Immunomodulatory Changes Following Isolated RF Ablation in Colorectal Liver Metastases: A Case Report
Abstract
1. Introduction
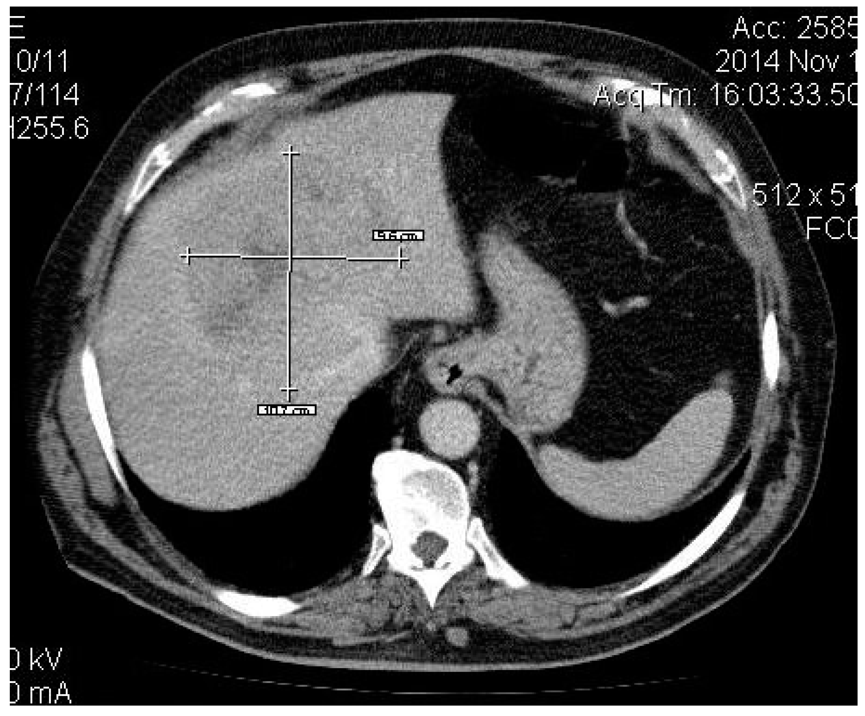
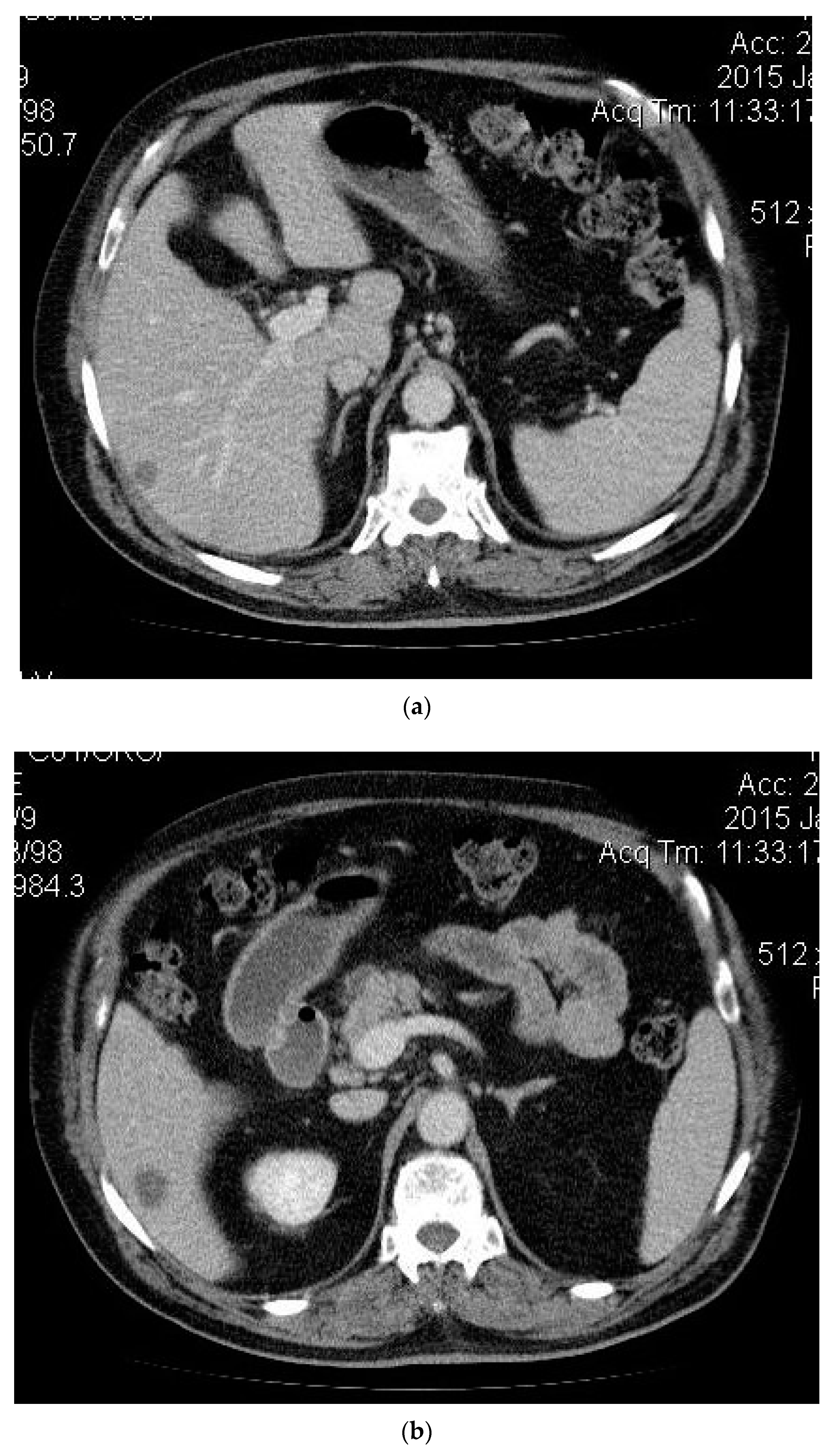
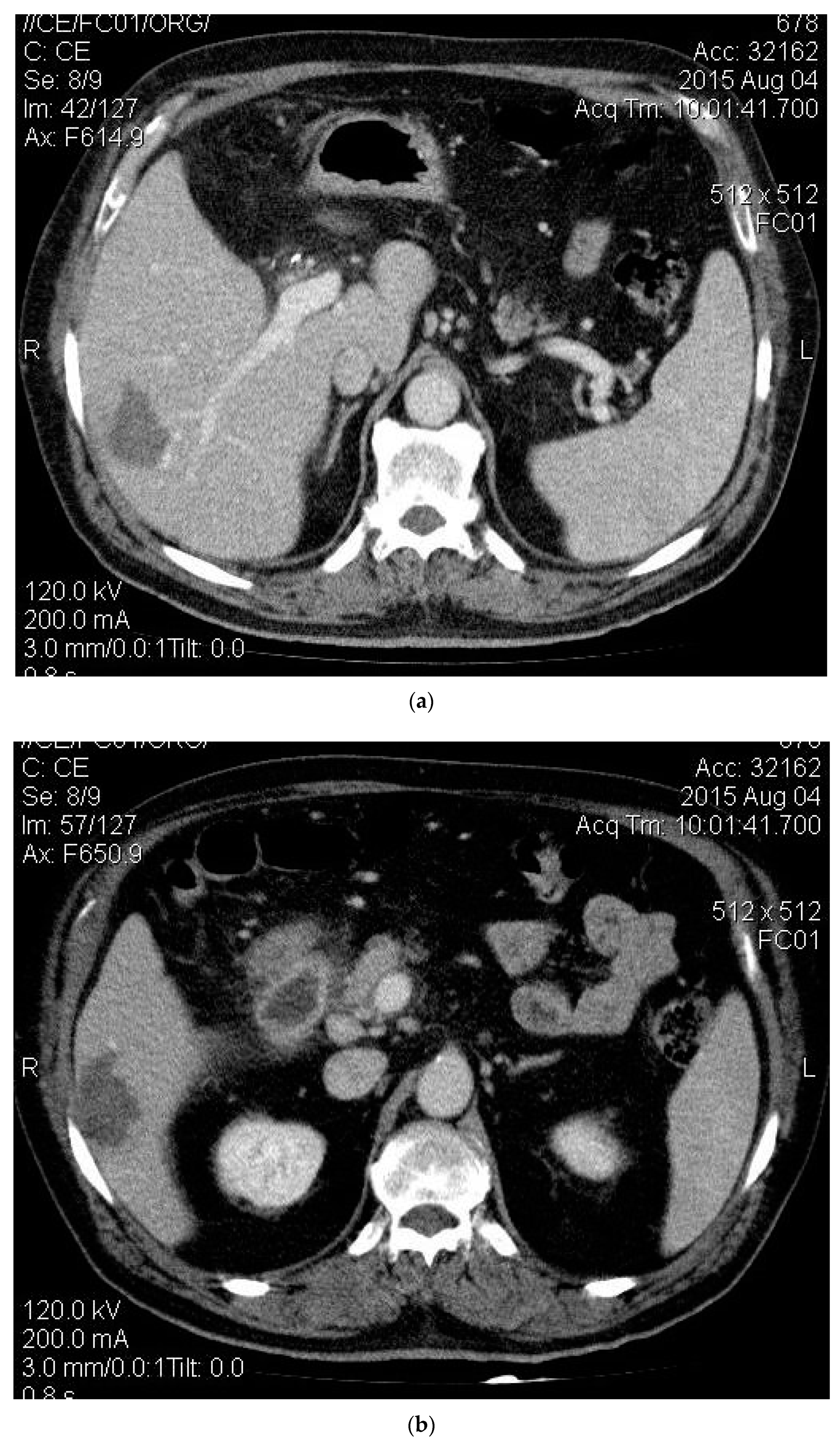
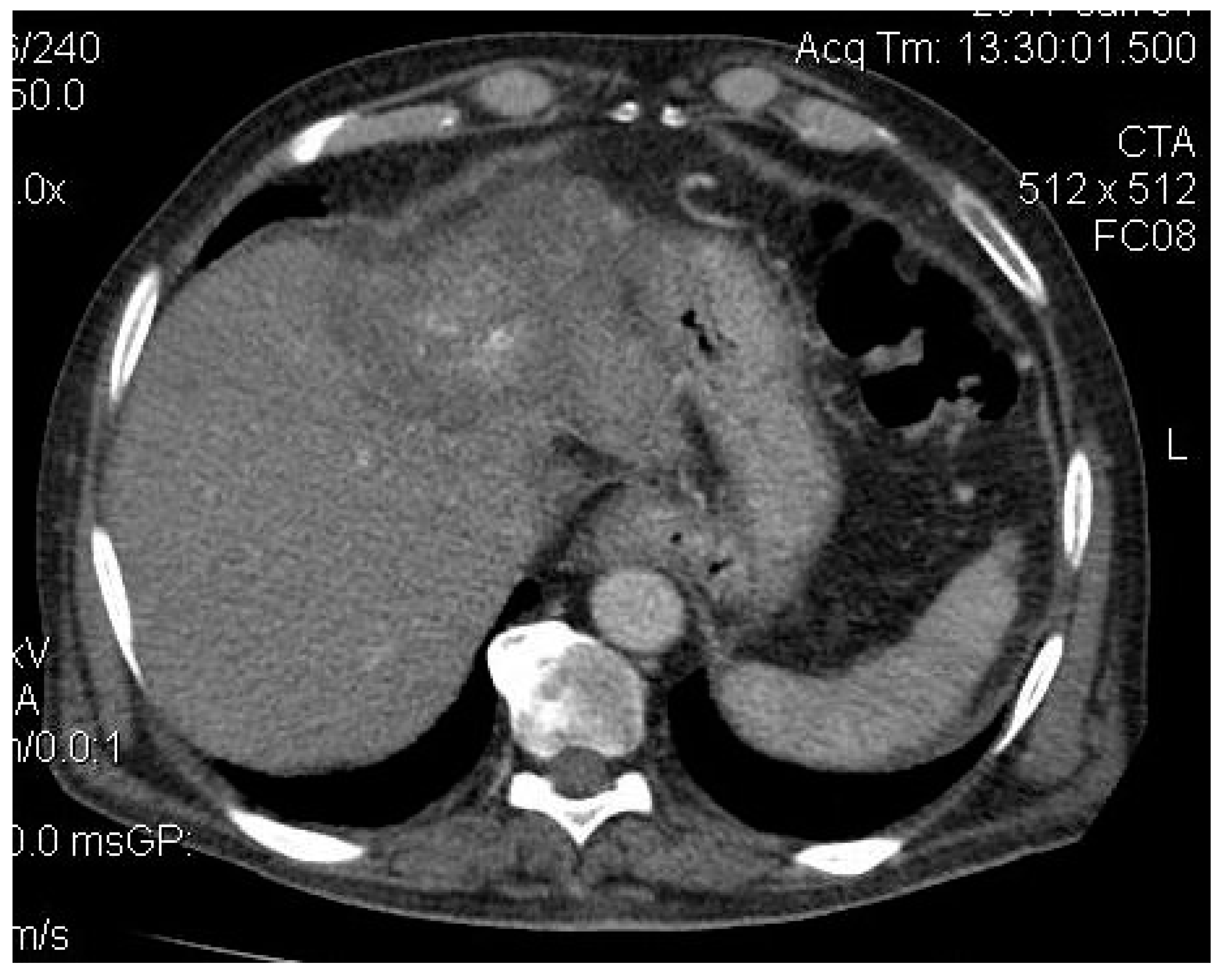
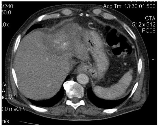
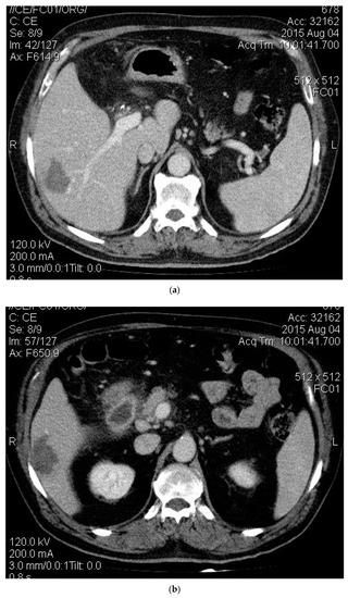
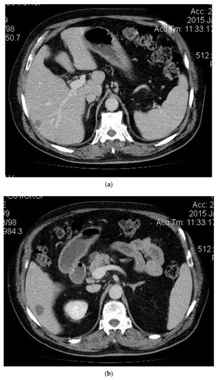
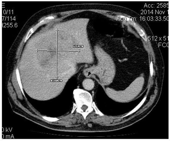
2. Case Presentation
3. Discussion
Author Contributions
Funding
Acknowledgments
Conflicts of Interest
References
- Manfredi, S.; Lepage, C.; Hatem, C.; Coatmeur, O.; Faivre, J.; Bouvier, A.M. Epidemiology and management of liver metastases from colorectal cancer. Ann. Surg. 2006, 244, 254. [Google Scholar] [CrossRef] [PubMed]
- Hackl, C.; Neumann, P.; Gerken, M.; Loss, M.; Klinkhammer-Schalke, M.; Schlitt, H.J. Treatment of colorectal liver metastases in Germany: A ten-year population-based analysis of 5772 cases of primary colorectal adenocarcinoma. BMC Cancer 2014, 14, 810. [Google Scholar] [CrossRef]
- SEER Cancer Stat Facts Colorecatal Cancer. Available online: https://seer.cancer.gov/statfacts/html/colorect.html (accessed on 8 April 2019).
- Tapper, E.B.; Parikh, N.D. Mortality due to cirrhosis and liver cancer in the United States, 1999–2016: Observational study. BMJ 2018, 362, k2817. [Google Scholar] [CrossRef] [PubMed]
- House, M.G.; Ito, H.; Gönen, M.; Fong, Y.; Allen, P.J.; DeMatteo, R.P.; Brennan, M.F.; Blumgart, L.H.; Jarnagin, W.R.; D’Angelica, M.I. Survival after Hepatic Resection for Metastatic Colorectal Cancer: Trends in Outcomes for 1600 Patients during Two Decades at a Single Institution. J. Am. Coll. Surg. 2010, 210, 744–752. [Google Scholar] [CrossRef] [PubMed]
- Choti, M.A.; Sitzmann, J.V.; Tiburi, M.F.; Sumetchotimetha, W.; Rangsin, R.; Schulick, R.D.; Lillemoe, K.D.; Yeo, C.J.; Cameron, J.L. Trends in long-term survival following liver resection for hepatic colorectal metastases. Ann. Surg. 2002, 235, 759. [Google Scholar] [CrossRef] [PubMed]
- Van Cutsem, E.; Cervantes, A.; Adam, R.; Sobrero, A.; Van Krieken, J.H.; Aderka, D.; Aranda Aguilar, E.; Bardelli, A.; Benson, A.; Bodoky, G.; et al. ESMO consensus guidelines for the management of patients with metastatic colorectal cancer. Ann. Oncol. 2016, 27, 1386–1422. [Google Scholar] [CrossRef]
- Van der Pool, A.E.M.; Damhuis, R.A.; Ijzermans, J.N.M.; de Wilt, J.H.W.; Eggermont, A.M.M.; Kranse, R.; Verhoef, C. Trends in incidence, treatment and survival of patients with stage IV colorectal cancer: A population-based series. Color. Dis. 2012, 14, 56–61. [Google Scholar] [CrossRef]
- Yao, P.; Morris, D.L. Radiofrequency ablation-assisted liver resection: Review of the literature and our experience. HPB 2006, 8, 248–254. [Google Scholar] [CrossRef]
- Reccia, I.; Kumar, J.; Kusano, T.; Giakoustidis, A.; Zanellato, A.; Retsas, P.; Habib, N.; Jiao, L.; Spalding, D.; Pai, M. Radiofrequency-assisted liver resection: Technique and results. Surg. Oncol. 2018, 27, 415–420. [Google Scholar] [CrossRef] [PubMed]
- Abdalla, E.K.; Vauthey, J.N.; Ellis, L.M.; Ellis, V.; Pollock, R.; Broglio, K.R.; Hess, K.; Curley, S.A. Recurrence and outcomes following hepatic resection, radiofrequency ablation, and combined resection/ablation for colorectal liver metastases. Ann. Surg. 2004, 239, 818–825. [Google Scholar] [CrossRef]
- Meijerink, M.R.; Puijk, R.S.; van Tilborg, A.A.; Henningsen, K.H.; Fernandez, L.G.; Neyt, M.; Heymans, J.; Frankema, J.S.; de Jong, K.P.; Richel, D.J.; et al. Radiofrequency and Microwave Ablation Compared to Systemic Chemotherapy and to Partial Hepatectomy in the Treatment of Colorectal Liver Metastases: A Systematic Review and Meta-Analysis. Cardiovasc. Interv. Radiol. 2018, 41, 1189–1204. [Google Scholar] [CrossRef] [PubMed]
- Ueno, S.; Sakoda, M.; Kubo, F.; Hiwatashi, K.; Tateno, T.; Baba, Y.; Hasegawa, S.; Tsubouchi, H.; Kagoshima Liver Cancer Study Group. Surgical resection versus radiofrequency ablation for small hepatocellular carcinomas within the Milan criteria. J. Hepatobiliary Pancreat. Surg. 2009, 16, 359–366. [Google Scholar] [CrossRef] [PubMed]
- De Iongh, F.A.; Rombouts, S.J.E.; Nijkamp, M.W.; Nierkens, S.; Hagendoorn, J.; Kranenburg, O.; Rinkes, I.B.; Molenaar, I.Q. Induction of immunomodulatory responses following radiofrequency ablation of solid malignancies: A systematic review. HPB 2016, 18, e747. Available online: http://www.embase.com/search/results?subaction=viewrecord&from=export&id=L72278509%255Cnhttp://sfx.library.uu.nl/utrecht?sid=EMBASE&issn=1365182X&id=doi:&atitle=Induction+of+immunomodulatory+responses+following+radiofrequency+ablation+of+solid+malignancies%25 (accessed on 8 April 2019). [CrossRef]
- Mazmishvili, K.; Jayant, K.; Janikashvili, N.; Kikodze, N.; Mizandari, M.; Pantsulaia, I.; Paksashvili, N.; Sodergren, M.H.; Reccia, I.; Pai, M.; et al. Study to evaluate the immunomodulatory effects of radiofrequency ablation compared to surgical resection for liver cancer. J. Cancer 2018, 9, 3187–3195. [Google Scholar] [CrossRef] [PubMed]
- Wang, S.; Zhuang, L.; Meng, Z. Hepatocellular Carcinoma More Than 3 cm in Diameter: A Systematic Review of Transcatheter Arterial Chemoembolization Plus Percutaneous Ethanol Injection versus Transcatheter Arterial Chemoembolization Alone. ISRN Gastroenterol. 2013, 2013, 526024. [Google Scholar] [CrossRef] [PubMed]
- Zhang, F.J.; Wu, P.H.; Zhao, M.; Gu, Y.K.; Zhang, L.; Tan, Z.B. Evaluation of combined percutaneous radio-frequency ablation and percutaneous ethanol injection after transcatheter arterial chemoembolization for hepatocellular carcinoma. Zhonghua Zhong Liu Za Zhi 2005, 27, 248–250. [Google Scholar]
- Jiang, G.; Xu, X.; Ren, S.; Wang, L. Combining transarterial chemoembolization with radiofrequency ablation for hepatocellular carcinoma. Tumor Biol. 2014, 35, 3405–3408. [Google Scholar] [CrossRef]
- Kan, X.-F.; Wang, Y.; Lin, G.-C.; Xia, X.-W.; Xiong, B.; Zhou, G.-F.; Liang, H.-M.; Feng, G.-S.; Zheng, C.-S. Radiofrequency ablation combined with transarterial chemoembolization for liver metastases from gastrointestinal cancers. J. Huazhong Univ. Sci. Technol. Med. Sci. Hua Zhong Ke Ji Da Xue Xue Bao. Yi Xue Ying Wen Ban Huazhong Keji Daxue Xuebao. Yixue Yingdewen Ban 2016, 36, 200–204. [Google Scholar] [CrossRef]
- Shiina, S.; Tateishi, R.; Arano, T.; Uchino, K.; Enooku, K.; Nakagawa, H.; Asaoka, Y.; Sato, T.; Masuzaki, R.; Kondo, Y.; et al. Radiofrequency Ablation for Hepatocellular Carcinoma: 10-Year Outcome and Prognostic Factors. Am. J. Gastroenterol. 2012, 107, 569. [Google Scholar] [CrossRef]
- Kim, Y.S.; Lim, H.K.; Rhim, H.; Lee, M.W.; Choi, D.; Lee, W.J.; Paik, S.W.; Koh, K.C.; Lee, J.H.; Choi, M.S.; et al. Ten-year outcomes of percutaneous radiofrequency ablation as first-line therapy of early hepatocellular carcinoma: Analysis of prognostic factors. J. Hepatol. 2013, 58, 89–97. Available online: http://linkinghub.elsevier.com/retrieve/pii/S0168827812007519 (accessed on 8 April 2019). [CrossRef]
- Napoletano, C.; Taurino, F.; Biffoni, M.; De Majo, A.; Coscarella, G.; Bellati, F.; Rahimi, H.; Pauselli, S.; Pellicciotta, I.; Burchell, J.M.; et al. RFA strongly modulates the immune system and anti-tumor immune responses in metastatic liver patients. Int. J. Oncol. 2008, 32, 481–490. [Google Scholar] [CrossRef]
- Pedroza-Gonzalez, A.; Verhoef, C.; Ijzermans, J.N.; Peppelenbosch, M.P.; Kwekkeboom, J.; Verheij, J.; Janssen, H.L.; Sprengers, D. Activated tumor-infiltrating CD4+ regulatory T cells restrain antitumor immunity in patients with primary or metastatic liver cancer. Hepatology 2013, 57, 183–194. [Google Scholar] [CrossRef]
- Hänsler, J.; Wissniowski, T.T.; Schuppan, D.; Witte, A.; Bernatik, T.; Hahn, E.G.; Strobel, D. Activation and dramatically increased cytolytic activity of tumor specific T lymphocytes after radio-frequency ablation in patients with hepatocellular carcinoma and colorectal liver metastases. World J. Gastroenterol. 2006, 12, 3716. [Google Scholar] [CrossRef]
- Guo, H.; Tsung, K. Tumor reductive therapies and antitumor immunity. Oncotarget 2017, 8, 55736. [Google Scholar] [CrossRef]
- Duan, X.H.; Li, T.F.; Zhou, G.F.; Han, X.W.; Zheng, C.S.; Chen, P.F.; Feng, G.S. Transcatheter arterial embolization combined with radiofrequency ablation activates CD8+T-cell infiltration surrounding residual tumors in the rabbit VX2 liver tumors. Onco Targets Ther. 2016, 9, 2835. [Google Scholar] [CrossRef]
- Fagnoni, F.F.; Zerbini, A.; Pelosi, G.; Missale, G. Combination of radiofrequency ablation and immunotherapy. Front. Biosci. 2008, 13, 369–381. [Google Scholar] [CrossRef]
- Cedres, S.; Torrejon, D.; Martinez, A.; Martinez, P.; Navarro, A.; Zamora, E.; Mulet-Margalef, N.; Felip, E. Neutrophil to lymphocyte ratio (NLR) as an indicator of poor prognosis in stage IV non-small cell lung cancer. Clin. Transl. Oncol. 2012, 14, 864–869. [Google Scholar] [CrossRef]
- Bambace, N.M.; Holmes, C.E. The platelet contribution to cancer progression. J. Thromb. Haemost. 2011, 9, 237–249. [Google Scholar] [CrossRef]
- Wiesner, T.; Bugl, S.; Mayer, F.; Hartmann, J.T.; Kopp, H.G. Differential changes in platelet VEGF, Tsp, CXCL12, and CXCL4 in patients with metastatic cancer. Clin. Exp. Metastasis 2010, 27, 141–149. [Google Scholar] [CrossRef]
- Kwon, H.C.; Kim, S.H.; Oh, S.Y.; Lee, S.; Lee, J.H.; Choi, H.J.; Park, K.J.; Roh, M.S.; Kim, S.G.; Kim, H.J. Clinical significance of preoperative neutrophil-lymphocyte versus platelet-lymphocyte ratio in patients with operable colorectal cancer. Biomarkers 2012, 17, 216–222. [Google Scholar] [CrossRef]
- Gomez, D.; Farid, S.; Malik, H.Z.; Young, A.L.; Toogood, G.J.; Lodge, J.P.A.; Prasad, K.R. Preoperative neutrophil-to-lymphocyte ratio as a prognostic predictor after curative resection for hepatocellular carcinoma. World J. Surg. 2008, 32, 1757–1762. [Google Scholar] [CrossRef]
- Halazun, K.J.; Aldoori, A.; Malik, H.Z.; Al-Mukhtar, A.; Prasad, K.R.; Toogood, G.J.; Lodge, J.P.A. Elevated preoperative neutrophil to lymphocyte ratio predicts survival following hepatic resection for colorectal liver metastases. Eur. J. Surg. Oncol. 2008, 34, 50–66. [Google Scholar] [CrossRef]
- Kishi, Y.; Kopetz, S.; Chun, Y.S.; Palavecino, M.; Abdalla, E.K.; Vauthey, J.N. Blood neutrophil-to-lymphocyte ratio predicts survival in patients with colorectal liver metastases treated with systemic chemotherapy. Ann. Surg. Oncol. 2009, 16, 614. [Google Scholar] [CrossRef]
- Dan, J.; Zhang, Y.; Peng, Z.; Huang, J.; Gao, H.; Xu, L.; Chen, M. Postoperative Neutrophil-to-Lymphocyte Ratio Change Predicts Survival of Patients with Small Hepatocellular Carcinoma Undergoing Radiofrequency Ablation. PLoS ONE 2013, 8, e58184. [Google Scholar] [CrossRef]
- Schuler, P.J.; Schilling, B.; Harasymczuk, M.; Hoffmann, T.K.; Johnson, J.; Lang, S.; Whiteside, T.L. Phenotypic and functional characteristics of CD4+CD39+FOXP3+and CD4+CD39+FOXP3negT-cell subsets in cancer patients. Eur. J. Immunol. 2012, 42, 1876–1885. [Google Scholar] [CrossRef]
- Okumoto, K.; Hattori, E.; Tamura, K.; Kiso, S.; Watanabe, H.; Saito, K.; Saito, T.; Togashi, H.; Kawata, S. Possible contribution of circulating transforming growth factor-β1 to immunity and prognosis in unresectable hepatocellular carcinoma. Liver Int. 2004, 24, 21–28. [Google Scholar] [CrossRef]
- Kuang, D.M.; Peng, C.; Zhao, Q.; Wu, Y.; Chen, M.S.; Zheng, L. Activated monocytes in peritumoral stroma of hepatocellular carcinoma promote expansion of memory T helper 17 cells. Hepatology 2010, 51, 154–164. [Google Scholar] [CrossRef]
- Kuang, D.M.; Peng, C.; Zhao, Q.; Wu, Y.; Zhu, L.Y.; Wang, J.; Yin, X.Y.; Li, L.; Zheng, L. Tumor-Activated Monocytes Promote Expansion of IL-17-Producing CD8+ T Cells in Hepatocellular Carcinoma Patients. J. Immunol. 2010, 185, 1544–1549. Available online: http://www.jimmunol.org/cgi/doi/10.4049/jimmunol.0904094 (accessed on 8 April 2019). [CrossRef]
- Bailey, S.R.; Nelson, M.H.; Himes, R.A.; Li, Z.; Mehrotra, S.; Paulos, C.M. Th17 cells in cancer: The ultimate identity crisis. Front. Immunol. 2014, 5, 276. [Google Scholar] [CrossRef]







| Test | Results | Normal Range | ||
|---|---|---|---|---|
| RFA Procedure (in July 2015) | ||||
| Before Procedure | After 1 Month | After 3 Months | ||
| Liver Function Tests | ||||
| ALT | 39.2 | 59.7 | 42.9 | (≤41 U/L) |
| AST | 46.2 | 64 | 57.5 | (≤40 U/L) |
| GGT | 208 | 118 | 89 | (10–70 U/L) |
| Neutrophil/Lymphocyte Ratio and Platelet/Lymphocyte Ratio | ||||
| NLR | 10.3 | 5.3 | 5.91 | 2.4 |
| PLR | 202 | 203 | 156 | 100–150 |
© 2019 by the authors. Licensee MDPI, Basel, Switzerland. This article is an open access article distributed under the terms and conditions of the Creative Commons Attribution (CC BY) license (http://creativecommons.org/licenses/by/4.0/).
Share and Cite
Janikashvili, N.; Jayant, K.; Kikodze, N.; Mazmishvili, K.; Pantsulaia, I.; Sandhu, B.; Podda, M.; Iobadze, M.; Azrumelashvili, T.; Mizandari, M.; et al. Immunomodulatory Changes Following Isolated RF Ablation in Colorectal Liver Metastases: A Case Report. Medicines 2019, 6, 56. https://doi.org/10.3390/medicines6020056
Janikashvili N, Jayant K, Kikodze N, Mazmishvili K, Pantsulaia I, Sandhu B, Podda M, Iobadze M, Azrumelashvili T, Mizandari M, et al. Immunomodulatory Changes Following Isolated RF Ablation in Colorectal Liver Metastases: A Case Report. Medicines. 2019; 6(2):56. https://doi.org/10.3390/medicines6020056
Chicago/Turabian StyleJanikashvili, Nona, Kumar Jayant, Nino Kikodze, Ketevan Mazmishvili, Ia Pantsulaia, Bynvant Sandhu, Mauro Podda, Manana Iobadze, Tamta Azrumelashvili, Malkhaz Mizandari, and et al. 2019. "Immunomodulatory Changes Following Isolated RF Ablation in Colorectal Liver Metastases: A Case Report" Medicines 6, no. 2: 56. https://doi.org/10.3390/medicines6020056
APA StyleJanikashvili, N., Jayant, K., Kikodze, N., Mazmishvili, K., Pantsulaia, I., Sandhu, B., Podda, M., Iobadze, M., Azrumelashvili, T., Mizandari, M., Habib, N., & Chikovani, T. (2019). Immunomodulatory Changes Following Isolated RF Ablation in Colorectal Liver Metastases: A Case Report. Medicines, 6(2), 56. https://doi.org/10.3390/medicines6020056

