Biosynthetic Collagen-Analog Hydrogels Stimulate Endogenous Regrowth of Rabbit Corneas: A Pilot Study
Simple Summary
Abstract
1. Introduction
2. Materials and Methods
2.1. Preparation of Solid CAH Implants
2.2. Preparation of Liquid CAH Implants
2.3. Preparation of Corneal Allografts
2.4. Animal Study Design
Animal Source and Ethical Approval
2.5. Preoperative Evaluation
2.5.1. Clinical Evaluation
2.5.2. Esthesiometry
2.5.3. Imaging
2.6. Surgical Procedure
2.6.1. Anesthesia and Preparation
2.6.2. Surgical Technique
2.6.3. Postoperative Care
2.7. Postoperative Evaluation
2.7.1. Follow-Up Assessments
2.7.2. Histopathological Analysis
2.7.3. Statistical Analysis
3. Results
3.1. Ophthalmic Examination
3.2. Esthesiometry
3.3. Optical Coherence Tomography



3.4. Confocal Microscopy
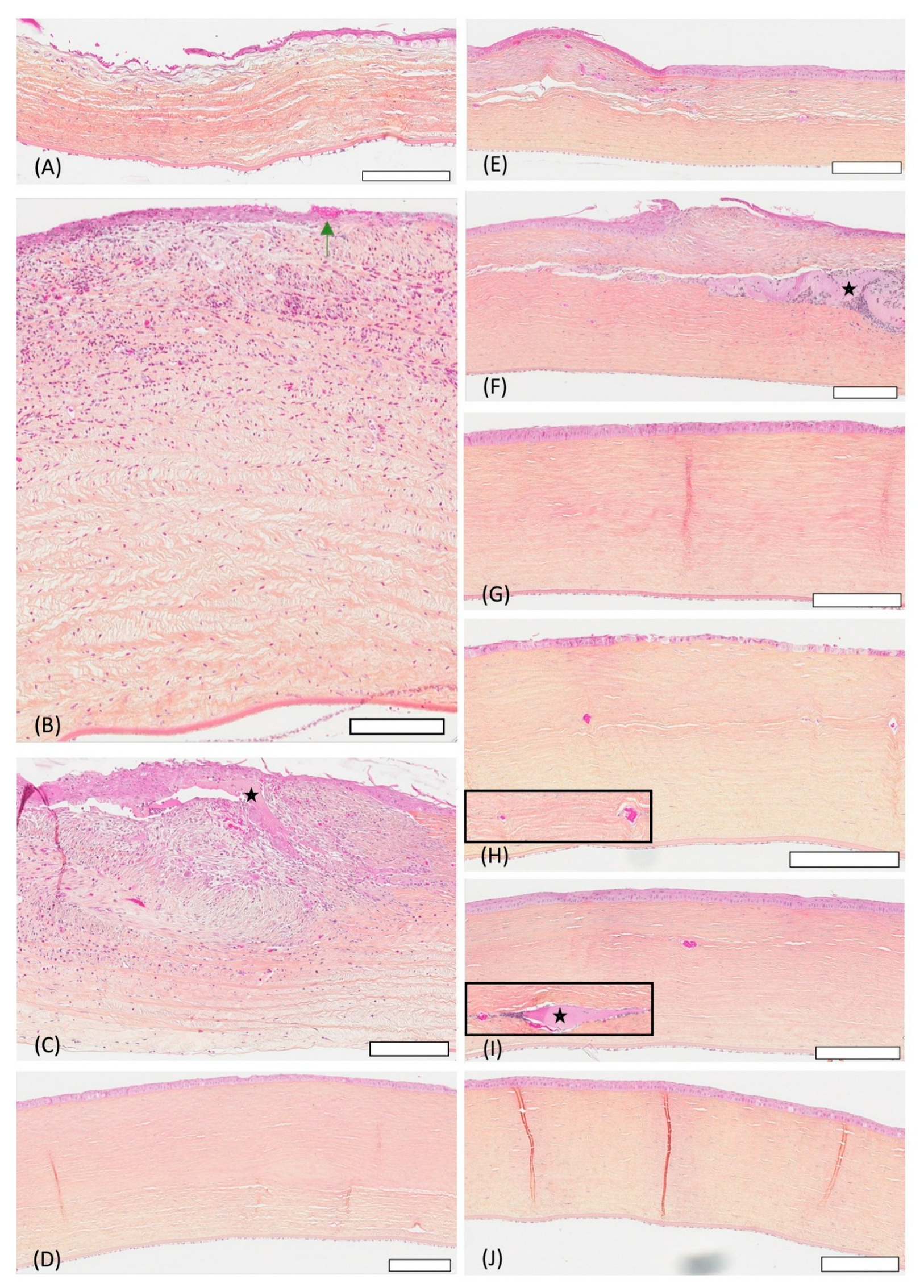
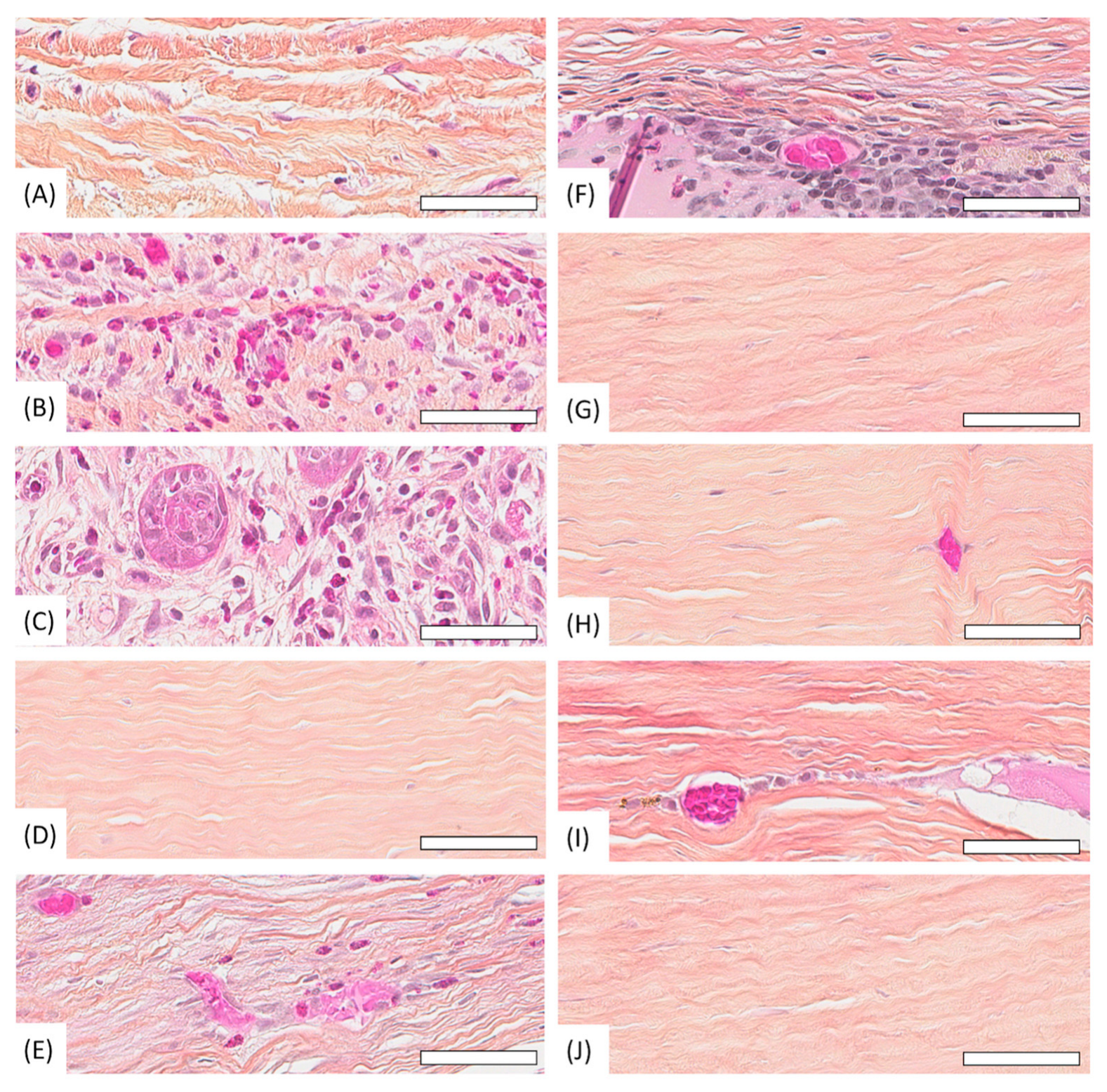
3.5. Histology
4. Discussion
5. Conclusions
Author Contributions
Funding
Institutional Review Board Statement
Informed Consent Statement
Data availability statement
Acknowledgments
Conflicts of Interest
References
- Nasisse, M.P.; Nelms, S. Equine Ulcerative Keratitis. Vet. Clin. N. Am. Equine Pract. 1992, 8, 537–555. [Google Scholar] [CrossRef]
- Kern, T.J. Ulcerative Keratitis. Vet. Clin. N. Am. Small Anim. Pract. 1990, 20, 643–666. [Google Scholar] [CrossRef]
- Wang, E.Y.; Kong, X.; Wolle, M.; Gasquet, N.; Ssekasanvu, J.; Mariotti, S.P.; Bourne, R.; Taylor, H.; Resnikoff, S.; West, S. Global Trends in Blindness and Vision Impairment Resulting from Corneal Opacity 1984–2020. Ophthalmology 2023, 130, 863–871. [Google Scholar] [CrossRef]
- Oliva, M.; Schottman, T.; Gulati, M. Turning the tide of corneal blindness. Indian. J. Ophthalmol. 2012, 60, 423. [Google Scholar] [CrossRef]
- Costa, D.; Leiva, M.; Naranjo, C.; Ríos, J.; Peña, M.T. Cryopreservation (−20 °C) of canine corneoscleral tissue: Histological, microbiological, and ultrastructural study. Vet. Ophthalmol. 2018, 21, 556–564. [Google Scholar] [CrossRef]
- Gain, P.; Jullienne, R.; He, Z.; Aldossary, M.; Acquart, S.; Cognasse, F.; Thuret, G. Global Survey of Corneal Transplantation and Eye Banking. JAMA Ophthalmol. 2016, 134, 167–173. [Google Scholar] [CrossRef]
- Brunette, I.; Roberts, C.J.; Vidal, F.; Harissi-Dagher, M.; Lachaine, J.; Sheardown, H.; Durr, G.M.; Proulx, S.; Griffith, M. Alternatives to eye bank native tissue for corneal stromal replacement. Prog. Retin. Eye Res. 2017, 59, 97–130. [Google Scholar] [CrossRef]
- Wilson, S.E. Corneal wound healing. Exp. Eye Res. 2020, 197, 108089. [Google Scholar] [CrossRef] [PubMed]
- Atala, A.; Irvine, D.J.; Moses, M.; Shaunak, S. Wound Healing Versus Regeneration: Role of the tissue environment in regenerative medicine. MRS Bull. 2010, 35, 597–606. [Google Scholar] [CrossRef]
- Singh, R.B.; Marmalidou, A.; Amouzegar, A.; Chen, Y.; Dana, R. Animal models of high-risk corneal transplantation: A comprehensive review. Exp. Eye Res. 2020, 198, 108152. [Google Scholar] [CrossRef] [PubMed]
- Yoon, C.H.; Choi, H.J.; Kim, M.K. Corneal xenotransplantation: Where are we standing? Prog. Retin. Eye Res. 2021, 80, 100876. [Google Scholar] [CrossRef]
- Dubord, P.J.; Evans, G.D.; Macsai, M.S.; Mannis, M.J.; Glasser, D.B.; Strong, D.M. Eye Banking and Corneal Transplantation Communicable Adverse Incidents: Current Status and Project NOTIFY. Cornea 2013, 32, 1155–1166. [Google Scholar] [CrossRef]
- Hackett, J.M.; Lagali, N.; Merrett, K.; Edelhauser, H.; Sun, Y.; Gan, L.; Griffith, M.; Fagerholm, P. Biosynthetic Corneal Implants for Replacement of Pathologic Corneal Tissue: Performance in a Controlled Rabbit Alkali Burn Model. Investig. Ophthalmol. Vis. Sci. 2011, 52, 651–657. [Google Scholar] [CrossRef] [PubMed]
- Fagerholm, P.; Lagali, N.S.; Ong, J.A.; Merrett, K.; Jackson, W.B.; Polarek, J.W.; Suuronen, E.J.; Liu, Y.; Brunette, I.; Griffith, M. Stable corneal regeneration four years after implantation of a cell-free recombinant human collagen scaffold. Biomaterials 2014, 35, 2420–2427. [Google Scholar] [CrossRef] [PubMed]
- Luo, T.; Kiick, K.L. Collagen-like peptides and peptide–polymer conjugates in the design of assembled materials. Eur. Polym. J. 2013, 49, 2998–3009. [Google Scholar] [CrossRef]
- Islam, M.M.; Ravichandran, R.; Olsen, D.; Ljunggren, M.K.; Fagerholm, P.; Lee, C.J.; Griffith, M.; Phopase, J. Self-assembled collagen-like-peptide implants as alternatives to human donor corneal transplantation. RSC Adv. 2016, 6, 55745–55749. [Google Scholar] [CrossRef]
- Picard, M.; Drolet, J.-P.; Masse, M.-S.; Filion, C.A.; Almuhizi, F.; Fein, M.; Copaescu, A.; Isabwe, G.A.C.; Blaquière, M.; Primeau, M.-N. Safety of COVID-19 vaccination in patients with polyethylene glycol allergy: A case series. J. Allergy Clin. Immunol. Pract. 2022, 10, 620–625.e1. [Google Scholar] [CrossRef]
- Shamsi, J.; Rainò, G.; Kovalenko, M.V.; Stranks, S.D. To nano or not to nano for bright halide perovskite emitters. Nat. Nanotechnol. 2021, 16, 1164–1168. [Google Scholar] [CrossRef]
- Kozma, G.T.; Mészáros, T.; Berényi, P.; Facskó, R.; Patkó, Z.; Oláh, C.Z.; Nagy, A.; Fülöp, T.G.; Glatter, K.A.; Radovits, T.; et al. Role of anti-polyethylene glycol (PEG) antibodies in the allergic reactions to PEG-containing COVID-19 vaccines: Evidence for immunogenicity of PEG. Vaccine 2023, 41, 4561–4570. [Google Scholar] [CrossRef]
- Islam, M.M.; Buznyk, O.; Reddy, J.C.; Pasyechnikova, N.; Alarcon, E.I.; Hayes, S.; Lewis, P.; Fagerholm, P.; He, C.; Iakymenko, S.; et al. Biomaterials-enabled cornea regeneration in patients at high risk for rejection of donor tissue transplantation. npj Regen. Med. 2018, 3, 2. [Google Scholar] [CrossRef]
- Simpson, F.C.; McTiernan, C.D.; Islam, M.M.; Buznyk, O.; Lewis, P.N.; Meek, K.M.; Haagdorens, M.; Audiger, C.; Lesage, S.; Gueriot, F.-X.; et al. Collagen analogs with phosphorylcholine are inflammation-suppressing scaffolds for corneal regeneration from alkali burns in mini-pigs. Commun. Biol. 2021, 4, 608. [Google Scholar] [CrossRef]
- Yin, J.; Singh, R.B.; Al Karmi, R.; Yung, A.; Yu, M.; Dana, R. Outcomes of Cyanoacrylate Tissue Adhesive Application in Corneal Thinning and Perforation. Cornea 2019, 38, 668–673. [Google Scholar] [CrossRef]
- McTiernan, C.D.; Simpson, F.C.; Haagdorens, M.; Samarawickrama, C.; Hunter, D.; Buznyk, O.; Fagerholm, P.; Ljunggren, M.K.; Lewis, P.; Pintelon, I.; et al. LiQD Cornea: Pro-regeneration collagen mimetics as patches and alternatives to corneal transplantation. Sci. Adv. 2020, 6, eaba2187. [Google Scholar] [CrossRef]
- Juarez, A.; Djallali, M.; Piché, M.; Thériault, M.; Groleau, M.; Beroual, S.; McTiernan, C.D.; Lin, G.; Hélie, P.; Carrier, M.; et al. A Liquid Hydrogel to Restore Long Term Corneal Integrity After Perforating and Non-Perforating Trauma in Feline Eyes. Front. Bioeng. Biotechnol. 2021, 9, 773294. [Google Scholar] [CrossRef]
- Jangamreddy, J.R.; Haagdorens, M.K.; Islam, M.M.; Lewis, P.; Samanta, A.; Fagerholm, P.; Liszka, A.; Ljunggren, M.K.; Buznyk, O.; Alarcon, E.I.; et al. Short peptide analogs as alternatives to collagen in pro-regenerative corneal implants. Acta Biomater. 2018, 69, 120–130. [Google Scholar] [CrossRef]
- Taylor, Z.D.; Garritano, J.; Sung, S.; Bajwa, N.; Bennett, D.B.; Nowroozi, B.; Tewari, P.; Sayre, J.W.; Hubschman, J.-P.; Deng, S.X.; et al. THz and mm-Wave Sensing of Corneal Tissue Water Content: In Vivo Sensing and Imaging Results. IEEE Trans. Terahertz Sci. Technol. 2015, 5, 184–196. [Google Scholar] [CrossRef] [PubMed]
- Eaton, J.S.; Miller, P.E.; Bentley, E.; Thomasy, S.M.; Murphy, C.J. The SPOTS System: An Ocular Scoring System Optimized for Use in Modern Preclinical Drug Development and Toxicology. J. Ocul. Pharmacol. Ther. 2017, 33, 718–734. [Google Scholar] [CrossRef] [PubMed]
- Chao, C.; Stapleton, F.; Badarudin, E.; Golebiowski, B. Ocular Surface Sensitivity Repeatability with Cochet-Bonnet Esthesiometer. Optom. Vis. Sci. 2015, 92, 183–189. [Google Scholar] [CrossRef] [PubMed]
- Benato, L.; Murrell, J.; Knowles, T.G.; Rooney, N.J. Development of the Bristol Rabbit Pain Scale (BRPS): A multidimensional composite pain scale specific to rabbits (Oryctolagus cuniculus). PLoS ONE 2021, 16, e0252417. [Google Scholar] [CrossRef] [PubMed]
- Corsi, F.; Arteaga, K.; Corsi, F.; Masi, M.; Cattaneo, A.; Selleri, P.; Crasta, M.; Peruccio, C.; Guandalini, A. Clinical parameters obtained during tear film examination in domestic rabbits. BMC Vet. Res. 2022, 18, 398. [Google Scholar] [CrossRef]
- Barbosa, S.F.; Raposo, A.C.S.; Dórea Neto, F.D.A.; Araujo, N.L.L.C.; Oliveira, M.M.S.; Oriá, A.P. TonoVet Plus®: Higher reliability and repeatability compared with Tono-Pen XLTM and TonoVet® in rabbits. Vet. Ophthalmol. 2022, 25, 272–281. [Google Scholar] [CrossRef]
- Meek, K.M.; Boote, C. The organization of collagen in the corneal stroma. Exp. Eye Res. 2004, 78, 503–512. [Google Scholar] [CrossRef]
- Gelatt, K.N.; Gilger, B.C.; Kern, T.J. Veterinary Ophthalmology, 6th ed.; Blackwell Publishing: Oxford, UK, 2021. [Google Scholar]
- Sanchez, R.F.; Ledbetter, E.C.; Leiva, M. Reconstruction of deep and perforating corneal defects in dogs—A review (Part I/III): Autogenous ocular tissues, donor tissues, and corneal clarity scoring. Vet. Ophthalmol. 2025, 28, 519–531. [Google Scholar] [CrossRef] [PubMed]
- Ledbetter, E.C.; Sanchez, R.F.; Repiso, M.L. Reconstruction of deep and perforating corneal defects in dogs—A review (Part II/III): Biomaterials and keratoprosthesis. Vet. Ophthalmol. 2025, 28, 532–542. [Google Scholar] [CrossRef]
- Lengellé, C. Surgical Repair of Deep Melting Ulcers with Freeze-Dried Amniotic Membrane Transplantation in Dogs and Cats. Vet. Ophthalmol. 2025; early view. [Google Scholar]
- Hindman, H.B.; DeMagistris, M.; Callan, C.; McDaniel, T.; Bubel, T.; Huxlin, K.R. Impact of topical anti-fibrotics on corneal nerve regeneration in vivo. Exp. Eye Res. 2019, 181, 49–60. [Google Scholar] [CrossRef]
- Medeiros, C.S.; Santhiago, M.R. Corneal nerves anatomy, function, injury and regeneration. Exp. Eye Res. 2020, 200, 108243. [Google Scholar] [CrossRef]
- Cameron, J.A.; Mahmood, M.A. Pyogenic Granulomas of the Cornea. Ophthalmology 1995, 102, 1681–1687. [Google Scholar] [CrossRef]
- Chan Kim, J.; Tseng, S.C.G. Transplantation of Preserved Human Amniotic Membrane for Surface Reconstruction in Severely Damages Rabbit Corneas. Cornea 1995, 14, 473–484. [Google Scholar] [CrossRef]
- Altintas, H.; Odemis, M.; Bilgi, S.; Cakmak, O. Long-Term Complications of Polyethylene Glycol Injection to the Face. Aesthetic Plast. Surg. 2012, 36, 427–430. [Google Scholar] [CrossRef] [PubMed]
- Wong, M.L.; Griffiths, L.G. Immunogenicity in xenogeneic scaffold generation: Antigen removal vs. decellularization. Acta Biomater. 2014, 10, 1806–1816. [Google Scholar] [CrossRef]




Disclaimer/Publisher’s Note: The statements, opinions and data contained in all publications are solely those of the individual author(s) and contributor(s) and not of MDPI and/or the editor(s). MDPI and/or the editor(s) disclaim responsibility for any injury to people or property resulting from any ideas, methods, instructions or products referred to in the content. |
© 2025 by the authors. Licensee MDPI, Basel, Switzerland. This article is an open access article distributed under the terms and conditions of the Creative Commons Attribution (CC BY) license (https://creativecommons.org/licenses/by/4.0/).
Share and Cite
Timmerman, I.; Robert, M.-C.; Vergneau-Grosset, C.; Juette, T.; Benito, J.; Garbin, M.; Zamani-Roudbaraki, M.; Moradi, M.; Goodarzi, H.; Boutopoulos, C.; et al. Biosynthetic Collagen-Analog Hydrogels Stimulate Endogenous Regrowth of Rabbit Corneas: A Pilot Study. Vet. Sci. 2025, 12, 785. https://doi.org/10.3390/vetsci12080785
Timmerman I, Robert M-C, Vergneau-Grosset C, Juette T, Benito J, Garbin M, Zamani-Roudbaraki M, Moradi M, Goodarzi H, Boutopoulos C, et al. Biosynthetic Collagen-Analog Hydrogels Stimulate Endogenous Regrowth of Rabbit Corneas: A Pilot Study. Veterinary Sciences. 2025; 12(8):785. https://doi.org/10.3390/vetsci12080785
Chicago/Turabian StyleTimmerman, Iris, Marie-Claude Robert, Claire Vergneau-Grosset, Tristan Juette, Javier Benito, Marta Garbin, Mostafa Zamani-Roudbaraki, Mona Moradi, Hamid Goodarzi, Christos Boutopoulos, and et al. 2025. "Biosynthetic Collagen-Analog Hydrogels Stimulate Endogenous Regrowth of Rabbit Corneas: A Pilot Study" Veterinary Sciences 12, no. 8: 785. https://doi.org/10.3390/vetsci12080785
APA StyleTimmerman, I., Robert, M.-C., Vergneau-Grosset, C., Juette, T., Benito, J., Garbin, M., Zamani-Roudbaraki, M., Moradi, M., Goodarzi, H., Boutopoulos, C., Benoit-Biancamano, M.-O., Griffith, M., & Vanore, M. (2025). Biosynthetic Collagen-Analog Hydrogels Stimulate Endogenous Regrowth of Rabbit Corneas: A Pilot Study. Veterinary Sciences, 12(8), 785. https://doi.org/10.3390/vetsci12080785

