Real-Time Monitoring and Step-by-Step Guidance for Transcatheter Tricuspid Annuloplasty Using Transesophageal Echocardiography
Abstract
1. Introduction
2. Transcatheter Tricuspid Annuloplasty
3. Echocardiographic Protocol for K-Clip™ Transcatheter Tricuspid Annuloplasty
3.1. Patient Selection
3.2. Introducing the Delivery System (Mid-Esophageal Bicaval View)
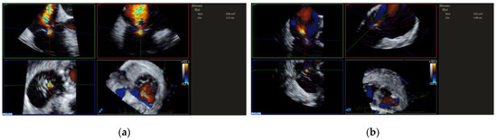
3.3. Deployment of the Tapping Screw-Shaped Anchor
3.4. Adjustment of the Clip Arm and Clamping of Annular Tissue
3.5. Valve Function Assessment
3.6. Assessment of Clutch Status
4. Pitfalls and Potential Main Errors
5. Conclusions
Supplementary Materials
Author Contributions
Funding
Institutional Review Board Statement
Informed Consent Statement
Data Availability Statement
Conflicts of Interest
References
- Wang, N.; Fulcher, J.; Abeysuriya, N.; McGrady, M.; Wilcox, I.; Celermajer, D.; Lal, S. Tricuspid regurgitation is associated with increased mortality independent of pulmonary pressures and right heart failure: A systematic review and meta-analysis. Eur. Heart J. 2019, 40, 476–484. [Google Scholar] [CrossRef] [PubMed]
- Vahanian, A.; Beyersdorf, F.; Praz, F.; Milojevic, M.; Baldus, S.; Bauersachs, J.; Capodanno, D.; Conradi, L.; De Bonis, M.; De Paulis, R.; et al. 2021 ESC/EACTS Guidelines for the management of valvular heart disease. Eur. Heart J. 2021, 43, 561–632. [Google Scholar] [CrossRef] [PubMed]
- Otto, C.M.; Nishimura, R.A.; Bonow, R.O.; Carabello, B.A.; Erwin, J.P., 3rd; Gentile, F.; Jneid, H.; Krieger, E.V.; Mack, M.; McLeod, C.; et al. 2020 ACC/AHA Guideline for the Management of Patients With Valvular Heart Disease: A Report of the American College of Cardiology/American Heart Association Joint Committee on Clinical Practice Guidelines. Circulation 2021, 143, e72–e227. [Google Scholar] [CrossRef] [PubMed]
- Dreyfus, J.; Ghalem, N.; Garbarz, E.; Cimadevilla, C.; Nataf, P.; Vahanian, A.; Caranhac, G.; Messika-Zeitoun, D. Timing of Referral of Patients With Severe Isolated Tricuspid Valve Regurgitation to Surgeons (from a French Nationwide Database). Am. J. Cardiol. 2018, 122, 323–326. [Google Scholar] [CrossRef] [PubMed]
- Alqahtani, F.; Berzingi, C.O.; Aljohani, S.; Hijazi, M.; Al-Hallak, A.; Alkhouli, M. Contemporary Trends in the Use and Outcomes of Surgical Treatment of Tricuspid Regurgitation. J Am Heart Assoc 2017, 6, e007597. [Google Scholar] [CrossRef]
- Chang, C.C.; Veen, K.M.; Hahn, R.T.; Bogers, A.; Latib, A.; Oei, F.B.S.; Abdelghani, M.; Modolo, R.; Ho, S.Y.; Abdel-Wahab, M.; et al. Uncertainties and challenges in surgical and transcatheter tricuspid valve therapy: A state-of-the-art expert review. Eur. Heart J. 2020, 41, 1932–1940. [Google Scholar] [CrossRef]
- Kodali, S.; Hahn, R.T.; Eleid, M.F.; Kipperman, R.; Smith, R.; Lim, D.S.; Gray, W.A.; Narang, A.; Pislaru, S.V.; Koulogiannis, K.; et al. Feasibility Study of the Transcatheter Valve Repair System for Severe Tricuspid Regurgitation. J. Am. Coll. Cardiol. 2021, 77, 345–356. [Google Scholar] [CrossRef]
- Hammerstingl, C.; Schueler, R.; Malasa, M.; Werner, N.; Nickenig, G. Transcatheter treatment of severe tricuspid regurgitation with the MitraClip system. Eur. Heart J. 2016, 37, 849–853. [Google Scholar] [CrossRef]
- Nickenig, G.; Weber, M.; Schueler, R.; Hausleiter, J.; Nabauer, M.; von Bardeleben, R.S.; Sotiriou, E.; Schafer, U.; Deuschl, F.; Kuck, K.H.; et al. 6-Month Outcomes of Tricuspid Valve Reconstruction for Patients With Severe Tricuspid Regurgitation. J. Am. Coll. Cardiol. 2019, 73, 1905–1915. [Google Scholar] [CrossRef]
- Fukuda, S.; Song, J.M.; Gillinov, A.M.; McCarthy, P.M.; Daimon, M.; Kongsaerepong, V.; Thomas, J.D.; Shiota, T. Tricuspid valve tethering predicts residual tricuspid regurgitation after tricuspid annuloplasty. Circulation 2005, 111, 975–979. [Google Scholar] [CrossRef]
- Ton-Nu, T.T.; Levine, R.A.; Handschumacher, M.D.; Dorer, D.J.; Yosefy, C.; Fan, D.; Hua, L.; Jiang, L.; Hung, J. Geometric determinants of functional tricuspid regurgitation: Insights from 3-dimensional echocardiography. Circulation 2006, 114, 143–149. [Google Scholar] [CrossRef]
- Hahn, R.T.; Meduri, C.U.; Davidson, C.J.; Lim, S.; Nazif, T.M.; Ricciardi, M.J.; Rajagopal, V.; Ailawadi, G.; Vannan, M.A.; Thomas, J.D.; et al. Early Feasibility Study of a Transcatheter Tricuspid Valve Annuloplasty: SCOUT Trial 30-Day Results. J. Am. Coll. Cardiol. 2017, 69, 1795–1806. [Google Scholar] [CrossRef]
- Pan, C.; Zhou, D.; Li, W.; Chen, S.; Pan, W.; Zhang, X.; Ge, Z.; Shi, J.; Wei, L.; Miao, C.; et al. Role of transesophageal echocardiography in transcatheter tricuspid annuloplasty: Case report. Chin. J. Ultrasonogr. 2021, 30, 904–907. [Google Scholar] [CrossRef]
- Zoghbi, W.A.; Asch, F.M.; Bruce, C.; Gillam, L.D.; Grayburn, P.A.; Hahn, R.T.; Inglessis, I.; Islam, A.M.; Lerakis, S.; Little, S.H.; et al. Guidelines for the Evaluation of Valvular Regurgitation After Percutaneous Valve Repair or Replacement: A Report from the American Society of Echocardiography Developed in Collaboration with the Society for Cardiovascular Angiography and Interventions, Japanese Society of Echocardiography, and Society for Cardiovascular Magnetic Resonance. J. Am. Soc. Echocardiogr. 2019, 32, 431–475. [Google Scholar] [CrossRef]
- Zoghbi, W.A.; Adams, D.; Bonow, R.O.; Enriquez-Sarano, M.; Foster, E.; Grayburn, P.A.; Hahn, R.T.; Han, Y.; Hung, J.; Lang, R.M.; et al. Recommendations for Noninvasive Evaluation of Native Valvular Regurgitation: A Report from the American Society of Echocardiography Developed in Collaboration with the Society for Cardiovascular Magnetic Resonance. J. Am. Soc. Echocardiogr. 2017, 30, 303–371. [Google Scholar] [CrossRef]
- Hahn, R.T.; Nabauer, M.; Zuber, M.; Nazif, T.M.; Hausleiter, J.; Taramasso, M.; Pozzoli, A.; George, I.; Kodali, S.; Bapat, V.; et al. Intraprocedural Imaging of Transcatheter Tricuspid Valve Interventions. JACC Cardiovasc. Imaging 2019, 12, 532–553. [Google Scholar] [CrossRef]
- Carpentier, A.; Deloche, A.; Hanania, G.; Forman, J.; Sellier, P.; Piwnica, A.; Dubost, C.; McGoon, D.C. Surgical management of acquired tricuspid valve disease. J. Thorac. Cardiovasc. Surg. 1974, 67, 53–65. [Google Scholar] [CrossRef]
- Braun, D.; Rommel, K.P.; Orban, M.; Karam, N.; Brinkmann, I.; Besler, C.; Massberg, S.; Nabauer, M.; Lurz, P.; Hausleiter, J. Acute and Short-Term Results of Transcatheter Edge-to-Edge Repair for Severe Tricuspid Regurgitation Using the MitraClip XTR System. JACC Cardiovasc. Interv. 2019, 12, 604–605. [Google Scholar] [CrossRef]
- Lurz, P.; Meduri, C.U.; Besler, C. Transcatheter Treatment of Functional Tricuspid Regurgitation Using the Trialign Device. Interventional Cardiology Review 2017, 13, 8–13. [Google Scholar] [CrossRef]
- Hahn, R.T.; Saric, M.; Faletra, F.F.; Garg, R.; Gillam, L.D.; Horton, K.; Khalique, O.K.; Little, S.H.; Mackensen, G.B.; Oh, J.; et al. Recommended Standards for the Performance of Transesophageal Echocardiographic Screening for Structural Heart Intervention: From the American Society of Echocardiography. J. Am. Soc. Echocardiogr. 2022, 35, 1–76. [Google Scholar] [CrossRef]
- Utsunomiya, H.; Harada, Y.; Susawa, H.; Takahari, K.; Ueda, Y.; Izumi, K.; Itakura, K.; Ikenaga, H.; Hidaka, T.; Fukuda, Y.; et al. Comprehensive Evaluation of Tricuspid Regurgitation Location and Severity Using Vena Contracta Analysis: A Color Doppler Three-Dimensional Transesophageal Echocardiographic Study. J. Am. Soc. Echocardiogr. 2019, 32, 1526–1537.e1522. [Google Scholar] [CrossRef] [PubMed]












| Step | TEE Views | Angle Ranges | Notes |
|---|---|---|---|
| Step 1. Introducing the delivery system | 2D and 3D mid-esophageal bicaval view | 70–110° | |
| 3D adjusted mid-esophageal bicaval view | 70–110° | Slight clockwise/counter-clockwise rotation of the probe from the mid-esophageal bicaval view for appropriate depth to visualize the TA | |
| Step 2. Deployment of the tapping screw-shaped anchor | X-plane view with ME RV inflow–outflow view as the primary view | about 60° | Deployment of the tapping screw-shaped anchor should always be monitored under 2D TEE |
| 3D TV en face view | about 60° | Further confirmation of the target annular location | |
| Step 3. Adjustment of the clip arm and clamping of annular tissue | 3D TV en face view | about 60° | |
| Step 4. Valve function assessment | 2D and 3D (preferable) color Doppler imaging | Multiple views required | 3D color Doppler imaging is preferred as tricuspid intervention results in highly complex valve geometry |
| Step 5. Assessment of clutch status | X-plane view with ME RV inflow–outflow view as the primary view | about 60° | Clip stability is preferably verified under 2D imaging due to its high resolution |
| 3D TV en face view | Any angle permitting acquisition of the whole TA volume would be acceptable |
Publisher’s Note: MDPI stays neutral with regard to jurisdictional claims in published maps and institutional affiliations. |
© 2022 by the authors. Licensee MDPI, Basel, Switzerland. This article is an open access article distributed under the terms and conditions of the Creative Commons Attribution (CC BY) license (https://creativecommons.org/licenses/by/4.0/).
Share and Cite
Liu, Y.; Li, W.; Zhou, D.; Zhang, X.; Kong, D.; Ge, Z.; Chen, H.; Shu, X.; Pan, C.; Ge, J. Real-Time Monitoring and Step-by-Step Guidance for Transcatheter Tricuspid Annuloplasty Using Transesophageal Echocardiography. J. Cardiovasc. Dev. Dis. 2022, 9, 415. https://doi.org/10.3390/jcdd9120415
Liu Y, Li W, Zhou D, Zhang X, Kong D, Ge Z, Chen H, Shu X, Pan C, Ge J. Real-Time Monitoring and Step-by-Step Guidance for Transcatheter Tricuspid Annuloplasty Using Transesophageal Echocardiography. Journal of Cardiovascular Development and Disease. 2022; 9(12):415. https://doi.org/10.3390/jcdd9120415
Chicago/Turabian StyleLiu, Yu, Wei Li, Daxin Zhou, Xiaochun Zhang, Dehong Kong, Zhenyi Ge, Haiyan Chen, Xianhong Shu, Cuizhen Pan, and Junbo Ge. 2022. "Real-Time Monitoring and Step-by-Step Guidance for Transcatheter Tricuspid Annuloplasty Using Transesophageal Echocardiography" Journal of Cardiovascular Development and Disease 9, no. 12: 415. https://doi.org/10.3390/jcdd9120415
APA StyleLiu, Y., Li, W., Zhou, D., Zhang, X., Kong, D., Ge, Z., Chen, H., Shu, X., Pan, C., & Ge, J. (2022). Real-Time Monitoring and Step-by-Step Guidance for Transcatheter Tricuspid Annuloplasty Using Transesophageal Echocardiography. Journal of Cardiovascular Development and Disease, 9(12), 415. https://doi.org/10.3390/jcdd9120415
