Cardiac Magnetic Resonance Imaging in Lyme Carditis—A Case Series and Review of Literature
Abstract
1. Introduction
2. Case Series
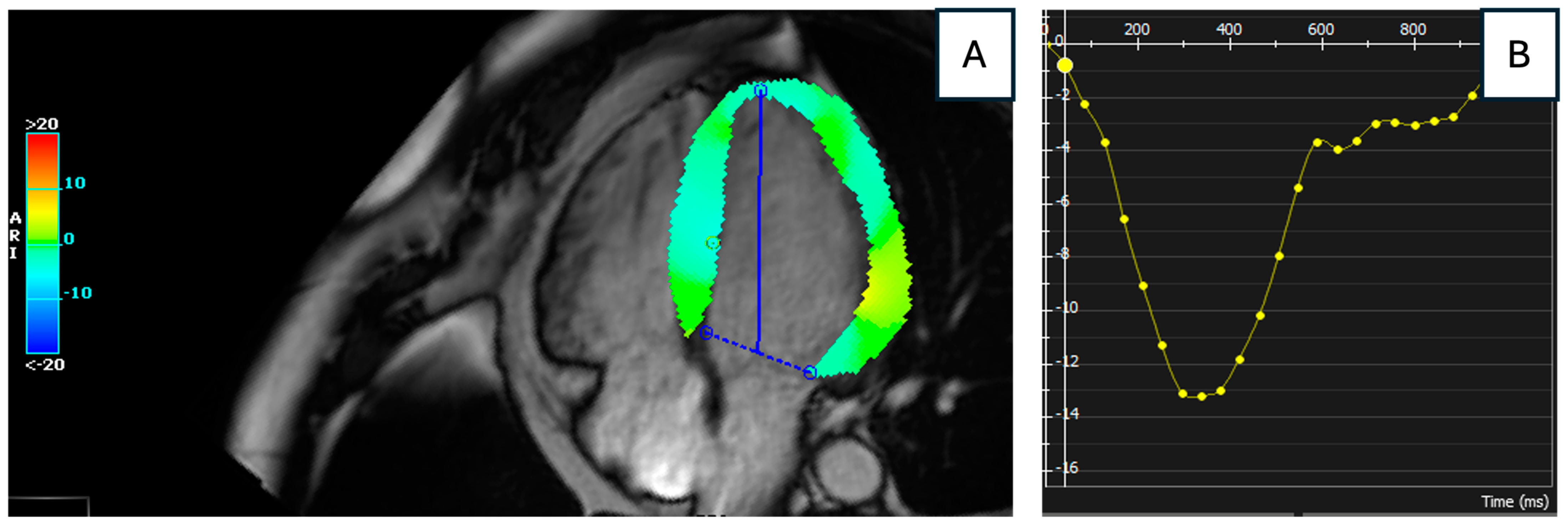
2.1. Case 1
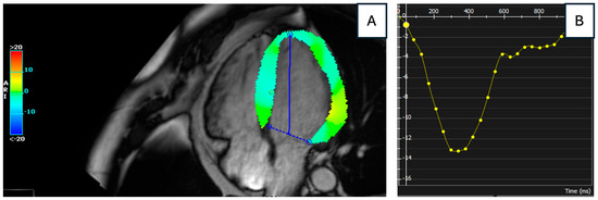
2.2. Case 2
3. Review of Literature
3.1. Pathogenesis
3.2. Clinical Presentation
3.3. Diagnosis of Lyme Carditis
3.3.1. Clinical Tools
3.3.2. Electrocardiogram
3.3.3. Echocardiography
3.3.4. Cardiac Magnetic Resonance Imaging
3.4. Prognosis in Patients with Lyme Carditis
3.5. Longitudinal CMR Findings and Monitoring of Treatment Response
4. Limitations and Future Directions
5. Conclusions
Author Contributions
Funding
Institutional Review Board Statement
Informed Consent Statement
Data Availability Statement
Acknowledgments
Conflicts of Interest
References
- Stanek, G.; Wormser, G.P.; Gray, J.; Strle, F. Lyme borreliosis. Lancet 2012, 379, 461–473. [Google Scholar] [CrossRef] [PubMed]
- Steere, A.C.; Sikand, V.K. The presenting manifestations of Lyme disease and the outcomes of treatment. N. Engl. J. Med. 2003, 348, 2472–2474. [Google Scholar] [CrossRef] [PubMed]
- Steere, A.C.; Batsford, W.P.; Weinberg, M.; Alexander, J.; Berger, H.J.; Wolfson, S.; Malawista, S.E. Lyme carditis: Cardiac abnormalities of Lyme disease. Ann. Intern. Med. 1980, 93, 8–16. [Google Scholar] [CrossRef]
- Yeung, C.; Baranchuk, A. Diagnosis and Treatment of Lyme Carditis: JACC Review Topic of the Week. J. Am. Coll. Cardiol. 2019, 73, 717–726. [Google Scholar] [CrossRef]
- Krause, P.J.; Bockenstedt, L.K. Cardiology patient pages. Lyme disease and the heart. Circulation 2013, 127, e451–e454. [Google Scholar] [CrossRef]
- Monaghan, A.J.; Moore, S.M.; Sampson, K.M.; Beard, C.B.; Eisen, R.J. Climate change influences on the annual onset of Lyme disease in the United States. Ticks Tick. Borne Dis. 2015, 6, 615–622. [Google Scholar] [CrossRef] [PubMed]
- Bouchard, C.; Dibernardo, A.; Koffi, J.; Wood, H.; Leighton, P.A.; Lindsay, L.R. N Increased risk of tick-borne diseases with climate and environmental changes. Can. Commun. Dis. Rep. 2019, 45, 83–89. [Google Scholar] [CrossRef]
- Kugeler, K.J.; Mead, P.S.; Schwartz, A.M.; Hinckley, A.F. Changing Trends in Age and Sex Distributions of Lyme Disease-United States, 1992-2016. Public Health Rep 2022, 137, 655–659. [Google Scholar] [CrossRef] [PubMed]
- Avner, B.S. Descriptive Data on Trends Among Patients Hospitalized With Lyme Disease in Southwest Michigan, 2017-2021. Open Forum Infect. Dis. 2023, 10, ofac658. [Google Scholar] [CrossRef]
- Beach, C.M.; Hart, S.A.; Nowalk, A.; Feingold, B.; Kurland, K.; Arora, G. Increasing Burden of Lyme Carditis in United States Children’s Hospitals. Pediatr. Cardiol. 2020, 41, 258–264. [Google Scholar] [CrossRef] [PubMed]
- Radesich, C.; Del Mestre, E.; Medo, K.; Vitrella, G.; Manca, P.; Chiatto, M.; Castrichini, M.; Sinagra, G. Lyme Carditis: From Pathophysiology to Clinical Management. Pathogens 2022, 11, 582. [Google Scholar] [CrossRef]
- Muehlenbachs, A.; Bollweg, B.C.; Schulz, T.J.; Forrester, J.D.; DeLeon Carnes, M.; Molins, C.; Ray, G.S.; Cummings, P.M.; Ritter, J.M.; Blau, D.M.; et al. Cardiac Tropism of Borrelia burgdorferi: An Autopsy Study of Sudden Cardiac Death Associated with Lyme Carditis. Am. J. Pathol. 2016, 186, 1195–1205. [Google Scholar] [CrossRef] [PubMed]
- Scheffold, N.; Herkommer, B.; Kandolf, R.; May, A.E. Lyme carditis—Diagnosis, treatment and prognosis. Dtsch. Arztebl. Int. 2015, 112, 202–208. [Google Scholar] [CrossRef] [PubMed]
- McAlister, H.F.; Klementowicz, P.T.; Andrews, C.; Fisher, J.D.; Feld, M.; Furman, S. Lyme carditis: An important cause of reversible heart block. Ann. Intern. Med. 1989, 110, 339–345. [Google Scholar] [CrossRef]
- Avellan, S.; Mehlig, K.; Robertson, J.; Bremell, D. Incidence of Lyme Carditis and Lyme Carditis as a Cause of Pacemaker Implantation: A Nationwide Registry-Based Case-Control Study. Open Forum Infect. Dis. 2024, 11, ofad656. [Google Scholar] [CrossRef]
- Lantos, P.M.; Rumbaugh, J.; Bockenstedt, L.K.; Falck-Ytter, Y.T.; Aguero-Rosenfeld, M.E.; Auwaerter, P.G.; Baldwin, K.; Bannuru, R.R.; Belani, K.K.; Bowie, W.R.; et al. Clinical Practice Guidelines by the Infectious Diseases Society of America (IDSA), American Academy of Neurology (AAN), and American College of Rheumatology (ACR): 2020 Guidelines for the Prevention, Diagnosis, and Treatment of Lyme Disease. Arthritis Care Res. 2021, 73, 1–9. [Google Scholar] [CrossRef]
- Polte, C.L.; Bobbio, E.; Bollano, E.; Bergh, N.; Polte, C.; Himmelman, J.; Lagerstrand, K.M.; Gao, S.A. Cardiovascular Magnetic Resonance in Myocarditis. Diagnostics 2022, 12, 399. [Google Scholar] [CrossRef]
- Friedrich, M.G.; Sechtem, U.; Schulz-Menger, J.; Holmvang, G.; Alakija, P.; Cooper, L.T.; White, J.A.; Abdel-Aty, H.; Gutberlet, M.; Prasad, S.; et al. Cardiovascular magnetic resonance in myocarditis: A JACC White Paper. J. Am. Coll. Cardiol. 2009, 53, 1475–1487. [Google Scholar] [CrossRef] [PubMed]
- Aquaro, G.D.; Perfetti, M.; Camastra, G.; Monti, L.; Dellegrottaglie, S.; Moro, C.; Pepe, A.; Todiere, G.; Lanzillo, C.; Scatteia, A.; et al. Cardiac MR With Late Gadolinium Enhancement in Acute Myocarditis With Preserved Systolic Function: ITAMY Study. J. Am. Coll. Cardiol. 2017, 70, 1977–1987. [Google Scholar] [CrossRef] [PubMed]
- Ferreira, V.M.; Schulz-Menger, J.; Holmvang, G.; Kramer, C.M.; Carbone, I.; Sechtem, U.; Kindermann, I.; Gutberlet, M.; Cooper, L.T.; Liu, P.; et al. Cardiovascular Magnetic Resonance in Nonischemic Myocardial Inflammation: Expert Recommendations. J. Am. Coll. Cardiol. 2018, 72, 3158–3176. [Google Scholar] [CrossRef]
- Thavendiranathan, P.; Walls, M.; Giri, S.; Verhaert, D.; Rajagopalan, S.; Moore, S.; Simonetti, O.P.; Raman, S.V. Improved detection of myocardial involvement in acute inflammatory cardiomyopathies using T2 mapping. Circ. Cardiovasc. Imaging 2012, 5, 102–110. [Google Scholar] [CrossRef]
- O’Brien, A.T.; Gil, K.E.; Varghese, J.; Simonetti, O.P.; Zareba, K.M. T2 mapping in myocardial disease: A comprehensive review. J. Cardiovasc. Magn. Reson. 2022, 24, 33. [Google Scholar] [CrossRef] [PubMed]
- Raveche, E.S.; Schutzer, S.E.; Fernandes, H.; Bateman, H.; McCarthy, B.A.; Nickell, S.P.; Cunningham, M.W. Evidence of Borrelia autoimmunity-induced component of Lyme carditis and arthritis. J. Clin. Microbiol. 2005, 43, 850–856. [Google Scholar] [CrossRef]
- Kaczynski, M. Lyme Carditis Pathogenesis and the Diagnostic Role of Cardiac Imaging Techniques. Available online: https://BioRender.com/l48q568 (accessed on 30 October 2024).
- Yeung, C.; Baranchuk, A. Systematic Approach to the Diagnosis and Treatment of Lyme Carditis and High-Degree Atrioventricular Block. Healthcare 2018, 6, 119. [Google Scholar] [CrossRef] [PubMed]
- Besant, G.; Wan, D.; Yeung, C.; Blakely, C.; Branscombe, P.; Suarez-Fuster, L.; Redfearn, D.; Simpson, C.; Abdollah, H.; Glover, B.; et al. Suspicious index in Lyme carditis: Systematic review and proposed new risk score. Clin. Cardiol. 2018, 41, 1611–1616. [Google Scholar] [CrossRef] [PubMed]
- Forrester, J.D.; Mead, P. Third-degree heart block associated with lyme carditis: Review of published cases. Clin. Infect. Dis. 2014, 59, 996–1000. [Google Scholar] [CrossRef] [PubMed]
- Uzomah, U.A.; Rozen, G.; Mohammadreza Hosseini, S.; Shaqdan, A.; Ledesma, P.A.; Yu, X.; Khaloo, P.; Galvin, J.; Ptaszek, L.M.; Ruskin, J.N. Incidence of carditis and predictors of pacemaker implantation in patients hospitalized with Lyme disease. PLoS ONE 2021, 16, e0259123. [Google Scholar] [CrossRef] [PubMed]
- van der Linde, M.R. Lyme carditis: Clinical characteristics of 105 cases. Scand. J. Infect. Dis. Suppl. 1991, 77, 81–84. [Google Scholar]
- Brar, H.; Bradley, J.; Smith, W. LYME CARDITIS: A RARE CASE OF ABORTED SUDDEN CARDIAC ARREST. CHEST 2021, 160, A220. [Google Scholar] [CrossRef]
- Konopka, M.; Kuch, M.; Braksator, W.; Walczak, E.; Jakucinski, M.; Lipowski, D.; Dluzniewski, M. Unclassified cardiomyopathy or Lyme carditis? A three year follow-up. Kardiol. Pol. 2013, 71, 283–285. [Google Scholar] [CrossRef]
- Khetpal, V.; Wark, T.W.; Masel, R.; Tran, C.T.; Haines, P. A 34-Year-Old Woman with Third-Degree Heart Block and Atrial Flutter Associated with Lyme Carditis: A Case Report. Am. J. Case Rep. 2021, 22, e933789. [Google Scholar] [CrossRef]
- Mittal, A.; Namjouyan, K.; Qureshi, M.; Tahir, R. TREATING LEFT VENTRICULAR HYPERTROPHY WITH ANTIBIOTICS: DISSEMINATED LYME DISEASE AS A SARCOIDOSIS MIMIC. J. Am. Coll. Cardiol. 2023, 81, 2506. [Google Scholar] [CrossRef]
- Naik, M.; Kim, D.; O’Brien, F.; Axel, L.; Srichai, M.B. Images in cardiovascular medicine. Lyme carditis. Circulation 2008, 118, 1881–1884. [Google Scholar] [CrossRef]
- Schroeter, M.R.; Klingel, K.; Korsten, P.; Hasenfuss, G. Fulminant Lyme myocarditis without any other signs of Lyme disease in a 37-year-old male patient with microscopic polyangiitis-a case report. Eur. Heart J. Case Rep. 2022, 6, ytac062. [Google Scholar] [CrossRef] [PubMed]
- Ventejou, S.; Genet, T.; Leducq, S.; Baldinger, L.; Lanotte, P.; Bernard, L.; Lenormand, C.; Samimi, M. Multiple erythema migrans and carditis-related atrial fibrillation: Exceptional manifestations of early disseminated Lyme disease. Eur. J. Dermatol. 2021, 31, 112–114. [Google Scholar] [CrossRef]
- Cunningham, M.E.A.; Doroshow, R.; Olivieri, L.; Moak, J.P. Junctional ectopic tachycardia secondary to myocarditis associated with sudden cardiac arrest. Hear. Case Rep. 2017, 3, 124–128. [Google Scholar] [CrossRef] [PubMed]
- Esfandiari, N.; Beebe-Peat, T.; Quinlan, A.; Saleki, M.; Browne, J.; Wagner, B.; Cruden, K.; Wark, T.; Lobel, R. EARLY DISSEMINATED LYME CARDITIS COMPLICATED BY PAUSE-DEPENDENT POLYMORPHIC VENTRICULAR TACHYCARDIA LEADING TO CARDIAC ARREST. J. Am. Coll. Cardiol. 2022, 79, 2459. [Google Scholar] [CrossRef]
- Luli, J.; Saccoh, I.; Johnson, E.; Fu, E.; Nelson, S.; Amin, A. Lyme disease: A cause of polymorphic ventricular tachycardia. Hear. Case Rep. 2020, 6, 930–932. [Google Scholar] [CrossRef] [PubMed]
- Mehta, M.; Zghaib, T.; Fradley, M. A CASE OF VEN-TICK-ULAR TACHYCARDIA: VENTRICULAR TACHYCARDIA FROM DISSEMINATED LYME DISEASE. J. Am. Coll. Cardiol. 2021, 77, 2123. [Google Scholar] [CrossRef]
- Kaldas, M.; Farah, V.; Shah Moneal, B.; Alnaimat, S.; Radhakrishnan Anita, U. INFARCTION OR INFECTION. J. Am. Coll. Cardiol. 2024, 83, 2884. [Google Scholar] [CrossRef]
- Koene, R.; Boulware, D.R.; Kemperman, M.; Konety, S.H.; Groth, M.; Jessurun, J.; Eckman, P.M. Acute heart failure from lyme carditis. Circ. Heart Fail. 2012, 5, e24–e26. [Google Scholar] [CrossRef] [PubMed]
- Munk, P.S.; Ørn, S.; Larsen, A.I. Lyme carditis: Persistent local delayed enhancement by cardiac magnetic resonance imaging. Int. J. Cardiol. 2007, 115, e108–e110. [Google Scholar] [CrossRef] [PubMed]
- Yarema, N.; Myndziv, K.; Dzhyvak, V. Lyme carditis in clinical practice. Acta Fac. Medicae Naissensis 2024, 41, 139–145. [Google Scholar] [CrossRef]
- Wieczorkiewicz, P.; Supel, K.; Przybylak, K.; Kacprzak, M.; Zielinska, M. Acute coronary syndrome versus acute myocarditis in young adults-value of speckle tracking echocardiography. PLoS ONE 2022, 17, e0271483. [Google Scholar] [CrossRef] [PubMed]
- Horowitz, H.W.; Belkin, R.N. Acute myopericarditis resulting from Lyme disease. Am. Heart J. 1995, 130, 176–178. [Google Scholar] [CrossRef]
- Robinson, M.L.; Kobayashi, T.; Higgins, Y.; Calkins, H.; Melia, M.T. Lyme carditis. Infect. Dis. Clin. North. Am. 2015, 29, 255–268. [Google Scholar] [CrossRef] [PubMed]
- Gadela, N.V.; Drekolias, D.; Wasserman, E.; Gonuguntla, K.; Perosevic, N. 381: The Tick and the Ticker: A Rare Case of Lyme Perimyocarditis. Crit. Care Med. 2021, 49. [Google Scholar] [CrossRef]
- Muschart, X.; Blommaert, D. Seeks, finds, threats: Lyme disease! Am. J. Emerg. Med. 2015, 33, 307.e5–307.e6. [Google Scholar] [CrossRef]
- Prochnau, D.; Kühnemund, J.; Heyne, J.P. Reversible high-grade atrioventricular block with septal myocardial edema in Lyme carditis. Herzschrittmacherther Elektrophysiol 2022, 33, 327–329. [Google Scholar] [CrossRef]
- Friedrich, M.G.; Marcotte, F. Cardiac magnetic resonance assessment of myocarditis. Circ. Cardiovasc. Imaging 2013, 6, 833–839. [Google Scholar] [CrossRef] [PubMed]
- Trimarchi, G.; Teresi, L.; Licordari, R.; Pingitore, A.; Pizzino, F.; Grimaldi, P.; Calabro, D.; Liotta, P.; Micari, A.; de Gregorio, C.; et al. Transient Left Ventricular Dysfunction from Cardiomyopathies to Myocardial Viability: When and Why Cardiac Function Recovers. Biomedicines 2024, 12, 1051. [Google Scholar] [CrossRef]
- Grani, C.; Eichhorn, C.; Biere, L.; Murthy, V.L.; Agarwal, V.; Kaneko, K.; Cuddy, S.; Aghayev, A.; Steigner, M.; Blankstein, R.; et al. Prognostic Value of Cardiac Magnetic Resonance Tissue Characterization in Risk Stratifying Patients With Suspected Myocarditis. J. Am. Coll. Cardiol. 2017, 70, 1964–1976. [Google Scholar] [CrossRef] [PubMed]
- Licordari, R.; Trimarchi, G.; Teresi, L.; Restelli, D.; Lofrumento, F.; Perna, A.; Campisi, M.; de Gregorio, C.; Grimaldi, P.; Calabro, D.; et al. Cardiac Magnetic Resonance in HCM Phenocopies: From Diagnosis to Risk Stratification and Therapeutic Management. J. Clin. Med. 2023, 12, 3481. [Google Scholar] [CrossRef] [PubMed]
- Luetkens, J.A.; Faron, A.; Isaak, A.; Dabir, D.; Kuetting, D.; Feisst, A.; Schmeel, F.C.; Sprinkart, A.M.; Thomas, D. Comparison of Original and 2018 Lake Louise Criteria for Diagnosis of Acute Myocarditis: Results of a Validation Cohort. Radiol Cardiothorac Imaging 2019, 1, e190010. [Google Scholar] [CrossRef] [PubMed]
- Avitabile, C.M.; Harris, M.A.; Chowdhury, D. Cardiac Magnetic Resonance Characterizes Myocarditis in a 16-Year-Old Female With Lyme Disease. World J. Pediatr. Congenit. Heart Surg. 2015, 7, 394–396. [Google Scholar] [CrossRef] [PubMed]
- Bergler-Klein, J.; Sochor, H.; Stanek, G.; Globits, S.; Ullrich, R.; Glogar, D. Indium 111-monoclonal antimyosin antibody and magnetic resonance imaging in the diagnosis of acute Lyme myopericarditis. Arch. Intern. Med. 1993, 153, 2696–2700. [Google Scholar] [CrossRef]
- Constante, A.; Lemos, A.; Trigo, C.; Carvalho, I.; Brito, M. Lyme Borreliosis as a Cause of Myocarditis in Pediatric Age. Port. J. Pediatr. 2021, 52, 299–302. [Google Scholar] [CrossRef]
- Costa, M.; Correia, J.; Neto, V.; Veiga, R.; Marques, M.; Domingues, N.; Nascimento, E. Lyme Carditis: A High Suspicion Diagnosis. Eur. J. Case Rep. Intern. Med. 2023, 10 (Suppl. S1), 286. [Google Scholar] [CrossRef]
- Eslami, A.; Al-Salameh, N.; Shah, P.; Kwon, T.-S.; Tahir, R. IN THE LYMELIGHT: A MYSTERIOUS CASE OF HEART BLOCK. J. Am. Coll. Cardiol. 2020, 75, 2627. [Google Scholar] [CrossRef]
- Inboriboon, P.C. Early recognition and management of Lyme carditis. Int. J. Emerg. Med. 2010, 3, 489–490. [Google Scholar] [CrossRef]
- Maher, B.; Murday, D.; Harden, S.P. Cardiac MRI of Lyme disease myocarditis. Heart 2012, 98, 264. [Google Scholar] [CrossRef] [PubMed]
- Malik, M.B.; Baluch, A.; Adhikari, S.; Quraeshi, S.; Rao, S. Early Onset Lyme Myopericarditis With Left Ventricular Dysfunction and Mitral Regurgitation. J. Investig. Med. High. Impact Case Rep. 2021, 9, 23247096211045267. [Google Scholar] [CrossRef] [PubMed]
- Ponniah Sharan, R.; Shekhar, C.; Gopalakrishnan, P. ROLE OF IMAGING IN LYME CARDITIS. J. Am. Coll. Cardiol. 2019, 73, 2263. [Google Scholar] [CrossRef]
- Rojas-Salvador, C. A HIKE TO A COMPLETE HEART BLOCK: LATE GADOLINIUM ENHANCEMENT (LGE) NEAR THE AV NODE IN LYME CARDITIS. J. Am. Coll. Cardiol. 2023, 81, 264. [Google Scholar] [CrossRef]
- Tamez, H.; Gelfand, E. Lyme Disease Masquerading as Acute Coronary Syndrome. Infect. Dis. Clin. Pract. 2011, 19, 293–296. [Google Scholar] [CrossRef]
- von Wald, L.; Shenoy, C. Managing Patients With Advanced Atrioventricular Block: The Essential Role of Cardiovascular Magnetic Resonance Imaging for Timely and Accurate Diagnosis. J. Am. Heart Assoc. 2022, 11, e026199. [Google Scholar] [CrossRef] [PubMed]
- Grun, S.; Schumm, J.; Greulich, S.; Wagner, A.; Schneider, S.; Bruder, O.; Kispert, E.M.; Hill, S.; Ong, P.; Klingel, K.; et al. Long-term follow-up of biopsy-proven viral myocarditis: Predictors of mortality and incomplete recovery. J. Am. Coll. Cardiol. 2012, 59, 1604–1615. [Google Scholar] [CrossRef] [PubMed]
- Shah, K.S.; Heikali, D.; Bokhoor, P.I. Abstract 15279: Dizziness, Clots, and Heart Failure: Reasons to Stay Out of the Lymelight. Circulation 2018, 138, A15279. [Google Scholar] [CrossRef]
- Arcari, L.; Tini, G.; Camastra, G.; Ciolina, F.; De Santis, D.; Russo, D.; Caruso, D.; Danti, M.; Cacciotti, L. Cardiac Magnetic Resonance Imaging in Immune Check-Point Inhibitor Myocarditis: A Systematic Review. J. Imaging 2022, 8, 99. [Google Scholar] [CrossRef] [PubMed]
- Bohbot, Y.; Garot, J.; Hovasse, T.; Unterseeh, T.; Di Lena, C.; Boukefoussa, W.; Tawa, C.; Renard, C.; Limouzineau, I.; Duhamel, S.; et al. Clinical and Cardiovascular Magnetic Resonance Predictors of Early and Long-Term Clinical Outcome in Acute Myocarditis. Front. Cardiovasc. Med. 2022, 9, 886607. [Google Scholar] [CrossRef] [PubMed]
- Pöyhönen, P.; Rågback, J.; Mäyränpää, M.I.; Nordenswan, H.K.; Lehtonen, J.; Shenoy, C.; Kupari, M. Cardiac magnetic resonance in histologically proven eosinophilic myocarditis. J. Cardiovasc. Magn. Reson. 2023, 25, 79. [Google Scholar] [CrossRef]
- Sanguineti, F.; Garot, P.; Mana, M.; O’H-Ici, D.; Hovasse, T.; Unterseeh, T.; Louvard, Y.; Troussier, X.; Morice, M.C.; Garot, J. Cardiovascular magnetic resonance predictors of clinical outcome in patients with suspected acute myocarditis. J. Cardiovasc. Magn. Reson. 2015, 17, 78. [Google Scholar] [CrossRef] [PubMed]
- Zhang, L.; Awadalla, M.; Mahmood, S.S.; Nohria, A.; Hassan, M.Z.O.; Thuny, F.; Zlotoff, D.A.; Murphy, S.P.; Stone, J.R.; Golden, D.L.A.; et al. Cardiovascular magnetic resonance in immune checkpoint inhibitor-associated myocarditis. Eur. Heart J. 2020, 41, 1733–1743. [Google Scholar] [CrossRef] [PubMed]
- Marwick, T.H.; Neubauer, S.; Petersen, S.E. Use of cardiac magnetic resonance and echocardiography in population-based studies: Why, where, and when? Circ. Cardiovasc. Imaging 2013, 6, 590–596. [Google Scholar] [CrossRef]
- Rajagopalan, N.; Leung, S.W.; Craft, R.S.; Bailey, A.L. Improving Cardiovascular Health in Rural United States: Role of Academic Medical Centers. JACC Adv. 2024, 3, 100950. [Google Scholar] [CrossRef] [PubMed]






| Study (n = 24) | Patient Demographics and Presentation | Reported CMR Findings |
|---|---|---|
| Avitabile, 2015 [56] | A 16-year-old female in the USA presenting with palpitations, and myalgias. No rash, arthralgias, or preceding febrile illness. |
|
| Bergler-Klein, 1993 [57] | A 22-year-old male with acute severe precordial pain and upper limb arthralgias; no recollection of erythema or tick bite. |
|
| Constante, 2021 [58] | A 17-year-old male in a rural area in Portugal presenting with cervical pain, odynophagia, and fever. |
|
| Costa, 2023 [59] | A 26-year-old male in Switzerland presenting with intense chest pain, fever, and palpable inguinal lymphadenopathy. |
|
| Cunningham, 2017 [37] | A 12-year-old male in the USA, previously healthy, presenting with cardiac arrest after recent outdoor camping trip. |
|
| Eslami, 2020 [60] | A 62-year-old male in the USA with 1 week of myalgias, drenching sweats, fever, and chills. |
|
| Gadela, 2021 [48] | A 21-year-old male in the USA with chest pain and a tick bite a few weeks prior. |
|
| Inboriboon, 2010 [61] | A 20-year-old male in the USA with 2 weeks of migratory arthralgias, numerous macular blanching rashes, and a brief episode of palpitations. |
|
| Kaldas, 2024 [41] | A 72-year-old male in the USA; erythema migrans rash. After 20 days of treatment with doxycycline, VT arrest and cardiogenic shock occurred. |
|
| Konopka, 2013 [31] | A 41-year-old female in Poland; 4 months of progressive fatigue, exertional dyspnea, and atrial fibrillation. |
|
| Maher, 2012 [62] | A 41-year-old male in Europe with chest pain and recent flu-like illness. |
|
| Malik, 2021 [63] | A 22-year-old male in the USA presenting with several days of chest pain and lightheadedness. |
|
| Mehta, 2021 [40] | A 58-year-old male in the USA with myalgias, weakness, fevers, and bilateral facial palsy. |
|
| Mittal, 2023 [33] | A 67-year-old male with joint pain. |
|
| Munk, 2007 [43] | A 34-year-old male in Norway; 5-day history of lightheadedness, dyspnea, and chest heaviness on exertion. |
|
| Muschart, 2015 [49] | A 13-year-old female in Belgium with malaise and palpitations. |
|
| Naik, 2008 [34] | A 59-year-old male with extreme fatigue and recurrent syncope. |
|
| Ponniah, 2019 [64] | A 62-year-old male in the USA with ataxia, dysarthria, myalgia, low-grade fever, and shortness of breath. |
|
| Prochnau, 2022 [50] | A 34-year-old in Germany with progressive dyspnea and transient general rash 2 weeks prior. |
|
| Rojas-Salvador, 2023 [65] | A 28-year-old male in the USA with fever and fatigue, then rash, lightheadedness, fever, and sinus bradycardia. |
|
| Schroeter, 2022 [35] | A 37-year-old male in Germany with a history of microscopic polyangiitis on immune suppressive therapy, presenting with severe dyspnea 2° to acute heart failure. |
|
| Tamez, 2011 [66] | A 40-year-old male in Massachusetts; retrosternal chest pain radiating to the left shoulder. |
|
| Ventejou, 2021 [36] | A 64-year-old male traveling through the USA (treated in France) with erythematous macules and no recollection of a tick bite. Presented to hospital 19 days later with apyrexia, tachycardia, multiple ECM, and facial palsy. |
|
| Yarema, 2024 [44] | A 51-year-old patient in Ukraine with postural chest pain, shortness of breath, dizziness, headache, several general weakness, and periodic hypertension. |
|
| Study (n = 9) | Initial CMR Findings | Follow-Up Time | Follow-Up CMR Findings |
|---|---|---|---|
| Cunningham, 2017 [37] | Early and LGE in the midanteroseptal segment and basal inferior segment of the left ventricle. | ~3–5 weeks | Near resolution of previously noted early and LGE. |
| Koene, 2012 [42] | Normal systolic function, no edema or fibrosis. | 2 months | Preserved systolic function, still no edema or fibrosis. |
| Konopka, 2013 [31] | Midwall focus of LGE in apical region. | 12 months | Features of past inflammation without progression. |
| Maher, 2012 [62] | Multiple band-like regions of LGE in the mid-myocardium of the LV wall, sparing the subendocardial layer. | 3 months | Reduction in the focal areas of LGE, subtle areas of persistent increased signal. |
| Munk, 2007 [43] | Normal LV function, epimyocardial LGE in anterolateral wall. | 4 months | Persistent epimyocardial LGE. |
| Naik, 2008 [34] | Linear focus of LGE in midwall region of the basal anteroseptal wall. | 6 weeks | Significantly diminished extent of LGE in the basal anteroseptal wall. |
| Prochnau, 2022 [50] | Interventricular septal edema; no LGE. | Unknown | Near-complete regression of septal edema. |
| Shah, 2018 [69] | No abnormal LGE; two clots in RV apex. | Unknown | Resolution of clots. |
| Ventejou, 2021 [36] | Myocardial edema, elevated extracellular volume, no LGE. | 3 and 12 months | Persistently elevated ECV and myocardial edema at 3 and 12 months. |
Disclaimer/Publisher’s Note: The statements, opinions and data contained in all publications are solely those of the individual author(s) and contributor(s) and not of MDPI and/or the editor(s). MDPI and/or the editor(s) disclaim responsibility for any injury to people or property resulting from any ideas, methods, instructions or products referred to in the content. |
© 2024 by the authors. Licensee MDPI, Basel, Switzerland. This article is an open access article distributed under the terms and conditions of the Creative Commons Attribution (CC BY) license (https://creativecommons.org/licenses/by/4.0/).
Share and Cite
Kaczynski, M.; Desai, S.; Osorio, B.; Hulten, E.; Agarwal, S.; Atalay, M.K.; Patel, Y. Cardiac Magnetic Resonance Imaging in Lyme Carditis—A Case Series and Review of Literature. J. Cardiovasc. Dev. Dis. 2025, 12, 2. https://doi.org/10.3390/jcdd12010002
Kaczynski M, Desai S, Osorio B, Hulten E, Agarwal S, Atalay MK, Patel Y. Cardiac Magnetic Resonance Imaging in Lyme Carditis—A Case Series and Review of Literature. Journal of Cardiovascular Development and Disease. 2025; 12(1):2. https://doi.org/10.3390/jcdd12010002
Chicago/Turabian StyleKaczynski, Matthew, Suhani Desai, Brian Osorio, Edward Hulten, Saurabh Agarwal, Michael K. Atalay, and Yash Patel. 2025. "Cardiac Magnetic Resonance Imaging in Lyme Carditis—A Case Series and Review of Literature" Journal of Cardiovascular Development and Disease 12, no. 1: 2. https://doi.org/10.3390/jcdd12010002
APA StyleKaczynski, M., Desai, S., Osorio, B., Hulten, E., Agarwal, S., Atalay, M. K., & Patel, Y. (2025). Cardiac Magnetic Resonance Imaging in Lyme Carditis—A Case Series and Review of Literature. Journal of Cardiovascular Development and Disease, 12(1), 2. https://doi.org/10.3390/jcdd12010002

