State of the Art: Lung Cancer Staging Using Updated Imaging Modalities
Abstract
1. Introduction
2. Classification of Lung Cancer
2.1. Anatomic Classification
2.2. Histopathologic Classification
2.2.1. Small-Cell Lung Cancer (SCLC)
2.2.2. Squamous Cell Carcinoma
2.2.3. Adenocarcinoma
2.2.4. Large-Cell Carcinoma
3. Lung Cancer Screening
3.1. Digital Chest Radiography
3.1.1. Digital Radiography Technique
3.1.2. Digital Radiography Scale for Lung Cancer Screening
3.2. Multi-Detector Computed Tomography (CT)
3.3. Dual-Energy Computed Tomography (DECT)
3.3.1. Dual-Energy Computed Tomography (DECT) Technique
3.3.2. Quantitative Analysis
3.4. Positron Emission Tomography (PET/CT)
3.4.1. Patient Preparation
3.4.2. PET/CT Scan Acquisition
3.4.3. Qualitative Image Analysis
3.4.4. Quantitative Image Analysis
3.4.5. PET/CT Imaging Pitfalls
3.4.6. Dual-Time-Point FDG PET/CT
3.4.7. DTP FDG PET/CT Scan Acquisition
3.5. Magnetic Resonance Imaging (MRI)
3.6. Diffusion-Weighted Imaging (DWI)
3.6.1. DW Imaging Protocol
3.6.2. Qualitative Image Analysis
3.6.3. Quantitative Image Analysis
3.6.4. Intravoxel Incoherent Motion (IVIM)
3.7. Dynamic Contrast-Enhanced (DCE) MRI
3.8. Hyperpolarized gas MRI
3.9. Whole-Body Magnetic Resonance Imaging (WB-MRI) and WB-DWI
PET/MRI
4. Imaging and Lung Cancer TNM Staging
4.1. T (Tumor) Descriptor
4.2. N (Nodal) Descriptor
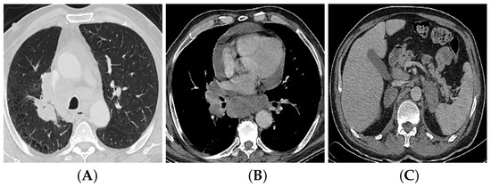
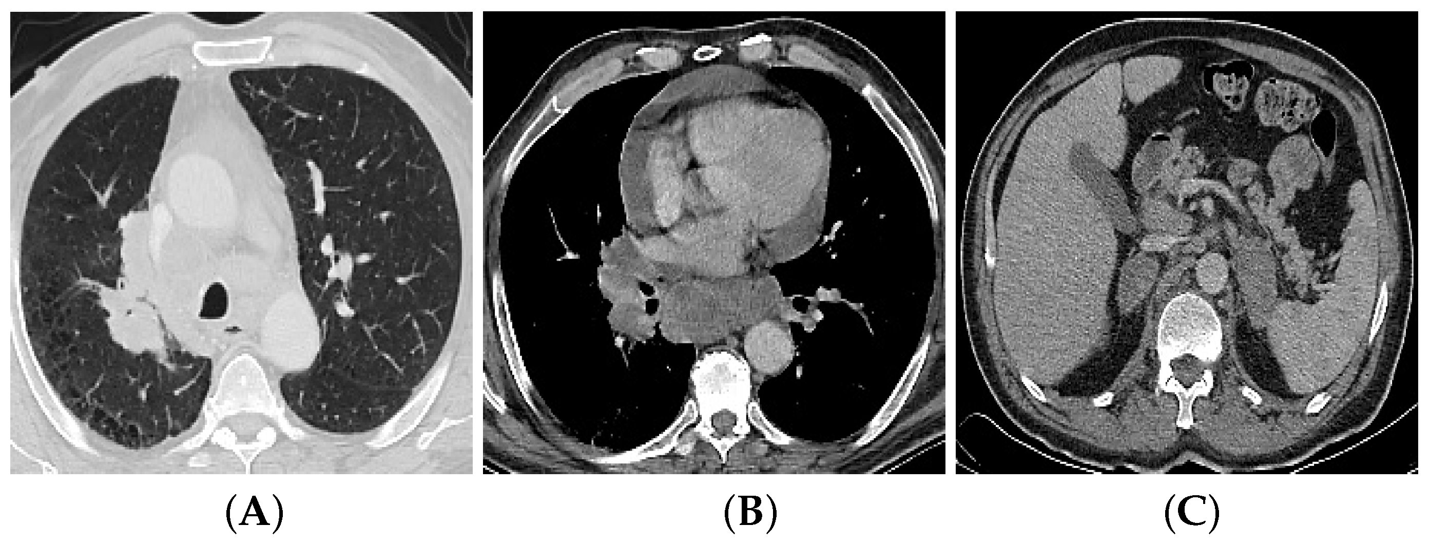
4.3. M (Metastasis) Descriptor
4.4. Overall Stage Grouping
5. Lung Cancer Follow-Up and Response Evaluation
6. World Health Organization (WHO) Criteria and Response Evaluation Criteria in Solid Tumors (RECIST)
7. Advances in Lung Cancer Tumor Genomics and Precision Therapy
8. Conclusions
Author Contributions
Funding
Institutional Review Board Statement
Informed Consent Statement
Data Availability Statement
Conflicts of Interest
References
- Siegel, R.L.; Miller, K.D.; Jemal, A. Cancer statistics, 2015. CA Cancer J. Clin. 2015, 65, 5–29. [Google Scholar] [CrossRef]
- Usuda, K.; Ishikawa, M.; Iwai, S.; Iijima, Y.; Motono, N.; Matoba, M.; Doai, M.; Hirata, K.; Uramoto, H. Combination Assessment of Diffusion-Weighted Imaging and T2-Weighted Imaging Is Acceptable for the Differential Diagnosis of Lung Cancer from Benign Pulmonary Nodules and Masses. Cancers 2021, 13, 1551. [Google Scholar] [CrossRef] [PubMed]
- Sim, Y.T.; Goh, Y.G.; Dempsey, M.F.; Han, S.; Poon, F.W. PET–CT Evaluation of Solitary Pulmonary Nodules: Correlation with Maximum Standardized Uptake Value and Pathology. Lung 2013, 191, 625–632. [Google Scholar] [CrossRef] [PubMed]
- Chen, S.; Harmon, S.; Perk, T.; Li, X.; Chen, M.; Li, Y.; Jeraj, R. Diagnostic classification of solitary pulmonary nodules using dual time 18F-FDG PET/CT image texture features in granuloma-endemic regions. Sci. Rep. 2017, 7, 9370. [Google Scholar] [CrossRef] [PubMed]
- American College of Radiology. Lung-RADS Version 1.0 Assessment Categories. 2014. Available online: https://www.uoflhealthnetwork.org/documents/lung-rads-categories.pdf (accessed on 4 April 2022).
- Martin, M.D.; Kanne, J.P.; Broderick, L.S.; Kazerooni, E.A.; Meyer, C.A. Lung-RADS: Pushing the Limits. RadioGraphics 2017, 37, 1975–1993. [Google Scholar] [CrossRef]
- American College of Radiology. Lung-RADS Version 1.1. 2019. Available online: https://www.acr.org/-/media/ACR/Files/RADS/Lung-RADS/LungRADSAssessmentCategoriesv1-1.pdf (accessed on 4 April 2022).
- Kastner, J.; Hossain, R.; Jeudy, J.; Dako, F.; Mehta, V.; Dalal, S.; Dharaiya, E.; White, C. Lung-RADS Version 1.0 versus Lung-RADS Version 1.1: Comparison of Categories Using Nodules from the National Lung Screening Trial. Radiology 2021, 300, 199–206. [Google Scholar] [CrossRef]
- MacMahon, H.; Austin, J.H.M.; Gamsu, G.; Herold, C.J.; Jett, J.R.; Naidich, D.P.; Patz, E.F.; Swensen, S.J. Guidelines for Management of Small Pulmonary Nodules Detected on CT Scans: A Statement from the Fleischner Society. Radiology 2005, 237, 395–400. [Google Scholar] [CrossRef]
- Naidich, D.P.; Bankier, A.A.; MacMahon, H.; Schaefer-Prokop, C.M.; Pistolesi, M.; Goo, J.M.; Macchiarini, P.; Crapo, J.D.; Herold, C.J.; Austin, J.H.; et al. Recommendations for the Management of Subsolid Pulmonary Nodules Detected at CT: A Statement from the Fleischner Society. Radiology 2013, 266, 304–317. [Google Scholar] [CrossRef]
- MacMahon, H.; Naidich, D.P.; Goo, J.M.; Lee, K.S.; Leung, A.N.C.; Mayo, J.R.; Mehta, A.C.; Ohno, Y.; Powell, C.A.; Prokop, M.; et al. Guidelines for Management of Incidental Pulmonary Nodules Detected on CT Images: From the Fleischner Society 2017. Radiology 2017, 284, 228–243. [Google Scholar] [CrossRef]
- Panunzio, A.; Sartori, P. Lung Cancer and Radiological Imaging. Curr. Radiopharm. 2020, 13, 238–242. [Google Scholar] [CrossRef]
- Tsao, M.S.; Nicholson, A.G.; Maleszewski, J.J.; Marx, A.; Travis, W.D. Introduction to 2021 WHO Classification of Thoracic Tumors. J. Thorac. Oncol. 2022, 17, e1–e4. [Google Scholar] [CrossRef]
- Chen, Z.; Fillmore, C.M.; Hammerman, P.S.; Kim, C.F.; Wong, K.K. Non-small-cell lung cancers: A heterogeneous set of diseases. Nat. Rev. Cancer 2014, 14, 535–546. [Google Scholar] [CrossRef]
- Davidson, M.R.; Gazdar, A.F.; Clarke, B.E. The pivotal role of pathology in the management of lung cancer. J. Thorac. Dis. 2013, 5, S463. [Google Scholar]
- Han, Y.; Ma, Y.; Wu, Z.; Zhang, F.; Zheng, D.; Liu, X.; Tao, L.; Liang, Z.; Yang, Z.; Li, X.; et al. Histologic subtype classification of non-small cell lung cancer using PET/CT images. Eur. J. Nucl. Med. Mol. Imaging 2020, 48, 350–360. [Google Scholar] [CrossRef]
- Purandare, N.C.; Rangarajan, V. Imaging of lung cancer: Implications on staging and management. Indian J. Radiol. Imaging 2015, 25, 109–120. [Google Scholar] [CrossRef]
- Forster, B.B.; Müller, N.L.; Miller, R.R.; Nelems, B.; Evans, K.G. Neuroendocrine carcinomas of the lung: Clinical, radiologic, and pathologic correlation. Radiology 1989, 170, 441–445. [Google Scholar] [CrossRef]
- Grant, L.A.; Griffin, N. Grainger & Allison’s Diagnostic Radiology Essentials E-Book; Elsevier Health Sciences: London, UK, 2018. [Google Scholar]
- Owonikoko, T.K.; Ragin, C.C.; Belani, C.P.; Oton, A.B.; Gooding, W.E.; Taioli, E.; Ramalingam, S.S. Lung Cancer in Elderly Patients: An Analysis of the Surveillance, Epidemiology, and End Results Database. J. Clin. Oncol. 2007, 25, 5570–5577. [Google Scholar] [CrossRef]
- Okubo, K.; Mark, E.J.; Flieder, D.; Wain, J.C.; Wright, C.D.; Moncure, A.C.; Grillo, H.C.; Mathisen, D.J. Bronchoalveolar carcinoma: Clinical, radiologic, and pathologic factors and survival. J. Thorac. Cardiovasc. Surg. 1999, 118, 702–709. [Google Scholar] [CrossRef]
- de Hoop, B.; Schaefer-Prokop, C.; Gietema, H.A.; de Jong, P.A.; van Ginneken, B.; van Klaveren, R.J.; Prokop, M. Screening for Lung Cancer with Digital Chest Radiography: Sensitivity and Number of Secondary Work-up CT Examinations. Radiology 2010, 255, 629–637. [Google Scholar] [CrossRef]
- Sone, S.; Li, F.; Yang, Z.G.; Takashima, S.; Maruyama, Y.; Hasegawa, M.; Wang, J.C.; Kawakami, S.; Honda, T. Characteristics of small lung cancers invisible on conventional chest radiography and detected by population based screening using spiral CT. Br. J. Radiol. 2000, 73, 137–145. [Google Scholar] [CrossRef]
- Thakur, S.K.; Singh, D.P.; Choudhary, J. Lung cancer identification: A review on detection and classification. Cancer Metastasis Rev. 2020, 39, 989–998. [Google Scholar] [CrossRef] [PubMed]
- Meisinger, Q.C.; Klein, J.S.; Butnor, K.J.; Gentchos, G.; Leavitt, B.J. CT Features of Peripheral Pulmonary Carcinoid Tumors. Am. J. Roentgenol. 2011, 197, 1073–1080. [Google Scholar] [CrossRef] [PubMed]
- Saito, H.; Yamada, K.; Hamanaka, N.; Oshita, F.; Ito, H.; Nakayama, H.; Yokose, T.; Kameda, Y.; Noda, K. Initial Findings and Progression of Lung Adenocarcinoma on Serial Computed Tomography Scans. J. Comput. Assist. Tomogr. 2009, 33, 42–48. [Google Scholar] [CrossRef] [PubMed]
- Swensen, S.J.; Viggiano, R.W.; Midthun, D.E.; Müller, N.L.; Sherrick, A.; Yamashita, K.; Naidich, D.P.; Patz, E.F.; Hartman, T.E.; Muhm, J.R.; et al. Lung Nodule Enhancement at CT: Multicenter Study. Radiology 2000, 214, 73–80. [Google Scholar] [CrossRef] [PubMed]
- Huo, J.W.; Huang, X.T.; Li, X.; Gong, J.W.; Luo, T.Y.; Li, Q. Pneumonic-type lung adenocarcinoma with different ranges exhibiting different clinical, imaging, and pathological characteristics. Insights Imaging 2021, 12, 169. [Google Scholar] [CrossRef] [PubMed]
- McCollough, C.H.; Leng, S.; Yu, L.; Fletcher, J.G. Dual- and Multi-Energy CT: Principles, Technical Approaches, and Clinical Applications. Radiology 2015, 276, 637–653. [Google Scholar] [CrossRef]
- Sellerer, T.; Noël, P.B.; Patino, M.; Parakh, A.; Ehn, S.; Zeiter, S.; Holz, J.A.; Hammel, J.; Fingerle, A.A.; Pfeiffer, F.; et al. Dual-energy CT: A phantom comparison of different platforms for abdominal imaging. Eur. Radiol. 2018, 28, 2745–2755. [Google Scholar] [CrossRef]
- Kim, H.; Goo, J.M.; Kang, C.K.; Chae, K.J.; Park, C.M. Comparison of Iodine Density Measurement Among Dual-Energy Computed Tomography Scanners From 3 Vendors. Investig. Radiol. 2018, 53, 321–327. [Google Scholar] [CrossRef]
- Deniffel, D.; Sauter, A.; Dangelmaier, J.; Fingerle, A.; Rummeny, E.J.; Pfeiffer, D. Differentiating intrapulmonary metastases from different primary tumors via quantitative dual-energy CT based iodine concentration and conventional CT attenuation. Eur. J. Radiol. 2019, 111, 6–13. [Google Scholar] [CrossRef]
- Chen, X.; Xu, Y.; Duan, J.; Li, C.; Sun, H.; Wang, W. Correlation of iodine uptake and perfusion parameters between dual-energy CT imaging and first-pass dual-input perfusion CT in lung cancer. Medicine 2017, 96, e7479. [Google Scholar] [CrossRef]
- Son, J.Y.; Lee, H.Y.; Kim, J.H.; Han, J.; Jeong, J.Y.; Lee, K.S.; Kwon, O.J.; Shim, Y.M. Quantitative CT analysis of pulmonary ground-glass opacity nodules for distinguishing invasive adenocarcinoma from non-invasive or minimally invasive adenocarcinoma: The added value of using iodine mapping. Eur. Radiol. 2015, 26, 43–54. [Google Scholar] [CrossRef]
- Chae, E.J.; Song, J.W.; Krauss, B.; Song, K.S.; Lee, C.W.; Lee, H.J.; Seo, J.B. Dual-energy Computed Tomography Characterization of Solitary Pulmonary Nodules. J. Thorac. Imaging 2010, 25, 301–310. [Google Scholar] [CrossRef] [PubMed]
- Altenbernd, J.; Wetter, A.; Umutlu, L.; Hahn, S.; Ringelstein, A.; Forsting, M.; Lauenstein, T. Dual-energy computed tomography for evaluation of pulmonary nodules with emphasis on metastatic lesions. Acta Radiol. 2015, 57, 437–443. [Google Scholar] [CrossRef] [PubMed]
- Baxa, J.; Vondráková, A.; Matoušková, T.; Růžičková, O.; Schmidt, B.; Flohr, T.; Sedlmair, M.; Ferda, J. Dual-phase dual-energy CT in patients with lung cancer: Assessment of the additional value of iodine quantification in lymph node therapy response. Eur. Radiol. 2014, 24, 1981–1988. [Google Scholar] [CrossRef]
- den Harder, A.M.; Bangert, F.; van Hamersvelt, R.W.; Leiner, T.; Milles, J.; Schilham, A.M.R.; Willemink, M.J.; de Jong, P.A. The Effects of Iodine Attenuation on Pulmonary Nodule Volumetry using Novel Dual-Layer Computed Tomography Reconstructions. Eur. Radiol. 2017, 27, 5244–5251. [Google Scholar] [CrossRef] [PubMed]
- Monnin, P.; Sfameni, N.; Gianoli, A.; Ding, S. Optimal slice thickness for object detection with longitudinal partial volume effects in computed tomography. J. Appl. Clin. Med Phys. 2017, 18, 251–259. [Google Scholar]
- Concatto, N.H.; Watte, G.; Marchiori, E.; Irion, K.; Felicetti, J.C.; Camargo, J.J.; Hochhegger, B. Magnetic resonance imaging of pulmonary nodules: Accuracy in a granulomatous disease–endemic region. Eur. Radiol. 2015, 26, 2915–2920. [Google Scholar] [CrossRef]
- Wang, Y.X.J.; Lo, G.G.; Yuan, J.; Larson, P.E.Z.; Zhang, X. Magnetic resonance imaging for lung cancer screen. J. Thorac. Dis. 2014, 6, 1340. [Google Scholar]
- Dias, A.B.; Zanon, M.; Altmayer, S.; Pacini, G.S.; Concatto, N.H.; Watte, G.; Garcez, A.; Mohammed, T.L.; Verma, N.; Medeiros, T.; et al. Fluorine 18–FDG PET/CT and Diffusion-weighted MRI for Malignant versus Benign Pulmonary Lesions: A Meta-Analysis. Radiology 2019, 290, 525–534. [Google Scholar] [CrossRef]
- Nakajo, M.; Jinguji, M.; Aoki, M.; Tani, A.; Sato, M.; Yoshiura, T. The clinical value of texture analysis of dual-time-point 18F-FDG-PET/CT imaging to differentiate between 18F-FDG-avid benign and malignant pulmonary lesions. Eur. Radiol. 2019, 30, 1759–1769. [Google Scholar] [CrossRef]
- Gould, M.K.; Maclean, C.C.; Kuschner, W.G.; Rydzak, C.E.; Owens, D.K. Accuracy of Positron Emission Tomography for Diagnosis of Pulmonary Nodules and Mass Lesions. JAMA 2001, 285, 914. [Google Scholar] [CrossRef]
- Jeong, S.Y.; Lee, K.S.; Shin, K.M.; Bae, Y.A.; Kim, B.T.; Choe, B.K.; Kim, T.S.; Chung, M.J. Efficacy of PET/CT in the characterization of solid or partly solid solitary pulmonary nodules. Lung Cancer 2008, 61, 186–194. [Google Scholar] [CrossRef] [PubMed]
- Sheikhbahaei, S.; Mena, E.; Yanamadala, A.; Reddy, S.; Solnes, L.B.; Wachsmann, J.; Subramaniam, R.M. The Value of FDG PET/CT in Treatment Response Assessment, Follow-Up, and Surveillance of Lung Cancer. Am. J. Roentgenol. 2017, 208, 420–433. [Google Scholar] [CrossRef]
- van Velden, F.H.P.; Cheebsumon, P.; Yaqub, M.; Smit, E.F.; Hoekstra, O.S.; Lammertsma, A.A.; Boellaard, R. Evaluation of a cumulative SUV-volume histogram method for parameterizing heterogeneous intratumoural FDG uptake in non-small cell lung cancer PET studies. Eur. J. Nucl. Med. Mol. Imaging 2011, 38, 1636–1647. [Google Scholar] [CrossRef]
- Naqa, I.E.; Grigsby, P.; Apte, A.; Kidd, E.; Donnelly, E.; Khullar, D.; Chaudhari, S.; Yang, D.; Schmitt, M.; Laforest, R.; et al. Exploring feature-based approaches in PET images for predicting cancer treatment outcomes. Pattern Recognit. 2009, 42, 1162–1171. [Google Scholar] [CrossRef]
- Lowe, V.J.; Fletcher, J.W.; Gobar, L.; Lawson, M.; Kirchner, P.; Valk, P.; Karis, J.; Hubner, K.; Delbeke, D.; Heiberg, E.V.; et al. Prospective investigation of positron emission tomography in lung nodules. J. Clin. Oncol. 1998, 16, 1075–1084. [Google Scholar] [CrossRef]
- Christensen, J.A.; Nathan, M.A.; Mullan, B.P.; Hartman, T.E.; Swensen, S.J.; Lowe, V.J. Characterization of the Solitary Pulmonary Nodule:18F-FDG PET Versus Nodule-Enhancement CT. Am. J. Roentgenol. 2006, 187, 1361–1367. [Google Scholar] [CrossRef] [PubMed]
- Hashimoto, Y.; Tsujikawa, T.; Kondo, C.; Maki, M.; Momose, M.; Nagai, A.; Ohnuki, T.; Nishikawa, T.; Kusakabe, K. Accuracy of PET for diagnosis of solid pulmonary lesions with 18F-FDG uptake below the standardized uptake value of 2.5. J. Nucl. Med. 2006, 47, 426–431. [Google Scholar]
- Goo, J.M.; Im, J.G.; Do, K.H.; Yeo, J.S.; Seo, J.B.; Kim, H.Y.; Chung, J.K. Pulmonary Tuberculoma Evaluated by Means of FDG PET: Findings in 10 Cases. Radiology 2000, 216, 117–121. [Google Scholar] [CrossRef]
- Igai, H.; Gotoh, M.; Yokomise, H. Computed tomography (CT) and positron emission tomography with [18F] fluoro-2-deoxy-d-glucose (FDG-PET) images of pulmonary cryptococcosis mimicking lung cancer. Eur. J. Cardio-Thorac. Surg. 2006, 30, 837–839. [Google Scholar] [CrossRef]
- Nguyen, N.C.; Kaushik, A.; Wolverson, M.K.; Osman, M.M. Is there a common SUV threshold in oncological FDG PET/CT, at least for some common indications? A retrospective study. Acta Oncol. 2011, 50, 670–677. [Google Scholar] [CrossRef]
- Matthies, A.; Hickeson, M.; Cuchiara, A.; Alavi, A. Dual time point 18F-FDG PET for the evaluation of pulmonary nodules. J. Nucl. Med. 2002, 43, 871–875. [Google Scholar]
- Parghane, R.V.; Basu, S. Dual–time point 18 F-FDG-PET and PET/CT for Differentiating Benign From Malignant Musculoskeletal Lesions: Opportunities and Limitations. Semin. Nucl. Med. 2017, 47, 373–391. [Google Scholar] [CrossRef]
- Suga, K.; Kawakami, Y.; Hiyama, A.; Sugi, K.; Okabe, K.; Matsumoto, T.; Ueda, K.; Tanaka, N.; Matsunaga, N. Dual-time point 18F-FDG PET/CT scan for differentiation between 18F-FDG-avid non-small cell lung cancer and benign lesions. Ann. Nucl. Med. 2009, 23, 427–435. [Google Scholar] [CrossRef]
- Cloran, F.J.; Banks, K.P.; Song, W.S.; Kim, Y.; Bradley, Y.C. Limitations of dual time point PET in the assessment of lung nodules with low FDG avidity. Lung Cancer 2010, 68, 66–71. [Google Scholar] [CrossRef]
- Wild, J.M.; Marshall, H.; Bock, M.; Schad, L.R.; Jakob, P.M.; Puderbach, M.; Molinari, F.; Beek, E.J.R.V.; Biederer, J. MRI of the lung (1/3): Methods. Insights Imaging 2012, 3, 345–353. [Google Scholar] [CrossRef]
- Kumar, S.; Liney, G.; Rai, R.; Holloway, L.; Moses, D.; Vinod, S.K. Magnetic resonance imaging in lung: A review of its potential for radiotherapy. Br. J. Radiol. 2016, 89, 20150431. [Google Scholar] [CrossRef]
- Hatabu, H.; Ohno, Y.; Gefter, W.B.; Parraga, G.; Madore, B.; Lee, K.S.; Altes, T.A.; Lynch, D.A.; Mayo, J.R.; Seo, J.B.; et al. Expanding Applications of Pulmonary MRI in the Clinical Evaluation of Lung Disorders: Fleischner Society Position Paper. Radiology 2020, 297, 286–301. [Google Scholar] [CrossRef]
- Jiang, W.; Ong, F.; Johnson, K.M.; Nagle, S.K.; Hope, T.A.; Lustig, M.; Larson, P.E. Motion robust high resolution 3D free-breathing pulmonary MRI using dynamic 3D image self-navigator. Magn. Reson. Med. 2017, 79, 2954–2967. [Google Scholar] [CrossRef]
- Meier-Schroers, M.; Homsi, R.; Gieseke, J.; Schild, H.H.; Thomas, D. Lung cancer screening with MRI: Evaluation of MRI for lung cancer screening by comparison of LDCT- and MRI-derived Lung-RADS categories in the first two screening rounds. Eur. Radiol. 2018, 29, 898–905. [Google Scholar] [CrossRef]
- Li, B.; Li, Q.; Chen, C.; Guan, Y.; Liu, S. A Systematic Review and Meta-analysis of the Accuracy of Diffusion-weighted MRI in the Detection of Malignant Pulmonary Nodules and Masses. Acad. Radiol. 2014, 21, 21–29. [Google Scholar] [CrossRef] [PubMed]
- Luna, A.; Sánchez-Gonzalez, J.; Caro, P. Diffusion-Weighted Imaging of the Chest. Magn. Reson. Imaging Clin. N. Am. 2011, 19, 69–94. [Google Scholar] [CrossRef] [PubMed]
- Razek, A.A.K.A.; Soliman, N.; Elashery, R. Apparent diffusion coefficient values of mediastinal masses in children. Eur. J. Radiol. 2012, 81, 1311–1314. [Google Scholar] [CrossRef]
- Usuda, K.; Iwai, S.; Yamagata, A.; Sekimura, A.; Motono, N.; Matoba, M.; Doai, M.; Yamada, S.; Ueda, Y.; Hirata, K.; et al. Relationships and Qualitative Evaluation between Diffusion-Weighted Imaging and Pathologic Findings of Resected Lung Cancers. Cancers 2020, 12, 1194. [Google Scholar] [CrossRef]
- Cheran, S.K.; Nielsen, N.D.; Patz, E.F. False-Negative Findings for Primary Lung Tumors on FDG Positron Emission Tomography:Staging and Prognostic Implications. Am. J. Roentgenol. 2004, 182, 1129–1132. [Google Scholar] [CrossRef] [PubMed]
- Usuda, K.; Sagawa, M.; Motono, N.; Ueno, M.; Tanaka, M.; Machida, Y.; Maeda, S.; Matoba, M.; Kuginuki, Y.; Taniguchi, M.; et al. Diagnostic Performance of Diffusion Weighted Imaging of Malignant and Benign Pulmonary Nodules and Masses: Comparison with Positron Emission Tomography. Asian Pac. J. Cancer Prev. 2014, 15, 4629–4635. [Google Scholar] [CrossRef]
- Mori, T.; Nomori, H.; Ikeda, K.; Kawanaka, K.; Shiraishi, S.; Katahira, K.; Yamashita, Y. Diffusion-Weighted Magnetic Resonance Imaging for Diagnosing Malignant Pulmonary Nodules/Masses: Comparison with Positron Emission Tomography. J. Thorac. Oncol. 2008, 3, 358–364. [Google Scholar] [CrossRef] [PubMed]
- Zhang, J.; Cui, L.B.; Tang, X.; Ren, X.L.; Shi, J.R.; Yang, H.N.; Zhang, Y.; Li, Z.K.; Wu, C.G.; Jian, W.; et al. DW MRI at 3.0 T versus FDG PET/CT for detection of malignant pulmonary tumors. Int. J. Cancer 2013, 134, 606–611. [Google Scholar] [CrossRef]
- Nomori, H.; Cong, Y.; Sugimura, H.; Kato, Y. Comparing diffusion-weighted imaging and positron emission tomography for pulmonary nodules measuring from 1 to 3 cm in size. Surg. Today 2015, 45, 1535–1541. [Google Scholar] [CrossRef]
- Wu, L.M.; Xu, J.R.; Hua, J.; Gu, H.Y.; Chen, J.; Haacke, E.; Hu, J. Can diffusion-weighted imaging be used as a reliable sequence in the detection of malignant pulmonary nodules and masses? Magn. Reson. Imaging 2013, 31, 235–246. [Google Scholar] [CrossRef]
- Peerlings, J.; Troost, E.G.C.; Nelemans, P.J.; Cobben, D.C.P.; de Boer, J.C.J.; Hoffmann, A.L.; Beets-Tan, R.G.H. The Diagnostic Value of MR Imaging in Determining the Lymph Node Status of Patients with Non–Small Cell Lung Cancer: A Meta-Analysis. Radiology 2016, 281, 86–98. [Google Scholar] [CrossRef] [PubMed]
- Shen, G.; Hu, S.; Deng, H.; Kuang, A. Performance of DWI in the Nodal Characterization and Assessment of Lung Cancer: A Meta-Analysis. Am. J. Roentgenol. 2016, 206, 283–290. [Google Scholar] [CrossRef]
- Guan, H.X.; Pan, Y.Y.; Wang, Y.J.; Tang, D.Z.; Zhou, S.C.; Xia, L.M. Comparison of Various Parameters of DWI in Distinguishing Solitary Pulmonary Nodules. Curr. Med Sci. 2018, 38, 920–924. [Google Scholar] [CrossRef]
- Colletti, P.M. Reverse Phase Encoding–corrected DWI Improves MRI for PET/MRI of Lung Cancer. Radiology 2020, 295, 701–702. [Google Scholar] [CrossRef] [PubMed]
- Wang, L.L.; Lin, J.; Liu, K.; Chen, C.Z.; Liu, H.; Lv, P.; Fu, C.X.; Zeng, M.S. Intravoxel incoherent motion diffusion-weighted MR imaging in differentiation of lung cancer from obstructive lung consolidation: Comparison and correlation with pharmacokinetic analysis from dynamic contrast-enhanced MR imaging. Eur. Radiol. 2014, 24, 1914–1922. [Google Scholar] [CrossRef]
- Xiao, Z.; Zhong, Y.; Tang, Z.; Qiang, J.; Qian, W.; Wang, R.; Wang, J.; Wu, L.; Tang, W.; Zhang, Z. Standard diffusion-weighted, diffusion kurtosis and intravoxel incoherent motion MR imaging of sinonasal malignancies: Correlations with Ki-67 proliferation status. Eur. Radiol. 2018, 28, 2923–2933. [Google Scholar] [CrossRef] [PubMed]
- Wen, S.; Zhou, W.; Li, C.M.; Hu, J.; Hu, X.M.; Chen, P.; Shao, G.L.; Guo, W.H. Ki-67 as a prognostic marker in early-stage non-small cell lung cancer in Asian patients: A meta-analysis of published studies involving 32 studies. BMC Cancer 2015, 15, 520. [Google Scholar] [CrossRef]
- Wei, D.M.; Chen, W.J.; Meng, R.M.; Zhao, N.; Zhang, X.Y.; Liao, D.Y.; Chen, G. Augmented expression of Ki-67 is correlated with clinicopathological characteristics and prognosis for lung cancer patients: An up-dated systematic review and meta-analysis with 108 studies and 14,732 patients. Respir. Res. 2018, 19, 150. [Google Scholar] [CrossRef]
- Besusparis, J.; Plancoulaine, B.; Rasmusson, A.; Augulis, R.; Green, A.R.; Ellis, I.O.; Laurinaviciene, A.; Herlin, P.; Laurinavicius, A. Impact of tissue sampling on accuracy of Ki67 immunohistochemistry evaluation in breast cancer. Diagn. Pathol. 2016, 11, 82. [Google Scholar] [CrossRef] [PubMed]
- Zheng, Y.; Huang, W.; Zhang, X.; Lu, C.; Fu, C.; Li, S.; Lin, G. A Noninvasive Assessment of Tumor Proliferation in Lung cancer Patients using Intravoxel Incoherent Motion Magnetic Resonance Imaging. J. Cancer 2021, 12, 190–197. [Google Scholar] [CrossRef]
- Kono, R.; Fujimoto, K.; Terasaki, H.; Müller, N.L.; Kato, S.; Sadohara, J.; Hayabuchi, N.; Takamori, S. Dynamic MRI of Solitary Pulmonary Nodules: Comparison of Enhancement Patterns of Malignant and Benign Small Peripheral Lung Lesions. Am. J. Roentgenol. 2007, 188, 26–36. [Google Scholar] [CrossRef]
- Schaefer, J.F.; Vollmar, J.; Schick, F.; Vonthein, R.; Seemann, M.D.; Aebert, H.; Dierkesmann, R.; Friedel, G.; Claussen, C.D. Solitary Pulmonary Nodules: Dynamic Contrast-enhanced MR Imaging—Perfusion Differences in Malignant and Benign Lesions. Radiology 2004, 232, 544–553. [Google Scholar] [CrossRef] [PubMed]
- Ohno, Y.; Nishio, M.; Koyama, H.; Seki, S.; Tsubakimoto, M.; Fujisawa, Y.; Yoshikawa, T.; Matsumoto, S.; Sugimura, K. Solitary Pulmonary Nodules: Comparison of Dynamic First-Pass Contrast-enhanced Perfusion Area-Detector CT, Dynamic First-Pass Contrast-enhanced MR Imaging, and FDG PET/CT. Radiology 2015, 274, 563–575. [Google Scholar] [CrossRef]
- Koyama, H.; Ohno, Y.; Seki, S.; Nishio, M.; Yoshikawa, T.; Matsumoto, S.; Sugimura, K. Magnetic Resonance Imaging for Lung Cancer. J. Thorac. Imaging 2013, 28, 138–150. [Google Scholar] [CrossRef]
- Zou, Y.; Zhang, M.; Wang, Q.; Shang, D.; Wang, L.; Yu, G. Quantitative Investigation of Solitary Pulmonary Nodules: Dynamic Contrast-Enhanced MRI and Histopathologic Analysis. Am. J. Roentgenol. 2008, 191, 252–259. [Google Scholar] [CrossRef]
- Roos, J.E.; McAdams, H.P.; Kaushik, S.S.; Driehuys, B. Hyperpolarized Gas MR Imaging. Magn. Reson. Imaging Clin. N. Am. 2015, 23, 217–229. [Google Scholar] [CrossRef] [PubMed]
- McMahon, C.J.; Dodd, J.D.; Hill, C.; Woodhouse, N.; Wild, J.M.; Fichele, S.; Gallagher, C.G.; Skehan, S.J.; van Beek, E.J.R.; Masterson, J.B. Hyperpolarized 3helium magnetic resonance ventilation imaging of the lung in cystic fibrosis: Comparison with high resolution CT and spirometry. Eur. Radiol. 2006, 16, 2483–2490. [Google Scholar] [CrossRef]
- Mathew, L.; Wheatley, A.; Castillo, R.; Castillo, E.; Rodrigues, G.; Guerrero, T.; Parraga, G. Hyperpolarized 3He Magnetic Resonance Imaging. Acad. Radiol. 2012, 19, 1546–1553. [Google Scholar] [CrossRef] [PubMed]
- Ireland, R.H.; Bragg, C.M.; McJury, M.; Woodhouse, N.; Fichele, S.; van Beek, E.J.; Wild, J.M.; Hatton, M.Q. Feasibility of Image Registration and Intensity-Modulated Radiotherapy Planning With Hyperpolarized Helium-3 Magnetic Resonance Imaging for Non–Small-Cell Lung Cancer. Int. J. Radiat. Oncol. Biol. Phys. 2007, 68, 273–281. [Google Scholar] [CrossRef]
- Li, B.; Li, Q.; Nie, W.; Liu, S. Diagnostic value of whole-body diffusion-weighted magnetic resonance imaging for detection of primary and metastatic malignancies: A meta-analysis. Eur. J. Radiol. 2014, 83, 338–344. [Google Scholar] [CrossRef]
- Medeiros, T.M.; Altmayer, S.; Watte, G.; Zanon, M.; Dias, A.B.; Concatto, N.H.; Paes, J.H.; Mattiello, R.; de Souza Santos, F.; Mohammed, T.L.; et al. 18F-FDG PET/CT and whole-body MRI diagnostic performance in M staging for non–small cell lung cancer: A systematic review and meta-analysis. Eur. Radiol. 2020, 30, 3641–3649. [Google Scholar] [CrossRef] [PubMed]
- Lee, D.H.; Lee, J.M. Whole-body PET/MRI for colorectal cancer staging: Is it the way forward? J. Magn. Reson. Imaging 2016, 45, 21–35. [Google Scholar] [CrossRef] [PubMed]
- Dahlsgaard-Wallenius, S.E.; Hildebrandt, M.G.; Johansen, A.; Vilstrup, M.H.; Petersen, H.; Gerke, O.; Høilund-Carlsen, P.F.; Morsing, A.; Andersen, T.L. Hybrid PET/MRI in non-small cell lung cancer (NSCLC) and lung nodules—A literature review. Eur. J. Nucl. Med. Mol. Imaging 2020, 48, 584–591. [Google Scholar] [CrossRef]
- Brierley, J.D.; Gospodarowicz, M.K.; Wittekind, C. TNM Classification of Malignant Tumours; John Wiley & Sons: Hoboken, NJ, USA, 2017. [Google Scholar]
- Feng, S.H.; Yang, S.T. The new 8th TNM staging system of lung cancer and its potential imaging interpretation pitfalls and limitations with CT image demonstrations. Diagn. Interv. Radiol. 2019, 25, 270–279. [Google Scholar] [CrossRef] [PubMed]
- Travis, W.D.; Asamura, H.; Bankier, A.A.; Beasley, M.B.; Detterbeck, F.; Flieder, D.B.; Goo, J.M.; MacMahon, H.; Naidich, D.; Nicholson, A.G.; et al. The IASLC Lung Cancer Staging Project: Proposals for Coding T Categories for Subsolid Nodules and Assessment of Tumor Size in Part-Solid Tumors in the Forthcoming Eighth Edition of the TNM Classification of Lung Cancer. J. Thorac. Oncol. 2016, 11, 1204–1223. [Google Scholar] [CrossRef]
- Kajiwara, N.; Akata, S.; Uchida, O.; Usuda, J.; Ohira, T.; Kawate, N.; Ikeda, N. Cine MRI enables better therapeutic planning than CT in cases of possible lung cancer chest wall invasion. Lung Cancer 2010, 69, 203–208. [Google Scholar] [CrossRef] [PubMed]
- Rami-Porta, R.; Call, S.; Dooms, C.; Obiols, C.; Sánchez, M.; Travis, W.D.; Vollmer, I. Lung cancer staging: A concise update. Eur. Respir. J. 2018, 51, 1800190. [Google Scholar] [CrossRef]
- Goldstraw, P.; Chansky, K.; Crowley, J.; Rami-Porta, R.; Asamura, H.; Eberhardt, W.E.; Nicholson, A.G.; Groome, P.; Mitchell, A.; Bolejack, V.; et al. The IASLC Lung Cancer Staging Project: Proposals for Revision of the TNM Stage Groupings in the Forthcoming (Eighth) Edition of the TNM Classification for Lung Cancer. J. Thorac. Oncol. 2016, 11, 39–51. [Google Scholar] [CrossRef]
- Mb, A. American Cancer Society. In AJCC Cancer Staging Manual, 8th ed.; American Joint Committee on Cancer: Chicago, IL, USA, 2017. [Google Scholar]
- Asamura, H.; Chansky, K.; Crowley, J.; Goldstraw, P.; Rusch, V.W.; Vansteenkiste, J.F.; Watanabe, H.; Wu, Y.L.; Zielinski, M.; Ball, D.; et al. The International Association for the Study of Lung Cancer Lung Cancer Staging Project. J. Thorac. Oncol. 2015, 10, 1675–1684. [Google Scholar] [CrossRef]
- Zhao, L.; He, Z.Y.; Zhong, X.N.; Cui, M.L. 18FDG-PET/CT for detection of mediastinal nodal metastasis in non-small cell lung cancer: A meta-analysis. Surg. Oncol. 2012, 21, 230–236. [Google Scholar] [CrossRef]
- Wu, L.M.; Xu, J.R.; Gu, H.Y.; Hua, J.; Chen, J.; Zhang, W.; Haacke, E.M.; Hu, J. Preoperative mediastinal and hilar nodal staging with diffusion-weighted magnetic resonance imaging and fluorodeoxyglucose positron emission tomography/computed tomography in patients with non–small-cell lung cancer: Which is better? J. Surg. Res. 2012, 178, 304–314. [Google Scholar] [CrossRef] [PubMed]
- Pauls, S.; Schmidt, S.A.; Juchems, M.S.; Klass, O.; Luster, M.; Reske, S.N.; Brambs, H.J.; Feuerlein, S. Diffusion-weighted MR imaging in comparison to integrated [18F]-FDG PET/CT for N-staging in patients with lung cancer. Eur. J. Radiol. 2012, 81, 178–182. [Google Scholar] [CrossRef]
- Milovanovic, I.; Stjepanovic, M.; Mitrovic, D. Distribution patterns of the metastases of the lung carcinoma in relation to histological type of the primary tumor: An autopsy study. Ann. Thorac. Med. 2017, 12, 191. [Google Scholar] [CrossRef] [PubMed]
- Millon, D.; Byl, D.; Collard, P.; Cambier, S.E.; Maanen, A.G.V.; Vlassenbroek, A.; Coche, E.E. Could new reconstruction CT techniques challenge MRI for the detection of brain metastases in the context of initial lung cancer staging? Eur. Radiol. 2017, 28, 770–779. [Google Scholar] [CrossRef] [PubMed]
- Kara, P.O.; Kara, T.; Gedik, G.K.; Kara, F.; Sahin, O.; Gunay, E.C.; Sari, O. The role of fluorodeoxyglucose-positron emission tomography/computed tomography in differentiating between benign and malignant adrenal lesions. Nucl. Med. Commun. 2011, 32, 106–112. [Google Scholar] [CrossRef] [PubMed]
- Nishino, M.; Hatabu, H.; Johnson, B.E.; McLoud, T.C. State of the art: Response assessment in lung cancer in the era of genomic medicine. Radiology 2014, 271, 6–27. [Google Scholar] [CrossRef] [PubMed]
- Wahl, R.L.; Jacene, H.; Kasamon, Y.; Lodge, M.A. From RECIST to PERCIST: Evolving Considerations for PET Response Criteria in Solid Tumors. J. Nucl. Med. 2009, 50, 122S–150S. [Google Scholar] [CrossRef]
- Usuda, K.; Iwai, S.; Funasaki, A.; Sekimura, A.; Motono, N.; Matoba, M.; Doai, M.; Yamada, S.; Ueda, Y.; Uramoto, H. Diffusion-weighted magnetic resonance imaging is useful for the response evaluation of chemotherapy and/or radiotherapy to recurrent lesions of lung cancer. Transl. Oncol. 2019, 12, 699–704. [Google Scholar] [CrossRef]
- William, W.N.; Pataer, A.; Kalhor, N.; Correa, A.M.; Rice, D.C.; Wistuba, I.I.; Heymach, J.; Lee, J.J.; Kim, E.S.; Munden, R.; et al. Computed Tomography RECIST Assessment of Histopathologic Response and Prediction of Survival in Patients with Resectable Non–Small-Cell Lung Cancer after Neoadjuvant Chemotherapy. J. Thorac. Oncol. 2013, 8, 222–228. [Google Scholar] [CrossRef] [PubMed]
- Dunlap, N.E.; Yang, W.; McIntosh, A.; Sheng, K.; Benedict, S.H.; Read, P.W.; Larner, J.M. Computed Tomography-Based Anatomic Assessment Overestimates Local Tumor Recurrence in Patients with Mass-like Consolidation After Stereotactic Body Radiotherapy for Early-Stage Non-Small Cell Lung Cancer. Int. J. Radiat. Oncol. Biol. Phys. 2012, 84, 1071–1077. [Google Scholar] [CrossRef]
- Wang, J.; Wong, K.K.; Piert, M.; Stanton, P.; Frey, K.A.; Kong, F.M. Metabolic response assessment with 18F-FDG PET/CT: Inter-method comparison and prognostic significance for patients with non-small cell lung cancer. J. Radiat. Oncol. 2015, 4, 249–256. [Google Scholar] [CrossRef][Green Version]
- Na, F.; Wang, J.; Li, C.; Deng, L.; Xue, J.; Lu, Y. Primary Tumor Standardized Uptake Value Measured on F18-Fluorodeoxyglucose Positron Emission Tomography Is of Prediction Value for Survival and Local Control in Non–Small-Cell Lung Cancer Receiving Radiotherapy: Meta-Analysis. J. Thorac. Oncol. 2014, 9, 834–842. [Google Scholar] [CrossRef] [PubMed]
- Ohno, Y.; Koyama, H.; Yoshikawa, T.; Matsumoto, K.; Aoyama, N.; Onishi, Y.; Sugimura, K. Diffusion-Weighted MRI Versus 18F-FDG PET/CT: Performance as Predictors of Tumor Treatment Response and Patient Survival in Patients With Non–Small Cell Lung Cancer Receiving Chemoradiotherapy. Am. J. Roentgenol. 2012, 198, 75–82. [Google Scholar] [CrossRef]
- Yabuuchi, H.; Hatakenaka, M.; Takayama, K.; Matsuo, Y.; Sunami, S.; Kamitani, T.; Jinnouchi, M.; Sakai, S.; Nakanishi, Y.; Honda, H. Non–Small Cell Lung Cancer: Detection of Early Response to Chemotherapy by Using Contrast-enhanced Dynamic and Diffusion-weighted MR Imaging. Radiology 2011, 261, 598–604. [Google Scholar] [CrossRef] [PubMed]
- Nunes, T.F.; Szejnfeld, D.; Szejnfeld, J.; Kater, C.E.; Faintuch, S.; Castro, C.H.M.; Goldman, S.M. Assessment of Early Treatment Response With DWI After CT-Guided Radiofrequency Ablation of Functioning Adrenal Adenomas. Am. J. Roentgenol. 2016, 207, 804–810. [Google Scholar] [CrossRef] [PubMed]
- Park, H.; Sholl, L.M.; Hatabu, H.; Awad, M.M.; Nishino, M. Imaging of Precision Therapy for Lung Cancer: Current State of the Art. Radiology 2019, 293, 15–29. [Google Scholar] [CrossRef] [PubMed]
- Gazdar, A.F. Personalized Medicine and Inhibition of EGFR Signaling in Lung Cancer. N. Engl. J. Med. 2009, 361, 1018–1020. [Google Scholar] [CrossRef]
- Nishino, M.; Jackman, D.M.; Hatabu, H.; Jänne, P.A.; Johnson, B.E.; den Abbeele, A.D.V. Imaging of Lung Cancer in the Era of Molecular Medicine. Acad. Radiol. 2011, 18, 424–436. [Google Scholar] [CrossRef]
- Keedy, V.L.; Temin, S.; Somerfield, M.R.; Beasley, M.B.; Johnson, D.H.; McShane, L.M.; Milton, D.T.; Strawn, J.R.; Wakelee, H.A.; Giaccone, G. American Society of Clinical Oncology Provisional Clinical Opinion: Epidermal Growth Factor Receptor (EGFR) Mutation Testing for Patients With Advanced Non–Small-Cell Lung Cancer Considering First-Line EGFR Tyrosine Kinase Inhibitor Therapy. J. Clin. Oncol. 2011, 29, 2121–2127. [Google Scholar] [CrossRef]
- Kwak, E.L.; Bang, Y.J.; Camidge, D.R.; Shaw, A.T.; Solomon, B.; Maki, R.G.; Ou, S.H.I.; Dezube, B.J.; Jänne, P.A.; Costa, D.B.; et al. Anaplastic Lymphoma Kinase Inhibition in Non–Small-Cell Lung Cancer. N. Engl. J. Med. 2010, 363, 1693–1703. [Google Scholar] [CrossRef]
- Ettinger, D.S.; Akerley, W.; Borghaei, H.; Chang, A.C.; Cheney, R.T.; Chirieac, L.R.; D’Amico, T.A.; Demmy, T.L.; Ganti, A.K.P.; Govindan, R.; et al. Non–Small Cell Lung Cancer. J. Natl. Compr. Cancer Netw. 2012, 10, 1236–1271. [Google Scholar] [CrossRef] [PubMed]



| T Descriptor | |
|---|---|
| Tis (AIS) | Pure GGN is ≤3.0 cm. |
| T1mi | Less than or equal to cm solid part in tumor total size cm. |
| T1a | cm solid part in tumor size cm. |
| Pure GGN is greater than 3 cm. | |
| ≤1 cm solid tumor. | |
| T1b | cm solid part in tumor size less than or equal to cm. |
| Greater than cm solid tumor. | |
| T1c | cm solid part in tumor size less than or equal to cm. |
| Greater than cm solid tumor. | |
| T2a | cm. |
| Invades main bronchus (no carinal involvement). | |
| T2b | cm. |
| Total/partial atelectasis, pneumonitis. | |
| Involves visceral pleura (PL1 or PL2). | |
| T3 | cm. |
| Tumor nodule in the same lobe as the primary tumor. | |
| Directly invades any of the following: chest wall, parietal pleura (PL3), parietal pericardium, or phrenic nerve. | |
| T4 | Greater than 7.0 cm. |
| Tumor nodule in different ipsilateral lobe than that of primary tumor. | |
| Directly invades any of the following: diaphragm, mediastinum, trachea, carina, great vessels, heart, recurrent laryngeal nerve, esophagus, or vertebral body. | |
| N Descriptor | |
| N0 | No LN metastasis. |
| N1 | Metastasis to ipsilateral peribronchial, intrapulmonary, or hilar LNs. |
| N2 | Metastasis to ipsilateral mediastinal or subcarinal LNs. |
| N3 | Metastasis to ipsilateral or contralateral supraclavicular/scalene LNs. |
| Metastasis to contralateral mediastinal, hilar LNs. | |
| M Descriptor | |
| M0 | No distant metastasis. |
| M1a | Malignant pleural effusion or pericardial effusion. |
| Contralateral lung nodules/pleural nodules. | |
| M1b | Single extrathoracic metastasis. |
| M1c | Multiple extrathoracic metastasis. |
| Stage | M | N | T |
|---|---|---|---|
| 0 | M0 | N0 | Tis |
| IA1 | M0 | N0 | T1mi |
| M0 | N0 | T1a | |
| IA2 | M0 | N0 | T1b |
| IA3 | M0 | N0 | T1c |
| IB | M0 | N0 | T2a |
| IIA | M0 | N0 | T2b |
| IIB | M0 | N1 | T1a, b, c |
| M0 | N1 | T2a, b | |
| M0 | N0 | T3 | |
| IIIA | M0 | N2 | T1a, b, c |
| M0 | N2 | T2a, b | |
| M0 | N1 | T3 | |
| M0 | N0 | T4 | |
| M0 | NI | T4 | |
| IIIB | M0 | N3 | T1a, b, c |
| M0 | N3 | T2a, b | |
| M0 | N2 | T3 | |
| M0 | N2 | T4 | |
| IIIC | M0 | N3 | T3 |
| M0 | N3 | T4 | |
| IVA | M1a | Any N | Any T |
| M1b | Any N | Any T | |
| IVB | M1c | Any N | Any T |
Publisher’s Note: MDPI stays neutral with regard to jurisdictional claims in published maps and institutional affiliations. |
© 2022 by the authors. Licensee MDPI, Basel, Switzerland. This article is an open access article distributed under the terms and conditions of the Creative Commons Attribution (CC BY) license (https://creativecommons.org/licenses/by/4.0/).
Share and Cite
Batouty, N.M.; Saleh, G.A.; Sharafeldeen, A.; Kandil, H.; Mahmoud, A.; Shalaby, A.; Yaghi, M.; Khelifi, A.; Ghazal, M.; El-Baz, A. State of the Art: Lung Cancer Staging Using Updated Imaging Modalities. Bioengineering 2022, 9, 493. https://doi.org/10.3390/bioengineering9100493
Batouty NM, Saleh GA, Sharafeldeen A, Kandil H, Mahmoud A, Shalaby A, Yaghi M, Khelifi A, Ghazal M, El-Baz A. State of the Art: Lung Cancer Staging Using Updated Imaging Modalities. Bioengineering. 2022; 9(10):493. https://doi.org/10.3390/bioengineering9100493
Chicago/Turabian StyleBatouty, Nihal M., Gehad A. Saleh, Ahmed Sharafeldeen, Heba Kandil, Ali Mahmoud, Ahmed Shalaby, Maha Yaghi, Adel Khelifi, Mohammed Ghazal, and Ayman El-Baz. 2022. "State of the Art: Lung Cancer Staging Using Updated Imaging Modalities" Bioengineering 9, no. 10: 493. https://doi.org/10.3390/bioengineering9100493
APA StyleBatouty, N. M., Saleh, G. A., Sharafeldeen, A., Kandil, H., Mahmoud, A., Shalaby, A., Yaghi, M., Khelifi, A., Ghazal, M., & El-Baz, A. (2022). State of the Art: Lung Cancer Staging Using Updated Imaging Modalities. Bioengineering, 9(10), 493. https://doi.org/10.3390/bioengineering9100493

