A Novel Oral Endoscopic Biopsy Procedure to Obtain Rumen Epithelial Samples
Abstract
:1. Introduction
2. Materials and Methods
2.1. Animals
2.2. Animal Preparation for Endoscopy
2.3. Equipment Operation
2.4. Oral Endoscopic Biopsy Procedure
2.5. Calf Recovery after the Endoscopic Biopsy Procedure
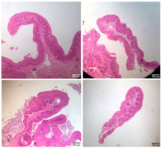
2.6. Papillae Measurements
2.7. Statistical Analysis
3. Results
3.1. Oral Endoscopic Biopsy Procedure
3.2. Papillae Measurements
4. Discussion
5. Conclusions
Author Contributions
Funding
Institutional Review Board Statement
Informed Consent Statement
Data Availability Statement
Acknowledgments
Conflicts of Interest
References
- Górka, P.; Kowalski, Z.; Pietrzak, P.; Kotunia, A.; Kiljanczyk, R.; Flaga, J.; Holst, J.; Guilloteau, P.; Zabielski, R. Effect of sodium butyrate supplementation in milk replacer and starter diet on rumen development in calves. J. Physiol. Pharmacol. 2009, 60, 47–53. [Google Scholar] [PubMed]
- Górka, P.; Kowalski, Z.M.; Pietrzak, P.; Kotunia, A.; Jagusiak, W.; Zabielski, R. Is rumen development in newborn calves affected by different liquid feeds and small intestine development? J. Dairy Sci. 2011, 94, 3002–3013. [Google Scholar] [CrossRef] [PubMed]
- Van Niekerk, J.K.; Middeldorp, M.; Steele, M.A. The development of a methodology for ruminal and colon tissue biopsying of young Holstein dairy calves. J. Dairy Sci. 2018, 101, 7212–7218. [Google Scholar] [CrossRef] [PubMed] [Green Version]
- Lesmeister, K.E.; Tozer, P.R.; Heinrichs, A.J. Development and analysis of a rumen tissue sampling procedure. J. Dairy Sci. 2004, 87, 1336–1344. [Google Scholar] [CrossRef] [Green Version]
- Schäff, C.T.; Gruse, J.; Maciej, J.; Pfuhl, R.; Zitnan, R.; Rajsky, M.; Hammon, H.M. Effects of feeding unlimited amounts of milk replacer for the first 5 weeks of age on rumen and small intestinal growth and development in dairy calves. J. Dairy Sci. 2018, 101, 783–793. [Google Scholar] [PubMed] [Green Version]
- McRae, K.; Schultz, M.; Mackintosh, C.; Schakell, G.; Martinez, M.; Knowler, K.; Williams, M.; Ho, C.; Elmes, S.; McEwan, G. Ovine rumen papillae biopsy via oral endoscopy; a rapid and repeatable method for serial sampling. N. Z. Vet. J. 2016, 64, 174–178. [Google Scholar] [CrossRef] [PubMed] [Green Version]
- Preena, P.; Vineetha, S.; Aneesha, V.A.; Mohan, D.; Vibin, V. Applications of endoscopy in canine medicine. Vet. Clin. Sci. 2016, 4, 19–22. [Google Scholar]
- Gerring, E.L. Veterinary endoscopy in large animals. Br. Med. Bull. 1986, 42, 333–336. [Google Scholar] [CrossRef] [PubMed]
- Sum, S.; Ward, C.R. Flexible endoscopy in small animals. Vet. Clin. N. Am. Small Anim. Pract. 2009, 39, 881–902. [Google Scholar] [CrossRef] [PubMed]
- McCarthy, T.C. Introduction and history of endoscopy. In Veterinary Endoscopy for the Small Animal Practitioner, 2nd ed.; John Wiley & Sons, Inc.: Beaverton, OR, USA, 2009; pp. 1–7. [Google Scholar]
- Franz, S.; Gentile, A.; Baumgartner, W. Comparison of two ruminoscopy techniques in calves. Vet. J. 2006, 172, 308–314. [Google Scholar] [CrossRef] [PubMed]
- Abrahamsen, E.J. Chemical restraint in ruminants. Vet. Clin. N. Am. Food Anim. Pract. 2008, 24, 227–243. [Google Scholar] [CrossRef] [PubMed]
- Wang, B.; Yang, C.T.; Diao, Q.Y.; Tu, Y. The influence of mulberry leaf flavonoids and Candida tropicalis on antioxidant function and gastrointestinal development of preweaning calves challenged with Escherichia coli O141:K99. J. Dairy Sci. 2018, 101, 6098–6108. [Google Scholar] [CrossRef] [PubMed] [Green Version]
- Relling, A.E.; Mattioli, G.A. Fisiología Digestiva y Metabólica de los Rumiantes; U.N.L.P. Editorial Edulp: La Plata, Argentina, 2009; pp. 23–55. [Google Scholar]
- Beharka, A.; Nagaraja, T.; Morril, J.; Kennedy, G.; Klemm, R. Effects of form of the diet on anatomical, microbial, and fermentative development of the rumen of neonatal calves. J. Dairy Sci. 1998, 81, 1946–1955. [Google Scholar] [CrossRef]






| Diet 1 | Weight (kg) | Atropine (mL) | Xylazine (mL) | Recovery Time (min) | Amoxicillin (mL) |
|---|---|---|---|---|---|
| 1 | 117 | 2.3 | 0.25 | 25 | 11.7 |
| 1 | 157 | 3.1 | 0.25 | 18 | 15.7 |
| 1 | 125 | 2.5 | 0.25 | 21 | 12.5 |
| 1 | 137 | 2.7 | 0.25 | 30 | 13.7 |
| 1 | 138 | 2.8 | 0.25 | 22 | 13.8 |
| 1 | 123 | 2.5 | 0.25 | 25 | 12.3 |
| 2 | 97 | 1.9 | 0.25 | 20 | 9.7 |
| 2 | 77 | 1.5 | 0.25 | 22 | 7.7 |
| 2 | 132 | 2.6 | 0.25 | 25 | 13.2 |
| 2 | 107 | 2.1 | 0.25 | 24 | 10.7 |
| 2 | 140 | 2.8 | 0.25 | 21 | 14.0 |
| 2 | 150 | 3.0 | 0.25 | 20 | 15.0 |
Publisher’s Note: MDPI stays neutral with regard to jurisdictional claims in published maps and institutional affiliations. |
© 2022 by the authors. Licensee MDPI, Basel, Switzerland. This article is an open access article distributed under the terms and conditions of the Creative Commons Attribution (CC BY) license (https://creativecommons.org/licenses/by/4.0/).
Share and Cite
Ramos-Zayas, Y.; Cantú-Reyes, S.A.; Tristán-Casas, I.I.; Kawas, J.R. A Novel Oral Endoscopic Biopsy Procedure to Obtain Rumen Epithelial Samples. Vet. Sci. 2022, 9, 230. https://doi.org/10.3390/vetsci9050230
Ramos-Zayas Y, Cantú-Reyes SA, Tristán-Casas II, Kawas JR. A Novel Oral Endoscopic Biopsy Procedure to Obtain Rumen Epithelial Samples. Veterinary Sciences. 2022; 9(5):230. https://doi.org/10.3390/vetsci9050230
Chicago/Turabian StyleRamos-Zayas, Yareellys, Saúl A. Cantú-Reyes, Iris I. Tristán-Casas, and Jorge R. Kawas. 2022. "A Novel Oral Endoscopic Biopsy Procedure to Obtain Rumen Epithelial Samples" Veterinary Sciences 9, no. 5: 230. https://doi.org/10.3390/vetsci9050230
APA StyleRamos-Zayas, Y., Cantú-Reyes, S. A., Tristán-Casas, I. I., & Kawas, J. R. (2022). A Novel Oral Endoscopic Biopsy Procedure to Obtain Rumen Epithelial Samples. Veterinary Sciences, 9(5), 230. https://doi.org/10.3390/vetsci9050230
