Enhancing Automated Brain Tumor Detection Accuracy Using Artificial Intelligence Approaches for Healthcare Environments
Abstract
1. Introduction
2. Related Works
3. Materials and Methods
3.1. The Proposed Model for Detecting Brain Tumors in MRI Scans
3.2. Data Preparation
3.3. Data Preprocessing
3.4. The Architecture of YOLOv5
3.5. Non-Local Neural Networks
3.6. K-Means++
3.7. SPPF+
3.8. Fine-Tuning, Transfer Learning, and Model Training
3.9. Evaluation Metrics
4. Experimental Results and Discussion
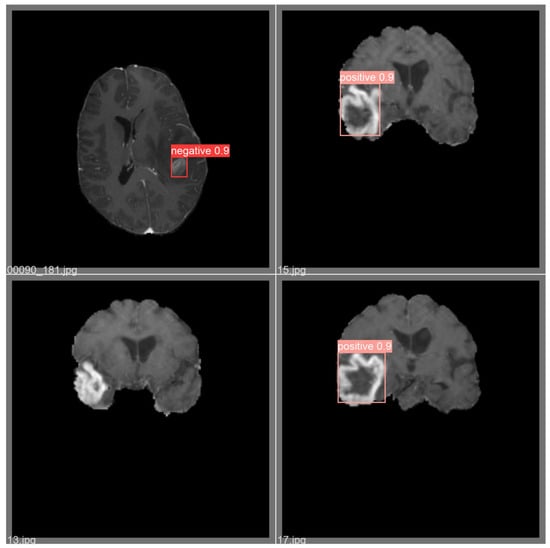
4.1. Overall Model Performance
4.2. Comparison and Evaluation of the Proposed Method against State-of-the-art Techniques
5. Conclusions
Author Contributions
Funding
Institutional Review Board Statement
Informed Consent Statement
Data Availability Statement
Acknowledgments
Conflicts of Interest
References
- Akinyelu, A.A.; Zaccagna, F.; Grist, J.T.; Castelli, M.; Rundo, L. Brain Tumor Diagnosis Using Machine Learning, Convolutional Neural Networks, Capsule Neural Networks and Vision Transformers, Applied to MRI: A Survey. J. Imaging 2022, 8, 205. [Google Scholar] [CrossRef]
- Lee, E.Q.; Chukwueke, U.N.; Hervey-Jumper, S.L.; de Groot, J.F.; Leone, J.P.; Armstrong, T.S.; Chang, S.M.; Arons, D.; Oliver, K.; Verble, K.; et al. Barriers to accrual and enrollment in brain tumor trials. Neuro Oncol. 2019, 21, 1100–1117. [Google Scholar] [CrossRef]
- Aldape, K.; Brindle, K.; Chesler, L.; Chopra, R.; Gajjar, A.; Gilbert, M.R.; Gottardo, N.; Gutmann, D.H.; Hargrave, D.; Holland, E.C.; et al. Challenges to curing primary brain tumours. Nat. Rev. Clin. Oncol. 2019, 16, 8. [Google Scholar] [CrossRef]
- Tocchio, S.; Kline-Fath, B.; Kanal, E.; Schmithorst, V.J.; Panigrahy, A. MRI evaluation and safety in the developing brain. Semin. Perinatol. 2015, 39, 73–104. [Google Scholar] [CrossRef]
- Gull, S.; Akbar, S.; Khan, H.U. Automated Detection of Brain Tumor through Magnetic Resonance Images Using Convolutional Neural Network. BioMed Res. Int. 2021, 2021, 3365043. [Google Scholar] [CrossRef]
- Taher, F.; Shoaib, M.R.; Emara, H.M.; Abdelwahab, K.M.; El-Samie, F.E.A.; Haweel, M.T. Efficient framework for brain tumor detection using different deep learning techniques. Front. Public Health 2022, 10, 959667. [Google Scholar] [CrossRef]
- Yavuz, B.; Kanyilmaz, G.; Aktan, M. Factors affecting survival in glioblastoma patients below and above 65 years of age: A retrospective observational study. Indian J. Cancer 2021, 58, 210–216. [Google Scholar] [CrossRef]
- Fahmideh, M.A.; Scheurer, M.E. Pediatric brain tumors: Descriptive epidemiology, risk factors, and future directions. Cancer Epidemiol. Biomark. Prev. 2021, 30, 813–821. [Google Scholar] [CrossRef]
- Nodirov, J.; Abdusalomov, A.B.; Whangbo, T.K. Attention 3D U-Net with Multiple Skip Connections for Segmentation of Brain Tumor Images. Sensors 2022, 22, 6501. [Google Scholar] [CrossRef]
- Shafi, A.S.M.; Rahman, M.B.; Anwar, T.; Halder, R.S.; Kays, H.E. Classification of brain tumors and auto-immune disease using ensemble learning. Inf. Med. Unlocked 2021, 24, 100608. [Google Scholar] [CrossRef]
- Abdulbaqi, H.S.; Mat, M.Z.; Omar, A.F.; Bin Mustafa, I.S.; Abood, L.K. Detecting brain tumor in Magnetic Resonance Images using Hidden Markov Random Fields and Threshold techniques. In Proceedings of the 2014 IEEE Student Conference on Research and Development (SCOReD 2014), Penang, Malaysia, 16–17 December 2014; pp. 1–5. [Google Scholar]
- Bauer, S.; May, C.; Dionysiou, D.; Stamatakos, G.; Buchler, P.; Reyes, M. Multiscale Modeling for Image Analysis of Brain Tumor Studies. IEEE Trans. Biomed. Eng. 2011, 59, 25–29. [Google Scholar] [CrossRef]
- Wang, C.; Bai, X.; Zhou, L.; Zhou, J. Hyperspectral Image Classification Based on Non-Local Neural Networks. In Proceedings of the IGARSS 2019–2019 IEEE International Geoscience and Remote Sensing Symposium, Yokohama, Japan, 28 July 2019–2 August 2019; pp. 584–587. [Google Scholar]
- Swati, Z.N.K.; Zhao, Q.; Kabir, M.; Ali, F.; Ali, Z.; Ahmed, S.; Lu, J. Content-Based Brain Tumor Retrieval for MR Images Using Transfer Learning. IEEE Access 2018, 7, 17809–17822. [Google Scholar] [CrossRef]
- Kaur, T.; Gandhi, T.K. Deep convolutional neural networks with transfer learning for automated brain image classification. Mach. Vis. Appl. 2020, 31, 20. [Google Scholar] [CrossRef]
- Deepak, S.; Ameer, P. Brain tumor classification using deep CNN features via transfer learning. Comput. Biol. Med. 2019, 111, 103345. [Google Scholar] [CrossRef]
- Rehman, M.U.; Shafique, A.; Khalid, S.; Driss, M.; Rubaiee, S. Future Forecasting of COVID-19: A Supervised Learning Approach. Sensors 2021, 21, 3322. [Google Scholar] [CrossRef]
- Bala, D.; Islam, M.A.; Mynuddin, M.; Hossain, M.A.; Hossain, S. Automated Brain Tumor Classification System using Convolutional Neural Networks from MRI Images. In Proceedings of the 2022 International Conference on Engineering and Emerging Technologies (ICEET), Kuala Lumpur, Malaysia, 27–28 October 2022; pp. 1–6. [Google Scholar]
- Noreen, N.; Palaniappan, S.; Qayyum, A.; Ahmad, I.; Alassafi, M.O. Brain Tumor Classification Based on Fine-Tuned Models and the Ensemble Method. Comput. Mater. Contin. 2021, 67, 3967–3982. [Google Scholar] [CrossRef]
- Bhanothu, Y.; Kamalakannan, A.; Rajamanickam, G. Detection and Classification of Brain Tumor in MRI Images using Deep Convolutional Network. In Proceedings of the 2020 6th International Conference on Advanced Computing and Communication Systems (ICACCS), Coimbatore, India, 6–7 March 2020; pp. 248–252. [Google Scholar]
- Yunusov, N.; Islam, B.M.S.; Abdusalomov, A.; Kim, W. Robust Forest Fire Detection Method for Surveillance Systems Based on You Only Look Once Version 8 and Transfer Learning Approaches. Processes 2024, 12, 1039. [Google Scholar] [CrossRef]
- Saeed, F.; Paul, A.; Karthigaikumar, P.; Nayyar, A. Convolutional neural network based early fire detection. Multimed. Tools Appl. 2020, 79, 9083–9099. [Google Scholar] [CrossRef]
- Nadeem, M.W.; Al Ghamdi, M.A.; Hussain, M.; Khan, M.A.; Khan, K.M.; Almotiri, S.H.; Butt, S.A. Brain Tumor Analysis Empowered with Deep Learning: A Review, Taxonomy, and Future Challenges. Brain Sci. 2020, 10, 118. [Google Scholar] [CrossRef]
- Yang, F.Y.; Horng, S.C. Ultrasound enhanced delivery of macromolecular agents in brain tumor rat model. In Proceedings of the 2011 Annual International Conference of the IEEE Engineering in Medicine and Biology Society, Boston, MA, USA, 30 August 2011–3 September 2011; pp. 5573–5576. [Google Scholar]
- Shelatkar, T.; Urvashi; Shorfuzzaman, M.; Alsufyani, A.; Lakshmanna, K. Diagnosis of Brain Tumor Using Light Weight Deep Learning Model with Fine-Tuning Approach. Comput. Math. Methods Med. 2022, 2022, 1–9. [Google Scholar] [CrossRef]
- Reddy, S.V.G.; Reddy, K.T.; ValliKumari, V. Optimization of deep learning using various optimizers, loss functions and dropout. Int. J. Recent Technol. Eng. 2018, 7, 448–455. [Google Scholar]
- Mahmud, I.; Mamun, M.; Abdelgawad, A. A Deep Analysis of Brain Tumor Detection from MR Images Using Deep Learning Networks. Algorithms 2023, 16, 176. [Google Scholar] [CrossRef]
- Gurbina, M.; Lascu, M.; Lascu, D. Tumor Detection and Classification of MRI Brain Image using Different Wavelet Transforms and Support Vector Machines. In Proceedings of the 2019 42nd International Conference on Telecommunications and Signal Processing (TSP), Budapest, Hungary, 1–3 July 2019; pp. 505–508. [Google Scholar]
- Pinto, A.; Pereira, S.; Dinis, H.; Silva, C.A.; Rasteiro, D.M.L.D. Random decision forests for automatic brain tumor segmentation on multi-modal MRI images. In Proceedings of the 2015 IEEE 4th Portuguese Meeting on Bioengineering (ENBENG), Porto, Portugal, 26–28 February 2015; pp. 1–5. [Google Scholar]
- Badža, M.M.; Barjaktarović, M. Classification of Brain Tumors from MRI Images Using a Convolutional Neural Network. Appl. Sci. 2020, 10, 1999. [Google Scholar] [CrossRef]
- Montagnon, E.; Cerny, M.; Cadrin-Chênevert, A.; Hamilton, V.; Derennes, T.; Ilinca, A.; Vandenbroucke-Menu, F.; Turcotte, S.; Kadoury, S.; Tang, A. Deep learning workflow in radiology: A primer. Insights Imaging 2020, 11, 22. [Google Scholar] [CrossRef]
- Ramamoorthy, M.; Qamar, S.; Manikandan, R.; Jhanjhi, N.Z.; Masud, M.; AlZain, M.A. Earlier Detection of Brain Tumor by Pre-Processing Based on Histogram Equalization with Neural Network. Healthcare 2022, 10, 1218. [Google Scholar] [CrossRef]
- Gómez-Guzmán, M.A.; Jiménez-Beristaín, L.; García-Guerrero, E.E.; López-Bonilla, O.R.; Tamayo-Perez, U.J.; Esqueda-Elizondo, J.J.; Palomino-Vizcaino, K.; Inzunza-González, E. Classifying Brain Tumors on Magnetic Resonance Imaging by Using Convolutional Neural Networks. Electronics 2023, 12, 955. [Google Scholar] [CrossRef]
- Hasan, A.M.; Meziane, F.; Aspin, R.; Jalab, H.A. Segmentation of Brain Tumors in MRI Images Using Three-Dimensional Active Contour without Edge. Symmetry 2016, 8, 132. [Google Scholar] [CrossRef]
- Jansen, M. Evaluation of Intensity Normalization Methods for MR Images. Master’s Thesis, University Medical Center Utrecht, Utrecht, The Netherlands, 2015. [Google Scholar] [CrossRef]
- Chi, C.; Zhang, J.; Liu, Z. Study on methods on noise reduction in a stripped image. In Proceedings of the XXI ISPRS Congress, Youth Forum: 2008, Beijing, China; 2008. [Google Scholar]
- Golam, M.; Mukti, M.; Alahe, M.; Sarkar, A. Noise Removal from MRI Brain Images Using Median-Filtering Techniques. 2022. Available online: https://www.researchgate.net/profile/Alok-Sarkar-5/publication/363431971_Noise_Removal_from_MRI_Brain_ImagesUsing_Median-_Filtering_Techniques/links/631c1c78071ea12e3620b117/Noise-Removal-from-MRI-Brain-ImagesUsing-Median-Filtering-Techniques.pdf (accessed on 8 May 2024).
- Kalavathi, P.; Prasath, V.B.S. Methods on Skull Stripping of MRI Head Scan Images—A Review. J. Digit. Imaging 2016, 29, 365–379. [Google Scholar] [CrossRef]
- Risholm, P.; Golby, A.J.; Wells, W., 3rd. Multimodal image registration for preoperative planning and image-guided neurosurgical procedures. Neurosurg. Clin. N. Am. 2011, 22, 197–206. [Google Scholar] [CrossRef]
- Juntu, J.; Sijbers, J.; Van Dyck, D.; Gielen, J. Bias Field Correction for MRI Images. In Computer Recognition Systems; Springer: Berlin, Heidelberg, 2005; pp. 543–551. [Google Scholar] [CrossRef]
- Song, J.; Zhang, Z. Brain Tissue Segmentation and Bias Field Correction of MR Image Based on Spatially Coherent FCM with Nonlocal Constraints. Comput. Math. Methods Med. 2019, 2019, 4762490. [Google Scholar] [CrossRef]
- Nguchu, B. Critical Analysis of Image Enhancement Techniques. Int. J. Electr. Electron. Res. 2016, 4, 23–33. [Google Scholar]
- Tufail, Z.; Shahid, A.R.; Raza, B.; Akram, T.; Janjua, U.I. Extraction of region of interest from brain MRI by converting images into neutrosophic domain using the modified S-function. J. Med. Imaging 2021, 8, 014003. [Google Scholar] [CrossRef]
- Rasheed, M.; Iqbal, M.W.; Jaffar, A.; Ashraf, M.U.; Almarhabi, K.A.; Alghamdi, A.M.; Bahaddad, A.A. Recognizing Brain Tumors Using Adaptive Noise Filtering and Statistical Features. Diagnostics 2023, 13, 1451. [Google Scholar] [CrossRef]
- Arifando, R.; Eto, S.; Wada, C. Improved YOLOv5-Based Lightweight Object Detection Algorithm for People with Visual Impairment to Detect Buses. Appl. Sci. 2023, 13, 5802. [Google Scholar] [CrossRef]
- Wu, Y.; Ma, Y.; Liu, J.; Du, J.; Xing, L. Self-Attention Convolutional Neural Network for Improved MR Image Reconstruction. Inf. Sci. 2019, 490, 317–328. [Google Scholar] [CrossRef]
- Cao, X.; Zhang, K.; Jiao, L. CSANet: Cross-Scale Axial Attention Network for Road Segmentation. Remote Sens. 2023, 15, 3. [Google Scholar] [CrossRef]
- Wang, X.; Girshick, R.; Gupta, A.; He, K. Non-local Neural Networks. In Proceedings of the 2017 IEEE Conference on Computer Vision and Pattern Recognition (CVPR), Honolulu, HI, USA, 21–26 July 2017. [Google Scholar] [CrossRef]
- Madhupriya, G.; Guru, N.M.; Praveen, S.; Nivetha, B. Brain tumor segmentation with deep learning technique. In Proceedings of the 2019 3rd International Conference on Trends in Electronics and Informatics (ICOEI), Tirunelveli, India, 23–25 April 2019; pp. 758–763. [Google Scholar]
- Zafar, A.; Aamir, M.; Nawi, N.M.; Arshad, A.; Riaz, S.; Alruban, A.; Dutta, A.K.; Almotairi, S. A Comparison of Pooling Methods for Convolutional Neural Networks. Appl. Sci. 2022, 12, 8643. [Google Scholar] [CrossRef]
- Sharma, A.; Sharma, A.; Nikashina, P.; Gavrilenko, V.; Tselykh, A.; Bozhenyuk, A.; Masud, M.; Meshref, H. A Graph Neural Network (GNN)-Based Approach for Real-Time Estimation of Traffic Speed in Sustainable Smart Cities. Sustainability 2023, 15, 11893. [Google Scholar] [CrossRef]
- Madhiarasan, M.; Louzazni, M. Analysis of Artificial Neural Network: Architecture, Types, and Forecasting Applications. J. Electr. Comput. Eng. 2022, 2022, 1–23. [Google Scholar] [CrossRef]
- Mukhiddinov, M.; Abdusalomov, A.B.; Cho, J. A Wildfire Smoke Detection System Using Unmanned Aerial Vehicle Images Based on the Optimized YOLOv5. Sensors 2022, 22, 9384. [Google Scholar] [CrossRef]
- Dutta, P.; Akhter Sathi, K.; Saiful Islam, M. Multi-Classification of Brain Tumor Images Using Transfer Learning Based Deep Neural Network. In International Conference on Artificial Intelligence for Smart Community; Springer: Singapore, 2022. [Google Scholar] [CrossRef]
- Saydirasulovich, S.N.; Mukhiddinov, M.; Djuraev, O.; Abdusalomov, A.; Cho, Y.-I. An Improved Wildfire Smoke Detection Based on YOLOv8 and UAV Images. Sensors 2023, 23, 8374. [Google Scholar] [CrossRef]
- Cifci, M.A.; Hussain, S.; Canatalay, P.J. Hybrid Deep Learning Approach for Accurate Tumor Detection in Medical Imaging Data. Diagnostics 2023, 13, 1025. [Google Scholar] [CrossRef]
- Mukhiddinov, M.; Djuraev, O.; Akhmedov, F.; Mukhamadiyev, A.; Cho, J. Masked Face Emotion Recognition Based on Facial Landmarks and Deep Learning Approaches for Visually Impaired People. Sensors 2023, 23, 1080. [Google Scholar] [CrossRef]
- Saeedi, S.; Rezayi, S.; Keshavarz, H.; Kalhori, S.R.N. MRI-based brain tumor detection using convolutional deep learning methods and chosen machine learning techniques. BMC Med. Inform. Decis. Mak. 2023, 23, 16. [Google Scholar] [CrossRef]
- Maqsood, S.; Damaševičius, R.; Maskeliūnas, R. Multi-Modal Brain Tumor Detection Using Deep Neural Network and Multiclass SVM. Medicina 2022, 58, 1090. [Google Scholar] [CrossRef]
- Hussain, S.; Haider, S.; Maqsood, S.; Damaševičius, R.; Maskeliūnas, R.; Khan, M. ETISTP: An Enhanced Model for Brain Tumor Identification and Survival Time Prediction. Diagnostics 2023, 13, 1456. [Google Scholar] [CrossRef]
- Haq, E.U.; Jianjun, H.; Li, K.; Haq, H.U.; Zhang, T. An MRI-based deep learning approach for efficient classification of brain tumors. J. Ambient. Intell. Humaniz. Comput. 2023, 14, 6697–6718. [Google Scholar] [CrossRef]
- Patil, S.; Kirange, D. Ensemble of deep learning models for brain tumor detection. Procedia Comput. Sci. 2023, 218, 2468–2479. [Google Scholar] [CrossRef]
- Talukder, A.; Islam, M.; Uddin, A.; Akhter, A.; Pramanik, A.J.; Aryal, S.; Almoyad, M.A.A.; Hasan, K.F.; Moni, M.A. An efficient deep learning model to categorize brain tumor using reconstruction and fine-tuning. Expert Syst. Appl. 2023, 230, 120534. [Google Scholar] [CrossRef]
- Woźniak, M.; Siłka, J.; Wieczorek, M. Deep neural network correlation learning mechanism for CT brain tumor detection. Neural Comput. Appl. 2023, 35, 14611–14626. [Google Scholar] [CrossRef]
- Abdusalomov, A.B.; Mukhiddinov, M.; Whangbo, T.K. Brain Tumor Detection Based on Deep Learning Approaches and Magnetic Resonance Imaging. Cancers 2023, 15, 4172. [Google Scholar] [CrossRef]
- Rasheed, Z.; Ma, Y.-K.; Ullah, I.; Ghadi, Y.Y.; Khan, M.Z.; Khan, M.A.; Abdusalomov, A.; Alqahtani, F.; Shehata, A.M. Brain Tumor Classification from MRI Using Image Enhancement and Convolutional Neural Network Techniques. Brain Sci. 2023, 13, 1320. [Google Scholar] [CrossRef]
- Tagmatova, Z.; Abdusalomov, A.; Nasimov, R.; Nasimova, N.; Dogru, A.H.; Cho, Y.-I. New Approach for Generating Synthetic Medical Data to Predict Type 2 Diabetes. Bioengineering 2023, 10, 1031. [Google Scholar] [CrossRef]
- Choi, H.S.; Kim, J.S.; Whangbo, T.K.; Eun, S.J. Improved Detection of Urolithiasis Using High-Resolution Computed Tomography Images by a Vision Transformer Model. Int. Neurourol. J. 2023, 27, S99–S103. [Google Scholar] [CrossRef] [PubMed] [PubMed Central]
- Umirzakova, S.; Ahmad, S.; Khan, L.U.; Whangbo, T. Medical Image Super-Resolution for Smart Healthcare Applications: A Comprehensive Survey. Inf. Fusion 2023, 103, 102075. [Google Scholar] [CrossRef]
- Iqbal, S.; Qureshi, A.N.; Aurangzeb, K.; Alhussein, M.; Wang, S.; Anwar, M.S.; Khan, F. Hybrid Parallel Fuzzy CNN Paradigm: Unmasking Intricacies for Accurate Brain MRI Insights. In IEEE Transactions on Fuzzy Systems; IEEE: Piscataway, NJ, USA, 2024; pp. 1–17. [Google Scholar] [CrossRef]
- Özkaraca, O.; Bağrıaçık, O.; Gürüler, H.; Khan, F.; Hussain, J.; Khan, J.; e Laila, U. Multiple Brain Tumor Classification with Dense CNN Architecture Using Brain MRI Images. Life 2023, 13, 349. [Google Scholar] [CrossRef]
- Abdusalomov, A.B.; Nasimov, R.; Nasimova, N.; Muminov, B.; Whangbo, T.K. Evaluating Synthetic Medical Images Using Artificial Intelligence with the GAN Algorithm. Sensors 2023, 23, 3440. [Google Scholar] [CrossRef]
- Khan, M.; Shah, P.M.; Khan, I.A.; Islam, S.U.; Ahmad, Z.; Khan, F.; Lee, Y. IoMT-Enabled Computer-Aided Diagnosis of Pulmonary Embolism from Computed Tomography Scans Using Deep Learning. Sensors 2023, 23, 1471. [Google Scholar] [CrossRef]
- Rakhimov, M.; Karimberdiyev, J.; Javliev, S. Artificial Intelligence in Medicine: Enhancing Pneumonia Detection Using Wavelet Transform. In Intelligent Human Computer Interaction; Choi, B.J., Singh, D., Tiwary, U.S., Chung, W.Y., Eds.; IHCI 2023; Lecture Notes in Computer Science; Springer: Cham, Switzerland, 2024; Volume 14531. [Google Scholar] [CrossRef]
- Abdusalomov, A.B.; Safarov, F.; Rakhimov, M.; Turaev, B.; Whangbo, T.K. Improved Feature Parameter Extraction from Speech Signals Using Machine Learning Algorithm. Sensors 2022, 22, 8122. [Google Scholar] [CrossRef]
- Rakhimov, M.; Akhmadjonov, R.; Javliev, S. Artificial Intelligence in Medicine for Chronic Disease Classification Using Machine Learning. In Proceedings of the 2022 IEEE 16th International Conference on Application of Information and Communication Technologies (AICT), Washingto, DC, USA, 12–14 October 2022; pp. 1–6. [Google Scholar]
- Nasimov, R.; Nasimova, N.; Mumimov, B.; Usmanxodjayeva, A.; Sobirova, G.; Abdusalomov, A. Development of Fully Synthetic Medical Database Shuffling Method. In Internet of Things, Smart Spaces, and Next Generation Networks and Systems; NEW2AN ruSMART 2023 2023; Lecture Notes in Computer Science; Springer: Cham, Switzerland, 2024; Volume 14543. [Google Scholar] [CrossRef]












| Author | Model | Approach | Performance | Year |
|---|---|---|---|---|
| Cheng Almahfud et al. Pereira S | Novel-segmentation model K-means and FCM-clustering CNN-based | Segmentation Segmentation Segmentation | mAP of 94.68% Accuracy of 91.94% DSC 88% | 2016 2018 2016 |
| Bhanothu | Faster R-CNN | Detection | mAP 77.60% | 2020 |
| Swati | VGG19 | Classification | Accuracy of 94.82% | 2019 |
| Deepak | GoogleNet | Classification | Accuracy of 98% | 2019 |
| Rehman | AlexNet, GoogleNet, VGG16 | Classification | Accuracies of 97.39%, 98.04%, and 98.69%, respectively | 2019 |
| Sultan | Custom-CNN | Classification | Accuracy of 98.7% | 2019 |
| Noreen | DenseNet201 and InceptionV3 | Classification | Accuracies of 99.34% and 99.51% | 2020 |
| Class | Coronal | Axial | Sagittal | Total |
|---|---|---|---|---|
| Meningioma | 232 | 208 | 268 | 708 |
| Glioma | 493 | 494 | 439 | 1426 |
| Pituitary | 321 | 291 | 318 | 930 |
| Total | 1046 | 993 | 1025 | 3064 |
| Class | Train | Test | Total |
|---|---|---|---|
| Meningioma | 565 | 140 | 705 |
| Glioma | 1140 | 280 | 1420 |
| Pituitary | 740 | 180 | 920 |
| Total | 2450 | 610 | 3060 |
| Hyperparameter | Value |
|---|---|
| Batch Size | 64 |
| Subdivisions | 8 |
| Learning Rate | 0.00001 |
| Warmup Epochs | 3.0 |
| Box | 0.05 |
| IOU Threshold | 0.20 |
| Momentum | 0.9 |
| Decay | 0.0005 |
| Iterations | 6000 |
| Model | Precision | Recall | mAP |
|---|---|---|---|
| YOLOv5 | 81.9 | 83 | 87 |
| Improved YOLOv5 | 83.5 | 86 | 85.2 |
| Contribution | Model | Approach | Accuracy (%) | Dataset |
|---|---|---|---|---|
| Soheila Saeedi et al. [58] | Elementary features-model-based | Detection | 96.47% | Brain tumor classification (MRI): four classes neural network |
| Sarmad Maqsood et al. [59] | MobileNetV2 | Segmentation | 97.47% | T1-weighted contrast-enhanced MRI |
| Shah Hussain et al. [60] | U-net ETISTP Model | Segmentation | 96% | T1-weighted contrast-enhanced MRI |
| Ejaz Ul Haq et al. [61] | CNN classifier | Classification | 97.3% | T1-weighted contrast-enhanced MRI |
| S. Patil et al. [62] | SCNN classifier/VGG16 | Classification | 97.7% | MRI dataset |
| Talukder et al. [63] | DL (ResNet50V2) | Classification | 99.6% | Brain tumor classification (MRI): three classes |
| Woźniak et al. [64] | CNN classifier | Classification | 95.7% | CT brain tumor classification |
| Abdusalomov et al. [65] | YOLO7 | Classification | 99.5% | MRI scan images (kaggle): four classes |
| InceptionV3 |
Disclaimer/Publisher’s Note: The statements, opinions and data contained in all publications are solely those of the individual author(s) and contributor(s) and not of MDPI and/or the editor(s). MDPI and/or the editor(s) disclaim responsibility for any injury to people or property resulting from any ideas, methods, instructions or products referred to in the content. |
© 2024 by the authors. Licensee MDPI, Basel, Switzerland. This article is an open access article distributed under the terms and conditions of the Creative Commons Attribution (CC BY) license (https://creativecommons.org/licenses/by/4.0/).
Share and Cite
Abdusalomov, A.; Rakhimov, M.; Karimberdiyev, J.; Belalova, G.; Cho, Y.I. Enhancing Automated Brain Tumor Detection Accuracy Using Artificial Intelligence Approaches for Healthcare Environments. Bioengineering 2024, 11, 627. https://doi.org/10.3390/bioengineering11060627
Abdusalomov A, Rakhimov M, Karimberdiyev J, Belalova G, Cho YI. Enhancing Automated Brain Tumor Detection Accuracy Using Artificial Intelligence Approaches for Healthcare Environments. Bioengineering. 2024; 11(6):627. https://doi.org/10.3390/bioengineering11060627
Chicago/Turabian StyleAbdusalomov, Akmalbek, Mekhriddin Rakhimov, Jakhongir Karimberdiyev, Guzal Belalova, and Young Im Cho. 2024. "Enhancing Automated Brain Tumor Detection Accuracy Using Artificial Intelligence Approaches for Healthcare Environments" Bioengineering 11, no. 6: 627. https://doi.org/10.3390/bioengineering11060627
APA StyleAbdusalomov, A., Rakhimov, M., Karimberdiyev, J., Belalova, G., & Cho, Y. I. (2024). Enhancing Automated Brain Tumor Detection Accuracy Using Artificial Intelligence Approaches for Healthcare Environments. Bioengineering, 11(6), 627. https://doi.org/10.3390/bioengineering11060627

