Radiographic, Ultrasonographic and Shear Elastosonographic Changes in Patellar Ligament in Dogs Undergoing Tibial Plateau Leveling Osteotomy
Simple Summary
Abstract
1. Introduction
2. Materials and Methods
2.1. Data Collection
2.2. Surgical Procedure
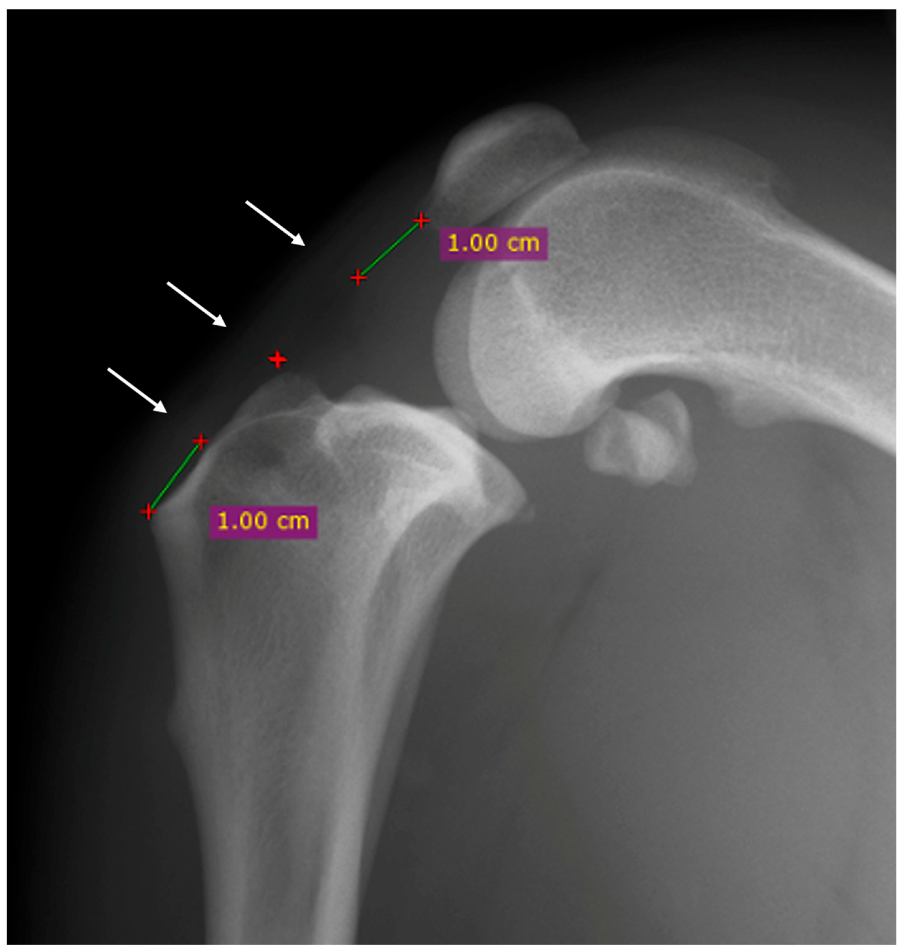
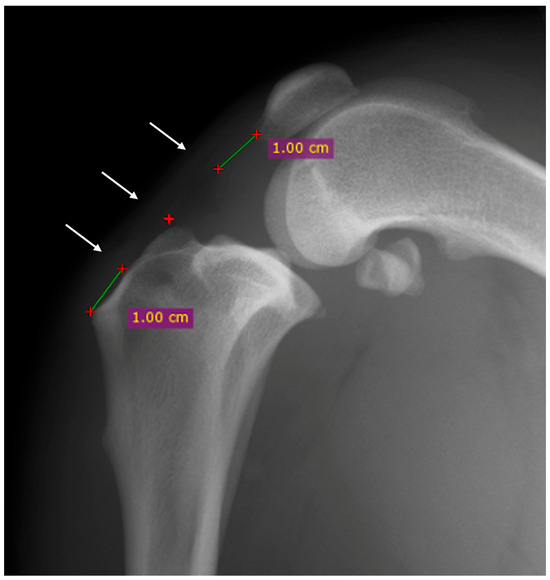
2.3. Radiographic Evaluation
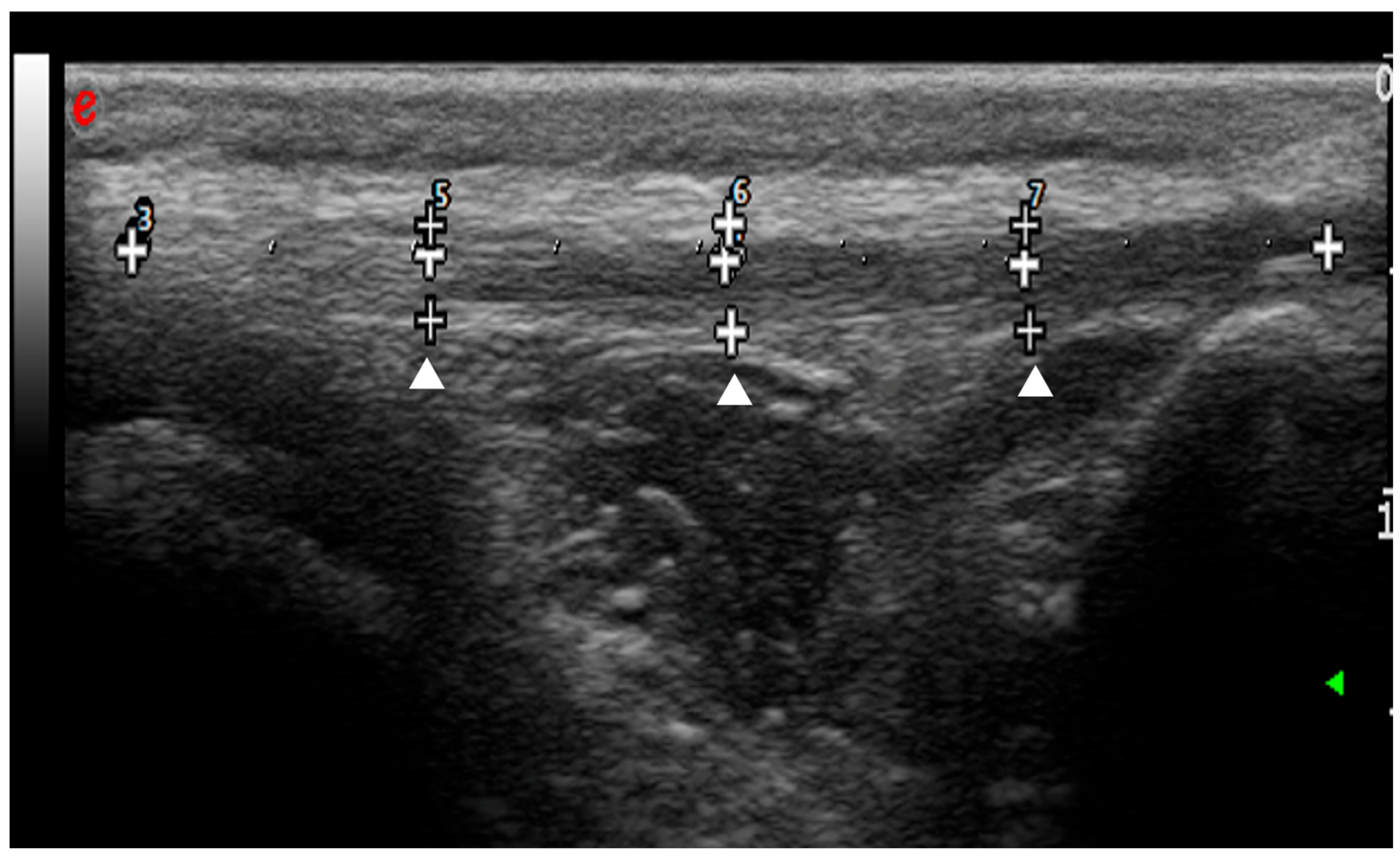
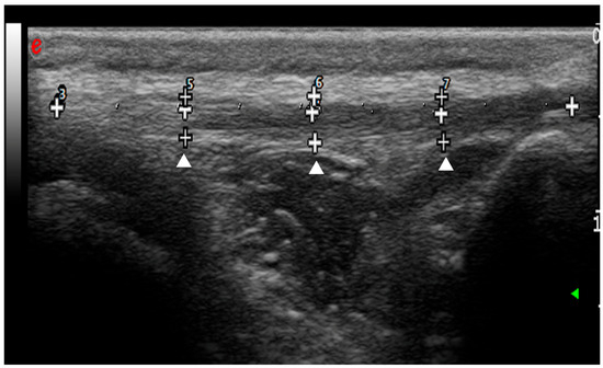
2.4. Ultrasonographic and Strain Elastosonographic Evaluations
2.5. Statistical Analysis
3. Results
3.1. Enrolled Patients
3.2. Radiographic and Ultrasonographic Evaluations
3.3. Strain Elastosonographic Evaluation
3.4. Correlation Between Radiographic, Ultrasonographic and Elastosonographic Measurements
4. Discussion
5. Conclusions
Author Contributions
Funding
Institutional Review Board Statement
Informed Consent Statement
Data Availability Statement
Conflicts of Interest
References
- Hynes, J.; Manfredi, J.M.; Shull, A.S. Cranial cruciate ligament disease is perceived to be prevalent and is misunderstood in field trial sport. J. Am. Vet. Med. Ass. 2023, 261, 1–6. [Google Scholar] [CrossRef]
- Coppola, M.; Das, S.; Matthews, G.; Matthews, G.; Cantatore, M.; Czopowicz, L.S.; McCarthry, J.; Fernandez-Salesa, N.; Lafuente, P.; Allan, R.; et al. Multiligament stifle injury; a multicenter retrospective study in 26 dogs. Vet. Med. Sci. 2023, 9, 1093–1102. [Google Scholar] [CrossRef] [PubMed]
- Franklin, S.P.; Gilley, R.S.; Palmer, R.H. Meniscal injury in dogs with cranial cruciate ligament rupture. Compend. Contin. Educ. Vet. 2010, 32, E1–E10. [Google Scholar] [PubMed]
- Hayes, G.M.; Langley-Hobbs, S.J.; Jeffery, N.D. Risk factors for medial meniscal injury in association with cranial cruciate ligament rupture. J. Small Anim. Pract. 2010, 51, 630–634. [Google Scholar] [CrossRef] [PubMed]
- Bruce, W.J. Multiple ligamentous injuries of the canine stifle joint: A study of 12 cases. J. Small Anim. Pract. 1998, 39, 333–340. [Google Scholar] [CrossRef]
- Bergh, M.S.; Sullivan, C.; Ferrell, C.L.; Troy, J.; Budsberg, S.C. Systematic review of surgical treatments for cranial cruciate ligament disease in dogs. J. Am. Anim. Hosp. Assoc. 2014, 50, 315–321. [Google Scholar] [CrossRef]
- Wemmers, A.C.; Charalambous, M.; Harms, O.; Volk, H.A. Surgical treatment of cranial cruciate ligament disease in dogs using Tibial Plateau Leveling Osteotomy or Tibial Tuberosity Advancement—A systematic review with a meta-analytic approach. Front. Vet. Sci. 2022, 9, 1004637. [Google Scholar] [CrossRef]
- Gordon-Evans, W.J.; Griffon, D.J.; Bubb, C.; Knap, K.M.; Sullivan, M.; Evans, R.B. Comparison of lateral fabellar suture and tibial plateau leveling osteotomy techniques for treatment of dogs with cranial cruciate ligament disease. J. Am. Vet. Med. Assoc. 2013, 243, 675–680. [Google Scholar] [CrossRef]
- Moore, K.W.; Read, R.A. Cranial cruciate ligament rupture in the dog—A retrospective study comparing surgical techniques. Aust. Vet. J. 1995, 72, 281–285. [Google Scholar] [CrossRef]
- Coletti, T.J.; Anderson, M.; Gorse, M.J.; Madsen, R. Complications associated with tibial plateau leveling osteotomy: A retrospective of 1519 procedures. Can. Vet. J. 2014, 55, 49–254. [Google Scholar]
- Bergh, M.S.; Peirone, B. Complications of tibial plateau levelling osteotomy in dogs. Vet. Comp. Orthop. Traumatol. 2012, 25, 349358. [Google Scholar]
- Fitzpatrick, N.; Solano, M.A. Predictive variables for complications after TPLO with stifle inspection by arthrotomy in 1000 consecutive dogs. Vet. Surg. 2010, 39, 460–474. [Google Scholar] [CrossRef]
- Kieves, N.R.; Canapp, S.O.; Lotsikas, P.J.; Christopher, S.A.; Leasure, C.S.; Canapp, D.; Gavin, P.R. Effects of low-intensity pulsed ultrasound on radiographic healing of tibial plateau leveling osteotomies in dogs: A prospective; randomized; double-blinded study. Vet. Surg. 2018, 47, 614–662. [Google Scholar] [CrossRef] [PubMed]
- Pennasilico, L.; Di Bella, C.; Sassaroli, S.; Salvaggio, A.; Roggiolani, F.; Palumbo Piccionello, A. Effects of autologous microfragmented adipose tissue on healing of tibial plateau levelling osteotomy in dogs: A prospective clinical trial. Animals 2023, 13, 2084. [Google Scholar] [CrossRef] [PubMed]
- DeSandre-Robinson, D.M.; Tano, C.A.; Fiore, K.L.; Prytherch, B. Radiographic evaluation and comparison of the patellar ligament following tibial plateau leveling osteotomy and tibial tuberosity advancement in dogs: 106 cases (2009–2012). J. Am. Vet. Med. Ass. 2017, 250, 68–74. [Google Scholar] [CrossRef] [PubMed]
- Mattern, K.L.; Berry, C.R.; Peck, J.N.; De Haan, J.J. Radiographic and ultrasonographic evaluation of the patellar ligament following tibial plateau leveling osteotomy. Vet. Radiol. Ultrasound 2006, 47, 185–191. [Google Scholar] [CrossRef]
- Carey, K.; Aiken, S.W.; Di Resta, G.R.; Herr, L.G.; Monette, S. Radiographic and clinical changes of the patellar tendon after tibial plateau leveling osteotomy 94 cases (2000–2003). Vet. Comp. Orthop. Traumatol. 2005, 18, 235–242. [Google Scholar]
- Dan, M.J.; Crowley, J.; Broe, D.; Cross, M.; Walsh, W.R. Patella tendinopathy Zoobiquity—What can we learn from dogs? Knee 2019, 26, 115–123. [Google Scholar] [CrossRef]
- Zann, G.J.; Kim, S.E.; Tinga, S.; Pozzi, A.; Banks, S.A. The effect of tibial plateau leveling osteotomy on patellofemoral kinematics in dogs: An in vivo study. Vet. Surg. 2020, 49, 207–2013. [Google Scholar] [CrossRef]
- Guénégo, L.; Vezzoni, A.; Vezzoni, L. Comparison of tibial anatomical-mechanical axis angles and patellar position between tibial plateau levelling osteotomy (TPLO) and modified cranial closing wedge osteotomy (AMA-based CCWO) for the treatment of cranial cruciate ligament disease in large dogs with tibial plateau slopes greater than 30° and clinically normal Labradors retrievers. BMC Vet. Res. 2021, 49, 207–2013. [Google Scholar]
- Pennasilico, L.; Volta, A.; Sassaroli, S.; Di Bella, C.; Riccio, V.; Pilati, N.; Tambella, A.M.; Dini, F.; Palumbo Piccionello, A. Ultrasound and elastosonographic features of the patellar ligament in dogs affected by cranial cruciate ligament disease. Vet. Sci. 2024, 11, 126. [Google Scholar] [CrossRef]
- Del Signore, F.; De Dominicis, S.; Mastromatteo, G.; Simeoni, F.; Scapolo, P.A.; Tamburro, R.; Vignoli, M. Sonoelastography of normal canine common calcaneal tendon: Preliminary results. Vet. Comp. Orthop. Traum. 2020, 34, 200–205. [Google Scholar] [CrossRef] [PubMed]
- Serrani, D.; Volta, A.; Cingolani, F.; Pennasilico, L.; Di Bella, C.; Bonazzi, M.; Salvaggio, A.; Palumbo Piccionello, A. Serial ultrasonographic and real-time elastosonographic assessment of the ovine common calcaneal tendon; after an experimentally induced tendinopathy. Vet. Sci. 2021, 8, 54. [Google Scholar] [CrossRef] [PubMed]
- Palumbo Piccionello, A.; Riccio, V.; Senesi, L.; Volta, A.; Pennasilico, L.; Botto, R.; Rossi, G.; Tambella, A.M.; Galosi, L.; Marini, C.; et al. Adipose micro-grafts enhance tendinopathy healing in ovine model: An in vivo experimental perspective study. Stem Cells Transl. Med. 2021, 10, 1544–1560. [Google Scholar] [CrossRef] [PubMed]
- Tamura, N.; Nukada, T.; Kato, T.; Kuroda, T.; Kotoyori, Y.; Fukuda, K.; Kasashima, Y. The use of sonoelastography to assess the recovery of stiffness after equine superficial digital flexor tendon injuries: A preliminary prospective longitudinal study of the healing process. Equine Vet. J. 2017, 49, 590–595. [Google Scholar] [CrossRef]
- Galletti, S.; Oliva, F.; Masiero, S.; Frizziero, A.; Galletti, R.; Schiavone, C.; Salini, V.; Abate, M. Sonoelastography in the diagnosis of tendinopathies: An added value. Muscles Ligaments Tendons J. 2015, 5, 325–330. [Google Scholar] [CrossRef]
- Fusini, F.; Langella, F.; Busilacchi, A.; Tudisco, C.; Gigante, A.; Massé, A.; Bisicchia, S. Real-time sonoelastography: Principles and clinical applications in tendon disorders. A systematic review. Muscles Ligaments Tendons J. 2017, 7, 467–477. [Google Scholar] [CrossRef]
- Palumbo Piccionello, A.; Serrani, D.; Busoni, V.; Salvaggio, A.; Bonazzi, M.; Bergamino, C.; Volta, A. Sonoelastographic features of the patellar ligament in clinically normal dogs. Vet. Comp. Orthop. Traumatol. 2018, 31, 279–284. [Google Scholar] [CrossRef]
- Del Signore, F.; De Dominicis, S.; Smoglica, C.; Rosto, M.; De Bonis, A.; Paolini, A.; Vignoli, M. Strain elastography evaluation of patellar tendons in dogs after TPLO/TTA for cranial cruciate ligament rupture; qualitative and semiquantitative evaluation compared with healthy subjects. Animals 2024, 14, 2946. [Google Scholar] [CrossRef]
- Moher, D.; Hopewell, S.; Schulz, K.F.; Montori, V.; Gotzsche, P.C.; Devereaux, P.J.; Elbourne, D.; Egger, M.; Altman, D.G. CONSORT 2010 explanation and elaboration: Updated guidelines for reporting parallel group randomized. BMJ 2010, 23, 340. [Google Scholar]
- Nishida, Y.; Nishino, T.; Tanaka, K.; Onishi, S.; Kanamori, A.; Yamazaki, M. An objective measure of patellar tendon thickness based on ultrasonography and MRI in university athletes. Clinic. Med. J. 2021, 10, 4092. [Google Scholar] [CrossRef] [PubMed]
- Rabba, S.; Bolen, G.; Verwilghen, D.; Salciccia, A.; Busoni, V. Ultrasonographic findings in horses with foot pain but without radiographically detectable osseous abnormalities. Vet. Radiol. Ultrasound 2011, 52, 95–102. [Google Scholar] [CrossRef] [PubMed]
- Pacchiana, P.D.; Morris, E.; Gillings, S.L.; Jessen, C.R.; Lipowitz, A.J. Surgical and postoperative complications associated with tibial plateau leveling osteotomy in dogs with cranial cruciate ligament rupture: 397 cases (1998–2001). J. Am. Vet. Med. Assoc. 2003, 222, 184–193. [Google Scholar] [CrossRef] [PubMed]
- Kowaleski, M.; McCarthy, R.J. Geometric analysis evaluating the effect of tibial plateau leveling osteotomy position on postoperative tibial plateau slope. Vet. Comp. Orthop. Traumatol. 2004, 17, 30–34. [Google Scholar]
- Owen, D.J.; Manley, R.; Casale, S.A. Influence of methods of joint inspection during tibial plateau leveling osteotomy on the radiographic appearance of the patellar tendon. Vet. Surg. 2018, 47, 916–922. [Google Scholar] [CrossRef]
- Bester, E.G.; Zeiler, G.E.; Stoltz, G.G.; Oberholster, A.J.; Kitshoff, A.M. Influence of tibial plateau angle in cranial cruciate ligament-deficient stifle on patellar ligament strain: An ex vivo study. Am. J. Vet. Res. 2025, 2, 1–10. [Google Scholar] [CrossRef]
- Schmutterer, J.M.; Augat, P.; Greinwald, M.; Meyer-Lindenberg, A. Evaluation of meniscal load and load distribution in the canine stifle after Tibial plateau levelling osteotomy with postoperative tibia plateau angles of 6° and 1°. Vet. Comp. Orthop. Traumatol. 2022, 35, 73–80. [Google Scholar] [CrossRef]
- Ricciardi, M.; Lenoci, D. Comparative diagnostic imaging of a partial patellar ligament tear in a dog. Open Vet. J. 2018, 8, 160–167. [Google Scholar] [CrossRef]
- Manske, R.C.; Page, P.; Voight, M.; Wolfe, C. Musculoskeletal ultrasound: An essential tool in diagnosing patellar tendon injuries. Int. J. Sports Phys. Ther. 2023, 18, 84448. [Google Scholar] [CrossRef]
- McAuliffe, S.; McCreesh, K.; Culloty, F.; Purtill, H.; O’Sullivan, K. Can ultrasound imaging predict the development of Achilles and patellar tendinopathy? A systematic review and meta-analysis. Br. J. Sports Med. 2016, 50, 1516–1523. [Google Scholar] [CrossRef]
- Corrigan, P.; Cortes, D.H.; Pohlig, R.T.; Silbernagel, K.G. Tendon morphology and mechanical properties are associated with the recovery of symptoms and function in patients with Achilles tendinopathy. Orthop. J. Sports Med. 2020, 8, 2325967120917271. [Google Scholar] [CrossRef]
- Schneebeli, A.; Fiorina, I.; Bortolotto, C.; Barbero, M.; Falla, D.; Cescon, C.; Raciti, M.V.; Tarantino, F.; Preda, L. Shear wave and strain sonoelastography for the evaluation of the Achilles tendon during isometric contractions. Insights Imaging 2021, 12, 26. [Google Scholar] [CrossRef]
- Rossetto, G.; Scalona, E.; Comotti, P.; Gatti, L.; Di Maso, D.; Gobbo, M.; Lopomo, N.F. Ultrasound elastography in the evaluations of tendon-related disorders-a systematic review. Appl. Sci. 2023, 13, 4920. [Google Scholar] [CrossRef]
- McCagherty, J.; Longo, M.; Pennington, C.; Liuti, T.; Morrison, L.R.; Brown, H.; Clements, D.N. Effect of Stifle Flexion Angle on The Repeatability of Real-Time Elastosonography of the Patellar Ligament in Medium-to-Large-Breed Dogs. Vet. Comp. Orthop. Traumatol. 2020, 33, 391–397. [Google Scholar] [CrossRef]
- Embriano, K.; Holland, M.; Corriveau, K.M.; Hofmeister, E.; McCarthy, J. Share-wave elastography of canine patellar tendons in healthy dogs and the influence of stifle joint angle. Vet. Radiol. Ultrasound 2025, 66, e13447. [Google Scholar] [CrossRef]








| Timepoints | Proximal | Central | Distal | Statistics |
|---|---|---|---|---|
| T0 | 10.74 ± 4.238 a | 9.81 ± 2.76 c | 10.06 ± 3.82 e | χ2r = 5.545, p = 0.0625 |
| T1 | 21.24 ± 13.91 bα | 25.49 ± 15.26 dβ | 28.75 ± 14.86 fγ | χ2r = 32.48, p < 0.0001 |
| T2 | 19.22 ± 8.36 bδ | 21.92 ± 11.67 dδ | 25.70 ± 13.11 fε | χ2r = 29.73, p < 0.0001 |
| T3 | 16.35 ± 8.05 bλ | 20.30 ± 12.14 dλ | 23.67 ± 14.10 fπ | χ2r = 29.73, p < 0.0001 |
| Statistics | χ2r = 36.05, p < 0.0001 | χ2r = 38.89, p < 0.0001 | χ2r = 45.65, p < 0.0001 |
| Time-Points | Proximal | Central | Distal | Statistics |
|---|---|---|---|---|
| T0 | 10.16 ± 2.47 a | 9.81 ± 2.76 c | 11.28 ± 4.89 e | χ2r = 6.475, p = 0.1393 |
| T1 | 13.73 ± 4.43 bα | 18.26 ± 7.10 dβ | 24.52 ± 9.0 fγ | χ2r = 36.64, p < 0.0001 |
| T2 | 13.57 ± 4.67 bδ | 17.80 ± 6.77 dε | 25.27 ± 9.06 fλ | χ2r = 38.27, p < 0.0001 |
| T3 | 12.27 ± 5.54 π | 15.67 ± 6.5 dτ | 21.63 ± 8.34 fγω | χ2r = 36.64, p < 0.0001 |
| Statistics | χ2r = 31.08, p < 0.0001 | χ2r = 42.93, p < 0.0001 | χ2r = 42.68, p < 0.0001 |
| Time-Points | Score 0 | Score 1 | Score 2 | Score 3 |
|---|---|---|---|---|
| T0 | 0/22 | 22/22 (100%) | 0/22 | 0/22 |
| T1 | 0/22 | 4/22 (18%) | 18/22 (82%) | 0/22 |
| T2 | 0/22 | 4/22 (18%) | 18/22 (82%) | 0/22 |
| T3 | 0/22 | 17/22 (77%) | 5/22 (23%) | 0/22 |
Disclaimer/Publisher’s Note: The statements, opinions and data contained in all publications are solely those of the individual author(s) and contributor(s) and not of MDPI and/or the editor(s). MDPI and/or the editor(s) disclaim responsibility for any injury to people or property resulting from any ideas, methods, instructions or products referred to in the content. |
© 2025 by the authors. Licensee MDPI, Basel, Switzerland. This article is an open access article distributed under the terms and conditions of the Creative Commons Attribution (CC BY) license (https://creativecommons.org/licenses/by/4.0/).
Share and Cite
Palumbo Piccionello, A.; Pennasilico, L.; Tambella, A.M.; Sassaroli, S.; Galosi, M.; Pilati, N.; Dini, F. Radiographic, Ultrasonographic and Shear Elastosonographic Changes in Patellar Ligament in Dogs Undergoing Tibial Plateau Leveling Osteotomy. Vet. Sci. 2025, 12, 745. https://doi.org/10.3390/vetsci12080745
Palumbo Piccionello A, Pennasilico L, Tambella AM, Sassaroli S, Galosi M, Pilati N, Dini F. Radiographic, Ultrasonographic and Shear Elastosonographic Changes in Patellar Ligament in Dogs Undergoing Tibial Plateau Leveling Osteotomy. Veterinary Sciences. 2025; 12(8):745. https://doi.org/10.3390/vetsci12080745
Chicago/Turabian StylePalumbo Piccionello, Angela, Luca Pennasilico, Adolfo Maria Tambella, Sara Sassaroli, Margherita Galosi, Nicola Pilati, and Fabrizio Dini. 2025. "Radiographic, Ultrasonographic and Shear Elastosonographic Changes in Patellar Ligament in Dogs Undergoing Tibial Plateau Leveling Osteotomy" Veterinary Sciences 12, no. 8: 745. https://doi.org/10.3390/vetsci12080745
APA StylePalumbo Piccionello, A., Pennasilico, L., Tambella, A. M., Sassaroli, S., Galosi, M., Pilati, N., & Dini, F. (2025). Radiographic, Ultrasonographic and Shear Elastosonographic Changes in Patellar Ligament in Dogs Undergoing Tibial Plateau Leveling Osteotomy. Veterinary Sciences, 12(8), 745. https://doi.org/10.3390/vetsci12080745

