Minimally Invasive Surgical Repair of a Partial Atrioventricular Canal Defect in a 20-Year-Old Patient—A Case Report and Review of Literature
Abstract
1. Introduction
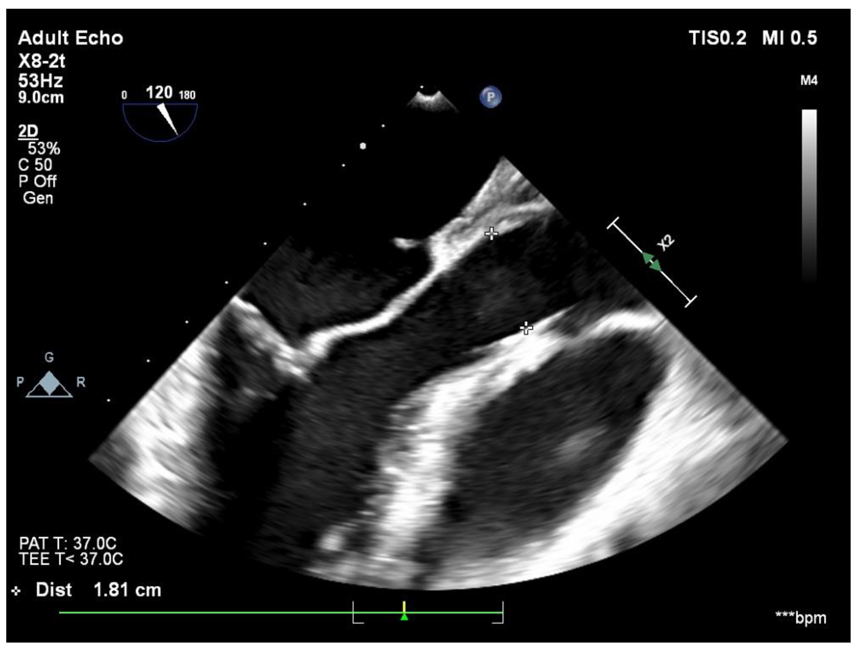
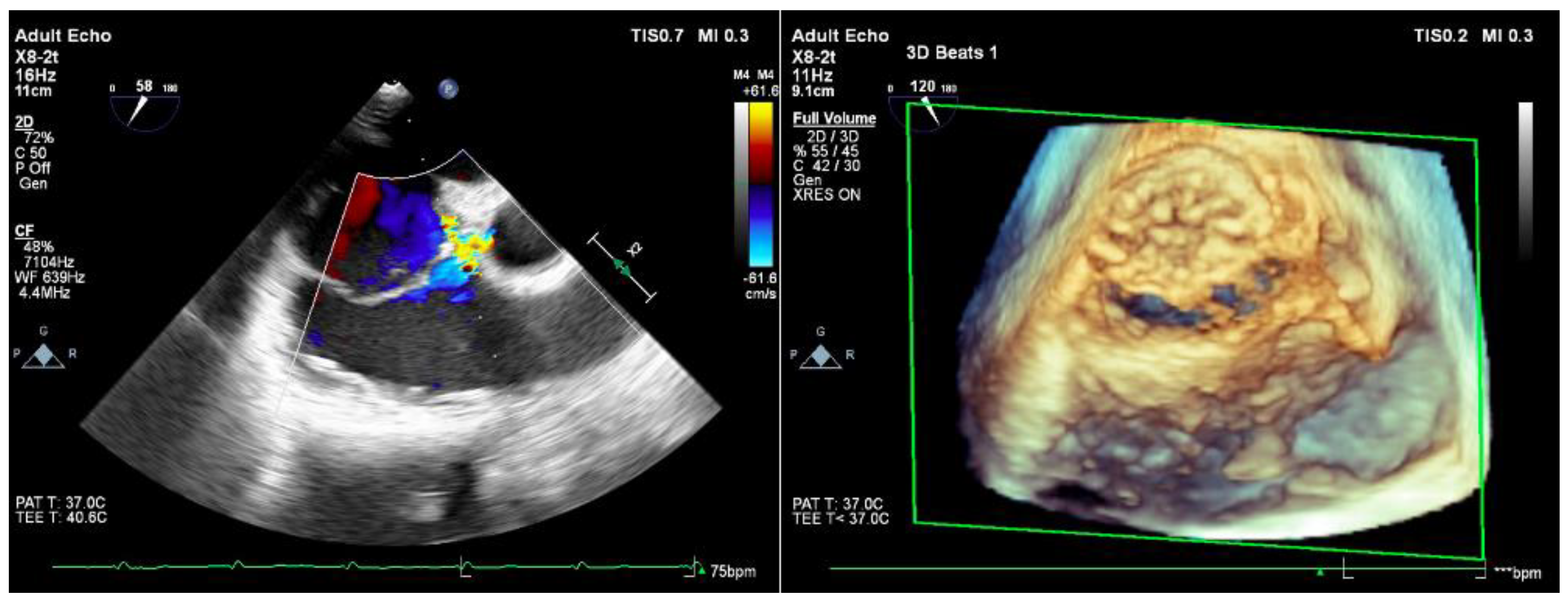
2. Case Report
3. Discussions
4. Conclusions
Author Contributions
Funding
Institutional Review Board Statement
Informed Consent Statement
Data Availability Statement
Conflicts of Interest
References
- Geva, T.; Martins, J.D.; Wald, R.M. Atrial septal defects. Lancet 2014, 383, 1921–1932. [Google Scholar] [CrossRef]
- Costache, V.S.; Moldovan, H.; Arsenescu, C.; Costache, A. Aortic valve surgery of the 21st century: Sutureless AVR versus TAVI. Minerva Cardioangiol. 2018, 66, 191–197. [Google Scholar] [CrossRef] [PubMed]
- Carpentier, A. Surgical anatomy and management of the mitral component of atrioventricular canal defects. In Pediatric Cardiology; Churchill Livingstone: London, UK, 1978; pp. 477–486. [Google Scholar]
- Iliuta, L.; Rac-Albu, M. Predictors and late incidence of persistent or recurrent heart failure after aortic valve replacement for aortic stenosis compared with aortic regurgitation. Eur. Heart J. 2014, 35, 58. [Google Scholar]
- Dobritoiu, F.; Moldovan, H.; Oncica, R.; Vasile, G.; Nechifor, E.; Copaescu, C. Giant Cavernous Hemangioma of the Right Atrium—A Rare Case and Literature Review. Chirurgia 2020, 115, 267–273. [Google Scholar] [CrossRef] [PubMed]
- Molnar, A.; Sacui, D.; Oprea, A.; Trifan, C.; Moldovan, H. Native Valve Infective Endocarditis - the Postoperative Results and Role of the Endocarditis Team. A Single Center Experience. Chirurgia 2021, 116, 75–88. [Google Scholar] [CrossRef]
- Iliuta, L.; Savulescu, C.; Moldovan, H.; Gherghiceanu, D.P.; Vasile, R.; Filipescu, D.; Macarie, C.; Candea, V. Diastolic versus systolic left ventricular dysfunction as independent predictors for unfavourable postoperative evolution in patients with aortic stenosis undergoing aortic valve replacement. Eur. Heart J. 2005, 26, 193. [Google Scholar]
- Pacifico, A.D.; Ricchi, A.; Bargeron, L.; Colvin, E.; Kirklin, J. Corrective repair of complete atrioventricular canal defects and major associated cardiac anomalies. Ann. Thorac. Surg. 1998, 46, 645–651. [Google Scholar] [CrossRef]
- Filipescu, D.; Calugareanu, A.; Luchian, M.; Marinica, I.; Ghenu, O.; Marin, S.; Moldovan, H.; Deleanu, D. Fatal myocardial infarction secondary to thyrotoxicosis. Case report. Acta Endocrinol.-Buchar. 2009, 5, 275–281. [Google Scholar] [CrossRef]
- Socoteanu, I. Tratat de Patologie Chirurgicala Cardiovasculara; Medicala: București, Romania, 2007; Volume I, pp. 621–631. ISBN 6422573000364. [Google Scholar]
- Goh, E.; Mohammed, H.; Salmasi, M.Y.; Ho, S.; Benedetto, U.; Caputo, M.; Angelini, G.; Vohra, H.A. Minimally invasive versus transcatheter closure of secundum atrial septal defects: A systematic review and meta-analysis. Perfusion 2021, 37, 2676591211021935. [Google Scholar]
- Yanagisawa, J.; Maekawa, A.; Sawaki, S.; Tokoro, M.; Ozeki, T.; Orii, M.; Saiga, T.; Ito, T. Three-port totally endoscopic repair vs conventional median sternotomy for atrial septal defect. Surg. Today 2019, 49, 118–123. [Google Scholar] [CrossRef]
- Zhu, J.; Zhang, Y.; Bao, C.; Ding, F.; Mei, J. Individualized strategy of minimally invasive cardiac surgery in congenital cardiac septal defects. J. Cardiothorac. Surg. 2022, 17, 5. [Google Scholar] [CrossRef]
- Moldovan, H.; Sibișan, A.M.; Țigănașu, R.; Popescu, B.Ș.; Vasile, G.; Gheorghiță, D.; Zaharia, O.; Costache, V.S.; Guță, A.; Molnar, A. Superior Sinus Venosus Atrial Septal Defect with Partial Anomalous Pulmonary Venous Drainage-Minimally Invasive Approach-Case Report. Medicina 2021, 57, 984. [Google Scholar] [CrossRef] [PubMed]
- Mylonas, K.S.; Ziogas, I.A.; Evangeliou, A.; Hemmati, P.; Schizas, D.; Sfyridis, P.G.; Economopoulos, K.P.; Bakoyiannis, C.; Kapelouzou, A.; Tzifa, A.; et al. Minimally Invasive Surgery vs Device Closure for Atrial Septal Defects: A Systematic Review and Meta-analysis. Pediatr. Cardiol. 2020, 41, 853–861. [Google Scholar] [CrossRef] [PubMed]
- Sabzi, F.; Faraji, R.; Kazeminasab, M. Minimal Invasive Technique in Atrial Septal Defect Surgery. Cardiol. Res. 2018, 9, 90–93. [Google Scholar] [CrossRef] [PubMed]
- Mishra, S.; Tomar, M.; Malhotra, R.; Radhakrishnan, S.; Mishra, Y.; Iyer, K.S.; Shrivastava, S.; Trehan, N. Comparison between transcatheter closure and minimally invasive surgery for fossa ovalis atrial septal defect: A single institutional experience. Indian Heart J. 2008, 60, 125–132. [Google Scholar] [PubMed]
- Liava’a, M.; Kalfa, D. Surgical closure of atrial septal defects. J. Thorac. Dis. 2018, 10 (Suppl. S24), S2931–S2939. [Google Scholar] [CrossRef] [PubMed]
- Zheng, X.X.; Wang, Z.Y.; Ma, L.Y.; Liu, H.; Liu, H.; Qin, J.W.; Shao, Y.F. Triport periareolar thoracoscopic surgery versus right minithoracotomy for repairing atrial septal defect in adults. Interact. Cardiovasc. Thorac. Surg. 2021, 32, 313–318. [Google Scholar] [CrossRef] [PubMed]
- Barbero, C.; Marchetto, G.; Pace Napoleone, C.; Calia, C.; Cura Stura, E.; Pocar, M.; Rinaldi, M.; Boffini, M. Right mini-thoracotomy approach for grown-up congenital heart disease. J. Card. Surg. 2021, 36, 1917–1921. [Google Scholar] [CrossRef] [PubMed]
- Myers, P.; Sologashvili, T.; Prêtre, R. Non-visible scar surgery: Right axillary thoracotomy approach for partial atrioventricular canal repair. Multimed. Man. Cardiothorac. Surg. 2019, 2019, 31872984. [Google Scholar]
- Robu, M.; Marian, D.R.; Lazăr, E.; Radu, R.; Boroș, C.; Sibișan, A.; Voica, C.; Broască, M.; Gheorghiță, D.; Moldovan, H.; et al. Open Coronary Endarterectomy of Left Anterior Descending Artery—Case Report and Review of Literature. J. Cardiovasc. Dev. Dis. 2022, 9, 83. [Google Scholar] [CrossRef] [PubMed]
- Müller, L.; Höfer, D.; Holfeld, J.; Hangler, H.; Bonaros, N.; Grimm, M. Indications and contra-indications for minimally invasive mitral valve surgery. J. Vis. Surg. 2018, 4, 255. [Google Scholar] [CrossRef]
- Byrne, J.G.; Adams, D.H.; Mitchell, M.E.; Cohn, L.H. Minimally invasive direct access for repair of atrial septal defect in adults. Am. J. Cardiol. 1999, 84, 919–922. [Google Scholar] [CrossRef]
- Kharouf, R.; Luxenberg, D.M.; Khalid, O.; Abdulla, R. Atrial septal defect: Spectrum of care. Pediatr. Cardiol. 2008, 29, 271–280. [Google Scholar] [CrossRef]
- Bakar, S.N.; Burns, D.J.P.; Diamantouros, P.; Sridhar, K.; Kiaii, B.; Chu, M.W.A. Clinical outcomes of a combined transcatheter and minimally invasive atrial septal defect repair program using a ‘Heart Team’ approach. J. Cardiothorac. Surg. 2018, 13, 11. [Google Scholar] [CrossRef] [PubMed]
- Chu, M.W.; Losenno, K.L.; Fox, S.A.; Adams, C.; Al-Habib, H.; Guo, R.; Menkis, A.H.; Kiaii, B. Clinical outcomes of minimally invasive endoscopic and conventional sternotomy approaches for atrial septal defect repair. Can. J. Surg. 2014, 57, E75–E81. [Google Scholar] [CrossRef]
- Buzatu, M.; Geantă, V.; Ştefănoiu, R.; Buţu, M.; Petrescu, M.I.; Buzatu, M.; Antoniac, I.; Iacob, G.; Niculescu, F.; Ghica, Ş.I.; et al. Investigations into Ti-15Mo-W Alloys Developed for Medical Applications. Materials 2019, 12, 147. [Google Scholar] [CrossRef]
- Chowdhury, U.K.; Airan, B.; Malhotra, A.; Bisoi, A.K.; Kalaivani, M.; Govindappa, R.M.; Venugopal, P. Specific issues after surgical repair of partial atrioventricular septal defect: Actuarial survival, freedom from reoperation, fate of the left atrioventricular valve, prevalence of left ventricular outflow tract obstruction, and other events. J. Thorac. Cardiovasc. Surg. 2009, 137, 548–555.e2. [Google Scholar] [CrossRef]
- Jurcut, R.; Savu, O.; Popescu, B.A.; Florian, A.; Herlea, V.; Moldovan, H.; Ginghina, C. Primary cardiac leiomyoma when valvular disease becomes a vascular surgical emergency. Circulation 2010, 121, e415–e418. [Google Scholar] [CrossRef]
- Rusu, E.L.E.N.A.; Sarbu, I.; Cristescu, C.; Coculescu, B.I.; Moldovan, H.; Petrut, S.; Muresan, A.; Vassu, T.; Pelinescu, D. Highlighting the Antimicrobial Activity of Organic Componds Isolated from some strains of lacticacid bacteria. Rev. Chim. 2016, 67, 2417–2421. [Google Scholar]
- Evseev, E.P.; Golovina, V.I.; Ivanov, V.A.; Belov, Y.V. Plastika sinus septum defekta s korrektsieĭ chastichnogo anomal’nogo drenazha legochnykh ven iz minitorakotomnogo dostupa [Sinus septal defect closure with correction of partial anomalous pulmonary vein drainage through mini-thoracotomy]. Khirurgiia 2020, 1, 85–88. [Google Scholar]






Publisher’s Note: MDPI stays neutral with regard to jurisdictional claims in published maps and institutional affiliations. |
© 2022 by the authors. Licensee MDPI, Basel, Switzerland. This article is an open access article distributed under the terms and conditions of the Creative Commons Attribution (CC BY) license (https://creativecommons.org/licenses/by/4.0/).
Share and Cite
Moldovan, H.; Bulescu, C.; Cacoveanu, M.; Voica, C.; Safta, S.; Goicea, M.; Dobra, I.; Antoniac, I.; Gheorghiță, D.; Zaharia, O. Minimally Invasive Surgical Repair of a Partial Atrioventricular Canal Defect in a 20-Year-Old Patient—A Case Report and Review of Literature. J. Cardiovasc. Dev. Dis. 2022, 9, 352. https://doi.org/10.3390/jcdd9100352
Moldovan H, Bulescu C, Cacoveanu M, Voica C, Safta S, Goicea M, Dobra I, Antoniac I, Gheorghiță D, Zaharia O. Minimally Invasive Surgical Repair of a Partial Atrioventricular Canal Defect in a 20-Year-Old Patient—A Case Report and Review of Literature. Journal of Cardiovascular Development and Disease. 2022; 9(10):352. https://doi.org/10.3390/jcdd9100352
Chicago/Turabian StyleMoldovan, Horațiu, Cristian Bulescu, Mihai Cacoveanu, Cristian Voica, Sabina Safta, Mihai Goicea, Irina Dobra, Iulian Antoniac, Daniela Gheorghiță, and Ondin Zaharia. 2022. "Minimally Invasive Surgical Repair of a Partial Atrioventricular Canal Defect in a 20-Year-Old Patient—A Case Report and Review of Literature" Journal of Cardiovascular Development and Disease 9, no. 10: 352. https://doi.org/10.3390/jcdd9100352
APA StyleMoldovan, H., Bulescu, C., Cacoveanu, M., Voica, C., Safta, S., Goicea, M., Dobra, I., Antoniac, I., Gheorghiță, D., & Zaharia, O. (2022). Minimally Invasive Surgical Repair of a Partial Atrioventricular Canal Defect in a 20-Year-Old Patient—A Case Report and Review of Literature. Journal of Cardiovascular Development and Disease, 9(10), 352. https://doi.org/10.3390/jcdd9100352

