, F.; Hites, M.; Jacobs, F.; Denis, O. Evaluation of a new commercial real-time PCR assay for diagnosis of Pneumocystis jirovecii pneumonia and identification of dihydropteroate synthase (DHPS) mutations. Diagn. Microbiol. Infect. Dis. 2017, 87, 32–36. [Google Scholar] [CrossRef] [PubMed]
- Helweg-Larsen, J.; Benfield, T.L.; Eugen-Olsen, J.; Lundgren, J.D.; Lundgren, B. Effects of mutations in Pneumocystis carinii dihydropteroate synthase gene on outcome of AIDS-associated P. carinii pneumonia. Lancet 1999, 354, 1347–1351. [Google Scholar] [CrossRef]
- Valerio, A.; Tronconi, E.; Mazza, F.; Fantoni, G.; Atzori, C.; Tartarone, F.; Duca, P.; Cargnel, A. Genotyping of Pneumocystis jiroveci pneumonia in Italian AIDS patients. Clinical outcome is influenced by dihydropteroate synthase and not by internal transcribed spacer genotype. J. Acquir. Immune Defic. Syndr. 2007, 45, 521–528. [Google Scholar] [CrossRef]
- Moukhlis, R.; Boyer, J.; Lacube, P.; Bolognini, J.; Roux, P.; Hennequin, C. Linking Pneumocystis jiroveci sulfamethoxazole resistance to the alleles of the DHPS gene using functional complementation in Saccharomyces cerevisiae. Clin. Microbiol. Infect. 2010, 16, 501–507. [Google Scholar] [CrossRef]




| Variable | Total n (%) | PCP− n (%) | PCP+ n (%) | p Value |
|---|---|---|---|---|
| No. of patients | 53 (100%) | 38 (71.7%) | 15 (28.3%) | |
| Age (years) | 0.904 | |||
| <30 | 9 (16.9%) | 7 (77.8%) | 2 (22.2%) | |
| 30–39 | 6 (11.3%) | 4 (66.6%) | 2 (33.3%) | |
| 40–49 | 23 (43.4%) | 15 (65.2%) | 8 (34.8%) | |
| 50–59 | 11 (20.8%) | 9 (81.8%) | 2 (18.2%) | |
| ≥60 | 4 (7.6%) | 3 (75%) | 1 (25%) | |
| Mean ± SD | 43.3 ± 11.1 | 43.4 ± 11.4 | 43 ± 10.8 | 0.902 |
| Sex | 0.149 | |||
| Female | 11 (20.8%) | 10 (90.9%) | 1 (9.1%) | |
| Male | 42 (79.2%) | 28 (66.6%) | 14 (33.3%) | |
| Comorbidities or associated conditions | ||||
| Candidiasis | 6 | 4 | 2 | 1.000 |
| Ethylism | 6 | 5 | 1 | 0.662 |
| Severe malnutrition or wasting syndrome | 5 | 3 | 2 | 0.614 |
| Treated tuberculosis | 3 | 2 | 1 | 1.000 |
| Drug addiction | 2 | - | 2 | 0.076 |
| COVID-19 | 2 | - | 2 | 0.076 |
| Thyroid pathology | 2 | 2 | - | 1.000 |
| Arterial hypertension | 1 | 1 | - | 1.000 |
| CNS infection | 2 | 2 | - | 1.000 |
| Hematologic neoplasm | 2 | 2 | - | 1.000 |
| Pulmonary aspergillosis | 1 | 1 | - | 1.000 |
| CMV infection | 4 | 1 | 3 | 0.064 |
| Treated syphilis | 1 | 1 | - | 1.000 |
| Tuberculosis | 1 | 1 | - | 1.000 |
| Smoking | 1 | 1 | - | 1.000 |
| COPD | 1 | 1 | - | 1.000 |
| Neither | 23 | 16 | 7 | 0.769 |
| CD4+ T-cell count (cells/uL) | ||||
| Range | 0–643 | 0–643 | 4–206 | |
| Average ± SD | 118.3 ± 165.2 | 146.4 ± 181.9 | 40 ± 52.7 | 0.0036 * |
| Patient (Code) | Age/Sex | Sample | Genotype mtLSU | Period since HIV Diagnosis | CD4+ T Cell (cell/uL) | Respiratory Symptoms/Clinical Signs | Previous Use SMX-TMP | Patient Management | Treatment | Evolution |
|---|---|---|---|---|---|---|---|---|---|---|
| 1 (CEMT21) | 40/M | BAL | 1 | New diagnosis | 206 | CT with GGO. | No | Hospitalization (Medicine) | SMX-TMP 800/160, 1 tablet every 8 h orally for 7 days. Due to renal failure, change to PQ 15 mg/day + CLDM 600 1 tablet every 8 h. Total duration 21 days | Survived |
| 2 (CEMT20) | 34/M | Sputum | 1 and 2 | 8 years | 31 | Cough with expectoration, dyspnea. CT with bilateral GGO. | W.I | Hospitalization (Medicine) | SMX-TMP 800/160, 2 tablets every 8 h orally. Due to severe ADR, switch to PQ 30 mg/day + CLDM 600 mg 1 tablet every 8 h. Total duration 21 days. | Survived |
| 3 (CEMT16) | 45/M | Sputum | 4 | New diagnosis | 10 | Progressive irritating cough, dyspnea, feeling feverish. CT with bilateral GGO. | Yes | Hospitalization (CPU) | SMX-TMP 400/80, 3 vials every 12 h IV, associated with CAS and CLDM due to clinical deterioration. Total duration 21 days | † |
| 4 (CEMT15) | 30/M | Sputum | 3 | 11 years | 4 | Dry cough, exertional dyspnea for 1 month, night sweats. CT with interstitial infiltrate and bilateral GGO | No | Hospitalization (Medicine) | SMX-TMP 400/80, 4 vials every 8 h IV. Total duration 21 days | Survived |
| 5 (CEMT7) | 61/M | Sputum | 3 | New diagnosis | W.I | Respiratory failure and interstitial pneumonia | No | Hospitalization (CPU) | SMX-TMP 400/80, 10 vials per day + prednisone 40 mg per day. Duration 4 days (patient dies) | † |
| 6 (CEMT22) | 23/M | BAL | 3 | 5 months | 21 | Cough, dyspnea, night fever. CT with condensing image, scarce GGO. | No | Hospitalization (Medicine) | SMX-TMP 400/80, 4 vials every 8 h IV for 11 days. Change to PQ 30 mg/day + CLDM 600 mg, 1 tablet every 8 h. Total duration 21 days. | Survived |
| 7 (CEMT2) | 57/M | Sputum | 3 | 11 years | 38 | Cough with expectoration, dyspnea, feeling feverish. CT with bilateral GGO, mostly in the left lung | No | Ambulatory | SMX-TMP 800/160, 2 tablets every 8 h orally. Total duration 21 days. | Survived |
| 8 (CEMT513) | 44/M | BAL | 2 | New diagnosis | 9 | Bilateral pneumonia. Chest X-ray with bilateral infiltrates with nodular condensing images | No | Hospitalization (CPU) | SMX-TMP 400/80, 4 vials every 6 h IV. Duration 15 days (pacient dies). | † |
| 9 (CEMT5) | 49/M | BAL | 2 | 1 month | 29 | Cough with expectoration, dyspnea, and fever | No | Hospitalization (CPU) | SMX-TMP 15 mg/kg/day IV for 18 days and then 3 days orally at the same dose. Hydrocortisone 100 mg IV every 8 h for 5 days, then 50 mg every 8 h for 5 days, and then prednisone 20 mg/day orally. | Survived |
| 10 (CEMT99) | 41/M | Sputum | 2 | New diagnosis | 45 | Cough, tachypnoea, CT with ground glass infiltrate | No | Hospitalization (CPU) | SMX-TMP 800/160 in doses of 17 mg/kg in 3 doses (of the TMP component). Total duration 21 days. | Survived |
| 11 (CEMT98) | 28/M | BAL | 2 | New diagnosis | 9 | Pneumonia with cough, dyspnea, fever, and night sweats. Chest X-ray shows multiple solid nodules of random and perilymphatic distribution | No | Hospitalization (Medicine) | SMX-TMP 800/160, 2 tablets every 8 h orally to complete 17 mg/kg of TMP. Total duration 21 days | Survived |
| 12 (CEMT97) | 46/F | BAL | 3 | 12 years | 54 | Multifocal pneumonia, respiratory failure. CT chest with bilateral GGO | No | Hospitalization (CPU) | SMX-TMP 400/80, 3 vials every 6 h IV. ANI was associated. Due to clinical deterioration, CAS and CLDM were added. Total duration 21 days. | Survived |
| 13 (CEMT90) | 43/M | Sputum | 1 | 2 years | 12 | Cough, dyspnea, sore throat, diaphoresis, and desaturation. CT shows diffuse bilateral GGO | No | Hospitalization (Medicine) | SMX-TMP 400/80, 3 vials every 8 h IV for 12 days. Then 800/160 2 tablets every 8 h orally. Due to toxicity, pancytopenia, and transaminase elevation, change to PQ 15 mg/day + CLDM 600 mg 1 tablet every 8 h. Total duration 21 days. | Survived |
| 14 (CEMT85) | 49/M | Sputum | 4 | New diagnosis | W.I | Cough with expectoration, dyspnea at rest, feeling feverish. Chest CT reveals extensive areas with bilateral GGO | No | Hospitalization (Medicine) | SMX-TMP 400/80, IV and then 800/160 2 tablets every 8 h orally. Total duration 21 days. | Survived |
| 15 (CEMT94) | 55/M | Pharyngeal lavage | 1 | 4 years | 52 | Dry cough, dyspnea, tiredness, loss of appetite. Chest X-ray with interstitial infiltrates | Yes | Ambulatory | SMX-TMP 800/160: 2-2-1 (tablets) every 8 h orally. Total duration 21 days. | Survived |
| mtLSU rRNA Genotype | Nucleotide and Position | Patients n (%) |
|---|---|---|
| 1 | 85/C; 248/C | 3 (20%) |
| 2 | 85/A; 248/C | 4 (26.6%) |
| 3 | 85/T; 248/C | 5 (33.3%) |
| 4 | 85/C; 248/T | 2 (13.3%) |
| Mixed a | 85/C; 248/C 85/A; 248/C | 1 (6.7%) |
| Genotype DHPS | Nucleotide Position/Amino Acid Position | Patients n (%) | |||
|---|---|---|---|---|---|
| 165/55 | 171/57 | 288/96 | 294/98 | ||
| Wild type | A (Thr) | C (Pro) | G(Val) | G(Glu) | 14 (93.3%) |
| Mutant (55) | G(Ala) | C (Pro) | G(Val) | G(Glu) | 1 (6.7%) |
| Mutant (57) | A (Thr) | T (Ser) | G(Val) | G(Glu) | - |
| Mutant (96) | A (Thr) | C (Pro) | A(Ile) | G(Glu) | - |
| Mutant (98) | A (Thr) | C (Pro) | G(Val) | C(Gln) | - |
Disclaimer/Publisher’s Note: The statements, opinions and data contained in all publications are solely those of the individual author(s) and contributor(s) and not of MDPI and/or the editor(s). MDPI and/or the editor(s) disclaim responsibility for any injury to people or property resulting from any ideas, methods, instructions or products referred to in the content. |
© 2024 by the authors. Licensee MDPI, Basel, Switzerland. This article is an open access article distributed under the terms and conditions of the Creative Commons Attribution (CC BY) license (https://creativecommons.org/licenses/by/4.0/).
Share and Cite
Iturrieta-González, I.; Chahin, C.; Cabrera, J.; Concha, C.; Olivares-Ferretti, P.; Briones, J.; Vega, F.; Bustos-Medina, L.; Fonseca-Salamanca, F. Molecular Study of Pneumocystis jirovecii in Respiratory Samples of HIV Patients in Chile. J. Fungi 2024, 10, 117. https://doi.org/10.3390/jof10020117
Iturrieta-González I, Chahin C, Cabrera J, Concha C, Olivares-Ferretti P, Briones J, Vega F, Bustos-Medina L, Fonseca-Salamanca F. Molecular Study of Pneumocystis jirovecii in Respiratory Samples of HIV Patients in Chile. Journal of Fungi. 2024; 10(2):117. https://doi.org/10.3390/jof10020117
Chicago/Turabian StyleIturrieta-González, Isabel, Carolina Chahin, Johanna Cabrera, Carla Concha, Pamela Olivares-Ferretti, Javier Briones, Fernando Vega, Luis Bustos-Medina, and Flery Fonseca-Salamanca. 2024. "Molecular Study of Pneumocystis jirovecii in Respiratory Samples of HIV Patients in Chile" Journal of Fungi 10, no. 2: 117. https://doi.org/10.3390/jof10020117
APA StyleIturrieta-González, I., Chahin, C., Cabrera, J., Concha, C., Olivares-Ferretti, P., Briones, J., Vega, F., Bustos-Medina, L., & Fonseca-Salamanca, F. (2024). Molecular Study of Pneumocystis jirovecii in Respiratory Samples of HIV Patients in Chile. Journal of Fungi, 10(2), 117. https://doi.org/10.3390/jof10020117

