Computed Tomography Evaluation of Normal Canine Abdominal Lymph Nodes: Retrospective Study of Size and Morphology According to Body Weight and Age in 45 Dogs
Abstract
1. Introduction
2. Materials and Methods
2.1. Animals
2.2. Inclusion Criteria
2.3. Experimental Design
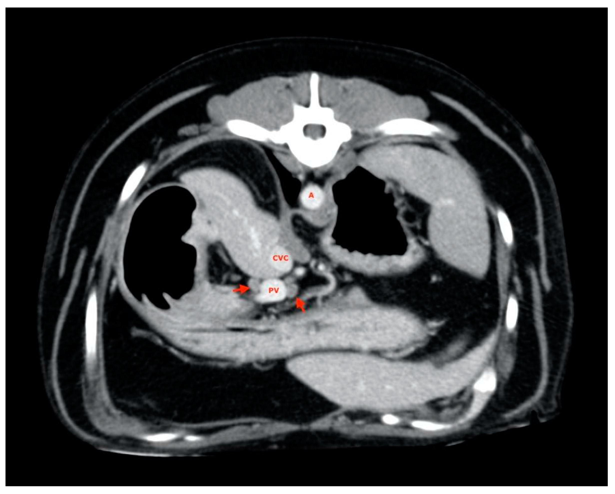
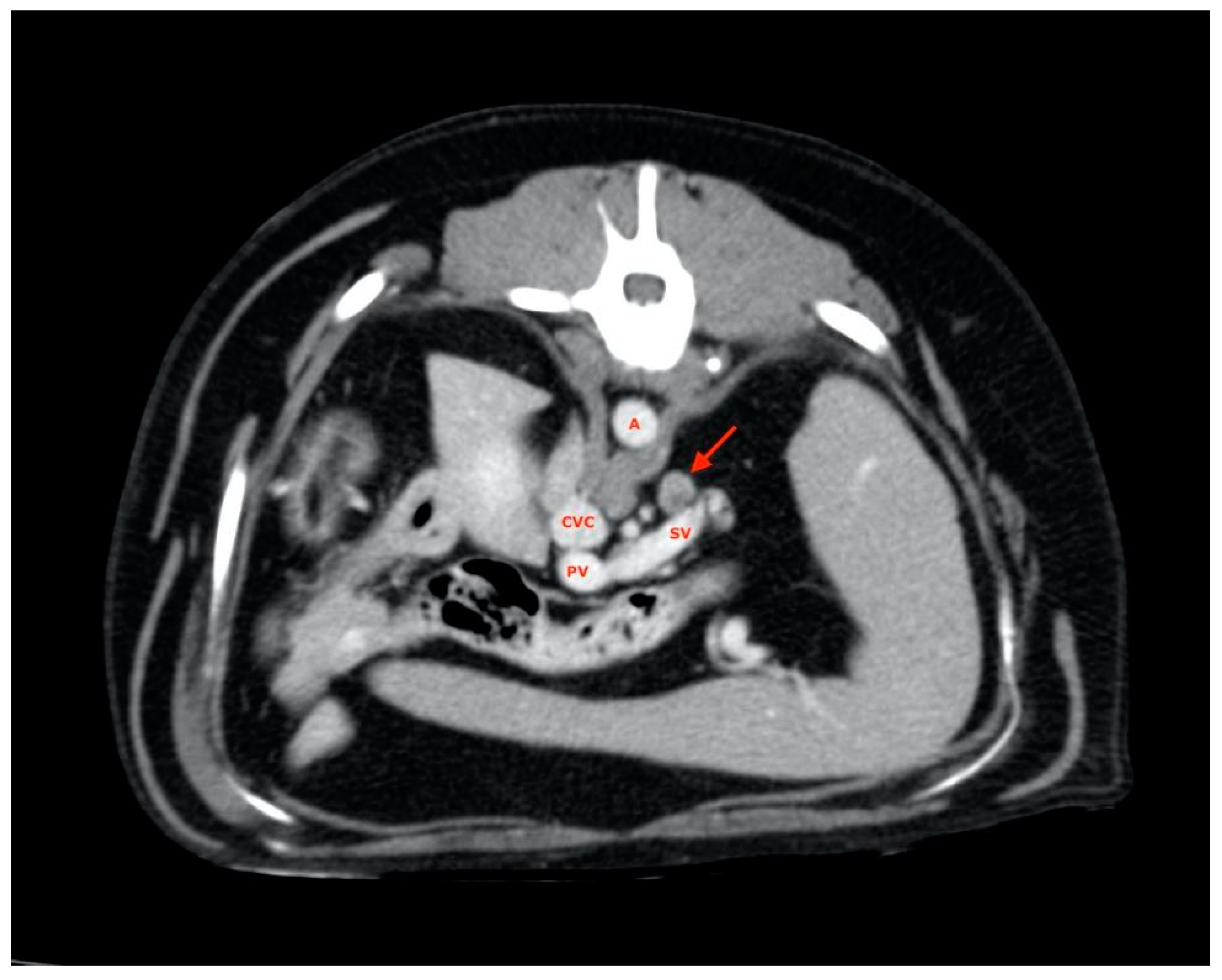
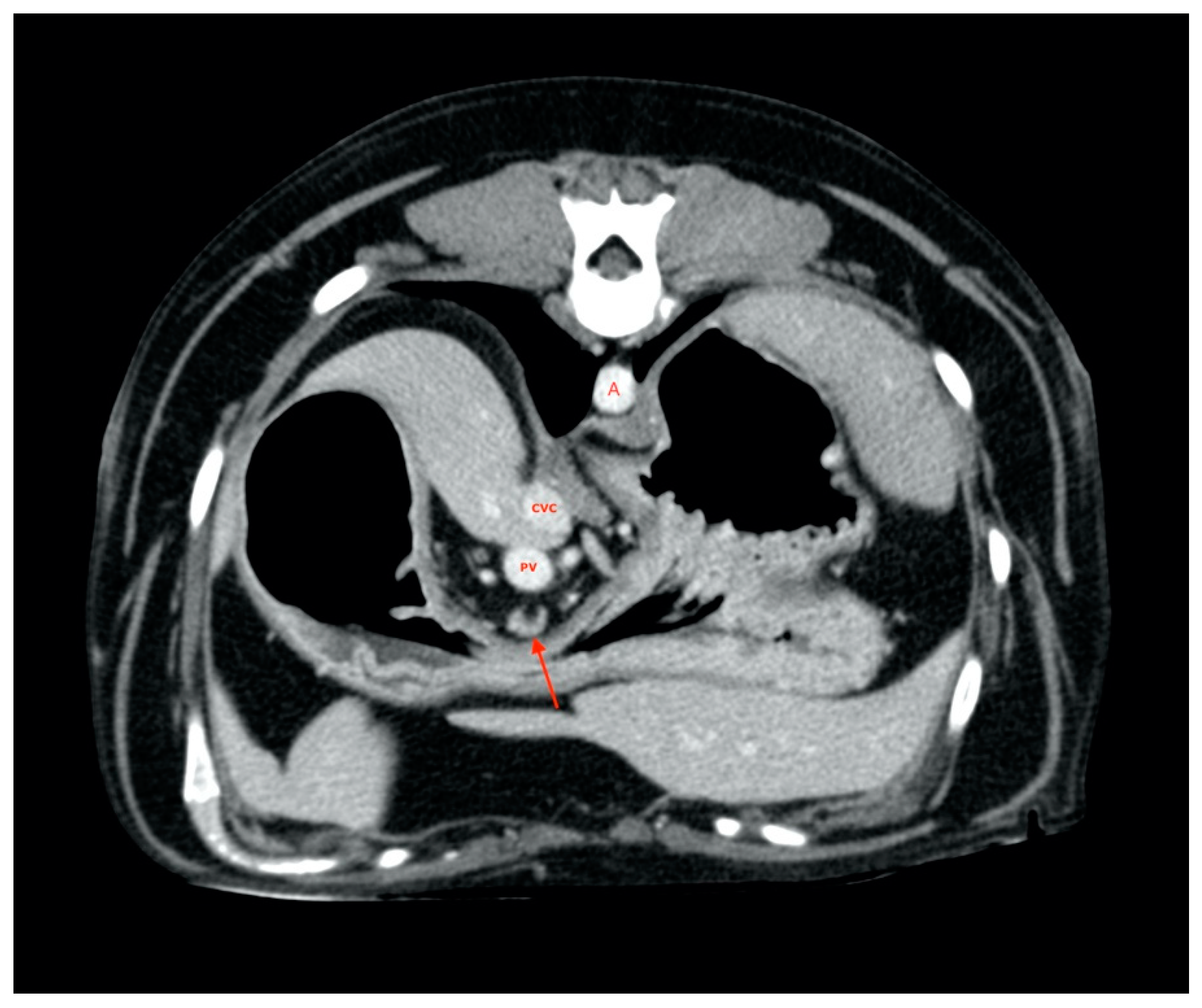
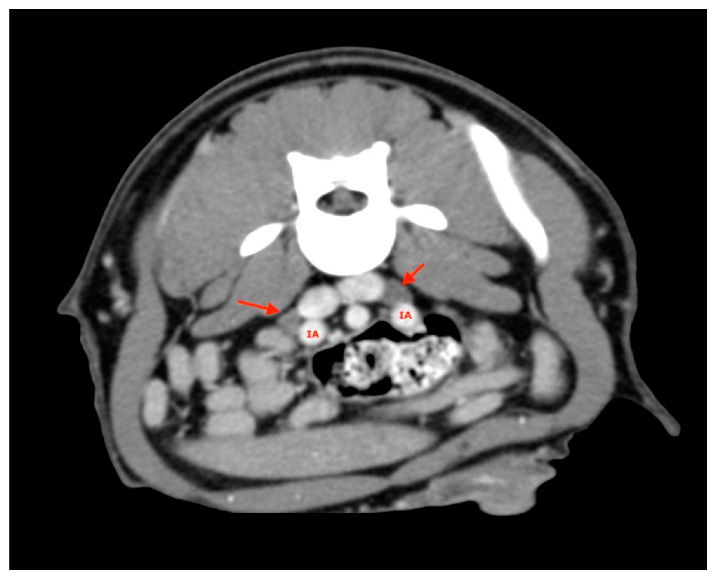
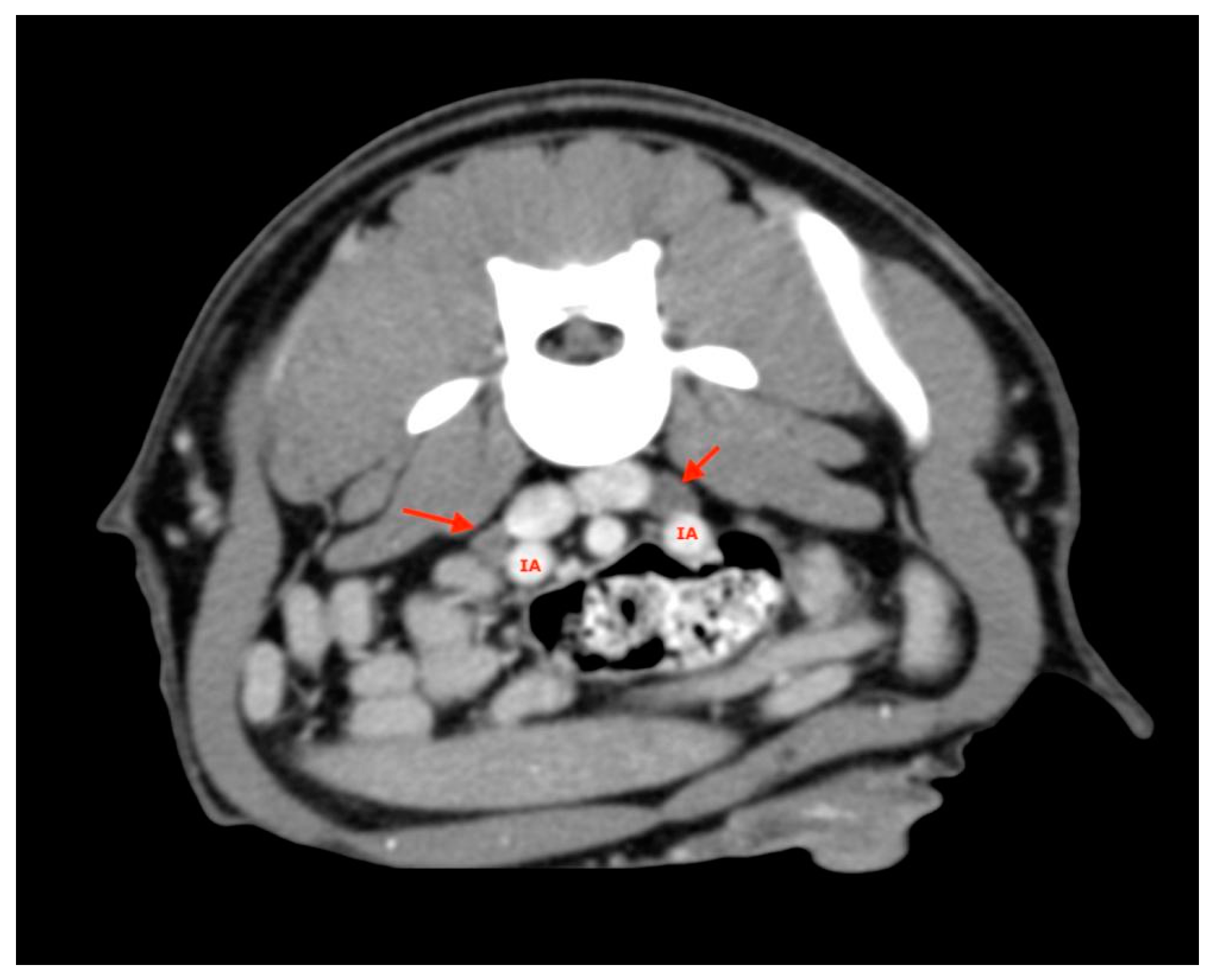
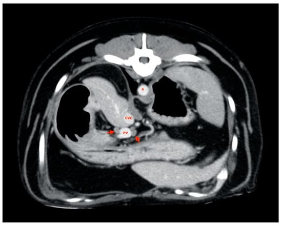
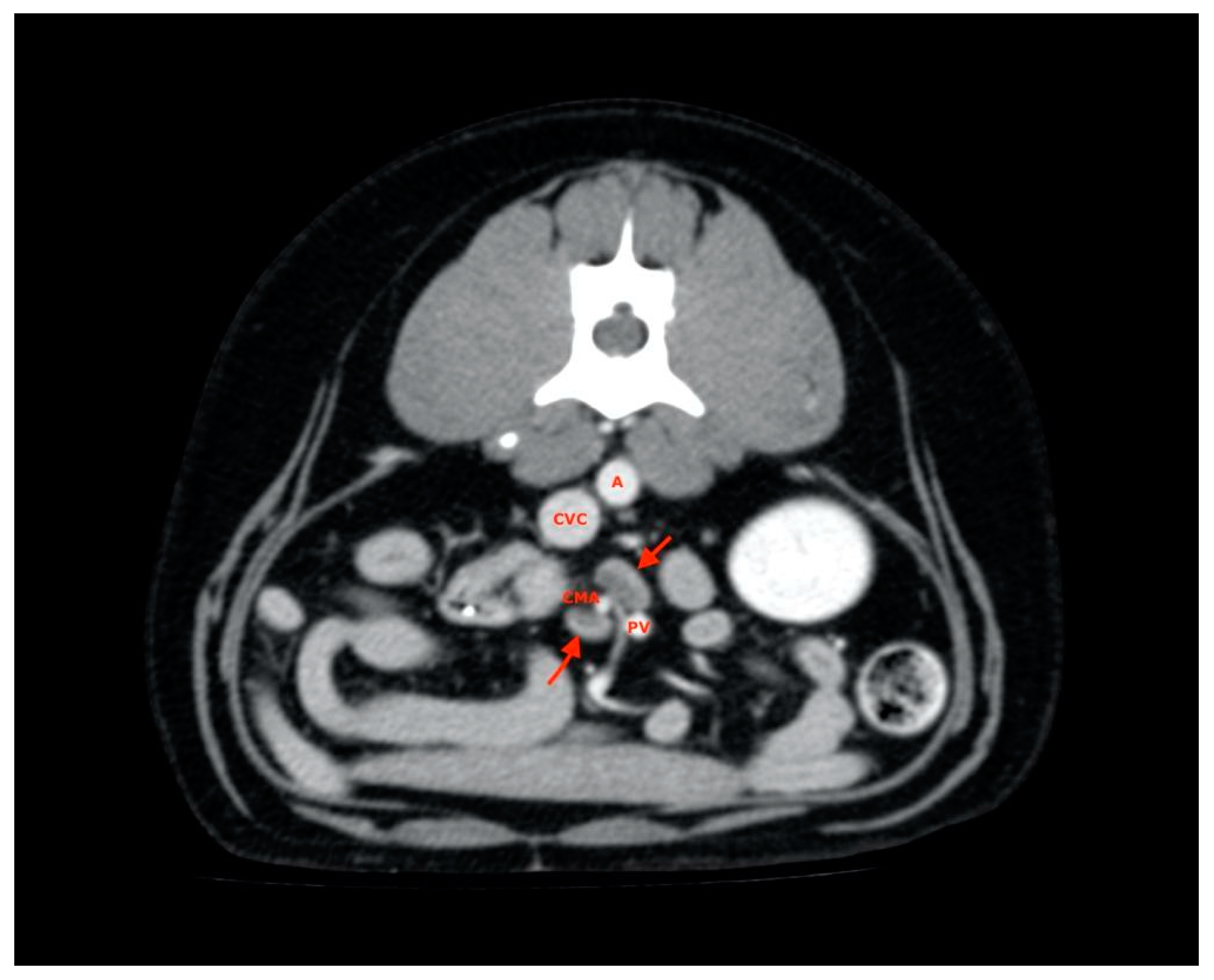
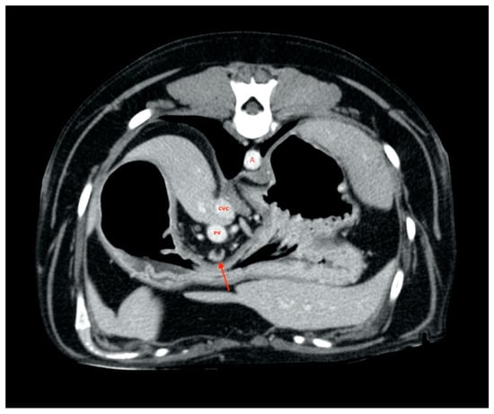
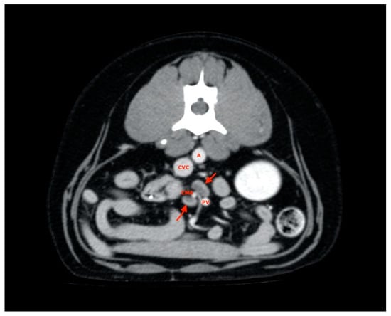
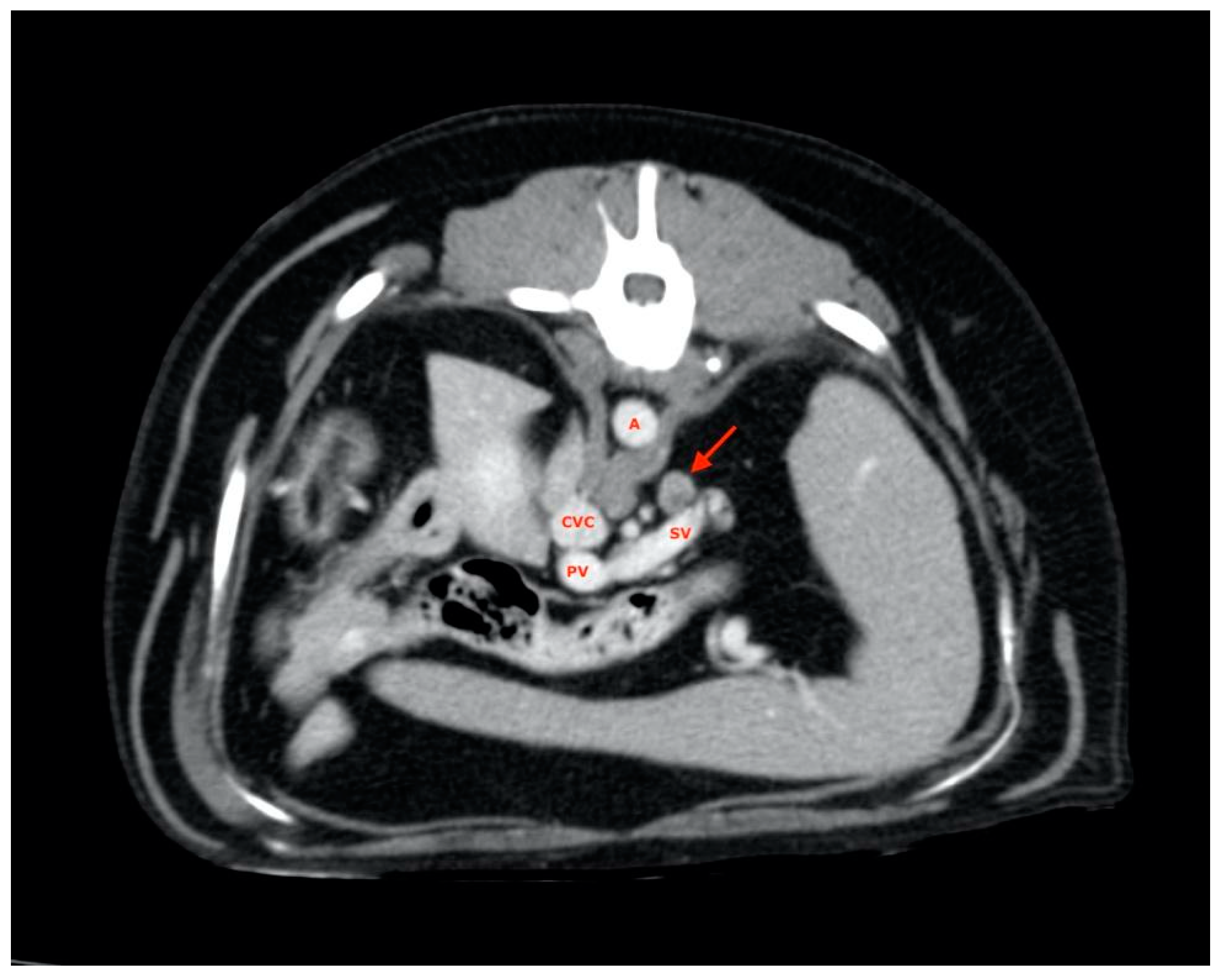
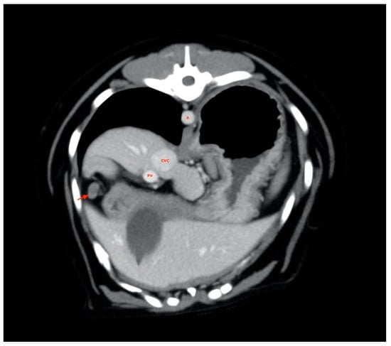
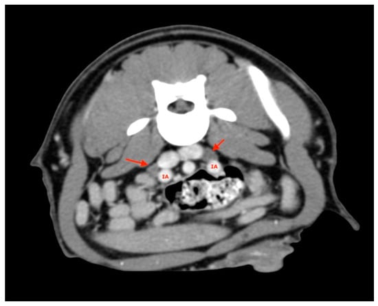
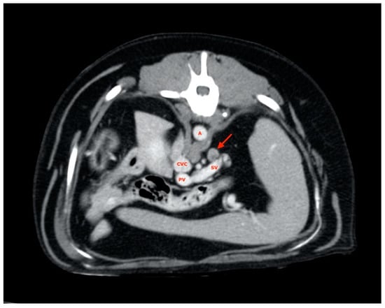
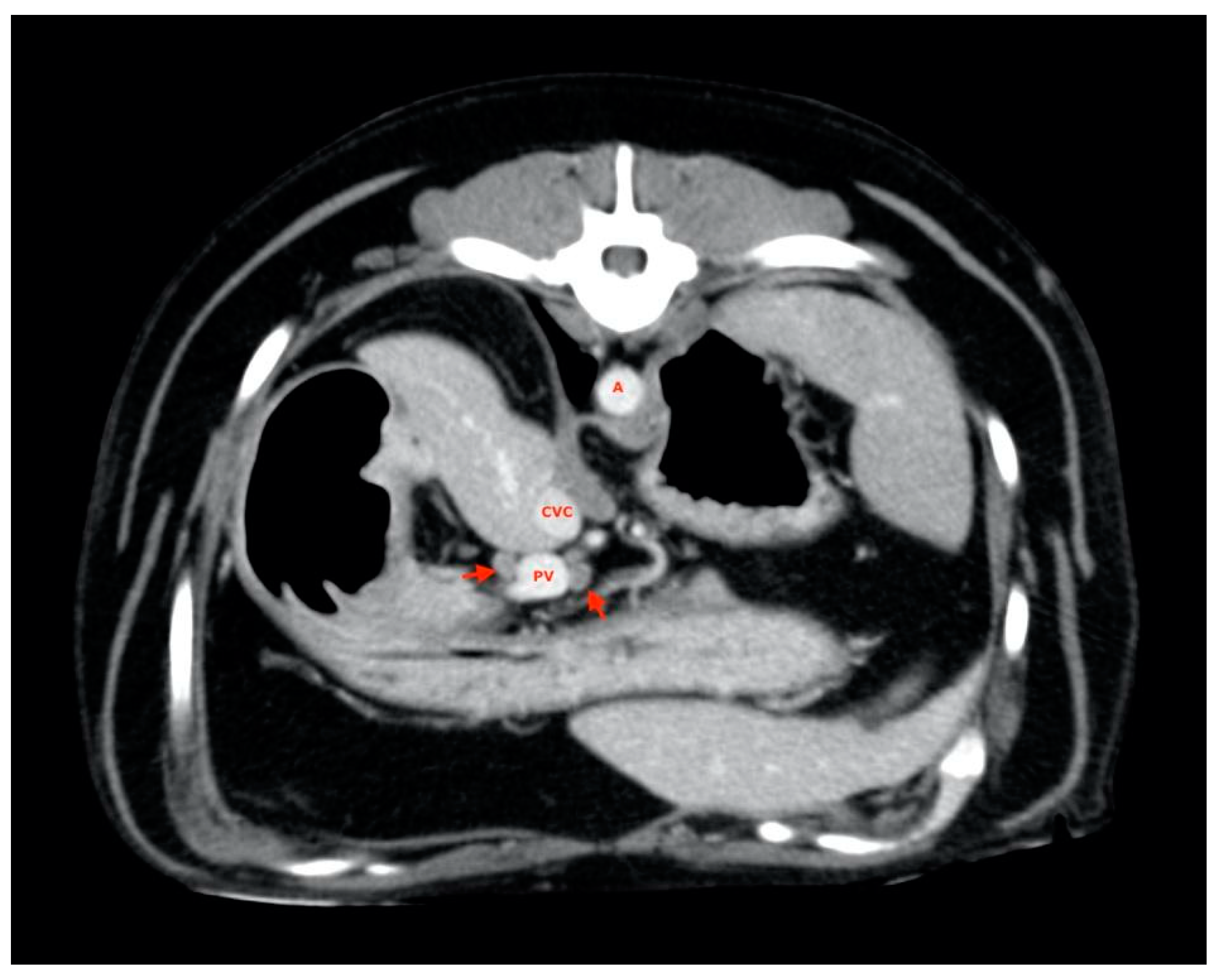
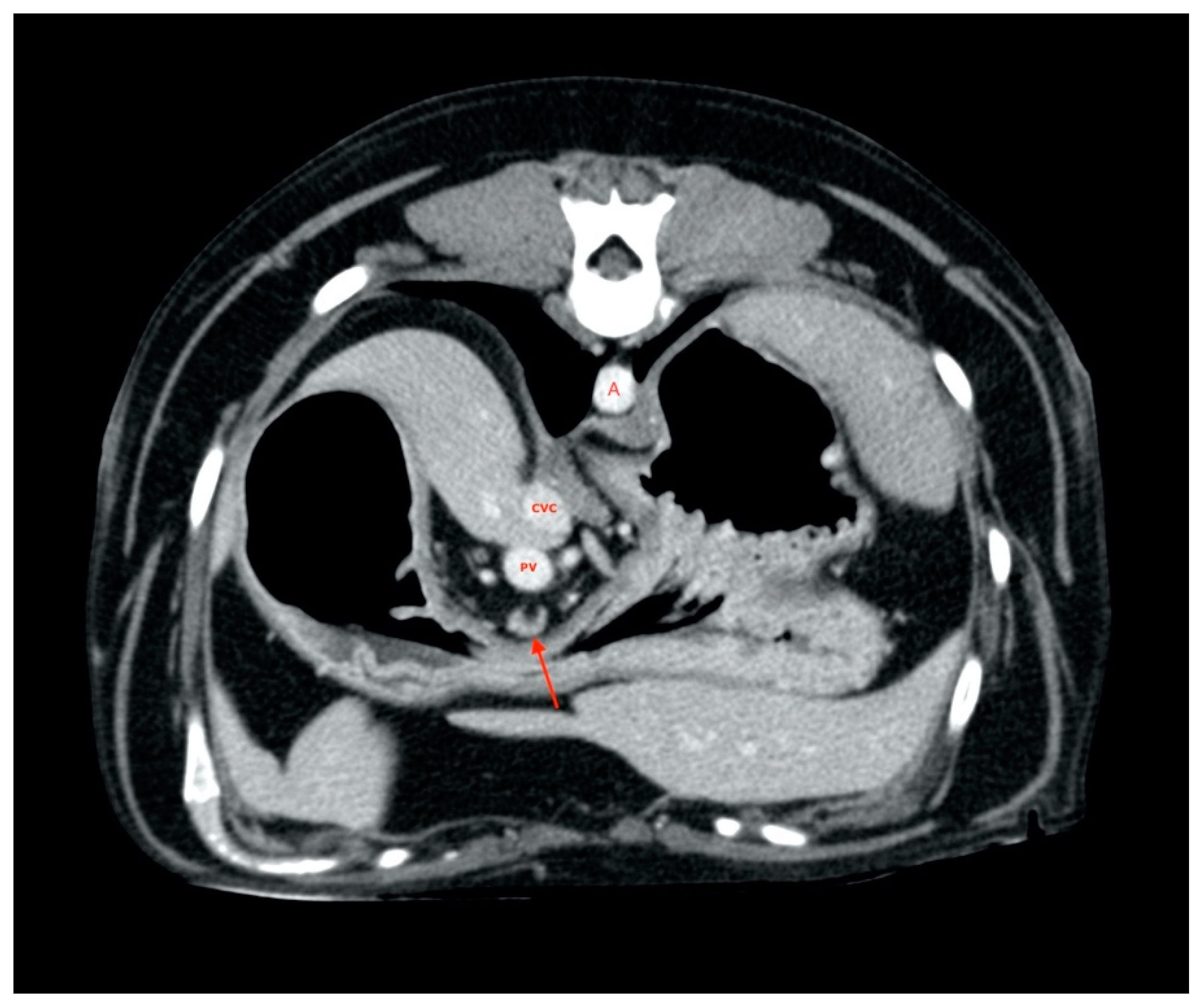
2.4. Procedures
2.5. Measurements
2.6. Statistical Analysis
3. Results
3.1. Lymph Node Size (Length, Thickness, Width) and Volume
3.2. Lymph Node Shape
3.3. X-ray Attenuation and Enhancement
3.4. Age
4. Discussion
5. Conclusions
Author Contributions
Funding
Institutional Review Board Statement
Informed Consent Statement
Data Availability Statement
Conflicts of Interest
Ethics Approval and Consent to Participate
References
- Bezuidenhout, A.J. The lymphatic system. In Miller’s Anatomy of the Dog; Evans, H.E., de Lahunta, A.E., Eds.; Elsevier Saunders: St. Louis, MO, USA, 2013. [Google Scholar]
- Agthe, P.; Caine, A.R.; Posch, B.; Herrtage, M.E. Ultrasonographic appearance of jejunal lymph nodes in dogs without clinical signs of gastrointestinal disease. Vet. Radiol. Ultrasound 2009, 50, 195–200. [Google Scholar] [CrossRef] [PubMed]
- Barberet, V.; Schreurs, E.; Rademacher, N.; Nitzl, D.; Taeymans, O.; Duchateau, L.; Saunders, J.H. Quantification of the Effect of Various Patient and Image Factors on Ultrasonographic Detection of Select Canine Abdominal Organs. Vet. Radiol. Ultrasound 2008, 49, 273–276. [Google Scholar] [CrossRef] [PubMed]
- Bertolini, G.; Furlanello, T.; De Lorenzi, D.; Caldin, M. Computed tomographic quantification of canine adrenal gland volume and attenuation. Vet. Radiol. Ultrasound 2006, 47, 444–448. [Google Scholar] [CrossRef]
- Llabrés-Díaz, F.J. Ultrasonography of the medial iliac lymph nodes in the dog. Vet. Radiol. Ultrasound 2004, 45, 156–165. [Google Scholar] [CrossRef] [PubMed]
- Mattoon, J.; Berry, C.; Nyland, T. Advanced Ultrasound Techniques. In Small Animal Diagnostic Ultrasound, 3rd ed.; Mattoon, J.S., Nyland, T.G., Eds.; Elsevier: Amsterdam, The Netherlands, 2015; pp. 501–516. [Google Scholar]
- Mayer, M.N.; Lawson, J.A.; Silver, T.I. Sonographic characteristics of presumptively normal canine medial iliac and superficial inguinal lymph nodes. Vet. Radiol. Ultrasound 2010, 51, 638–641. [Google Scholar] [CrossRef] [PubMed]
- Pugh, C.R. Ultrasonographic Examination of Abdominal Lymph Nodes in the Dog. Vet. Radiol. Ultrasound 1994, 35, 110–115. [Google Scholar] [CrossRef]
- Rossi, F.; Patsikas, M.; Wisner, E. Abdominal lymph nodes and lymphatic collecting system. In Veterinary Computed Tomography; Wiley-Blackwell: Chichester, UK, 2011; Chapter 36; pp. 371–379. [Google Scholar]
- Simeoni, F.; Signore, F.; Terragni, R.; Tamburro, R.; Aste, G.; Vignoli, M. Diagnostic Imaging of Gastrointestinal Tumours in Dogs and Cats: A Review. Am. J. Anim. Vet. Sci. 2020, 15, 89–101. [Google Scholar] [CrossRef]
- Ballegeer, E.A.; Adams, W.M.; Dubielzig, R.R.; Paoloni, M.C.; Klauer, J.M.; Keuler, N.S. Computed tomography characteristics of canine tracheobronchial lymph node metastasis. Vet. Radiol. Ultrasound 2010, 51, 397–403. [Google Scholar] [CrossRef] [PubMed]
- Kneissl, S.; Probst, A. Comparison of computed tomographic images of normal cranial and upper cervical lymph nodes with corresponding E12 plastinated-embedded sections in the dog. Vet. J. 2007, 174, 435–438. [Google Scholar] [CrossRef]
- Marolf, A.J.; Gibbons, D.S.; Podell, B.K.; Park, R.D. Computed tomographic appearance of primary lung tumors in dogs. Vet. Radiol. Ultrasound 2011, 52, 168–172. [Google Scholar] [CrossRef] [PubMed]
- Milovancev, M.; Nemanic, S.; Bobe, G. Computed tomographic assessment of sternal lymph node dimensions and attenuation in healthy dogs. Am. J. Vet. Res. 2017, 78, 289–294. [Google Scholar] [CrossRef] [PubMed]
- Paoloni, M.C.; Adams, W.M.; Dubielzig, R.R.; Kurzman, I.; Vail, D.M.; Hardie, R.J. Comparison of results of computed tomography and radiography with histopathologic findings in tracheobronchial lymph nodes in dogs with primary lung tumors: 14 cases (1999-2002). J. Am. Vet. Med. Assoc. 2006, 228, 1718–1722. [Google Scholar] [CrossRef]
- Beukers, M.; Grosso, F.V.; Voorhout, G. Computed tomographic characteristics of presumed normal canine abdominal lymph nodes. Vet. Radiol. Ultrasound 2013, 54, 610–617. [Google Scholar] [CrossRef]
- Nyman, H. Abdominal lymph nodes. In Manual of Canine and Feline Abdominal Imaging; O’Brien, B., Barr, F., Eds.; BSAVA: Gloucester, UK, 2008; pp. 59–75. [Google Scholar]
- Iwasaki, R.; Mori, T.; Ito, Y.; Kawabe, M.; Murakmi, M.; Maruo, K. Computed Tomographic Evaluation of Presumptively Normal Canine Sternal Lymph Nodes. J. Am. Anim. Hosp. Assoc. 2016, 52, 371–377. [Google Scholar] [CrossRef]
- Tsai, S.; Sutherland-Smith, J.; Burgess, K.; Ruthazer, R.; Sato, A. Imaging characteristics of intrathoracic histiocytic sarcoma in dogs. Vet. Radiol. Ultrasound 2012, 53, 21–27. [Google Scholar] [CrossRef] [PubMed]
- Miglio, A.; Antognoni, M.T.; Miniscalco, B.; Caivano, D.; Lepri, E.; Birettoni, F.; Mangili, V. Acute undifferentiated leukaemia in a dog. Aust. Vet. J. 2014, 92, 499–503. [Google Scholar] [CrossRef] [PubMed]
- Soulsby, S.N.; Holland, M.; Hudson, J.A.; Behrend, E.N. Ultrasonographic evaluation of adrenal gland size compared to body weight in normal dogs. Vet. Radiol. Ultrasound 2015, 56, 317–326. [Google Scholar] [CrossRef] [PubMed]
- Chen, J.; Yang, Z.-G.; Shao, H.; Xiao, J.-H.; Deng, W.; Wen, L.-Y.; Tang, S.-S. Differentiation of tuberculosis from lymphomas in neck lymph nodes with multidetector-row computed tomography. Int. J. Tuberc. Lung Dis. 2012, 16, 1686–1691. [Google Scholar] [CrossRef] [PubMed]
- Hagtvedt, T.; Aaløkken, T.M.; Smith, H.-J.; Graff, B.A.; Holte, H.; Kolbenstvedt, A. Enhancement characteristics of lymphomatous lymph nodes of the neck. Acta Radiol. 2010, 51, 555–562. [Google Scholar] [CrossRef] [PubMed]
- Kwee, R.M.; Kwee, T.C. Imaging in assessing lymph node status in gastric cancer. Gastric Cancer 2009, 12, 6–22. [Google Scholar] [CrossRef] [PubMed]
- Pombo, F.; Rodriguez, E.; Caruncho, M.V.; Villalva, C.; Crespo, C. CT attenuation values and enhancing characteristics of thoracoabdominal lymphomatous adenopathies. J. Comput. Assist. Tomogr. 1994, 18, 59–62. [Google Scholar] [CrossRef] [PubMed]
- Tang, S.-S.; Yang, Z.-G.; Deng, W.; Shao, H.; Chen, J.; Wen, L.-Y. Differentiation between tuberculosis and lymphoma in mediastinal lymph nodes: Evaluation with contrast-enhanced MDCT. Clin. Radiol. 2012, 67, 877–883. [Google Scholar] [CrossRef] [PubMed]
- Karmazyn, B.; Werner, E.A.; Rejaie, B.; Applegate, K.E. Mesenteric lymph nodes in children: What is normal? Pediatr. Radiol. 2005, 35, 774–777. [Google Scholar] [CrossRef] [PubMed]







| Lymph Nodes | Length (mm) | Thickness (mm) | Width (mm) | Volume (mm3) |
|---|---|---|---|---|
| Hepatic: Total (n = 89) | 19.4 (4.5–59.7) ρ = 0.552; p < 0.001 | 4.9 (1.9–11.2) ρ= 0.712; p < 0.001 | 5.3 (2.0–10.7) ρ = 0.668; p < 0.001 | 313 (12–1753) ρ = 0.635; p < 0.001 |
| Small: <10 kg (n = 30) | 13.8 (4.5–33.0) | 3.5 (1.9–5.6) | 3.5 (2.0–6.2) | 146 (12–728) |
| Medium: 10–30 kg (n = 30) | 21.0 (5.8–56.8) | 4.8 (2.5–8.2) | 5.5 (2.8–8.3) | 360 (28–1.028) |
| Large: >30 kg (n = 29) | 27.3(7.3–59.7) | 6.2 (4.4–11.2) | 6.8 (3.7–10.7) | 520 (105–1753) |
| Splenic: Total (n = 44) | 14.7 (5.1–25.1) ρ = 0.509; p < 0.001 | 4.5 (2.1–13.7) ρ = 0.668; p < 0.001 | 5.1 (2.7–15.6) ρ = 0.630; p < 0.001 | 200 (27–967) ρ = 0.833; p < 0.001 |
| Small: <10 kg (n = 15) | 9.5 (5.1–17.0) | 3.9 (2.1–5.6) | 4.1 (2.9–7.2) | 67 (27–294) |
| Medium: 10–30 kg (n = 15) | 15.3 (8.8–25.1) | 5.0 (3.3–10.4) | 5.7 (2.2–10.2) | 214 (111–482) |
| Large: >30 kg (n = 14) | 18.5 (11.1–24.2) | 7.0 (4.5–13.7) | 6.9 (4.5–15.6) | 435 (127–967) |
| Gastric: Total (n = 44) | 9.6 (2.2–19.7) ρ = 0.737; p < 0.001 | 5.1 (2.1–13.1) ρ = 0.407; p = 0.006 | 5.7 (2.1–11.2) ρ = 0.427; p = 0.004 | 157 (11–490) ρ = 0.660; p < 0.001 |
| Small: <10 kg (n = 14) | 5.5 (2.2–9.9) | 3.8 (2.1–7.2) | 4.8 (2.1–6.8) | 36 (11–194) |
| Medium: 10–30 kg (n = 15) | 10.8 (5.4–16.0) | 5.3 (3.8–11.5) | 5.3 (3.8–11.2) | 170 (54–450) |
| Large: >30 kg (n = 15) | 12.1 (5.9–19.7) | 6.5 (3.0–13.1) | 6.5 (3.7–11.0) | 301 (46–490) |
| Pancreaticoduodenal: Total (n = 45) | 9.1 (2.4–24.2) ρ = 0.572; p < 0.001 | 5.8 (2.6–10.6) ρ = 0.603; p < 0.001 | 4.4 (1.9–12.6) ρ = 0.565; p < 0.001 | 109 (12–580) ρ = 0.756; p < 0.001 |
| Small: <10 kg (n = 15) | 7.1 (2.4–10.1) | 3.8 (2.6–7.8) | 3.5 (1.9–6.2) | 40 (12–164) |
| Medium: 10–30 kg (n = 15) | 9.2 (4.4–20.0) | 6.0 (4.3–9.7) | 4.4 (3.2–9.5) | 214 (60–319) |
| Large: >30 kg (n = 15) | 13.0 (5.8–24.2) | 7.1 (3.2–10.6) | 6.6 (3.0–12.6) | 435 (74–580) |
| Medial iliac: Total (n = 90) | 24.6 (6–57) ρ = 0.762; p < 0.001 | 5.2 (1.9–13.9) ρ = 0.750; p < 0.001 | 4.9 (1.5–11.2) ρ = 0.622; p < 0.001 | 354 (32–1987) ρ = 0.802; p < 0.001 |
| Small: <10 kg (n = 30) | 16.5 (6.0–56.5) | 3.8 (1.9–6.9) | 4.1 (1.5–8.5) | 135 (32–713) |
| Medium: 10–30 kg (n = 30) | 24.5 (17.7–55.9) | 5.0 (2.5–11.1) | 5.0 (2.5–11.1) | 214 (124–1272) |
| Large: >30 kg (n = 30) | 33.1 (20.0–57.0) | 7.2 (4.0–14.0) | 6.8 (3.4–11.2) | 844 (233–1987) |
| Jejunal: Total (n = 90) | 50 (7.7–89.3) ρ = 0.748; p < 0.001 | 5.8 (2.4–11.6) ρ = 0.551; p < 0.001 | 6.5 (2.3–15.8) ρ = 0.640; p < 0.001 | 1498 (85–5273) ρ = 0.817; p < 0.001 |
| Small: <10 kg (n = 30) | 34.2 (7.7–58.1) | 4.0 (2.4–8.0) | 4.2 (2.3–8.1) | 451 (85–1532) |
| Medium: 10–30 kg (n = 30) | 53.0 (28.0–79.0) | 5.9 (4.1–8.7) | 7.0 (2.4–11.8) | 959 (287–3965) |
| Large: >30 kg (n = 30) | 65.0 (40.9–89.3) | 7.1 (3.3–11.6) | 9.2 (4.8–15.8) | 2.6 (1.03–5.3) |
| Lymph Nodes | Rounded ALs | Mixed ALs | Elongated ALs | Spearman Rank Test |
|---|---|---|---|---|
| Hepatic (n = 89) | 30.5 (4.5–38) | 20.5 (2–62) | 18 (2–62) | ρ = −0.051; p = 0.634 |
| Splenic (n = 44) | 31.5 (9–38) | 20 (2–62) | 14 (5–50) | ρ = −0.230; p = 0.134 |
| Gastric (n = 44) | 15 (2–44) | 30 (14–62) | - | ρ = 0.380; p = 0.011 |
| Pancreaticoduodenal (n = 45) | 15 (2.5–62) | 22 (2–44) | 25 (23.5–32) | ρ = 0.049; p = 0.751 |
| Medial iliac (n = 90) | - | 4.5 (2–42) | 23.5 (2.5–62) | ρ = 0.221; p = 0.037 |
| Jejunal (n = 90) | - | 6 (6–6) | 21.7 (2–62) | ρ = 0.192; p = 0.070 |
| Lymph Node | HU Pre MdC Median (Range) | HU Post MdC Median (Range) |
|---|---|---|
| Hepatic: Total (n = 89) Small: <10 kg (n = 30) Med: 10–30 kg (n = 30) Large: >30 kg (n = 29) | 29 (20–49) ρ = 0.130; p = 0.224 26 (20–40) 31.5 (20–49) 31 (20–49) | 94 (73–113) ρ = 0.117; p = 0.274 26 (20–40) 31.5 (20–49) 31 (20–49) |
| Splenic: Total (n = 44) Small: <10 kg (n = 15) Med: 10–30 kg (n = 15) Large: >30 kg (n = 14 | 29.5 (19–43) ρ = 0.053; p = 0.732 27 (19–33) 32 (21–43) 28.5 (19–37) | 91.5 (70–129) ρ= −0.011; p = 0.942 96 (75–129) 91 (76–104) 90.5 (70–118) |
| Gastric: Total (n = 44) Small: <10 kg (n = 14) Med: 10–30 kg (n = 15) Large: >30 kg (n = 15) | 24 (19–38) ρ = 0.192; p = 0.212 22 (19–37) 25 (21–31) 27 (21–38) | 89.5 (73–114) ρ= −0.027; p = 0.860 88 (77–114) 14 (75–101) 89 (73–102) |
| Pancreaticoduodenal: Total (n = 45) Small: <10 kg (n = 15) Med: 10–30 kg (n = 15) Large: >30 kg (n = 15) | 27 (19–38) ρ= −0.012; p = 0.938 28 (20–35) 27 (21–38) 27 (19–37) | 90 (71–129) ρ= −298; p = 0.047 97 (79–121) 91 (78–103) 87 (71–129) |
| Medial iliac: Total (n = 90) Small: <10 kg (n = 30) Med: 10–30 kg (n = 30) Large: >30 kg (n = 30) | 27 (19–43) ρ = 0.052; p = 0.629 27 (20–32) 29 (19–41) 26.5 (19–43) | 89.5 (70–147) ρ = 0.033; p = 0.755 92.5 (70–108) 89 (71–147) 93 (33–132) |
| Jejunal: Total (n = 90) Small: <10 kg (n = 30) Med: 10–30 kg (n = 30) Large: >30 kg (n = 30) | 28 (19–48) ρ = 0.180; p = 0.090 26 (20–32) 32 (21–48) 28.5 (19–42) | 98.0 (70–156) ρ= −0.036; p = 0.735 96 (71–120) 102 (70–156) 95.5 (77–121) |
| Lymph Nodes | Enhancement | Kruskal–Wallis Test | |
|---|---|---|---|
| Homogeneus | Heterogeneous | ||
| Hepatic (n = 89) | 23.5 (2–62) | 15 (2.5–50) | Χ2 = 0.019; p = 0.889 |
| Splenic (n = 44) | 19 (2.5–44) | 18.5 (2–62) | Χ2 = 0.036; p = 0.850 |
| Gastric (n = 44) | 21.7 (2–50) | 22 (2.5–62) | Χ2 = 0.020; p = 0.889 |
| Pancreaticoduodenal (n = 45) | 21.7 (2–44) | 9 (2.5–62) | Χ2 = 0.057; p = 0.812 |
| Medial iliac (n = 90) | 20 (2–50) | 30 (2.5–62) | Χ2 = 0.099; p = 0.753 |
| Jejunal (n = 90) | 23.5 (2–62) | 16 (2.5–42) | Χ2 = 0.017; p = 0.897 |
| Age (No.) | Length (mm) | Thickness (mm) | Width (mm) | Volume (mm3) | HU Pre MdC | HU Post MdC | |
|---|---|---|---|---|---|---|---|
| Hepatic | ρ = −0.089 p = 0.407 | ρ = −0.140 p = 0.192 | ρ = −0.279 p = 0.008 | ρ = −0.086 p = 0.422 | ρ = −0.013 p = 0.904 | ρ = −0.120 p = 0.264 | |
| Small: <10 kg (n = 30) | Y (n = 6) A (n = 24) | 14.7 (6.7–23.5) 13.3 (4.5–33.0) | 3.3 (2.1–5.6) 3.5 (1.9–5.4) | 3.1 (2.5–6.2) 3.6 (2–6) | 137.9 (25.4–457.2) 146.4 (11.7–728.8) | 27.5 (21–35) 26 (20–40) | 93.5 (90–100) 93 73–108) |
| Medium:10–30 kg (n = 30) | Y (n = 6) A (n = 24) | 23 (12.2–27.8) 20.2 (5.8–56.8) | 5.5 (2.7–6.4) 4.7 (2.5–4.2) | 6.1 (4.6–69) 5.4 (2.8–8.3) | 366.3 (161.3–561.2) 341 (28.5–1028) | 30 (21–49) 32 (20–46) | 100.5 (78–113) 94 (77–111) |
| Large: >30 kg (n = 29) | Y (n = 11) A (n = 18) | 32.2 (7.3–59.7) 25.9 (13.1–51.7) | 7.7 (4.4–11) 5.9 (4.6–11.2) | 7.4 (5–7.7) 6.4 (3.7–9.2) | 386 (105.4–1754) 524.5 (151–1073) | 31 (20–49) 30 (21–41) | 97 (77–108) 96.5 (78–112) |
| Splenic | ρ = −0.229 p = 0.134 | ρ = −0.174 p = 0.258 | ρ = −0.171 p = 0.266 | ρ = −0.399 p = 0.007 | ρ = 0.170 p = 0.270 | ρ = −0.134 p = 0.386 | |
| Small: <10 kg (n = 15) | Y (n = 3) A (n = 12) | 9.8 (5.6–16.9) 8.8 (5–16.7) | 3.5 (2.7–5.6) 4 (2–4.5) | 4.3 (3.7–4.6) 4 (2.9–7.2) | 111 (27.7–294) 64.4 (28.2–140.6) | 24 (23–30) 28 (19–33) | 101 (96–103) 92 (75–129) |
| Medium:10–30 kg (n = 15) | Y (n = 3) A (n = 12) | 18.4 (11.9–25.1) 14.9 (88–24.6) | 5.8 (3.8–5.9) 4.4 (3.3–10.4) | 6.7 (4–7.4) 5.4 (2.7–10.2) | 266.5 (250.9–299.6) 206.8 (111.2–482.3) | 22 (21–34) 32 (23–43) | 91 (88–94) 89 (56–104) |
| Large: >30 kg (n = 14) | Y (n = 6) A (n = 8) | 18.5 (11.2–18.4) 17 (11–24.3) | 7.6 (4.5–13.7) 7 (4.6–11.2) | 5.8 (4.5–13.6) 7.2 (4.5–10) | 483.3 (167.9–651.2) 389.7 (127.6–967) | 25 (23–37) 32 (19–37) | 89.5 (70–106) 93.5 (78–118) |
| Gastric | ρ = −0.242 p = 0.113 | ρ = −0.275 p = 0.071 | ρ = −0.143 p = 0.356 | ρ = −0.268 p = 0.079 | ρ = −0.091 p = 0.557 | ρ = −0.249 p = 0.103 | |
| Small: <10 kg (n = 14) | Y (n = 3) A (n = 11) | 5.5 (4.2–6.2) 5.5 (2.2–9.9) | 6.7 (4.2–6.8) 3.5 (2–6.8) | 5.6 (3.5–7.2) 3.4 (2–6.9) | 116.7 (27.8–194.7) 36.4 (11–122.9) | 24 (23–37) 22 (11–27) | 92 (81–114) 88 (77–97) |
| Medium:10–30 kg (n = 15) | Y (n = 3) A (n = 12) | 12.3 (7–12.5) 10 (5.4–16) | 4.9 (3.9–8.4) 5.5 (3.8–11.2) | 5.8 (5–5.8) 5.2 (3.8–5.5) | 196 (54.9–210.6) 169 (74.3–449.7) | 24 (21–27) 25.5 (22–31) | 86 (86–89) 86.5 (75–101) |
| Large: >30 kg (n = 15) | Y (n = 6) A (n = 9) | 13 (11.2–19.7) 12 (5.9–16.3) | 7.1 (4.9–10.9) 6.6 (3.7–9.8) | 6 (3.9–11.8) 7.1 (3–13.1) | 285.4 (124.7–398.2) 301.7 (46.7–489.7) | 24 (22–28) 29 (21–38) | 95.5 (89–102) 83 (73–98) |
| Pancreatic duodenal | ρ = −0262 p = 0.083 | ρ = −0.314 p = 0.035 | ρ = −0.183 p = 0.228 | ρ = −0.301 p = 0.045 | ρ = −0.022 p = 0.885 | ρ = 0.297 p = 0.047 | |
| Small: <10 kg (n = 15) | Y (n = 3) A (n = 12) | 8 (5.7–9.2) 7 (2.4–10.1) | 4 (2.6–7.8) 3.8 (2.8–5.3) | 5.1 (2.9–6.2) 3.4 (1.9–5.4) | 108.2 (29.3–164.9) 55.1 (12.7–100.8) | 28 (22–35) 27 (20–33) | 90 (88–92) 98 (79–101) |
| Medium:10–30 kg (n = 15) | Y (n = 3) A (n = 12) | 9.3 (8.4–9.8) 9.15 (4.4–20) | 9.4 (6.7–9.7) 5.8 (4.3–8.4) | 5.8 (4.4–6.4) 4.2 (3.2–9.5) | 189.8 (91.3–319.3) 158.8 (60.5–309.9) | 25 (23–29) 29 (21–38) | 89 (78–91) 94.5 (79–103) |
| Large: >30 kg (n = 15) | Y (n = 6) A (n = 9) | 13 (5.8–19.9) 13 (6.2–24.1) | 7.2 (5.9–9.1) 6.6 (3.2–10.6) | 4.9 (3–9.1) 6.7 (4–12.6) | 318.5 (74.6–580.8) 266.1 (98.8–399.3) | 29.5 (19–33) 25 (19–37) | 92.5 (78–101) 86 (71–129) |
| Medial iliac | ρ = −0.236 p = 0.025 | ρ = −0.149 p = 0.161 | ρ = −0.230 p = 0.029 | ρ = −0.249 p = 0.018 | ρ = 0.155; p = 0.145 | ρ = 0.147 p = 0.166 | |
| Small: <10 kg (n = 30) | Y (n = 6) A (n = 24) | 16.6 (6–25.4) 16.6 (6.5–56.5) | 3.6 (2.9–4.3) 3.8 (1.9–6.9) | 4.4 (4.1–5.9) 3.6 (1.5–6.5) | 146.2 (52–404.7) 126.7 (32.2–713.1) | 26 (22–32) 27 (20–32) | 92 (70–106) 92.5 (76–108) |
| Medium:10–30 kg (n = 30) | Y (n = 6) A (n = 24) | 24.2 (20–55.9) 24.5 (17.7–37.5) | 5.2 (2.6–8.4) 5.4 (3.4–7.7) | 4.9 (2.5–8.2) 5.2 (3.1–11.1) | 292 (191.8–1273) 346.2 (124.4–867.1) | 25.5 (19–37) 30 (21–41) | 88 (78–138) 89.5 (71–147) |
| Large: >30 kg (n = 30) | Y (n = 12) A (n = 18) | 32.4 (24.9–52.3) 33.4 (20.1–57.2) | 7.7 (4.3–10.2) 7 (4–13.9) | 7.3 (6.1–9.6) 5.8 (3.4–11.2) | 1098 (407–1988) 685.1 (233.5–1875) | 24 (21–33) 29 (19–43) | 85 (33–108) 96 (77–132) |
| Jejunal | ρ = −0.248 p = 0.018 | ρ = −0.405 p < 0.001 | ρ = −0.420 p < 0.001 | ρ = −0.478 p < 0.001 | ρ = 0.004 p = 0.971 | ρ = 0.182 p = 0.087 | |
| Small: <10 kg (n = 30) | Y (n = 6) A (n = 24) | 33.6 (25.1–43.8) 34.7 (7.7–58.1) | 5.3 (3.6–7.2) 3.9 (2.4–8) | 5.8 (3.2–8) 4.1 (2.3–8.1) | 528.3 (274.2–1532) 349.5 (85.7–873.5) | 28 (21–32) 25 (20–29) | 102.5 (94–109) 95 (71–120) |
| Medium:10–30 kg (n = 30) | Y (n = 6) A (n = 24) | 60.5 (45.3–70.3) 50.6 (28–78.9) | 6.9 (5.6–8.7) 5.7 (4.1–8.7) | 9.6 (7.5–11.8) 6.2 (2.4–9.4) | 2215 (1179–3965) 1499 (287.5–3739) | 26 (21–34) 32 (21–48) | 83 (70–102) 108 (70–156) |
| Large: >30 kg (n = 30) | Y (n = 12) A (n = 18) | 71.1 (42.2–84) 63.8 (40.9–89.3) | 8.1 (6.1–11.6) 6.4 (3.3–8.9) | 9.7 (6.6–15.8) 8 (4.8–12.4) | 3634 (2613–5273) 2075 (1029–4380) | 28.5 (21–35) 28.5 (19–42) | 95.5 (77–121) 95 (78–111) |
Publisher’s Note: MDPI stays neutral with regard to jurisdictional claims in published maps and institutional affiliations. |
© 2021 by the authors. Licensee MDPI, Basel, Switzerland. This article is an open access article distributed under the terms and conditions of the Creative Commons Attribution (CC BY) license (http://creativecommons.org/licenses/by/4.0/).
Share and Cite
Teodori, S.; Aste, G.; Tamburro, R.; Morselli-Labate, A.M.; Simeoni, F.; Vignoli, M. Computed Tomography Evaluation of Normal Canine Abdominal Lymph Nodes: Retrospective Study of Size and Morphology According to Body Weight and Age in 45 Dogs. Vet. Sci. 2021, 8, 44. https://doi.org/10.3390/vetsci8030044
Teodori S, Aste G, Tamburro R, Morselli-Labate AM, Simeoni F, Vignoli M. Computed Tomography Evaluation of Normal Canine Abdominal Lymph Nodes: Retrospective Study of Size and Morphology According to Body Weight and Age in 45 Dogs. Veterinary Sciences. 2021; 8(3):44. https://doi.org/10.3390/vetsci8030044
Chicago/Turabian StyleTeodori, Simone, Giovanni Aste, Roberto Tamburro, Antonio Maria Morselli-Labate, Francesco Simeoni, and Massimo Vignoli. 2021. "Computed Tomography Evaluation of Normal Canine Abdominal Lymph Nodes: Retrospective Study of Size and Morphology According to Body Weight and Age in 45 Dogs" Veterinary Sciences 8, no. 3: 44. https://doi.org/10.3390/vetsci8030044
APA StyleTeodori, S., Aste, G., Tamburro, R., Morselli-Labate, A. M., Simeoni, F., & Vignoli, M. (2021). Computed Tomography Evaluation of Normal Canine Abdominal Lymph Nodes: Retrospective Study of Size and Morphology According to Body Weight and Age in 45 Dogs. Veterinary Sciences, 8(3), 44. https://doi.org/10.3390/vetsci8030044

