Case Report of Toxic Shock-like Syndrome Associated with Mixed Staphylococcus aureus, Streptococcus halichoeri and Dermatophilus spp. Infection in a Dog
Simple Summary
Abstract
1. Introduction
2. Materials and Method
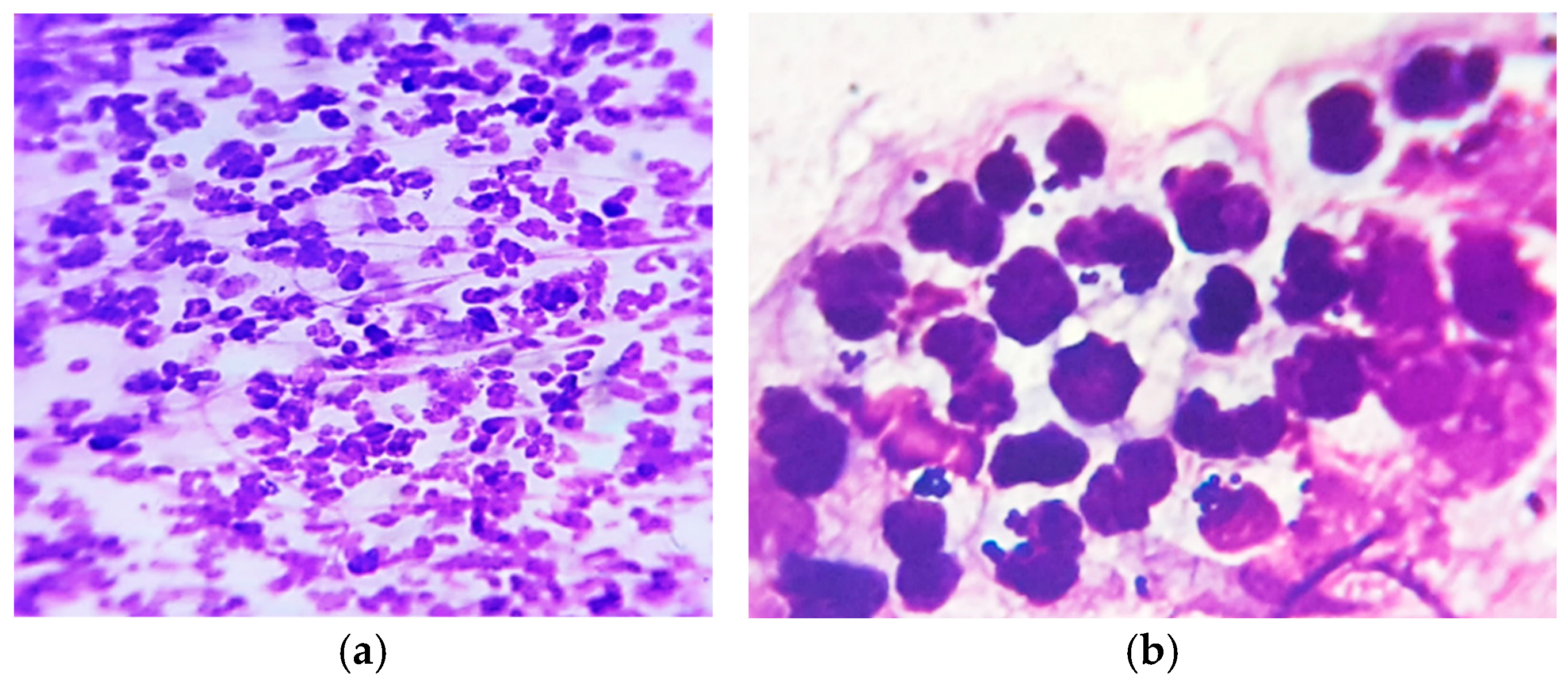
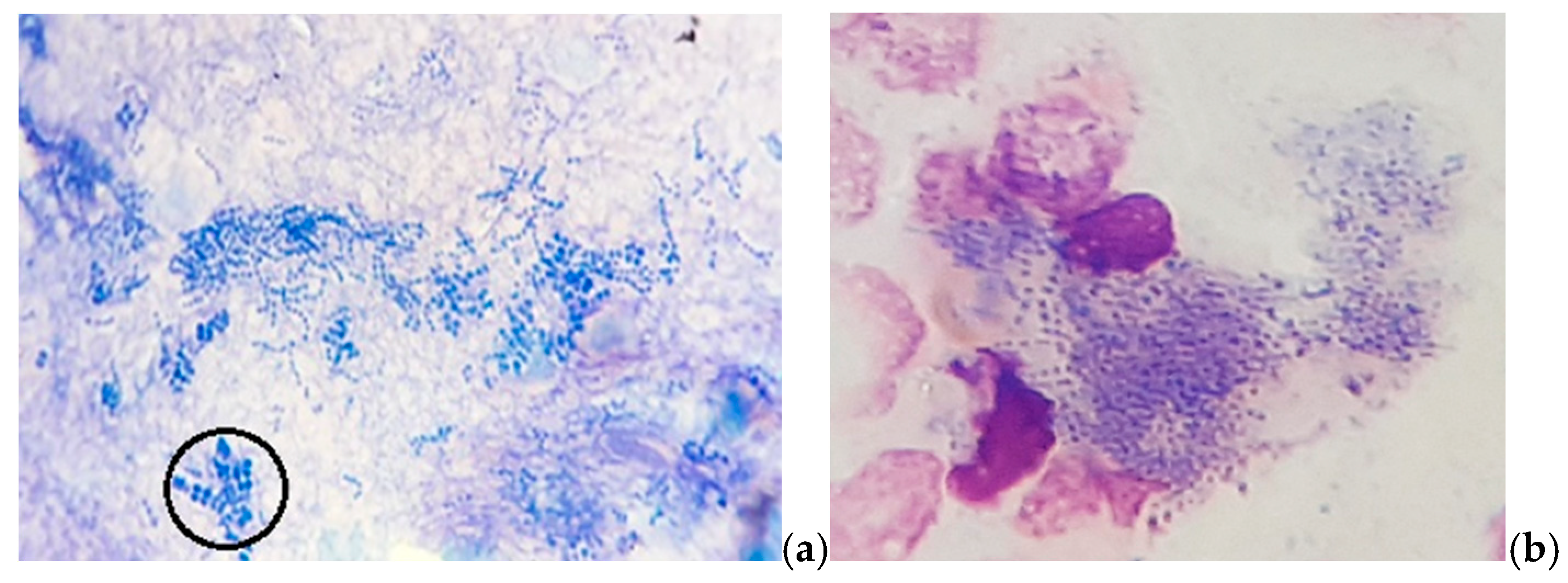
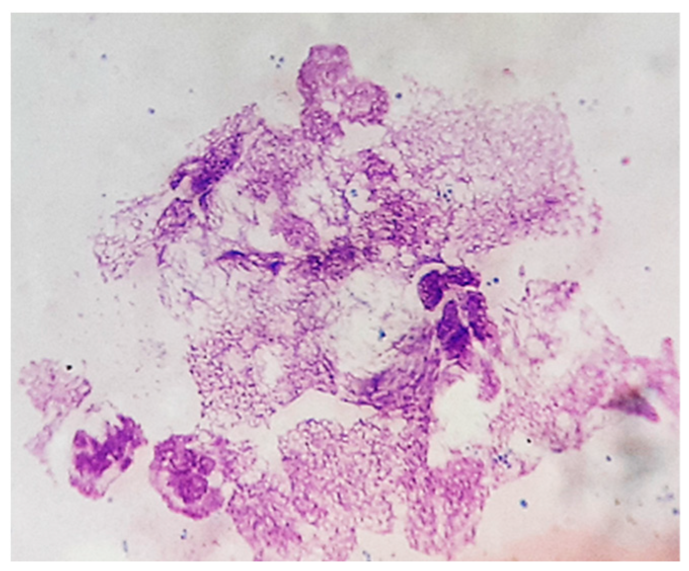
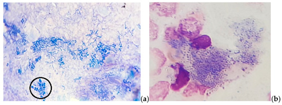
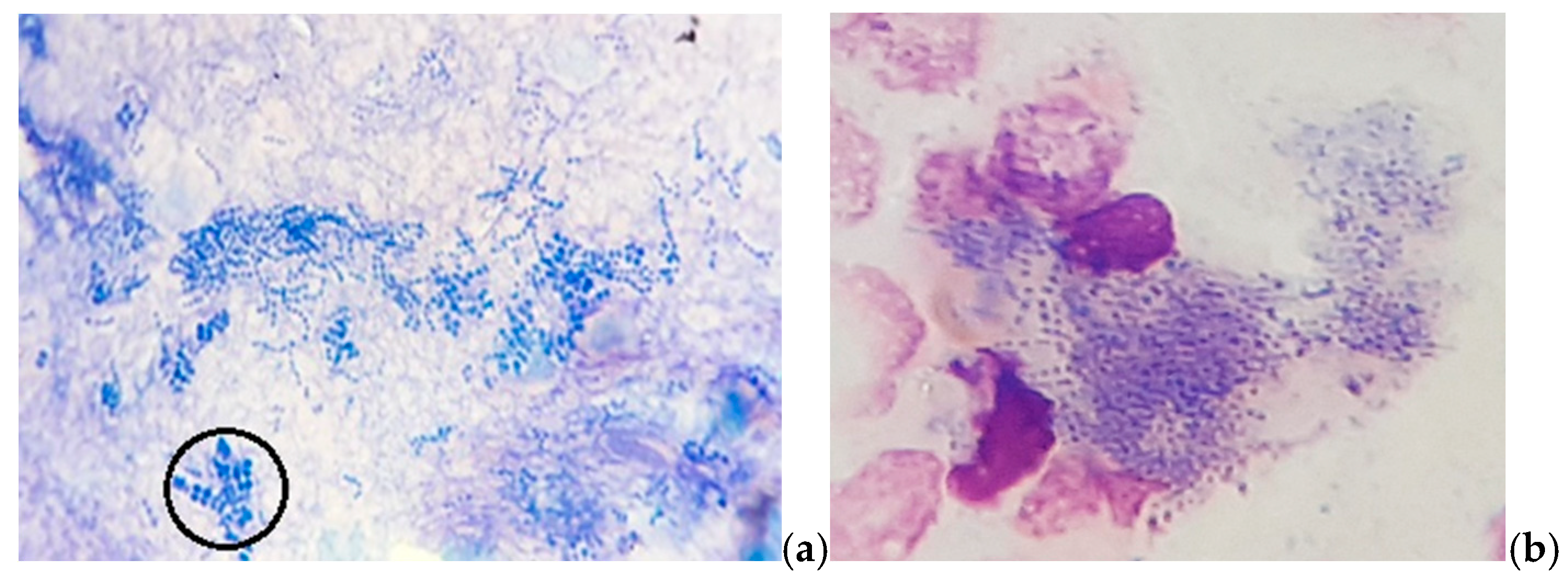
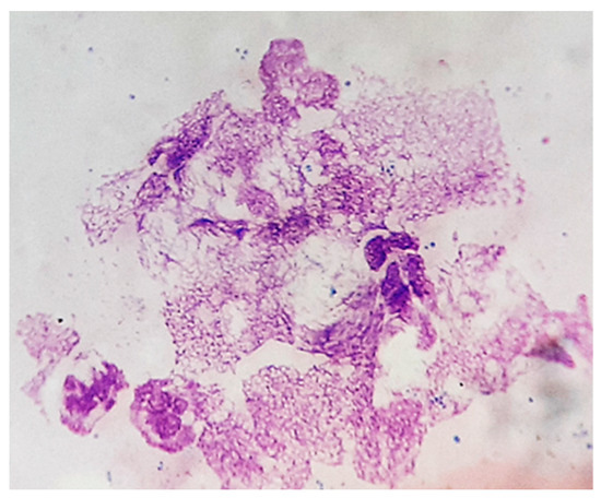
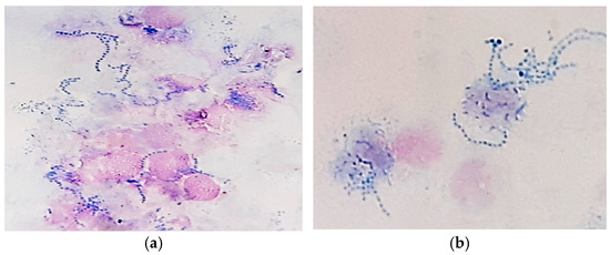
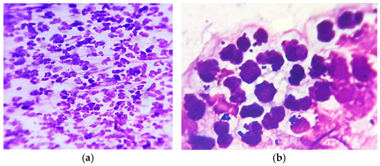
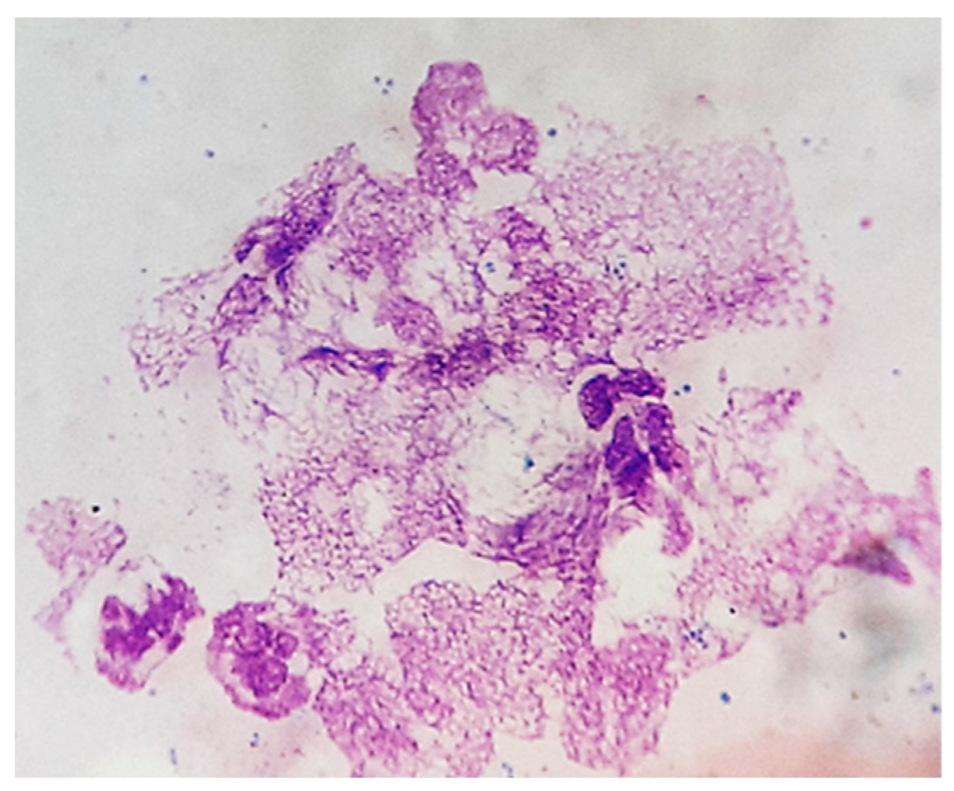
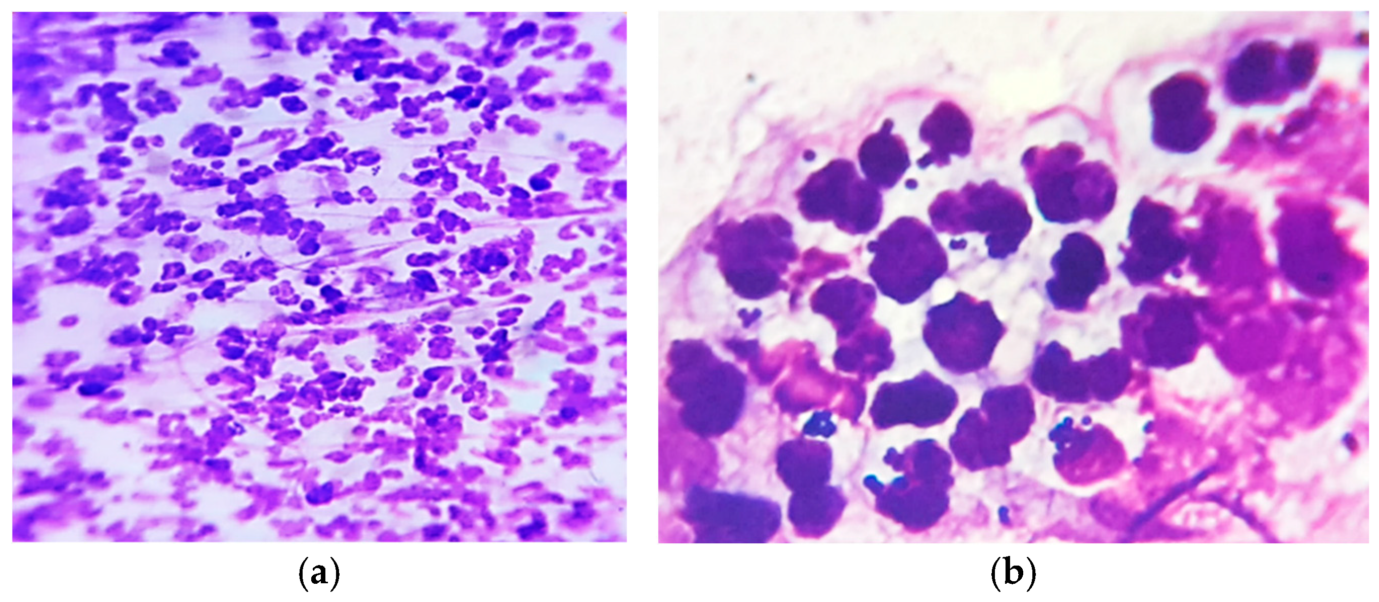
3. Results
4. Discussion
5. Conclusions
Author Contributions
Funding
Institutional Review Board Statement
Informed Consent Statement
Data Availability Statement
Conflicts of Interest
Appendix A. Challenge Question
References
- Haag, A.F.; Fitzgerald, J.R.; Penades, J.R. Staphylococcus aureus in animals. Microbiol. Spectr. 2019, 7, 10-1128. [Google Scholar] [CrossRef]
- Hill, P.B.; Imai, A. The immunopathogenesis of staphylococcal skin infections—A review. Comp. Immunol. Microbiol. Infect. Dis. 2016, 49, 8–28. [Google Scholar] [CrossRef]
- Howden, B.P.; Giulieri, S.G.; Lung, T.W.F.; Baines, S.L.; Sharkey, L.K.; Lee, J.Y.H.; Hachani, A.; Monk, I.R.; Stinear, T.P. Staphylococcus aureus host interactions and adaptation. Nat. Rev. Microbiol. 2023, 21, 380–395. [Google Scholar] [CrossRef]
- Liu, Y.; Chen, W.; Ali, T.; Alkasir, R.; Yin, J.; Liu, G.; Han, B. Staphylococcal enterotoxin H induced apoptosis of bovine mammary epithelial cells in vitro. Toxins 2014, 6, 3552–3567. [Google Scholar] [CrossRef]
- Negoiţă, C.; Negoiţă, V. Ear Cytology—A key test in the diagnosis and management of canine otitis externa. Sci. Works Ser. C Vet. Med. 2022, 68, 88–93. [Google Scholar]
- Peetermans, M.; Vanassche, T.; Liesenborghs, L.; Claes, J.; Vande Velde, G. Kwiecinksi, J.; Jin, T.; De Geest, B.; Hoylaerts, M.F.; Lijnen, R.H.; et al. Plasminogen activation by staphylokinase enhances local spreading of S. aureus in skin infections. BMC Microbiol. 2014, 14, 310. [Google Scholar] [CrossRef]
- Singh, V.; Phukan, U.J. Interaction of host and Staphylococcus aureus protease-system regulates virulence and pathogenicity. Med. Microbiol. Immunol. 2019, 208, 585–607. [Google Scholar] [CrossRef]
- Tam, K.; Torres, V.J. Staphylococcus aureus secreted toxins and extracellular enzymes. Microbiol. Spectr. 2018, 7, 10-1128. [Google Scholar]
- Thammavongsa, V.; Kim, H.K.; Missiakas, D.; Schneewind, O. Staphylococcal manipulation of host immune responses. Nat. Rev. Microbiol. 2015, 13, 529–543. [Google Scholar] [CrossRef] [PubMed]
- Leung, D.Y.M.; Hauk, P.; Strickland, I.; Travers, J.B.; Norris, D.A. The role of superantigens in human diseases: Therapeutic implications for the treatment of skin diseases. Br. J. Dermatol. 1998, 139, 17–29. [Google Scholar] [CrossRef] [PubMed]
- Futagawa-Saito, K.; Makino, S.; Sunaga, F.; Kato, Y.; Sakurai-Komada, N.; Ba-Thein, W.; Fukuyasu, T. Identification of first exfoliative toxin in Staphylococcus pseudintermedius. FEMS Microbiol. Lett. 2009, 301, 176–180. [Google Scholar] [CrossRef]
- Guaguere, E.; Prelaud, P.; Craig, M. Staphyloccocal toxic shock syndrome. In Practical Guide to Canine Dermatology; Kalianxis: Paris, France, 2008. [Google Scholar]
- McGavin, M.D.; Zachary, J.F. Stages and progression of shock. In Pathologic Basis of Veterinary Disease; Mosby Elsevier: St. Louis, MO, USA, 2007. [Google Scholar]
- Sharma, B.; Srivastava, M.K.; Srivastava, A.; Singh, R. Canine streptococcal toxic shock syndrome associated with necrotizing fasciitis: An overview. Vet. World 2012, 5, 311–319. [Google Scholar] [CrossRef]
- Eklund, M.; Aaltonen, K.; Sironen, T.; Raunio-Saarnisto, M.; Grönthal, T.; Nordgren, H.; Pitkälä, A.; Vapalahti, O.; Rantala, M. Comparison of Streptococcus halichoeri isolates from canine and fur animal infections: Biochemical patterns, molecular characteristics and genetic relatedness. Acta Vet. Scand. 2020, 62, 26. [Google Scholar] [CrossRef]
- The Center for Food Security & Public Health, Institute for International Cooperation in Animal Biologics, Iowa State University, World Organisation for Animal Health. Zoonotic Streptococcosis (Monograph Online). Available online: www.cfsph.iastate.edu (accessed on 1 September 2020).
- Shakir, S.M.; Gill, R.; Salberg, J.; Slechta, E.S.; Feldman, M.; Fritsche, T.; Clarridge, J.; Sharp, S.E.; Fisher, M.A. Clinical laboratory perspective on Streptococcus halichoeri, an unusual nonhemolytic, Lancefield group B Streptococcus causing human infetions. Emerg. Infect. Dis. 2021, 27, 1309–1316. [Google Scholar] [CrossRef]
- Songer, J.G.; Post, K.W. The genus Staphylococcus and the genera Dermatophilus and Nocardia. In Veterinary Microbiology-Bacterial and Fungal Agents of Animal Disease; Elsevier Saunders: St. Louis, MO, USA, 2005. [Google Scholar]
- ANSES/LSAliments/LSA-INS-1294. In Identification of Staphylococcus Aureus Species and Detection of Genes Encoding S.aureus Enterotoxins by Real-Time PCR; Laboratory for Food Safety National Reference Laboratory for Coagulase Positive Staphylococci: Maisons-Alfort, France, 2017.
- European Food Safety Authority (EFSA); Aerts, M.; Battisti, A.; Hendriksen, R.; Larsen, J.; Nilsson, O.; Abrahantes, J.C.; Guerra, B.; Papanikolaou, A.; Beloeil, P.A. Technical specifications for a baseline survey on the prevalence of methicillin-resistant Staphylococcus aureus (MRSA) in pigs. EFSA J. 2022, 20, e07620. [Google Scholar] [CrossRef] [PubMed]
- Lu, J.; Rincon, N.; Wood, D.E.; Breitwieser, F.P.; Pockrandt, C.; Langmead, B.; Salzberg, S.L.; Steinegger, M. Metagenome analysis using the Kraken software suite. Nat. Protoc. 2022, 17, 2815–2839. [Google Scholar] [CrossRef] [PubMed]
- Mehrotra, M.; Wang, G.; Johnson, W.M. Multiplex PCR for detection of genes for Staphylococcus aureus enterotoxins, exfoliative toxins, toxic shock syndrome toxin1 and methicillin resistance. J. Clin. Microbiol. 2000, 38, 1032–1035. [Google Scholar] [CrossRef]
- Wood, D.E.; Salzberg, S.L. Kraken: Ultrafast metagenomic sequence classification using exact alignments. Genome Biol. 2014, 15, R46. [Google Scholar] [CrossRef] [PubMed]
- Zhu, S.; Yu, Y.; Ren, Y.; Xu, L.; Wang, H.; Ling, X.; Jin, L.; Hu, Y.; Zhang, H.; Miao, C.; et al. The emerging roles of neutrophil extracellular traps in wound healing. Cell Death Dis. 2021, 12, 984. [Google Scholar] [CrossRef]
- Johnson, W.L.; Sohn, M.; Woeller, C.F.; Wozniak, R.A.F. Staphylococcal enterotoxins promote virulence in bacterial keratitis. Invest. Ophtalmol. Vis. Sci. 2023, 64, 5. [Google Scholar] [CrossRef]
- Zhang, X.; Hu, X.; Rao, X. Apoptosis induced by Staphylococcus aureus toxins. Microbiol. Res. 2017, 205, 19–24. [Google Scholar] [CrossRef]
- Bitschar, K.; Staudenmaier, L.; Klink, L.; Focken, J.; Sauer, B.; Fehrenbacher, B.; Herster, F.; Bittner, Z.; Bleul, L.; Schaller, M.; et al. Staphylococcus aureus skin colonization is enhanced by the interaction of neutrophil extracellular traps with keratinocytes. J. Investig. Dermatol. 2020, 140, 1054–1065. [Google Scholar] [CrossRef]
- Medina, E. Neutrophil extracellular traps: A strategic tactic to defeat pathogens with potential consequences for the host. J. Innate Immun. 2009, 1, 176–180. [Google Scholar] [CrossRef] [PubMed]
- Castanheira, F.V.S.; Kubes, P. Neutrophils and NETs in modulating acute and chronic inflammation. Blood 2019, 133, 2178–2185. [Google Scholar] [CrossRef] [PubMed]
- Cheung, G.Y.C.; Lee, J.H.; Liu, R.; Lawhon, S.D.; Yang, C.; Otto, M. Methicilin resistance elements in the canine pathogen Staphylococcus pseudintermedius and their association with the peptide toxin PSM-mec. Antibiotics 2024, 13, 130. [Google Scholar] [CrossRef]









Disclaimer/Publisher’s Note: The statements, opinions and data contained in all publications are solely those of the individual author(s) and contributor(s) and not of MDPI and/or the editor(s). MDPI and/or the editor(s) disclaim responsibility for any injury to people or property resulting from any ideas, methods, instructions or products referred to in the content. |
© 2025 by the authors. Licensee MDPI, Basel, Switzerland. This article is an open access article distributed under the terms and conditions of the Creative Commons Attribution (CC BY) license (https://creativecommons.org/licenses/by/4.0/).
Share and Cite
Negoiță, C.; Ciupescu, V.; Ciupescu, L.M.; Negoiță, V. Case Report of Toxic Shock-like Syndrome Associated with Mixed Staphylococcus aureus, Streptococcus halichoeri and Dermatophilus spp. Infection in a Dog. Vet. Sci. 2025, 12, 764. https://doi.org/10.3390/vetsci12080764
Negoiță C, Ciupescu V, Ciupescu LM, Negoiță V. Case Report of Toxic Shock-like Syndrome Associated with Mixed Staphylococcus aureus, Streptococcus halichoeri and Dermatophilus spp. Infection in a Dog. Veterinary Sciences. 2025; 12(8):764. https://doi.org/10.3390/vetsci12080764
Chicago/Turabian StyleNegoiță, Carmen, Veronica Ciupescu, Laurențiu Mihai Ciupescu, and Valentina Negoiță. 2025. "Case Report of Toxic Shock-like Syndrome Associated with Mixed Staphylococcus aureus, Streptococcus halichoeri and Dermatophilus spp. Infection in a Dog" Veterinary Sciences 12, no. 8: 764. https://doi.org/10.3390/vetsci12080764
APA StyleNegoiță, C., Ciupescu, V., Ciupescu, L. M., & Negoiță, V. (2025). Case Report of Toxic Shock-like Syndrome Associated with Mixed Staphylococcus aureus, Streptococcus halichoeri and Dermatophilus spp. Infection in a Dog. Veterinary Sciences, 12(8), 764. https://doi.org/10.3390/vetsci12080764

