Porcelain Veneers in Vital vs. Non-Vital Teeth: A Retrospective Clinical Evaluation
Abstract
1. Introduction
2. Materials and Methods
2.1. Study Characteristics, Participants, and Design
2.2. Pre-Treatment Procedures
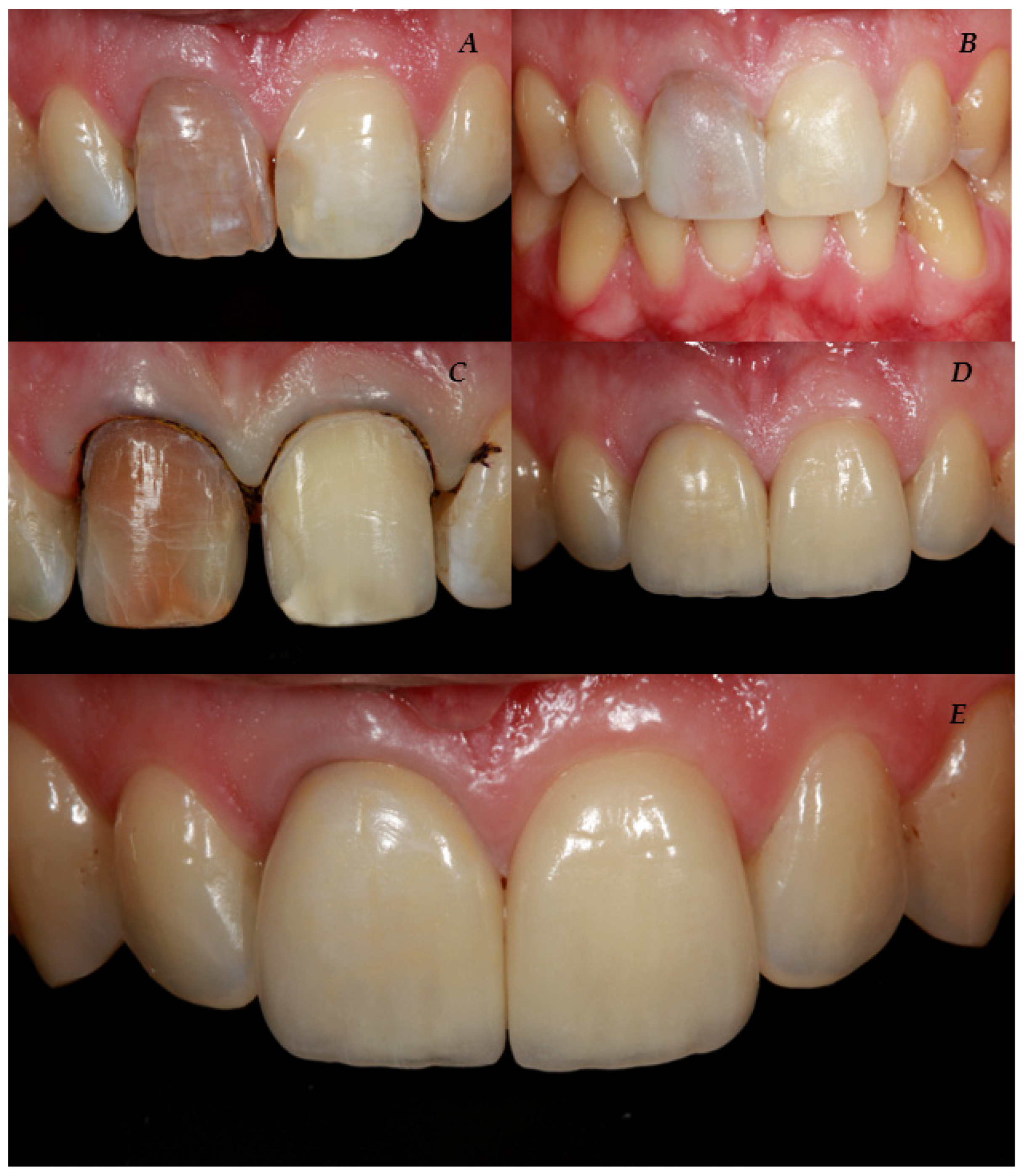
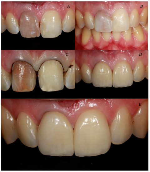
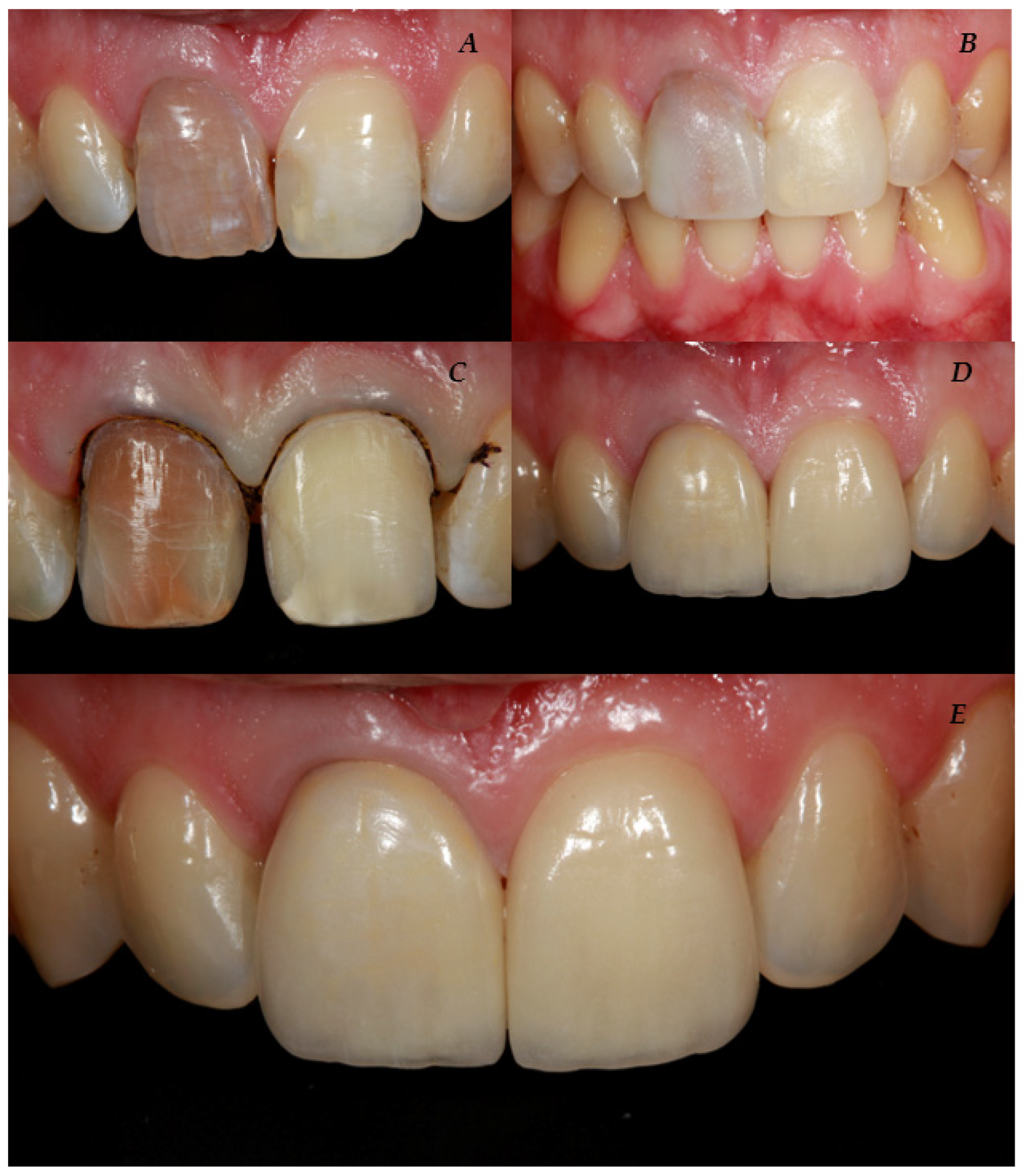
2.3. Tooth Preparation Procedure
2.4. Impression Procedure and Occlusion Registration
2.5. Temporalization
2.6. Laboratory Procedure
2.7. Clinical Try-In and Luting Procedure
2.8. Occlusal Adjustment and Polishing
2.9. Evaluation Procedures
2.10. Statistical Analysis
3. Results
4. Discussion
5. Conclusions
Author Contributions
Funding
Institutional Review Board Statement
Informed Consent Statement
Data Availability Statement
Conflicts of Interest
References
- Alshehri, K.A.; Alhejazi, M.A.; Almutairi, S.M.; Alshareef, A.H.; Alothman, K.J.; Alqarni, A.N.; Almutairi, M.S.; Matrood, M.A.; Noorsaeed, A.S. Overview on Dental Veneer Placement. J. Pharm. Res. Int. 2021, 33, 494–501. [Google Scholar]
- Van Wezel, N.A.; Bos, A.; Prahl, C. Expectations of Treatment and Satisfaction with Dentofacial Appearance in Patients Applying for Orthodontic Treatment. Am. J. Orthod. Dentofacial Orthop. 2015, 147, 698–703. [Google Scholar] [CrossRef] [PubMed]
- Monaraks, R.; Leevailoj, C. The Longevity of Ceramic Veneers: Clinical Evaluation of Mechanical, Biologic and Aesthetic Performances of Ceramic Veneers, a 7-Year Retrospective Study. J. Dent. Assoc. Thai. 2018, 68, 288–301. [Google Scholar]
- Fahl, N., Jr.; Ritter, A.V. Composite Veneers: The Direct–Indirect Technique Revisited. J. Esthet. Restor. Dent. 2021, 33, 7–19. [Google Scholar] [CrossRef] [PubMed]
- Korkut, B.; Yanıkoğlu, F.; Günday, M. Direct Composite Laminate Veneers: Three Case Reports. J. Dent. Res. Dent. Clin. Dent. Prospects 2013, 7, 105. [Google Scholar]
- Nalbandian, S.; Millar, B. The Effect of Veneers on Cosmetic Improvement. Br. Dent. J. 2009, 207, E3. [Google Scholar] [CrossRef]
- Alonso, V.; Caserio, M. A Clinical Study of Direct Composite Full-Coverage Crowns: Long-Term Results. Oper. Dent. 2012, 37, 432–441. [Google Scholar] [CrossRef]
- Demarco, F.F.; Collares, K.; Coelho-de-Souza, F.H.; Correa, M.B.; Cenci, M.S.; Moraes, R.R.; Opdam, N.J. Anterior Composite Restorations: A Systematic Review on Long-Term Survival and Reasons for Failure. Dent. Mater. 2015, 31, 1214–1224. [Google Scholar] [CrossRef]
- Pini, N.P.; Aguiar, F.H.B.; Lima, D.A.N.L.; Lovadino, J.R.; Terada, R.S.S.; Pascotto, R.C. Advances in Dental Veneers: Materials, Applications, and Techniques. Clin. Cosmet. Investig. Dent. 2012, 4, 9. [Google Scholar]
- Peumans, M.; De Munck, J.; Fieuws, S.; Lambrechts, P.; Vanherle, G.; Van Meerbeek, B. A Prospective Ten-Year Clinical Trial of Porcelain Veneers. J. Adhes. Dent. 2004, 6, 65–76. [Google Scholar]
- Freire, A.; Regina Archegas, L. Porcelain Laminate Veneer on a Highly Discoloured Tooth: A Case Report. J. Can. Dent. Assoc. 2010, 76, 305. [Google Scholar]
- Walter, R.D.; Raigrodski, A.J.; Swift, J.; Edward, J. Clinical Considerations for Restoring Mandibular Incisors with Porcelain Laminate Veneers. J. Esthet. Restor. Dent. 2008, 20, 276–281. [Google Scholar] [CrossRef] [PubMed]
- Chen, J.; Shi, C.; Wang, M.; Zhao, S.; Wang, H. Clinical Evaluation of 546 Tetracycline-Stained Teeth Treated with Porcelain Laminate Veneers. J. Dent. 2005, 33, 3–8. [Google Scholar] [CrossRef]
- Zarow, M.; Ramirez-Sebastia, A.; Paolone, G.; de Ribot Porta, J.; Mora, J.; Espona, J.; Durán-Sindreu, F.; Roig, M. A New Classification System for the Restoration of Root Filled Teeth. Int. Endod. J. 2018, 51, 318–334. [Google Scholar] [CrossRef]
- Fons Font, A.; Solá Ruiz, M.F.; Granell Ruiz, M.; Labaig Rueda, C.; Martínez González, A. Choice of Ceramic for Use in Treatments with Porcelain Laminate Veneers. Chem. Dent. 2006, 11, 297–302. [Google Scholar]
- Gresnigt, M.; Cune, M.; Jansen, K.; Van der Made, S.; Özcan, M. Randomized Clinical Trial on Indirect Resin Composite and Ceramic Laminate Veneers: Up to 10-Year Findings. J. Dent. 2019, 86, 102–109. [Google Scholar] [CrossRef] [PubMed]
- Soares-Rusu, I.B.; Villavicencio-Espinoza, C.A.; de Oliveira, N.A.; Wang, L.; Honório, H.M.; Rubo, J.H.; Borges, A.F. Using Digital Photographs as a Tool to Assess the Clinical Color Stability of Lithium Disilicate Veneers: A Clinical Trial. J. Prosthet. Dent. 2022, in press. [Google Scholar] [CrossRef]
- Gresnigt, M.M.M.; Cune, M.S.; Schuitemaker, J.; van der Made, S.A.M.; Meisberger, E.W.; Magne, P.; Özcan, M. Performance of Ceramic Laminate Veneers with Immediate Dentine Sealing: An 11 Year Prospective Clinical Trial. Dent. Mater. 2019, 35, 1042–1052. [Google Scholar] [CrossRef] [PubMed]
- Schlichting, L.H.; Resende, T.H.; Reis, K.R.; Raybolt Dos Santos, A.; Correa, I.C.; Magne, P. Ultrathin CAD-CAM Glass Ceramic and Composite Resin Occlusal Veneers for the Treatment of Severe Dental Erosion: An up to 3-Year Randomized Clinical Trial. J. Prosthet. Dent. 2022, 128, 158.E1–158.E12. [Google Scholar] [CrossRef]
- Abdulateef, O.F.; ÇOBANOĞLU, N. 12-Months Color Stability of Direct Resin Composite Veneers in Anterior Teeth: Clinical Trial. J. Baghdad Coll. Dent. 2022, 34, 42–49. [Google Scholar] [CrossRef]
- Mazzetti, T.; Collares, K.; Rodolfo, B.; da Rosa Rodolpho, P.A.; van de Sande, F.H.; Cenci, M.S. 10-Year Practice-Based Evaluation of Ceramic and Direct Composite Veneers. Dent. Mater. 2022, 38, 898–906. [Google Scholar] [CrossRef]
- Burke, F.T. Survival Rates for Porcelain Laminate Veneers with Special Reference to the Effect of Preparation in Dentin: A Literature Review. J. Esthet. Restor. Dent. 2012, 24, 257–265. [Google Scholar] [CrossRef] [PubMed]
- Pereira, S.; Anami, L.; Pereira, C.; Souza, R.; Kantorski, K.; Bottino, M.; Jorge, A.; Valandro, L. Bacterial Colonization in the Marginal Region of Ceramic Restorations: Effects of Different Cement Removal Methods and Polishing. Oper. Dent. 2016, 41, 642–654. [Google Scholar] [CrossRef]
- Kois, J.; Hartrick, N. Functional Occlusion: Science-Driven Management. J. Cosmet. Dent. 2007, 23, 54–55. [Google Scholar]
- Hardan, L.; Mancino, D.; Bourgi, R.; Cuevas-Suárez, C.E.; Lukomska-Szymanska, M.; Zarow, M.; Jakubowicz, N.; Zamarripa-Calderón, J.E.; Kafa, L.; Etienne, O. Treatment of Tooth Wear Using Direct or Indirect Restorations: A Systematic Review of Clinical Studies. Bioengineering 2022, 9, 346. [Google Scholar] [CrossRef] [PubMed]
- Cerutti, A.; Barabanti, N.; Özcan, M. Clinical Performance of Posterior Microhybrid Resin Composite Restorations Applied Using Regular and High-Power Mode Polymerization Protocols According to USPHS and SQUACE Criteria: 10-Year Randomized Controlled Split-Mouth Trial. J. Adhes. Dent. 2020, 22, 343–351. [Google Scholar]
- Matos, T.P.; Hanzen, T.A.; Almeida, R.; Tardem, C.; Bandeca, M.C.; Barceleiro, M.O.; Loguercio, A.D.; Reis, A. Five-Year Randomized Clinical Trial on the Performance of Two Etch-and-Rinse Adhesives in Noncarious Cervical Lesions. Oper. Dent. 2022, 47, 31–42. [Google Scholar] [CrossRef]
- Friedman, M. A 15-Year Review of Porcelain Veneer Failure—A Clinician’s Observations. Compend. Contin. Educ. Dent. 1998, 19, 625–628. [Google Scholar]
- Dumfahrt, H.; Schäffer, H. Porcelain Laminate Veneers. A Retrospective Evaluation after 1 to 10 Years of Service: Part II—Clinical Results. Int. J. Prosthodont. 2000, 13, 9–18. [Google Scholar] [PubMed]
- Gresnigt, M.M.; Kalk, W.; Ozcan, M. Randomized Clinical Trial of Indirect Resin Composite and Ceramic Veneers: Up to 3-Year Follow-Up. J. Adhes. Dent. 2013, 15, 181–190. [Google Scholar] [PubMed]
- Layton, D.; Walton, T. An up to 16-Year Prospective Study of 304 Porcelain Veneers. Int. J. Prosthodont. 2007, 20, 389. [Google Scholar]
- Carvalho, A.A.; Leite, M.M.; Zago, J.K.M.; Nunes, C.A.B.C.M.; Barata, T.D.J.E.; de Freitas, G.C.; de Torres, É.M.; Lopes, L.G. Influence of Different Application Protocols of Universal Adhesive System on the Clinical Behavior of Class I and II Restorations of Composite Resin–a Randomized and Double-Blind Controlled Clinical Trial. BMC Oral Health 2019, 19, 252. [Google Scholar] [CrossRef] [PubMed]
- Machiulskiene, V.; Campus, G.; Carvalho, J.C.; Dige, I.; Ekstrand, K.R.; Jablonski-Momeni, A.; Maltz, M.; Manton, D.J.; Martignon, S.; Martinez-Mier, E.A. Terminology of Dental Caries and Dental Caries Management: Consensus Report of a Workshop Organized by ORCA and Cariology Research Group of IADR. Caries. Res. 2020, 54, 7–14. [Google Scholar] [CrossRef] [PubMed]
- Gurel, G.; Sesma, N.; Calamita, M.A.; Coachman, C.; Morimoto, S. Influence of Enamel Preservation on Failure Rates of Porcelain Laminate Veneers. Int. J. Periodontics Restor. Dent. 2013, 33, 31–39. [Google Scholar] [CrossRef] [PubMed]
- Fradeani, M. Six-Year Follow-up with Empress Veneers. Int. J. Periodontics Restor. Dent. 1998, 18, 216–225. [Google Scholar]
- Mehrabi, F.; Shanahan, D.; Davis, G. Xerostomia. Part 1: Aetiology and Oral Manifestations. Dent. Update 2022, 49, 840–846. [Google Scholar] [CrossRef]
- Wang, Y.; Li, C.; Yuan, H.; Wong, M.C.; Zou, J.; Shi, Z.; Zhou, X. Rubber Dam Isolation for Restorative Treatment in Dental Patients. Cochrane Database Syst. Rev. 2016, 20, CD009858. [Google Scholar] [CrossRef]
- Laske, M.; Opdam, N.J.; Bronkhorst, E.M.; Braspenning, J.C.; Huysmans, M. Ten-Year Survival of Class II Restorations Placed by General Practitioners. JDR Clin. Transl. Res. 2016, 1, 292–299. [Google Scholar] [CrossRef]
- Opdam, N.; Bronkhorst, E.; Loomans, B.; Huysmans, M.-C. 12-Year Survival of Composite vs. Amalgam Restorations. J. Dent. Res. 2010, 89, 1063–1067. [Google Scholar] [CrossRef]
- Askar, H.; Krois, J.; Göstemeyer, G.; Bottenberg, P.; Zero, D.; Banerjee, A.; Schwendicke, F. Secondary Caries: What Is It, and How It Can Be Controlled, Detected, and Managed? Clin. Oral Investig. 2020, 24, 1869–1876. [Google Scholar] [CrossRef]
- Ghaffari, T.; Hamedi-Rad, F.; Fakhrzadeh, V. Marginal Adaptation of Spinell InCeram and Feldspathic Porcelain Laminate Veneers. Dent. Res. J. 2016, 13, 239. [Google Scholar] [CrossRef] [PubMed]
- Baig, M.R.; Akbar, A.A.; Sabti, M.Y.; Behbehani, Z. Evaluation of Marginal and Internal Fit of a CAD/CAM Monolithic Zirconia-Reinforced Lithium Silicate Porcelain Laminate Veneer System. J. Prosthodont. 2022, 31, 502–511. [Google Scholar] [CrossRef] [PubMed]
- Beuer, F.; Aggstaller, H.; Edelhoff, D.; Gernet, W.; Sorensen, J. Marginal and Internal Fits of Fixed Dental Prostheses Zirconia Retainers. Dent. Mater. 2009, 25, 94–102. [Google Scholar] [CrossRef] [PubMed]
- Peumans, M.; Van Meerbeek, B.; Lambrechts, P.; Vanherle, G. Porcelain Veneers: A Review of the Literature. J. Dent. 2000, 28, 163–177. [Google Scholar] [CrossRef]
- Tosco, V.; Monterubbianesi, R.; Orilisi, G.; Sabbatini, S.; Conti, C.; Özcan, M.; Putignano, A.; Orsini, G. Comparison of Two Curing Protocols during Adhesive Cementation: Can the Step Luting Technique Supersede the Traditional One? Odontology 2021, 109, 433–439. [Google Scholar] [CrossRef]
- Mihali, S.G.; Lolos, D.; Popa, G.; Tudor, A.; Bratu, D.C. Retrospective Long-Term Clinical Outcome of Feldspathic Ceramic Veneers. Materials 2022, 15, 2150. [Google Scholar] [CrossRef]
- Castelnuovo, J.; Tjan, A.H.; Phillips, K.; Nicholls, J.I.; Kois, J.C.; University of Washington, School of Dentistry. Fracture Load and Mode of Failure of Ceramic Veneers with Different Preparations. J. Prosthet. Dent. 2000, 83, 171–180. [Google Scholar] [CrossRef]
- Frankenberger, R.; Krämer, N.; Lohbauer, U.; Nikolaenko, S.A.; Reich, S.M. Marginal Integrity: Is the Clinical Performance of Bonded Restorations Predictable in Vitro? J. Adhes. Dent. 2007, 9, 107–116. [Google Scholar]
- Beier, U.S.; Kapferer, I.; Burtscher, D.; Dumfahrt, H. Clinical Performance of Porcelain Laminate Veneers for up to 20 Years. Int. J. Prosthodont. 2012, 25, 79–85. [Google Scholar]
- Hardan, L.; Bourgi, R.; Cuevas-Suárez, C.E.; Lukomska-Szymanska, M.; Monjarás-Ávila, A.J.; Zarow, M.; Jakubowicz, N.; Jorquera, G.; Ashi, T.; Mancino, D.; et al. Novel Trends in Dental Color Match Using Different Shade Selection Methods: A Systematic Review and Meta-Analysis. Materials 2022, 15, 468. [Google Scholar] [CrossRef]
- Sari, T.; Ural, C.; Yüzbasioglu, E.; Duran, I.; Cengiz, S.; Kavut, I. Color Match of a Feldspathic Ceramic CAD-CAM Material for Ultrathin Laminate Veneers as a Function of Substrate Shade, Restoration Color, and Thickness. J. Prosthet. Dent. 2018, 119, 455–460. [Google Scholar] [CrossRef] [PubMed]
- Turgut, S.; Bagis, B.; Ayaz, E.A. Achieving the Desired Colour in Discoloured Teeth, Using Leucite-Based CAD-CAM Laminate Systems. J. Dent. 2014, 42, 68–74. [Google Scholar] [CrossRef] [PubMed]
- Zarow, M. Nonvital Tooth Bleaching: A Case Discussion for the Clinical Practice. Compend. Contin. Educ. Dent. 2016, 37, 268–276. [Google Scholar]
- Calamita, M.; Coachman, C.; Sesma, N.; Kois, J. Occlusal Vertical Dimension: Treatment Planning Decisions and Management Considerations. Int. J. Esthet. Dent. 2019, 14, 166–181. [Google Scholar] [PubMed]
- Mannocci, F.; Cowie, J. Restoration of Endodontically Treated Teeth. Br. Dent. J. 2014, 216, 341–346. [Google Scholar] [CrossRef]
- Rashid, H. The Effect of Surface Roughness on Ceramics Used in Dentistry: A Review of Literature. Eur. J. Dent. 2014, 8, 571–579. [Google Scholar] [CrossRef] [PubMed]
- Rosentritt, M.; Sawaljanow, A.; Behr, M.; Kolbeck, C.; Preis, V. Effect of Tooth Brush Abrasion and Thermo-Mechanical Loading on Direct and Indirect Veneer Restorations. Clin. Oral Investig. 2015, 19, 53–60. [Google Scholar] [CrossRef] [PubMed]
- El Sayed, S.M.; Basheer, R.R.; Bahgat, S.F.A. Color Stability and Fracture Resistance of Laminate Veneers Using Different Restorative Materials and Techniques. Egypt. Dent. J. 2016, 62, 1–15. [Google Scholar]


| Independent Variable | n | % |
|---|---|---|
| Sex | ||
| Male | 13 | 23.6 |
| Female | 42 | 76.3 |
| Total | 55 | 100 |
| Tooth type | ||
| Central incisor | 81 | 52.6 |
| Lateral incisor | 53 | 34.4 |
| Canine | 20 | 13.0 |
| Total | 154 | 100 |
| Follow-up time (years) | ||
| 0.5–2 | 3 | 1.9 |
| 2–3.9 | 1 | 0.7 |
| 4–5.9 | 43 | 27.9 |
| 6–7.9 | 22 | 14.3 |
| More than 8 | 85 | 55.2 |
| Total | 154 | 100 |
| Tooth vitality | ||
| Vital | 93 | 60.4 |
| Non-vital | 61 | 39.6 |
| Total | 154 | 100 |
| Category | Criterion | Definition |
|---|---|---|
| Secondary Caries | ALPHA | No evidence of caries |
| CHARLIE | Caries is evident, contiguous with the margin of the restoration | |
| Marginal Adaptation | ALPHA | Restoration is contiguous with existing anatomical form, explorer does not catch |
| BRAVO | Explorer catches, no crevice is visible into which explorer will penetrate | |
| CHARLIE | Obvious crevice at margin, dentine or base exposed | |
| DELTA | Restoration mobile, fractured partially or totally | |
| Marginal Discoloration | ALPHA | No discoloration evident |
| BRAVO | Slight staining: can be polished away | |
| CHARLIE | Obvious staining: cannot be polished away | |
| DELTA | Gross staining | |
| Color Match | ALPHA | Very good color match |
| BRAVO | Slight mismatch in color, shade, or translucency | |
| CHARLIE | Obvious mismatch, outside the normal range | |
| DELTA | Gross mismatch | |
| Restoration Integrity | ALPHA | No material defect, no crack |
| BRAVO | Two or more cracks not compromising marginal integrity or contacts | |
| CHARLIE | Restorative fractures compromising marginal integrity or contacts | |
| DELTA | Partial or complete restorative loss | |
| Surface Roughness | ALPHA | Smooth surface |
| BRAVO | Slightly rough or pitted | |
| CHARLIE | Rough, cannot be refinished | |
| DELTA | Surface deeply pitted, irregular grooves |
| Vital Teeth | Non-Vital Teeth | Mann–Whitney p | |||
|---|---|---|---|---|---|
| Restoration Scores (A/B/C/D) | Restorations Clinically Acceptable | Restoration Scores (A/B/C/D) | Restorations Clinically Acceptable | ||
| Secondary Caries | 92/1/-/- | 98.9% | 61/0/-/- | 100% | 0.188 |
| Marginal Adaptation | 66/27/0/0 | 100% | 52/9/0/0 | 100% | 0.635 |
| Marginal Discoloration | 66/27/0/0 | 100% | 46/15/0/0 | 100% | 0.871 |
| Color Match | 93/0/0/0 | 100% | 59/2/0/0 | 100% | 0.648 |
| Restoration Integrity | 91/2/0/0 | 100% | 60/1/0/0 | 100% | 0.867 |
| Surface Roughness | 92/1/0/0 | 100% | 60/1/0/0 | 100% | 0.893 |
Disclaimer/Publisher’s Note: The statements, opinions and data contained in all publications are solely those of the individual author(s) and contributor(s) and not of MDPI and/or the editor(s). MDPI and/or the editor(s) disclaim responsibility for any injury to people or property resulting from any ideas, methods, instructions or products referred to in the content. |
© 2023 by the authors. Licensee MDPI, Basel, Switzerland. This article is an open access article distributed under the terms and conditions of the Creative Commons Attribution (CC BY) license (https://creativecommons.org/licenses/by/4.0/).
Share and Cite
Zarow, M.; Hardan, L.; Szczeklik, K.; Bourgi, R.; Cuevas-Suárez, C.E.; Jakubowicz, N.; Nicastro, M.; Devoto, W.; Dominiak, M.; Pytko-Polończyk, J.; et al. Porcelain Veneers in Vital vs. Non-Vital Teeth: A Retrospective Clinical Evaluation. Bioengineering 2023, 10, 168. https://doi.org/10.3390/bioengineering10020168
Zarow M, Hardan L, Szczeklik K, Bourgi R, Cuevas-Suárez CE, Jakubowicz N, Nicastro M, Devoto W, Dominiak M, Pytko-Polończyk J, et al. Porcelain Veneers in Vital vs. Non-Vital Teeth: A Retrospective Clinical Evaluation. Bioengineering. 2023; 10(2):168. https://doi.org/10.3390/bioengineering10020168
Chicago/Turabian StyleZarow, Maciej, Louis Hardan, Katarzyna Szczeklik, Rim Bourgi, Carlos Enrique Cuevas-Suárez, Natalia Jakubowicz, Marco Nicastro, Walter Devoto, Marzena Dominiak, Jolanta Pytko-Polończyk, and et al. 2023. "Porcelain Veneers in Vital vs. Non-Vital Teeth: A Retrospective Clinical Evaluation" Bioengineering 10, no. 2: 168. https://doi.org/10.3390/bioengineering10020168
APA StyleZarow, M., Hardan, L., Szczeklik, K., Bourgi, R., Cuevas-Suárez, C. E., Jakubowicz, N., Nicastro, M., Devoto, W., Dominiak, M., Pytko-Polończyk, J., Bereziewicz, W., & Lukomska-Szymanska, M. (2023). Porcelain Veneers in Vital vs. Non-Vital Teeth: A Retrospective Clinical Evaluation. Bioengineering, 10(2), 168. https://doi.org/10.3390/bioengineering10020168

