Histological Assessment of Intestinal Changes Induced by Liquid Whey-Enriched Diets in Pigs
Simple Summary
Abstract
1. Introduction
2. Materials and Methods
2.1. Animal Management and Experimental Design
2.2. Histological Sample Treatment
2.2.1. Sampling and Tissue Processing
2.2.2. Histology
2.2.3. Immunohistochemistry
2.2.4. Fluorescent Cell Count
2.3. Measurements of Villus Height and Crypt Depth
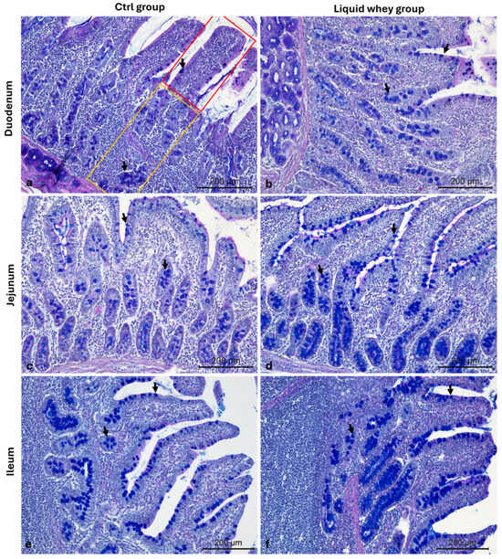
2.4. Quantitation of Goblet Mucus-Producing (PAS+) Cells
2.5. Statistical Analysis
3. Results
3.1. Effects of Dietary Liquid Whey Supplementation on Growth Performance
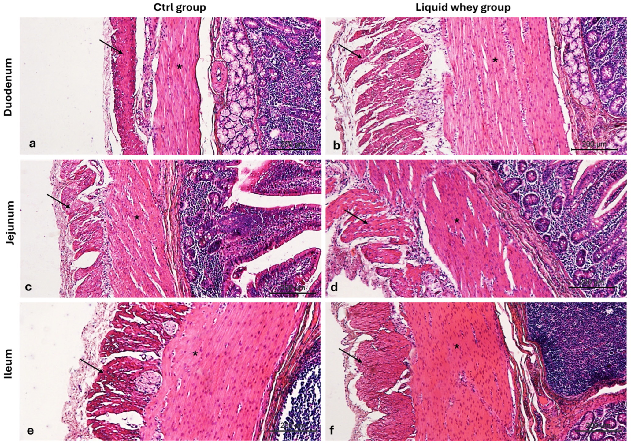
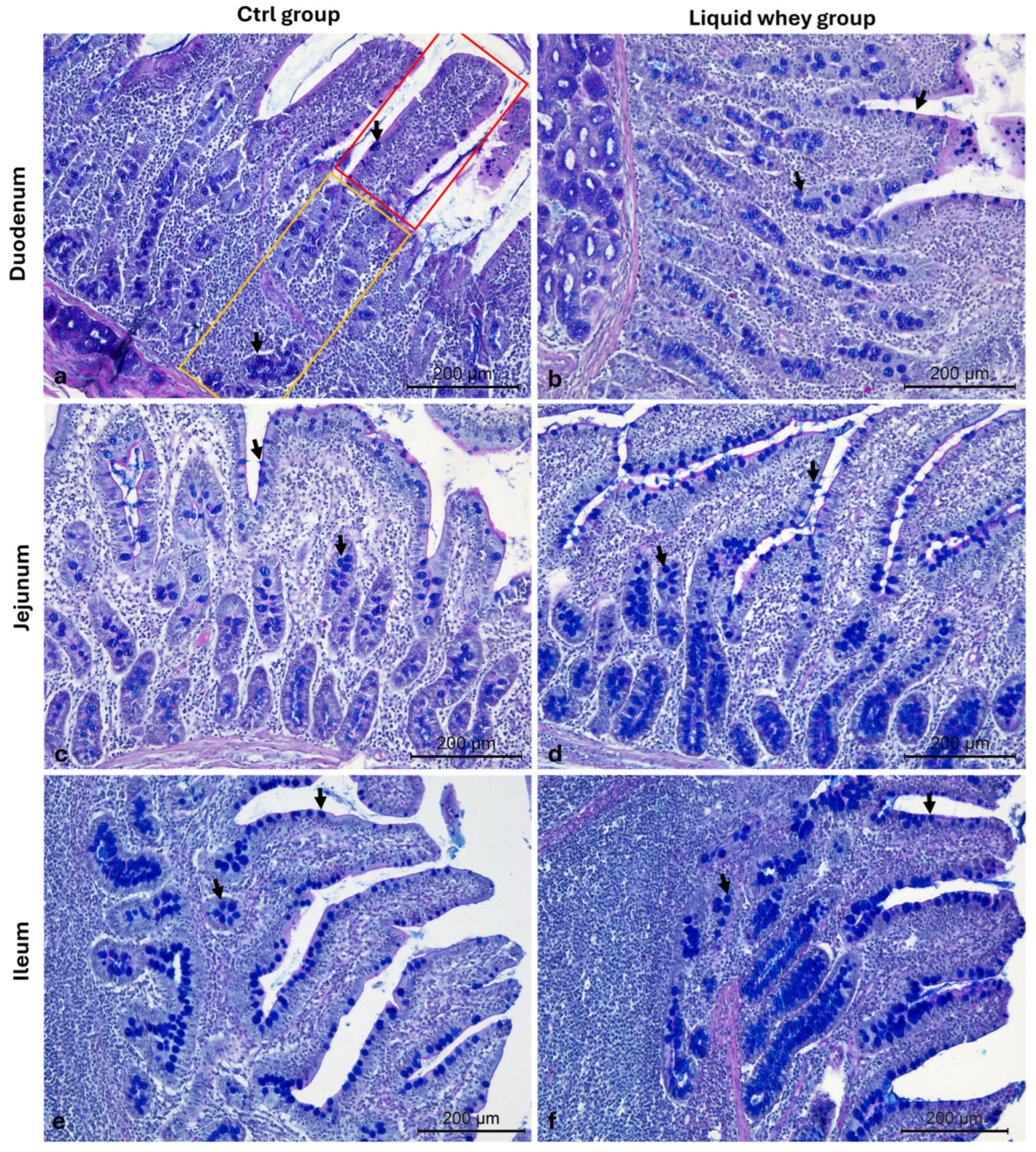
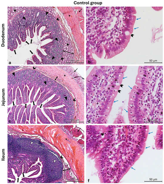
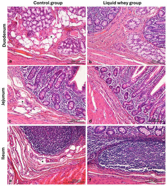
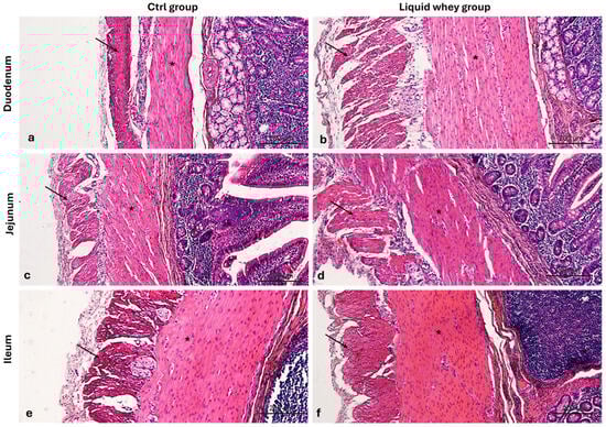
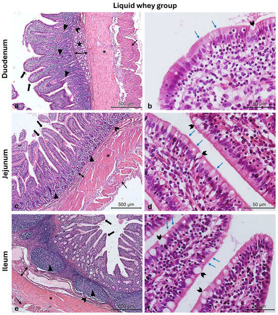
3.2. Histological Assay
3.3. Morphometric Analysis
3.4. Differential Expression Patterns of Cck-8, Galanin, and Leptin in Swine Small Intestinal Mucosa Revealed by Immunofluorescence
4. Discussion
5. Conclusions
Supplementary Materials
Author Contributions
Funding
Institutional Review Board Statement
Informed Consent Statement
Data Availability Statement
Conflicts of Interest
Appendix A
| Ingredients | g/kg of dry matter | |||
| Corn | 550 | |||
| Broad bean | 125 | |||
| Peas bean | 110 | |||
| Sunflower meal (38% crude protein) | 80 | |||
| Wheat middling | 70 | |||
| Carob | 30 | |||
| Sugar cane molasses | 13 | |||
| Analytical components | % on a wet basis | Energy in 100 g (389.3 Kcal) | CTRL vs. LW Mean Energy (in 3% BW at T0) (2462 kcal/day vs. 2182 kcal/day) | CTRL vs. LW Mean Energy (in 3% BW at T1) (4446 kcal/day vs. 3548 kcal/day) |
| Crude protein | 17.4 | 69.6 Kcal | ||
| Crude fat | 5.7 | 51.3 Kcal | ||
| Crude fiber | 4.5 | 268.4 Kcal | ||
| Ash | 5.3 | |||
| Calcium | 0.6 | |||
| Phosphorus | 0.5 | |||
| Sodium | 0.2 | |||
| Lysine | 1.2 | |||
| Methionine + Cystine | 0.57 | |||
| Tryptophan | 0.17 | |||
| Threonine | 0.62 | |||
| Additive components | ||||
| Vitamin B1 | 1.0 mg | |||
| Vitamin B2 | 3.0 mg | |||
| Vitamin B6 | 1.5 mg | |||
| Vitamin B12 | 0.015 mg | |||
| Vitamin D3 | (1.000 UI) | |||
| Vitamin E | 20 mg | |||
| Vitamin K3 | 1.0 mg | |||
| Niacin | 15.0 mg | |||
| Calcium D | 10.3 mg | |||
| Choline | 200 mg | |||
| Cu | 14.0 mg | |||
| Fe | 89.8 mg | |||
| I | 0.50 mg | |||
| Mn | 39.9 mg | |||
| Se | 0.15 mg | |||
| Zn | 99.6 mg | |||
| Biotin | 0.10 mg | |||
| Liquid whey chemical composition | ||||
| Energy (using Atwater factors) | In 1 L LW (405 kcal) | In 1.5 L LW (607.5 kcal) | ||
| Fat | 1.3% | 13 g | 1.95% | 19.5 g |
| Protein | 2.7% | 27 g | 4.05% | 40.5 g |
| Lactose | 4.5% | 45 g | 6.75% | 67.5 g |
| Solids (non-fat) | 7.5% | 75 g | 11.25% | 112.5 g |
| Ca | 47 mg/L | 47 mg/L | 70.5 mg/L | 70.5 mg/L |
| Mg | 9 mg/L | 9 mg/L | 13.5 mg/L | 13.5 mg/L |
| Cl | 38 mg/L | 38 mg/L | 57 mg/L | 57 mg/L |
| K | 192 mg/L | 192 mg/L | 288 mg/L | 288 mg/L |
| Na | 92 mg/L | 92 mg/L | 138 mg/L | 138 mg/L |
| NaCl | 60 mg/L | 60 mg/L | 90 mg/L | 90 mg/L |
| pH | 4.9 | 4.9 | 4.9 | 4.9 |
| Density | 27.85 | 27.85 | 27.85 | 27.85 |
| CTRL | LW | |
|---|---|---|
| From T0 to T1-1 | 2462 Kcal | 2182 + 607.5 = 2789.5 Kcal |
| From T1 to the end of the experiment | 4446 Kcal | 3548 + 607.5 = 4155.5 Kcal |
References
- Kim, S.W.; Gormley, A.; Jang, K.B.; Duarte, M.E. Current Status of Global Pig Production: An Overview and Research Trends. Anim. Biosci. 2023, 37, 719–729. [Google Scholar] [CrossRef]
- Maes, D.G.D.; Dewulf, J.; Piñeiro, C.; Edwards, S.; Kyriazakis, I. A Critical Reflection on Intensive Pork Production with an Emphasis on Animal Health and Welfare. J. Anim. Sci. 2020, 98, S15–S26. [Google Scholar] [CrossRef] [PubMed]
- Bassols, A.; Costa, C.; Eckersall, P.D.; Osada, J.; Sabria, J.; Tibau, J. The Pig as an Animal Model for Human Pathologies: A Proteomics Perspective. Proteom. Clin. Appl. 2014, 8, 715–731. [Google Scholar] [CrossRef] [PubMed]
- Lunney, J.K.; Van Goor, A.; Walker, K.E.; Hailstock, T.; Franklin, J.; Dai, C. Importance of the Pig as a Human Biomedical Model. Sci. Transl. Med. 2021, 13, eabd5758. [Google Scholar] [CrossRef] [PubMed]
- Perleberg, C.; Kind, A.; Schnieke, A. Genetically Engineered Pigs as Models for Human Disease. Dis. Model. Mech. 2018, 11, dmm030783. [Google Scholar] [CrossRef]
- Ju, W.S.; Kim, S.; Lee, J.-Y.; Lee, H.; No, J.; Lee, S.; Oh, K. Gene Editing for Enhanced Swine Production: Current Advances and Prospects. Animals 2025, 15, 422. [Google Scholar] [CrossRef]
- González-Peña, D.; Knox, R.V.; MacNeil, M.D.; Rodriguez-Zas, S.L. Genetic Gain and Economic Values of Selection Strategies Including Semen Traits in Three- and Four-Way Crossbreeding Systems for Swine Production. J. Anim. Sci. 2015, 93, 879–891. [Google Scholar] [CrossRef]
- Isbrandt, R.; Wiegard, M.; Meemken, D.; Langkabel, N. Impact of Procedures and Human-Animal Interactions during Transport and Slaughter on Animal Welfare of Pigs: A Systematic Literature Review. Animal 2022, 12, 3391. [Google Scholar] [CrossRef]
- Lebret, B. Effects of Feeding and Rearing Systems on Growth, Carcass Composition and Meat Quality in Pigs. Animal 2008, 2, 1548–1558. [Google Scholar] [CrossRef]
- Yang, Y.; Gan, M.; Yang, X.; Zhu, P.; Luo, Y.; Liu, B.; Zhu, K.; Cheng, W.; Chen, L.; Zhao, Y. Estimation of Genetic Parameters of Pig Reproductive Traits. Front. Vet. Sci. 2023, 10, 1172287. [Google Scholar] [CrossRef]
- Wang, X.; Tsai, T.; Deng, F.; Wei, X.; Chai, J.; Knapp, J.; Apple, J.; Maxwell, C.V.; Lee, J.A.; Li, Y. Longitudinal Investigation of the Swine Gut Microbiome from Birth to Market Reveals Stage and Growth Performance Associated Bacteria. Microbiome 2019, 7, 109. [Google Scholar] [CrossRef]
- Tardiolo, G.; La Fauci, D.; Riggio, V.; Daghio, M.; Di Salvo, E.; Zumbo, A.; Sutera, A.M. Gut Microbiota of Ruminants and Monogastric Livestock: An Overview. Animals 2025, 15, 758. [Google Scholar] [CrossRef]
- Li, R.; Hou, G.; Song, Z.; Wu, C.; Zhao, J.; Sun, X.; Xiang, X.; Fan, Z.; Hou, D.-X.; He, X. Effects of Different Protein Sources Completely Replacing Fish Meal in Low-Protein Diet on Growth Performance, Intestinal Digestive Physiology, and Nitrogen Digestion and Metabolism in Nursery Pigs. Anim. Sci. J. 2019, 90, 977–989. [Google Scholar] [CrossRef]
- Choudhury, R.; Middelkoop, A.; de Souza, J.G.; van Veen, L.A.; Gerrits, W.J.J.; Kemp, B.; Bolhuis, J.E.; Kleerebezem, M. Impact of Early-Life Feeding on Local Intestinal Microbiota and Digestive System Development in Piglets. Sci. Rep. 2021, 11, 4213. [Google Scholar] [CrossRef] [PubMed]
- Oanh, N.C.; Dang, P.K.; Bindelle, J.; Ton, V.D.; Hornick, J.-L. In Growing Pigs, Nutritive Value and Nutrient Digestibility of Distillers’ by-Products Obtained from Two Varieties of Rice. Trop. Anim. Health Prod. 2019, 51, 1679–1687. [Google Scholar] [CrossRef] [PubMed]
- Yang, K.; Qing, Y.; Yu, Q.; Tang, X.; Chen, G.; Fang, R.; Liu, H. By-Product Feeds: Current Understanding and Future Perspectives. Agriculture 2021, 11, 207. [Google Scholar] [CrossRef]
- Lavelli, V.; Beccalli, M.P. Cheese Whey Recycling in the Perspective of the Circular Economy: Modeling Processes and the Supply Chain to Design the Involvement of the Small and Medium Enterprises. Trends Food Sci. Technol. 2022, 126, 86–98. [Google Scholar] [CrossRef]
- Mollea, C.; Marmo, L.; Bosco, F. Valorisation of Cheese Whey, a by-Product from the Dairy Industry. In Food Industry; IntechOpen: London, UK, 2013; ISBN 953-51-0911-1. [Google Scholar]
- El-Aidie, S.A.; Khalifa, G.S. Innovative Applications of Whey Protein for Sustainable Dairy Industry: Environmental and Technological Perspectives—A Comprehensive Review. Compr. Rev. Food Sci. Food Saf. 2024, 23, e13319. [Google Scholar] [CrossRef]
- Su, Y.; Chen, X.; Liu, M.; Guo, X. Effect of Three Lactobacilli with Strain-Specific Activities on the Growth Performance, Faecal Microbiota and Ileum Mucosa Proteomics of Piglets. J. Anim. Sci. Biotechnol. 2017, 8, 52. [Google Scholar] [CrossRef]
- Liu, C.; Zhu, Q.; Chang, J.; Yin, Q.; Song, A.; Li, Z.; Wang, E.; Lu, F. Effects of Lactobacillus Casei and Enterococcus Faecalis on Growth Performance, Immune Function and Gut Microbiota of Suckling Piglets. Arch. Anim. Nutr. 2017, 71, 120–133. [Google Scholar] [CrossRef]
- Nielsen, C.H.; Hui, Y.; Nguyen, D.N.; Ahnfeldt, A.M.; Burrin, D.G.; Hartmann, B.; Heckmann, A.B.; Sangild, P.T.; Thymann, T.; Bering, S.B. Alpha-Lactalbumin Enriched Whey Protein Concentrate to Improve Gut, Immunity and Brain Development in Preterm Pigs. Nutrients 2020, 12, 245. [Google Scholar] [CrossRef]
- Xiao, K.; Jiao, L.; Cao, S.; Song, Z.; Hu, C.; Han, X. Whey Protein Concentrate Enhances Intestinal Integrity and Influences Transforming Growth Factor-Β1 and Mitogen-Activated Protein Kinase Signalling Pathways in Piglets after Lipopolysaccharide Challenge. Br. J. Nutr. 2016, 115, 984–993. [Google Scholar] [CrossRef]
- Barone, G.; O’Regan, J.; Kelly, A.L.; O’Mahony, J.A. Interactions between Whey Proteins and Calcium Salts and Implications for the Formulation of Dairy Protein-based Nutritional Beverage Products: A Review. Compr. Rev. Food Sci. Food Saf. 2022, 21, 1254–1274. [Google Scholar] [CrossRef]
- Wang, W.; Hu, H.; Zijlstra, R.T.; Zheng, J.; Gänzle, M.G. Metagenomic Reconstructions of Gut Microbial Metabolism in Weanling Pigs. Microbiome 2019, 7, 48. [Google Scholar] [CrossRef]
- Myhill, L.J.; Stolzenbach, S.; Hansen, T.V.A.; Skovgaard, K.; Stensvold, C.R.; Andersen, L.O.; Nejsum, P.; Mejer, H.; Thamsborg, S.M.; Williams, A.R. Mucosal Barrier and Th2 Immune Responses Are Enhanced by Dietary Inulin in Pigs Infected with Trichuris Suis. Front. Immunol. 2018, 9, 2557. [Google Scholar] [CrossRef]
- Wang, L.; Ding, L.; Zhu, W.; Hang, S. Soybean Protein Hydrolysate Stimulated Cholecystokinin Secretion and Inhibited Feed Intake through Calcium-Sensing Receptors and Intracellular Calcium Signalling in Pigs. Food Funct. 2021, 12, 9286–9299. [Google Scholar] [CrossRef] [PubMed]
- Sutera, A.M.; Arfuso, F.; Tardiolo, G.; Riggio, V.; Fazio, F.; Aiese Cigliano, R.; Paytuví, A.; Piccione, G.; Zumbo, A. Effect of a Co-Feed Liquid Whey-Integrated Diet on Crossbred Pigs’ Fecal Microbiota. Animals 2023, 13, 1750. [Google Scholar] [CrossRef] [PubMed]
- Abbate, F.; Guerrera, M.C.; Levanti, M.; Laurà, R.; Aragona, M.; Mhalhel, K.; Montalbano, G.; Germanà, A. Morphological Characteristics of the Blackspot Seabream (Pagellus bogaraveo) Tongue: A Structural and Immunohistochemical Study. Anat. Histol. Embryol. 2022, 51, 103–111. [Google Scholar] [CrossRef]
- Mhalhel, K.; Cavallaro, M.; Pansera, L.; Franco, G.A.; Montalbano, G.; Laurà, R.; Abbate, F.; Germanà, A.; Levanti, M.; Aragona, M. Ion-Channel Proteins in the Prepubertal Bitch Reproductive System: The Immunolocalization of ASIC2, ASIC4, and PIEZO2. Int. J. Mol. Sci. 2025, 26, 4388. [Google Scholar] [CrossRef] [PubMed]
- Aragona, M.; Mhalhel, K.; Cometa, M.; Franco, G.A.; Montalbano, G.; Guerrera, M.C.; Levanti, M.; Laurà, R.; Abbate, F.; Vega, J.A.; et al. Piezo 1 and Piezo 2 in the Chemosensory Organs of Zebrafish (Danio rerio). Int. J. Mol. Sci. 2024, 25, 7404. [Google Scholar] [CrossRef]
- Russo, F.; Vittoria, A. Neuroendocrine Cells in the Vestibular Glands of the Genital Tract of Cows and Pigs. Acta Histochem. 2006, 108, 351–355. [Google Scholar] [CrossRef]
- Phoophitphong, D.; Srisuwatanasagul, S.; Tummaruk, P. Leptin Immunohistochemical Staining in the Porcine Ovary. Anat. Histol. Embryol. 2017, 46, 334–341. [Google Scholar] [CrossRef] [PubMed]
- Mhalhel, K.; Arena, R.; Rizzo, M.; Piccione, G.; Aragona, M.; Levanti, M.; Aragona, F.; Arfuso, F. Potential Implications of Acid-Sensing Ion Channels ASIC2 and ASIC4 in Gonadal Differentiation of Dicentrarchus Labrax Subjected to Water Temperature Increase during Gonadal Development. Animals 2024, 14, 1024. [Google Scholar] [CrossRef] [PubMed]
- Aragona, M.; Mhalhel, K.; Pansera, L.; Montalbano, G.; Guerrera, M.C.; Levanti, M.; Laurà, R.; Abbate, F.; Vega, J.A.; Germanà, A. Localization of Piezo 1 and Piezo 2 in Lateral Line System and Inner Ear of Zebrafish (Danio rerio). Int. J. Mol. Sci. 2024, 25, 9204. [Google Scholar] [CrossRef] [PubMed]
- Mhalhel, K.; Briglia, M.; Aragona, M.; Porcino, C.; Abbate, F.; Guerrera, M.C.; Laurà, R.; Krichen, Y.; Guerbej, H.; Germanà, A.; et al. Nothobranchius as a Model for Anorexia of Aging Research: An Evolutionary, Anatomical, Histological, Immunohistochemical, and Molecular Study. Ann. Anat. 2023, 250, 152116. [Google Scholar] [CrossRef]
- Tardiolo, G.; Romeo, O.; Zumbo, A.; Di Marsico, M.; Sutera, A.M.; Cigliano, R.A.; Paytuví, A.; D’Alessandro, E. Characterization of the Nero Siciliano Pig Fecal Microbiota after a Liquid Whey-Supplemented Diet. Animals 2023, 13, 642. [Google Scholar] [CrossRef]
- Tsermoula, P.; Khakimov, B.; Nielsen, J.H.; Engelsen, S.B. WHEY—The Waste-Stream That Became More Valuable than the Food Product. Trends Food Sci. Technol. 2021, 118, 230–241. [Google Scholar] [CrossRef]
- D’Alessandro, E.; Arfuso, F.; Floridia, V.; Tardiolo, G.; Fazio, F.; Giannetto, C.; Piccione, G.; Zumbo, A. Different Genotype and a Liquid Whey-Supplemented Diet Influence the Resilience of Pigs through Immune-Modulation and Anti-Inflammatory Response. Front. Vet. Sci. 2022, 9, 1046101. [Google Scholar] [CrossRef]
- López-Vergé, S.; Gasa, J.; Temple, D.; Bonet, J.; Coma, J.; Solà-Oriol, D. Strategies to Improve the Growth and Homogeneity of Growing-Finishing Pigs: Feeder Space and Feeding Management. Porc. Health Manag. 2018, 4, 14. [Google Scholar] [CrossRef]
- Rimmer, L.A.; Geisbrecht, E.R.; Chao, M.D.; O’Quinn, T.G.; Woodworth, J.C.; Zumbaugh, M.D. Skeletal Muscle Metabolism Is Dynamic during Porcine Postnatal Growth. Metabolites 2024, 14, 357. [Google Scholar] [CrossRef]
- Schumacher, M.; DelCurto-Wyffels, H.; Thomson, J.; Boles, J. Fat Deposition and Fat Effects on Meat Quality-A Review. Animals 2022, 12, 1550. [Google Scholar] [CrossRef]
- Patience, J.F.; Rossoni-Serão, M.C.; Gutiérrez, N.A. A Review of Feed Efficiency in Swine: Biology and Application. J. Anim. Sci. Biotechnol. 2015, 6, 33. [Google Scholar] [CrossRef]
- Wu, F.; Vierck, K.R.; DeRouchey, J.M.; O’Quinn, T.G.; Tokach, M.D.; Goodband, R.D.; Dritz, S.S.; Woodworth, J.C. A Review of Heavy Weight Market Pigs: Status of Knowledge and Future Needs Assessment1. Transl. Anim. Sci. 2017, 1, 1–15. [Google Scholar] [CrossRef]
- Li, Y.; Østergaard, M.V.; Jiang, P.; Chatterton Dereck, E.W.; Thymann, T.; Kvistgaard, A.S.; Sangild, P.T. Whey Protein Processing Influences Formula-Induced Gut Maturation in Preterm Pigs. J. Nutr. 2013, 143, 1934–1942. [Google Scholar] [CrossRef]
- Kobayashi, Y.; Itoh, A.; Miyawaki, K.; Koike, S.; Iwabuchi, O.; Iimura, Y.; Kobashi, Y.; Kawashima, T.; Wakamatsu, J.; Hattori, A.; et al. Effect of Liquid Whey Feeding on Fecal Microbiota of Mature and Growing Pigs. Anim. Sci. J. 2011, 82, 607–615. [Google Scholar] [CrossRef]
- Maswaure, S.M.; Mandisodza, K.T. An Evaluation of the Performance of Weaner Pigs Fed Diets Incorporating Fresh Sweet Liquid Whey. Anim. Feed. Sci. Technol. 1995, 54, 193–201. [Google Scholar] [CrossRef]
- Kareb, O.; Aïder, M. Whey and Its Derivatives for Probiotics, Prebiotics, Synbiotics, and Functional Foods: A Critical Review. Probiotics Antimicrob. Proteins 2019, 11, 348–369. [Google Scholar] [CrossRef] [PubMed]
- Lee, J.S.; Hyun, I.K.; Seo, H.-J.; Song, D.; Kim, M.Y.; Kang, S.-S. Biotransformation of Whey by Weissella Cibaria Suppresses 3T3-L1 Adipocyte Differentiation. J. Dairy. Sci. 2021, 104, 3876–3887. [Google Scholar] [CrossRef] [PubMed]
- Frestedt, J.L.; Zenk, J.L.; Kuskowski, M.A.; Ward, L.S.; Bastian, E.D. A Whey-Protein Supplement Increases Fat Loss and Spares Lean Muscle in Obese Subjects: A Randomized Human Clinical Study. Nutr. Metab. 2008, 5, 8. [Google Scholar] [CrossRef]
- Rajic, A.; Dhulia, J.; Hosking, C.G.; Autelitano, D.J. A Novel Dairy-Derived Isolate That Inhibits Adipogenesis and Significantly Reduces Weight Gain in a High Fat Animal Model. Int. Dairy. J. 2010, 20, 480–486. [Google Scholar] [CrossRef]
- Dalziel, J.E.; Anderson, R.C.; Bassett, S.A.; Lloyd-West, C.M.; Haggarty, N.W.; Roy, N.C. Influence of Bovine Whey Protein Concentrate and Hydrolysate Preparation Methods on Motility in the Isolated Rat Distal Colon. Nutrients 2016, 8, 809. [Google Scholar] [CrossRef]
- Specian, R.D.; Oliver, M.G. Functional Biology of Intestinal Goblet Cells. Am. J. Physiol.-Cell Physiol. 1991, 260, C183–C193. [Google Scholar] [CrossRef]
- Johansson, M.E.; Phillipson, M.; Petersson, J.; Velcich, A.; Holm, L.; Hansson, G.C. The Inner of the Two Muc2 Mucin-Dependent Mucus Layers in Colon Is Devoid of Bacteria. Proc. Natl. Acad. Sci. USA 2008, 105, 15064–15069. [Google Scholar] [CrossRef]
- McGuckin, M.A.; Eri, R.; Simms, L.A.; Florin, T.H.; Radford-Smith, G. Intestinal Barrier Dysfunction in Inflammatory Bowel Diseases. Inflamm. Bowel Dis. 2009, 15, 100–113. [Google Scholar] [CrossRef]
- Martínez-Maqueda, D.; Miralles, B.; Ramos, M.; Recio, I. Effect of β-Lactoglobulin Hydrolysate and β-Lactorphin on Intestinal Mucin Secretion and Gene Expression in Human Goblet Cells. Food Res. Int. 2013, 54, 1287–1291. [Google Scholar] [CrossRef]
- Sprong, R.C.; Schonewille, A.J.; van der Meer, R. Dietary Cheese Whey Protein Protects Rats against Mild Dextran Sulfate Sodium-Induced Colitis: Role of Mucin and Microbiota. J. Dairy. Sci. 2010, 93, 1364–1371. [Google Scholar] [CrossRef] [PubMed]
- Barb, C.R.; Hausman, G.J.; Houseknecht, K.L. Biology of Leptin in the Pig. Domest. Anim. Endocrinol. 2001, 21, 297–317. [Google Scholar] [CrossRef]
- Barb, C.R.; Hausman, G.J.; Czaja, K. Leptin: A Metabolic Signal Affecting Central Regulation of Reproduction in the Pig. Domest. Anim. Endocrinol. 2005, 29, 186–192. [Google Scholar] [CrossRef] [PubMed]
- Owyang, C.; Heldsinger, A. Vagal Control of Satiety and Hormonal Regulation of Appetite. J. Neurogastroenterol. Motil. 2011, 17, 338–348. [Google Scholar] [CrossRef] [PubMed]
- Worthington, J.J.; Reimann, F.; Gribble, F.M. Enteroendocrine Cells-Sensory Sentinels of the Intestinal Environment and Orchestrators of Mucosal Immunity. Mucosal Immunol. 2018, 11, 3–20. [Google Scholar] [CrossRef]
- Wolinski, J.; Biernat, M.; Guilloteau, P.; Westrom, B.; Zabielski, R. Exogenous Leptin Controls the Development of the Small Intestine in Neonatal Piglets. J. Endocrinol. 2003, 177, 215–222. [Google Scholar] [CrossRef]
- Merigo, F.; Brandolese, A.; Facchin, S.; Boschi, F.; Di Chio, M.; Savarino, E.; D’Incà, R.; Sturniolo, G.C.; Sbarbati, A. Immunolocalization of Leptin and Leptin Receptor in Colorectal Mucosa of Ulcerative Colitis, Crohn’s Disease and Control Subjects with No Inflammatory Bowel Disease. Cell Tissue Res. 2021, 383, 1103–1122. [Google Scholar] [CrossRef]
- Larnkjær, A.; Arnberg, K.; Michaelsen, K.F.; Jensen, S.M.; Mølgaard, C. Effect of Increased Intake of Skimmed Milk, Casein, Whey or Water on Body Composition and Leptin in Overweight Adolescents: A Randomized Trial. Pediatr. Obes. 2015, 10, 461–467. [Google Scholar] [CrossRef]
- Kondrashina, A.; Brodkorb, A.; Giblin, L. Dairy-Derived Peptides for Satiety. J. Funct. Foods 2020, 66, 103801. [Google Scholar] [CrossRef]
- Osborne, S.; Chen, W.; Addepalli, R.; Colgrave, M.; Singh, T.; Tran, C.; Day, L. In Vitro Transport and Satiety of a Beta-Lactoglobulin Dipeptide and Beta-Casomorphin-7 and Its Metabolites. Food Funct. 2014, 5, 2706–2718. [Google Scholar] [CrossRef]












| Primary Antibodies | Supplier | Catalog Number | Source | Dilution |
|---|---|---|---|---|
| Cck-8 polyclonal antibody | Immuno Star, Hudson, WI, USA, | 20078 | rabbit | 1:100 |
| Leptin Ob monoclonal antibody (F3) | Santa Cruz Biotechnology, Santa Cruz, CA, USA | sc-48408 | mouse | 1:100 |
| Galanin polyclonal antibody | Enzo Life Sciences, Farmingdale, NY, USA | BML-GA1161-0025 | Rabbit | 1:100 |
| Secondary antibodies | Supplier | Catalog number | Source | Dilution |
| Goat anti-mouse IgG (H+L) Alexa Fluor 488 | Thermo Fisher Scientific, Carlsbad, CA, USA | A-11001 | Goat | 1:300 |
| Goat anti-rabbit IgG (H+L) Alexa Fluor 594 | Thermo Fisher Scientific, Carlsbad, CA, USA | A-11012 | Goat | 1:300 |
| Metric | CTRL Group (n = 7) | LW Group (n = 7) | Statistical Test | p-Value | Cohen’s d |
|---|---|---|---|---|---|
| Initial Weight (T0) | 21.1 ± 5.3 kg | 18.7 ± 4.9 kg | Independent t-test | 0.15 | 0.47 |
| T1 Weight | 38.1 ± 9.6 kg | 30.4 ± 9.2 kg | Independent t-test | 0.03 | 0.81 |
| T2 Weight | 43.1 ± 9.3 kg | 38.7 ± 9.5 kg | Mann-Whitney U test | 0.08 | 0.47 |
| T0 → T1 Gain | +17.0 ± 5.7 kg | +11.7 ± 5.8 kg | Independent t-test | 0.03 | 0.93 |
| T1 → T2 Gain | +5.0 ± 2.1 kg | +8.3 ± 3.9 kg | Welch’s t-test | 0.02 | 1.06 |
| T0 → T1 ADG (kg/day) | 0.68 ± 0.16 | 0.47 ± 0.12 | Independent t-test | 0.003 | 1.49 |
| T1 → T2 ADG (kg/day) | 0.18 ± 0.05 | 0.30 ± 0.07 | Welch’s t-test | 0.02 | 1.98 |
| Segment | Parameter | Group | Estimated Marginal Mean ± SE | df | 95% CI | Sig | Cohen’s d | Estimates of Variance | |
|---|---|---|---|---|---|---|---|---|---|
| Pig-ID Variance (Between Pigs) | Residual Variance (Within Pigs) | ||||||||
| Duodenum | Villus Height | Control | 356.56 ± 11,838 | 9.016 | 329,789–383,333 | <0.001 | 0.65 | 623 ± 461,961 | 7869 ± 636,178 |
| Liquid Whey | 298.994 ± 11,758 | 8.774 | 272,291–325,696 | ||||||
| Control—Liquid whey | 57.6 ± 10.01 * | 306.013 | 37.9–77.3 | ||||||
| Duodenum | Crypt Depth | Control | 344.145 ± 19,504 | 7.756 | 298,923–389,368 | <0.001 | 0.58 | 2,035,355 ± 1,352,0355 | 13,789,095 ± 1,114,762 |
| Liquid Whey | 411.776 ± 19,419 | 7.622 | 366.607–456.944 | ||||||
| Control—Liquid whey | −67,630 ± 13,257 * | 306,027 | −93,717–41,544 | ||||||
| Jejunum | Villus Height | Control | 439.504 ± 15,731 | 8.864 | 403,836–475,173 | 0.199 | 0.15 | 1,121,257 ± 822,718 | 13,427,704 ± 1,085,611 |
| Liquid Whey | 456.346 ± 15,628 | 8.634 | 420,764–491,927 | ||||||
| Control—Liquid whey | −16,841 ± 13,082 * | 306 | −42,584–8901 | ||||||
| Jejunum | Crypt Depth | Control | 336.936 ± 12,471 | 8.252 | 308,329–365,542 | 0.343 | 0.03 | 795,437 ± 535,977 | 72,377,492 ± 585,202 |
| Liquid Whey | 346.050 ± 12,401 | 8.069 | 317,495–374,605 | ||||||
| Control—Liquid whey | −9114 ± 9604 * | 305,933 | −28,013–9785 | ||||||
| Ileum | Villus Height | Control | 275.382 ± 7827 | 14,332 | 258,632–292,133 | <0.001 | 0.50 | 130,380 ± 160,040 | 6,561,967 ± 530,486 |
| Liquid Whey | 316.018 ± 7725 | 13,602 | 299,404–332,632 | ||||||
| Control—Liquid whey | −40,636 ± 9145 * | 306,083 | −58,631–−22,641 | ||||||
| Ileum | Crypt Depth | Control | 277.464 ± 7974 | 14,720 | 260,440–294,489 | 0.043 | 0.23 | 129,364 ± 163,883 | 6,942,415 ± 561,210 |
| Liquid Whey | 296.564 ± 7868 | 13,956 | 279,684–313,444 | ||||||
| Control—Liquid whey | −19,100 ± 9406 * | 306,121 | −37,609–−590 | ||||||
| SI Segment | Variable | Group | Mean ± SD (μm) | Median (µm) | Test Used | p-Value | Cohen’s d Test | |
|---|---|---|---|---|---|---|---|---|
| d | Effect Size | |||||||
| Duodenum | Inner circular muscle thickness | Control | 260.02 ± 36.071 | 256.48 | Welch’s t-test | <0.001 | −3.18 | Very large |
| Liquid Whey | 505.67 ± 102.954 | 518.82 | ||||||
| Outer longitudinal muscle thickness | Control | 223.94 ± 46.621 | 213.40 | Welch’s t-test | 0.001 | −1.98 | Very large | |
| Liquid Whey | 516.40 ± 203.066 | 466.15 | ||||||
| Jejunum | Inner circular muscle thickness | Control | 225.21 ± 36.625 | 230.95 | t-test | 0.002 | −1.64 | Large |
| Liquid Whey | 301.94 ± 54.950 | 298.15 | ||||||
| Outer longitudinal muscle thickness | Control | 209.25 ± 56.509 | 198.14 | Mann–Whitney U | 0.226 | −0.34 | Small | |
| Liquid Whey | 228.12 ± 55.891 | 226.80 | ||||||
| Ileum | Inner circular muscle thickness | Control | 445.61 ± 120.880 | 433.25 | Welch’s t-test | 0.195 | 0.61 | Medium |
| Liquid Whey | 388.63 ± 51.771 | 375.40 | ||||||
| Outer longitudinal muscle thickness | Control | 300.65 ± 121.407 | 311.99 | Mann–Whitney U | 0.082 | 0.98 | Large | |
| Liquid Whey | 203.21 ± 70.811 | 197.19 | ||||||
| Segment | Parameter | Group | Estimated Marginal Mean ± SE (Cells/mm2) | df | 95% CI | Sig | Cohen’s d | Estimates of Variance | |
|---|---|---|---|---|---|---|---|---|---|
| Pig-ID Variance (Between Pigs) | Residual Variance (Within Pigs) | ||||||||
| Duodenum | Villus goblet cells count | Control | 4.152 ± 0.241 | 17.856 | 3.644–4.660 | 0.001 | 0.62 | 0.0574 ± 0.1365 | 2804 ± 0.388 |
| Liquid Whey | 5.193 ± 0.241 | 17.856 | 4.685–5.700 | ||||||
| Control —Liquid whey | −1.041 ± 0.316 * | 104 | −1.668–0.413 | ||||||
| Duodenum | Crypt goblet cells count | Control | 7.657 ± 0.451 | 12.274 | 6.677–8.636 | 0.017 | 0.46 | 0.555 ± 0.574 | 69.356 ± 0.961 |
| Liquid Whey | 6.454 ± 0.451 | 12.274 | 5.474–7.434 | ||||||
| Control— Liquid whey | 1.202 ± 0.498 * | 104 | 0.215–2.189 | ||||||
| Jejunum | Villus goblet cells count | Control | 3.983 ± 0.197 | 20.603 | 3.573–4.394 | 0.451 | 0.14 | 0.015 ± 0.084 | 2057 ± 0.285 |
| Liquid Whey | 3.778 ± 0.197 | 20.603 | 3.368–4.189 | ||||||
| Control—Liquid whey | 0.205 ± 0.271 * | 104 | −0.333–0.743 | ||||||
| Jejunum | Crypt goblet cells count | Control | 4.962 ± 0.310 | 0.310 | 4.348–5.576 | <0.001 | 0.57 | 0 | 5373 ± 0.724 |
| Liquid Whey | 6.279 ± 0.310 | 0.310 | 5.665–6.893 | ||||||
| Control—Liquid whey | −1.316 ± 0.438 * | 110 | −2.184–−0.448 | ||||||
| Ileum | Villus goblet cells count | Control | 8.114 ± 0.490 | 110 | 7.142–9.086 | 0.867 | 0.03 | 0 | 13.472 ± 1816 |
| Liquid Whey | 8.230 ± 0.490 | 110 | 7.258–9.202 | ||||||
| Control—Liquid whey | −0.116 ± 0.694 * | 110 | −1.491–1.258 | ||||||
| Ileum | Crypt goblet cells count | Control | 8.797 ± 0.422 | 110 | 7.962–9.633 | 0.618 | 0.09 | 0 | 9950 ± 1341 |
| Liquid Whey | 8.499 ± 0.422 | 110 | 7.664–9.334 | ||||||
| Control—Liquid whey | 0.298 ± 0.596 * | 110 | −0.883−1.480 | ||||||
| Mean ± Δσ of IF Enterocytes in Duodenum | Mean ± Δσ of IF Enterocytes in Jejunum | Mean ± Δσ of IF Enterocytes in Ileum | ||||
|---|---|---|---|---|---|---|
| Control Group | Liquid Whey Group | Control Group | Liquid Whey Group | Control Group | Liquid Whey Group | |
| Cck-8 | 3.6 ± 1.48 | 3.3 ± 1.59 | 3.7 ± 1.63 | 3.5 ± 1.63 | 3.5 ± 1.48 | 3.4 ± 1.79 |
| p = 0.199 | p = 0.0831 | p = 0.145 | ||||
| Leptin | 0.5 ± 0.50 | 2.4 ± 0.30 | 0.4 ± 0.49 | 2.6 ± 0.47 | 0.3 ± 0.46 | 3.5 ± 0.59 |
| p = 1.42 × 10−7 | p = 9.59 × 10−8 | p = 3.78 × 10−9 | ||||
| Galanin | 3.4 ± 0.58 | 3.8 ± 1.10 | 3.7 ± 0.86 | 3.2 ± 0.90 | 3.6 ± 0.31 | 3.9 ± 0.67 |
| p = 0.115 | p = 0.167 | p = 0.132 | ||||
Disclaimer/Publisher’s Note: The statements, opinions and data contained in all publications are solely those of the individual author(s) and contributor(s) and not of MDPI and/or the editor(s). MDPI and/or the editor(s) disclaim responsibility for any injury to people or property resulting from any ideas, methods, instructions or products referred to in the content. |
© 2025 by the authors. Licensee MDPI, Basel, Switzerland. This article is an open access article distributed under the terms and conditions of the Creative Commons Attribution (CC BY) license (https://creativecommons.org/licenses/by/4.0/).
Share and Cite
Mhalhel, K.; Cavallaro, M.; Pansera, L.; Ledesma, L.H.; Levanti, M.; Germanà, A.; Sutera, A.M.; Tardiolo, G.; Zumbo, A.; Aragona, M.; et al. Histological Assessment of Intestinal Changes Induced by Liquid Whey-Enriched Diets in Pigs. Vet. Sci. 2025, 12, 716. https://doi.org/10.3390/vetsci12080716
Mhalhel K, Cavallaro M, Pansera L, Ledesma LH, Levanti M, Germanà A, Sutera AM, Tardiolo G, Zumbo A, Aragona M, et al. Histological Assessment of Intestinal Changes Induced by Liquid Whey-Enriched Diets in Pigs. Veterinary Sciences. 2025; 12(8):716. https://doi.org/10.3390/vetsci12080716
Chicago/Turabian StyleMhalhel, Kamel, Mauro Cavallaro, Lidia Pansera, Leyanis Herrera Ledesma, Maria Levanti, Antonino Germanà, Anna Maria Sutera, Giuseppe Tardiolo, Alessandro Zumbo, Marialuisa Aragona, and et al. 2025. "Histological Assessment of Intestinal Changes Induced by Liquid Whey-Enriched Diets in Pigs" Veterinary Sciences 12, no. 8: 716. https://doi.org/10.3390/vetsci12080716
APA StyleMhalhel, K., Cavallaro, M., Pansera, L., Ledesma, L. H., Levanti, M., Germanà, A., Sutera, A. M., Tardiolo, G., Zumbo, A., Aragona, M., & Montalbano, G. (2025). Histological Assessment of Intestinal Changes Induced by Liquid Whey-Enriched Diets in Pigs. Veterinary Sciences, 12(8), 716. https://doi.org/10.3390/vetsci12080716

