Abstract
The essential oil of fennel (Foeniculum vulgare) is rich in lipophilic secondary metabolites, which can easily cross cell membranes by free diffusion. Several constituents of the oil carry reactive carbonyl groups in their ring structures. Carbonyl groups can react with amino groups of amino acid residues in proteins or in nucleotides of DNA to form Schiff’s bases. Fennel essential oil is rich in anise aldehyde, which should interfere with molecular targets in cells. The aim of the present study was to investigate the chemical composition of the essential oil of fennel growing in Tajikistan. Gas chromatographic-mass spectrometric analysis revealed that the main components of F. vulgare oil were trans-anethole (36.8%); α-ethyl-p-methoxy-benzyl alcohol (9.1%); p-anisaldehyde (7.7%); carvone (4.9%); 1-phenyl-penta-2,4-diyne (4.8%) and fenchyl butanoate (4.2%). The oil exhibited moderate antioxidant activities. The potential cytotoxic activity was studied against HeLa (human cervical cancer), Caco-2 (human colorectal adenocarcinoma), MCF-7 (human breast adenocarcinoma), CCRF-CEM (human T lymphoblast leukaemia) and CEM/ADR5000 (adriamycin resistant leukaemia) cancer cell lines; IC50 values were between 30–210 mg L−1 and thus exhibited low cytotoxicity as compared to cytotoxic reference compounds.
1. Introduction
Fennel (Arpabodiyon, local Tajik name), Foeniculum vulgare Miller, an important member of the Apiaceae, is widely used for flavouring foods and beverages due to its pleasant spicy aroma [1,2]. In traditional medicine, the plant and its essential oil have been extensively used as carminative, digestive, galactogogue and diuretic and to treat respiratory and gastrointestinal disorders [1]. It is also used as a constituent in cosmetic and pharmaceutical products [3]. The essential oil of F. vulgare, in particular anethole, exhibits antispasmodic, carminative, anti-inflammatory, estrogenic and anti-microbial activities [4]. In vitro, fennel oil possesses antioxidant [5,6], antimicrobial [7], insecticidal [8], antithrombotic [9] and hepatoprotective activities [2]. Furthermore, the essential oil of fennel exhibits in vitro anticancer activity [10,11,12]. The in vitro cytotoxic, genotoxic, and apoptotic activities of estragole were suspected to induce hepatic tumors in susceptible strains of mice [10].
Anethole is toxic in high concentrations [4]. Because of their lipophilic properties, the secondary metabolites of essential oils are able to penetrate cytoplasmic membranes by free diffusion. This process can affect membrane fluidity and permeability, transport, ion equilibrium and membrane potential [13], leading to cell death by apoptosis and necrosis [11].
The essential oil of fennel is rich in secondary metabolites, which carry reactive substituents (among them carbonyl groups) in their ring structures or side chains. Aldehydes are generally long-lived and electrophilic compounds, they can react with molecular targets which carry free amino groups, such as of amino acid residues in proteins or of nucleotides in DNA to form Schiff’s bases [14]. Aldehyde-containing essential oils often exhibit cytotoxicity [15,16] by reacting with cellular nucleophiles, including proteins and nucleic acids [13,17].
The chemical composition of the essential oil of F. vulgare from different geographical locations has been extensively studied [6,18,19,20]. According to these studies, the major components of fennel oil are trans-anethole, estragole, fenchone, and limonene depending on the chemotype [21,22,23]. The aim of the present study was to investigate the chemical composition of the essential oil of fennel growing in Tajikistan (Central Asia) and to explore cytotoxic activity against different human cancer cell lines. The biological activity and chemical composition of F. vulgare oil from Tajikistan have not been previously reported.
2. Materials and Methods
2.1. Plant Material
The aerial parts of F. vulgare plants were collected from the Varzob region, Tajikistan on 29 July 2016. A voucher specimen of the plant material was deposited at the Department of Pharmaceutical Technology, Avicenna Tajik State Medical University under accession number TD2016-24. The material was completely dried and hydrodistilled using a Clevenger-type apparatus for 3 h to give an essential oil yield of 0.5%.
2.2. Gas-Liquid Chromatography-Mass Spectrometry (GLC-MS)
The essential oil from F. vulgare oil was analyzed by GLC-MS using an instrument (GCMS-QP2010 Ultra, Shimadzu, Tokyo, Japan) operated in the EI mode (electron energy = 70 eV), scan range = 3.0 scans s−1. The GC column was ZB-5 fused silica capillary with a (5% phenyl)-polymethyl siloxane stationary phase a film thickness of 0.25 mm. The carrier gas was helium with a column head pressure 551 kPa and flow rate of 1.37 mL min−1. Injector temperature was 250 °C and the ion source temperature was 200 °C, increased in temperature rate 2 °C min−1 to 260 °C. The GC oven temperature program was programmed from 50 °C initial temperature, increased at a rate of 2 °C min−1 to 260 °C. A 5% w/v solution of the sample in CH2Cl2 was prepared and 0.1 µL was injected in splitting mode (30:1).
Identification of the oil components was based on their retention indices determined by reference to a homologous series of n-alkanes (Kovats RI), and by comparison of their mass spectral fragmentation patterns with those reported in the literature [24] and stored on the MS library (NIST 11 (National Institute of Standards and Technology, Gaithersburg, MD, USA), WILEY 10 (John Wiley & Sons, Inc., Hoboken, NJ, USA), FFNSC version 1.2 (Shimadzu Corp., Tokyo, Japan)). The percentages of each component are reported as raw percentages based on total ion current without standardization (set 100%).
2.3. Antioxidant Activity
The antioxidant activity of the essential oils was evaluated by 2,2-diphenyl-1-picrylhydrazyl (DPPH), 2,2′-azinobis-(3-ethylbenzthiazoline-6-sulfonic acid) (ABTS) and ferric reducing antioxidant power (FRAP) assays. DPPH, ABTS and FRAP assays were performed as described earlier by us [25,26].
2.4. Cytotoxicity
The potential cytotoxicity of the fennel essential oil against of the five human tumor cell lines (HeLa, Caco-2, MCF-7, CCRF-CEM and CEM/ADR5000) were determined by the MTT assay. The cells were seeded at a density of 2 × 104 cells/well (HeLa, Caco-2, MCF-7) and 3 × 104 cells/well (CCRF-CEM and CEM/ADR5000). The essential oil was serially diluted in media in the presence of DMSO at concentrations between 10 mg/L and 5 g/L; 100 μL of each concentration was applied to the wells of a 96-well plates. Cells were incubated with the essential oil for 24 h (HeLa, Caco-2, MCF-7) and 48 h (CCRF-CEM and CEM/ADR5000) before the medium was removed and replaced with fresh medium containing 0.5 mg/mL 3-(4,5-dimethylthiazol-2-yl)-2,5-diphenyltetrazolium bromide (MTT). The formazan crystals produced were dissolved in DMSO 4 h later; the absorbance was measured at 570 nm with a Biochrom Asys UVM 340 Microplate Reader (Cambridge, UK).
2.5. Hemolytic Activity
The hemolytic activity was investigated by incubation of serially diluted fennel essential oil in phosphate-buffered saline with red blood cells (human O+). The hemolytic activity assay was performed as described earlier [27].
2.6. Hierarchical Cluster Analysis
A total of 68 chemical compositions of F. vulgare essential oils, including the sample from this study in addition to 66 compositions obtained from the published literature [5,6,7,9,23,28,29,30,31,32,33,34,35,36,37,38,39,40,41,42,43,44,45] were used to carry out the cluster analysis using the XLSTAT software, version 2015.4.01. The essential oil compositions were treated as operational taxonomic units (OTUs) and the percentages of 34 of the most abundant essential oil components (trans-anethole, limonene, estragole, fenchone, α-pinene, α-phellandrene, p-anisaldehyde, β-phellandrene, β-pinene, exo-fenchyl acetate, p-cymene, myrcene, (E)-β-ocimene, camphor, 10-nonacosanone, piperitenone oxide, sabinene, neophytadiene, cis-anethole, trans-dihydrocarvone, γ-terpinene, carvone, phytol, 1,8-cineole, iso-isopulegol, trans-β-terpineol, endo-fenchyl acetate, camphene, carvacrol, apiole, o-cymene, δ-3-carene, linalool, and thymol) were used to establish the chemical relationships of the F. vulgare essential oil samples using the agglomerative hierarchical cluster (AHC) method. Pearson correlation was selected as a measure of similarity, and the unweighted pair-group method with arithmetic average (UPGMA) was used for definition of the clusters.
2.7. Microscopic Observation
The images of the treated or untreated CCRF cells were obtained and photographed using a by fluorescence microscopy (BZ-9000, Keyence, Osaka, Japan) in order to investigate morphological changes.
2.8. Data Analysis
The experiments were repeated three times. IC50 values were calculated using a four parameter logistic curve (Sigma Plot 11.0 (SYSTAT Software, San Jose, CA, USA)). The data are represented as means ± standard deviations. The results of statistical test were determined by using Sigma Plot 11.0 software and also by using the statistical function t-test in Microsoft Excel. A p value below 0.05 was considered to represent statistical significance.
3. Results and Discussion
3.1. Chemical Composition
The essential oil of F. vulgare was analyzed by gas-liquid chromatography—mass spectrometry (GLC-MS). Thirty components were identified representing 97.7% of total oil composition (Table 1). Oxygenated terpenoids were the dominant compounds of the essential oil of F. vulgare.
Table 1.
Chemical composition of the essential oil of Foeniculum vulgare according to a GLC-MS analysis.
The major components were trans-anethole (1) (36.8%), p-anisaldehyde (2) (7.7%), α-ethyl-p-methoxybenzyl alcohol (3) (9.1%), carvone (4.9%), 1-phenylpenta-2,4-diyne (4.7%) and fenchyl butanoate (4.2%). The main three compounds (trans-anethole, p-anisaldehyde, α-ethyl-p-methoxybenzyl alcohol) are both ethers, having methoxy functional groups (Scheme 1).
Scheme 1.
Structures of main components of the essential oil Foeniculum vulgare.
In accordance with previously published data, 1 is the main component [1,46], its content varying from 5.0 to 85%. However, estragole [47,48], fenchyl acetate [7] and limonene [6] have also been reported as main components of the fennel oil from other origins. Fennel essential oil is known as a source for anethole [49].
F. vulgare is subdivided into three main chemotypes according to their relative compositions: (1) estragole chemotype; (2) estragole/anethole chemotype and (3) anethole chemotype [34]. The essential oil of F. vulgare from Tajikistan thus belongs to the anethole chemotype, which is widely distributed [47].
3.2. Cluster Analysis
In order to place the chemical composition of Tajik F. vulgare into context with previous investigations, a hierarchical cluster analysis was carried out using the essential oil composition from this study in conjunction with compositions from 66 samples previously reported in the literature [5,6,7,9,23,28,29,30,31,32,33,34,35,36,37,38,39,40,41,42,43,44,45]. The cluster analysis (Figure 1) reveals the major chemotype of F. vulgare to be an anethole-rich chemotype (CT1), which includes the sample from Tajikistan. There is also an estragole-rich chemotype (CT2), represented by seven samples, and several chemotypes represented by only one or two samples each: an estragole/α-phellandrene chemotype (CT3), an anethole/estragole/α-pinene chemotype (CT4), an α-phellandrene chemotype (CT5), and a limonene/β-pinene/myrcene chemotype (CT6). The anethole-rich cluster can be subdivided into three chemotypes: an anethole chemotype (CT1a, including the sample from Tajikistan), an anethole/limonene chemotype (CT1b), and an anethole/camphor chemotype (CT1c) represented by a single sample from Romania (see Figure 1).
Figure 1.
Dendrogram obtained from the agglomerative hierarchical cluster analysis of 68 Foeniculum vulgare essential oil compositions. (CT1) anethole-rich chemotype, (CT1a) anethole chemotype, (CT1b) anethole/limonene chemotype, (CT1c) anethole/camphor chemotype, (CT2) estragole chemotype, (CT3) estragole/α-phellandrene chemotype, (CT4) anethole/estragole/α-pinene chemotype, (CT5) α-phellandrene chemotype, and (CT6) limonene/β-pinene/myrcene chemotype.
3.3. Antioxidant Activity
The investigation of antioxidant activity of essential oils as lipophilic secondary metabolites became an interesting aspect of food and pharmaceutical research. Synthetic food additives are increasingly replaced with plant-based natural ingredients, due to their safety, effectiveness and consumer acceptance [50]. In general, fennel as an edible and medicinal plant represents an interest through the neutralization of reactive oxygen species in order to prevent the damage of protein, lipid, and DNA which are supposed to be the main reason for cell aging, oxidative stress-originated diseases (cardiovascular and neurodegenerative diseases), and cancer.
The essential oil of fennel exhibits low antioxidant activity as compared to the positive control, caffeic acid. The results of the DPPH, ABTS and FRAP analyses are represented Table 2.
Table 2.
Antioxidant activity of the essential oil Foeniculum vulgare as determined by the ABTS, DPPH, and FRAP assays *.
The concentration of 50% inhibition (IC50) was the parameter used to compare the DPPH and ABTS radical scavenging activity. A lower IC50 (for DPPH and ABTS) and higher FRAP values indicate higher antioxidant activity. IC50 values for the antioxidant activity were 15.6 mg mL−1 (DPPH) and 10.9 mg mL−1 (ABTS). The IC50 values of the known antioxidant substance—caffeic acid—were 0.0017 mg mL−1 for DPPH and 0.0011 mg mL−1 for ABTS, respectively. Ferric reducing antioxidant power (FRAP) were equivalent to 193.5 µM Fe(II)/mg for oil and 2380 µM Fe(II)/mg for caffeic acid. In agreement with our results, it was reported that the an IC50 value of DPPH radical scavenging activity of Foeniculum vulgare essential oil was 15.3 mg mL−1 [7]. According to the authors [7], fennel essential oil reacts with free radicals as a primary antioxidant and, therefore, it may limit free-radical damage occurring in the human body. In our previous paper, we reported the antioxidant activity of pure essential oil components, including the main component of the essential oil of fennel (trans-anethole). It shows weak antioxidant activity. We assume that the phenolic substances (carvacrol (2.1%) and thymol (1.0%)) are responsible for the observed antioxidant activity. These data are in agreement with previously reported data [25]. However, it is known that the bioactivity of plant extracts is due to the entire composition of the extract [51,52].
3.4. Cytotoxicity
The cytotoxicity of the oil was tested against HeLa, Caco-2, MCF-7, CCRF-CEM and CEM/ADR5000 cancer cell lines (Table 3). IC50 values were 207 mg L−1 for HeLa, 75 mg L−1 for Caco-2, 59 mg L−1 for MCF-7, 32 mg L−1 for CCRF-CEM, and 165 mg L−1 for CEM/ADR5000 cell lines. As compared to the positive control doxorubicin, the essential oil exhibits low cytotoxicity. Doxorubicin, an anthracycline antitumor antibiotic is a hydrophilic drug, and shows broad spectrum anticancer activity [53]. The cytotoxicity of F. vulgare oil is most likely due to the lipophilic properties of essential oil and alkylating properties of the major components trans-anethole and p-anisaldehyde. Caco-2 and CEM/ADR5000 overexpress the ABC transporter p-gp which can actively pump out any lipophilic compound that has entered the cell by free diffusion [54]). Thus, both cell lines are rather insensitive towards lipophilic cytotoxic agents. In contrast, the parent cell line CCRF-CEM should be sensitive. We also suspect that some components of the essential oil are may be substrates for p-gp, as IC50 values were higher in CEM/ADR5000 cells.
Table 3.
Cytotoxicity of the essential oil of Foeniculum vulgare.
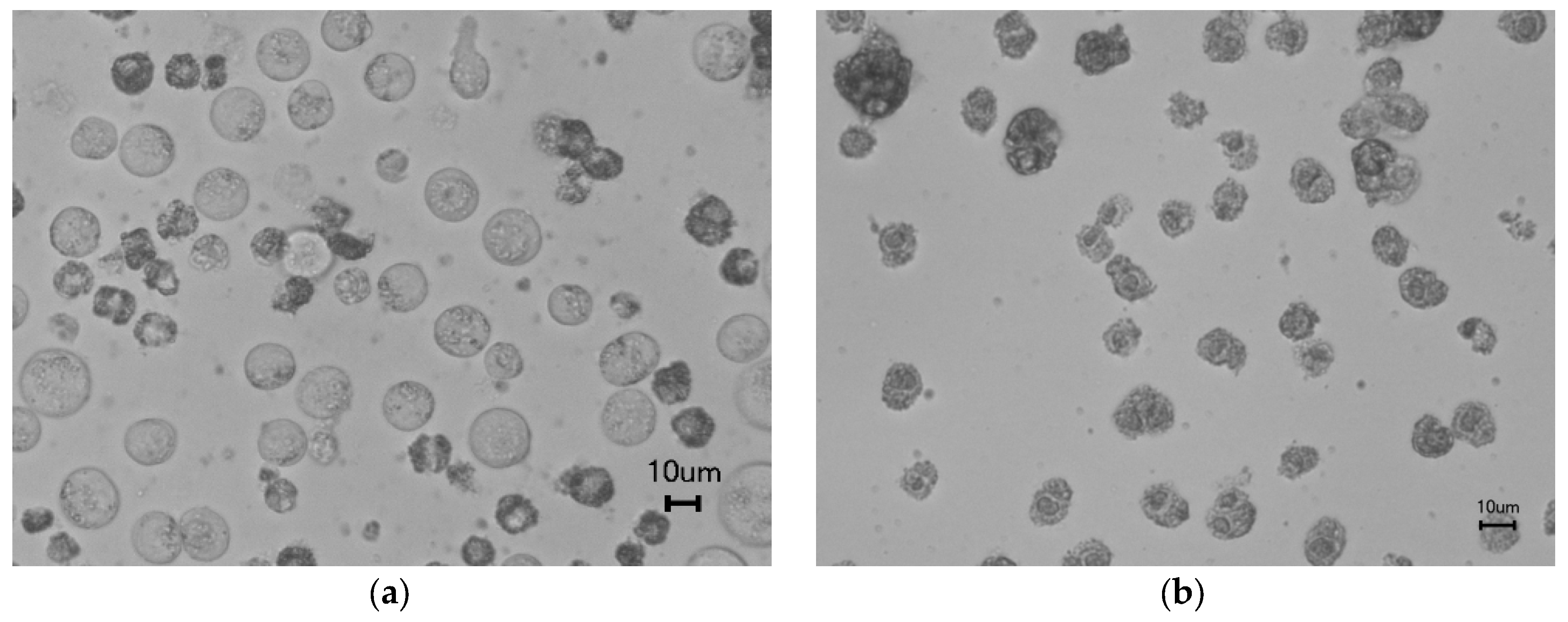
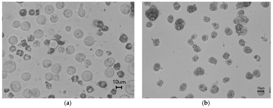
To better understand the mechanism of action of F. vulgare essential oil, we have investigated its hemolytic effect. The result of hemolytic activity indicates that the oil is able to lyse the cell membrane albeit with a rather high IC50 value of 1100 mg L−1 (Table 3). Moreover, in order to investigate the effect of essential oil on the cell morphology, the images of untreated and treated CCRF cells with essential oil were captured by fluorescence microscope. The images are illustrated in Figure 2.
Figure 2.
The images of untreated (a) and treated (b) CCRF cells with essential oil of Foeniculum vulgare.
Obtained images indicate that the essential oil can change the morphology of cells. Results of both hemolysis and microscopic investigation indicate that essential oil also affects the integrity of cell membranes. This is in agreement with many of the reported data [55].
In addition, trans-anethole, the main component of the essential oil, was examined for its cytotoxicity in RC-37 cells. Its IC50 value was 100 mg L−1 [56]. The incubation of hepatocytes with anethole caused a cell death accompanied by losses of cellular ATP and adenine nucleotide pools [57]. Anethole shows apoptotic activity, as it can damage DNA [58]. Thus anethole could be responsible for the overall cytotoxicity of the essential oil in our study.
4. Conclusions
The essential oil of fennel contains several bioreactive secondary metabolites, such as aldehydes. The oil apparently affects the stability of biomembranes and interacts with molecular targets, such as proteins and DNA, which causes a low cytotoxicity.
Author Contributions
F.S. and M.W. conceived and designed the experiments; F.S., A.V., P.S., I.G., S.I., and W.N.S. performed the experiments; F.S., P.S., W.N.S., and M.W. analyzed the data; P.S., W.N.S., and M.W. contributed reagents/materials/analysis tools; All authors contributed to writing and editing the manuscript.
Conflicts of Interest
The authors declare no conflict of interest.
References
- Mimica-Dukic, N.; Kujundyic, S.; Sokovic, M.; Couladis, M. Essential oil composition and antifungal activity of Foeniculum vulgare Mill. Obtained by different distillation conditions. Phytother. Res. 2003, 17, 368–371. [Google Scholar] [CrossRef] [PubMed]
- Rather, M.A.; Dar, B.A.; Sofi, S.N.; Bhat, B.A.; Qurishi, M.A. Foeniculum vulgare: A comprehensive review of its traditional use, phytochemistry, pharmacology, and safety. Arab. J. Chem. 2012, 9, S1574–S1583. [Google Scholar] [CrossRef]
- Diao, W.R.; Hu, Q.P.; Zhang, H.; Xu, J.G. Chemical composition, antibacterial activity and mechanism of action of essential oil from seeds of fennel (Foeniculum vulgare Mill.). Food Control 2014, 35, 109–116. [Google Scholar] [CrossRef]
- Van Wyk, B.E.; Wink, M. Medicinal Plants of the World; Briza: Pretoria, Africa, 2004. [Google Scholar]
- Roby, M.H.; Sarhan, M.A.; Selim, K.A.; Khalel, K.I. Antioxidant and antimicrobial activities of essential oil and extracts of fennel (Foeniculum vulgare L.) and chamomile (Matricaria chamomilla L.). Ind. Crops Prod. 2013, 44, 437–445. [Google Scholar] [CrossRef]
- Ouariachi, E.E.; Lahhit, N.; Bouyanzer, A.; Hammouti, B.; Paolini, J.; Majidi, L.; Desjobert, J.M.; Costa, J. Chemical composition and antioxidant activity of essential oils and solvent extracts of Foeniculum vulgare Mill. from Morocco. J. Chem. Pharm. Res. 2014, 6, 743–748. [Google Scholar]
- Shahat, A.A.; Ibrahim, A.Y.; Hendawy, S.F.; Omer, E.A.; Hammouda, F.M.; Abdel-Rahman, F.H.; Saleh, M.A. Chemical composition, antimicrobial and antioxidant activities of essential oils from organically cultivated fennel cultivars. Molecules 2011, 1366–1377. [Google Scholar] [CrossRef] [PubMed]
- Ghanem, I.; Audeh, A.; Alnaser, A.; Tayoub, G. Chemical constituents and insecticidal activity of the essential oil from fruits of Foeniculum vulgare Miller on larvae of khapra beetle (Trogoderma granarium Everts). Herba Polonica 2013, 59, 86–96. [Google Scholar] [CrossRef]
- Tognolini, M.; Ballabeni, V.; Bertoni, S.; Bruni, R.; Impicciatore, M.; Barocelli, E. Protective effect of Foeniculum vulgare essential oil and anethole in an experimental model of thrombosis. Pharmacol. Res. 2007, 56, 254–260. [Google Scholar] [CrossRef] [PubMed]
- Villarini, M.; Pagiotti, R.; Dominici, L.; Fatigoni, C.; Vannini, S.; Levorato, S.; Moretti, M. Investigation of the cytotoxic, genotoxic, and apoptosis-inducing effects of estragole isolated from fennel (Foeniculum vulgare). J. Nat. Prod. 2014, 77, 773–778. [Google Scholar] [CrossRef] [PubMed]
- Bhardwaj, P.; Alok, U.; Khanna, A. In vitro cytotoxicity of essensial oils: A review. Int. J. Res. Pharm. Chem. 2013, 3, 675–681. [Google Scholar]
- Heydarzade, A.; Moravvej, G. Contact toxicity and persistence of essential oils from Foeniculum vulgare, Teucrium polium and Satureja hortensis against Callosobruchus maculatus (Fabricius) (Coleoptera: Bruchidae) adults. Turk. J. Entomol. 2012, 36, 507–518. [Google Scholar]
- Wink, M. Evolutionary advantage and molecular modes of action of multi-component mixtures used in phytomedicine. Curr. Drug Metab. 2008, 9, 996–1009. [Google Scholar] [CrossRef] [PubMed]
- Bassi, A.M.; Penco, S.; Canuto, R.A.; Muzioa, G.; Ferro, M. Comparative evaluation of cytotoxicity and metabolism of four aldehydes in two hepatoma cell lines. Drug Chem. Toxicol. 1997, 20, 173–187. [Google Scholar] [CrossRef] [PubMed]
- Sonboli, A.; Esmaeili, M.A.; Gholipour, A.; Kanani, M.R. Composition, cytotoxicity and antioxidant activity of the essential oil of Dracocephalum surmandinum from Iran. Nat. Prod. Commun. 2010, 5, 341–344. [Google Scholar]
- Sharopov, F.S.; Wink, M.; Khalifaev, D.R.; Zhang, H.; Dosoky, N.S.; Setzer, W.N. Chemical composition and antiproliferative activity of the essential oil of Galagania fragrantissima Lipsky (Apiaceae). Am. J. Essent. Oils Nat. Prod. 2013, 1, 11–13. [Google Scholar]
- Esterbauer, H.; Schaur, R.J.; Zollner, H. Chemistry and biochemistry of 4-hydroxynonenal, malonaldehyde and related aldehydes. Free Radic. Biol. Med. 1991, 11, 81–128. [Google Scholar] [CrossRef]
- Zellagui, A.; Gherraf, N.; Elkhateeb, A.; Hegazy, M.F.; Mohamed, T.A.; Touil, A.; Shahat, A.; Rhouati, S. Chemical constitutents from Algerian Foeniculum vulgare aerial parts and evaluation of antimicrobial activity. J. Chil. Chem. Soc. 2011, 56, 759–763. [Google Scholar] [CrossRef]
- Chowdhury, J.U.; Mobarak, H.; Bhuiyan, N.I.; Nandi, N.C. Constituents of essential oils from leaves and seeds of Foeniculum vulgare Mill. cultivated in Bangladesh. Bangladesh J. Bot. 2009, 38, 181–183. [Google Scholar] [CrossRef]
- Dadaliogylu, I.; Evrendilek, G.A. Chemical compositions and antibacterial effects of essential oils of Turkish oregano (Origanum minutiflorum), bay laurel (Laurus nobilis), Spanish lavender (Lavandula stoechas L.), and fennel (Foeniculum vulgare) on common foodborne pathogens. J. Agric. Food Chem. 2004, 52, 8255–8260. [Google Scholar] [CrossRef] [PubMed]
- Aprotosoaie, A.C.; Spac, A.; Hancianu, M.; Miron, A.; Tanasescu, V.F.; Dorneanu, V.; Stanescu, U. The chemical profile of essensial oils obtained from fennel fruits (Foeniculum vulgare Mill.). Farmacia 2010, 58, 46–53. [Google Scholar]
- Radulovic, N.S.; Blagojevic, P.D. A note on the volatile secondary metabolites of Foeniculum vulgare Mill. (Apiaceae). Facta Univ. 2010, 8, 25–37. [Google Scholar] [CrossRef]
- Stefanini, M.B.; Ming, L.C.; Marques, M.O.; Facanali, R.; Meireles, M.A.; Moura, L.S.; Marchese, J.A.; Sousa, L.A. Essential oil constituents of different organs of fennel (Foeniculum vulgare var. vulgare). Braz. J. Med. Plants 2006, 8, 193–198. [Google Scholar]
- Adams, R.P. Identification of Essential Oil Components by Gas Chromatography/Mass Spectrometry, 4th ed.; Allured Publishing Co. Carol Stream: Carol Stream, IL, USA, 2007. [Google Scholar]
- Sharopov, F.S.; Wink, M.; Setzer, W.N. Radical scavenging and antioxidant activities of essential oil components—An experimental and computational investigation. Nat. Prod. Commun. 2015, 10, 153–156. [Google Scholar] [PubMed]
- Sharopov, F.S. Phytochemistry and Bioactivities of Selected Plant Species with Volatile Secondary Metabolites. Ph.D. Thesis, Ruperto-Carola University of Heidelberg, Heidelberg, Germany, 2015. [Google Scholar]
- Sharopov, F.; Valiev, A.; Satyal, P.; Setzer, W.N.; Wink, M. Chemical composition and anti-proliferative activity of the essential oil of Coriandrum sativum L. Am. J. Essent. Oils Nat. Prod. 2017, 5, 11–15. [Google Scholar]
- Zoubiri, S.; Baaliouamer, A. Chemical composition and insecticidal properties of some aromatic herbs essential oils from Algeria. Food Chem. 2011, 129, 179–182. [Google Scholar] [CrossRef]
- Embong, M.B.; Hadziyev, D.; Molnar, S. Essential oils from spices grown in Alberta. Fennel oil (Foeniculum vulgare var. dulce). Can. J. Plant Sci. 1977, 57, 829–837. [Google Scholar] [CrossRef]
- De Oliveira, P.F.; Alves, J.M.; Damasceno, J.L.; Oliveira, R.M.; Dias, H.J.; Crotti, A.M.; Tavares, D.C. Cytotoxicity screening of essential oils in cancer cell lines. Rev. Bras. Farmacogn. 2015, 25, 183–188. [Google Scholar] [CrossRef]
- Zhao, N.N.; Zhou, L.; Liu, Z.L.; Du, S.S.; Deng, Z.W. Evaluation of the toxicity of the essential oils of some common Chinese spices against Liposcelis bostrychophila. Food Control 2012, 26, 486–490. [Google Scholar] [CrossRef]
- Zeng, H.; Chen, X.; Liang, J. In vitro antifungal activity and mechanism of essential oil from fennel (Foeniculum vulgare l.) on dermatophyte species. J. Med. Microbiol. 2015, 64, 93–103. [Google Scholar] [CrossRef]
- Pavela, R.; Zabka, M.; Bednar, J.; Tríska, J.; Vrchotova, N. New knowledge for yield, composition and insecticidal activity of essential oils obtained from the aerial parts or seeds of fennel (Foeniculum vulgare Mill.). Ind. Crops Prod. 2016, 83, 275–282. [Google Scholar] [CrossRef]
- Muckensturm, B.; Foechterlen, D.; Reduron, J.P.; Dantont, T.P.; Hildenbrand, M. Phytochemical and chemotaxonomic studies of Foeniculum vulgare. Biochem. Syst. Ecol. 1997, 25, 353–358. [Google Scholar] [CrossRef]
- Hashmi, N.; Khan, M.M.; Moinuddin; Idrees, M.; Khan, Z.H.; Ali, A.; Varshney, L. Depolymerized carrageenan ameliorates growth, physiological attributes, essential oil yield and active constituents of Foeniculum vulgare Mill. Carbohydr. Polym. 2012, 90, 407–412. [Google Scholar] [CrossRef] [PubMed]
- Rahimmalek, M.; Maghsoudi, H.; Sabzalian, M.R.; Ghasemi Pirbalouti, A. Variability of essential oil content and composition of different Iranian fennel (Foeniculum vulgare Mill.) accessions in relation to some morphological and climatic factors. J. Agric. Sci. Technol. 2014, 16, 1365–1374. [Google Scholar]
- Senatore, F.; Oliviero, F.; Scandolera, E.; Taglialatela-Scafati, O.; Roscigno, G.; Zaccardelli, M.; Falco, E.D. Chemical composition, antimicrobial and antioxidant activities of anethole-rich oil from leaves of selected varieties of fennel [Foeniculum vulgare Mill. ssp. vulgare var. azoricum (Mill.) Thell]. Fitoterapia 2013, 90, 214–219. [Google Scholar] [PubMed]
- Han, A.Y.; Lee, H.S.; Seol, G.H. Foeniculum vulgare Mill. Increases cytosolic Ca2+ concentration and inhibits store-operated Ca2+ entry in vascular endothelial cells. Biomed. Pharmacother. 2016, 84, 800–805. [Google Scholar] [CrossRef] [PubMed]
- Lahhit, N.; Bouyanzer, A.; Desjobert, J.M.; Hammouti, B.; Salghi, R.; Costa, J.; Jama, C.; Bentiss, F.; Majidi, L. Fennel (Foeniculum vulgare) essential oil as green corrosion inhibitor of carbon steel in hydrochloric acid solution. Port. Electrochim. Acta 2011, 29, 127–138. [Google Scholar] [CrossRef]
- Sousa, R.M.; Rosa, J.S.; Oliveira, L.; Cunha, A.; Fernandes-Ferreira, M. Activities of Apiaceae essential oils and volatile compounds on hatchability, development, reproduction and nutrition of Pseudaletia unipuncta (Lepidoptera: Noctuidae). Ind. Crops Prod. 2015, 63, 226–237. [Google Scholar] [CrossRef]
- Cioanca, O.; Hancianu, M.; Mircea, C.; Trifan, A.; Hritcu, L. Essential oils from Apiaceae as valuable resources in neurologicaldisorders: Foeniculi vulgare aetheroleum. Ind. Crops Prod. 2016, 88, 51–57. [Google Scholar] [CrossRef]
- Gorbunova, E.V. Obosnovanie Osnovnich Elementov Technologii Kompleksnoy Pererabotki Sirya Fenchelya Obiknovennogo (Foeniculum vulgare Mill.). Ph.D. Thesis, Michurinsk State Agricultural University, Michurinsk, Russia, 2015. [Google Scholar]
- Oezcan, M.M.; Chalchat, J.C.; Arslan, D.; Ateş, A.; Uenver, A. Comparative essential oil composition and antifungal effect of bitter fennel (Foeniculum vulgare ssp. piperitum) fruit oils obtained during different vegetation. J. Med. Food 2006, 9, 552–561. [Google Scholar]
- Telci, I.; Demirtas, I.; Sahin, A. Variation in plant properties and essential oil composition of sweet fennel (Foeniculum vulgare Mill.) fruits during stages of maturity. Ind. Crops Prod. 2009, 30, 126–130. [Google Scholar] [CrossRef]
- Timasheva, L.A.; Gorbunova, E.V. A promising trend in the processing of fennel (Foeniculum vulgare Mill.) whole plants. Foods Raw Mater. 2014, 2, 51–57. [Google Scholar] [CrossRef]
- Singh, G.; Maurya, S.; Lampasona, M.P.; Catalan, C. Chemical constituents, antifungal and antioxidative potential of Foeniculum vulgare volatile oil and its acetone extract. Food Control 2006, 17, 745–752. [Google Scholar] [CrossRef]
- Barazani, O.; Cohen, Y.; Fait, A.; Diminshtein, S.; Dudai, N.; Ravid, U.; Putievsky, E.; Friedman, J. Chemotypic differentiation in indigenous populations of Foeniculum vulgare var. vulgare in israel. Biochem. Syst. Ecol. 2002, 30, 721–731. [Google Scholar] [CrossRef]
- Gross, M.; Friedman, J.; Dudai, N.; Larkov, O.; Cohen, Y.; Bar, E.; Ravid, U.; Putievsky, E.; Lewinsohn, E. Biosynthesis of estragole and t-anethole in bitter fennel (Foeniculum vulgare Mill. var. vulgare) chemotypes. Changes in sam: Phenylpropene o-methyltransferase activities during development. Plant Sci. 2002, 163, 1047–1053. [Google Scholar]
- Franz, C.; Novak, J. Sources of essential oils. In Handbook of Essential Oils: Science, Technology, and Applications; Baser, K.H.C., Buchbauer, G., Eds.; CRC Press: Boca Raton, FL, USA; London, UK; New York, NY, USA, 2010; p. 994. [Google Scholar]
- Amorati, R.; Foti, M.C.; Valgimigli, L. Antioxidant activity of essential oils. J. Agric. Food Chem. 2013, 61, 10835–10847. [Google Scholar] [CrossRef] [PubMed]
- Ettorre, A.; Frosali, S.; Andreassi, M.; Stefano, A.D. Lycopene phytocomplex, but not pure lycopene, is able to trigger apoptosis and improve the efficacy of photodynamic therapy in HL60 human leukemia cells. Exp. Biol. Med. 2010, 235, 1114–1125. [Google Scholar] [CrossRef] [PubMed]
- Giovannini, D.; Gismondi, A.; Basso, A.; Canuti, L.; Braglia, R.; Canini, A.; Mariani, F.; Cappelli, G. Lavandula angustifolia Mill. essential oil exerts antibacterial and anti-inflammatory effect in macrophage mediated immune response to Staphylococcus aureus. Immunol. Investig. 2016, 45, 11–28. [Google Scholar]
- Kulbacka, J.; Daczewska, M.; Dubińska-Magiera, M.; Choromańska, A.; Rembiałkowska, N.; Surowiak, P.; Kulbacki, M.; Kotulska, M.; Saczko, J. Doxorubicin delivery enhanced by electroporation to gastrointestinal adenocarcinoma cells with P-gp overexpression. Bioelectrochemistry 2014, 100, 96–104. [Google Scholar] [CrossRef] [PubMed]
- Eid, S.Y.; El-Readi, Z.M.; Wink, M. Carotenoids reverse multidrug resistance in cancer cells by interfering with abc-transporters. Phytomedicine 2012, 19, 977–987. [Google Scholar] [CrossRef]
- Russo, R.; Corasaniti, M.T.; Bagetta, G.; Morrone, L.A. Exploitation of cytotoxicity of some essential oils for translation in cancer therapy. Evid. Based Complement. Altern. Med. 2015, 2015. [Google Scholar] [CrossRef] [PubMed]
- Astani, A.; Reichling, J.; Schnitzler, P. Screening for antiviral activities of isolated compounds from essential oils. Evid. Based Complement. Altern. Med. 2011, 2011. [Google Scholar] [CrossRef] [PubMed]
- Nakagawa, Y.T.S. Cytotoxic and xenoestrogenic effects via biotransformation of trans-anethole on isolated rat hepatocytes and cultured mcf-7 human breast cancer cells. Biochem. Pharmacol. 2003, 66, 63–73. [Google Scholar] [CrossRef]
- Muthukumari, D.; Padma, P.R.; Sumathi, S. In vitro analysis of anethole as an anticancerous agent for triple negative breast cancer. Int. J. Pharm. Sci. Rev. Res. 2013, 23, 314–318. [Google Scholar]
© 2017 by the authors. Licensee MDPI, Basel, Switzerland. This article is an open access article distributed under the terms and conditions of the Creative Commons Attribution (CC BY) license (http://creativecommons.org/licenses/by/4.0/).


