Deep Learning for Dental Diagnosis: A Novel Approach to Furcation Involvement Detection on Periapical Radiographs
Abstract
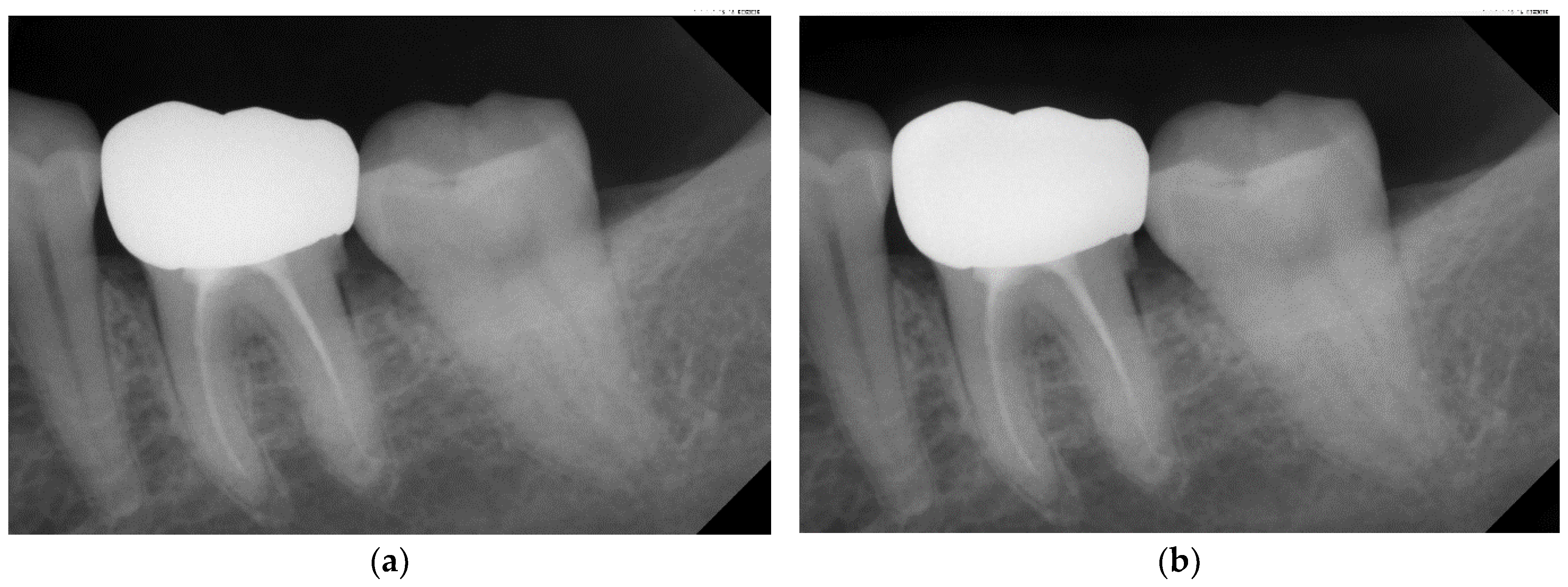
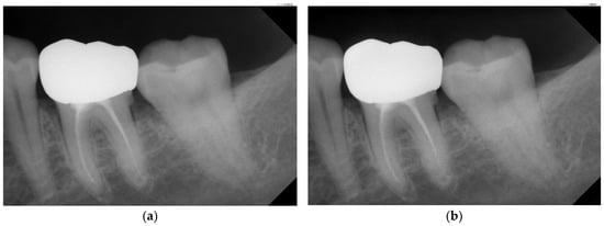
1. Introduction
- A CNN-based automated recognition system for FI lesions has been developed in this research, and the proposed final model can achieve an accuracy of 94%, which is a 5% increase compared to [19].
- An adaptive threshold and an adjusted segmentation line operation have been proposed in this research to enhance fault tolerance, which has proven helpful for the research process and final learning results.
- The model for distinguishing between single-rooted and double-rooted teeth in this research has achieved a high recognition accuracy of 97%, which enables the proper classification of the sample data contained in a single image. Additionally, the proposed model for classifying single and double-rooted teeth can help in the collection and categorization of samples for medical and AI automation applications in the future.
2. Materials and Methods
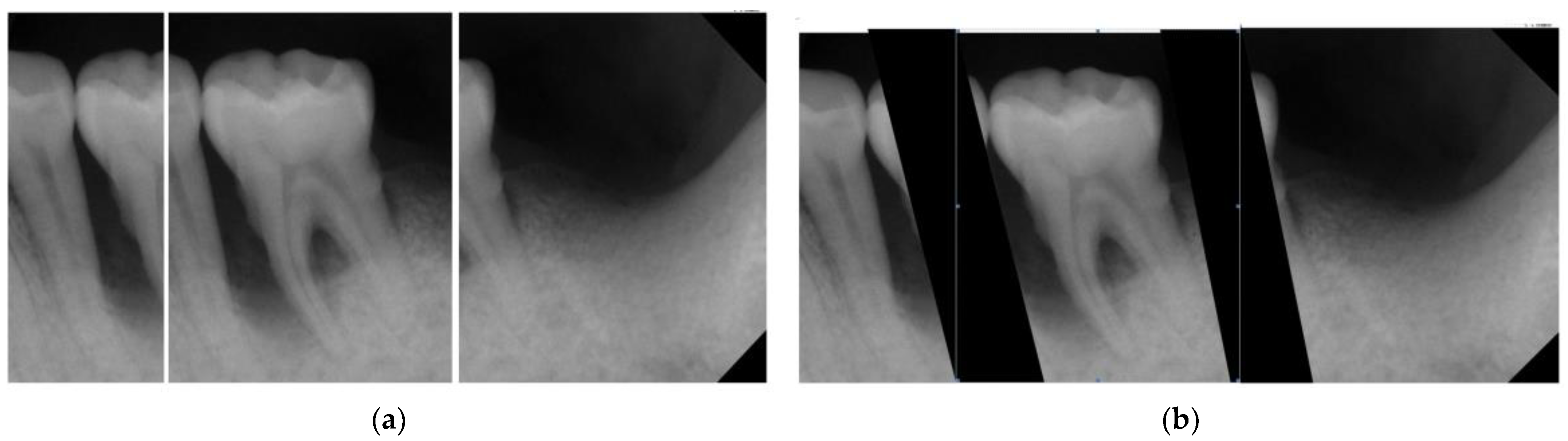
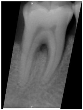
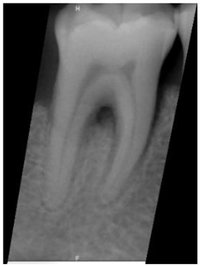
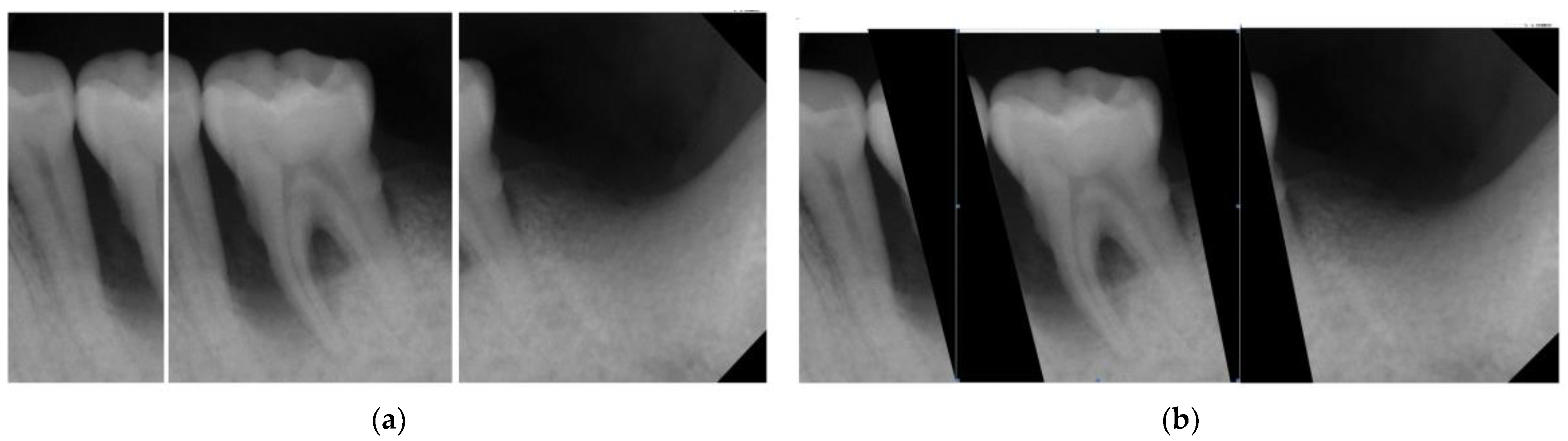
2.1. Image Preprocessing
2.1.1. Image Grayscale
2.1.2. Gaussian High-Pass Filtering
2.1.3. Adaptive Threshold
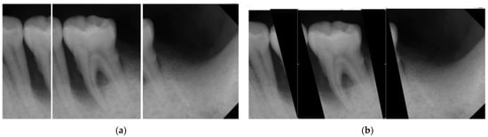
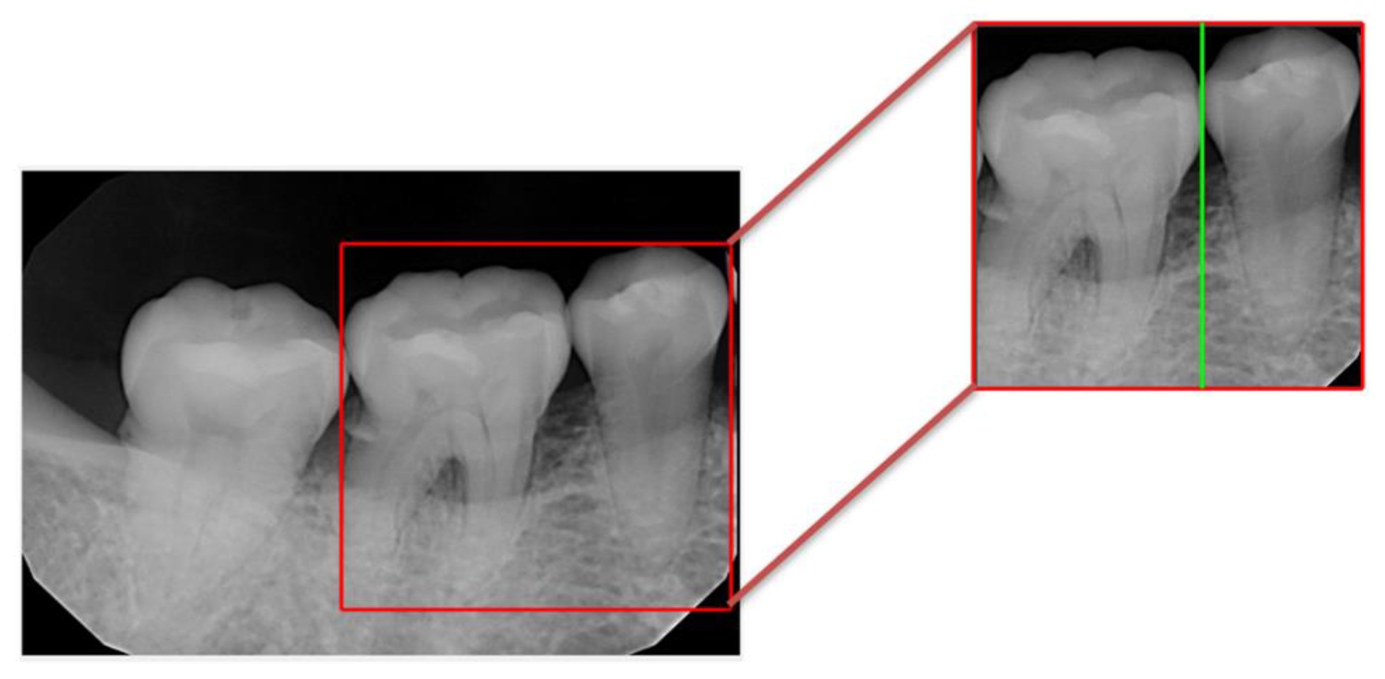
2.2. Image Segmentation
2.2.1. Vertical Projection
2.2.2. Rote Tangent
2.3. Image Mask
2.4. Image Identification
2.4.1. CNN Model
2.4.2. Adjust Hyper-Parameter
- A.
- Optimizer
- B.
- Initial Learning Rate
- C.
- Mini Batch Size
3. Results
4. Discussion
5. Conclusions
Author Contributions
Funding
Institutional Review Board Statement
Informed Consent Statement
Conflicts of Interest
References
- Nicholson, J.W. Periodontal Therapy Using Bioactive Glasses: A Review. Prosthesis 2022, 4, 648–663. [Google Scholar] [CrossRef]
- Arslan, H.; Ahmed, H.M.A.; Şahin, Y.; Yıldız, E.D.; Gündoğdu, E.C.; Güven, Y.; Khalilov, R. Regenerative Endodontic Procedures in Necrotic Mature Teeth with Periapical Radiolucencies: A Preliminary Randomized Clinical Study. J. Endod. 2019, 45, 863–872. [Google Scholar] [CrossRef]
- Shaker, Z.M.H.; Parsa, A.; Moharamzadeh, K. Development of a Radiographic Index for Periodontitis. Dent. J. 2021, 9, 19. [Google Scholar] [CrossRef]
- Al-Ariny, Z.; Abdelwahab, M.A.; Fakhry, M.; Hasaneen, E.-S. An Efficient Vehicle Counting Method Using Mask R-CNN. In Proceedings of the 2020 International Conference on Innovative Trends in Communication and Computer Engineering (ITCE), Aswan, Egypt, 8–9 February 2020; pp. 232–237. [Google Scholar] [CrossRef]
- Ma, J. Research on the Application of Financial Intelligence Based on Artificial Intelligence Technology. In Proceedings of the 2021 2nd International Conference on Artificial Intelligence and Education (ICAIE), Dali, China, 18–20 June 2021; pp. 72–75. [Google Scholar] [CrossRef]
- Chen, J.; Zhan, X.; Wang, Y.; Huang, X. Medical Robots based on Artificial Intelligence in the Medical Education. In Proceedings of the 2021 2nd International Conference on Artificial Intelligence and Education (ICAIE), Dali, China, 18–20 June 2021; pp. 1–4. [Google Scholar] [CrossRef]
- Chung, R.-L.; Hsueh, Y.; Chen, S.-L.; Abu, P.A.R. Efficient and Accurate CORDIC Pipelined Architecture Chip Design Based on Binomial Approximation for Biped Robot. Electronics 2022, 11, 1701. [Google Scholar] [CrossRef]
- Yanhua, Z. The Application of Artificial Intelligence in Foreign Language Teaching. In Proceedings of the 2020 International Conference on Artificial Intelligence and Education (ICAIE), Tianjin, China, 26–28 June 2020; pp. 40–42. [Google Scholar] [CrossRef]
- Chen, S.-L.; Chen, T.-Y.; Lin, T.-L.; Chen, C.-A.; Lin, S.-Y.; Chiang, Y.-L.; Tung, K.-H.; Chiang, W.-Y. Fast Control for Backlight Power-Saving Algorithm Using Motion Vectors from the Decoded Video Stream. Sensors 2022, 22, 7170. [Google Scholar] [CrossRef]
- Wang, L.-H.; Yu, Y.-T.; Liu, W.; Xu, L.; Xie, C.-X.; Yang, T.; Kuo, I.-C.; Wang, X.-K.; Gao, J.; Huang, P.-C.; et al. Three-Heartbeat Multilead ECG Recognition Method for Arrhythmia Classification. IEEE Access 2022, 10, 44046–44061. [Google Scholar] [CrossRef]
- Huang, H.-L.; Ma, Y.-H.; Tu, C.-C.; Chang, P.-C. Radiographic Evaluation of Regeneration Strategies for the Treatment of Advanced Mandibular Furcation Defects: A Retrospective Study. Membranes 2022, 12, 219. [Google Scholar] [CrossRef]
- Pihlstrom, B.L.; Michalowicz, B.S.; Johnson, N.W. Periodontal diseases. Lancet 2005, 366, 1809–1820. [Google Scholar] [CrossRef]
- Yanni, P.; Curtis, D.A.; Kao, R.T.; Lin, G.-H. The Pattern of Tooth Loss for Periodontally Favorable Teeth: A Retrospective isd. Biology 2022, 11, 1664. [Google Scholar] [CrossRef]
- Alasqah, M.; Alotaibi, F.D.; Gufran, K. The Radiographic Assessment of Furcation Area in Maxillary and Mandibular First Molars while Considering the New Classification of Periodontal Disease. Healthcare 2022, 10, 1464. [Google Scholar] [CrossRef]
- ElSheshtawy, A.S.; Nazzal, H.; El Shahawy, O.I.; El Baz, A.A.; Ismail, S.M.; Kang, J.; Ezzat, K.M. The effect of platelet-rich plasma as a scaffold in regeneration/revitalization endodontics of immature permanent teeth assessed using 2-dimensional radiographs and cone beam computed tomography: A randomized controlled trial. Int. Endod. J. 2020, 53, 905–921. [Google Scholar] [CrossRef]
- Keerthana, G.; Duhan, J.; Tewari, S.; Sangwan, P.; Gupta, A.; Mittal, S.; Kumar, V.; Arora, M. Patient-centric outcome assessment of endodontic microsurgery using periapical radiography versus cone beam computed tomography: A randomized clinical trial. Int. Endod. J. 2023, 56, 3–16. [Google Scholar] [CrossRef]
- Jayalakshmi, G.S.; Kumar, V.S. Performance analysis of Convolutional Neural Network (CNN) based Cancerous Skin Lesion Detection System. In Proceedings of the 2019 International Conference on Computational Intelligence in Data Science (ICCIDS), Chennai, India, 21–23 February 2019; pp. 1–6. [Google Scholar] [CrossRef]
- Lam, J.; Yeung, A.W.K.; Acharya, A.; Fok, C.; Fok, M.; Pelekos, G. Comparison between Conventional Modality Versus Cone-Beam Computer Tomography on the Assessment of Vertical Furcation in Molars. Diagnostics 2022, 13, 106. [Google Scholar] [CrossRef]
- Yilmaz, E.; Kayikcioglu, T.; Kayipmaz, S. Semi-automatic segmentation of apical lesions in cone beam computed tomography images. In Proceedings of the 2017 25th Signal Processing and Communications Applications Conference (SIU), Antalya, Turkey, 15–18 May 2017; pp. 1–4. [Google Scholar] [CrossRef]
- Yusof, N.A.M.; Noor, E.; Reduwan, N.H.; Yusof, M.Y.P.M. Diagnostic accuracy of periapical radiograph, cone beam computed tomography, and intrasurgical linear measurement techniques for assessing furcation defects: A longitudinal randomised controlled trial. Clin. Oral Investig. 2021, 25, 923–932. [Google Scholar] [CrossRef]
- Shaikh, M.S.; Shahzad, Z.; Tash, E.A.; Janjua, O.S.; Khan, M.I.; Zafar, M.S. Human Umbilical Cord Mesenchymal Stem Cells: Current Literature and Role in Periodontal Regeneration. Cells 2022, 11, 1168. [Google Scholar] [CrossRef]
- Chen, S.-L.; Chen, T.-Y.; Huang, Y.-C.; Chen, C.-A.; Chou, H.-S.; Huang, Y.-Y.; Lin, W.-C.; Li, T.-C.; Yuan, J.-J.; Abu, P.A.R.; et al. Missing Teeth and Restoration Detection Using Dental Panoramic Radiography Based on Transfer Learning With CNNs. IEEE Access 2022, 10, 118654–118664. [Google Scholar] [CrossRef]
- Cui, J.; Zhang, M. Time-Domain versus frequency-domain approach for an accurate simulation of phased arrays. In Proceedings of the 2008 International Conference on Microwave and Millimeter Wave Technology, Nanjing, China, 21–24 April 2008; pp. 454–457. [Google Scholar] [CrossRef]
- Dogra, A.; Bhalla, P. Image Sharpening By Gaussian And Butterworth High Pass Filter. Biomed. Pharmacol. J. 2014, 7, 707–713. [Google Scholar] [CrossRef]
- Devi, M.P.A.; Latha, T.; Sulochana, C.H. Iterative thresholding based image segmentation using 2D improved Otsu algorithm. In Proceedings of the 2015 Global Conference on Communication Technologies (GCCT), Thuckalay, India, 23–24 April 2015; pp. 145–149. [Google Scholar] [CrossRef]
- Mao, Y.-C.; Chen, T.-Y.; Chou, H.-S.; Lin, S.-Y.; Liu, S.-Y.; Chen, Y.-A.; Liu, Y.-L.; Chen, C.-A.; Huang, Y.-C.; Chen, S.-L.; et al. Caries and Restoration Detection Using Bitewing Film Based on Transfer Learning with CNNs. Sensors 2021, 21, 4613. [Google Scholar] [CrossRef]
- Chuo, Y.; Lin, W.-M.; Chen, T.-Y.; Chan, M.-L.; Chang, Y.-S.; Lin, Y.-R.; Lin, Y.-J.; Shao, Y.-H.; Chen, C.-A.; Chen, S.-L.; et al. A High-Accuracy Detection System: Based on Transfer Learning for Apical Lesions on Periapical Radiograph. Bioengineering 2022, 9, 777. [Google Scholar] [CrossRef]
- Chen, S.-L.; Chen, T.-Y.; Mao, Y.-C.; Lin, S.-Y.; Huang, Y.-Y.; Chen, C.-A.; Lin, Y.-J.; Hsu, Y.-M.; Li, C.-A.; Chiang, W.-Y.; et al. Automated Detection System Based on Convolution Neural Networks for Retained Root, Endodontic Treated Teeth, and Implant Recognition on Dental Panoramic Images. IEEE Sens. J. 2022, 22, 23293–23306. [Google Scholar] [CrossRef]
- Li, C.-W.; Lin, S.-Y.; Chou, H.-S.; Chen, T.-Y.; Chen, Y.-A.; Liu, S.-Y.; Liu, Y.-L.; Chen, C.-A.; Huang, Y.-C.; Chen, S.-L.; et al. Detection of Dental Apical Lesions Using CNNs on Periapical Radiograph. Sensors 2021, 21, 7049. [Google Scholar] [CrossRef]
- Szegedy, C.; Liu, W.; Jia, Y.; Sermanet, P.; Reed, S.; Anguelov, D.; Erhan, D.; Vanhoucke, V.; Rabinovich, A. Going deeper with convolutions. In Proceedings of the IEEE Conference on Computer Vision and Pattern Recognition, Boston, MA, USA, 7–12 June 2015; pp. 1–9. [Google Scholar]
- Krizhevsky, A.; Sutskever, I.; Hinton, G.E. Imagenet classification with deep convolutional neural networks. Commun. ACM 2012, 60, 84–90. [Google Scholar]
- Simonyan, K.; Zisserman, A. Very deep convolutional networks for large-scale image recognition. arXiv 2014, arXiv:1409.1556. [Google Scholar]
- Szegedy, C.; Vanhoucke, V.; Ioffe, S.; Shlens, J.; Wojna, Z. Rethinking the inception architecture for computer vision. In Proceedings of the IEEE Conference on Computer Vision and Pattern Recognition, Las Vegas, NV, USA, 27–30 June 2016; pp. 2818–2826. [Google Scholar]
- He, K.; Zhang, X.; Ren, S.; Sun, J. Deep Residual Learning for Image Recognition. arXiv 2015, arXiv:1512.03385. [Google Scholar]













| The Number of Original Images from Clinical | |||
|---|---|---|---|
| Tooth | Lesion | Normal | total |
| Quantity | 128 | 140 | 368 |
| Training Set | Validation Set | Total | |
|---|---|---|---|
| Lesion | 271 (Expanded) | 41 | 312 |
| Normal | 245 (Expanded) | 106 | 351 |
| Hardware Platform | Version |
|---|---|
| CPU | AMD R5-5600X |
| GPU | GeForce GTX 1660 SUPER |
| DRAM | DDR4 3200 32 GB |
| OS | Windows 10 |
| Software platform | Version |
| MATLAB | R2022b |
| Layer | Type | Activation |
|---|---|---|
| 1 | Data | 224 × 224 × 3 |
| 2 | Convolution | 112 × 112 × 64 |
| 3 | Max Pool | 56 × 56 × 64 |
| 4 | Convolution | 56 × 56 × 192 |
| 5 | Max Pool | 28 × 28 × 192 |
| 6 | Inception (3a) | 28 × 28 × 256 |
| 7 | Inception (3b) | 28 × 28 × 480 |
| 8 | Max Pool | 14 × 14 × 480 |
| 9 | Inception (4a) | 14 × 14× 512 |
| 10 | Inception (4b) | 14 × 14 × 512 |
| 11 | Inception (4c) | 14 × 14 × 512 |
| 12 | Inception (4d) | 14 × 14 × 528 |
| 13 | Inception (4e) | 14 × 14 × 832 |
| 14 | Max Pool | 7 × 7 × 832 |
| 15 | Inception (5a) | 7 × 7 × 832 |
| 16 | Inception (5b) | 7 × 7 × 1024 |
| 17 | Avg Pool | 1 × 1 × 1024 |
| 18 | Dropout (40%) | 1 × 1 × 1024 |
| 19 | Linear | 1 × 1 × 1000 |
| 20 | Softmax | 1 × 1 × 1000 |
| Hyperparameters | Value |
|---|---|
| Max Epoch | 50 |
| Initial Learning Rate | 0.0001 |
| Mini Batch Size | 32 |
| Learn Drop Period | 5 |
| Validation Frequency | 3 |
| Learn Rate Drop Factor | 0.2000 |
| Epoch | Iteration | Time Elapsed | Mini-Batch Accuracy | Validation Accuracy | Mini-Batch Loss | Validation Loss |
|---|---|---|---|---|---|---|
| 1 | 1 | 00:00:02 | 34.38% | 55.28% | 1.6001 | 0.9257 |
| 5 | 60 | 00:00:37 | 90.62% | 77.89% | 0.3410 | 0.4747 |
| 10 | 130 | 00:01:15 | 75.00% | 81.91% | 0.5390 | 0.3947 |
| 15 | 200 | 00:01:53 | 78.12% | 88.44% | 0.3817 | 0.3297 |
| 20 | 280 | 00:02:40 | 87.50% | 90.45% | 0.2633 | 0.2445 |
| 25 | 350 | 00:03:17 | 93.75% | 88.94% | 0.1366 | 0.2721 |
| 30 | 420 | 00:03:55 | 96.88% | 89.95% | 0.0668 | 0.2637 |
| 35 | 480 | 00:04:28 | 90.62% | 92.46% | 0.1284 | 0.2018 |
| 40 | 550 | 00:05:07 | 93.75% | 91.96% | 0.1689 | 0.2093 |
| 45 | 620 | 00:05:44 | 93.75% | 94.47% | 0.1187 | 0.1702 |
| 50 | 700 | 00:06:30 | 96.88% | 94.97% | 0.0486 | 0.1700 |
| Actual Values | |||
|---|---|---|---|
| Normal | Lesion | ||
| Predicted Value | Normal | 46.8% | 4.3% |
| Lesion | 2.1% | 46.8% | |
| Original Images | Gaussian High-Pass Filter | Gaussian High-Pass Filter + Mask | |
|---|---|---|---|
| Validation Accuracy | 84.16% | 87.21% | 94.97% |
| Validation Loss | 0.7634 | 0.4578 | 0.1822 |
| Model | GoogLeNet | GoogLeNet | GoogLeNet |
| Image | ![]() | ![]() | ![]() |
| Tooth Position in Figure 12 | Recognition Accuracy | |
|---|---|---|
| Clinical Analysis | Molar | Single Tooth |
| Vgg19 | 98.01% | 97.53% |
| Inception v3 | 97.76% | 98.01% |
| Google Net | 98.51% | 98.42% |
| AlexNet | 98.51% | 98.26% |
| Training Process | Directly Identify the Disease | Identify the Disease after Classification |
|---|---|---|
| Vgg19 | 89.21% | 92.96% |
| Inception v3 | 91.58% | 94.23% |
| Google Net | 92.18% | 95.48% |
| AlexNet | 91.58% | 94.97% |
| GoogLeNet | Vgg19 | AlexNet | Inceptionv3 | |
|---|---|---|---|---|
| Accuracy | 94.97% | 92.96% | 94.92% | 94.21% |
| Recall | 95.6% | 73.9% | 86.9% | 86.9% |
| Precision | 91.6% | 68% | 80.0% | 83.3% |
| F1 | 93.5% | 70.8% | 83.3% | 85.0% |
| Elapsed time | 25 min 30 s | 87 min 47 s | 29 min 34 s | 76 min 50 s |
| Runtime | 2.5981 s | 6.4115 s | 2.7535 s | 4.2417 s |
| Method in [34] | This Research | ||||
|---|---|---|---|---|---|
| GoogLeNet | AlexNet | Vgg19 | Inceptionv3 | ||
| Accuracy | 89% | 94.97% | 94.92% | 92.96% | 94.21% |
Disclaimer/Publisher’s Note: The statements, opinions and data contained in all publications are solely those of the individual author(s) and contributor(s) and not of MDPI and/or the editor(s). MDPI and/or the editor(s) disclaim responsibility for any injury to people or property resulting from any ideas, methods, instructions or products referred to in the content. |
© 2023 by the authors. Licensee MDPI, Basel, Switzerland. This article is an open access article distributed under the terms and conditions of the Creative Commons Attribution (CC BY) license (https://creativecommons.org/licenses/by/4.0/).
Share and Cite
Mao, Y.-C.; Huang, Y.-C.; Chen, T.-Y.; Li, K.-C.; Lin, Y.-J.; Liu, Y.-L.; Yan, H.-R.; Yang, Y.-J.; Chen, C.-A.; Chen, S.-L.; et al. Deep Learning for Dental Diagnosis: A Novel Approach to Furcation Involvement Detection on Periapical Radiographs. Bioengineering 2023, 10, 802. https://doi.org/10.3390/bioengineering10070802
Mao Y-C, Huang Y-C, Chen T-Y, Li K-C, Lin Y-J, Liu Y-L, Yan H-R, Yang Y-J, Chen C-A, Chen S-L, et al. Deep Learning for Dental Diagnosis: A Novel Approach to Furcation Involvement Detection on Periapical Radiographs. Bioengineering. 2023; 10(7):802. https://doi.org/10.3390/bioengineering10070802
Chicago/Turabian StyleMao, Yi-Cheng, Yen-Cheng Huang, Tsung-Yi Chen, Kuo-Chen Li, Yuan-Jin Lin, Yu-Lin Liu, Hong-Rong Yan, Yu-Jie Yang, Chiung-An Chen, Shih-Lun Chen, and et al. 2023. "Deep Learning for Dental Diagnosis: A Novel Approach to Furcation Involvement Detection on Periapical Radiographs" Bioengineering 10, no. 7: 802. https://doi.org/10.3390/bioengineering10070802
APA StyleMao, Y.-C., Huang, Y.-C., Chen, T.-Y., Li, K.-C., Lin, Y.-J., Liu, Y.-L., Yan, H.-R., Yang, Y.-J., Chen, C.-A., Chen, S.-L., Li, C.-W., Chan, M.-L., Chuo, Y., & Abu, P. A. R. (2023). Deep Learning for Dental Diagnosis: A Novel Approach to Furcation Involvement Detection on Periapical Radiographs. Bioengineering, 10(7), 802. https://doi.org/10.3390/bioengineering10070802




