Radiomics and Deep Features: Robust Classification of Brain Hemorrhages and Reproducibility Analysis Using a 3D Autoencoder Neural Network
Abstract
1. Introduction
2. Materials and Methods
2.1. Research Participant Selection and CT Imaging Approach
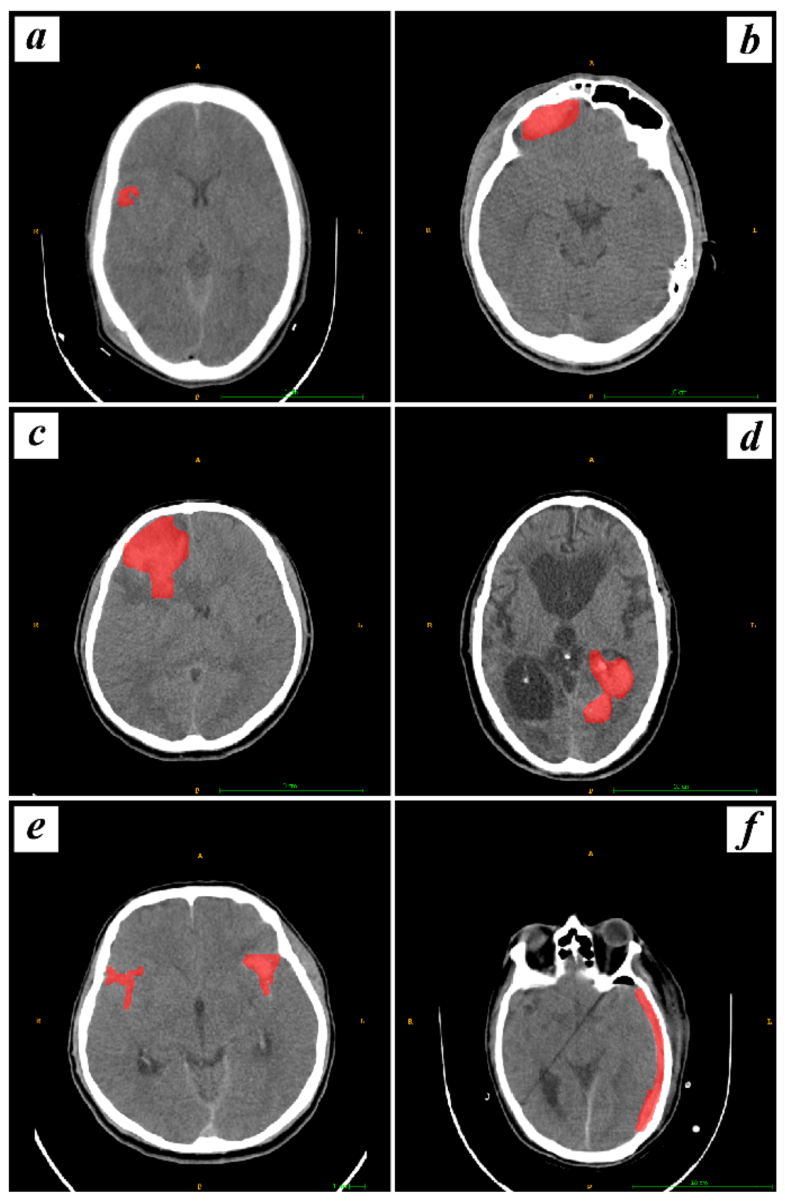
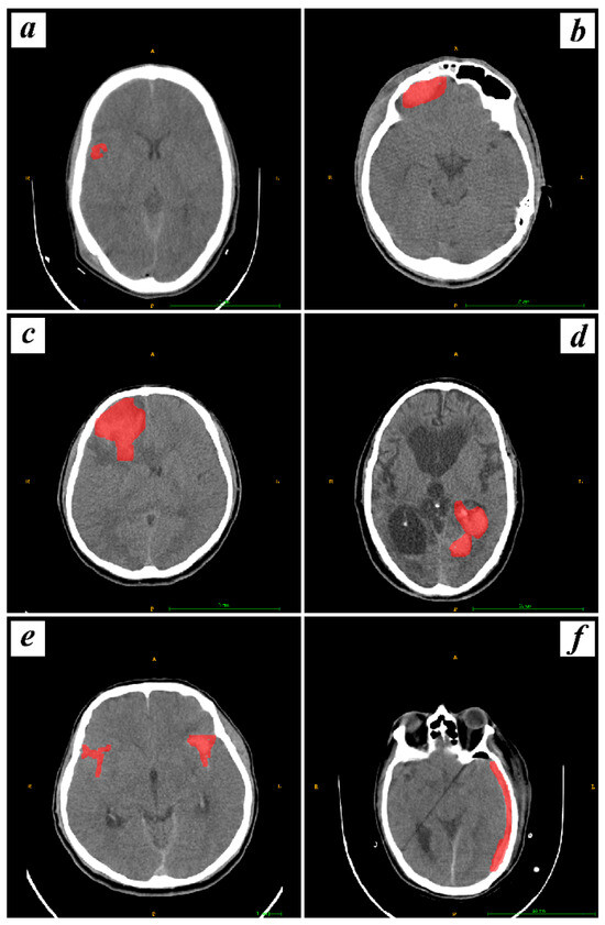
2.2. Segmentation of Intracranial Hemorrhage
2.3. Radiomics and Deep Features (Features Extracted from a 3D Autoencoder) Extraction
- Loss Function: The binary cross-entropy loss function was minimized to train the autoencoder.
- Optimization Algorithm: The Adam optimization algorithm was used for its adaptive learning rate capabilities.
- Learning Rate: The learning rate was carefully set to 0.001 to balance convergence speed and optimization stability.
- Number of Epochs: The training process spanned 20 epochs.
- Batch Size: A batch size of 8 was employed during training.
- Dataset: The dataset utilized for training and validation included all available 3D CT images, ensuring comprehensive representation. The data were randomly split into training and testing sets with a 70:30 ratio. Finally, the bootstrapping technique was utilized.
- Feature Extraction: A total of 15,680 features were extracted from the bottleneck layer of the 3D autoencoder model.
2.4. Assessment of Reproducibility, Feature Selection, and Classification
3. Results
3.1. Demographic Characteristics and Imaging Finding
3.2. Analyzing Radiomics Features and Classifiers Performance
3.2.1. Analyzing RFs Based on ICC
- I. Poor Reliability Category:
- II. Moderate Reliability Category:
- III. Good Reliability Category:
- IV. Excellent Reliability Category:
3.2.2. Classifiers Performance for RFs
3.3. Analyzing Deep Features and Classifiers Performance
3.4. Wilcoxon Signed-Rank Test for RFs and DFs
4. Discussion
5. Conclusions
Author Contributions
Funding
Institutional Review Board Statement
Informed Consent Statement
Data Availability Statement
Acknowledgments
Conflicts of Interest
References
- Little, J.R.; Dial, B.; Bélanger, G.; Carpenter, S. Brain hemorrhage from intracranial tumor. Stroke 1979, 10, 283–288. [Google Scholar] [CrossRef] [PubMed]
- Hanley, D.F. Intraventricular hemorrhage: Severity factor and treatment target in spontaneous intracerebral hemorrhage. Stroke. 2009, 40, 1533–1538. [Google Scholar] [CrossRef] [PubMed]
- Weisberg, L.A. How to identify and manage brain hemorrhage. Postgrad. Med. 1990, 88, 169–175. [Google Scholar] [CrossRef] [PubMed]
- Kidwell, C.S.; Chalela, J.; Saver, J.L.; Hill, M.D.; Demchuk, A.; Butman, J.; Warach, S. Comparison of MRI and CT for detection of acute intracerebral hemorrhage. JAMA 2004, 292, 1823–1830. [Google Scholar] [CrossRef] [PubMed]
- Heit, J.J.; Iv, M.; Wintermark, M. Imaging of intracranial hemorrhage. J. Stroke 2017, 19, 11. [Google Scholar] [CrossRef] [PubMed]
- Rao, B.; Zohrabian, V.; Cedeno, P.; Saha, A.; Pahade, J.; Davis, M.A. Utility of artificial intelligence tool as a prospective radiology peer reviewer—Detection of unreported intracranial hemorrhage. Acad. Radiol. 2021, 28, 85–93. [Google Scholar] [CrossRef] [PubMed]
- Chan, T. Computer aided detection of small acute intracranial hemorrhage on computer tomography of brain. Comput. Med. Imaging Graph. 2007, 31, 285–298. [Google Scholar] [CrossRef] [PubMed]
- Matsoukas, S.; Scaggiante, J.; Schuldt, B.R.; Smith, C.J.; Chennareddy, S.; Kalagara, R.; Majidi, S.; Bederson, J.B.; Fifi, J.T.; Mocco, J.; et al. Accuracy of artificial intelligence for the detection of intracranial hemorrhage and chronic cerebral microbleeds: A systematic review and pooled analysis. La Radiol. Medica 2022, 127, 1106–1123. [Google Scholar] [CrossRef] [PubMed]
- Parizel, P.; Makkat, S.; Van Miert, E.; Van Goethem, J.; Van den Hauwe, L.; De Schepper, A. Intracranial hemorrhage: Principles of CT and MRI interpretation. Eur. Radiol. 2001, 11, 1770–1783. [Google Scholar] [CrossRef] [PubMed]
- Zhang, G.; Chen, K.; Xu, S.; Cho, P.C.; Nan, Y.; Zhou, X.; Lv, C.; Li, C.; Xie, G. Lesion synthesis to improve intracranial hemorrhage detection and classification for CT images. Comput. Med. Imaging Graph. 2021, 90, 101929. [Google Scholar] [CrossRef]
- Tan, A.P.; Svrckova, P.; Cowan, F.; Chong, W.K.; Mankad, K. Intracranial hemorrhage in neonates: A review of etiologies, patterns and predicted clinical outcomes. Eur. J. Paediatr. Neurol. 2018, 22, 690–717. [Google Scholar] [CrossRef]
- Ikram, M.A.; Wieberdink, R.G.; Koudstaal, P.J. International epidemiology of intracerebral hemorrhage. Curr. Atheroscler. Rep. 2012, 14, 300–306. [Google Scholar] [CrossRef]
- Fadavi, P.; Bagherzadeh, S.; Torabinezhad, F.; Goli-Ahmadabad, F.; Beiki, M.; Bijari, S.; Sayfollahi, S.; Momeni, Z. Long-term study of vocal dysfunction and quality of life in patients with non-laryngeal head and neck cancers post chemo-radiation therapy: Results of prospective analysis. Int. J. Radiat. Res. 2023, 21, 227–232. [Google Scholar]
- Rezaeijo, S.M.; Chegeni, N.; Baghaei Naeini, F.; Makris, D.; Bakas, S. Within-modality synthesis and novel radiomic evaluation of brain MRI scans. Cancers 2023, 15, 3565. [Google Scholar] [CrossRef]
- Fatan, M.; Hosseinzadeh, M.; Askari, D.; Sheikhi, H.; Rezaeijo, S.M.; Salmanpour, M.R. Fusion-based head and neck tumor segmentation and survival prediction using robust deep learning techniques and advanced hybrid machine learning systems. In 3D Head and Neck Tumor Segmentation in PET/CT Challenge; Springer International Publishing: Cham, Switzerland, 2021; pp. 211–223. [Google Scholar]
- Pham, C.H.; Tor-Díez, C.; Meunier, H.; Bednarek, N.; Fablet, R.; Passat, N.; Rousseau, F. Multiscale brain MRI super-resolution using deep 3D convolutional networks. Comput. Med. Imaging Graph. 2019, 77, 101647. [Google Scholar] [CrossRef]
- Bijari, S.; Jahanbakhshi, A.; Hajishafiezahramini, P.; Abdolmaleki, P. Differentiating glioblastoma multiforme from brain metastases using multidimensional radiomics features derived from MRI and multiple machine learning models. BioMed Res. Int. 2022, 28, 2022. [Google Scholar] [CrossRef] [PubMed]
- Bijari, S.; Jahanbakhshi, A.; Abdolmaleki, P. Non-invasive radiomics nomogram model for determining the low and high-grade glioma base on MRI images. Int. J. Radiat. Res. 2023, 21, 275–280. [Google Scholar]
- Whybra, P.; Zwanenburg, A.; Andrearczyk, V.; Schaer, R.; Apte, A.P.; Ayotte, A.; Baheti, B.; Bakas, S.; Bettinelli, A.; Boellaard, R.; et al. The image biomarker standardization initiative: Standardized convolutional filters for reproducible radiomics and enhanced clinical insights. Radiology 2024, 310, e231319. [Google Scholar] [CrossRef] [PubMed]
- Salmanpour, M.R.; Hosseinzadeh, M.; Akbari, A.; Borazjani, K.; Mojallal, K.; Askari, D.; Hajianfar, G.; Rezaeijo, S.M.; Ghaemi, M.M.; Nabizadeh, A.H.; et al. Prediction of TNM stage in head and neck cancer using hybrid machine learning systems and radiomics features. In Proceedings of the Medical Imaging 2022: Computer-Aided Diagnosis, San Diego, CA, USA, 4 April 2022; Volume 12033, pp. 648–653. [Google Scholar]
- Hosseinzadeh, M.; Gorji, A.; Fathi Jouzdani, A.; Rezaeijo, S.M.; Rahmim, A.; Salmanpour, M.R. Prediction of Cognitive Decline in Parkinson’s Disease Using Clinical and DAT SPECT Imaging Features, and Hybrid Machine Learning Systems. Diagnostics 2023, 13, 1691. [Google Scholar] [CrossRef]
- Heydarheydari, S.; Birgani, M.J.; Rezaeijo, S.M. Auto-segmentation of head and neck tumors in positron emission tomography images using non-local means and morphological frameworks. Pol. J. Radiol. 2023, 88, e365. [Google Scholar] [CrossRef]
- Shahzadi, I.; Zwanenburg, A.; Lattermann, A.; Linge, A.; Baldus, C.; Peeken, J.C.; Combs, S.E.; Diefenhardt, M.; Rödel, C.; Kirste, S.; et al. Analysis of MRI and CT-based radiomics features for personalized treatment in locally advanced rectal cancer and external validation of published radiomics models. Sci. Rep. 2022, 12, 10192. [Google Scholar] [CrossRef]
- Xue, C.; Yuan, J.; Lo, G.G.; Chang, A.T.; Poon, D.M.; Wong, O.L.; Zhou, Y.; Chu, W.C. Radiomics feature reliability assessed by intraclass correlation coefficient: A systematic review. Quant. Imaging Med. Surg. 2021, 11, 4431. [Google Scholar] [CrossRef]
- Fiset, S.; Welch, M.L.; Weiss, J.; Pintilie, M.; Conway, J.L.; Milosevic, M.; Fyles, A.; Traverso, A.; Jaffray, D.; Metser, U.; et al. Repeatability and reproducibility of MRI-based radiomic features in cervical cancer. Radiother. Oncol. 2019, 135, 107–114. [Google Scholar] [CrossRef]
- Pavic, M.; Bogowicz, M.; Würms, X.; Glatz, S.; Finazzi, T.; Riesterer, O.; Roesch, J.; Rudofsky, L.; Friess, M.; Veit-Haibach, P.; et al. Influence of inter-observer delineation variability on radiomics stability in different tumor sites. Acta Oncol. 2018, 57, 1070–1074. [Google Scholar] [CrossRef]
- Xue, C.; Yuan, J.; Poon, D.M.; Zhou, Y.; Yang, B.; Yu, S.K.; Cheung, Y.K. Reliability of MRI radiomics features in MR-guided radiotherapy for prostate cancer: Repeatability, reproducibility, and within-subject agreement. Med. Phys. 2021, 48, 6976–6986. [Google Scholar] [CrossRef]
- Yip, S.S.F.; Aerts, H.J.W.L. Applications and limitations of radiomics. Phys. Med. Biol. 2016, 61, R150. [Google Scholar] [CrossRef]
- Avanzo, M.; Wei, L.; Stancanello, J.; Vallières, M.; Rao, A.; Morin, O.; Mattonen, S.A.; El Naqa, I. Machine and deep learning methods for radiomics. Med. Phys. 2020, 47, e185–e202. [Google Scholar] [CrossRef]
- Zhao, B. Understanding sources of variation to improve the reproducibility of radiomics. Front. Oncol. 2021, 11, 826. [Google Scholar] [CrossRef]
- Park, J.E.; Park, S.Y.; Kim, H.J.; Kim, H.S. Reproducibility and generalizability in radiomics modeling: Possible strategies in radiologic and statistical perspectives. Korean J. Radiol. 2019, 20, 1124–1137. [Google Scholar] [CrossRef]
- Seyam, M.; Weikert, T.; Sauter, A.; Brehm, A.; Psychogios, M.-N.; Blackham, K.A. Utilization of artificial intelligence–based intracranial hemorrhage detection on emergent noncontrast CT images in clinical workflow. Radiol. Artif. Intell. 2022, 4, e210168. [Google Scholar] [CrossRef] [PubMed]
- Lee, J.Y.; Kim, J.S.; Kim, T.Y.; Kim, Y.S. Detection and classification of intracranial haemorrhage on CT images using a novel deep-learning algorithm. Sci. Rep. 2020, 10, 20546. [Google Scholar] [CrossRef]
- Angkurawaranon, S.; Sanorsieng, N.; Unsrisong, K.; Inkeaw, P.; Sripan, P.; Khumrin, P.; Angkurawaranon, C.; Vaniyapong, T.; Chitapanarux, I. A comparison of performance between a deep learning model with residents for localization and classification of intracranial hemorrhage. Sci. Rep. 2023, 13, 9975. [Google Scholar] [CrossRef] [PubMed]
- Chang, P.D.; Kuoy, E.; Grinband, J.; Weinberg, B.D.; Thompson, M.; Homo, R.; Chen, J.; Abcede, H.; Shafie, M.; Sugrue, L.; et al. Hybrid 3D/2D convolutional neural network for hemorrhage evaluation on head CT. Am. J. Neuroradiol. 2018, 39, 1609–1616. [Google Scholar] [CrossRef] [PubMed]
- Salehinejad, H.; Kitamura, J.; Ditkofsky, N.; Lin, A.; Bharatha, A.; Suthiphosuwan, S.; Lin, H.M.; Wilson, J.R.; Mamdani, M.; Colak, E. A real-world demonstration of machine learning generalizability in the detection of intracranial hemorrhage on head computerized tomography. Sci. Rep. 2021, 11, 17051. [Google Scholar] [CrossRef]
- Prevedello, L.M.; Erdal, B.S.; Ryu, J.L.; Little, K.J.; Demirer, M.; Qian, S.; White, R.D. Automated critical test findings identification and online notification system using artificial intelligence in imaging. Radiology 2017, 285, 923–931. [Google Scholar] [CrossRef]
- Chilamkurthy, S.; Ghosh, R.; Tanamala, S.; Biviji, M.; Campeau, N.G.; Venugopal, V.K.; Mahajan, V.; Rao, P.; Warier, P. Deep learning algorithms for detection of critical findings in head CT scans: A retrospective study. Lancet 2018, 392, 2388–2396. [Google Scholar] [CrossRef] [PubMed]
- Arbabshirani, M.R.; Fornwalt, B.K.; Mongelluzzo, G.J.; Suever, J.D.; Geise, B.D.; Patel, A.A.; Moore, G.J. Advanced machine learning in action: Identification of intracranial hemorrhage on computed tomography scans of the head with clinical workflow integration. NPJ Digit. Med. 2018, 1, 9. [Google Scholar] [CrossRef]
- Ginat, D. Implementation of machine learning software on the radiology worklist decreases scan view delay for the detection of intracranial hemorrhage on CT. Brain Sci. 2021, 11, 832. [Google Scholar] [CrossRef] [PubMed]
- Monteiro, M.; Newcombe, V.F.; Mathieu, F.; Adatia, K.; Kamnitsas, K.; Ferrante, E.; Das, T.; Whitehouse, D.; Rueckert, D.; Menon, D.K.; et al. Multiclass semantic segmentation and quantification of traumatic brain injury lesions on head CT using deep learning: An algorithm development and multicentre validation study. Lancet Digit. Health 2020, 2, e314–e322. [Google Scholar] [CrossRef]
- Kuo, W.; Häne, C.; Mukherjee, P.; Malik, J.; Yuh, E.L. Expert-level detection of acute intracranial hemorrhage on head computed tomography using deep learning. Proc. Natl. Acad. Sci. USA 2019, 116, 22737–22745. [Google Scholar] [CrossRef] [PubMed]
- McLouth, J.; Elstrott, S.; Chaibi, Y.; Quenet, S.; Chang, P.D.; Chow, D.S.; Soun, J.E. Validation of a deep learning tool in the detection of intracranial hemorrhage and large vessel occlusion. Front. Neurol. 2021, 12, 656112. [Google Scholar] [CrossRef] [PubMed]













| Demographic Features | SDH (120) | EDH (60) | CC (180) | SAH (120) | IPH (150) | IVH (90) | p-Value |
|---|---|---|---|---|---|---|---|
| Age (years, mean (mean ± SD)) | 40 ± 28 | 45 ± 18 | 47 ± 19 | 46 ± 21 | 45 ± 17 | 48 ± 16 | 0775 |
| Sex male, n (%) | 71 | 32 | 92 | 68 | 80 | 70 | 0.351 |
| Drug medication | 8 | 4 | 11 | 9 | 2 | 61 | 0.302 |
| Medical history | 0334 | ||||||
| High blood pressure | 4 | 0 | 4 | 6 | 60 | 45 | |
| Arteriovenous malformations (AVMs) | 0 | 0 | 1 | 1 | 7 | 4 | |
| Cerebral aneurysms | 0 | 0 | 0 | 0 | 2 | 2 | |
| Tumor | 4 | 1 | 3 | 2 | 18 | 2 |
| Poor | Moderate | Good | Excellent | Total | |
|---|---|---|---|---|---|
| MORPH | 8 | 4 | 7 | 10 | 29 |
| LOC | 0 | 0 | 1 | 1 | 2 |
| STAT | 5 | 3 | 5 | 5 | 18 |
| IH | 4 | 6 | 7 | 7 | 24 |
| IVH | 1 | 1 | 2 | 3 | 7 |
| CM | 8 | 4 | 8 | 30 | 50 |
| RLM | 9 | 11 | 4 | 8 | 32 |
| SZM | 3 | 4 | 3 | 6 | 16 |
| DZM | 2 | 2 | 5 | 7 | 16 |
| NGT | 1 | 0 | 1 | 3 | 5 |
| NGL | 2 | 2 | 2 | 10 | 16 |
| Total | 43 | 37 | 45 | 90 | 215 |
| Names | Index Test | Training Labels | Model Outputs | Train Groups | Test Groups | AUC | Sensi-tivity | Speci-ficity |
|---|---|---|---|---|---|---|---|---|
| Chang et al. (2018) [35] | CNN mask R-CNN | Manual segmentation | Binary prediction of ICH | 10,159 | 682 | 0.981 | 0951 | 0.973 |
| Salehinejad et al. (2021) [36] | CNN ensemble: ResNeXt-50 and ResNeXt-101 | Slice-level binary presence of abnormality (present/not present) | Binary prediction of ICH | 21,784 | 5965 | 0.954 | 0.912 | 0.941 |
| Prevedello et al. (2017) [37] | CNN GoogLe-Net | Examination-level presence of abnormality (present/not present) | Binary prediction of pathology (present/not present) | 197 | 80 | 0.91 | 0.900 | 0.850 |
| Chilamkurthy et al. (2018) [38] | Qure.ai proprie-tary CNN ResNet18 | Slice-level binary presence of abnormality (present/not present) | Binary prediction of ICH (present/not present) | 290,055 | 491 | 0.962 | 0.949 | 0.865 |
| Arbabshirani et al. (2018) [39] | CNN | Examination-level binary presence of abnormality (present/not present) | Binary prediction of ICH (present/not present) for each examination | 24,882 | 347 | - | 0.698 | 0.871 |
| Ginat et al. (2020) [40] | Aidoc | Binary prediction of ICH | - | 8723 | - | 0.884 | 0.961 | |
| Monteiro et al. (2020) [41] | CNN, Deep-Medic | Semi automatically created segmentations | Binary prediction of ICH (present/not present) | 655 | 0.83 | 0.898 | 0.509 | |
| Kuo et al. (2019) [42] | CNN, ‘Patch-FCN’ (modified ResNet-38 | Manual segmentations | Binary prediction of ICH (present/not present) | 4396 | 200 | 0.991 | 1.00 | 0.87 |
| McLouth et al. (2021) [43] | Avi-cenna.ai, CINA v1.0 | - | Binary prediction of acute, hyperdense ICH (present/not present) | 8994 | 814 | - | 0.914 | 0.975 |
| Our study | RFs RFs DFs | Manual segmentations | Classifying brain hemorrhages into six subtypes (SAH, EDH, CC, SAH, IPH, and IVH) | 504 | 216 | 0.89 0.96 | 0.82 0.92 | - - |
Disclaimer/Publisher’s Note: The statements, opinions and data contained in all publications are solely those of the individual author(s) and contributor(s) and not of MDPI and/or the editor(s). MDPI and/or the editor(s) disclaim responsibility for any injury to people or property resulting from any ideas, methods, instructions or products referred to in the content. |
© 2024 by the authors. Licensee MDPI, Basel, Switzerland. This article is an open access article distributed under the terms and conditions of the Creative Commons Attribution (CC BY) license (https://creativecommons.org/licenses/by/4.0/).
Share and Cite
Bijari, S.; Sayfollahi, S.; Mardokh-Rouhani, S.; Bijari, S.; Moradian, S.; Zahiri, Z.; Rezaeijo, S.M. Radiomics and Deep Features: Robust Classification of Brain Hemorrhages and Reproducibility Analysis Using a 3D Autoencoder Neural Network. Bioengineering 2024, 11, 643. https://doi.org/10.3390/bioengineering11070643
Bijari S, Sayfollahi S, Mardokh-Rouhani S, Bijari S, Moradian S, Zahiri Z, Rezaeijo SM. Radiomics and Deep Features: Robust Classification of Brain Hemorrhages and Reproducibility Analysis Using a 3D Autoencoder Neural Network. Bioengineering. 2024; 11(7):643. https://doi.org/10.3390/bioengineering11070643
Chicago/Turabian StyleBijari, Salar, Sahar Sayfollahi, Shiwa Mardokh-Rouhani, Sahar Bijari, Sadegh Moradian, Ziba Zahiri, and Seyed Masoud Rezaeijo. 2024. "Radiomics and Deep Features: Robust Classification of Brain Hemorrhages and Reproducibility Analysis Using a 3D Autoencoder Neural Network" Bioengineering 11, no. 7: 643. https://doi.org/10.3390/bioengineering11070643
APA StyleBijari, S., Sayfollahi, S., Mardokh-Rouhani, S., Bijari, S., Moradian, S., Zahiri, Z., & Rezaeijo, S. M. (2024). Radiomics and Deep Features: Robust Classification of Brain Hemorrhages and Reproducibility Analysis Using a 3D Autoencoder Neural Network. Bioengineering, 11(7), 643. https://doi.org/10.3390/bioengineering11070643

