Role of Computed Tomography and Other Non-Invasive and Invasive Imaging Modalities in Cardiac Allograft Vasculopathy
Abstract
1. Introduction
2. Pathophysiology of Cardiac Allograft Vasculopathy
3. Invasive Coronary Angiography

4. Intravascular Imaging Modalities
5. Non-Invasive Imaging Modalities
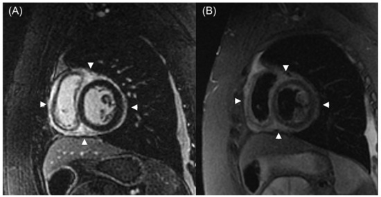
5.1. Cardiac Magnetic Resonance Imaging (CMR)


5.2. Cardiac Computed Tomography Angiography (CCTA)

5.3. Nuclear Imaging
5.4. Echocardiography
6. Emerging Hybrid Imaging
6.1. Near-Infrared Spectroscopy (NIRS)
6.2. Near-Infrared Autofluorescence (NIRAF)
7. Physiological Assessment of Coronary Flow in CAV
8. Artificial Intelligence (AI) in CAV Imaging
9. Future Directions
10. Conclusions
Author Contributions
Funding
Institutional Review Board Statement
Informed Consent Statement
Data Availability Statement
Conflicts of Interest
References
- Yusen, R.D.; Edwards, L.B.; Dipchand, A.I.; Goldfarb, S.B.; Kucheryavaya, A.Y.; Levvey, B.J.; Lund, L.H.; Meiser, B.; Rossano, J.W.; Stehlik, J. The registry of the international society for heart and lung transplantation: Thirty-third adult lung and heart-lung transplant report-2016; Focus theme: Primary diagnostic indications for transplant. J. Heart Lung Transplant. 2016, 35, 1170–1184. [Google Scholar] [CrossRef] [PubMed]
- Lund, L.H.; Edwards, L.B.; Kucheryavaya, A.Y.; Benden, C.; Dipchand, A.I.; Goldfarb, S.; Levvey, B.J.; Meiser, B.; Rossano, J.W.; Yusen, R.D.; et al. The registry of the international society for heart and lung transplantation: Thirty-second official adult heart transplantation report—2015; Focus theme: Early graft failure. J. Heart Lung Transplant. 2015, 34, 1244–1254. [Google Scholar] [CrossRef] [PubMed]
- Khush, K.K.; Cherikh, W.S.; Chambers, D.C.; Harhay, M.O.; Hayes, D., Jr.; Hsich, E.; Meiser, B.; Potena, L.; Robinson, A.; Rossano, J.W.; et al. The International Thoracic Organ Transplant Registry of the International Society for Heart and Lung Transplantation: Thirty-sixth adult heart transplantation report—2019; focus theme: Donor and recipient size match. J. Heart Lung Transplant. 2019, 38, 1056–1066. [Google Scholar] [CrossRef] [PubMed]
- Lee, F.; Nair, V.; Chih, S. Cardiac allograft vasculopathy: Insights on pathogenesis and therapy. Clin. Transplant. 2020, 34, e13794. [Google Scholar] [CrossRef]
- Chih, S.; Chong, A.Y.; Mielniczuk, L.M.; Bhatt, D.L.; Beanlands, R.S.B. Allograft vasculopathy: The Achilles’ heel of heart transplantation. J. Am. Coll. Cardiol. 2016, 68, 80–91. [Google Scholar] [CrossRef]
- Velleca, A.; Shullo, M.A.; Dhital, K.; Azeka, E.; Colvin, M.; DePasquale, E.; Farrero, M.; García-Guereta, L.; Jamero, G.; Khush, K.; et al. The International Society for Heart and Lung Transplantation (ISHLT) guidelines for the care of heart transplant recipients. J. Heart Lung Transplant. 2023, 42, e1–e141. [Google Scholar] [CrossRef]
- Abadie, B.Q.; Chan, N.; Sharalaya, Z.; Bhat, P.; Harb, S.; Jacob, M.; Starling, R.C.; Tang, W.W.; Cremer, P.C.; Jaber, W.A. Negative predictive value and prognostic associations of Rb-82 PET/CT with myocardial blood flow in CAV. JACC Heart Fail. 2023, 11, 555–565. [Google Scholar] [CrossRef]
- Rahmani, M.; Cruz, R.P.; Granville, D.J.; McManus, B.M. Allograft vasculopathy versus atherosclerosis. Circ. Res. 2006, 99, 801–815. [Google Scholar] [CrossRef]
- Vassalli, G.; Gallino, A.; Weis, M.; von Scheidt, W.; Kappenberger, L.; von Segesser, L.K.; Goy, J.J. Alloimmunity and nonimmunologic risk factors in cardiac allograft vasculopathy. Eur. Heart J. 2003, 24, 1180–1188. [Google Scholar] [CrossRef]
- Pober, J.S.; Chih, S.; Kobashigawa, J.; Madsen, J.C.; Tellides, G. Cardiac allograft vasculopathy: Current review and future research directions. Cardiovasc. Res. 2021, 117, 2624–2638. [Google Scholar] [CrossRef]
- Kobashigawa, J.A.; Pauly, D.F.; Starling, R.C.; Eisen, H.; Ross, H.; Wang, S.-S.; Cantin, B.; Hill, J.A.; Lopez, P.; Dong, G.; et al. Cardiac allograft vasculopathy by intravascular ultrasound in heart transplant patients: Substudy from the Everolimus versus mycophenolate mofetil randomized, multicenter trial. JACC Heart Fail. 2013, 1, 389–399. [Google Scholar] [CrossRef] [PubMed]
- Madan, S.; Patel, S.R.; Saeed, O.; Forest, S.; Jakobleff, W.A.; Shin, J.J.; Sims, D.; Goldstein, D.; Jorde, U. Induction with rabbit-thymoglobulin (r-ATG) is associated with lower cardiac allograft vasculopathy (CAV). J. Heart Lung Transplant. 2019, 38, S219. [Google Scholar] [CrossRef]
- Starling, R.C.; Armstrong, B.; Bridges, N.D.; Eisen, H.; Givertz, M.M.; Kfoury, A.G.; Kobashigawa, J.; Ikle, D.; Morrison, Y.; Pinney, S.; et al. Accelerated allograft vasculopathy with rituximab after Cardiac Transplantation. J. Am. Coll. Cardiol. 2019, 74, 36–51. [Google Scholar] [CrossRef] [PubMed]
- Kemna, M.S.; Valantine, H.A.; Hunt, S.A.; Schroeder, J.S.; Chen, Y.D.; Reaven, G.M. Metabolic risk factors for atherosclerosis in heart transplant recipients. Am. Heart J. 1994, 128, 68–72. [Google Scholar] [CrossRef]
- Pethig, K.; Heublein, B.; Kutschka, I.; Haverich, A. Systemic inflammatory response in cardiac allograft vasculopathy: High-sensitive C-reactive protein is associated with progressive luminal obstruction. Circulation 2000, 102 (Suppl. S3), III233-6. [Google Scholar] [CrossRef]
- Stehlik, J.; Edwards, L.B.; Kucheryavaya, A.Y.; Aurora, P.; Christie, J.D.; Kirk, R.; Dobbels, F.; Rahmel, A.O.; Hertz, M.I. The Registry of the International Society for Heart and Lung Transplantation: Twenty-seventh official adult heart transplant report—2010. J. Heart Lung Transplant. 2010, 29, 1089–1103. [Google Scholar] [CrossRef]
- Van Keer, J.M.; Van Aelst, L.N.L.; Rega, F.; Droogne, W.; Voros, G.; Meyns, B.; Vanhaecke, J.; Emonds, M.-P.; Janssens, S.; Naesens, M.; et al. Long-term outcome of cardiac allograft vasculopathy: Importance of the International Society for Heart and Lung Transplantation angiographic grading scale. J. Heart Lung Transplant. 2019, 38, 1189–1196. [Google Scholar] [CrossRef]
- Khush, K.K.; Hsich, E.; Potena, L.; Cherikh, W.S.; Chambers, D.C.; Harhay, M.O.; Hayes, D.; Perch, M.; Sadavarte, A.; Toll, A.; et al. The International Thoracic Organ Transplant Registry of the International Society for Heart and Lung Transplantation: Thirty-eighth adult heart transplantation report—2021; Focus on recipient characteristics. J. Heart Lung Transplant. 2021, 40, 1035–1049. [Google Scholar] [CrossRef]
- Costanzo, M.R.; Naftel, D.C.; Pritzker, M.R.; Heilman, J.K., 3rd; Boehmer, J.P.; Brozena, S.C.; Dec, G.W.; Ventura, H.O.; Kirklin, J.K.; Bourge, R.C.; et al. Heart transplant coronary artery disease detected by coronary angiography: A multiinstitutional study of preoperative donor and recipient risk factors. Cardiac Transplant Research Database. J. Heart Lung Transplant. 1998, 17, 744–753. [Google Scholar]
- Olymbios, M.; Kwiecinski, J.; Berman, D.S.; Kobashigawa, J.A. Imaging in heart transplant patients. JACC Cardiovasc. Imaging 2018, 11, 1514–1530. [Google Scholar] [CrossRef]
- Johnson, D.E.; Alderman, E.L.; Schroeder, J.S.; Gao, S.Z.; Hunt, S.; DeCampli, W.M.; Stinson, E.; Billingham, M. Transplant coronary artery disease: Histopathologic correlations with angiographic morphology. J. Am. Coll. Cardiol. 1991, 17, 449–457. [Google Scholar] [CrossRef]
- Shahandeh, N.; Kashiyama, K.; Honda, Y.; Nsair, A.; Ali, Z.A.; Tobis, J.M.; Fearon, W.F.; Parikh, R.V. Invasive coronary imaging assessment for cardiac allograft vasculopathy: State-of-the-art review. J. Soc. Cardiovasc. Angiogr. Interv. 2022, 1, 100344. [Google Scholar] [CrossRef]
- Tuzcu, E.M.; Hobbs, R.E.; Rincon, G.; Bott-Silverman, C.; De Franco, A.C.; Robinson, K.; McCarthy, P.M.; Stewart, R.W.; Guyer, S.; Nissen, S.E. Occult and frequent transmission of atherosclerotic coronary disease with cardiac transplantation. Insights from intravascular ultrasound: Insights from intravascular ultrasound. Circulation 1995, 91, 1706–1713. [Google Scholar] [CrossRef]
- St Goar, F.G.; Pinto, F.J.; Alderman, E.L.; Valantine, H.A.; Schroeder, J.S.; Gao, S.Z.; Stinson, E.B.; Popp, R.L. Intracoronary ultrasound in cardiac transplant recipients. In vivo evidence of “angiographically silent” intimal thickening. Circulation 1992, 85, 979–987. [Google Scholar] [CrossRef]
- Kapadia, S.R.; Ziada, K.M.; L’Allier, P.L.; Crowe, T.D.; Rincon, G.; Hobbs, R.E.; Bott-Silverman, C.; Young, J.B.; Nissen, S.E.; Tuzcu, E.M. Intravascular ultrasound imaging after cardiac transplantation: Advantage of multi-vessel imaging. J. Heart Lung Transplant. 2000, 19, 167–172. [Google Scholar] [CrossRef]
- Kobashigawa, J.A.; Tobis, J.M.; Starling, R.C.; Tuzcu, E.M.; Smith, A.L.; Valantine, H.A.; Yeung, A.C.; Mehra, M.R.; Anzai, H.; Oeser, B.T.; et al. Multicenter intravascular ultrasound validation study among heart transplant recipients: Outcomes after five years. J. Am. Coll. Cardiol. 2005, 45, 1532–1537. [Google Scholar] [CrossRef]
- Tuzcu, E.M.; Kapadia, S.R.; Sachar, R.; Ziada, K.M.; Crowe, T.D.; Feng, J.; Magyar, W.A.; Hobbs, R.E.; Starling, R.C.; Young, J.B.; et al. Intravascular ultrasound evidence of angiographically silent progression in coronary atherosclerosis predicts long-term morbidity and mortality after cardiac transplantation. J. Am. Coll. Cardiol. 2005, 45, 1538–1542. [Google Scholar] [CrossRef]
- Raichlin, E.; Bae, J.-H.; Khalpey, Z.; Edwards, B.S.; Kremers, W.K.; Clavell, A.L.; Rodeheffer, R.J.; Frantz, R.P.; Rihal, C.; Lerman, A.; et al. Conversion to sirolimus as primary immunosuppression attenuates the progression of allograft vasculopathy after cardiac transplantation. Circulation 2007, 116, 2726–2733. [Google Scholar] [CrossRef]
- Vallakati, A.; Reddy, S.; Dunlap, M.E.; Taylor, D.O. Impact of statin use after heart transplantation: A meta-analysis: A meta-analysis. Circ. Heart Fail. 2016, 9, e003265. [Google Scholar] [CrossRef]
- Potena, L.; Masetti, M.; Sabatino, M.; Bacchi-Reggiani, M.L.; Pece, V.; Prestinenzi, P.; Dall’aRa, G.; Taglieri, N.; Saia, F.; Fallani, F.; et al. Interplay of coronary angiography and intravascular ultrasound in predicting long-term outcomes after heart transplantation. J. Heart Lung Transplant. 2015, 34, 1146–1153. [Google Scholar] [CrossRef]
- Virani, S.S.; Newby, L.K.; Arnold, S.V.; Bittner, V.; Brewer, L.C.; Demeter, S.H.; Dixon, D.L.; Fearon, W.F.; Hess, B.; Johnson, H.M.; et al. 2023 AHA/ACC/ACCP/ASPC/NLA/PCNA guideline for the management of Patients With Chronic Coronary Disease: A report of the American heart association/American college of cardiology joint committee on clinical practice guidelines. Circulation 2023, 148, e9–e119. [Google Scholar] [CrossRef]
- Tearney, G.J.; Regar, E.; Akasaka, T.; Adriaenssens, T.; Barlis, P.; Bezerra, H.G.; Bouma, B.; Bruining, N.; Cho, J.M.; Chowdhary, S.; et al. Consensus standards for acquisition, measurement, and reporting of intravascular optical coherence tomography studies: A report from the International Working Group for Intravascular Optical Coherence Tomography Standardization and Validation. J. Am. Coll. Cardiol. 2012, 59, 1058–1072. [Google Scholar] [CrossRef]
- Javaheri, A.; Saha, N.; Lilly, S.M. How to approach the assessment of cardiac allograft vasculopathy in the modern era: Review of invasive imaging modalities. Curr. Heart Fail. Rep. 2016, 13, 86–91. [Google Scholar] [CrossRef]
- Jang, I.-K.; Bouma, B.E.; Kang, D.-H.; Park, S.-J.; Park, S.-W.; Seung, K.-B.; Choi, K.-B.; Shishkov, M.; Schlendorf, K.; Pomerantsev, E.; et al. Visualization of coronary atherosclerotic plaques in patients using optical coherence tomography: Comparison with intravascular ultrasound. J. Am. Coll. Cardiol. 2002, 39, 604–609. [Google Scholar] [CrossRef]
- Jang, I.-K.; Tearney, G.J.; MacNeill, B.; Takano, M.; Moselewski, F.; Iftima, N.; Shishkov, M.; Houser, S.; Aretz, H.T.; Halpern, E.F.; et al. In vivo characterization of coronary atherosclerotic plaque by use of optical coherence tomography. Circulation 2005, 111, 1551–1555. [Google Scholar] [CrossRef]
- Cassar, A.; Matsuo, Y.; Herrmann, J.; Li, J.; Lennon, R.J.; Gulati, R.; Lerman, L.O.; Kushwaha, S.S.; Lerman, A. Coronary atherosclerosis with vulnerable plaque and complicated lesions in transplant recipients: New insight into cardiac allograft vasculopathy by optical coherence tomography. Eur. Heart J. 2013, 34, 2610–2617. [Google Scholar] [CrossRef]
- Hou, J.; Lv, H.; Jia, H.; Zhang, S.; Xing, L.; Liu, H.; Kong, J.; Zhang, S.; Yu, B.; Jang, I.-K. OCT assessment of allograft vasculopathy in heart transplant recipients. JACC Cardiovasc. Imaging 2012, 5, 662–663. [Google Scholar] [CrossRef]
- Khandhar, S.J.; Yamamoto, H.; Teuteberg, J.J.; Shullo, M.A.; Bezerra, H.G.; Costa, M.A.; Selzer, F.; Lee, J.S.; Marroquin, O.C.; McNamara, D.M.; et al. Optical coherence tomography for characterization of cardiac allograft vasculopathy after heart transplantation (OCTCAV study). J. Heart Lung Transplant. 2013, 32, 596–602. [Google Scholar] [CrossRef]
- Araki, M.; Park, S.-J.; Dauerman, H.L.; Uemura, S.; Kim, J.-S.; Di Mario, C.; Johnson, T.W.; Guagliumi, G.; Kastrati, A.; Joner, M.; et al. Optical coherence tomography in coronary atherosclerosis assessment and intervention. Nat. Rev. Cardiol. 2022, 19, 684–703. [Google Scholar] [CrossRef]
- Chih, S.; Ross, H.J.; Alba, A.C.; Fan, C.S.; Manlhiot, C.; Crean, A.M. Perfusion cardiac magnetic resonance imaging as a rule-out test for cardiac allograft vasculopathy. Am. J. Transplant. 2016, 16, 3007–3015. [Google Scholar] [CrossRef]
- Quinn, S.; Catania, R.; Appadurai, V.; Wilcox, J.E.; Weinberg, R.L.; Lee, D.C.; Carr, J.C.; Markl, M.; Allen, B.D.; Avery, R. Cardiac MRI in heart transplantation: Approaches and clinical insights. Radiographics 2025, 45, e240142. [Google Scholar] [CrossRef] [PubMed]
- Iannino, N.; Fischer, K.; Friedrich, M.; Hafyane, T.; Mongeon, F.-P.; White, M. Myocardial vascular function assessed by dynamic oxygenation-sensitive cardiac magnetic resonance imaging long-term following cardiac transplantation. Transplantation 2021, 105, 1347–1355. [Google Scholar] [CrossRef]
- Braggion-Santos, M.F.; Lossnitzer, D.; Buss, S.; Lehrke, S.; Doesch, A.; Giannitsis, E.; Korosoglou, G.; Katus, H.A.; Steen, H. Late gadolinium enhancement assessed by cardiac magnetic resonance imaging in heart transplant recipients with different stages of cardiac allograft vasculopathy. Eur. Heart J. Cardiovasc. Imaging 2014, 15, 1125–1132. [Google Scholar] [CrossRef]
- Hughes, A.; Okasha, O.; Farzaneh-Far, A.; Kazmirczak, F.; Nijjar, P.S.; Velangi, P.; Akçakaya, M.; Martin, C.M.; Shenoy, C. Myocardial fibrosis and prognosis in heart transplant recipients. Circ. Cardiovasc. Imaging 2019, 12, e009060. [Google Scholar] [CrossRef]
- Miller, C.A.; Sarma, J.; Naish, J.H.; Yonan, N.; Williams, S.G.; Shaw, S.M.; Clark, D.; Pearce, K.; Stout, M.; Potluri, R.; et al. Multiparametric cardiovascular magnetic resonance assessment of cardiac allograft vasculopathy. J. Am. Coll. Cardiol. 2014, 63, 799–808. [Google Scholar] [CrossRef]
- Erbel, C.; Mukhammadaminova, N.; Gleissner, C.A.; Osman, N.F.; Hofmann, N.P.; Steuer, C.; Akhavanpoor, M.; Wangler, S.; Celik, S.; Doesch, A.O.; et al. Myocardial perfusion reserve and strain-encoded CMR for evaluation of cardiac allograft microvasculopathy. JACC Cardiovasc. Imaging 2016, 9, 255–266. [Google Scholar] [CrossRef]
- Anand, S.; Alnsasra, H.; LeMond, L.M.; Shrivastava, S.; Asleh, R.; Rosenbaum, A.; Kobrossi, S.; Mohananey, A.; Murphy, K.; Smith, B.H.; et al. Cardiac magnetic resonance imaging in heart transplant recipients with biopsy-negative graft dysfunction. ESC Heart Fail. 2024, 11, 1594–1601. [Google Scholar] [CrossRef]
- Abbasi, M.A.; Blake, A.M.; Sarnari, R.; Lee, D.; Anderson, A.S.; Ghafourian, K.; Khan, S.S.; Vorovich, E.E.; Rich, J.D.; Wilcox, J.E.; et al. Multiparametric cardiac magnetic resonance imaging detects altered myocardial tissue and function in heart transplantation recipients monitored for cardiac allograft vasculopathy. J. Cardiovasc. Imaging 2022, 30, 263–275. [Google Scholar] [CrossRef]
- Wever-Pinzon, O.; Romero, J.; Kelesidis, I.; Wever-Pinzon, J.; Manrique, C.; Budge, D.; Drakos, S.G.; Piña, I.L.; Kfoury, A.G.; Garcia, M.J.; et al. Coronary computed tomography angiography for the detection of cardiac allograft vasculopathy: A meta-analysis of prospective trials. J. Am. Coll. Cardiol. 2014, 63, 1992–2004. [Google Scholar] [CrossRef]
- Belmonte, M.; Paolisso, P.; Viscusi, M.M.; Beles, M.; Bergamaschi, L.; Sansonetti, A.; Ohashi, H.; Seki, R.; Gallinoro, E.; Esposito, G.; et al. Comprehensive non-invasive versus invasive approach to evaluate cardiac allograft vasculopathy in heart transplantation: The CCTA-HTx study. Circ. Cardiovasc. Imaging 2025, 18, e017197. [Google Scholar] [CrossRef]
- Günther, A.; Andersen, R.; Gude, E.; Jakobsen, J.; Edvardsen, T.; Sandvik, L.; Abildgaard, A.; Aaberge, L.; Gullestad, L. The predictive value of coronary artery calcium detected by computed tomography in a prospective study on cardiac allograft vasculopathy in heart transplant patients. Transpl. Int. 2018, 31, 82–91. [Google Scholar] [CrossRef] [PubMed]
- Miller, R.J.H.; Kwiecinski, J.; Shah, K.S.; Eisenberg, E.; Patel, J.; Kobashigawa, J.A.; Azarbal, B.; Tamarappoo, B.; Berman, D.S.; Slomka, P.J.; et al. Coronary computed tomography-angiography quantitative plaque analysis improves detection of early cardiac allograft vasculopathy: A pilot study. Am. J. Transplant. 2020, 20, 1375–1383. [Google Scholar] [CrossRef]
- Yu, M.; Dai, X.; Deng, J.; Lu, Z.; Shen, C.; Zhang, J. Diagnostic performance of perivascular fat attenuation index to predict hemodynamic significance of coronary stenosis: A preliminary coronary computed tomography angiography study. Eur. Radiol. 2020, 30, 673–681. [Google Scholar] [CrossRef]
- Roest, S.; Budde, R.P.J.; Brugts, J.J.; von der Thüsen, J.; van Walsum, T.; Taverne, Y.J.H.J.; Zijlstra, F.; Bos, D.; Manintveld, O.C. Epicardial fat volume is related to the degree of cardiac allograft vasculopathy. Eur. Radiol. 2023, 33, 330–338. [Google Scholar] [CrossRef]
- Moser, P.T.; Schernthaner, R.; Loewe, C.; Strassl, A.; Denzinger, F.; Faby, S.; Wels, M.; Nizhnikava, V.; Uyanik-Uenal, K.; Zuckermann, A.; et al. Evaluation of perivascular fat attenuation with coronary CT angiography in cardiac transplantation patients: An imaging biomarker candidate for prediction of cardiac mortality and re-transplantation. Eur. Radiol. 2023, 33, 6299–6307. [Google Scholar] [CrossRef]
- Budde, R.P.J.; Nous, F.M.A.; Roest, S.; Constantinescu, A.A.; Nieman, K.; Brugts, J.J.; Koweek, L.M.; Hirsch, A.; Leipsic, J.; Manintveld, O.C. CT-derived fractional flow reserve (FFRct) for functional coronary artery evaluation in the follow-up of patients after heart transplantation. Eur. Radiol. 2022, 32, 1843–1852. [Google Scholar] [CrossRef]
- Sharma, S.P.; Sanz, J.; Hirsch, A.; Patel, R.; Constantinescu, A.A.; Barghash, M.; Mancini, D.M.; Brugts, J.J.; Caliskan, K.; Taverne, Y.J.H.J.; et al. Temporal changes in CT-derived fractional flow reserve in patients after heart transplantation. Eur. Radiol. 2025, 35, 232–243. [Google Scholar] [CrossRef] [PubMed]
- Edvardsen, T.; Asch, F.M.; Davidson, B.; Delgado, V.; DeMaria, A.; Dilsizian, V.; Gaemperli, O.; Garcia, M.J.; Kamp, O.; Lee, D.C.; et al. Non-invasive imaging in coronary syndromes: Recommendations of the European association of cardiovascular imaging and the American society of echocardiography, in collaboration with the American society of nuclear cardiology, society of cardiovascular computed tomography, and society for cardiovascular magnetic resonance. J. Cardiovasc. Comput. Tomogr. 2022, 16, 362–383. [Google Scholar]
- Bluemke, D.A.; Achenbach, S.; Budoff, M.; Gerber, T.C.; Gersh, B.; Hillis, L.D.; Hundley, W.G.; Manning, W.J.; Printz, B.F.; Stuber, M.; et al. Noninvasive coronary artery imaging: Magnetic resonance angiography and multidetector computed tomography angiography: A scientific statement from the American heart association committee on cardiovascular imaging and intervention of the council on cardiovascular radiology and intervention, and the councils on clinical cardiology and cardiovascular disease in the young. Circulation 2008, 118, 586–606. [Google Scholar]
- Machida, H.; Tanaka, I.; Fukui, R.; Shen, Y.; Ishikawa, T.; Tate, E.; Ueno, E. Current and novel imaging techniques in coronary CT. Radiographics 2015, 35, 991–1010. [Google Scholar] [CrossRef]
- van Dijk, B.C.J.; Bos, D.; Roest, S.; Hirsch, A.; Taverne, Y.J.H.J.; Brugts, J.J.; de Boer, R.A.; Budde, R.P.; Manintveld, O.C. Coronary computed tomography angiography in heart transplant patients: Current insights and future directions. Transplantation 2025, 109, 945–954. [Google Scholar] [CrossRef] [PubMed]
- Pergola, V.; Mattesi, G.; Cozza, E.; Pradegan, N.; Tessari, C.; Dellino, C.M.; Savo, M.T.; Amato, F.; Cecere, A.; Marra, M.P.; et al. New non-invasive imaging technologies in cardiac transplant follow-up: Acquired evidence and future options. Diagnostics 2023, 13, 2818. [Google Scholar] [CrossRef] [PubMed]
- Hacker, M.; Tausig, A.; Romüller, B.; Hoyer, X.; Klauss, V.; Stempfle, U.; Reichart, B.; Hahn, K.; Tiling, R. Dobutamine myocardial scintigraphy for the prediction of cardiac events after heart transplantation. Nucl. Med. Commun. 2005, 26, 607–612. [Google Scholar] [CrossRef] [PubMed]
- Wu, Y.-W.; Yen, R.-F.; Lee, C.-M.; Ho, Y.-L.; Chou, N.-K.; Wang, S.-S.; Huang, P.-J. Diagnostic and prognostic value of dobutamine thallium-201 single-photon emission computed tomography after heart transplantation. J. Heart Lung Transplant. 2005, 24, 544–550. [Google Scholar] [CrossRef]
- Elhendy, A.; Sozzi, F.B.; van Domburg, R.T.; Vantrimpont, P.; Valkema, R.; Krenning, E.P.; Roelandt, J.R.; Maat, L.P.; Balk, A.H. Accuracy of dobutamine tetrofosmin myocardial perfusion imaging for the noninvasive diagnosis of transplant coronary artery stenosis. J. Heart Lung Transplant. 2000, 19, 360–366. [Google Scholar] [CrossRef]
- Ciliberto, G.R.; Ruffini, L.; Mangiavacchi, M.; Parolini, M.; Sara, R.; Massa, D.; De Maria, R.; Gronda, E.; Vitali, E.; Parodi, O. Resting echocardiography and quantitative dipyridamole technetium-99m sestamibi tomography in the identification of cardiac allograft vasculopathy and the prediction of long-term prognosis after heart transplantation. Eur. Heart J. 2001, 22, 964–971. [Google Scholar] [CrossRef]
- Aguilar, J.; Miller, R.J.H.; Otaki, Y.; Tamarappoo, B.; Hayes, S.; Friedman, J.; Slomka, P.J.; Thomson, L.E.J.; Kittleson, M.; Patel, J.K.; et al. Clinical utility of SPECT in the heart transplant population: Analysis from a single large-volume center: Analysis from a single large-volume center. Transplantation 2022, 106, 623–632. [Google Scholar] [CrossRef]
- Dilsizian, V.; Bacharach, S.L.; Beanlands, R.S.; Bergmann, S.R.; Delbeke, D.; Dorbala, S.; Gropler, R.J.; Knuuti, J.; Schelbert, H.R.; Travin, M.I. ASNC imaging guidelines/SNMMI procedure standard for positron emission tomography (PET) nuclear cardiology procedures. J. Nucl. Cardiol. 2016, 23, 1187–1226. [Google Scholar] [CrossRef]
- Bravo, P.E.; Bergmark, B.A.; Vita, T.; Taqueti, V.R.; Gupta, A.; Seidelmann, S.; E Christensen, T.; Osborne, M.T.; Shah, N.R.; Ghosh, N.; et al. Diagnostic and prognostic value of myocardial blood flow quantification as non-invasive indicator of cardiac allograft vasculopathy. Eur. Heart J. 2018, 39, 316–323. [Google Scholar] [CrossRef]
- Mc Ardle, B.A.; Davies, R.A.; Chen, L.; Small, G.R.; Ruddy, T.D.; Dwivedi, G.; Yam, Y.; Haddad, H.; Mielniczuk, L.M.; Stadnick, E.; et al. Prognostic value of rubidium-82 positron emission tomography in patients after heart transplant. Circ. Cardiovasc. Imaging 2014, 7, 930–937. [Google Scholar] [CrossRef]
- Preumont, N.; Berkenboom, G.; Vachiery, J.; Jansens, J.; Antoine, M.; Wikler, D.; Damhaut, P.; Degré, S.; Lenaers, A.; Goldman, S. Early alterations of myocardial blood flow reserve in heart transplant recipients with angiographically normal coronary arteries. J. Heart Lung Transplant. 2000, 19, 538–545. [Google Scholar] [CrossRef]
- Abbott, B.G.; Case, J.A.; Dorbala, S.; Einstein, A.J.; Galt, J.R.; Pagnanelli, R.; Bullock-Palmer, R.P.; Soman, P.; Wells, R.G. Contemporary cardiac SPECT imaging-innovations and best practices: An information statement from the American society of nuclear cardiology. Circ. Cardiovasc. Imaging 2018, 11, e000020. [Google Scholar] [CrossRef] [PubMed]
- Andrikopoulou, E.; Morgan, C.J.; Brice, L.; Bajaj, N.S.; Doppalapudi, H.; Iskandrian, A.E.; Hage, F.G. Incidence of atrioventricular block with vasodilator stress SPECT: A meta-analysis. J. Nucl. Cardiol. 2019, 26, 616–628. [Google Scholar] [CrossRef] [PubMed]
- Harnett, D.T.; Hazra, S.; Maze, R.; Mc Ardle, B.A.; Alenazy, A.; Simard, T.; Henry, E.; Dwivedi, G.; Glover, C.; Dekemp, R.A.; et al. Clinical performance of Rb-82 myocardial perfusion PET and Tc-99m-based SPECT in patients with extreme obesity. J. Nucl. Cardiol. 2019, 26, 275–283. [Google Scholar] [CrossRef]
- Prasad, N.; Harris, E.; DeFilippis, E.M.; Sayer, G.; Chernovolenko, M.; Colombo, P.C.; Fried, J.; Bae, D.; Oh, K.T.; Raikhelkar, J.; et al. PET/CT with myocardial blood flow assessment is prognostic of cardiac allograft vasculopathy progression and clinical outcomes. J. Nucl. Med. 2025, 66, 264–270. [Google Scholar] [CrossRef]
- Chih, S.; Tavoosi, A.; Nair, V.; Chong, A.Y.; Džavík, V.; Aleksova, N.; So, D.Y.; Dekemp, R.A.; Amara, I.; Wells, G.A.; et al. Cardiac PET myocardial blood flow quantification assessment of early cardiac allograft vasculopathy. JACC Cardiovasc. Imaging 2024, 17, 642–655. [Google Scholar] [CrossRef]
- Thorn, E.M.; de Filippi, C.R. Echocardiography in the cardiac transplant recipient. Heart Fail. Clin. 2007, 3, 51–67. [Google Scholar] [CrossRef]
- Pellikka, P.A.; Arruda-Olson, A.; Chaudhry, F.A.; Chen, M.H.; Marshall, J.E.; Porter, T.R.; Sawada, S.G. Guidelines for performance, interpretation, and application of stress echocardiography in ischemic heart disease: From the American society of echocardiography. J. Am. Soc. Echocardiogr. 2020, 33, 1–41.e8. [Google Scholar] [CrossRef]
- Hummel, M.; Dandel, M.; Knollmann, F.; Müller, J.; Knosalla, C.; Ewert, R.; Grauhan, O.; Meyer, R.; Hetzer, R. Long-term surveillance of heart-transplanted patients: Noninvasive monitoring of acute rejection episodes and transplant vasculopathy. Transplant. Proc. 2001, 33, 3539–3542. [Google Scholar] [CrossRef]
- Elkaryoni, A.; Abu-Sheasha, G.; Altibi, A.M.; Hassan, A.; Ellakany, K.; Nanda, N.C. Diagnostic accuracy of dobutamine stress echocardiography in the detection of cardiac allograft vasculopathy in heart transplant recipients: A systematic review and meta-analysis study. Echocardiography 2019, 36, 528–536. [Google Scholar] [CrossRef]
- Chirakarnjanakorn, S.; Starling, R.C.; Popović, Z.B.; Griffin, B.P.; Desai, M.Y. Dobutamine stress echocardiography during follow-up surveillance in heart transplant patients: Diagnostic accuracy and predictors of outcomes. J. Heart Lung Transplant. 2015, 34, 710–717. [Google Scholar] [CrossRef] [PubMed]
- Ng, A.C.T.; Sitges, M.; Pham, P.N.; Tran, D.T.; Delgado, V.; Bertini, M.; Nucifora, G.; Vidaic, J.; Allman, C.; Holman, E.R.; et al. Incremental value of 2-dimensional speckle tracking strain imaging to wall motion analysis for detection of coronary artery disease in patients undergoing dobutamine stress echocardiography. Am. Heart J. 2009, 158, 836–844. [Google Scholar] [CrossRef]
- Nagy, A.I.; Sahlén, A.; Manouras, A.; Henareh, L.; da Silva, C.; Günyeli, E.; Apor, A.A.; Merkely, B.; Winter, R. Combination of contrast-enhanced wall motion analysis and myocardial deformation imaging during dobutamine stress echocardiography. Eur. Heart J. Cardiovasc. Imaging 2015, 16, 88–95. [Google Scholar] [CrossRef][Green Version]
- Roleder, T.; Kovacic, J.C.; Ali, Z.; Sharma, R.; Cristea, E.; Moreno, P.; Sharma, S.K.; Narula, J.; Kini, A.S. Combined NIRS and IVUS imaging detects vulnerable plaque using a single catheter system: A head-to-head comparison with OCT. EuroIntervention 2014, 10, 303–311. [Google Scholar] [CrossRef]
- Fard, A.M.; Vacas-Jacques, P.; Hamidi, E.; Wang, H.; Carruth, R.W.; Gardecki, J.A.; Tearney, G.J. Optical coherence tomography--near infrared spectroscopy system and catheter for intravascular imaging. Opt. Express 2013, 21, 30849–30858. [Google Scholar] [CrossRef]
- Zheng, B.; Maehara, A.; Mintz, G.S.; Nazif, T.M.; Waksman, Y.; Qiu, F.; Jaquez, L.; Rabbani, L.E.; Apfelbaum, M.A.; Ali, Z.A.; et al. In vivo comparison between cardiac allograft vasculopathy and native atherosclerosis using near-infrared spectroscopy and intravascular ultrasound. Eur. Heart J. Cardiovasc. Imaging 2015, 16, 985–991. [Google Scholar] [CrossRef][Green Version]
- Puri, R.; Madder, R.D.; Madden, S.P.; Sum, S.T.; Wolski, K.; Muller, J.E.; Andrews, J.; King, K.L.; Kataoka, Y.; Uno, Y.; et al. Near-infrared spectroscopy enhances intravascular ultrasound assessment of vulnerable coronary plaque: A combined pathological and in vivo study: A combined Pathological and in vivo study. Arterioscler. Thromb. Vasc. Biol. 2015, 35, 2423–2431. [Google Scholar] [CrossRef]
- Htun, N.M.; Chen, Y.C.; Lim, B.; Schiller, T.; Maghzal, G.J.; Huang, A.L.; Elgass, K.D.; Rivera, J.; Schneider, H.G.; Wood, B.R.; et al. Near-infrared autofluorescence induced by intraplaque hemorrhage and heme degradation as marker for high-risk atherosclerotic plaques. Nat. Commun. 2017, 8, 75. [Google Scholar] [CrossRef]
- Ughi, G.J.; Wang, H.; Gerbaud, E.; Gardecki, J.A.; Fard, A.M.; Hamidi, E.; Vacas-Jacques, P.; Rosenberg, M.; Jaffer, F.A.; Tearney, G.J. Clinical characterization of coronary atherosclerosis with dual-modality OCT and near-infrared autofluorescence imaging. JACC Cardiovasc. Imaging 2016, 9, 1304–1314. [Google Scholar] [CrossRef]
- Kunio, M.; Gardecki, J.A.; Watanabe, K.; Nishimiya, K.; Verma, S.; Jaffer, F.A.; Tearney, G.J. Histopathological correlation of near infrared autofluorescence in human cadaver coronary arteries. Atherosclerosis 2022, 344, 31–39. [Google Scholar] [CrossRef]
- Treasure, C.B.; Vita, J.A.; Ganz, P.; Ryan TJJr Schoen, F.J.; Vekshtein, V.I.; Yeung, A.C.; Mudge, G.H.; Alexander, R.W.; Selwyn, A.P. Loss of the coronary microvascular response to acetylcholine in cardiac transplant patients. Circulation 1992, 86, 1156–1164. [Google Scholar] [CrossRef] [PubMed]
- Mullins, P.A.; Chauhan, A.; Sharples, L.; Cary, N.R.; Large, S.R.; Wallwork, J.; Schofield, P.M. Impairment of coronary flow reserve in orthotopic cardiac transplant recipients with minor coronary occlusive disease. Br. Heart J. 1992, 68, 266–271. [Google Scholar] [CrossRef] [PubMed]
- Tona, F.; Osto, E.; Famoso, G.; Previato, M.; Fedrigo, M.; Vecchiati, A.; Perazzolo Marra, M.; Tellatin, S.; Bellu, R.; Tarantini, G.; et al. Coronary microvascular dysfunction correlates with the new onset of cardiac allograft vasculopathy in heart transplant patients with normal coronary angiography: Microvascular dysfunction correlates with CAV. Am. J. Transplant. 2015, 15, 1400–1406. [Google Scholar] [CrossRef] [PubMed]
- Spaan, J.A.E.; Piek, J.J.; Hoffman, J.I.E.; Siebes, M. Physiological basis of clinically used coronary hemodynamic indices. Circulation 2006, 113, 446–455. [Google Scholar] [CrossRef]
- Nagumo, S.; Gallinoro, E.; Candreva, A.; Mizukami, T.; Monizzi, G.; Kodeboina, M.; Verstreken, S.; Dierckx, R.; Heggermont, W.; Bartunek, J.; et al. Vessel fractional flow reserve and graft vasculopathy in heart transplant recipients. J. Interv. Cardiol. 2020, 2020, 9835151. [Google Scholar] [CrossRef]
- Fearon, W.F.; Hirohata, A.; Nakamura, M.; Luikart, H.; Lee, D.P.; Vagelos, R.H.; Hunt, S.A.; Valantine, H.A.; Fitzgerald, P.J.; Yock, P.G.; et al. Discordant changes in epicardial and microvascular coronary physiology after cardiac transplantation: Physiologic Investigation for Transplant Arteriopathy II (PITA II) study. J. Heart Lung Transplant. 2006, 25, 765–771. [Google Scholar] [CrossRef]
- Fearon, W.F.; Nakamura, M.; Lee, D.P.; Rezaee, M.; Vagelos, R.H.; Hunt, S.A.; Fitzgerald, P.J.; Yock, P.G.; Yeung, A.C. Simultaneous assessment of fractional and coronary flow reserves in cardiac transplant recipients: Physiologic Investigation for Transplant Arteriopathy (PITA Study): Physiologic investigation for transplant arteriopathy (PITA study). Circulation 2003, 108, 1605–1610. [Google Scholar] [CrossRef]
- Yang, H.-M.; Khush, K.; Luikart, H.; Okada, K.; Lim, H.-S.; Kobayashi, Y.; Honda, Y.; Yeung, A.C.; Valantine, H.; Fearon, W.F. Invasive assessment of coronary physiology predicts late mortality after heart transplantation. Circulation 2016, 133, 1945–1950. [Google Scholar] [CrossRef]
- Mileva, N.; Nagumo, S.; Gallinoro, E.; Sonck, J.; Verstreken, S.; Dierkcx, R.; Heggermont, W.; Bartunek, J.; Goethals, M.; Heyse, A.; et al. Validation of coronary angiography-derived vessel fractional flow reserve in heart transplant patients with suspected graft vasculopathy. Diagnostics 2021, 11, 1750. [Google Scholar] [CrossRef]
- Shah, H.; Lee, I.; Rao, S.; Suddath, W.; Rodrigo, M.; Mohammed, S.; Molina, E.; García-Garcia, H.M.; Kenigsberg, B.B. Quantitative flow ratio computed from invasive coronary angiography as a predictor for cardiac allograft vasculopathy after cardiac transplant. Int. J. Cardiovasc. Imaging 2024, 40, 451–458. [Google Scholar] [CrossRef]
- Salte, I.M.; Østvik, A.; Smistad, E.; Melichova, D.; Nguyen, T.M.; Karlsen, S.; Brunvand, H.; Haugaa, K.H.; Edvardsen, T.; Lovstakken, L.; et al. Artificial intelligence for automatic measurement of left ventricular strain in echocardiography. JACC Cardiovasc. Imaging 2021, 14, 1918–1928. [Google Scholar] [CrossRef] [PubMed]
- Stowell, C.C.; Howard, J.P.; Ng, T.; Cole, G.D.; Bhattacharyya, S.; Sehmi, J.; Alzetani, M.; Demetrescu, C.D.; Hartley, A.; Singh, A.; et al. 2-dimensional echocardiographic global longitudinal strain with artificial intelligence using open data from a UK-wide Collaborative. JACC Cardiovasc. Imaging 2024, 17, 865–876. [Google Scholar] [CrossRef] [PubMed]
- Pezel, T.; Toupin, S.; Bousson, V.; Hamzi, K.; Hovasse, T.; Lefevre, T.; Chevalier, B.; Unterseeh, T.; Sanguineti, F.; Champagne, S.; et al. A machine learning model using cardiac CT and MRI data predicts cardiovascular events in obstructive coronary artery disease. Radiology 2025, 314, e233030. [Google Scholar] [CrossRef] [PubMed]
- Chen, M.; Wang, X.; Hao, G.; Cheng, X.; Ma, C.; Guo, N.; Hu, S.; Tao, Q.; Yao, F.; Hu, C. Diagnostic performance of deep learning-based vascular extraction and stenosis detection technique for coronary artery disease. Br. J. Radiol. 2020, 93, 20191028. [Google Scholar] [CrossRef]



| ISHLT CAV Grade | Angiographic Findings |
|---|---|
| CAV 0 | No angiographic coronary artery lesions detected |
| CAV 1 (Mild) | Angiographic stenosis <50% in any left main coronary artery or <70% stenosis in primary vessel or branch |
| CAV 2 (Moderate) | Angiographic stenosis <50% in the left main coronary artery with stenosis ≥70% in a single primary vessel or stenosis ≥70% in isolated branches across two different systems. |
| CAV 3 (Severe) | Angiographic stenosis ≥50% in left main coronary artery, or stenosis ≥70% in ≥2 primary vessels, or ≥70% isolated branch stenosis in all 3 systems; also includes patients with evidence of allograft dysfunction or evidence of restrictive physiology |
| Imaging Modality | ISHLT 2023 Recommendations for CAV Surveillance | Class of Recommendation | Level of Evidence |
|---|---|---|---|
| Invasive Coronary Angiography (ICA) | ICA is recommended for evaluating the progression of CAV, with angiographic findings classified based on the 2010 ISHLT nomenclature. | Class I | B |
| ICA should be considered yearly or every other year for evaluation. In patients with a higher risk of complications (eg. kidney disease), less frequent assessments may be appropriate. | Class I | C | |
| Intravascular Ultrasound (IVUS) | Baseline IVUS, along with ICA, should be considered at 4 to 6 weeks post-HTx and again at 1 year post-HTx. | Class IIa | B |
| In pediatric recipients, baseline IVUS along with IVUS may be considered at 1 year post-HTx. | Class IIb | C | |
| Optical Coherence Tomography (OCT) | OCT, alongside ICA, may be considered at 4 to 6 weeks and 1 year post-HT. | Class IIa | B |
| Cardiac MRI (CMR) | CMR myocardial perfusion reserve and delayed gadolinium enhancement evaluation may be considered. | Class IIb | C |
| Cardiac CT Angiography (CCTA) | CCTA can serve as a non-invasive alternative to ICA for detecting CAV in epicardial vessels ≥2 mm. | Class IIa | B |
| PET Myocardial Perfusion Imaging (MPI) | PET MPI and myocardial blood flow quantification can be utilized for the non-invasive detection of CAV and for providing prognostic insights. | Class IIa | B |
| SPECT MPI | SPECT MPI has low sensitivity for detecting CAV but may be valuable for prognostication in HTx recipients who are unable to undergo invasive testing, CCTA, or PET. | Adult: Class IIb, Pediatrics: Class IIa | B |
| Dobutamine Stress Echocardiography (DSE) | DSE has low sensitivity for detecting CAV but may be valuable for prognostication in HTx recipients who are unable to undergo invasive testing, CCTA, or PET. | Adult: Class IIb, Pediatrics: Class IIa | B |
| Physiological Assessment | Assessment of CFR; IMR alongside ICA may be helpful in detecting small vessel CAD, a manifestation of CAV. | Class IIa | B |
| Imaging Modality | Strengths | Limitations |
|---|---|---|
| Coronary Angiography | Gold standard; widely available; potential for direct revascularization | Invasive, limited in detecting microvascular disease; procedural risks |
| Intravascular Ultrasound | Early detection of intimal thickening; high resolution for vessel wall assessment | Invasive; limited availability; higher cost; more expertise |
| Optical Coherence Tomography | High-resolution imaging of plaque composition; better detection of early CAV | Invasive; limited penetration depth; requires contrast; expensive; more expertise |
| Cardiac MRI | Non-invasive; no radiation exposure; detects myocardial fibrosis and microvascular disease; differentiation of infarcted and viable myocardium | Limited availability; contraindicated in some patients with metal implants; risk of nephrogenic systemic sclerosis in individuals with renal disease when gadolinium is used; motion artifacts |
| Cardiac Computed Tomography Angiography | Non-invasive; evaluates arterial wall and lumen; high negative predictive value | Limited availability; radiation exposure; contrast nephropathy risk; limited in small vessels; motion artifacts due to high resting heart rates |
| Positron Emission Tomography Myocardial Perfusion Imaging | Non-invasive; quantifies microvascular dysfunction; good prognostic value | Expensive; limited availability; radiation exposure |
| Single-Photon Emission Computed Tomography | Widely available; good specificity | Lower sensitivity; risk of false negatives due to balanced ischemia; requires clinical validation |
| Dobutamine Stress Echocardiography | Cost-effective; no radiation | Limited sensitivity; poor detection of early CAV |
Disclaimer/Publisher’s Note: The statements, opinions and data contained in all publications are solely those of the individual author(s) and contributor(s) and not of MDPI and/or the editor(s). MDPI and/or the editor(s) disclaim responsibility for any injury to people or property resulting from any ideas, methods, instructions or products referred to in the content. |
© 2025 by the authors. Licensee MDPI, Basel, Switzerland. This article is an open access article distributed under the terms and conditions of the Creative Commons Attribution (CC BY) license (https://creativecommons.org/licenses/by/4.0/).
Share and Cite
Passey, S.; Jha, J.; Patel, N.; Lipari, V.; Joshi, S.; McKay, R.; Radojevic, J.; Ingrassia, J. Role of Computed Tomography and Other Non-Invasive and Invasive Imaging Modalities in Cardiac Allograft Vasculopathy. J. Cardiovasc. Dev. Dis. 2025, 12, 249. https://doi.org/10.3390/jcdd12070249
Passey S, Jha J, Patel N, Lipari V, Joshi S, McKay R, Radojevic J, Ingrassia J. Role of Computed Tomography and Other Non-Invasive and Invasive Imaging Modalities in Cardiac Allograft Vasculopathy. Journal of Cardiovascular Development and Disease. 2025; 12(7):249. https://doi.org/10.3390/jcdd12070249
Chicago/Turabian StylePassey, Siddhant, Jagriti Jha, Nirav Patel, Vincent Lipari, Saurabh Joshi, Raymond McKay, Joseph Radojevic, and Joseph Ingrassia. 2025. "Role of Computed Tomography and Other Non-Invasive and Invasive Imaging Modalities in Cardiac Allograft Vasculopathy" Journal of Cardiovascular Development and Disease 12, no. 7: 249. https://doi.org/10.3390/jcdd12070249
APA StylePassey, S., Jha, J., Patel, N., Lipari, V., Joshi, S., McKay, R., Radojevic, J., & Ingrassia, J. (2025). Role of Computed Tomography and Other Non-Invasive and Invasive Imaging Modalities in Cardiac Allograft Vasculopathy. Journal of Cardiovascular Development and Disease, 12(7), 249. https://doi.org/10.3390/jcdd12070249

