Excellent Reproducibility of Synthetic Extracellular Volume Without Blood Extraction Across Different Cardiomyopathies Using Published Regression Models
Abstract
1. Introduction
2. Materials and Methods
2.1. Patient Population
2.2. Hematocrit
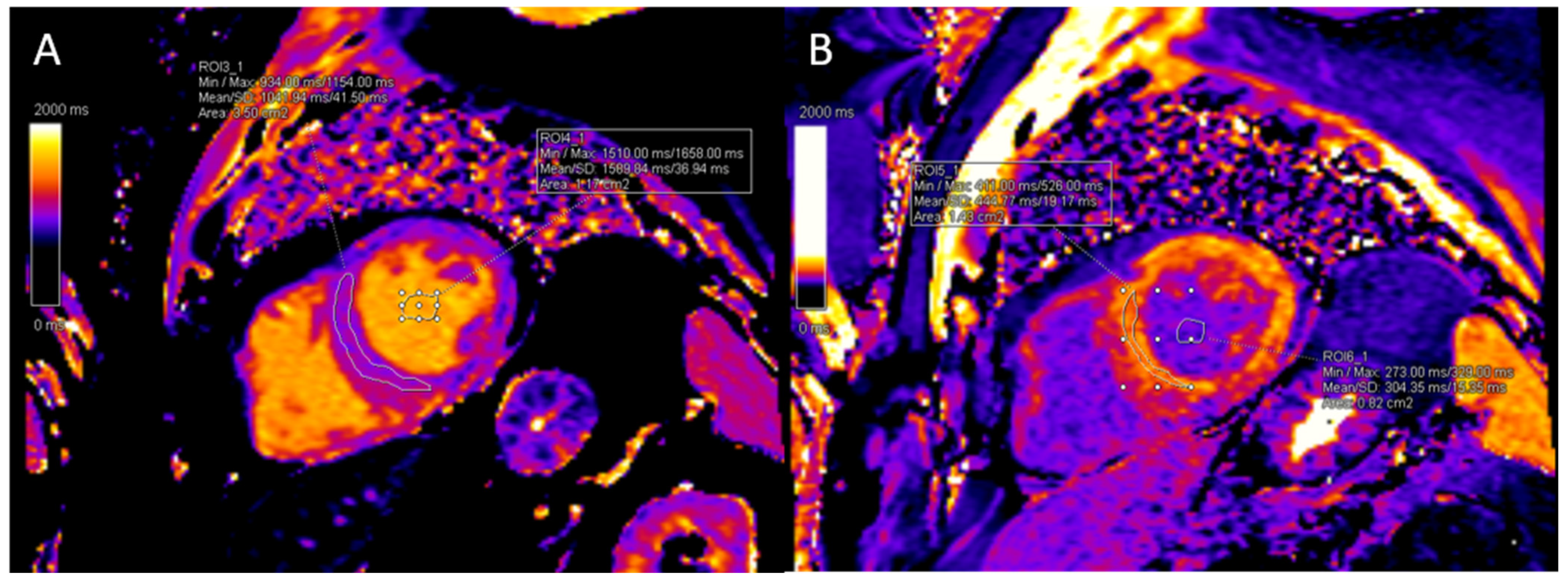
2.3. Cardiac MR Image Acquisition and Analysis Protocol
2.4. Measured and Synthetic ECV
2.5. Statistical Analyses
3. Results
4. Discussion
5. Conclusions
Author Contributions
Funding
Institutional Review Board Statement
Informed Consent Statement
Data Availability Statement
Conflicts of Interest
Abbreviations
| CMR | Cardiovascular magnetic resonance |
| ECV | Extracellular volume fraction |
| HCM | Hypertrophic cardiomyopathy |
| ICC | Intraclass correlation coefficient |
| Hct | Hematocrit |
| MOLLI | Modified Look–Locker inversion recovery |
| bSSFP | Balanced steady state free precession |
| HCTsyn | Synthetic hematocrit |
| HFrEF | Heart failure with reduced ejection fraction |
| NPV | Negative predictive value |
| PPV | Positive predictive value |
| LV | Left ventricle |
| RV | Right ventricle |
| EDV | End-diastolic volume |
| ESV | End-systolic volume |
| ROI | Region of interest |
| Myo | Myocardium |
References
- Robinson, A.A.; Chow, K.; Salerno, M. Myocardial T1 and ECV Measurement: Underlying Concepts and Technical Considerations. JACC Cardiovasc. Imaging 2019, 12, 2332–2344. [Google Scholar] [CrossRef] [PubMed]
- Messroghli, D.R.; Moon, J.C.; Ferreira, V.M.; Grosse-Wortmann, L.; He, T.; Kellman, P.; Mascherbauer, J.; Nezafat, R.; Salerno, M.; Schelbert, E.B.; et al. Clinical recommendations for cardiovascular magnetic resonance mapping of T1, T2, T2* and extracellular volume: A consensus statement by the Society for Cardiovascular Magnetic Resonance (SCMR) endorsed by the European Association for Cardiovascular Imaging (EACVI). J. Cardiovasc. Magn. Reson. Off. J. Soc. Cardiovasc. Magn. Reson. 2017, 19, 75. [Google Scholar] [CrossRef]
- Engblom, H.; Kanski, M.; Kopic, S.; Nordlund, D.; Xanthis, C.G.; Jablonowski, R.; Heiberg, E.; Aletras, A.H.; Carlsson, M.; Arheden, H. Importance of standardizing timing of hematocrit measurement when using cardiovascular magnetic resonance to calculate myocardial extracellular volume (ECV) based on pre- and post-contrast T1 mapping. J. Cardiovasc. Magn. Reson. Off. J. Soc. Cardiovasc. Magn. Reson. 2018, 20, 46. [Google Scholar] [CrossRef]
- Su, M.Y.; Huang, Y.S.; Niisato, E.; Chow, K.; Juang, J.J.; Wu, C.K.; Yu, H.Y.; Lin, L.Y.; Yang, S.C.; Chang, Y.C. Is a timely assessment of the hematocrit necessary for cardiovascular magnetic resonance-derived extracellular volume measurements? J. Cardiovasc. Magn. Reson. Off. J. Soc. Cardiovasc. Magn. Reson. 2020, 22, 77. [Google Scholar] [CrossRef]
- Silvennoinen, M.J.; Kettunen, M.I.; Kauppinen, R.A. Effects of hematocrit and oxygen saturation level on blood spin-lattice relaxation. Magn. Reson. Med. 2003, 49, 568–571. [Google Scholar] [CrossRef] [PubMed]
- Fent, G.J.; Garg, P.; Foley, J.R.J.; Swoboda, P.P.; Dobson, L.E.; Erhayiem, B.; Treibel, T.A.; Moon, J.C.; Greenwood, J.P.; Plein, S. Synthetic Myocardial Extracellular Volume Fraction. JACC Cardiovasc. Imaging 2017, 10, 1402–1404. [Google Scholar] [CrossRef] [PubMed]
- Chen, W.; Doeblin, P.; Al-Tabatabaee, S.; Klingel, K.; Tanacli, R.; Jakob Weiß, K.; Stehning, C.; Patel, A.R.; Pieske, B.; Zou, J.; et al. Synthetic Extracellular Volume in Cardiac Magnetic Resonance Without Blood Sampling: A Reliable Tool to Replace Conventional Extracellular Volume. Circ. Cardiovasc. Imaging 2022, 15, e013745. [Google Scholar] [CrossRef]
- Opatril, L.; Panovsky, R.; Machal, J.; Holecek, T.; Masarova, L.; Feitova, V.; Kincl, V.; Hodejovsky, M.; Spinarova, L. Extracellular volume quantification using synthetic haematocrit assessed from native and post-contrast longitudinal relaxation T1 times of a blood pool. BMC Cardiovasc. Disord. 2021, 21, 363. [Google Scholar] [CrossRef]
- Robison, S.; Karur, G.R.; Wald, R.M.; Thavendiranathan, P.; Crean, A.M.; Hanneman, K. Noninvasive hematocrit assessment for cardiovascular magnetic resonance extracellular volume quantification using a point-of-care device and synthetic derivation. J. Cardiovasc. Magn. Reson. Off. J. Soc. Cardiovasc. Magn. Reson. 2018, 20, 19. [Google Scholar] [CrossRef]
- Raucci, F.J., Jr.; Parra, D.A.; Christensen, J.T.; Hernandez, L.E.; Markham, L.W.; Xu, M.; Slaughter, J.C.; Soslow, J.H. Synthetic hematocrit derived from the longitudinal relaxation of blood can lead to clinically significant errors in measurement of extracellular volume fraction in pediatric and young adult patients. J. Cardiovasc. Magn. Reson. Off. J. Soc. Cardiovasc. Magn. Reson. 2017, 19, 58. [Google Scholar] [CrossRef]
- Shang, Y.; Zhang, X.; Zhou, X.; Wang, J. Extracellular volume fraction measurements derived from the longitudinal relaxation of blood-based synthetic hematocrit may lead to clinical errors in 3 T cardiovascular magnetic resonance. J. Cardiovasc. Magn. Reson. Off. J. Soc. Cardiovasc. Magn. Reson. 2018, 20, 56. [Google Scholar] [CrossRef] [PubMed]
- Yasuda, N.; Kato, S.; Horita, N.; Sekii, R.; Sawamura, S.; Nagase, H.; Utsunomiya, D. Synthetic extracellular volume fraction as an imaging biomarker of the myocardial interstitium without blood sampling: A systematic review and meta-analysis. J. Cardiovasc. Magn. Reson. Off. J. Soc. Cardiovasc. Magn. Reson. 2025, 27, 101889. [Google Scholar] [CrossRef]
- Ommen, S.R.; Mital, S.; Burke, M.A.; Day, S.M.; Deswal, A.; Elliott, P.; Evanovich, L.L.; Hung, J.; Joglar, J.A.; Kantor, P.; et al. 2020 AHA/ACC Guideline for the Diagnosis and Treatment of Patients With Hypertrophic Cardiomyopathy: A Report of the American College of Cardiology/American Heart Association Joint Committee on Clinical Practice Guidelines. Circulation 2020, 142, e558–e631. [Google Scholar] [CrossRef]
- Treibel, T.A.; Fontana, M.; Maestrini, V.; Castelletti, S.; Rosmini, S.; Simpson, J.; Nasis, A.; Bhuva, A.N.; Bulluck, H.; Abdel-Gadir, A.; et al. Automatic Measurement of the Myocardial Interstitium: Synthetic Extracellular Volume Quantification Without Hematocrit Sampling. JACC Cardiovasc. Imaging 2016, 9, 54–63. [Google Scholar] [CrossRef]
- Kammerlander, A.A.; Duca, F.; Binder, C.; Aschauer, S.; Zotter-Tufaro, C.; Koschutnik, M.; Marzluf, B.A.; Bonderman, D.; Mascherbauer, J. Extracellular volume quantification by cardiac magnetic resonance imaging without hematocrit sampling: Ready for prime time? Wien. Klin. Wochenschr. 2018, 130, 190–196. [Google Scholar] [CrossRef]
- Censi, S.; Cimaglia, P.; Barbieri, A.; Naldi, M.; Ruggerini, S.; Brogneri, S.; Tonet, E.; Rapezzi, C.; Squeri, A. Performance of Synthetic Extracellular Volume Fraction in Different Cardiac Phenotypes from a Prospective Cohort of Patients Referred for Cardiac Magnetic Resonance. J. Magn. Reson. Imaging 2021, 54, 429–439. [Google Scholar] [CrossRef]
- Raunig, D.L.; McShane, L.M.; Pennello, G.; Gatsonis, C.; Carson, P.L.; Voyvodic, J.T.; Wahl, R.L.; Kurland, B.F.; Schwarz, A.J.; Gonen, M.; et al. Quantitative imaging biomarkers: A review of statistical methods for technical performance assessment. Stat. Methods Med. Res. 2015, 24, 27–67. [Google Scholar] [CrossRef]
- Kawel-Boehm, N.; Hetzel, S.J.; Ambale-Venkatesh, B.; Captur, G.; Francois, C.J.; Jerosch-Herold, M.; Salerno, M.; Teague, S.D.; Valsangiacomo-Buechel, E.; Van Der Geest, R.J.; et al. Reference ranges (“normal values”) for cardiovascular magnetic resonance (CMR) in adults and children: 2020 update. J. Cardiovasc. Magn. Reson. 2020, 22, 87. [Google Scholar] [CrossRef] [PubMed]
- Kramer, C.M.; Chandrashekhar, Y.; Narula, J. T1 mapping by CMR in cardiomyopathy: A noninvasive myocardial biopsy? JACC Cardiovasc. Imaging 2013, 6, 532–534. [Google Scholar] [CrossRef]
- Rajiah, P.; Kirsch, J.; Bolen, M.A.; Batlle, J.C.; Brown, R.K.J.; Francois, C.J.; Galizia, M.S.; Hanneman, K.; Inacio, J.R.; Johri, A.M.; et al. ACR Appropriateness Criteria® Nonischemic Myocardial Disease with Clinical Manifestations (Ischemic Cardiomyopathy Already Excluded). J. Am. Coll. Radiol. 2021, 18, S83–S105. [Google Scholar] [CrossRef]
- Cadour, F.; Quemeneur, M.; Biere, L.; Donal, E.; Bentatou, Z.; Eicher, J.C.; Roubille, F.; Lalande, A.; Giorgi, R.; Rapacchi, S.; et al. Prognostic value of cardiovascular magnetic resonance T1 mapping and extracellular volume fraction in nonischemic dilated cardiomyopathy. J. Cardiovasc. Magn. Reson. Off. J. Soc. Cardiovasc. Magn. Reson. 2023, 25, 7. [Google Scholar] [CrossRef]
- Kellman, P.; Wilson, J.R.; Xue, H.; Bandettini, W.P.; Shanbhag, S.M.; Druey, K.M.; Ugander, M.; Arai, A.E. Extracellular volume fraction mapping in the myocardium, part 2: Initial clinical experience. J. Cardiovasc. Magn. Reson. Off. J. Soc. Cardiovasc. Magn. Reson. 2012, 14, 64. [Google Scholar] [CrossRef]
- Piechnik, S.K.; Ferreira, V.M.; Lewandowski, A.J.; Ntusi, N.A.; Banerjee, R.; Holloway, C.; Hofman, M.B.; Sado, D.M.; Maestrini, V.; White, S.K.; et al. Normal variation of magnetic resonance T1 relaxation times in the human population at 1.5 T using ShMOLLI. J. Cardiovasc. Magn. Reson. Off. J. Soc. Cardiovasc. Magn. Reson. 2013, 15, 13. [Google Scholar] [CrossRef] [PubMed]
- Chen, L.; Zhang, Z.; Du, X.; Liu, J.; Liu, Z.; Chen, W.; Che, W. Establishment and validation of an extracellular volume model without blood sampling in ST-segment elevation myocardial infarction patients. Eur. Heart J. Imaging Methods Pract. 2024, 2, qyae053. [Google Scholar] [CrossRef] [PubMed]


| Study | Sample Size | Scanner | Sequence | Notes on the Math Model Used | Formula |
|---|---|---|---|---|---|
| Treibel et al. [14] | All subjects (N = 427) Derivation (n = 214) Validation (n = 213) | Siemens | MOLLI and shMOLLI | ||
| Fent et al. [6] | All subjects (N = 421) 1.5T (n = 203) 3T (n = 218) | Philips | MOLLI | ||
| Kammerlander et al. [15] | All subjects (N = 513) Derivation (n = 200) Validation (n = 313) | Siemens | MOLLI | ||
| Censi et al. [16] | All subjects (N = 165) Derivation (n = 83) Validation (n = 82) | Philips | MOLLI | ||
| Opatril et al. [8] | All subjects (N = 139) | Philips | MOLLI | Compared linear vs. reciprocal regression model (reciprocal model is better) | |
| Chen et al. [7] | All subjects (N = 1101) Derivation (n = 550) Validation (n = 551) | Philips (and 3T Philips) | MOLLI | Deming regression used over ordinary least squares regression (Ord reg underestimates the regression coefficient when the predictor variable is subject to measurement error) | Male LV: Male RV: Female LV: Female RV: LV multiple regression equation: * |
| Demographics | Mean ± SD, N (%) |
|---|---|
| Female | 39 (26) |
| Age (years) | 58 ± 14 |
| BSA (m2) | |
| Cardiac amyloidosis | 36 (24) |
| Hypertrophic cardiomyopathy | 20 (14) |
| Cardiac sarcoidosis | 56 (38) |
| Clinical | |
| LV EDV (mL/m2) | 85 ± 23 |
| LV ESV (mL/m2) | 41 ± 22 |
| LV mass index (g/m2) | 67 ± 24 |
| Stroke volume (mL) | 89 ± 26 |
| LVEF (%) | 53 ± 11 |
| Native myocardial T1 time (ms) | 1022 ± 77 |
| Native LV blood T1 time (ms) | 1571 ± 109 |
| Measured Hct (%) | 41.5 ± 5 |
| Synthetic Method | Measured Mean ± SD | Synthetic Mean ± SD | Mean Difference | p-Value | ICC (95% LL, UL) |
|---|---|---|---|---|---|
| Hematocrit | |||||
| Treibel et al. [14] | 41.5 ± 5.0 | 43.1 ± 3.8 | 1.5 ± 3.8 | <0.001 | 0.600 (0.499, 0.685) |
| Fent et al. [6] | 41.5 ± 5.0 | 42.3 ± 4.0 | 0.8 ± 3.8 | 0.0165 | 0.636 (0.534, 0.719) |
| Kammerlander et al. [15] | 41.5 ± 5.0 | 40 ± 2.7 | −1.6 ± 3.8 | <0.001 | 0.516 (0.424, 0.598) |
| Censi et al. [16] | 41.5 ± 5.0 | 40.1 ± 3.3 | −1.4 ± 3.8 | <0.001 | 0.575 (0.476, 0.659) |
| Opatril et al. [8] | 41.5 ± 5.0 | 42 ± 3.4 | 0.5 ± 3.8 | 0.1249 | 0.600 (0.500, 0.683) |
| Chen et al. [7] | 41.5 ± 5.0 | 41.9 ± 4.1 | 0.3 ± 3.8 | 0.274 | 0.658 (0.560, 0.738) |
| Extracellular volume | |||||
| Treibel et al. [14] | 31.5 ± 12.3 | 30.7 ± 11.5 | −0.8 ± 2.5 | <0.001 | 0.976 (0.968, 0.982) |
| Fent et al. [6] | 31.5 ± 12.3 | 31.1 ± 11.7 | −0.4 ± 2.4 | 0.0375 | 0.979 (0.971, 0.984) |
| Kammerlander et al. [15] | 31.5 ± 12.3 | 32.3 ± 11.9 | 0.8 ± 2.5 | <0.001 | 0.977 (0.968, 0.983) |
| Censi et al. [16] | 31.5 ± 12.3 | 32.2 ± 11.9 | 0.7 ± 2.4 | <0.001 | 0.978 (0.97, 0.984) |
| Opatril et al. [8] | 31.5 ± 12.3 | 31.2 ± 11.4 | −0.3 ± 2.5 | 0.108 | 0.977 (0.969, 0.983) |
| Chen et al. [7] | 31.5 ± 12.3 | 31.3 ± 11.6 | −0.2 ± 2.4 | 0.2436 | 0.980 (0.973, 0.986) |
| (A) | |||||
| Synthetic Method | Measured Mean ± SD | Synthetic Mean ± SD | Mean Difference | p-Value | ICC (95% LL, UL) |
| Hematocrit | |||||
| Treibel et al. [14] | 34.9 ± 4.5 | 39.3 ± 3.0 | 4.4 ± 4.3 | <0.001 | 0.237 (0.023, 0.430) |
| Fent et al. [6] | 34.9 ± 4.5 | 38.3 ± 3.2 | 3.4 ± 4.3 | <0.001 | 0.291 (0.034, 0.511) |
| Kammerlander et al. [15] | 34.9 ± 4.5 | 37.3 ± 2.2 | 2.4 ± 4.1 | 0.0033 | 0.273 (0.037, 0.480) |
| Censi et al. [16] | 34.9 ± 4.5 | 36.8 ± 2.7 | 1.9 ± 4.2 | 0.0163 | 0.327 (0.048, 0.559) |
| Opatril et al. [8] | 34.9 ± 4.5 | 38.9 ± 2.6 | 4 ± 4.2 | <0.001 | 0.226 (0.019, 0.415) |
| Chen et al. [7] | 34.9 ± 4.5 | 38.3 ± 3.4 | 3.4 ± 3.9 | <0.001 | 0.381 (0.129, 0.587) |
| Extracellular volume | |||||
| Treibel et al. [14] | 43.2 ± 15.6 | 40.4 ± 14.2 | −2.9 ± 3.2 | <0.001 | 0.959 (0.921, 0.979) |
| Fent et al. [6] | 43.2 ± 15.6 | 41.0 ± 14.5 | −2.2 ± 3.2 | <0.001 | 0.967 (0.935, 0.984) |
| Kammerlander et al. [15] | 43.2 ± 15.6 | 41.7 ± 14.6 | −1.6 ± 3.0 | 0.0078 | 0.975 (0.949, 0.987) |
| Censi et al. [16] | 43.2 ± 15.6 | 42.0 ± 14.7 | −1.2 ± 3.0 | 0.0295 | 0.977 (0.952, 0.989) |
| Opatril et al. [8] | 43.2 ± 15.6 | 40.6 ± 14.1 | −2.7 ± 3.3 | <0.001 | 0.960 (0.923, 0.979) |
| Chen et al. [7] | 43.2 ± 15.6 | 41.0 ± 14.5 | −2.2 ± 2.8 | <0.001 | 0.972 (0.945, 0.986) |
| (B) | |||||
| Synthetic Method | Measured Mean ± SD | Synthetic Mean ± SD | Mean Difference | p-Value | ICC (95% LL, UL) |
| Hematocrit | |||||
| Treibel et al. [14] | 43.3 ± 3.5 | 44.0 ± 3.3 | 0.7 ± 3.3 | 0.0167 | 0.514 (0.369, 0.634) |
| Fent et al. [6] | 43.3 ± 3.5 | 43.4 ± 3.5 | 0.1 ± 3.4 | 0.8385 | 0.527 (0.381, 0.647) |
| Kammerlander et al. [15] | 43.3 ± 3.5 | 40.7 ± 2.4 | −2.6 ± 3.0 | <0.001 | 0.356 (0.241, 0.462) |
| Censi et al. [16] | 43.3 ± 3.5 | 41.0 ± 2.9 | −2.3 ± 3.1 | <0.001 | 0.410 (0.282, 0.524) |
| Opatril et al. [8] | 43.3 ± 3.5 | 42.9 ± 3.1 | −0.5 ± 3.1 | 0.1171 | 0.541 (0.401, 0.657) |
| Chen et al. [7] | 43.3 ± 3.5 | 42.8 ± 3.8 | −0.5 ± 3.3 | 0.1218 | 0.575 (0.440, 0.684) |
| Extracellular volume | |||||
| Treibel et al. [14] | 28.4 ± 9.1 | 28.1 ± 9.1 | −0.3 ± 1.9 | 0.1127 | 0.978 (0.968, 0.985) |
| Fent et al. [6] | 28.4 ± 9.1 | 28.4 ± 9.3 | 0.1 ± 2.0 | 0.7525 | 0.977 (0.967, 0.984) |
| Kammerlander et al. [15] | 28.4 ± 9.1 | 29.8 ± 9.7 | 1.4 ± 1.9 | <0.001 | 0.969 (0.956, 0.978) |
| Censi et al. [16] | 28.4 ± 9.1 | 29.6 ± 9.6 | 1.3 ± 1.9 | <0.001 | 0.970 (0.958, 0.979) |
| Opatril et al. [8] | 28.4 ± 9.1 | 28.7 ± 9.2 | 0.3 ± 1.9 | 0.0961 | 0.979 (0.969, 0.985) |
| Chen et al. [7] | 28.4 ± 9.1 | 28.7 ± 9.2 | 0.3 ± 1.9 | 0.0855 | 0.977 (0.968, 0.984) |
| Normal Subjects (N = 36) | Hypertrophic Cardiomyopathy (N = 20) | Amyloidosis (N = 36) | Sarcoidosis (N = 56) | |||||
|---|---|---|---|---|---|---|---|---|
| Mean Difference | ICC (95% LL, UL) | Mean Difference | ICC (95% LL, UL) | Mean Difference | ICC (95% LL, UL) | Mean Difference | ICC (95% LL, UL) | |
| Hematocrit | ||||||||
| Treibel et al. [14] | −0.2 ± 3.2 | 0.605 (0.384, 0.760) | −1.3 ± 4.5 | 0.348 (−0.023, 0.634) | −1.8 ± 4.6 | 0.607 (0.400, 0.755) | −2.2 ± 3.2 | 0.547 (0.362, 0.690) |
| Fent et al. [6] | 0.5 ± 3.2 | 0.615 (0.389, 0.772) | −0.5 ± 4.5 | 0.375 (−0.021, 0.669) | −0.9 ± 4.6 | 0.648 (0.440, 0.790) | −1.6 ± 3.2 | 0.593 (0.405, 0.734) |
| Kammerlander et al. [15] | 2.8 ± 3.3 | 0.382 (0.205, 0.536) | 1.7 ± 4.5 | 0.27 (−0.019, 0.518) | 0.6 ± 4.9 | 0.534 (0.358, 0.673) | 1.3 ± 2.9 | 0.556 (0.377, 0.694) |
| Censi et al. [16] | 2.7 ± 3.3 | 0.443 (0.243, 0.606) | 1.6 ± 4.5 | 0.312 (−0.022, 0.583) | 0.9 ± 4.7 | 0.595 (0.400, 0.738) | 0.9 ± 3.0 | 0.612 (0.425, 0.748) |
| Opatril et al. [8] | 1.0 ± 3.1 | 0.596 (0.386, 0.748) | −0.2 ± 4.4 | 0.359 (0.003, 0.634) | −1.4 ± 4.8 | 0.579 (0.376, 0.730) | −0.9 ± 3.1 | 0.607 (0.416, 0.746) |
| Chen et al. [7] | 1.6 ± 3.1 | 0.636 (0.413, 0.787) | 0.1 ± 4.3 | 0.449 (0.053, 0.723) | −0.9 ± 4.4 | 0.687 (0.496, 0.815) | −1.4 ± 3.2 | 0.608 (0.420, 0.746) |
| Extracellular volume | ||||||||
| Treibel et al. [14] | 0.1 ± 1.5 | 0.854 (0.728, 0.925) | 0.6 ± 2.3 | 0.816 (0.574, 0.927) | 1.6 ± 4.0 | 0.936 (0.884, 0.965) | 1.0 ± 1.4 | 0.799 (0.689, 0.873) |
| Fent et al. [6] | −0.3 ± 1.5 | 0.851 (0.724, 0.922) | 0.2 ± 2.3 | 0.823 (0.586, 0.930) | 0.9 ± 4.0 | 0.943 (0.896, 0.969) | 0.7 ± 1.4 | 0.825 (0.721, 0.892) |
| Kammerlander et al. [15] | −1.3 ± 1.6 | 0.752 (0.582, 0.859) | −0.9 ± 2.3 | 0.795 (0.539, 0.917) | −0.5 ± 4.1 | 0.942 (0.891, 0.970) | −0.6 ± 1.3 | 0.839 (0.748, 0.899) |
| Censi et al. [16] | −1.3 ± 1.6 | 0.768 (0.606, 0.869) | −0.9 ± 2.3 | 0.800 (0.549, 0.919) | −0.7 ± 4.0 | 0.946 (0.898, 0.972) | −0.4 ± 1.3 | 0.854 (0.765, 0.911) |
| Opatril et al. [8] | −0.5 ± 1.5 | 0.841 (0.708, 0.917) | 0.0 ± 2.3 | 0.822 (0.585, 0.930) | 1.2 ± 4.2 | 0.935 (0.882, 0.965) | 0.4 ± 1.3 | 0.842 (0.749, 0.903) |
| Chen et al. [7] | −0.8 ± 1.5 | 0.832 (0.697, 0.910) | −0.1 ± 2.2 | 0.837 (0.616, 0.936) | 0.9 ± 3.7 | 0.951 (0.910, 0.973) | 0.6 ± 1.4 | 0.836 (0.737, 0.900) |
| Synthetic Method | Accuracy | Sens | Spec | PPV | NPV | Cohen’s Kappa |
|---|---|---|---|---|---|---|
| Treibel et al. [14] | 93 | 88 | 95 | 88 | 95 | 0.83 (0.73, 0.93) |
| Fent et al. [6] | 93 | 90 | 93 | 84 | 96 | 0.82 (0.72, 0.92) |
| Kammerlander et al. [15] | 92 | 90 | 92 | 83 | 96 | 0.81 (0.70, 0.91) |
| Censi et al. [16] | 92 | 90 | 92 | 83 | 96 | 0.81 (0.70, 0.91) |
| Opatril et al. [8] | 93 | 88 | 95 | 88 | 95 | 0.83 (0.73, 0.93) |
| Chen et al. [7] | 92 | 90 | 92 | 83 | 96 | 0.81 (0.70, 0.91) |
Disclaimer/Publisher’s Note: The statements, opinions and data contained in all publications are solely those of the individual author(s) and contributor(s) and not of MDPI and/or the editor(s). MDPI and/or the editor(s) disclaim responsibility for any injury to people or property resulting from any ideas, methods, instructions or products referred to in the content. |
© 2026 by the authors. Licensee MDPI, Basel, Switzerland. This article is an open access article distributed under the terms and conditions of the Creative Commons Attribution (CC BY) license.
Share and Cite
Choi, J.W.; Biso, S.; Weber, J.; Pipitone, K.; Philip, S.; Khalique, O.K. Excellent Reproducibility of Synthetic Extracellular Volume Without Blood Extraction Across Different Cardiomyopathies Using Published Regression Models. J. Cardiovasc. Dev. Dis. 2026, 13, 34. https://doi.org/10.3390/jcdd13010034
Choi JW, Biso S, Weber J, Pipitone K, Philip S, Khalique OK. Excellent Reproducibility of Synthetic Extracellular Volume Without Blood Extraction Across Different Cardiomyopathies Using Published Regression Models. Journal of Cardiovascular Development and Disease. 2026; 13(1):34. https://doi.org/10.3390/jcdd13010034
Chicago/Turabian StyleChoi, Jeong W., Sylvia Biso, Jonathan Weber, Karli Pipitone, Shibu Philip, and Omar K. Khalique. 2026. "Excellent Reproducibility of Synthetic Extracellular Volume Without Blood Extraction Across Different Cardiomyopathies Using Published Regression Models" Journal of Cardiovascular Development and Disease 13, no. 1: 34. https://doi.org/10.3390/jcdd13010034
APA StyleChoi, J. W., Biso, S., Weber, J., Pipitone, K., Philip, S., & Khalique, O. K. (2026). Excellent Reproducibility of Synthetic Extracellular Volume Without Blood Extraction Across Different Cardiomyopathies Using Published Regression Models. Journal of Cardiovascular Development and Disease, 13(1), 34. https://doi.org/10.3390/jcdd13010034

